Non-Neoplastic Disorders of the Liver


Major Histologic Patterns of Injury

Because the liver presents with a relatively small repertoire of responses to injury, there is significant histologic overlap among liver diseases, making specific diagnosis challenging. A pattern-based approach enables the pathologist to generate a relatively short list of differential diagnoses, which can then be distinguished based on histologic findings and available clinical data to establish an informative diagnosis that guides clinical management. Some liver diseases (e.g., autoimmune hepatitis [AIH] and Wilson’s disease) can present with more than one pattern of injury.

The major histologic patterns of injury are as follows:

  • Hepatitic pattern of injury

    • Acute hepatitis (panlobular)

    • Chronic hepatitis (portal predominant)

  • Steatotic-steatohepatitic pattern of injury

  • Cholestatic pattern of injury

  • Vascular pattern of injury

  • Miscellaneous patterns

    • “Almost normal biopsy”

    • Granulomatous hepatitis

    • Massive or submassive hepatic necrosis

  • Metabolic and storage disorders

    • Iron storage disorder

    • Copper storage disorder (Wilson’s disease)

    • α1-Antitrypsin (α1AT) deficiency

    • Glycogen storage disorder

    • Lysosomal storage disorder (LSD)

Acute Hepatitis Pattern of Injury

Whereas clinically, the term acute hepatitis denotes a particular pattern of acute-onset liver disease in a patient without preexisting liver disease, this pattern of injury is defined histologically by a lobular-predominant pattern of inflammation and hepatocyte injury. The clinical picture in most patients with acute hepatitis varies from asymptomatic to mild, vague gastrointestinal (GI) or flu-like symptoms, including nausea and malaise. Laboratory testing demonstrates marked serum aspartate aminotransferase (AST) and alanine aminotransferase (ALT) elevations, but serum bilirubin and alkaline phosphatase (ALP) are normal or only mildly elevated. A subset of patients with clinical features of acute hepatitis exhibit histologic features of an acute hepatitis pattern of injury on biopsy. A biopsy is not indicated in most patients but may be performed to confirm acute hepatitis, exclude entities other that are clinically similar but histologically distinct (e.g., Wilson’s disease, ischemic hepatitis, or Budd-Chari syndrome [BCS]), assess for features of chronic liver disease, or evaluate for acute exacerbation of AIH.

