Tendons

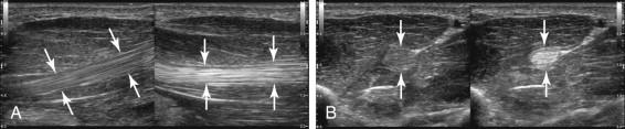
A number of superficial structures in the extremities are well suited for sonographic imaging. This is especially true of tendons. The interfaces between internal tendon fibers produce strong specular reflections when the sound reflects off the tendon at 90 degrees. The result is referred to as a fibrillar pattern and consists of closely spaced, parallel, bright linear reflections ( Fig. 11-1 ). When imaged at less than 90 degrees, the strength of the reflections decrease, the tendons become hypoechoic, and the fibrillar pattern is lost (see Fig. 11-1 ). Variable echogenicity, depending on the relative orientation of the transducer and the structure being scanned, is referred to as anisotropy . Anisotropy is present in many parts of the body but is particularly prominent in tendons ( ). Under most circumstances, tendons should be imaged so that the fibrillar pattern is visible. However, when tendons are surrounded by echogenic tissue, it may be helpful to purposely angle the transducer so that the tendon appears hypoechoic and the contrast between the tendon and peritendinous tissues is increased. In addition, echogenic lesions and abnormal intratendinous interfaces may be best seen when the tendon is purposely made to appear hypoechoic by imaging at less than 90 degrees.

F igure 11-1, Normal tendon. A, Longitudinal view of the flexor pollicis longus (arrows) shown at 90 degrees to the direction of the sound pulses (right side) and at less than 90 degrees (left side). Note the easily identifiable hyperechoic, fibrillar echotexture seen on the right image but not on the left. B, Transverse view of the flexor pollicis longus showing similar findings.

Probably the most common reason for performing musculoskeletal examinations is to evaluate the tendons. Tendon tears are common and are relatively easy to identify and analyze with sonography. Complete tendon tears are associated with a number of sonographic findings ( Fig. 11-2 and Box 11-1 ). In many cases the end of the retracted proximal tendon will appear blunt on longitudinal views and will appear masslike on transverse views. It is useful to scan in the transverse plane from the intact portion of the tendon to the torn portion in order to visualize the thickened retracted end ( e-Fig. 11-1 and ). Passive or active tendon motion is also very helpful in confirming and sometimes quantifying a tear ( e-Fig. 11-2 and ). There is usually some degree of shadowing at the site of the torn proximal tendon. In most cases the shadowing is refractive in nature and does not imply underlying calcification or avulsion of bone. Another common finding is loss of the normal fibrillar architecture of the tendon or complete nonvisualization of the tendon. Fluid collections may occur at the site of torn tendons due to a hematoma (especially in the setting of a tear near or at the musculotendinous junction) or a tendon sheath effusion. Partial-thickness tears disrupt the internal fibrillar architecture in a focal region but do not cause tendon retraction ( Fig. 11-3 ).

F igure 11-2, Full-thickness tendon tears in different patients. A, Torn flexor pollicis longus shows the blunt end of the retracted proximal fragment (arrows) . Also note the loss of fibrillar architecture in the blunt end as opposed to the more normal proximal tendon (T). B, Dual longitudinal images of the distal biceps tendon of the left and right elbows show a normal intact flexor tendon on the right (T) and no identifiable tendon on the left side (asterisks). C, Torn flexor pollicis longus shows loss of fibrillar pattern at the torn end of the tendon (T). D, Dual transverse views of the superficial and deep flexor tendons of the middle finger show the normal tendon on the right side and the tendon sheath effusion (arrowhead) and mass effect produced by the torn and retracted deep flexor tendon (cursors) on the left side. E, Longitudinal view of the arm shows the level of the elbow joint (E) and the normal overlying brachialis muscle (Br). The torn and retracted biceps tendon (arrow) casts a distinct refractive shadow (S). An associated fluid collection (arrowhead) is seen adjacent to the torn tendon.

