Histological and Histochemical Changes


This chapter deals with the various changes that may occur in a muscle under pathological conditions. As we show, very few abnormalities are in themselves pathognomonic of a particular disease. However, by evaluating the constellation of different changes that are present within a given biopsy, and assessing these in the context of clinical features of the patient, one can often obtain a fairly accurate diagnosis.

To describe the abnormalities seen in various muscle diseases, a vocabulary of pathological changes is needed. These are the building blocks of muscle pathology. We try to define what we mean by various terms such as ‘internal nuclei’, ‘fibre splitting’ and ‘moth-eaten fibres’ and to assess their significance in relation to specific muscle pathology. It is also important to consider the tissue as a whole, including the nerves, spindles and blood vessels.

The various abnormalities are considered under the following headings:

  • Changes in fibre shape and size

  • Changes in fibre type patterns

  • Changes in sarcolemmal nuclei

  • Degeneration and regeneration

  • Fibrosis and adipose tissue

  • Cellular reactions

  • Changes in fibre architecture and structural abnormalities

  • Deficiencies of enzymes

  • Accumulation of glycogen or lipid

  • Accumulation of amyloid

  • Common artefacts in muscle biopsies.

Changes in Fibre Shape and Size

In normal muscle, fibres have a polygonal shape, but in pathological situations they may become rounded, as in muscular dystrophies ( Fig. 4.1 ), or very angulated, as may be seen in denervating disorders ( Fig. 4.2 ). However, shape may also be influenced by specimen preparation. The observer must also be aware of artefacts induced by poor handling of the specimen or problems with the staining procedures (see end of this chapter). Assessment of changes in fibre size is fundamental to interpretation, and this has a physiological as well as a pathological basis. Fibre size is regulated and influenced by innervation, signalling pathways, a number of growth factors such as hormones, insulin-like growth factor, myostatin and other members of the transforming growth factor family, and the amount of work the muscle is subjected to ( ). Fibres of some muscles (e.g. the diaphragm) are larger in size than other muscles. All of these aspects have a role in pathological assessment of muscle. Excessive load on a muscle induces an increase in fibre size (hypertrophy), while disuse causes a decrease in size (atrophy). Fibres will also atrophy when deprived of the trophic influence of their nerve and are controlled by two degradation pathways, the proteasomal and the autophagic–lysosomal pathway ( ). Longitudinal splitting and branching of fibres occur under certain pathological circumstances and also result in the appearance of small fibres in cross-section. It is more common when there is a significant degree of hypertrophy. Some small fibres in a biopsy may be regenerating and must be distinguished from atrophic fibres (see later).

Fig. 4.1, H&E stained section from a 9-year-old boy with Duchenne muscular dystrophy showing a wide range of fibre sizes, many of which have a round shape and are separated by excess endomysial connective tissue. Note also the increase in internal nuclei and a few slightly blue, basophilic fibres.

Fig. 4.2, A small cluster of atrophic fibres (size range 10–17 μm) surrounded by normal-sized fibres and hypertrophied fibres up to 135 μm in an adult male with motor neurone disease. Note the angular shape of some atrophic fibres (H&E).

The distribution of large and small fibres is one of the most important criteria for differentiating the myopathies, or so-called ‘primary’ disorders of muscle, from the neurogenic changes secondary to a denervating process. In myopathies the distribution of the enlarged and small fibres is random and diffuse, whereas in denervation, both occur in clusters or large groups.

It is usually possible to get an impression of the variability and change in fibre size by simple inspection of a biopsy under the microscope. At times the change may be quite clear cut and unequivocal, but this is not always the case and measurement of fibre diameter is then helpful. This may be done by a simple measurement of the diameter of the smallest and largest fibres with an eyepiece micrometer to establish the range of sizes, and if this is appropriate for the age and sex. A more detailed and accurate appraisal may be made by preparing a histogram of fibre diameters (see below) and comparing it with the data for the same normal muscle of similar sex and age. Software is available (e.g. Image J, Definiens Developer XD2.4.2) to automate and computerize the quantification of fibre sizes, based either on fibre diameter or fibre area in cross-section, but this is time consuming and sometimes requires a degree of manual involvement. As some workers find quantification assessment useful, we have retained aspects from previous editions in this section in relation to each fibre type. In practice we now rarely perform detailed studies and rely on measuring the range of fibre diameters within the whole sample. This will determine if the variability of fibre sizes is appropriate for age and will ensure that a pathological process that uniformly affects all fibres does not give a misleading impression.

