Neck and Chest


Thyroid

Normal Anatomy

The normal thyroid gland is located in the anterior inferior neck. It is divided into two lobes resting on either side of the trachea. The lobes are connected at their lower third by a thin isthmus that crosses anterior to the trachea ( Fig. 10-1 ). Immediately anterior to the thyroid are the thin strap muscles (sternohyoid, sternothyroid, and omohyoid). Lateral to the thyroid are the more bulky sternocleidomastoid muscles. The longus colli muscles are posterior to each lobe of the thyroid along the lateral aspect of the anterior vertebrae. The common carotid arteries (CCAs) are located lateral to each thyroid lobe and the jugular veins are anterior and lateral to the carotid arteries. In most patients the lateral aspect of the esophagus can be seen extending from behind the trachea and the thyroid, more commonly on the left side than on the right side. Some patients have a thin pyramidal lobe extending several centimeters superiorly from the isthmus or from the medial right or left lobe ( e-Fig. 10-1 , ). A pyramidal lobe is present in up to 55% of autopsy studies but is seen much less frequently on sonography. It is most often evident in childhood and in conditions that cause generalized enlargement of the thyroid.

F igure 10-1, Normal thyroid. A , Transverse dual images show the normal right and left lobes of the thyroid (T) located on either side of the shadowing produced by the trachea (Tr) and the isthmus (I) anterior to the trachea. Both common carotid arteries (C) and the right internal jugular vein (V) are seen lateral to the thyroid. The overlying strap muscles (S) are located immediately anterior to the thyroid and the sternocleidomastoid muscles (Sc) are seen anterolateral to the thyroid. The longus colli muscle (Lc) is seen posteriorly on the right and the left lateral edge of the esophagus (E) is seen posterior to the trachea on the left. B, Longitudinal view of the thyroid (T) shows the lenticular shape of the thyroid and the hyperechoic echogenicity of the thyroid compared with the overlying strap muscles (S) and the sternocleidomastoid (Sc). The longus colli muscle (Lc) is seen posteriorly. C, Longitudinal power Doppler view of the thyroid shows the normal expected degree of flow scattered throughout the gland.

e -F igure 10-1, Pyramidal lobe. A, Transverse view superior to the isthmus shows a small segment of thyroid tissue (asterisk) posterior to the left strap muscle (S). B , Longitudinal view immediately superior to the isthmus shows a long thin strip of thyroid tissue (asterisks) anterior to the cricoid cartilage (C) and the thyroid cartilage (T). Normally there is no thyroid tissue anterior to the cricoid or thyroid cartilage. See Video 10-1 for transverse video from a different patient.

In adults, the thyroid measures 4 to 6 cm in length and 1.3 to 1.8 cm in anteroposterior (AP) and transverse diameter. The isthmus measures up to 3 mm in thickness. Thyromegaly is present whenever the transverse or AP diameter reaches 2 cm, or when parenchyma extends anterior to the carotid arteries ( Fig. 10-2 ). The normal thyroid is very homogeneous and hyperechoic when compared with the adjacent muscles. The amount of internal blood flow seen on color or power Doppler is roughly similar to what is seen in other superficial solid organs (e.g., the testes). Box 10-1 reviews the characteristics of the normal thyroid gland.

F igure 10-2, Thyromegaly. Transverse panoramic scan shows mild thyromegaly with a right lobe of the thyroid that has extended anterior to the common carotid artery (C). The jugular veins (V) and the trachea (Tr) are also seen.

B ox 10-1
Characteristics of the Normal Thyroid

  • Hyperechoic to adjacent muscles

  • Homogeneous

  • Scattered readily detectable internal vessels

  • Diameter of lobes less than 2 cm in AP and transverse views

  • Isthmus less than 4 mm

AP, Anteroposterior.

Congenital Anomalies

Congenital anomalies of the thyroid gland include ectopia, hypoplasia, and aplasia. Ectopic thyroid tissue is most commonly seen in a midline suprahyoid position between the foramen cecum of the tongue and the epiglottis. This is called a lingual thyroid and it occurs in approximately 1 in 3000 to 100,000 healthy individuals. In up to 30% of patients with lingual thyroid, it is the only thyroid tissue present. Other sites of ectopic thyroid include the sublingual, paralaryngeal, intratracheal, and infrasternal regions, and along the tract of the thyroglossal duct ( e-Fig. 10-2 , ). Ectopic thyroid is generally diagnosed with nuclear medicine scans and ultrasound plays very little role in most of these patients. On the other hand, hypoplastic and aplastic thyroids are readily evaluated with ultrasound. With unilateral agenesis, contralateral hypertrophy may be seen.

e -F igure 10-2, Ectopic thyroid. Transverse views of the left (A) and right (B) thyroid beds (asterisks) show no visible thyroid tissue. Transverse (C) and longitudinal (D) views of the midline neck superior to the thyroid bed show ectopic thyroid tissue (cursors) anterior to the thyroid cartilage (arrowheads) and the hyoid bone (arrow) . See Video 10-2 for transverse video starting at the level of the hyoid bone proceeding inferiorly, showing the full extent of the ectopic thyroid and the empty thyroid bed.

Thyroglossal duct cysts are the most common of the congenital cysts in the neck. During embryogenesis, the thyroid anlage migrates from the foramen cecum of the tongue to the lower neck, leaving an epithelial tract called the thyroglossal duct. This normally involutes in the eighth week of fetal life. Thyroid cells remain in the thyroglossal duct in 5% of cases and can give rise to thyroglossal duct cysts. Despite the embryogenesis, thyroid tissue is usually not detected pathologically in resected specimens. Thyroglossal duct cysts are typically located in the midline between the thyroid gland and the hyoid bone ( Fig. 10-3 ). Approximately 65%, 15%, and 20% occur below, at, and above the level of the hyoid, respectively. Patients most often present in childhood or young adulthood. Sonographically, thyroglossal duct cysts usually appear as somewhat complex cystic lesions with low-level intraluminal reflectors, scattered septations, solid-appearing regions, or irregular walls ( Fig. 10-4A to C ). The more caudal the cyst is located, the more likely it is to be lateral to the midline (see Fig. 10-4D ). It is uncommon for thyroglossal duct cysts to appear completely simple.