B ox 11-1
Signs of Complete Tendon Rupture

  • Blunt tendon tip (longitudinal views)

  • Mass (transverse views)

  • Refractive shadowing

  • Nonvisualization

  • Loss of fibrillar architecture

  • Fluid collection

F igure 11-3, Partial-thickness tendon tear in different patients. A, Transverse view of the posterior tibial tendon (cursors) shows a distinct hypoechoic defect in the superficial aspect of the tendon consistent with a partial tear. B, Longitudinal view of the posterior tibial tendon (cursors) in another patient shows a distinct, linear, hypoechoic, longitudinally oriented partial tear in the central aspect of the tendon. Transverse gray-scale (C) and power Doppler (D) views of the posterior tibial tendon (cursors) show a central hypoechoic defect with increased vascularity.

e -F igure 11-1, Full-thickness tear of the extensor pollicis longus following a wrist fracture. Longitudinal view of the thumb shows a blunt and thickened tip of the retracted torn end of the tendon (cursors 2), contrasted to the more distal portion of the tendon (cursors 1). Transverse video (see Video 11-2 ) of the tendon shows thickening and decrease in echogenicity of the tendon as the transducer moves from distal to proximal. At the end of the video the transducer has moved above the torn end and the tendon disappears.

e -F igure 11-2, Full-thickness tear of the Achilles tendon. Longitudinal view shows a defect between the proximal (P) and distal (D) Achilles tendon. Refractive shadowing (arrows) is seen in the region of the torn tendon ends. Longitudinal video (see Video 11-3 ) taken while the patient flexes and extends the foot shows the change in separation of the torn tendon ends and confirms the size and location of the tear.

Tendonitis and tenosynovitis (inflammation of the tendon sheath) can be due to inflammatory processes (rheumatoid arthritis and other synovial-based arthritis), infection (either from penetrating trauma or blood borne), crystals (gout due to crystal precipitation), trauma (usually repetitive microtrauma), amyloidosis (chronic hemodialysis), or foreign bodies. Sonographic findings include fluid distending the tendon sheath, thickening of the synovial tendon sheath, or both ( Fig. 11-4 ). Synovial thickening may be diffuse and smooth or eccentric and nodular. Infections or hemorrhage may produce fluid with low-level echoes. Hypervascularity is often detectable when there is an active inflammatory process. Tendinopathy is a common condition that can produce pain but is not inflammatory in nature. It is generally seen as tendon thickening with decreased or heterogeneous echogenicity ( Fig. 11-5A ), and in some tendons as increased vascularity (see Fig. 11-5B and C ).

F igure 11-4, Tenosynovitis in different patients. A, Transverse view of the extensor tendons of the fingers shows fluid in the common tendon sheath (F) as well as smooth thickening of the tendon sheath (asterisks). B, Longitudinal view of the extensor carpi radialis longus tendon (T) shows nodular thickening of the tendon sheath (asterisks) due to rheumatoid arthritis. Longitudinal gray-scale (C) and power Doppler (D) views of the posterior tibial tendon (T) show thickening of the tendon sheath (asterisks) with intense hypervascularity.

F igure 11-5, Tendinopathy in different patients. A, Longitudinal view of the patellar tendon shows thickening and decreased echogenicity of the proximal tendon (arrows) contrasted to the normal echogenicity of the distal tendon (arrowheads) . Also seen are the patella (P) and the proximal tibia (T). Longitudinal color Doppler (B) and gray-scale (C) panoramic views of the Achilles tendon show focal tendon thickening (arrows) contrasted to the normal proximal and distal tendon (arrowheads) and intense hypervascularity.

In many locations, the tendons are secured in position by ligaments or ligament-like structures. Subluxations and dislocations occur when these ligaments are torn or insufficient. The most common tendons involved are the proximal biceps tendon and the peroneal tendons ( Fig. 11-6 ). The flexor tendons of the fingers are secured to the phalanges by a set of five pulleys. Pulley rupture allows for the tendon to pull away from the bone, producing bow stringing during finger flexion ( e-Fig. 11-3 ). In some situations a subluxing or dislocating tendon will present clinically as a snapping sensation when the extremity moves in certain positions. Because this happens with movement, sonography can monitor the tendons in real time and in many cases can determine the source of the snapping ( ).

F igure 11-6, Tendon dislocation. Transverse view of the anterior humeral head shows the proximal biceps tendon (cursors) overlying the lesser tuberosity (arrowhead) and an empty tendon groove (arrows) .

e -F igure 11-3, Tendon bow stringing due to pulley rupture. Longitudinal views of the right (A) and the left (B) flexor tendons (cursors) of the third finger show separation between the tendons and the proximal phalanx on the right side compared with the left.

Neoplasms of the tendons are extremely rare, but giant cell tumors (GCTs) of the tendon sheath are the second most common cause of a mass in the hand. They are benign lesions that are histologically identical to pigmented villonodular synovitis. They are typically slow growing and painless and occur along the volar surface of the fingers. GCTs are solid, homogeneous, hypoechoic masses that are adjacent to the tendons and often partially surround the tendon ( Fig. 11-7 ). High-frequency color Doppler will generally show readily detectable internal blood flow and the lesions may be quite vascular. Because they arise from the sheath and not the tendon, they do not move with the tendon when the finger is flexed and extended ( e-Fig. 11-4 and ).