Atrophy and Hypertrophy

A common occurrence is atrophy of only some of the fibres in a biopsy, either singly or in small clusters. When this occurs, the small fibres are usually obvious in comparison to the remaining large fibres. This small group atrophy is characteristic, but not diagnostic, of denervation (see Fig. 4.2 ), and in some neurogenic disorders there is large group atrophy ( Fig. 4.3 ). This is accompanied by diffuse hypertrophy (see Fig. 4.2 ) or group hypertrophy (see Fig. 4.3 ). It should be noted that splitting of a larger fibre may produce an apparent group of small fibres and branching of fibres will also contribute to the impression of fibre size variability (see Fig. 4.27 ). For this reason caution should be exercised in interpreting small group atrophy in the presence of fibre splitting or other pathological changes suggestive of a myopathy. Serial sections may be necessary to track a splitting or branched fibre. Multiple branching of fibres is also seen at myotendinous junctions (see Fig. 3.8 ).

Fig. 4.3, Distinct groups of atrophic and hypertrophic fibres in a child with spinal muscular atrophy (H&E). Hypertrophic fibres up to 100 μm.

In some disorders, such as some congenital myopathies, very small fibres may be difficult to identify with routine stains as they may be similar in size to a nucleus or capillary. These very small fibres are scattered through out the biopsy and can be seen clearly with immunohistochemistry using antibodies to fetal myosin (see Ch. 6 , Fig. 6.25 ). It is important to remember that not all small fibres are atrophic, as some may be regenerating fibres or hypotrophic fibres that have not grown. In myopathic conditions the atrophic and hypertrophic fibres are randomly distributed through out the sample ( Fig. 4.4 ). Sometimes, as in congenital myopathies, two distinct populations of fibres of different sizes are apparent, but they are not grouped ( Fig. 4.5 ) as seen in denervating disorders (see Fig. 4.3 ).

Fig. 4.4, Fibres of various diameters (range 5–45 μm) diffusely distributed in a boy with Becker muscular dystrophy (Gomori trichrome).

Fig. 4.5, Two distinct populations of fibres in a 5-year-old child with a congenital myopathy. One population is within the normal range for age (25–30 μm) but appears smaller because of the hypertrophied adjacent fibres (up to 65 μm).

In dermatomyositis, fibres at the periphery of the fascicles may be small. Some of these are atrophic and some are regenerating. This appearance is called perifascicular atrophy and is thought to reflect ischaemic changes secondary to disease of the blood vessels. It is only seen in dermatomyositis, but not universally ( Fig. 4.6 ), although a mild perifascicular atrophy can be seen in cases of eosinophilic fasciitis (Shulman syndrome). In antisynthetase syndromes perifascicular necrosis is seen.

Fig. 4.6, Small fibres restricted to perifascicular areas in a case of dermatomyositis (H&E).

Aspects of atrophy and hypertrophy relating to each fibre type are discussed in the next section.

Changes in Fibre Type Patterns

Changes in fibre size may specifically affect one or other fibre type, or they may affect both types. In normal muscle, as shown in Chapter 3 , there is a checkerboard, mosaic pattern of type 1 and type 2 fibres. In most myopathic conditions, a random pattern of atrophic and hypertrophic fibres of both types is seen ( Fig. 4.7 ). In neurogenic disorders, such as spinal muscular atrophy, the groups of atrophic fibres are of both types, while the groups of hypertrophic fibres are type 1 ( Fig. 4.8 ). The grouping results from collateral sprouting of surviving nerves that reinnervate the denervated fibres. It is important to distinguish fibre type grouping from fibre type predominance (see below). Only groups of both fibre types should be used as evidence of denervation/reinnervation.

Fig. 4.7, Variation in size (range 15–80 μm) affecting both fibre types in a case of Becker muscular dystrophy stained for ATPase at pH 9.4. The light fibres are type 1 and the dark type 2. Note also the predominance of the lightly stained type 1 fibres.

Fig. 4.8, Fibre type uniformity and grouping in a case of spinal muscular atrophy stained for ATPase at pH 9.4. The grouped hypertrophied fibres are all type 1, but the atrophic fibres are of both types.

Atrophy of type 2 fibres is a non-specific finding that can occur in a number of myopathic situations, not all of which can be defined. It appears in almost any disease in which muscle strength is impaired secondary to problems remote from the muscle. It can be induced by disuse, by corticosteroid therapy ( Fig. 4.9 ) and occurs with ageing. When type 2 subtypes are considered, both 2A and 2B may be affected, but specific involvement of type 2B fibres is the most common. Selective type 2A fibre atrophy is very unusual but may occur when the gene encoding 2A myosin ( MYH2 ) is defective.

