General Abdomen


Bowel

Sonography is not routinely used as a primary tool for evaluation of the bowel. Nevertheless, there are many patients with nonspecific bowel-related complaints who are initially scanned with ultrasound, and in these patients attention to the intestinal structures can often identify the abnormality and direct the workup in the appropriate direction. Therefore a quick survey of the bowel is a useful undertaking in patients undergoing abdominal sonography. When necessary, sono­graphy can be performed following ingestion of water to improve evaluation of the stomach and proximal small bowel. Retrograde infusion of water can also be used to distend the colon (hydrocolonic sonography) and evaluate colonic lesions.

The normal bowel has five layers that can be seen sonographically. The inner hyperechoic layer arises from the interface reflection between the lumen and the surface of the mucosa. The second layer is hypoechoic and arises from the combined mucosa and the muscularis mucosa. The third layer is hyperechoic and arises from the submucosa. The fourth layer is hypoechoic and arises from the muscularis propria. The final outer layer is hyperechoic and arises from the interface reflection between the muscularis propria and the serosa or adventitia (plus peri-intestinal fat). These five layers are routinely seen on endoscopic ultrasound and are intermittently seen on transcutaneous scans ( Table 9-1 and Fig. 9-1 ). On many transabdominal scans when the lumen is collapsed, the mucosa, the muscularis mucosa, and the submucosa cannot be distinguished into separate layers. This produces a central echogenic region that is surrounded by the hypoechoic muscularis propria, resulting in the typical bull's-eye appearance ( Fig. 9-2 ). In other cases the mucosa and the muscularis mucosa combine to form a central hypoechoic region, followed by the hyperechoic submucosa and then the hypoechoic muscularis propria ( Fig. 9-3 ). The normal intestinal wall should be less than 5 mm in thickness.

T able 9-1
Layers of Bowel Seen on High-Resolution Sonography
Layer Echogenicity
Mucosal interface Echogenic
Deep mucosa and muscularis mucosa Hypoechoic
Submucosa Echogenic
Muscularis propria Hypoechoic
Serosa interface Echogenic

F igure 9-1, Normal bowel layers. Long axis views of the stomach with the lumen filled with water (A) and with the lumen collapsed (B) show the following: 1, The interface from the mucosal surface is hyperechoic. 2, The deep mucosa and muscularis mucosa are hypoechoic. 3, The submucosa is hyperechoic. 4, The muscularis propria is hypoechoic. 5, The interface between the muscularis propria and the serosa is hyperechoic. Note that the same layers labeled on one wall of the antrum are repeated on the opposite wall.

F igure 9-2, Normal colon. Transverse view of the colon shows the typical bull's-eye appearance of collapsed bowel (arrows) .

F igure 9-3, Normal stomach. A, Transverse view of the collapsed stomach shows the combined mucosa and muscularis mucosa as a hypoechoic central region surrounded by the echogenic submucosa and the hypoechoic muscularis propria. B, Similar view in the distended state shows all five layers.

One of the most common intestinal abnormalities seen on sonography is intestinal obstruction. Distended, fluid-filled, peristalsing loops are the hallmark of bowel obstruction ( Fig. 9-4 and ). In many cases, the gas-filled loops located in the nondependent anterior abdomen will obscure these findings. This pitfall can be avoided by scanning in the lateral flanks where dependent fluid-filled loops are located. When a bowel obstruction is detected, a search for the cause should be performed. Hernias, intrinsic bowel wall lesions, abdominal masses, and abdominal fluid collections can all be detected with sonography.

F igure 9-4, Small bowel obstruction. Static view of the left upper quadrant shows a dilated fluid-filled loop of small bowel (cursors) measuring greater than 3 cm in diameter. An adjacent fluid collection is seen. Video 9-1 shows ineffective peristalsis in the obstructed loop.

Colon cancer is the most common intestinal malignancy visualized with sonography. Cancers of the colon typically produce focal, irregular thickening of the wall that is circumferential and may be either symmetric or asymmetric ( Fig. 9-5 ). Colon cancer can easily be detected by scanning the colon in short axis, progressing from the normal proximal segment, into the abnormal segment, and then into the normal distal segment ( e-Fig. 9-1 and ). Gastric cancers are also visible sonographically as a focal thickening. They are easiest to detect in the antrum and body ( Fig. 9-6 ). Small bowel cancers are much less common and are difficult to visualize sonographically.

F igure 9-5, Colon cancer. Longitudinal view shows focal concentric thickening of the colon (arrows) due to colon cancer. The lumen is strictured and lacks gas in the abnormal region but shadowing intraluminal gas is present in the preserved colonic lumen (L) proximal and distal to the cancer.