F igure 11-7, Giant cell tumors in different patients. A, Longitudinal view of the interphalangeal joint (arrow) of the fourth finger shows a solid, hypoechoic mass (cursors) adjacent to the distal aspect of the flexor tendon (asterisk) . B, Transverse view of the fourth finger shows a hypoechoic mass (cursors) that partially encases the flexor tendon (asterisk) . Transverse gray-scale (C) and power Doppler (D) views of the thumb show a solid, hypoechoic mass that completely encases the flexor tendon (asterisk) .

e -F igure 11-4, Giant cell tumor. Transverse static image and longitudinal video (see Video 11-5 ) of the fourth finger show a solid mass (cursors) that partially encases the flexor tendons (asterisk) but does not move with the tendon when the finger is flexed.

Non-neoplastic masslike lesions are occasionally encountered in the tendons. Trigger fingers in the digits are due to focal areas of fibrotic thickening that catch on the finger pulleys with flexion and extension. Ganglion cysts can also be intratendinous. In both cases it is important to view the tendon in motion to confirm that the lesion moves with the tendon ( e-Fig. 11-5 and and ).

e -F igure 11-5, Value of dynamic tendon motion in different patients. A, Static longitudinal and real-time video (see Video 11-6A ) of the flexor tendons of the index finger taken at the level of the proximal interphalangeal joint in a patient with trigger finger show a subtle focal area of hypoechoic thickening of the flexor digitorum profundus on the static image. The video helps confirm the lesion is real and intrinsic to the tendon. B, Static longitudinal and real-time video (see Video 11-6B ) of the extensor tendon of the third finger in a patient with a palpable mass show a cyst overlying the tendon. The motion confirms that the cyst is attached to the tendon.

Despite the fact that the curved, conjoined tendons of the rotator cuff are more difficult to image than straight tendons, the rotator cuff has received more attention than any other tendon. Perhaps this is because shoulder pain originating from rotator cuff disease is very common and because rotator cuff tears are difficult to diagnose and quantify clinically. Because rotator cuff sonography is among the most commonly performed musculoskeletal examinations, it is important to be familiar with its normal sonographic appearance. All four of the cuff tendons (i.e., subscapularis, supraspinatus, infraspinatus, and teres minor) appear as a band of tissue covering the humeral head. The anatomy can be thought of as a series of layers. From deep to superficial, the layers are the echogenic humeral head, the anechoic or hypoechoic articular cartilage, the relatively echogenic rotator cuff, the hypoechoic subdeltoid bursa, the hyperechoic peribursal fat, the hypoechoic deltoid muscle, and finally the subcutaneous tissues ( Fig. 11-8A ). Important normal aspects of the cuff are its outer convex contour (see Fig. 11-8B ) and the lack of compressibility with transducer pressure.

F igure 11-8, Normal rotator cuff. A, Transverse view of the shoulder over the region of the rotator cuff shows multiple layers. Layer 1 is the cortical bone of the humeral head. Layer 2 is the articular cartilage of the humeral head. Layer 3 is the thick rotator cuff. Layer 4 is the thin subdeltoid bursa. Layer 5 is the peribursal fat. The hypoechoic deltoid muscle (D) covers all of these structures. Note that the rotator cuff appears echogenic in the middle of the image where it is perpendicular to the direction of sound but becomes hypoechoic on the edges of the image where it loses this orientation. B, Longitudinal view of the rotator cuff shows the bright reflection from the bony cortex of the humeral head (HH), anatomic neck (AN), and greater tuberosity (GT). The rotator cuff tapers and assumes a beaklike configuration as it inserts on the greater tuberosity. Note the convex outer contour of the rotator cuff and its adjacent bursa and peribursal fat (arrows) . Also note the hypoechoic region of the rotator cuff insertion due to anisotropy (arrowhead) .

Full-thickness rotator cuff tears refer to tears that extend from the deep surface of the cuff to the superficial surface of the cuff. They may be small and only involve a tiny region of a single tendon or they may be large and involve multiple tendons. A majority of tears originate at the insertion of the cuff to the greater tuberosity near the supraspinatus/infraspinatus junction. From this point, they may extend to involve more of the supraspinatus and infraspinatus. The subscapularis tendon may also be involved with massive full-thickness rotator cuff tears. However, it is rare to have an isolated tear of the subscapularis tendon in the absence of a prior anterior shoulder dislocation or a dislocated biceps tendon, or following total shoulder arthroplasty. The teres minor is almost never involved.