Fig. 4.9, Atrophy restricted to the darkly stained type 2 fibres, induced by steroid therapy (ATPase reaction preincubated at pH 9.9 and revealing three fibre types; fibres of intermediate intensity are 2A fibres).

Selective type 1 atrophy occurs in several congenital myopathies and myotonic dystrophy ( Fig. 4.10 ). Type-specific hypertrophy is much less frequent, but type 2 hypertrophy can occur in association with type 1 atrophy in congenital myopathies. However, as mentioned previously, the grouped hypertrophic fibres in spinal muscular atrophy are frequently type 1. The hypertrophy of fibres associated with exercise is usually of type 2 fibres, and this enlargement of type 2 fibres may account for the normal difference between male muscle (in which type 2 fibres are larger than type 1) and female muscle (in which they are more or less equal in size).

Fig. 4.10, ATPase staining following preincubation at pH 4.3 showing atrophy selectively affecting the darkly stained type 1 fibres in a case of myotubular myopathy. Note also the hypertrophy of the pale type 2 fibres.

Quantification

This section describes the main methods used to quantify the degree of change of fibre sizes and illustrates typical histograms that can be obtained, in relation to fibre types. Although it is now performed less often on a routine basis and computerized systems are available, we felt it would be helpful to retain the background to quantification.

The starting point is measurement of the ‘lesser diameter’, which combines simplicity and speed with reasonable accuracy. This is defined as the maximum diameter across the lesser aspect of the muscle fibre ( Fig. 4.11 ). This measurement is designed to overcome the distortion that occurs when a muscle fibre is cut obliquely, producing an oval appearance in the fibre. Unless the lesser diameter is measured, an erroneously large measurement will result, as Fig. 4.11 shows. Computer software such as ImageJ uses a similar tool, where it is called Feret’s diameter or calliper length.

Fig. 4.11, This diagram demonstrates the importance of measuring the lesser diameter of each fibre. This is the only measurement not altered by either oblique sectioning or kinking of the fibres, both common occurrences in muscle biopsies.

Measurements are performed on adenosine triphosphatase (ATPase)-stained sections or ones immunolabelled with myosin isoforms so that involvement of each fibre type can be calculated. These can be performed with an eyepiece micrometer or by projecting the imaging on a suitable surface or computer screen. Several computerized systems are available (including ones available on the web at no cost), but full automation can rarely be achieved as most systems are unable to accurately define two closely adjacent fibres, and this has to be done manually. Each fibre can be defined by immunolabelling of a sarcolemmal protein such as laminin α 2 , β-spectrin or dystrophin, but even then the sarcolemma of adjacent fibres can be difficult to decipher. Computerized systems, however, are useful for calculating cross-sectional area of each fibre type, if the section is perfectly orientated in the transverse plane, for plotting histograms and calculating mean values and standard deviations. A total of at least 100 fibres of each type is measured and a histogram of the diameters of each fibre type plotted. This number of fibres has been shown to be representative, although quantification of all fibres in a section is possible with computerized systems. A mean fibre diameter and standard deviation are calculated and compared with normal values. Ideally, each laboratory should establish its own normal values, but many workers rely on published data ( ). A limitation of this is that some biopsies used for establishing these normal data in old publications were taken for a clinical reason and, although the samples apparently showed no defects, this cannot be established beyond doubt.

In addition to mean fibre diameter, it is important to assess variability. A useful figure is the variability coefficient, which is calculated as follows:


Standard deviation × 1000 Mean fibre diameter

In normal muscle, the variability coefficient is less than 250, and any sample with a variability coefficient greater than this is considered to demonstrate abnormal variability in the size of fibres. In children, the gradual increase in size with age has to be taken into account.

Atrophy and Hypertrophy Factors

In an effort to quantify the degree of change of fibre size in a biopsy, atrophy and hypertrophy factors were devised by . These factors are calculated from the histograms of the muscle fibres and are an expression of the number of abnormally small or large fibres in the biopsy. In normal adult muscle, most fibres in the histogram are between 40 and 80 μm in diameter in males and 30–70 μm in females. Considering first the abnormally small fibres, a few fibres in the 30–40 μm range in a histogram from a male biopsy would have less significance than the same number of fibres in the range of 10–20 μm or than a larger number of fibres in the same (30–40 μm) range. This is taken into account by multiplying the number of fibres in the histogram with a diameter between 30 and 40 μm by 1, the number of fibres with a diameter between 20 and 30 μm by 2, the number of those from 10 to 20 μm by 3 and the number in the group less than 10 μm by 4. These products are then added together and divided by the total number of fibres in the histogram to put the result on a proportional basis. The resulting number is then multiplied by 1000 and this is the ‘atrophy factor’ . The hypertrophy factor is similarly derived to express the proportion of fibres larger than 80 μm in the male. A diagrammatic calculation from a histogram is shown in Fig. 4.12 . In addition to making the calculations for the muscle biopsy as a whole, one can also consider each fibre type separately. Thus, for each histochemical fibre type there are two numbers: the atrophy and hypertrophy factors (abbreviated A or H factor). The histogram for a given biopsy may then be expressed as a series of four numbers for A1, H1, A2 and H2 (atrophy and hypertrophy of type 1 and type 2 fibres, respectively). If fibre subtypes are considered, there will be six numbers: A1, H1, A2A, H2A, A2B and H2B. In adult females the limits 30–70 μm and not 40–80 μm are used to calculate atrophy and hypertrophy factors in a similar way ( Table 4.1 ).