F igure 9-6, Gastric cancer in different patients. Longitudinal view of the gastric antrum before drinking water (A) and after drinking water (B) shows eccentric thickening along the lesser curvature (cursors) . Dirty shadowing (S) is identified arising from air in the lumen of the stomach in the collapsed state. Drinking water distends the lumen (L) and produces effacement of the greater curvature with persistent focal thickening of the lesser curvature. Longitudinal views of the body of the stomach (C) and antrum of the stomach (D) show marked concentric thickening of the body (cursors) compared with the normal thickness of the wall in the antrum (cursors) .

e -F igure 9-1, Colon cancer. A, Longitudinal view shows focal concentric thickening of the colon (arrows) due to colon cancer. The lumen is strictured and lacks gas in the abnormal region but shadowing intraluminal gas is present in the preserved colonic lumen (L) proximal and distal to a colon cancer. B, Coronal CT scan shows similar findings. Video 9-2 in the transverse view shows the cancer as a focal wall thickening and an obliterated lumen in the middle of the video contrasted to normal proximal and distal colon with preserved lumen containing gas at the beginning and end of the video.

Lymphoma tends to cause wall thickening that is concentric and involves long segments of the bowel ( Fig. 9-7 ). Although focal masses occur, they are less common. A characteristic of lymphoma is marked thickening of the small bowel with maintenance of a normal or dilated lumen. This is referred to as aneurysmal dilatation ( e-Fig. 9-2 and ).

F igure 9-7, Small bowel lymphoma in different patients. A, Longitudinal view shows a focal, hypoechoic, solid mass (cursors) along the mesenteric wall of the small bowel. Gas in the lumen (arrows) obscures most of the adjacent mesenteric wall of the bowel. The antimesenteric wall of the bowel (arrowheads) is thickened, as are the small bowel folds. B, Short axis view shows marked concentric thickening of the small bowel wall (cursors) . Gas in the lumen (arrow) produces a dirty acoustic shadow (S).

e -F igure 9-2, Small bowel lymphoma producing aneurysmal dilatation. A, Longitudinal sonogram in the suprapubic region shows marked heterogeneous thickening of the small bowel (cursors) with readily detectable blood flow. Gas is seen in a noncollapsed lumen (L). Longitudinal Video 9-3 in the same area shows the full extent of the abnormality and better shows areas of dirty shadowing from gas in the noncollapsed lumen. B, CT scan confirms marked thickening of the small bowel wall (cursors) and gas and contrast in the aneurysmally dilated lumen (L).

Gastrointestinal stromal tumors (GISTs) are submucosal lesions that tend to grow in an exophytic manner. In some cases, particularly large masses, GISTs appear as masses that lack a clear organ of origin. Large lesions often have central necrosis and calcification ( Fig. 9-8A and B ). In some cases the continuity with the bowel can be established (see Fig. 9-8C to F ). Rarely, the submucosal origin of the lesion is visible sonographically ( e-Fig. 9-3 and ).

F igure 9-8, Gastrointestinal stromal tumors in different patients. A, Transverse view of the mid abdomen shows a hypoechoic mass (cursors) with central areas of liquefaction consistent with necrosis. B, Longitudinal view of the lower abdomen shows a complex mass (cursors) with a large area of central liquefaction. A small faintly shadowing calcification (arrow) is also identified. C, View of the fluid-filled stomach (S) shows a hypoechoic, solid mass (cursors) arising from the posterior gastric wall. D, Transverse view of the fluid-filled stomach (S) shows a lobulated solid mass (cursors) with a small intraluminal component and a larger exophytic component. Longitudinal sonogram (E) and endoscopic (F) views of the stomach show a solid, hypoechoic mass (cursors) arising from the collapsed stomach (S). The retroflexed endoscopic view shows the submucosal portion of the mass (cursors) adjacent to the endoscope (E).

e -F igure 9-3, Gastrointestinal stromal tumor with CT correlation. A, Transverse sonogram shows a solid, hypoechoic mass (cursors) partially compressing the gastric lumen (L). The mass is continuous with the hypoechoic muscularis propria (arrowhead) . Video 9-4 shows that the mass is clearly arising from the muscularis propria. B, Oblique CT scan confirms a mass (cursors) that is intimately related to the stomach with a component that extends into the lumen and a larger extraluminal component.

Polypoid lesions of the bowel are generally not seen on sonography. The exceptions occur in patients who are thin or when the polyp is large or echogenic such as with lipomas ( Fig. 9-9 ) ( e-Fig. 9-4 and and ). Determination of the etiology of polypoid lesions usually depends on a combination of imaging features and clinical factors. Ultimately, most require tissue sampling for definitive diagnosis.

F igure 9-9, Gastric lipoma. A, Longitudinal sonogram shows a hyperechoic lesion (arrow) projecting into the lumen of the stomach. B, CT scan shows a gastric lesion (arrow) with attenuation equivalent to fat.

e -F igure 9-4, Small bowel polyp. Transverse (A), longitudinal gray-scale (B), and color Doppler (C) views show a solid, hypoechoic mass (cursors) with detectable internal vascularity. Videos 9-5A (transverse) and 9-5B (longitudinal) show the solid hypoechoic polyp as the small bowel peristalses.