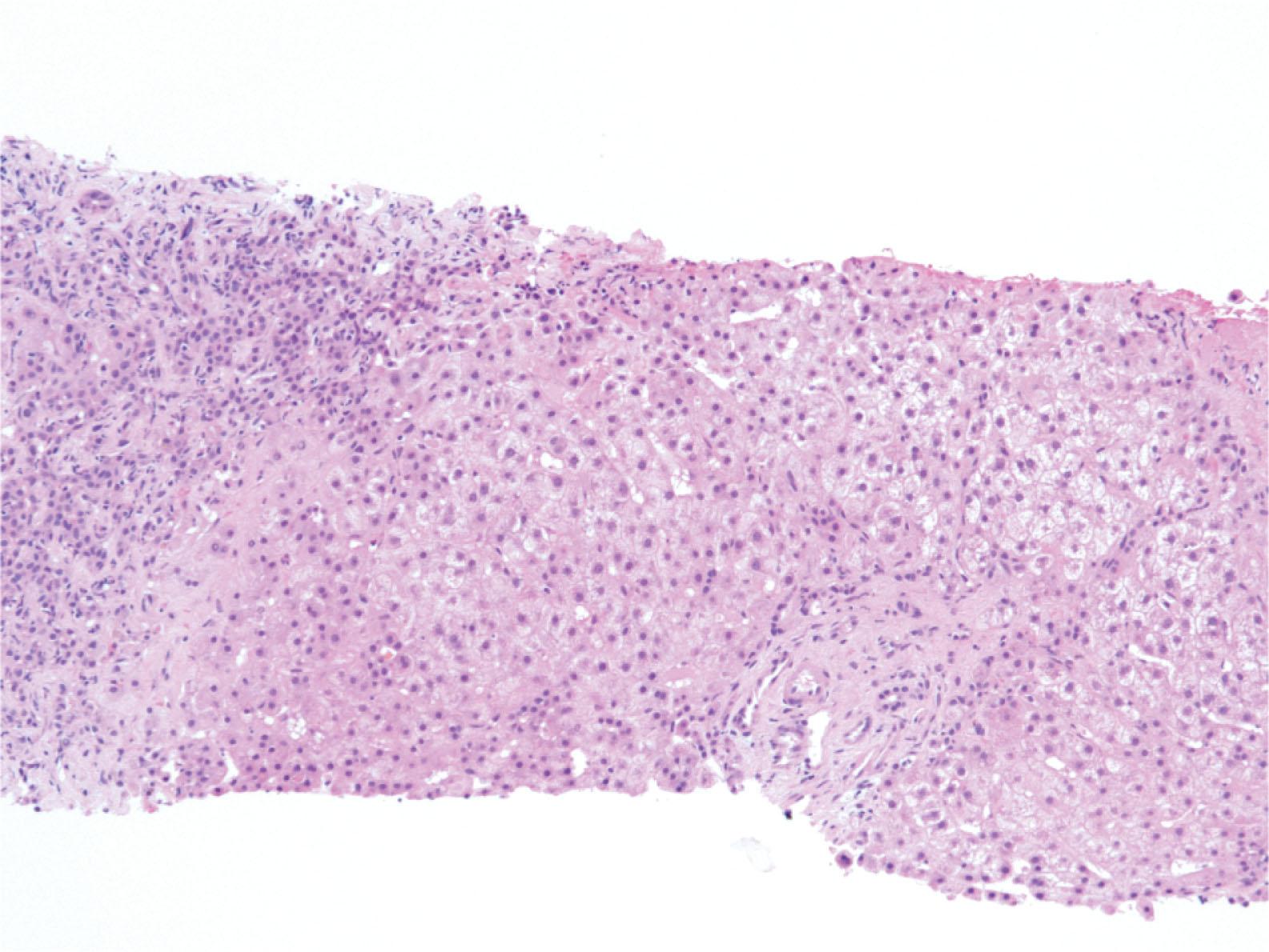
Histologically, an acute hepatitis pattern of injury is characterized by a predominantly lobular pattern of injury that exhibits lobular inflammatory cell infiltrates accompanied by hepatocyte injury manifest as hepatocyte swelling and necrosis of individual hepatocytes (“acidophil bodies”) or hepatocyte clusters (“spotty necrosis”). The resulting loss of the normal, orderly hepatocyte cord arrangement (“lobular disarray”) ( Figs. 17.1A–C ). Depending on the severity of injury, marked hepatocellular regenerative changes, including mitoses, multinucleation (“giant cell transformation”), and hepatocellular rosettes ( Fig. 17.1D ) may also be present. The lobular inflammation is lymphocyte predominant with Kupffer cell hyperplasia. Neutrophils are neither an important finding nor a defining feature of this pattern. There is no fibrosis in uncomplicated acute hepatitis, although patients with chronic liver disease may develop superimposed acute hepatitis or an acute exacerbation of the chronic disease. Biopsies obtained after the acute phase of the illness may be nearly normal, showing only residual Kupffer cell hyperplasia or aggregates of ceroid-laden histiocytes on periodic acid–Schiff (PAS) with diastase stain (PAS-D; Fig. 17.1E ). There is no formal grading scheme for the acute hepatitis pattern of injury.

Figure 17.1, A , Acute hepatitis pattern of injury on low magnification. B , Lobular infiltrates are composed of lymphocytes and Kupffer cells. C , Lobular hepatocellular disarray and infiltrating inflammatory cells are typical. D , Rosettes and multinucleated hepatocytes are seen in more severe cases. E , Periodic acid–Schiff–diastase stain can highlight Kupffer cells in more subtle cases.