F igure 10-3, Thyroglossal duct cysts. Longitudinal panoramic views in different patients show the thyroid isthmus (I), cricoid cartilage (C), thyroid cartilage (T), and hyoid bone (H). A, Thyroglossal duct cyst (cursors) is located in the typical location anterior to the hyoid bone. B, Thyroglossal duct cyst (cursors) located in an infrahyoid location.

F igure 10-4, Thyroglossal duct cysts (cursors) in different patients. A, Longitudinal view of the midline of the neck in the suprathyroidal region shows the hyoid bone (H) and the tracheal cartilage (T) with their associated shadows. A complex cystic lesion with diffuse low-level echoes and comet-tail artifacts is seen located immediately between these two structures. This is the typical location for a thyroglossal duct cyst. B, Similar view in a different patient shows a cyst with a small solid component (arrow) . C, Similar view in a different patient shows a complex cystic lesion with low-level echoes and a thin septation. D, Transverse view of the neck above the level of the thyroid gland shows the thyroid cartilage (arrowheads) . Extending from the midline over to the left is a thyroglossal cyst with diffuse low-level echoes. E, Longitudinal view shows a thyroglossal duct cyst with a large solid component containing scattered microcalcifications confirmed to be papillary thyroid cancer. F, Longitudinal view shows a thyroglossal duct cyst with irregular eccentric wall thickening confirmed to be squamous cell cancer.

Thyroglossal duct cysts are complicated by malignancy in approximately 1% of cases. Ninety-five percent of malignancies are papillary thyroid cancer and the rest are squamous cell cancer. Both most often appear as cystic lesions with substantial solid components in the form of mural nodules, irregular wall thickening, or multiple thick septations (see Fig. 10-4E and F ).

Nodules

Thyroid nodules are extremely common and are the most common indication for thyroid ultrasound. Autopsy studies show that 50% of patients with a clinically normal thyroid have nodules. Sonography detects nodules in approximately 40% of patients who are scanned for other reasons. The pre­valence of nodules increases with age and the percentage of patients with nodules is approximately equal to the age in years minus 10. Despite the high prevalence of thyroid nodules, the percentage of clinically evident thyroid malignancy is very low (2% to 4%).

In approximately 80% of patients, thyroid hyperplasia is idiopathic, related to iodine deficiency, familial causes, or medications. An enlarged, hyperplastic gland is called a goiter . The male-to-female ratio is approximately 1 : 3. When hyperplasia progresses to nodule formation, the pathologic designation of the nodules may be hyperplastic, adenomatous, or colloid. Nodular hyperplasia is the most common cause for thyroid nodules. These types of nodules share some common sonographic appearances ( Fig. 10-5 ). They very frequently have cystic components. When the nodule is small, the cystic components are also very small. As the nodule enlarges, the cystic spaces may also enlarge. When cystic elements are predominant, they are usually associated with multiple internal septations, thick walls, solid or partially solid mural nodules, or a combination of these features. Diffusely scattered cystic spaces of variable size with little solid tissue can produce a spongy appearance that is another typical feature of nodular hyperplasia. The echogenicity of the solid components of nodular hyperplasia is variable and may be hypoechoic, isoechoic, or hyperechoic compared with normal parenchyma. Nodular hyperplasia varies in vascularity, but usually has detectable internal flow and is often hypervascular.

F igure 10-5, Nodular hyperplasia (cursors) in different patients. A, Spongy lesion. B, Cystic lesion with multiple internal septations and minimal solid components. C, Cystic nodule with solid mural nodule (arrows) that contains multiple comet-tail artifacts. D, Cystic nodule with a thick wall. E, Solid nodule with multiple scattered cystic components. F, Dual gray-scale and color Doppler views show a hypervascular, predominantly solid nodule with small, scattered cystic components.

Crystals that precipitate in colloid are often present in nodular hyperplasia and can produce scattered, tiny, bright, nonshadowing reflections. In some cases there is an associated comet-tail artifact that distinguishes them from microcalcifications (see Fig. 10-5C ). In other cases they are not appreciably different from microcalcifications. Comet-tail artifacts that are recognizable on real-time scanning may be difficult to perceive on static images ( e-Fig. 10-3 , ). In general, tiny, nonshadowing, bright reflections within cystic spaces are more likely to be crystals associated with nodular hyperplasia. Nodular hyperplasia can occasionally simulate follicular neoplasms and papillary cancer ( Fig. 10-6 ).

F igure 10-6, Atypical nodular hyperplasia. A, Isoechoic nodule (cursors) that is predominantly solid but contains a few large cystic spaces simulates a follicular neoplasm. B, Solid, isoechoic nodule with a peripheral hypoechoic halo simulates a follicular neoplasm. C, Solid, hypoechoic nodule with microcalcifications simulates papillary cancer.

e -F igure 10-3, Colloid with comet-tail artifacts. Dual transverse and longitudinal views of the thyroid show a hypoechoic nodule with multiple tiny, nonshadowing, bright reflectors with no visible comet-tail artifacts. See Video 10-3 for transverse video showing subtle but recognizable comet-tail artifacts arising from some of these otherwise nonspecific reflectors. This indicates that this nodule is very likely to be benign.

Benign follicular adenomas account for approximately 5% to 10% of all thyroid nodules. A small minority may cause hyperthyroidism due to autonomous function. They are typically solid and range from hypoechoic to hyperechoic. They are usually homogeneous and well marginated and a thin hypoechoic halo is characteristic. They have been described as looking like a testis in the thyroid. Well-defined cystic spaces occur in a minority of these nodules, especially in larger lesions ( Fig. 10-7 ).

F igure 10-7, Follicular adenomas (cursors) in different patients. A, Solid, hypoechoic nodule with thin peripheral hypoechoic halo. B, Solid, isoechoic nodule with peripheral halo. C, Solid, hyperechoic nodule with peripheral halo and scattered internal regions of decreased echogenicity. D, Solid, isoechoic nodule with a peripheral halo and a peripheral cystic area. E, Complex cystic and solid nodule that simulates nodular hyperplasia. F, Solid, hypervascular nodule.