A wide variety of disorders can cause bowel wall thickening ( Box 9-1 ). Inflammatory thickening of the intestines is generally diffuse and concentric ( Fig. 9-10 ). Commonly encountered causes include diverticulitis, Crohn's disease, ischemia, colitis caused by Clostridium difficile , and ulcerative colitis. Although the sonographic findings are typically nonspecific, the combination of sonographic findings and clinical parameters is often sufficient to suggest the diagnosis. Sonography has assumed an important role in the evaluation of patients with Crohn's disease in many parts of the world. A combination of gray-scale findings in the small bowel wall and Doppler evaluation of vascularity can monitor the disease effectively ( Fig. 9-11 ). Increased use of ultrasound can reduce the radiation exposure associated with computed tomography (CT) and the costs associated with magnetic resonance imaging (MRI). Evaluation of the peri-intestinal structures for extraluminal abscess is important, especially in patients with Crohn's disease and diverticulitis ( Fig. 9-12 ).

B ox 9-1
Common Causes of Bowel Wall Thickening

  • Inflammation

  • Infection

  • Neoplasm

  • Ischemia

  • Edema

  • Hemorrhage

F igure 9-10, Colitis in different patients. Transverse (A) and longitudinal (B) views of the left colon show diffuse concentric thickening. Longitudinal sonogram (C) and abdominal radiograph (D) show diffuse thickening of the transverse colon on sonography and thumbprinting (arrows) on the radiograph. Both of these cases were due to colitis caused by Clostridium difficile .

F igure 9-11, Crohn's disease in different patients. Transverse sonogram (A) and CT scan (B) show concentric thickening of the distal ileum (cursors) . Color Doppler image (C) and CT scan ( D) show diffuse thickening of the distal ileum (cursors) and increased vascularity and mucosal enhancement.

F igure 9-12, Peri-intestinal abscess. A, Short axis view of a small bowel loop (cursors) shows concentric thickening of the small bowel with an adjacent irregular fluid collection due to an abscess (A) in a patient with Crohn's disease. B, Short axis view of the sigmoid colon (S) shows concentric colonic wall thickening with extraluminal inflammatory changes and fluid (asterisks) in a patient with diverticulitis. The urinary bladder (B) is seen at the edge of the image.

Another condition that can produce bowel thickening is an intussusception. A close inspection will reveal multiple alternating hyperechoic and hypoechoic layers due to the presence of three overlapping mucosal and muscular layers of the intussuscipiens (distal segment) and the intussusceptum (proximal segment) ( Fig. 9-13 and ). Inability to detect blood flow in the intussusception increases the likelihood of necrosis and predicts the need for surgery. Detection of blood flow is reassuring. In adults, approximately 90% of the cases are associated with a lead mass of some sort (e.g., polyp, lipoma, stromal tumor, lymphoma, metastasis, cancer). Other causes in adults include Meckel's diverticulum and sprue. With the increased use of CT and ultrasound, transient, idiopathic adult intussusceptions are being diagnosed more often. In children, intussusceptions are usually idiopathic.

F igure 9-13, Intussusception in different patients. A, Short axis view of a loop of the small bowel shows multiple concentric rings of increased and decreased echogenicity and thickening of the outer small bowel layer typical of an intussusception. B, Longitudinal static view shows a focally thickened small bowel loop (cursors) with multiple layers. The leading edge of the intussusceptum is seen (arrows) . Video 9-6 shows the intussusception during active peristalsis.

Bowel wall pneumatosis is rarely seen sonographically. Nevertheless, because it can indicate bowel ischemia, it is important to recognize when encountered. The hallmark of bowel wall pneumatosis on sonography is the presence of echogenic reflectors that indicate gas in the dependent wall of the bowel ( e-Fig. 9-5 and ). As elsewhere, ring-down artifacts will sometimes be present and confirm that the reflections are coming from gas.

e -F igure 9-5, Small bowel pneumatosis. A, Short axis view of a normal segment of the small bowel shows echogenic shadowing intraluminal contents (arrows) but a normal wall. B, Similar view of an adjacent segment of the small bowel shows bright reflectors in both nondependent and dependent walls (arrows) . Video 9-7 of the liver shows portal vein gas as mobile intraluminal bubbles and patches of increased echogenicity in the liver. C, CT scans confirm small bowel pneumatosis (arrows) .