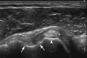
The sonographic appearance of full-thickness rotator cuff tears depends on whether there is a significant amount of fluid in the joint ( Box 11-2 ). When fluid is present, the tear appears as a fluid-filled defect ( Fig. 11-9A and B ). This type of tear is very easy to identify and the appearance is easy to understand. When the defect is not filled with fluid, the overlying subdeltoid bursa and peribursal fat drop into the defect. This converts the normal convex interface between the deltoid and the cuff into a concave interface (see Fig. 11-9C and D ). In most cases this concavity is readily visible at rest. If the torn ends of the tendon have not retracted from each other, or if the defect is filled with hypertrophied synovial tissue, a concavity may not be visible at rest. In such a case compression of the shoulder with the transducer can push the bursa and peribursal fat into the defect while producing some separation of the tendon ends. As mentioned earlier, the normal rotator cuff does not compress at all. Massive tears with extensive retraction of the torn tendon produce an uncovered humeral head and no visible cuff on standard images (see Fig. 11-9E and F ). This is referred to as nonvisualization of the cuff.

B ox 11-2
Signs of Full-Thickness Rotator Cuff Tear

  • Anechoic or hypoechoic defect

  • Focal superficial contour abnormality

  • Compressibility

  • Nonvisualization

F igure 11-9, Full-thickness rotator cuff tears in different patients. A, Longitudinal view of the rotator cuff (R) and deltoid muscle (D) shows a fluid-filled defect (cursors) overlying the greater tuberosity (GT) with intact cuff over the humeral head (HH). B, Transverse view of the rotator cuff (R) shows a fluid-filled defect (cursors) adjacent to the intra-articular portion of the biceps tendon (B). C, Longitudinal view of the rotator cuff (R) shows a focal superficial concave contour abnormality (arrows) at the site of a full-thickness tear (cursors) . D, Transverse view of the rotator cuff (R) and biceps tendon (B) shows a focal concavity (arrows) of the superficial contour at the site of a full-thickness tear (cursors) . E, Longitudinal panoramic view shows the deltoid muscle (D) in close apposition to the humeral head with no identifiable rotator cuff visualized. The deltoid muscle extends beyond the greater tuberosity, distinguishing it from an intact rotator cuff. F, Transverse view shows close apposition of the deltoid and the humeral head. A thin layer of anechoic cartilage covers the humeral head.

Once a full-thickness tear has been identified, it is important to determine which tendons are involved. If the tear just involves the first 1.5 cm of cuff behind the biceps tendon, then it is isolated to the supraspinatus. If it extends to involve the cuff more than 1.5 cm behind the biceps, then the infraspinatus is also involved. These measurements are made on the short axis (transverse) views. The degree of retraction of the cuff from the greater tuberosity is measured on the long axis (longitudinal) view.

Partial-thickness tears refer to tears that do not extend all the way from the deep to the superficial surface of the cuff. They can involve the deep surface, the superficial surface, or the internal aspect of the cuff. However, the majority arise from the deep surface. The sonographic appearance of a partial-thickness tear consists of a hypoechoic defect that remains visible despite changes in the orientation of the transducer. In many cases there is also a bright reflector associated with the hypoechoic area ( Fig. 11-10 ). As with full-thickness tears, the underlying bony cortex is usually irregular. Unlike full-thickness tears, partial-thickness tears are not associated with contour changes and do not compress with transducer pressure unless they are very extensive. In this situation it can be difficult to distinguish them from a nonretracted full-thickness tear ( e-Fig. 11-6 and ). Both are usually treated with surgery, and therefore the distinction is not critical. Partial tears may also be associated with abnormal internal motion when the transducer is rocked back and forth in the longitudinal plane ( ). Partial-thickness tears must be distinguished from tendon anisotropy, which normally causes the deep surface of the supraspinatus insertion to appear hypoechoic. Tendon anisotropy usually will become more echogenic when the transducer is angled upward, whereas partial tears will not change. Tendon anisotropy is usually poorly marginated, whereas partial tears are better marginated. Finally, tendon anisotropy is usually entirely hypoechoic, whereas partial tears often have at least a small hyperechoic component.

F igure 11-10, Partial-thickness rotator cuff tears in different patients. A, Longitudinal view shows a well-defined heterogeneous but predominantly hypoechoic defect (cursors) along the deep surface of the rotator cuff insertion. The superficial contour is normal. B, Longitudinal view shows a relatively well-defined hypoechoic defect (cursors) along the deep insertion of the rotator cuff. There is also an associated linear, hyperechoic component. Slight underlying bony pitting is also apparent (arrows) . C, Longitudinal dual images of the left (LT) and right (RT) rotator cuffs show a small, well-defined hypoechoic defect (cursors) along the deep surface of the left rotator cuff insertion. This is contrasted to the ill-defined hypoechoic region of anisotropy (arrow) on the right.

e -F igure 11-6, Value of compression with rotator cuff tears. Longitudinal view of the supraspinatus tendon shows a normal superficial contour. There is a subtle area of architectural distortion (arrows) of unclear significance. Longitudinal video (see Video 11-7 ) with compression shows compressibility of this region consistent with a small, nonretracted full-thickness tear or an extensive partial-thickness tear. An extensive partial tear was confirmed at arthroscopy.