The differential diagnosis for an acute hepatitis pattern of injury includes acute viral hepatitis caused by hepatotropic viruses (hepatitis A or E or the acute phase of hepatitis B, C, or D infection), nonhepatotropic viruses, or drug-induced liver injury (DILI). Acute exacerbation of AIH is also in the clinical and histologic differential diagnosis, although it is considered an a priori chronic disease. DILI and AIH are discussed later in this chapter. A nonspecific form of hepatic inflammation in the absence of clinical illness or hepatocyte injury can be seen in patients undergoing abdominal surgery (so-called “surgical hepatitis”). This entity should not be confused with acute hepatitis.

Acute Viral (Hepatotropic) Hepatitis

Acute viral hepatitis represents the prototype acute hepatitis pattern of injury. It is caused by hepatotropic viruses A, B, C, D, and E ( Table 17.1 ). Hepatitis A and E are transmitted through contaminated food and water. Hepatitis A is highly endemic in parts of Africa and Asia, and hepatitis E is highly endemic in Mexico and parts of Africa and Asia. Pregnant women are more susceptible to hepatitis E infection and exhibit a more severe clinical course. Hepatitis B and C are bloodborne pathogens that can also be sexually transmitted. Hepatitis B infection may be further complicated by coinfection or superinfection with hepatitis D, which follows the same route of transmission.

Table 17.1
Viral Hepatitis
Virus Hepatitis A Hepatitis B Hepatitis C Hepatitis D Hepatitis E
Type of virus Single-stranded RNA Partially double-stranded DNA Single-stranded RNA Single-stranded circular defective RNA Single-stranded RNA
Viral family Hepatovirus; related to picornavirus Hepadnavirus Flaviviridae Subviral particle in Deltaviridae family Calicivirus
Route of transmission Fecal–oral (contaminated food or water) Parenteral (IV drug use), sexual contact, perinatal Parenteral; intranasal cocaine use is a risk factor Parenteral Fecal–oral
Mean incubation period 2–4 weeks 1–4 months 7–8 weeks Same as for HBV 4–5 weeks
Frequency of chronic liver disease Never 10% >85% Never 5% (coinfection); ≤70% for superinfection
Diagnosis Detection of serum IgM antibodies Detection of HBsAg or antibody to HBcAg PCR for HCV RNA; third-generation ELISA for antibody detection Detection of IgM and IgG antibodies; HDV RNA in serum; HDAg in liver PCR for HEV RNA; detection of serum IgM and IgG antibodies
Treatment Supportive α-Interferon, lamivudine Direct-actin antivirals, protease inhibitors, polymerase inhibitors α-Interferon Supportive
ELISA , Enzyme-linked immunosorbent assay; HBcAg , hepatitis B core antigen; HBsAg , hepatitis B surface antigen; HBV , hepatitis B virus; HCV , hepatitis C virus; HDAg , hepatitis D antigen; HEV , hepatitis E virus; IV , intravenous; PCR , polymerase chain reaction.

Clinical Features

Acute viral hepatitis is often asymptomatic or mildly symptomatic. Patients present with mild symptoms of systemic disease, including malaise, fatigue, low-grade fever, flu-like, or GI symptoms. Adults can develop a more complicated clinical course with prominent cholestasis and even fulminant hepatitis (1%–3% of cases) with massive parenchymal necrosis necessitating liver transplantation.

Physical examination typically reveals jaundice, right upper quadrant tenderness, and hepatomegaly.

Laboratory Values

Most patients show markedly elevated serum AST and ALT levels (often >15-fold normal levels). Bilirubin and ALP may also be elevated. Viral serologies may be negative during the early course of disease. Polymerase chain reaction (PCR)–based testing is frequently used as a confirmatory test.

Acute Viral (Hepatotropic) Hepatitis—Fact Sheet

Definition

  • Acute hepatitis caused by hepatitis A, B, C, D or E virus infection

Incidence and Location

  • The incidence is underestimated because many cases are asymptomatic

  • Hepatitis A, B, and C are common worldwide, with hepatitis B more common in Southeast Asia and sub-Saharan Africa

  • Hepatitis A is highly endemic in parts of Africa and Asia

  • Hepatitis E is highly endemic in Mexico and parts of Africa and Asia

Morbidity and Mortality

  • Mortality rate for acute hepatitis A is low, but up to 22% with clinical apparent hepatitis require hospitalization; mortality rate is higher (∼1.8%) in patients older than 50 years