Appendicitis is a common cause of acute abdominal pain and is the most common condition requiring urgent abdominal surgery. CT is the primary imaging modality used to image patients with suspected appendicitis, with sensitivity and specificity of approximately 90%. Sonography has sensitivity and specificity of approximately 80%. Sonography is used as the primary test in children and pregnant women to avoid radiation exposure, and in young women because of the frequency of gynecologic causes of pain. To be successful, a high-resolution probe (usually a linear array or occasionally a curved array operating at 5 MHz or higher) should be used. Graded compression is important to get as close to the appendix as possible. Graded compression also pushes bowel gas out of the way and makes it possible to determine whether the appendix compresses. It is helpful to have the patient localize the region of pain. In many cases the patient can point to a specific area of pain and this usually corresponds closely to the site of the abnormal appendix. The primary criterion for the diagnosis of appendicitis is an appendiceal diameter greater than 6 mm ( Fig. 9-14A ). In some patients an intraluminal appendicolith can be detected (see Fig. 9-14B ). Other associated findings ( Box 9-2 ) are inflamed, echogenic periappendiceal fat ( Fig. 9-15A ); loculated periappendiceal fluid collections; and hyperemia on color Doppler (see Fig. 9-15B and ). Localized appendicitis isolated to the tip of the appendix can occur, and therefore it is important to follow the appendix to its blunt tip whenever possible ( Fig. 9-16 ). In women, transvaginal scans can supplement transabdominal scans for visualization of deep pelvic appendicitis ( Fig. 9-17 and ). In some cases differentiating the appendix from loops of ileum can be problematic. The appendix should be blind ending and noncompressible, and peristalsis should be absent or very minimal ( and ). It is important to realize that the normal appendix can be seen only by experienced sonographers, and usually only in thin patients ( Fig. 9-18 ). It is not necessary to see a normal appendix to exclude appendicitis.

F igure 9-14, Appendicitis in different patients. A, Long axis view of the appendix shows wall thickening with an appendiceal diameter of 9.0 mm. B, Long axis view of the appendix (cursors) shows increased diameter as well as an echogenic shadowing appendicolith (arrow) .

B ox 9-2
Sonographic Signs of Appendicitis

  • Diameter > 6 mm

  • Lack of compressibility

  • Inflamed, echogenic periappendiceal fat

  • Hyperemia

  • Appendicolith

  • Adjacent fluid collections

F igure 9-15, Appendicitis. Short axis gray-scale (A) and power Doppler (B) views show a thick, hyperemic appendix with echogenic periappendiceal fat. Video 9-8 shows the full extent of the appendix. The appendix is seen arising from the cecum and extending over the psoas muscle toward the iliac vessels. A normal loop of the distal ileum passes over the appendix.

F igure 9-16, Tip appendicitis. A, CT scan shows a normal diameter appendix with an enhancing wall. B, Long axis view of the base of the appendix shows a normal diameter of 5.6 mm. A shadowing appendicolith (arrow) is present. C, Short axis view of the tip of the appendix shows mild thickening with a diameter of 6.5 mm. D, Color Doppler view of the tip of the appendix shows intense hyperemia.

F igure 9-17, Appendicitis seen on a transvaginal scan. A, Short axis view of the right adnexal region shows a thickened, hyperemic appendix. The right ovary and an ovarian follicle (asterisk) are partially visualized. B, Color Doppler shows appendiceal hyperemia. Video 9-9 shows the appendix up to its blunt tip. The normal right ovary is seen adjacent to the ovary.

F igure 9-18, Normal appendix. Longitudinal view shows a normal appendix (cursors) measuring 5 mm arising from the cecum (C).

Peritoneum

The most common abnormality of the peritoneal cavity is ascites. In addition to transudates and exudates, other less common considerations include urine, blood, pus, cerebrospinal fluid (related to shunts), peritoneal dialysis, and chyle. Sonography is quite sensitive at detecting ascites as well as guiding aspiration of ascites. Small amounts of ascites are seen as anechoic collections most often in the pelvic cul-de-sac and in the right upper quadrant between the liver and the abdominal wall or in the hepatorenal fossa (Morison's pouch) ( Fig. 9-19A and B ). Larger amounts of ascites will distribute throughout the peritoneal cavity. Uncomplicated ascites lacks internal echoes and although it may displace adjacent structures, ascites does not cause significant distortion of adjacent structures (see Fig. 9-19C ). Ascites due to blood (hemoperitoneum) has internal echoes and may appear solid initially (see Fig. 9-19D and E ). Over time the echogenicity of a hemoperitoneum decreases. In the proper clinical setting, mobile echoes within ascitic fluid are consistent with blood (see Fig. 9-19D ). However, low-level echoes do not necessarily indicate blood. Ascites can loculate into collections that have multiple septations and compress and distort adjacent structures (see Fig. 9-19F ).