The sensitivity of sonography for full-thickness tears is approximately 95%. The sensitivity of sonography for partial-thickness tears is approximately 70% to 90%. Many studies, including well-controlled, double-blind comparisons of ultrasound and magnetic resonance imaging (MRI) using surgery as the gold standard, have shown similar sensitivity for full- and partial-thickness tears.

In addition to tears, another relatively common painful abnormality of the rotator cuff is calcific tendonitis. Calcium in the rotator cuff produces an area of increased echogenicity and in most cases an associated acoustic shadow ( Fig. 11-11 ). Sonography is the most accurate means of identifying, localizing, and quantifying rotator cuff calcification. It can also be used to guide aspiration of calcific tendonitis. MRI is excellent at detecting most soft-tissue abnormalities in the shoulder, but as elsewhere in the body, it is poor at detecting calcification.

F igure 11-11, Calcific tendinitis in different patients. Longitudinal views of the supraspinatus tendon ( A and B ) show shadowing hyperechoic lesions (cursors) in the substance of the tendon.

Muscles

Muscles are composed of many fascicles that are separated by fibrous tissue called the perimysium . Muscle fascicles are very hypoechoic and this produces an overall appearance of decreased echogenicity to muscles. The perimysium creates interfaces between the fascicles that on longitudinal views appear as linear, echogenic reflections and on transverse views appear as diffuse speckles within a hypoechoic background ( Fig. 11-12 ).

F igure 11-12, Normal muscle. Longitudinal panoramic view of the brachialis muscle shows the overall hypoechoic appearance of the muscle and the multiple linear-oriented internal fibrous bands converging to form a central tendon.

Muscle injuries can be the result of direct compressive trauma or distraction from sudden forceful muscle contraction. Tears of the muscle are divided into three grades: Grade 1 tears consist of tears of only a limited number of muscle fibers; Grade 2 tears are more extensive partial tears usually associated with some functional weakness; and Grade 3 tears are complete disruptions of the entire muscle. On sonography, the severity of the lesion is mirrored by the size and extent of the hematoma. Grade 3 tears are also associated with some degree of muscle retraction, usually at the myotendinous junction. The imaging characteristics of hematomas have been described in previous chapters and are similar in muscles. In the acute stage, they are relatively echogenic and solid ( Fig. 11-13A ). Over a matter of days they generally start to liquefy and convert to a complex collection (see Fig. 11-13B ). In some cases calcification may occur (see Fig. 11-13C ). Ultimately most hematomas evolve into a simple-appearing fluid collection (see Fig. 11-13D ). When they are close to completely liquefied, they can be aspirated with ultrasound guidance and this can accelerate the overall recovery time and allow for competitive athletes to return to action earlier. Intramuscular hemorrhage may dissect in between fascicles and not form a discrete collection. This is also known as a contusion and will produce thickening and increased echogenicity of the intermuscular septa. A relatively common muscle tear occurs at the aponeurosis of the gastrocnemius and soleus muscles ( Fig. 11-14 ). This is sometimes referred to as tennis leg and it causes swelling of the calf that can be clinically confused with deep venous thrombosis (DVT).

F igure 11-13, Muscle hematoma in different patients. A, Longitudinal view of the calf shows an isoechoic, solid-appearing acute hematoma (cursors) in the soleus muscle. B, Longitudinal view of the anterior thigh shows a complex, solid, and liquefied subacute hematoma (cursors) in the quadriceps muscles. C, Longitudinal view of the anterior thigh shows partially liquefied and calcified chronic hematoma. D, Longitudinal view of the anterior thigh shows an irregularly marginated but completely liquefied hematoma in the quadriceps muscle group.

F igure 11-14, Gastrocnemius muscle tear. Longitudinal view of the calf shows separation (cursors) of the gastrocnemius (G) and soleus (S) muscles at the level of their aponeurosis (asterisk) .

Sonography is often the initial test used to evaluate suspected masses in the extremities. In the absence of trauma, intramuscular masses should be considered tumors until proven otherwise. Findings that increase the likelihood of malignancy include large size, lobulated margins ( Fig. 11-15A ), satellite nodules, and increased blood flow (see Fig. 11-15B and C ). Primary sarcomas are often complex and metastatic tumors are usually solid and homogeneous, but there is considerable overlap in their sonographic appearance ( Fig. 11-16 ). Both lesions should be distinguished from bone lesions with associated soft-tissue components. Sonography generally plays little role in the evaluation of muscular neoplasms. However, it is an excellent method for providing guidance for biopsy.