Fig. 4.12, Calculation of atrophy (A) and hypertrophy (H) factors from a histogram.

TABLE 4.1
Upper Limits for the Value of Atrophy and Hypertrophy Factors for Normal Adult Male and Female Muscles
Type 1 Type 2A and Type 2B
Atrophy Hypertrophy Atrophy Hypertrophy
Biceps
Male 150 300 150 500
Female 100 200 150 150
Vastus
Male 150 150 150 400
Female 100 400 200 150

This statistical approach, although somewhat laborious, is useful in detecting the presence of atrophy or hypertrophy that may not be apparent on routine inspection of a muscle biopsy and for demonstrating the presence of selective atrophy of one fibre type in association with hypertrophy of another type. In practice it is often clear when variation in fibre is abnormal, and it can be graded as mild, moderate or severe.

Using the atrophy and hypertrophy factors, selective atrophy of fibre types can be readily confirmed. If, in a biopsy, only the atrophy factor for type 1 fibres is above the normal limits, the biopsy is said to show selective type 1 fibre atrophy. Similarly, selective hypertrophy may be seen in some biopsies. This type of analysis is a practical way of recognizing atrophy of one fibre type in the presence of hypertrophy of the other. It should be stressed that these atrophy and hypertrophy factors are used only in biopsies from adult muscle and are most useful only when the change is not obvious on inspection. Table 4.1 shows a summary of data obtained from normal muscle using this method. In children under the age of 14, the relative sizes of the type 1 and type 2 fibres are smaller, and this has to be taken into account ( Fig. 4.13 ). Although the data in Fig. 4.13 date from 1969, our own recent assessment of all fibres in over 80 muscle biopsies from paediatric cases aged a few months to 16 years of age using Definiens software is in agreement with . Similarly, regions of interest of 200 fibres showed a good correlation. Mean diameters of type 1 and type 2 fibres should not differ by more than 12% of the largest diameter of the largest fibre type. The variability coefficient is again less than 250. Fibre type disproportion, a characteristic of congenital myopathies, is said to occur if the type 1 fibres are at least 12% smaller than type 2 fibres, although Brooke revised this to 25%. Illustration of typical histograms from normal biopsies and classical pathological situations are shown in Figs. 4.14–4.18 .

Fig. 4.13, This graph represents the mean fibre diameter for children at various ages taken from biopsies classified as normal. Each circle represents an arithmetical mean of muscle fibre diameters at each age.

Fig. 4.14, Biopsy from a normal adult male to demonstrate the sizes of lightly stained type 1 and darkly stained 2 fibres (ATPase 9.4). The table and histogram show a summary of data from this biopsy for type 1, 2A and 2B fibres.

Fig. 4.15, Biopsy from a normal adult female to demonstrate the sizes of lightly stained type 1 and darkly stained type 2 fibres (ATPase 9.4). The table and histogram show a summary of data from this biopsy for type 1, 2A and 2B fibres. Comparison with Fig. 4.14 shows that both have a diffuse distribution of type 1 and 2 fibres and that type 1 fibres are similar in size but type 2 fibres are a little smaller in the female than in the male.

Fig. 4.16, Biopsy from a patient with denervation (ATPase 9.4). The histogram shows a twin-peaked character, especially for type 1 and type 2B fibres.

Fig. 4.17, Atrophy of the lightly stained type 1 fibres (ATPase 9.4). This biopsy demonstrates selective atrophy of type 1 fibres.

Fig. 4.18, Atrophy of the darkly stained type 2 fibres (ATPase 9.4). The small size of the type 2 fibres, and the relatively normal size of type 1 fibres, is apparent in the table and histogram.