F igure 9-19, Ascites. A, Longitudinal view shows a trace amount of ascites (asterisk) in the hepatorenal fossa. B, Oblique view shows a trace amount of ascites (asterisk) between a cirrhotic liver and the abdominal wall. C, Transverse view shows anechoic ascites (asterisks) floating around loops of the small bowel (B) and small bowel mesentery (arrowheads) without compression or distortion of these structures. D, Longitudinal view shows complex ascites (asterisks) with diffuse low-level echoes in the perihepatic space. This is the typical appearance of hemorrhagic fluid. E , Longitudinal view shows echogenic fluid (asterisk) in the hepatorenal fossa several minutes following a liver biopsy. This is typical of acute hemoperitoneum. F, Transverse view of the right lower quadrant shows a complex multiseptated collection of ascites (asterisks) between the abdominal wall and compressed loops of the bowel (B).

One evolving use of ultrasound is in patients with blunt abdominal trauma. The major role of ultrasound is to identify a hemoperitoneum as a secondary sign of injury to an intra-abdominal organ ( Fig. 9-20 ). In trained hands, sonography is very effective in identifying a hemoperitoneum. Unfortunately, sonography is less effective in identifying the injured organ. Contrast-enhanced CT is substantially more sensitive in detecting organ injury and is just as sensitive at detecting hemoperitoneum. Therefore the use of ultrasound in a trauma patient is controversial. In the unusual situation when CT is not readily available or when the patient is too unstable to leave the trauma room, sonography is a valuable tool that can replace the diagnostic peritoneal lavage as a means of detecting hemoperitoneum. It can also be used as a means of serially following patients who have a normal examination or have nonsurgical abnormalities detected at initial imaging.

F igure 9-20, Hemoperitoneum secondary to blunt abdominal trauma. Longitudinal view of the left upper quadrant shows the spleen (S) and peritoneal fluid in the perisplenic space (asterisks) . In the setting of trauma, this is assumed to represent a hemoperitoneum and predicts the presence of visceral injury.

Many primary tumors can metastasize to the peritoneum, but the most common are gynecologic, gastrointestinal, pancreatic, bronchogenic, and breast tumors. Peritoneal metastases are often very small and are not detectable by any imaging technique. When lesions reach 1 cm in size, they can more reliably be detected with sonography and CT. On sonography, they typically appear as hypoechoic solid or complex nodules immediately deep to the abdominal wall ( Fig. 9-21A to C ). They can be distinguished from the adjacent loops of bowel by noting that they are spherical and do not communicate with other loops of bowel. Because they are typically superficial, high-resolution linear arrays or curved arrays can be used and focused at a level just below the deep abdominal fascia. Ascites is often present in patients with peritoneal metastases and can highlight the lesions as soft-tissue nodules or sheets of soft tissue lining the peritoneal surfaces (see Fig. 9-21D to G ) ( , , and ). As with other neoplastic processes, they usually have detectable blood flow and may be hypervascular (see Fig. 9-21H and I ). An unusual type of peritoneal implant is pseudomyxoma peritonei. This consists of mucinous implants and gelatinous peritoneal fluid arising from mucinous tumors of the ovary, gastrointestinal tract (especially the appendix), or rarely other sites. The appearance of pseudomyxoma peritonei is variable, ranging from loculated, anechoic fluid collections that exert mass effect on adjacent structures to septated collections with or without internal echoes to more echogenic masses that move like a gel ( Fig. 9-22 , e-Fig. 9-6 and ). Mesothelioma, a rare primary malignancy of the peritoneum, can closely mimic peritoneal carcinomatosis ( Fig. 9-23 ), as can tuberculous peritonitis. Splenosis is also a cause of solid peritoneal masses that can simulate peritoneal metastases. They are more homogeneous than most metastatic lesions but are otherwise indistinguishable ( Fig. 9-24 ). They have been described in more detail in Chapter 8 . Box 9-3 lists the common causes of peritoneal masses.

F igure 9-21, Peritoneal metastases in different patients. A, Longitudinal view of the anterior abdomen shows a solid, hypoechoic 8-mm mass (cursors) in the peritoneal cavity immediately deep to the rectus muscle (R). This is the typical appearance of a small peritoneal metastasis. The primary was small bowel sarcoma. B, View of the right upper quadrant shows a solid, hypoechoic mass (cursors) between the liver (L) and the abdominal wall. The primary was ovarian cancer. C, View of the pelvis shows a complex solid and cystic mass (cursors) with internal cystic components. The primary was ovarian cancer. D, Longitudinal view of the perihepatic space shows two adjacent solid masses (cursors) implanted on the parietal peritoneum surrounded by ascites. The liver (L) is seen deep to the mass. The primary was ovarian cancer. Transverse sonogram of the left lower quadrant (E) and CT scan (F) show diffuse thickening of the parietal peritoneum (cursors) . The primary was a rhabdomyosarcoma of the foot. G, Oblique view of the right upper quadrant shows a sheet of soft tissue studding the hepatorenal fossa (arrows) . The primary was uterine carcinosarcoma. H, Longitudinal power Doppler transvaginal view of the cul-de-sac shows several solid peritoneal implants (cursors) . The primary was ovarian cancer. I, Power Doppler view of the right upper quadrant shows marked hyperemia of a metastatic implant on the parietal peritoneum. The primary was ovarian cancer.