Follicular cancer accounts for approximately 10% of malignant thyroid nodules and is more common in women in the sixth decade of life. It is divided into minimally invasive (80%) and widely invasive (20%) forms. Unlike papillary cancer, follicular cancer spreads hematogenously, especially to the bone, brain, lung, and liver. Metastases to neck nodes occur in less than 5% of patients and are usually associated with locally advanced tumors. Distant metastases are present in 20% to 40% of the widely invasive variant and in 5% to 10% of the minimally invasive variant. The 20-year mortality for all patients with follicular cancer is approximately 25%. The microcalcifications and nodal metastases seen with papillary cancer are not features of follicular cancer. Follicular cancers share the same sonographic features as follicular adenomas ( Fig. 10-8 ).

F igure 10-8, Follicular cancer (cursors) in different patients. A, Transverse view shows a solid, smoothly marginated, hypoechoic nodule. B, Transverse view shows a solid, smoothly marginated nodule with a partial halo and several cystic areas.

Follicular adenomas and follicular cancer can be distinguished only based on vascular invasion and capsular invasion. This distinction requires histologic evaluation of resected specimens and cannot be made by fine-needle aspiration (FNA). The cytologic result of follicular lesion of undetermined significance should be followed by repeat FNA, and if the interpretation remains the same, thyroid lobectomy should be performed. Approximately 5% to 15% of such lesions will be malignant. The cytologic result of follicular lesion or suspicious for follicular lesion should be followed by lobectomy. Approximately 15% to 30% of such lesions will be malignant.

Papillary cancer accounts for more than 75% of thyroid malignancies. It is followed in frequency by follicular, medullary, anaplastic, and Hürthle cell cancer. Although clinically relevant papillary cancer is uncommon, careful postmortem microscopic studies have shown that small and microscopic occult cancers occur in at least 35% of thyroids. In addition, it is not uncommon to find small foci of papillary cancer in the surgical specimens of thyroids removed for other benign nodules. These incidentally detected cancers rarely affect the patient's survival. In general, the prognosis of thyroid cancer is excellent with survival rates of 90% to 95% at 20 years.

Lymphatic dissemination is much more common with papillary cancer than hematogenous spread and occult cervical nodal metastases are often present at the time of diagnosis. The presence of metastatic cervical nodes has minimal effect on the good prognosis for papillary cancer. Distant metastases are rare. Papillary cancer is multifocal in at least 20% of cases but in many of these cases the additional lesions are very small. Papillary cancer often contains some follicular elements and in such cases it is referred to as the follicular variant of papillary cancer. Follicular variant behaves like pure papillary cancers.

The basic underlying appearance of papillary cancer is a hypoechoic and entirely solid nodule ( Fig. 10-9 ). Approximately 15% to 20% of nodules with this appearance and no other findings will be malignant. Several additional findings make the likelihood of cancer even higher. Microcalcifications occur due to deposition of calcium salts in psammoma bodies and are common in papillary cancer. Although microcalcifications are uncommon in other thyroid nodules, crystals within colloid are common in nodular hyperplasia and can be confused with microcalcifications. Tumor growth that is greatest in the AP direction is occasionally seen with papillary cancer and leads to a taller-than-wide configuration. This appearance is very uncommon with benign nodules. A lobulated margin is another feature that further increases the risk of cancer. The lobulations may be large or small. A solid, hypoechoic nodule that contains one or more of these additional malignant features mentioned earlier has a 50% to 80% risk of being cancer. Other findings that are seen less frequently with papillary cancer are peripheral calcifications (usually dis­continuous), coarse-shadowing calcifications, and refractive shadowing.

F igure 10-9, Papillary thyroid cancer (cursors) in different patients. A, Transverse view shows a 9-mm homogeneous, hypoechoic, entirely solid lesion. B, Longitudinal view shows a 7-mm homogeneous, hypoechoic, solid lesion that contains scattered microcalcifications. C, Longitudinal view shows a 43-mm solid, hypoechoic lesion with scattered microcalcifications. D, Longitudinal view shows a solid, hypoechoic lesion with lobulated margins. E, Longitudinal view shows a solid, hypoechoic nodule that is taller than wide. F, Transverse view shows a solid, hypoechoic nodule that is taller than wide and bulges the anterior capsule. G, Longitudinal view shows a solid, hypoechoic nodule with a discontinuous rim of calcification. H, Longitudinal view shows a 21-mm solid, hypoechoic nodule with coarse calcification. I, Longitudinal view shows a solid, hypoechoic nodule with refractive shadowing at both edges.

A minority of papillary cancers have substantial cystic components and overlap in appearance with benign nodular hyperplasia ( Fig. 10-10 ). For this reason most guidelines for performing FNA recommend FNA for nodules larger than 2 cm even if they have benign sonographic features.

F igure 10-10, Cystic papillary cancer (cursors) in different patients. A, Longitudinal view shows a predominantly cystic nodule with septations and minimal solid elements. B, Longitudinal view shows a subcentimeter mixed solid and cystic nodule.

A standard part of the sonographic evaluation of papillary cancer is a search for nodal metastases. Approximately 50% of nodal metastases involve the central compartment and the ipsilateral lateral-compartment nodes, 20% involve the central compartment only, 15% involve the central and bilateral lateral compartments, and 10% involve the ipsilateral lateral compartment only. Sonography is better at detecting metastases in the lateral compartment than in the central compartment, but microscopic metastases that are frequently seen pathologically are often not detected sonographically. Despite this, studies have shown that prophylactic lateral-compartment dissections do not change patient outcomes when the sonogram is negative, even if there are pathologically confirmed nodal metastases. On the other hand, lateral-compartment dissections decrease the recurrence rate and improve survival when the sonogram is positive. Sonography frequently identifies clinically occult nodal metastases that alter the surgical approach. Even when nodes are palpable, sonography frequently identifies additional metastases that change the operative approach. The rate of reoperation for nodal metastases can be reduced by preoperative sonographic evaluation. For these reasons, preoperative sonographic evaluation of the cervical lymph nodes is recommended for patients under­going initial surgery for papillary cancer. It is also recommended that these patients undergo sonography 6 to 12 months postoperatively and then periodically based on their risk factors.