  • Mortality for hepatitis E is greater in pregnant women; death rate is approximately 5%

Gender, Race, and Age Distribution

  • Occurs equally in males and females

  • All races and age groups are affected

Clinical Features

  • Asymptomatic or mild systemic symptoms, including malaise, low-grade fever, and flulike or gastrointestinal complaints

  • Jaundice and pruritus if cholestatic

  • Transaminase levels elevated 5- to 10-fold normal

Prognosis and Therapy

  • Vaccines are available to prevent hepatitis A and B infection

  • Treatment of patients with hepatitis A and E is usually supportive; the infection is self-limited

  • Acute hepatitis B virus infection in neonates carries a 90% risk of progression to chronic liver disease, but only 5% to 10% of adults will develop chronic hepatitis B

  • Untreated acute hepatitis C carries a 20% to 50% chance of spontaneous resolution of disease

Pathologic Features

Gross Findings

The liver may be swollen and congested with a yellow or green discoloration or shrunken with a “loose” capsule in extensive parenchymal injury or collapse. In cases of submassive or massive hepatic necrosis ( Fig. 17.2 ), the liver may be friable and hemorrhagic with obvious areas of necrosis upon sectioning.

Figure 17.2, Massive hepatic necrosis in acute viral hepatitis. The liver is shrunken and soft; islands of regenerating hepatocytes (right) may be localized to one area and mimic a neoplasm.

Microscopic Findings

Acute viral hepatitis represents the prototype acute hepatitis pattern of injury, exhibiting the diffuse lobular-predominant inflammation and hepatocyte injury with lobular disarray (see Figs. 17.3A and B ) . Acidophil bodies are prominent, and in severe cases, portions of lobules or entire contiguous lobules may undergo necrosis (see Fig. 17.3C). As part of parenchymal regeneration, there may be pronounced regenerative bile ductular reaction. Cholestasis may be present, including in some cases of hepatitis E (Fig. 17.3D). Portal inflammation may be present but is usually less prominent than the lobular inflammation and injury. Biopsies taken after the initial illness may show only residual Kupffer cell hyperplasia. There is no fibrosis unless the patient has preexisting chronic liver disease.

Acute Viral (Hepatotropic) Hepatitis—Pathologic Features

Gross Findings

  • Hepatomegaly

  • Congestion; possibly yellow or green discoloration if cholestasis

  • In fulminant hepatitis, the liver is friable with hemorrhagic and necrosis areas and the capsule is flaccid

Microscopic Findings

  • Lobular disarray caused by hepatocyte injury or necrosis, regeneration, and Kupffer cell hyperplasia

  • Predominantly panlobular mononuclear inflammatory infiltrate

  • Cholestasis may be present

  • Bridging necrosis to submassive or massive necrosis only in severe cases

Differential Diagnosis

  • Drug-induced liver injury

  • Nonhepatotropic viral hepatitis

  • Acute exacerbation of autoimmune hepatitis

Figure 17.3, A , Both portal and lobular inflammation are seen in acute hepatitis; the inflammatory infiltrate is mixed, but mononuclear cells predominate. B , Hepatocyte necrosis and regeneration, inflammation, and Kupffer cell hyperplasia contribute to the busy appearance of the lobule (lobular disarray). C , Portal-central bridging may be seen in more severe cases and may be an adverse prognostic feature in older patients. D , Hepatitis E with classic lobular inflammation and cholestatic changes.

Ancillary Studies

In cases with extensive necrosis, the trichrome stain may be difficult to interpret. In contrast to the bright blue staining collagen in fibrosis, areas of collapsed parenchyma show pale, grayish-blue staining of the collapsed reticulin framework. Reticulin stain highlights the areas of collapse of the normal reticulin framework. Immunohistochemistry (IHC) for viral antigens is not applied in clinical practice because the diagnosis is established through serologic and PCR-based testing.

Differential Diagnosis

The differential diagnoses include nonhepatotropic viral infections, chronic viral hepatitis, DILI, and AIH. Distinguishing these entities often requires clinical information (e.g., history of travel, new drug or toxins) along with viral serologies and serum autoantibody titers.