F igure 9-22, Pseudomyxoma peritonei. Transverse scan shows mottled solid material (asterisks) surrounding the liver (L) as well as several more echogenic implants on the peritoneum (arrows) . Video 9-12 of the same area shows motion of the semisolid material, suggesting a gelatinous composition. View of the connecting tube (see e-Fig. 9-6 ) used to aspirate the peritoneal material shows multiple mucoid globules within the fluid.

F igure 9-23, Mesothelioma in different patients. A, View of the right flank abdominal wall shows a small, solid peritoneal nodule (cursors) . Larger nodules were seen elsewhere. B, Transverse color Doppler view shows a large sheet of solid, hypoechoic, hypervascular tissue (cursors) between the abdominal wall and the liver (L). C, Transverse view shows a solid, hyperechoic peritoneal mass (cursors) between the liver (L) and the kidney (K).

F igure 9-24, Splenosis. Gray-scale (A) and power Doppler (B) views of the right lower quadrant show a well-defined, hypoechoic, solid nodule with readily detectable blood flow.

B ox 9-3
Causes of Peritoneal Masses

  • Metastases

  • Tuberculosis

  • Mesothelioma

  • Pseudomyxoma peritonei

  • Omental infarct

  • Splenosis

e -F igure 9-6, Pseudomyxoma peritonei. View of the connecting tube used to aspirate the peritoneal material shows multiple mucoid globules within the fluid. See Fig. 9-22 for a transverse scan showing a mottled solid material surrounding the liver as well as several more echogenic implants on the peritoneum. See also Video 9-12 of the same area showing motion of the semisolid material, suggesting a gelatinous composition.

Omental metastases may appear as discrete focal lesions that are masslike or may be broad and flat ( Fig. 9-25A and B ). More extensive thickening of the omentum is often called omental caking. Soft-tissue replacement of the omentum is generally hypoechoic (see Fig. 9-25C and D ). Infiltration without complete soft-tissue replacement may appear hyperechoic and will often produce marked attenuation of sound (see Fig. 9-25E and F ). The platelike shape of the omentum, its location anterior to the bowel, its lack of peristalsis, and its lack of bowel wall morphology are all features that distinguish the omentum from the bowel ( ). An uncommon cause of a peritoneal mass that can present as an acute abdomen is segmental infarction of the omentum. This is most common in men and most often occurs on the right side. Edematous infiltration of the omentum results in an echogenic mass that may produce marked sound attenuation ( Fig. 9-26 ). This abnormality can be easily overlooked if one is not familiar with its subtle appearance.

F igure 9-25, Omental metastases in different patients. A, Transverse view shows a small, solid, round, omental lesion (cursors) in the periumbilical region. B, Longitudinal panoramic view shows a solid, flat, ovoid omental mass. Transverse panoramic sonogram (C) and CT scan (D) show diffuse soft-tissue replacement and thickening of the omentum (cursors) . The relative location of the omentum anterior to the bowel (B) is well demonstrated. Transverse sonogram (E) and CT scan (F) show soft-tissue infiltration of the omentum (cursors) without complete replacement. This pattern of involvement produces an echogenic omentum. Marked sound attenuation is also common and can lead to poor visualization of posterior structures, as seen in this case.

F igure 9-26, Omental infarct. Transverse panoramic scan of the upper abdomen directly over the patient's site of pain shows a very hyperechoic region of omental thickening (arrows) immediately deep to the rectus muscle (R).

Although sonography is not typically used to evaluate a suspected pneumoperitoneum, the diagnosis can be made sonographically. Free air appears as bright reflectors, usually with dirty shadowing and/or ring-down artifacts, located along the nondependent aspect of the peritoneal cavity. The reflections are positioned immediately adjacent to the deep abdominal fascia. They will move to the nondependent portion of the abdomen when the patient changes position and can typically be seen between the liver and the abdominal wall when the patient is in the left lateral decubitus position ( Fig. 9-27 and ).

F igure 9-27, Pneumoperitoneum. Longitudinal view of the right upper quadrant shows bright reflectors (white arrowheads) between the liver and the diaphragm (black arrowheads). Dirty shadows typical of air are seen posteriorly. Aerated lung is seen superiorly (arrow) . Video of the same area (see Video 9-14 ) shows similar findings, but it is easier to appreciate that the lung is above and the free air is below the thin layer of diaphragm.