F igure 11-15, Muscle metastases in two different patients. A, Transverse view of the gluteal region shows a lobulated, solid, hypoechoic mass (cursors) within the gluteal muscle group. This was metastatic angiosarcoma. Longitudinal gray-scale (B) and color and pulsed Doppler (C) views show a solid, isoechoic mass (cursors) with intense hypervascularity. This was metastatic renal cell cancer to the triceps muscle.

F igure 11-16, Muscle sarcoma. Longitudinal view of the thigh shows a large, heterogeneous, predominantly solid mass.

Muscle atrophy can also be detected and quantified sonographically. Comparison of the right and left sides is easy using dual-screen acquisition ( Fig. 11-17A ). Fatty infiltration is also detectable by noting increased muscle echogenicity. This is an important part of evaluation of the shoulder in patients with rotator cuff tears (see Fig. 11-17B ).

F igure 11-17, Muscle atrophy in different patients with rotator cuff tears. A, Dual views of the left (LT) and right (RT) infraspinatus muscles show symmetric echogenicity of the muscles, but decreased thickness of the left compared with the right (16 mm vs. 23 mm) indicating atrophy. B, Dual views of the left and right supraspinatus muscles show increased echogenicity and decreased thickness of the right muscle indicating atrophy and fatty infiltration.

Joints

Several anatomic structures are common to many joints. Ligaments in general have a similar sonographic appearance to tendons ( Fig. 11-18 ). However, it is more difficult to image many ligaments at 90 degrees to their long axis, and therefore it is not uncommon for ligaments to appear hypoechoic. Articular cartilage is very homogeneous and thus produces very few internal echoes. It appears as a thin, smooth, hypoechoic to anechoic layer overlying the cortical bone ( Fig. 11-19A ). It should not be confused with fluid. Fibrocartilage structures such as the glenoid labrum and the menisci of the knee can also be at least partially visualized with ultrasound. Fibrocartilage has a more complex internal architecture than articular cartilage and appears more echogenic (see Fig. 11-19B ). Sonography is not a primary means of evaluating cartilage.

F igure 11-18, Normal ligament. Longitudinal view of the medial ankle shows a normal tibiocalcaneal ligament (arrows) displaying characteristics very similar to the normal tendon shown in Fig. 11-1 .

F igure 11-19, Normal cartilage. A, Longitudinal view of the radiocapitellar joint shows the articular cartilage of the capitulum (white arrowheads) and the radial head (black arrowhead) as a thin, hypoechoic layer overlying the cortical bone. B, Longitudinal view of the medial meniscus of the knee (arrowheads) shows the hyperechoic appearance typical of fibrocartilage.

One common indication for sonography of joints is to detect and guide aspiration of joint effusions. The configuration of joint fluid varies depending on the joint being scanned. In most joints real-time scanning is valuable because effusions are often compressible and will often be accentuated by certain movements. Most reactive effusions are anechoic or have few internal echoes ( Fig. 11-20A ). Septic effusions, particularly those in the superficial joints, often have detectable internal echoes (see Fig. 11-20B ) and are occasionally hyperechoic. Lipohemarthroses related to trauma can appear as multiple fluid layers (see Fig. 11-20C ).

F igure 11-20, Joint effusions in different patients. A, Longitudinal view of the metatarsal (MT) phalangeal (P) joint shows a small fluid collection (cursors) due to a joint effusion. The extensor tendon (T) is seen superficially. B, Longitudinal view of the acromioclavicular (AC) joint shows a fluid collection arising from the joint (cursors) with low-level internal echoes. This was aspirated and shown to be a septic effusion. C, Longitudinal view of the knee shows fluid distending the suprapatellar bursa (cursors) . Note that there is a layer of blood (B) in the dependent portion of the effusion, a layer of fluid (asterisk) in the mid portion of the effusion, and a layer of echogenic fat (F) in the nondependent portion of the effusion due to this lipohemarthrosis. The patella (P) is seen inferiorly.

Ganglion cysts are mucin-filled lesions that can arise from any joint. They are the most common palpable mass in the hand and wrist. Approximately 70% occur on the dorsal surface of the wrist and most of these arise from the scapholunate joint ( Fig. 11-21A ). Approximately 20% arise from the volar surface of the wrist and dissect between the flexor carpi radialis tendon and the radial artery (see Fig. 11-21B ; e-Fig. 11-7 and ). Approximately 10% arise from the flexor tendon sheaths of the fingers (see Fig. 11-21C ; ). In approximately 25% of cases a neck can be seen leading toward the joint of origin (see Fig. 11-21D ).