Fibre Type Proportions

Another important aspect to assess is the proportion of each fibre type ( Table 4.2 ). As pointed out in previous chapters, the number of each fibre type varies between muscles and is influenced by several factors. The percentage of each type is calculated by projecting or printing the image of an ATPase-stained section or one labelled with myosin antibodies. A computerized system can also be used but, as with calculating fibre sizes, a limitation of such systems is that they cannot always automatically segregate two closely adjacent fibres.

TABLE 4.2
The Mean Diameter and Proportion of Various Fibre Types in Normal Adult Quadriceps Muscle
Type 1 Type 2A Type 2B
Male Female Male Female Male Female
Average diameter of fibres (μm) 61 53 69 52 62 42
Percentage of fibres in total 36 39 24 29 40 32

Fibre Type Predominance

Type predominance is an excess of one fibre type ( Fig. 4.19 ). In the interpretation of fibre type predominance, it is important to make careful comparison with controls from the same muscle of similar age and sex. In addition, proportions can differ in different regions of a muscle. In the quadriceps the normal ratio of type 1 to 2 fibres is approximately 1:2. If the type 2 fibres are subdivided, then type 1, 2A and 2B comprise approximately one-third each. There is, however, some variation within the normal population around these figures. From our experience, type 1 predominance is said to occur when more than 55% of the fibres are type 1, and type 2 fibre predominance when more than 80% of the fibres are type 2. An appearance of type 2 predominance may occur in muscle biopsies from neonates and results from a high prevalence of fibres with fetal myosin.

Fig. 4.19, Pronounced predominance of lightly stained type 1 fibres (ATPase 9.4).

Fibre type predominance may reflect type grouping if the biopsy has been taken from the centre of a very large group of a uniform fibre type. However, some disorders are associated with fibre type predominance in a sufficient number of biopsies to make this explanation unlikely. Type 1 fibre predominance is a common feature of myopathic conditions: for example, the muscular dystrophies and congenital myopathies (see Fig. 4.19 ; see also Fig. 4.7 ). Type 2 fibre predominance, on the other hand, is associated with motor neurone diseases.

Changes in Sarcolemmal Nuclei

The changes, which occur in sarcolemmal nuclei, relate to their position and their appearance. First, they may be internal within the fibre, rather than in their normal peripheral position. Secondly, the appearance of the individual nuclei may change and may form the so-called tigroid nuclei or vesicular nuclei . These are not always clear in unfixed frozen sections.

Internal Nuclei

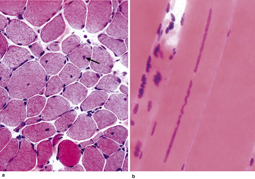
When more than 3% of the fibres in transverse section contain a nucleus that is in the substance of the muscle fibre and not at its periphery the biopsy is said to demonstrate internal nuclei. In our experience, however, this is probably an overestimate and even a few internal nuclei in paediatric muscle are probably significant. In normal adults they are more common, particularly in individuals involved in sporting activities. In some conditions the nuclei may be central within the fibre, and in longitudinal section they may form a chain down the centre of the fibre or be spaced. It is important to distinguish between internal and central nuclei and to accurately describe their position. Central nuclei are a characteristic feature of biopsies from patients with congenital myotonic dystrophy and some other congenital myopathies such as centronuclear myopathies and those associated with defects in the genes encoding the ryanodine receptor 1 and titin (see Chapter 14, Chapter 15 ). In other situations ( Fig. 4.20 ), they are scattered within the myofibrils and more than one per fibre may be seen ( Fig. 4.21 ). Internal nuclei are often seen along the fibrous septa in split fibres (see Fig. 4.28 ); some of these relate to nuclei of the capillary endothelial cells.

Fig. 4.20, (a) Internal nuclei (arrow) within fibres of varying size from a case of Duchenne muscular dystrophy (H&E). Fibre diameter range 15–60 μm. (b) A chain of internal nuclei in a longitudinally sectioned fibre 48 μm in diameter (H&E).

Fig. 4.21, Clumps of nuclei (arrow) indicating chronic atrophy. Note also the multiple internal nuclei in one fibre (H&E). Fibre diameter range 45–90 μm.

It is important when assessing the presence of internal nuclei to examine the transverse sections of muscle and not the longitudinal, since in a longitudinal section (which may be up to 10 μm in thickness) a peripherally placed nucleus may be seen through the overlying myofibrillar tissue and may give the false impression of being within the muscle fibre.

The significance of internal nuclei may be summarized by saying that a great profusion of internal nuclei would be suggestive of a myopathy. They are particularly abundant in myotonic dystrophies, but they can also occur in chronic neuropathies.

You're Reading a Preview

Become a Clinical Tree membership for Full access and enjoy Unlimited articles

Become membership

If you are a member. Log in here