Nonhepatotropic viral infections may follow a variable clinical course depending on the specific underlying infection. Classic histologic clues to these diagnoses are discussed in the following section. In chronic viral hepatitis, the inflammatory cell infiltrates are centered within the portal tracts and fibrosis is common. Prominent lobular inflammation and hepatocyte injury can be seen in AIH; however, AIH is usually associated with brisk interface activity, plasma cells, elevated serum autoantibodies, and polyclonal hypergammaglobulinemia. Exclusion of drug- or toxin-induced injury may be difficult clinically and histologically. Wilson’s disease can mimic any clinical or histologic pattern of injury, including acute hepatitis, and a low threshold for performing serum ceruloplasmin and tissue copper quantitation is warranted. The differential diagnosis for submassive or massive necrosis includes infections (e.g., herpes simplex virus [HSV]), vascular injury, and DILI.

Prognosis and Therapy

Viral hepatitis A and E are self-limited diseases that are associated with full recovery within weeks in most patients; treatment is supportive. Most patients with acute hepatitis B virus (HBV) and 20% to 50% of patients with acute hepatitis C experience spontaneous resolution of infection. Newer, highly successful interferon-free antiviral therapies for hepatitis C are available for those who do not clear the virus. Fulminant hepatic failure is rare in patients with hepatitis C but may lead to organ failure and liver transplant.

Nonhepatotropic Viral Infections

Epstein-Barr virus (EBV), cytomegalovirus (CMV), and HSV are the most common nonhepatotropic viruses that cause an acute hepatitis pattern of injury. These infections are typically mild and self-limited except when they occur in infants or immunocompromised patients, in whom they may follow a complicated clinical course with parenchymal necrosis and even hepatic failure and death (especially in HSV infection). The nonhepatotropic viral infections do not progress to chronic hepatitis.

Clinical Features

Epstein-Barr virus hepatitis is usually mild and self-limited and may occur in patients of any age as a complication of infectious mononucleosis or in patients without a clinical picture of infectious mononucleosis. Although most patients (≤80%) with infectious mononucleosis exhibit liver enzyme abnormalities, symptomatic hepatitis is uncommon. Symptoms of EBV hepatitis include anorexia, flu-like symptoms, nausea or vomiting, abdominal pain, and weight loss. Jaundice may be seen. Laboratory testing reveals serum lymphocytosis with elevated bilirubin and ALP and ALT elevations that are usually more modest than those seen in patients with hepatotropic viral infections. EBV-associated acute liver failure is rare but described in immunocompetent and immunocompromised patients.

The course of CMV hepatitis varies with the age and immune status of the patient. In immunocompetent hosts, the disease frequently follows a self-limited clinical course and is often asymptomatic. In immunosuppressed hosts, including neonates, older patients, and organ transplant recipients, the infection can manifest with fever, jaundice, and hepatosplenomegaly. Rare fulminant cases have been reported. Patients with CMV hepatitis may show mild hyperbilirubinemia, increased ALP, and increased transaminases (often not exceeding fivefold upper limit of normal).

Herpes simplex virus hepatitis is rare and most often seen in neonates and other immunocompromised patients. The clinical symptoms include fever, mucosal ulcers, hepatomegaly, and systemic constitutional symptoms. AST and ALT are markedly elevated as a reflection of the extensive parenchymal necrosis associated with this infection. HSV hepatitis is rapidly progressive and usually fatal.

Nonhepatotropic Viral Infections—Fact Sheet

Definition

  • Nonprogressive forms of hepatitis caused by viruses that do not preferentially affect the liver, including Epstein Barr virus (EBV), cytomegalovirus (CMV), and herpes simplex virus (HSV)

Incidence and Location

  • EBV: clinically evident liver disease occurs in minority of patients with infectious mononucleosis and can be seen in the absence of infectious mononucleosis symptoms; worldwide distribution