F igure 11-21, Ganglion cysts of the wrist in different patients. A, Transverse view of the dorsal surface of the wrist at the level of the joint between the scaphoid (S) and the lunate (L) shows a 2-mm ganglion cyst (cursors) immediately over the joint. B, Transverse view over the volar aspect of the wrist shows a lobulated and septated ganglion cyst (cursors) between the radial artery (A) and the flexor carpi radialis tendon (T). C, Longitudinal view of the middle finger shows a ganglion cyst (cursors) associated with the flexor tendons. D, Longitudinal view of the dorsal wrist shows a ganglion cyst (cursors) with a visible neck (arrows) directed toward the joint.

e -F igure 11-7, Volar ganglion cyst. Transverse static image and Video 11-9 show the location of the radial artery (A), flexor carpi radialis tendon (T), and median nerve (arrow) . On the video, as the probe is moved from proximal to distal a septated cyst is seen between the radial artery and the tendon.

Synovitis appears as thickened, hypoechoic soft tissues overlying the joint ( Fig. 11-22A ). It may be focal or diffuse and smooth or nodular. Hypervascularity generally indicates acute inflammation (see Fig. 11-22B ). Clinical and laboratory correlation is usually required to determine the etiology of synovitis.

F igure 11-22, Synovitis. Dual longitudinal gray-scale (A) and power Doppler (B) views of the left (LT) and right (RT) metacarpophalangeal joint of the thumb show thickened synovium on the left (asterisks) with associated periarticular hyperemia.

Normal bursas are not visible with sonography. Abnormal, fluid-filled bursas can be detected around many joints. They are particularly common around the knee. The most common is the bursa between the medial head of the gastrocnemius and the semimembranosus tendon. When distended by fluid, this is referred to as a Baker's cyst. They are best identified by scanning along the medial and superior aspect of the medial head of the gastrocnemius. Baker's cysts may be simple appearing or contain internal echoes, internal septations, thick irregular walls, nodular synovial proliferation, and loose bodies ( Fig. 11-23 ). The neck that extends between the medial gastrocnemius and the semimembranosus tendon produces a beaklike appearance that is a characteristic feature. Rupture may produce a pointed margin to the inferior aspect of the cyst or fluid tracking into the calf from the inferior aspect of the cyst (see Fig. 11-23C ).

F igure 11-23, Baker's cysts in different patients. A, Transverse view of the posterior knee shows a well-defined cystic lesion (cursors) adjacent to the medial head of the gastrocnemius muscle (G). Typical beak (arrow) that is often seen with Baker's cysts is shown well on this image. B, Transverse view of a Baker's cyst (cursors) adjacent to the medial head of the gastrocnemius muscle (G) shows septations and a thick wall. C, Longitudinal view of the posterior knee and calf shows a Baker's cyst (cursors) that has ruptured with fluid (F) dissecting into the calf.

Diagnosis of bursitis in other sites depends on a thorough knowledge of the anatomic location of different bursas. This is the primary way to distinguish a fluid-filled bursa from other periarticular fluid collections ( Fig. 11-24 ).

F igure 11-24, Bursitis in different patients. A, Longitudinal view of the posterior elbow shows fluid distending the olecranon bursa (B). Also seen is the insertion of the triceps tendon (T) into the olecranon process (O). B, Transverse view of the posterior elbow shows fluid in the olecranon bursa as well as nodular areas of proliferative synovium. C, Longitudinal view of the knee shows a distended infrapatellar superficial bursa (cursors) containing fluid as well as layering blood (asterisk) . The patellar tendon (T) is seen immediately posteriorly. Also seen are the patella (P) and the proximal tibia (Tb).

Nerves

Peripheral nerves are composed of multiple internal neuronal fascicles that appear hypoechoic on high-resolution scans ( Fig. 11-25 ). On transverse views, internal nerve fascicles are roughly round and are surrounded by the hyperechoic epineurium, a loose connective tissue composed of collagen and adipose. Peripheral nerves can simulate the tendons, but their echogenicity is less than that of the tendons; in addition, their echotexture is more fascicular, whereas the echotexture of tendons is more fibrillar. The characteristics of normal nerves and the other extremity structures described previously are reviewed in Table 11-1 .

F igure 11-25, Normal nerve. Transverse view of the median nerve (cursors) shows the multiple, round, hypoechoic internal neuronal fascicles.