Normal cervical lymph nodes are long and slender. The cortex is hypoechoic and there is a hyperechoic hilum ( Fig. 10-11A ). Vessels normally enter and exit the node at the hilum and have a branching pattern that radiates from the hilum (see Fig. 10-11B ). Gray-scale findings that strongly suggest a malignant lymph node are cystic changes (due to necrosis or colloid production) and calcifications, particularly microcalcifications ( Fig. 10-12 ). Focal or diffuse areas of increased echogenicity are also very suspicious ( e-Fig. 10-4 and ). Additional findings that may indicate metastatic disease but have limited specificity include focal asymmetric thickening of the cortex, compression or loss of the hilum, nodal enlargement, a round shape, and focal compression of the jugular vein. Nodal enlargement generally occurs first in the short axis. Short-axis measurements greater than 5 to 7 mm and a maximum-to-minimum diameter ratio less than 2.0 are considered suspicious, but minimal abnormalities in size or shape are not very specific. Alterations in the normal vascular pattern including peripheral flow, chaotic central flow, and focal areas of increased or decreased flow are all signs of malignancy. In many cases gray-scale and Doppler abnormalities coexist.

F igure 10-11, Normal lateral-compartment lymph node (cursors) . A, Dual transverse and longitudinal views show a 13.3 × 2.5 mm lymph node with a hypoechoic cortex and a hyperechoic hilum. B, Transverse color Doppler view shows a mildly enlarged reactive node that shows vessels entering the node at the hilum (arrow) and branching in a regular pattern throughout nodal parenchyma.

F igure 10-12, Papillary cancer metastatic to lateral-compartment lymph nodes (cursors) . A, Dual transverse and longitudinal views show a small node with several small cystic areas. B, Node with large cystic areas. C, Almost completely cystic node with minimal mural nodularity. D, Small node with limited microcalcifications. E, Small node with scattered microcalcifications and indentation of the jugular vein. F, Small node with two small focal hyperechoic lesions (cursors) due to localized microcalcifications. A normal hilum (arrowhead) is identified. G , Small node with peripheral vascularity. H, Large node with loss of the hilum and heterogeneous echogenicity. I, Large node with loss of the hilum, heterogeneous echogenicity, small cystic regions, and indentation of the jugular vein.

e -F igure 10-4, Papillary cancer metastatic to a lymph node. Longitudinal view shows a normal-sized node with a visible hilum (asterisk) . There is a small focal hyperechoic lesion within the node due to metastatic papillary cancer. Video 10-4 shows the full extent of the focal metastasis and the otherwise normal morphology of the node.

Medullary cancer is derived from parafollicular cells (also called C cells ) that secrete calcitonin, and therefore serum calcitonin can be used as a tumor marker. It accounts for 5% of thyroid malignancies. Approximately 10% to 20% of medullary carcinoma cases are associated with multiple endocrine neoplasia II syndrome. It has a more aggressive behavior than the differentiated carcinomas and it does not respond to chemotherapy or radiation therapy. On sonography, medullary cancer appears as a hypoechoic, solid mass ( Fig. 10-13 ). As with papillary cancer, microcalcifications are common in both the primary tumor and the nodal metastases. Medullary cancer is often very vascular.

F igure 10-13, Medullary cancer (cursors) in different patients. A, Dual gray-scale and color Doppler views show a solid, hypoechoic, hypervascular nodule. B, Large, solid, hypoechoic nodule with scattered microcalcifications. C, Solid, hypoechoic nodule with coarse-shadowing calcification, possibly due to a cluster of microcalcifications.

Anaplastic cancer accounts for less than 5% of thyroid malignancies. It is most often seen in patients over the age of 60 and it has a dismal prognosis (5-year mortality rate > 95%). It usually appears as a large, solid, hypoechoic mass ( Fig. 10-14 ). Cystic changes and dense coarse calcifications may be present but microcalcifications are not a feature of anaplastic cancer. Local invasion of adjacent structures is common at the time of presentation.

F igure 10-14, Anaplastic cancer (cursors) in different patients. A, Transverse view shows a large, solid, hypoechoic mass with a cystic area and shadowing calcification. The entire right lobe of the thyroid is replaced and the common carotid artery (C) and the internal jugular vein (J) are deviated laterally. B, Transverse view of the right lobe shows a heterogeneous, predominantly solid mass partially encasing the common carotid artery (C) and internal jugular vein (J). C, Transverse view of the left lobe shows a lobulated, solid, hypoechoic mass. There is invasion of the internal jugular vein (J). The common carotid artery is also seen (C).

Thyroid lymphoma accounts for less than 5% of thyroid malignancies and can occur as either a manifestation of generalized lymphoma or a primary abnormality. It is usually of the non-Hodgkin's variety. Women are affected more often than men and it tends to occur in the elderly. It often develops in the background of Hashimoto's thyroiditis. It generally presents as a rapidly growing mass. On sonography, it is usually a large, solid, hypoechoic mass that infiltrates large portions, if not all of the thyroid parenchyma ( Fig. 10-15 ).

F igure 10-15, Thyroid lymphoma in different patients. A, Transverse panoramic scan shows a markedly enlarged slightly heterogeneous, hypoechoic thyroid. No discrete masses are seen. Transverse sonogram (B) and CT scan (C) show a solid, hypoechoic mass (cursors) replacing the entire left lobe and isthmus. T, Trachea.

Metastases can occur in the thyroid, most commonly from lung, breast, and renal cell cancers. Metastatic disease does not have a typical sonographic appearance, but should be considered when a solid thyroid nodule is identified in a patient with a known extrathyroidal malignancy ( Fig. 10-16 ).

F igure 10-16, Metastatic disease to the thyroid. A, Longitudinal view shows a slightly lobulated, solid, predominantly hypoechoic nodule (cursors) . This was due to metastatic melanoma. B, Transverse view shows a solid, heterogeneous mass (cursors) in the right lobe. This was due to metastatic lung cancer.

When considering nodular thyroid disease, it is important to realize that overlap exists in the sonographic appearance of benign and malignant nodules. Sonography is not capable of determining with absolute assurance whether a nodule is benign or malignant. Nevertheless, based on the description of different thyroid lesions presented in the previous sections, it is clear that there are general differences in the appearance of benign and malignant thyroid nodules and these are highlighted in Table 10-1 . There are also several parameters that have been shown to have little or no utility in distinguishing benign from malignant nodules. These include size, multiplicity, degree of vascularity, and sharpness of the margins.