  • CMV: low incidence of clinically evident disease; worldwide distribution

  • HSV: low incidence; worldwide distribution

Morbidity and Mortality

  • EBV: low

  • CMV: low in immunocompetent patients

  • HSV: high

Gender, Race, and Age Distribution

  • EBV: adolescents and young adults; both genders equally affected

  • CMV: clinically apparent hepatitis in immunosuppressed and rarely in immunocompetent patients; both genders equally affected

  • HSV: neonates and other immunosuppressed patients; both genders equally affected

Clinical Features

  • EBV: often subclinical; anorexia, flulike symptoms, abdominal pain, jaundice, and splenomegaly

  • CMV: usually subclinical; fever and hepatosplenomegaly

  • HSV: severe acute hepatitis that often evolves into acute liver failure

Prognosis and Therapy

  • Variable prognosis, depending on underlying infection and immune status of the host

  • Good prognosis in immunocompetent patients with CMV and EBV hepatitis

  • Worse prognosis for HSV hepatitis

  • Supportive treatment and antivirals (ganciclovir for CMV and acyclovir for HSV infection)

  • No propensity to develop chronic hepatitis or progressive fibrosis

Pathologic Features

Gross Findings

Mild hepatomegaly and variable congestion are common in all nonhepatotropic viral infections. An HSV-infected liver may show a hyperemic and mottled cut surface with foci of geographic necrosis ( Fig. 17.4 ).

Figure 17.4, Areas of geographic necrosis with hyperemic borders are seen in herpes simplex hepatitis.

Microscopic Findings

In general, nonhepatotropic viral hepatitis exhibits histologic features similar to those described in hepatotropic virus infections, including lobular-predominant inflammation and hepatocyte injury.

The most characteristic histologic feature of EBV hepatitis is “sinusoidal lymphocytosis” characterized by a diffuse sinusoidal infiltrate typically composed of small lymphocytes arranged in a single-file “string-of-beads” pattern ( Fig. 17.5A ). Acidophil bodies are rare. Small lobular Kupffer cell aggregates may be present. The portal tracts demonstrate mild lymphocytic infiltrates but significant interface hepatitis. Immunosuppressed patients may show more pronounced necroinflammatory activity and even bile duct injury. Extensive necrosis is only seen in those with fulminant EBV hepatitis ( Fig. 17.5B ).

Figure 17.5, A , Prominent sinusoidal lymphocytosis with minimal hepatocellular injury is characteristic of Epstein-Barr virus (EBV) hepatitis. B , In a small subset of cases, EBV infection can lead to massive hepatic necrosis.

Cytomegalovirus hepatitis histologically mimics EBV infection in immunocompetent hosts. The typical intranuclear or intracytoplasmic viral inclusions that are often present in immunocompromised patients may not be seen. As with other causes of acute hepatitis, lobular inflammation and injury predominate. Acidophil bodies and spotty necrosis are common. Neutrophilic microabscesses may be seen but are neither sensitive nor specific for CMV hepatitis. Diagnostic viral inclusions can be detected on hematoxylin and eosin (H&E) stain or IHC in infected endothelial cells, hepatocytes, or biliary epithelial cells ( Fig. 17.6 ).

Figure 17.6, In immunocompromised hosts, enlarged cells with intranuclear inclusions are found in variable numbers. Associated microabscesses are often seen in liver transplant cases but are not specific for cytomegalovirus infection.

Herpes simplex virus hepatitis has distinct histologic features, which, when present, should promptly suggest this diagnosis. The hepatic parenchyma typically shows irregular foci of nonzonal or “geographic” necrosis ( Fig. 17.7A ) with relatively mild lobular and portal chronic inflammation. Diagnostic viral inclusions (Cowdry type A) with multinucleation, margination, and molding are usually present within viable hepatocytes adjacent to foci of necrosis ( Figs. 17.7B and C ). IHC may be needed to confirm the diagnosis.