T able 11-1
Normal Characteristics of Musculoskeletal Structures
Tendons Echogenic when imaged at 90 degrees to sound, otherwise hypoechoic
Fibrillar architecture
Ligaments Similar to tendons
Muscles Hypoechoic
Articular cartilage Anechoic to hypoechoic
Fibrocartilage Hyperechoic
Peripheral nerves Hypoechoic
Fascicular architecture

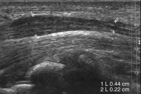
Compression and entrapment of nerves are common clinical conditions. The most common of these is compression of the median nerve in the carpal tunnel. Sonography can assist in the diagnosis of carpal tunnel syndrome by identifying swelling of the nerve proximal to the tunnel ( Fig. 11-26 ). Injured and inflamed nerves are also detected by identifying focal swelling ( e-Fig. 11-8 ).

F igure 11-26, Carpal tunnel syndrome. Longitudinal view of the median nerve at the wrist level shows swelling of the nerve (0.44 mm vs. 0.22 mm) just proximal to the carpal tunnel.

e -F igure 11-8, Ulnar nerve injury. A, Longitudinal view of the ulnar nerve at the level of the elbow shows focal swelling (cursors) . B, Transverse dual images of the right (cursor 1) and left (cursor 2) ulnar nerves show swelling and loss of the fascicular architecture on the right. This occurred after prolonged pressure on the nerve due to arm placement during cardiac surgery.

Masses and cysts of the peripheral nerves can be diagnosed with sonography if continuity with the nerve is identified. This is possible when the major nerves are involved ( Fig. 11-27 ). Tumors of small nerves appear as nonspecific masses and can only be diagnosed with surgical resection. Schwanno­mas are usually eccentric in the nerve and neurofibromas are usually central but there is considerable overlap. Most nerve tumors are solid, hypoechoic, and vascular ( Fig. 11-28A and B ). Through transmission is common, even with completely solid nerve tumors (see Fig. 11-28A ). Heterogeneity and cystic components become more common as the tumors enlarge (see Fig. 11-28C ).

F igure 11-27, Ganglion cyst of the sural nerve. A, Longitudinal panoramic view of the lower extremity shows a lobulated cyst (C). B, Longitudinal view of the proximal aspect of the cyst shows the continuity of the cyst with the sural nerve (arrows) .

F igure 11-28, Nerve tumors in different patients. Longitudinal gray-scale (A) and color Doppler (B) views of the ulnar nerve (arrows) show a solid, homogeneous, hypoechoic mass (cursors) with increased vascularity that clearly arises from the nerve. There is increased through transmission that is commonly seen with peripheral nerve tumors. This was a ganglioneuroma. C, Longitudinal view of the brachial plexus (arrows) shows a predominantly cystic lesion with nodular thickening of the wall. This was a schwannoma.

Bones

The external cortical surface of superficial bones can be visualized well with sonography as a smooth, bright reflection. Therefore abnormalities that alter the bony surface can be detected sonographically. Although sonography is generally not used as a primary technique for imaging the bones, occult bone lesions are occasionally detected during the evaluation of the overlying soft tissues. Therefore it is important to observe the bones and recognize abnormalities when they are present.

Sonography can be a valuable aid in detecting occult fractures. Nondisplaced fractures can be difficult to detect radiologically, especially in the acute period. On sonography, the area that is painful can be imaged precisely and disruptions in the surface of the bone can be readily identified ( Fig. 11-29A ). Over time, callus will form and the surface of the bone will expand and become irregular (see Fig. 11-29B ). Pathological fractures can usually be distinguished from benign fractures by detecting bone destruction and an associated soft-tissue mass (see Fig. 11-29C ). Other uses of sonography in bone disease are the detection of erosions in patients with erosive arthritis ( Fig. 11-30 ), detection of subperiosteal abscess in osteomyelitis, and guidance of percutaneous biopsies and aspirations in patients with suspected metastases and abscesses.

F igure 11-29, Bone fractures in different patients. A, Longitudinal view of a rib (arrowheads) shows an acute fracture as a discrete area of cortical step off (arrow) . B, Longitudinal view of a rib (arrowheads) shows an area of cortical disruption with new bone formation secondary to callus (arrow) . C, Longitudinal view of a rib (arrowheads) shows a broad area of cortical disruption with bone destruction and a soft-tissue mass extending into the chest wall (arrows) . This is a pathologic fracture due to bony metastasis.

F igure 11-30, Bone erosion. Longitudinal view of the metacarpal phalangeal joint (arrow) of the index finger shows an erosion (asterisk) of the metacarpal head.

You're Reading a Preview

Become a Clinical Tree membership for Full access and enjoy Unlimited articles

Become membership

If you are a member. Log in here