Abdominal Wall

Because it is superficial, high-resolution probes can be used to evaluate the abdominal wall. In some situations it can be difficult to determine whether deep abdominal wall lesions are within the peritoneal cavity or within the abdominal wall. One useful maneuver is to scan in the longitudinal plane and ask the patient to take deep breaths. The respiratory motion of the intra-abdominal structures (bowel, omentum, and mesentery) will help to identify the deep abdominal fascia and confirm that abdominal wall lesions are superficial to this layer ( ).

Masses of the abdominal wall can arise from a number of etiologies ( Box 9-4 ). Rectus sheath hematomas are one of the more common causes of a palpable or a painful abdominal wall mass. They are most often spontaneous secondary to anticoagulation. They may also result from direct trauma or forceful contraction of the rectus muscles, or may occur following surgery. The bleeding may involve the rectus muscle, the rectus sheath, or both. Above the arcuate line, the hematomas are unilateral. Below the arcuate line, they can cross the midline and involve both rectus muscles. They usually appear as complex collections with solid and liquefied areas ( Fig. 9-28 ). Because they are contained in the muscle or the rectus sheath, they usually are lenticular. When rectus sheath hematomas dissect inferior into the suprapubic region, they can enter the prevesical space, assume a more spherical shape, and exert significant mass effect on the bladder.

B ox 9-4
Causes of Abdominal Wall Masses

  • Metastases

  • Lipoma

  • Hernia

  • Hematoma

  • Abscess

  • Seroma

  • Desmoid

  • Endometriosis

  • Sarcoma

  • Lymphoma

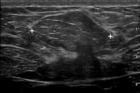
F igure 9-28, Rectus hematoma. Transverse panoramic scan of the abdominal wall shows an elliptical, solid appearing lesion (cursors) in the expected location of the rectus muscle. This solid appearance is consistent with a relatively acute hematoma.

The most common abdominal wall neoplasm is metastatic disease. The two most common primary malignancies are lung and melanoma. Metastases can occur in the muscles, in the subcutaneous tissues, or rarely at the site of surgery or percutaneous needle tracts. Metastases usually appear as hypoechoic, solid masses or complex solid and cystic masses ( Fig. 9-29 ). Calcifications can occur but are uncommon.

F igure 9-29, Abdominal wall metastases in different patients. A, Transverse view of the right lower quadrant shows two solid, hypoechoic masses (cursors) within the abdominal musculature in this patient with metastatic bronchogenic carcinoma. B, View of the right lower quadrant shows a hypoechoic, solid, ovoid mass (cursors) in the abdominal musculature in this patient with metastatic ovarian cancer. C, Transverse view of the lower abdomen shows a solid, hypoechoic mass (cursors) in the abdominal wall at the site of a prior surgical incision in a patient with metastatic colon cancer. D, Color Doppler view of the left lower quadrant shows a solid, heterogeneous, ovoid mass (cursors) in the musculature with detectable vascularity. Several bright areas with slight shadowing indicate calcification in this patient with metastatic ovarian cancer.

Abdominal wall lymphoma and other lymphoproliferative masses can closely mimic metastatic disease. They can localize in the subcutaneous fat or the abdominal wall musculature. Cystic components are very uncommon, but despite being solid, portions of the tumor can appear anechoic and simulate cystic components ( Fig. 9-30 ). Lymphoma can be very vascular.

F igure 9-30, Abdominal wall lymphoproliferative masses in different patients. A, Color Doppler view shows a solid, hypoechoic, slightly lobulated mass (cursors) in the subcutaneous tissues. There is minimal detectable vascularity. Diagnosis was lymphoma. B, Gray-scale panoramic view shows a solid, multilobulated hypoechoic mass in the abdominal wall musculature (cursors) . Diagnosis was plasmacytoma. C, Gray-scale view shows a mixed hyperechoic and anechoic mass (cursors) that simulates a complex fluid collection. Core-needle biopsy yielded solid tissue shown to be a plasmacytoma. D, Color Doppler view shows intense hypervascularity in a solid, heterogeneous mass. Diagnosis was lymphoma.

Desmoid tumors are rare fibromatous lesions that do not metastasize but can be locally invasive and can recur locally following surgery. They can be sporadic or associated with familial adenomatous polyposis or Gardner syndrome. They arise in the abdominal wall musculature or fascia, but unlike metastases or lymphoma they are not centered in the subcutaneous fat. They are solid, hypoechoic tumors with detectable vascularity ( Fig. 9-31 ). The margins are often infiltrative.

F igure 9-31, Abdominal wall desmoid tumors (cursors) in different patients. A, Panoramic gray-scale view shows a solid, infiltrative, hypoechoic mass in the abdominal wall musculature. B, Color Doppler view shows a relatively well-defined solid, hypoechoic mass with hypervascularity.