Nonhepatotropic Viral Infections—Pathologic Features

Gross Findings

  • Hepatomegaly

  • Herpes simplex virus (HSV): geographic necrosis with hyperemic borders

Microscopic Findings

  • Epstein-Barr virus (EBV): sinusoidal lymphocytic infiltrate (“string of pearls”)

  • Cytomegalovirus (CMV): neutrophilic microabscesses and intranuclear or cytoplasmic inclusions

  • HSV: geographic necrosis and Cowdry A-type inclusions

Ancillary Studies

  • EBV: scattered positive lymphocytes on chromogenic in situ hybridization

  • CMV: positive viral inclusions on immunohistochemistry

  • HSV: positive viral inclusions on immunohistochemistry

Differential Diagnosis

  • Other causes of acute hepatitis, including the hepatotropic viruses (hepatitis A, B, C, D, E)

  • Drug-induced liver injury

  • Other hepatic infections

Figure 17.7, A , Herpes simplex hepatitis with areas of geographic necrosis. B , Infected cells contain ground-glass nuclear inclusions. C , Multinucleated cells may be seen in a background of extensive necrosis in this case.

Ancillary Studies

Serologic testing and PCR-based assay are used clinically to establish the diagnosis and exclude other causes of hepatitis. Immunohistochemical stains (especially for CMV and HSV) and chromogenic in situ hybridization (CISH) for EBV-encoded RNA (EBER) are widely available. EBER-positive lymphocytes are rare in EBV-infected patients; most of the lymphocytes seen in EBV hepatitis do not show positive EBV staining ( Fig. 17.8 ).

Figure 17.8, Epstein-Barr virus (EBV)-encoded small RNA demonstrate occasional positive cells in a case of Epstein-Barr virus hepatitis.

Differential Diagnosis

The differential diagnosis includes other causes of acute hepatitis, including hepatotropic and other nonhepatotropic viral infections (adenovirus, human herpesvirus 6 A, parvovirus), other hepatic infections, and DILI. In cases of suspected EBV hepatitis, specimens showing “atypical lymphocytes” should be investigated carefully to exclude the involvement of a lymphoproliferative disorder.

In cases with extensive hepatic necrosis, ischemia and DILI should be considered. The zonal distribution of necrosis (predominantly zone 3), clinical history, and absence of viral inclusions are helpful in distinguishing these entities.

Prognosis and Therapy

In immunocompetent patients, the disease course is self-limited, and symptoms usually resolve in 4 to 6 weeks. In immunocompromised individuals, the disease follows a more severe course and may result in acute liver failure.

In most patients, antiviral therapy is not required. Ganciclovir is administered to CMV-infected patients who are at risk of severe or life-threatening illness. HSV is often treated with acyclovir, but the outcome is generally poor.

Chronic Hepatitis Pattern of Injury

Chronic hepatitis is defined histologically as a pattern of ongoing hepatitis with portal-based inflammation and fibrosis in which hepatocytes are the primary site of injury. Symptoms vary and are often vague or nonspecific, consisting of constitutional symptoms, abdominal pain, nausea, and malaise. Many patients are asymptomatic, and some may present with decompensated cirrhosis or acute liver failure. The histologic differential diagnosis for this pattern of injury is broad and includes causes of chronic hepatitis (chronic viral hepatitis [hepatitis B and hepatitis C], AIH, and DILI) in addition to certain inherited diseases (Wilson’s disease and α1AT deficiency) and early stages of primary biliary disorders (primary sclerosing cholangitis [PSC], primary biliary cholangitis [PBC]).

A liver biopsy may be performed to confirm the overall pattern of injury, establish the diagnosis, grade and stage the disease, and assess for other superimposed patterns of injury (e.g., steatosis) that may impact management and prognosis. The histologic hallmarks of chronic hepatitis pattern of injury are the dense portal inflammatory cell infiltrates and often fibrosis. The portal infiltrates are predominantly lymphocytic and may be admixed with other inflammatory cells, including plasma cells. Interface activity (piecemeal necrosis) and variable necroinflammatory lobular activity are often also seen. Periods of disease flare typically show more prominent interface activity and lobular necroinflammatory activity, including confluent necrosis in severe cases. Some cases show mild bile duct injury, but destructive bile duct lesions are not a feature. Bile ductular proliferation may be evident in advanced fibrosis or extensive necrosis.

