Patient Found Down


Consult Page

Patient with large stroke and swelling causing midline shift

Initial Imaging

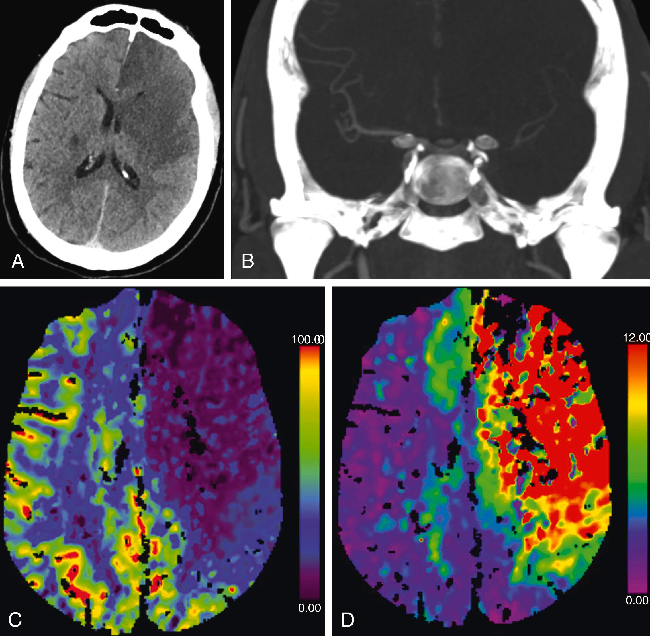
Figure 24.1, A. Initial axial head CT without contrast in the ED demonstrates a large left frontotemporal hypodensity without significant midline shift. B. Coronal maximal intensity projections of a head CTA demonstrates non-opacification of the left ICA termination. C. Cerebral blood flow color map demonstrates a large ischemic core in the left ACA and MCA territories. D. Tmax color map demonstrates almost complete overlap with the cerebral blood flow deficit, indicating minimal penumbra.

Walking Thoughts

  • What are the patient’s ABCs?

  • What are the patient’s medical comorbidities?

  • What is the patient’s baseline function, and what is his current neurological exam?

  • Has stroke neurology team been consulted?

  • When was the patient last seen normal?

  • Is there any viable brain tissue/penumbra?

  • Is the patient outside the window for tissue plasminogen activator (tPA) or mechanical thrombectomy?

  • What is the patient’s sodium?

  • Does the patient need urgent surgical intervention or continued medical management?

  • Does the patient take any antiplatelet or anticoagulant medications?

  • Does the patient have an advanced directive in place? Who is his healthcare agent?

History of Present Illness

A 57 year old male with a history of prior stroke with no residual deficits, polysubstance abuse, and ethanol abuse with prior withdrawal seizures presents to the emergency department (ED) after being found down by his wife. Per family, he was last seen normal more than 30 hours prior. After smoking marijuana and drinking alcohol, multiple family members found him lying on the floor, but did not disturb him as his behavior was akin to prior episodes he has had after substance use. However, this afternoon, he was still on the floor and was unable to stand despite encouragement from his daughter. She also noted that he smelled of urine. At this point, his family became concerned and called 911.

Upon arrival to the ED, the stroke team was emergently activated and a head CT without contrast showed a large area of hypodensity in the left anterior cerebral artery (ACA) and middle cerebral artery (MCA) territories concerning for acute infarction, along with 5 mm of rightward midline shift. CT angiogram (CTA) and CT perfusion (CTP) studies showed occlusion of the left internal carotid artery (ICA) terminus and absent filling of the ACA and MCA territories with a completed large core infarction ( Figure 24.1 ). Of note, the patient takes daily aspirin (ASA) 81 mg for his prior stroke, last taken one week ago per his wife.

You're Reading a Preview

Become a Clinical Tree membership for Full access and enjoy Unlimited articles

Become membership

If you are a member. Log in here