T able 10-1
Typical Ultrasound Features of Different Categories of Thyroid Nodules
Benign Indeterminate Malignant
Simple cysts Solid, hyperechoic Solid, hypoechoic
Spongy Solid, isoechoic Microcalcifications
Cystic components Hypoechoic halo Lobulated margins
Crystals with comet tails Dense peripheral calcifications Taller than wide
Interrupted peripheral calcifications
Extracapsular invasion
Malignant-appearing nodes

In the evaluation of nodules, the primary function of thyroid sonography is to determine which nodules require FNA. The goal is to detect as many thyroid cancers that could eventually have a clinical impact on the patient, and avoid FNA of as many benign nodules as possible. Given the low impact of most thyroid cancers and the high prevalence of benign nodules, this is a difficult goal to achieve. There have been several consensus conferences that have developed guidelines to help practitioners make this decision. They all weigh the risks of missing a thyroid cancer against the risks and cost of aspirating benign nodules. Although the various guidelines differ slightly in exact recommendations, most have focused on a combination of nodule size and sonographic appearance. FNA is generally recommended for nodules that have malignant sonographic features when they are 1 cm or greater in maximum diameter. Indeterminate nodules that lack either benign or malignant features are aspirated when they reach a size of 1.5 cm or greater. Nodules that have benign sonographic features are not aspirated until they reach a size of 2 cm or greater.

The terminology used in thyroid cytopathologic reports was standardized at the State-of-the-Science National Institutes of Health Consensus Conference held in Bethesda (Maryland) in 2007 and the recommendations were published in 2009. The following six categories were adopted in the conference.

  • 1.

    Nondiagnostic/Unsatisfactory: This category is used when there are not enough follicular cells (fewer than 6 groups with at least 10 follicular cells each), when there are problems with slide fixation or preparation, or when there is only macrophage-containing cyst fluid. Ideally, 10% or less of thyroid FNAs will be nondiagnostic.

  • 2.

    Benign: This category is used when there is adequate cellularity composed of a mixture of colloid and benign follicular cells. Under current guidelines, a benign result should be expected from 60% to 70% of thyroid FNAs.

  • 3.

    Atypia of undetermined significance or follicular lesion of undetermined significance: This category is used in a variety of circumstances when it is not possible to confidently place a nodule in a benign category or in a follicular neoplasm category. Atypical results should account for 3% to 6% of thyroid FNAs.

  • 4.

    Follicular neoplasm or suspicious for follicular neoplasm: This category is used when the cytologic findings suggest either a follicular adenoma or a follicular cancer. It is not possible to make this distinction cytologically. The majority of these will be benign adenomas or hyperplastic nodules.

  • 5.

    Suspicious for malignancy: This category is used when malignant changes are subtle or focal, when the specimen is sparsely cellular, or when the malignant nodule is undersampled.

  • 6.

    Malignant: This category is used when the cytologic features are definitive for malignancy. Under current guidelines, this category should account for 3% to 7% of thyroid FNAs.

The risk of malignancy and the recommended patient management associated with each of the Bethesda categories are listed in Table 10-2 .

T able 10-2
Bethesda System for Reporting Thyroid Cytologic Findings
Diagnostic Category Risk of Malignancy Typical Management
Nondiagnostic/unsatisfactory 1-4% Repeat FNA
Benign 0-3% Clinical and/or US follow-up. Repeat FNA if nodule enlarges
Atypia of undetermined significance/follicular lesion of undetermined significance 5-15% Repeat FNA. Lobectomy if results are the same
Follicular neoplasm/suspicious for follicular neoplasm 15-30% Lobectomy
Suspicious for malignancy 60-75% Lobectomy or thyroidectomy
Malignant 97-99% Thyroidectomy
FNA, Fine-needle aspiration; US, ultrasonography.

Parenchymal Disease

A number of inflammatory and immune conditions can affect the thyroid gland. The most common are subacute thyroiditis, Hashimoto's thyroiditis, and Graves' disease. Hashimoto's thyroiditis (also called chronic autoimmune lymphocytic thyroiditis ) is due to autoantibodies to thyroid proteins, especially thyroglobulin. Therefore the diagnosis is often made serologically. The gland is infiltrated with lymphocytes and plasma cells and a fibrotic reaction takes place. Patients may be euthyroid initially but generally become hypothyroid due to replacement of functioning thyroid parenchyma. Hashimoto's thyroiditis is the most common cause of hypothyroidism in the United States. It has a peak incidence between the age of 40 and 60 and is six times more common in women than in men. Other autoimmune disorders such as Sjögren's syndrome, lupus, rheumatoid arthritis, fibrosing mediastinitis, sclerosing cholangitis, and pernicious anemia may coexist with Hashimoto's thyroiditis. There is a slightly increased risk of thyroid lymphoma in patients with Hashimoto's thyroiditis. On sonography, the gland is normal or enlarged in size and hypoechoic. In general, the normal homogeneous echotexture is replaced by a more heterogeneous and coarsened texture. Multifocal lymphocytic infiltration can cause a micronodular appearance. Thin, echogenic fibrous strands may be visible and can cause a multilobulated appearance ( Fig. 10-17 ) ( , , and ). Often the gland is extremely hypervascular (see Fig. 10-17D ). Reactive lymphadenopathy often coexists with Hashimoto's thyroiditis, especially in the central compartment inferior to the thyroid (see Fig. 10-17A ). In the end stage, the gland becomes atrophic. Hashimoto's thyroiditis can form nodules that have benign or malignant sonographic features and may arise in otherwise normal-appearing glands or in glands that have the typical parenchymal changes of Hashimoto's thyroiditis (see Fig. 10-17E and F ). Other benign nodules and thyroid cancer can coexist with Hashimoto's thyroiditis.

F igure 10-17, Hashimoto's thyroiditis in different patients. A, Longitudinal view of the thyroid (T) shows multiple tiny, hypoechoic nodules scattered throughout an enlarged gland. An enlarged central compartment lymph node (cursors) is seen immediately inferior to the thyroid. B, Longitudinal view shows an enlarged thyroid that is diffusely hypoechoic with multiple thin, echogenic fibrous septations traversing the gland. C, Longitudinal view shows a thyroid that has areas of maintained normal hyperechoic parenchyma and scattered geographic regions of decreased echogenicity without discrete nodules. D, Longitudinal color Doppler view shows intense hypervascularity. E, Longitudinal view of the thyroid shows a discrete, solid, hypoechoic nodule (cursors) within an otherwise normal-appearing thyroid. Fine-needle aspiration confirmed that this nodule was due to Hashimoto's thyroiditis. F, Longitudinal view shows a diffusely heterogeneous gland with a discrete, focal, solid, hypoechoic nodule confirmed cytologically to be Hashimoto's thyroiditis.