The most common extrauterine/extraovarian site for endometriosis is the abdominal wall, occurring most often in the scars following cesarean sections. Scar endometriomas may be entirely solid or have cystic elements. The margins can be well-defined, lobulated, or infiltrative. Blood flow may or may not be detected ( Fig. 9-32 ). It is important to realize that scar endometriomas do not have the characteristic diffuse, homogeneous, low-level echoes seen with pelvic endometriomas. Given a lack of characteristic sonographic features for abdominal wall endometriomas, a high index of suspicion should exist whenever a lower abdominal wall mass is encountered in a woman. Ultrasound-guided biopsies are usually diagnostic.

F igure 9-32, Abdominal wall endometriomas in different patients. A, Longitudinal color Doppler view shows a solid, hypoechoic mass (cursors) with no detectable vascularity. B, Transverse color Doppler view shows a solid, hypoechoic mass (cursors) with readily detectable vascularity. C, Gray-scale view shows a large, lobulated, heterogeneous mass (cursors). D, Gray-scale view shows a solid and cystic mass (cursors) with infiltrative margins. Needle biopsies confirmed endometriosis in all of these patients.

Abdominal hernias occur in areas where the abdominal wall is weak, either naturally weak (i.e., inguinal) or due to surgery (i.e., incisional). Up to 50% of men will develop a hernia during their lives. Many hernias can be diagnosed and treated without imaging of any kind. When imaging is necessary, sonography can provide the information necessary for management in the majority of individuals. Incisional hernias are seen as a fascial defect with the bowel ( Fig. 9-33 and and ), fat ( Fig. 9-34 and ), ascites, or a combination of structures ( Fig. 9-35 and ) protruding through the defect. Hernias that contain only fat or fluid may be difficult to distinguish from lipomas or fluid collections. Compression using probe pressure and scanning when the patient performs a Valsalva maneuver can in most cases distinguish these possibilities by confirming that the mass communicates with intra-abdominal contents (see , , , and ). Inguinal hernias originate at the internal inguinal ring, which is immediately adjacent to the inferior epigastric artery. The inferior epigastric artery can be identified in almost all patients as it travels deep to the rectus muscle. When in doubt, the inferior epigastric artery can be followed from its origin off the distal external iliac artery. Direct inguinal hernias arise inferior and medial to the inferior epigastric artery, whereas indirect inguinal hernias arise superior and lateral and travel anterior to the artery. Dynamic maneuvers such as Valsalva and compression with the transducer should be used not only to confirm the presence of a hernia but also to determine whether a hernia is incarcerated or reducible ( Fig. 9-36 , ). Mesh plugs used to repair some hernias produce an inflammatory mass. This mass appears as a low-attenuation solid lesion on CT and is often 18-fluorodeoxyglucose avid on positron emission tomography scans, thus simulating metastatic disease. On sonography, mesh plugs appear as densely shadowing lesions ( e-Fig. 9-7 ).

F igure 9-33, Ventral hernia-containing bowel. Transverse panoramic view shows multiple loops of the bowel (cursors) herniating through an abdominal wall defect. Ascites (A) is also seen in the hernia sac. Video at rest (see Video 9-16A ) shows bowel peristalsis. Video with transducer compression (see Video 9-16B ) shows partial reduction of the hernia.

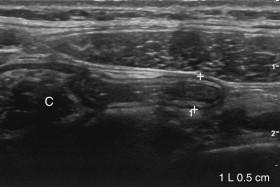
F igure 9-34, Periumbilical hernia containing fat. Longitudinal view shows a solid mass (cursors) that is isoechoic to the subcutaneous fat. The appearance is very similar to a lipoma. Video of the same area (see Video 9-17 ) during transducer compression shows partial reduction of the fat-containing hernia through a small fascial defect.

F igure 9-35, Fluid- and fat-containing hernia. Longitudinal view shows a fluid-filled hernia sac (cursors) communicating with ascites in the abdominal cavity through a small defect. Video of the same area (see Video 9-18 ) during transducer compression shows fluid and fat passing in and out of the hernia sac.

F igure 9-36, Inguinal hernia. Dual longitudinal views of the inguinal canal obtained at rest (left) and with compression (right). Note that at rest there is an elongated hypoechoic sac with a blunt end (arrows) . With compression of the inguinal region, the hernia sac was seen to migrate back into the abdominal cavity, leaving an empty inguinal canal.

e -F igure 9-7, Post-op hernia mesh repair. A, Positron emission tomography/CT (PET/CT) in a patient with cancer shows an 18-fluorodeoxyglucose avid, low-attenuation lesion in the right external iliac region. This was considered suspicious for metastatic disease and the patient was referred for ultrasound-guided biopsy. B, Transverse sonogram shows dense shadowing corresponding to the lesion seen on PET/CT. This is typical of a mesh plug repair of an inguinal hernia.

You're Reading a Preview

Become a Clinical Tree membership for Full access and enjoy Unlimited articles

Become membership

If you are a member. Log in here