Graves' disease is the most common cause of hyperthy­roidism. Similar to Hashimoto's thyroiditis, Graves' disease (also called diffuse toxic goiter ) is an autoimmune disorder that affects women much more often than men. Thyroid-stimulating immunoglobulins simulate the function of thyroid-stimulating hormone and cause hyperthyroidism. In most cases these antibodies can be detected with blood tests, and ultrasound plays a very minor role in the diagnosis and management of Graves' disease. The sonographic findings include gland enlargement, decreased echogenicity, and hypervascularity ( Fig. 10-18 ). The intense hypervascularity of Graves' disease has been referred to as thyroid inferno, although in most practices this degree of vascularity is seen more often with Hashimoto's thyroiditis. Although Graves' disease tends to be more homogeneous than Hashimoto's thyroiditis, there is significant overlap in their sonographic appearance.

F igure 10-18, Graves' disease in different patients. A, Transverse panoramic view shows a diffusely enlarged, slightly hypoechoic, homogeneous thyroid with no nodules. Longitudinal gray-scale (B) and color Doppler (C) views show an enlarged, slightly heterogeneous, and hypoechoic thyroid with intense hypervascularity.

Subacute granulomatous thyroiditis (also called de Quervain's thyroiditis ) is thought to be due to a viral infection. It occurs more often in women and is the most common cause of a painful thyroid mass. It is often preceded by an upper respiratory infection. The entire gland may be involved or involvement may be focal or multifocal. Transient hyperthyroidism may be seen in the initial stages of the disease due to follicular rupture and release of thyroid hormones. This may be followed by a phase of hypothyroidism after depletion of hormonal stores. The process is usually diagnosed clinically and responds well to medical treatment. When sonography is performed, it typically shows a poorly marginated area or areas of decreased echogenicity in the involved regions of the thyroid ( Fig. 10-19 ). Blood flow to the abnormal area is typically normal or decreased. If the clinical history is not known, the sonographic appearance can be confused with thyroid cancer.

F igure 10-19, Subacute thyroiditis. Longitudinal gray-scale view of the right (A) and left (B) lobes of the thyroid show poorly marginated regions of decreased echogenicity bilaterally (cursors) . C, Color Doppler view of the left lobe shows decreased vascularity within the area of thyroiditis.

Parathyroid

Normal Anatomy

Most adults have two superior and two inferior parathyroid glands. The superior glands are usually located posterior to the mid portion of the thyroid. The inferior glands are slightly more variable in their location. Approximately 60% are located posterior or just inferior to the lower pole of the thyroid. Another 20% of inferior parathyroids are located within 4 cm of the lower pole of the thyroid. A small percent of the population has a fifth parathyroid gland that is often associated with the thymus. Normal parathyroids are oval or almond shaped and measure approximately 1 × 3 × 5 mm. Normal glands are almost never seen with ultrasound.

Hyperparathyroidism

Primary hyperparathyroidism is a relatively common endocrine disorder. The male-to-female ratio is approximately 1 : 2.5. It tends to affect patients between 40 and 60 years of age. In 85% of cases it is due to a solitary parathyroid adenoma. In 15% of cases it is due to enlargement of multiple parathyroid glands. In less than 1% of cases it is due to parathyroid cancer. It is characterized clinically by elevated serum calcium levels and inappropriately high levels of parathyroid hormone (PTH) compared with the calcium level. Most affected patients are detected by routine laboratory tests. Advanced cases of hyperparathyroidism with kidney stones, osteopenia, and subperiosteal resorption are fortunately uncommon. Secondary hyperparathyroidism is usually the result of renal disease and results in variable levels of serum calcium and elevated PTH levels.

On sonography, parathyroid adenomas typically appear as variably sized, hypoechoic, homogeneous, solid masses ( Fig. 10-20 ). In some cases, the lesion is so hypoechoic that it simulates a cyst. Some internal heterogeneity and small cystic components may occur but predominantly cystic lesions are rare. Adenomas are usually oval with the long axis in the craniocaudal direction. Less often they are teardrop shaped or round. They are located lateral to the trachea or esophagus, medial to the common carotid artery, and posterior or infe­rior to the thyroid. Parathyroid adenomas are hypervascular lesions and this can often be displayed on color Doppler ( Fig. 10-21 ), although the vascularity of small lesions and deep lesions is often hard to detect with current Doppler equipment (see Fig. 10-21A ). In some cases a discrete polar artery can be visualized supplying the adenoma from the superior or inferior pole ( Fig. 10-21D ). Although detection of vascularity is reassuring, failure to detect internal flow does not exclude the diagnosis when the gray-scale findings are otherwise consistent with a parathyroid adenoma. Box 10-2 summarizes the appearance of parathyroid adenomas.

F igure 10-20, Parathyroid adenomas (cursors) in different patients. A, Transverse view shows a small, solid, hypoechoic adenoma posterior to the thyroid gland (T) and between the esophagus (E) and the common carotid artery (C) and internal jugular vein (J). B, Longitudinal view shows a small, ovoid, solid, hypoechoic adenoma posterior to the lower pole of the thyroid gland (T). C, Longitudinal view shows a moderate-sized ovoid, solid, hypoechoic adenoma posterior to the mid portion of the thyroid gland. D, Longitudinal view shows a large, ovoid, solid, hypoechoic adenoma posterior to the upper pole of the thyroid gland.

F igure 10-21, Vascularity of parathyroid adenomas (cursors) in different patients. Color Doppler views in three different adenomas show no detectable vascularity (A) , moderate vascularity (B) , and hypervascularity (C) . D, Dual color Doppler and gray-scale views show hypervascularity with a prominent polar vessel (arrow) .

B ox 10-2
Characteristics of Parathyroid Adenomas

  • Solid

  • Hypoechoic

  • Oval

  • Hypervascular (variably detected)

  • Posterior to thyroid

  • Medial to the carotid artery

Ectopic locations are encountered in approximately 3% of patients ( Box 10-3 ). The retrotracheal region is a common site for ectopic superior adenomas. These can be difficult to visualize sonographically due to their deep location and gas shadowing from the trachea. To counteract this, the patient's head should be turned to the opposite side and scanning should be performed from a lateral location with the transducer angled medially. Lower-frequency curved-array probes with a short radius of curvature are also helpful in detecting deep adenomas. Probes designed for neonatal heads or transvaginal scanning are very small and often work very well in looking deep into the neck ( e-Fig. 10-5 ). Ectopic parathyroid adenomas can also be located in the carotid sheath ( Fig. 10-22 ) or in the thyroid ( Fig. 10-23 ). Intrathyroidal adenomas are easy to see sonographically but can be easily confused with thyroid adenomas or other thyroid nodules. They can occur in any part of the thyroid but are usually located in the posterior half. They have sonographic features similar to other parathyroid adenomas. The superior mediastinum is a well-recognized but very uncommon location for ectopic adenomas. When in the mediastinum, they are usually anterior and related to the thymus, although they can occur posteriorly and as low as the aortopulmonary window. Mediastinal adenomas are difficult to visualize with sono­graphy because high-frequency linear-array transducers that are typically used have limited penetration and are often too large to manipulate in the relatively confined suprasternal and supraclavicular regions. As with deep lesions in the neck, tightly curved array probes can assist in visualizing superior mediastinal adenomas ( Fig. 10-24 ). Approximately 5% of patients with hyperparathyroidism have multigland disease ( e-Fig. 10-6 ). Multigland involvement is considerably more difficult to detect with all imaging modalities.

B ox 10-3
Locations of Ectopic Parathyroid Adenomas

  • Low neck

  • Mediastinum

  • Retrotracheal/retroesophageal

  • Carotid sheath

  • Intrathyroidal

F igure 10-22, Ectopic parathyroid adenomas (cursors) in the carotid sheath in different patients. Longitudinal (A) and transverse (B) views of the neck show a parathyroid adenoma located in the sheath of the common carotid artery (C). C, Transverse view of the carotid bifurcation shows a parathyroid adenoma located immediately adjacent to the external (E) and the internal (I) carotid arteries.

F igure 10-23, Intrathyroidal parathyroid adenomas (cursors) in different patients. A, Transverse view shows a small adenoma in the posterior aspect of the thyroid that was partially intrathyroidal at surgery. B, Longitudinal view of the thyroid shows an intrathyroidal adenoma located in the mid aspect of the gland. Aspiration of this nodule yielded follicular cells consistent with either thyroid or parathyroid origin. The parathyroid hormone level of the aspirated material was 4423 pg/mL. C, Transverse view shows a parathyroid adenoma in the anterior aspect of the thyroid.

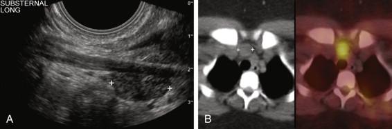
F igure 10-24, Ectopic parathyroid adenoma in the mediastinum. A, Longitudinal view of the inferior neck and the superior mediastinum using a transvaginal probe shows a parathyroid adenoma (cursors) in the substernal region. B, Sestamibi scan confirms a superior mediastinal adenoma (cursors) .

e -F igure 10-5, Value of low-frequency curved-array probe for deep parathyroid adenomas. A, Longitudinal view with a linear-array transducer scanning in the harmonic mode at 3.5 MHz shows no visible adenoma. B, Similar view with a curved-array transducer scanning in the harmonic mode at 2.5 MHz shows a 20-mm adenoma.

e -F igure 10-6, Multigland disease in different patients with hyperparathyroidism. A, Transverse view shows two enlarged parathyroid glands (cursors) posterior to the right lobe of the thyroid. B, Transverse view shows enlarged parathyroid glands (cursors) posterior to both lobes of the thyroid. Sestamibi scan was negative in this patient.

A minority of parathyroid adenomas will have visible cystic components and an even smaller percentage will be predominantly cystic ( Fig. 10-25 ). Pure parathyroid cysts are rare but should be considered when a cystic lesion is seen in the expected location of a parathyroid gland ( e-Fig. 10-7 ). A clue to the diagnosis is the clear and colorless nature of the fluid. Another rare parathyroid mass is the lipoadenoma. These fat-containing adenomas can also cause hyperparathyroidism and, as expected, appear as hyperechoic masses ( e-Fig. 10-8 ).

F igure 10-25, Cystic parathyroid adenomas (cursors) in different patients. A, Transverse view shows an adenoma that is solid with a single cystic component. B, Longitudinal view shows an adenoma that is mixed solid and cystic with multiple septations. C, Longitudinal view shows an adenoma that is predominantly cystic with some solid elements and septations.

e -F igure 10-7, Parathyroid cyst. Longitudinal view shows a simple cyst (cursors) immediately inferior to the thyroid (T). The aspirated fluid was clear and colorless and parathyroid hormone level from the aspirated fluid was 53,081 pg/mL.

e -F igure 10-8, Parathyroid lipoadenoma. A, Longitudinal view of the right neck inferior to the thyroid shows an ovoid, hyperechoic mass (cursors) . B, Coronal CT scan shows a low-attenuation mass (cursors) correlating with the sonogram. C, Sestamibi scan shows an ovoid lesion with persistent uptake on the delayed image, correlating with the findings on CT and ultrasound.

Parathyroid cancer causes less than 1% of primary hyperparathyroidism. In most cases patients have more severe laboratory abnormalities and worse clinical symptoms. There is overlap in the sonographic appearance of adenomas and carcinomas, but carcinomas are usually larger, may contain calcification, are more lobulated, and may invade adjacent structures ( Fig. 10-26 ).

F igure 10-26, Parathyroid cancer in different patients. A, Longitudinal view shows a large, lobulated, hypoechoic, solid mass (cursors) posterior to the thyroid (T). B, Longitudinal view shows a large, hypoechoic, solid mass (cursors) posterior to the thyroid (T). Small areas of central calcification are present.

The sensitivity of ultrasound in detecting parathyroid adenomas varies greatly. In patients who have not had prior neck surgery, most studies report sensitivities in the 70% to 80% range. Sonographic detection of enlarged parathyroid glands is more difficult in patients who present with recurrent or persistent hyperparathyroidism following a previous neck exploration. Nevertheless, sensitivity of 82% and specificity of 86% have been reported even in this difficult group of patients.

Common causes of false-negative scans include small lesions, ectopic lesions (especially mediastinal and deep superior glands), multigland disease, and lesions adjacent to an enlarged nodular thyroid gland ( Fig. 10-27 ) ( e-Fig. 10-9 and ). Parathyroid adenomas can also simulate lymph nodes ( e-Fig. 10-10 ). False-positive scans are less of a problem than false-negative scans. However, structures that can be confused with parathyroid adenomas include Zuckerkandl's tubercle ( Fig. 10-28 ), lymph nodes ( Fig. 10-29 ), posterior thyroid nodules, and normal structures posterior to the thyroid such as vessels, the esophagus, and the longus colli muscle. Lymph nodes often have an echogenic hilum or a hilar pattern of blood flow. Thyroid nodules are generally not homogeneous and hypoechoic and they lack the linear interface that is typically seen between parathyroid adenomas and the thyroid gland. Vessels can be distinguished from parathyroid adenomas with color Doppler. The longus colli muscle and the esophagus can be distinguished from parathyroid adenomas by noting their tubular shape on longitudinal scans. In addition, the linear striations are usually seen in the longus colli muscle and the target appearance typical of bowel is usually seen in the esophagus.

F igure 10-27, Multinodular goiter and parathyroid adenoma. Longitudinal view shows multiple nodules, making identification of a parathyroid adenoma difficult. The inferior-most nodule (cursors) was the most suspicious for a parathyroid adenoma and aspiration confirmed the diagnosis with a tissue parathyroid hormone level of 4361 pg/mL.

F igure 10-28, Zuckerkandl's tubercle simulating a parathyroid adenoma. Longitudinal (A) and transverse (B) views of the thyroid show what appears to be an isoechoic nodule (cursors) posterior to the thyroid. On the transverse view, it is more apparent that this is normal thyroid parenchyma that is partially separated from the rest of the gland by a posterior septation.

F igure 10-29, Lymph nodes simulating parathyroid adenomas in different patients. A, Longitudinal view shows a hypoechoic, heterogeneous thyroid gland (T) secondary to Hashimoto's thyroiditis. A hypoechoic lesion (cursors) is seen inferior to the thyroid that simulates a parathyroid adenoma. This actually is a reactive lymph node, which is commonly seen inferior to the thyroid in patients with Hashimoto's thyroiditis. B, Dual longitudinal gray-scale and power Doppler views show a nonspecific hypoechoic nodule inferior to the thyroid that has a hilar pattern of blood flow. The flow pattern is very typical of a reactive node and would not be expected in a parathyroid adenoma.

e -F igure 10-9, Parathyroid adenoma adjacent to a thyroid nodule. Longitudinal view shows a predominantly cystic nodule (+cursors) posterior to a complex cystic and solid nodule (x cursors) in the left thyroid. It is difficult to determine whether the posterior nodule is a cystic parathyroid adenoma or a thyroid nodule. See Video 10-6 for transverse video showing motion between the posterior nodule and the thyroid gland, strongly suggesting it is extrathyroidal. A left superior parathyroid adenoma was confirmed surgically.

e -F igure 10-10, Parathyroid adenoma simulating a lymph node. Longitudinal view shows a nodule (cursors) with a hyperechoic component simulating the hilum of a lymph node located posterior to the thyroid (T). A parathyroid adenoma was confirmed surgically and histologically.

Alternative methods of localizing enlarged parathyroid glands are scintigraphy using sestamibi scans, computed tomography (CT) scans, magnetic resonance imaging, angiography, and venous sampling. All these methods have strengths and weaknesses. In most practices scintigraphy is used more than the other techniques. In many practices a combination of ultrasound and scintigraphy is used and the other modalities are reserved for problem cases when the results of ultrasound and scintigraphy are negative, confusing, or discordant. Alternatively, ultrasound-guided aspiration can be performed and the sample can be sent for chemical analysis of PTH levels ( e-Figs. 10-11 and 10-12 ; ). Measurement of tissue-aspirate PTH levels is important because parathyroid adenomas yield cells that are very difficult to distinguish from thyroid follicular cells based only on cytologic findings.

e -F igure 10-11, Value of fine-needle aspiration for parathyroid hormone levels. Longitudinal view (A) in the right suprasternal region and transverse view (B) in the same area show a small, solid, hypoechoic nodule (cursors) suspicious for a parathyroid adenoma. Sestamibi scan was negative. Video 10-7 shows fine-needle aspiration of the nodule. Tissue PTH level from the aspirate was 420,620 pg/mL.

e -F igure 10-12, Value of fine-needle aspiration for parathyroid hormone (PTH) levels. A, Longitudinal view shows two complex nodules (cursors) associated with the right lobe of the thyroid. Neither was typical for a parathyroid adenoma. B, Sestamibi SPECT-CT scan showed increased activity on the right and a corresponding low-attenuation nodule, but it was not clear whether it was due to a thyroid adenoma, thyroid cancer, or a parathyroid adenoma. Ultrasound-guided fine-needle aspiration yielded a PTH level of 4.2 pg/mL from the lower nodule and 706,670 pg/mL from the upper gland, confirming that the upper nodule was a parathyroid adenoma.

The treatment of choice for hyperparathyroidism is surgery. In the hands of an experienced head and neck or endocrine surgeon, the success of bilateral neck exploration is 95% or higher and the morbidity is low. However, it has been shown that unilateral explorations can be performed with similar results to bilateral neck surgery if preoperative localization of the adenoma is obtained. In addition, operating room time is decreased when the correct site of the adenoma is identified preoperatively. Therefore the current standard approach is to perform minimally invasive parathyroidectomy using a small unilateral incision. In patients who have already had prior neck explorations and have recurrent or persistent hyperparathyroidism, preoperative localization is extremely valuable. Intraoperative ultrasound can also be helpful in this group of patients.

You're Reading a Preview

Become a Clinical Tree membership for Full access and enjoy Unlimited articles

Become membership

If you are a member. Log in here