Biopsies from patients with chronic hepatitis (hepatitis B or C; AIH) may be assigned a semiquantitative “grade” and “stage” to indicate the degree of necroinflammatory activity and fibrosis, respectively. There are several semiquantitative systems for grading and staging chronic hepatitis, including the Ishak, Knodell, Scheuer, Metavir, and Batts and Ludwig systems ( Table 17.2 ). All have been clinically validated with good interobserver reproducibility. The choice of system is often made in partnership with the clinical team to ensure clear and consistent communication. Many centers prefer the Batts and Ludwig system, in which necroinflammatory activity (grade) ( Fig. 17.9 ) and fibrosis (stage) ( Fig. 17.10 ) are assessed using a 0 to 4 scale. Specimen adequacy is an important consideration. An adequate liver biopsy is at least 2 cm in length and contains at least 11 portal tracts. Subcapsular biopsy samples (including subcapsular wedge biopsies) cannot be accurately staged because the normal extension of the hepatic capsule a few millimeters into the subcapsular parenchyma may be interpreted as fibrosis and result in over-staging. The limitations of subcapsular or suboptimal (small or fragmented biopsies) should be clearly stated in the pathology report. If bridging necrosis is present, the trichrome stain may be difficult to interpret, and areas of reticulin collapse may result in overestimation of the degree of fibrosis.

Table 17.2
Batts and Ludwig Staging System
Grading Staging
0: portal inflammation only, no interface activity, no lobular inflammation 0: none
1: portal inflammation, minimal patchy interface activity, spotty lobular necroinflammatory activity 1: fibrous portal expansion
2: mild portal inflammation, mild interface activity involving some or all portal tracts, mild lobular necroinflammatory activity 2: periportal fibrosis (allows rare delicate thin septa)
3: portal inflammation, moderate interface activity involving all portal tracts, moderate lobular necroinflammatory activity with noticeable hepatocellular injury 3: bridging fibrosis
4: portal inflammation, severe interface activity, severe lobular necroinflammatory activity with bridging necrosis 4: cirrhosis

Figure 17.9, Grading chronic hepatitis based on Batts and Ludwig classification system. A , Minimal activity (grade 1): mild portal inflammation with scant piecemeal necrosis and no lobular necrosis. B , Mild activity (grade 2): mild portal inflammation, piecemeal necrosis and scant lobular inflammation. C , Moderate activity (grade 3): moderate portal inflammation, piecemeal necrosis and lobular spotty necrosis. D , Severe activity (grade 4): marked portal inflammation, brisk piecemeal necrosis, considerable spotty necrosis, and areas of confluent necrosis leading to bridging.

Figure 17.10, Staging chronic hepatitis based on Batts and Ludwig classification system. A , Portal fibrosis (stage 1): mild fibrous portal expansion of portal tracts. B , Periportal fibrosis (stage 2): fine strands of connective tissue in zone 1 with only rare portal–portal septa. C , Bridging (septal) fibrosis (stage 3): connective tissue bridges that link portal tracts to other portal tracts and central veins, minimally distorted architecture but no regenerative nodules. D , Cirrhosis (stage 4): bridging fibrosis and nodular regeneration.

Chronic Viral Hepatitis

Clinical Features

Chronic viral hepatitis has a wide spectrum of clinical manifestations, ranging from asymptomatic infection to decompensated cirrhosis. Symptomatic patients have mild, nonspecific symptoms such as fatigue, anorexia, and weight loss. Patients with cirrhosis may present with esophageal varices, hepatosplenomegaly, spider angiomata, ascites, peripheral edema, muscle wasting, and abdominal collateral blood vessels.

Serum transaminase levels are usually elevated in the 2- to 10-fold range of normal, although patients with mild chronic viral hepatitis may have normal transaminase levels. ALP and bilirubin levels are usually normal to mildly elevated unless hepatic decompensation occurs. Low-titer nonspecific autoantibodies, especially anti–liver/kidney microsomal 1 antibodies (anti-LKM1) and smooth muscle actin (SMA), have been reported in this setting. Fibrosing cholestatic hepatitis (FCH) is a severe, rapidly progressive form of hepatitis B or C that occurs in immunosuppressed or immunocompromised patients.

Chronic Viral Hepatitis—Fact Sheet

Definition

  • Chronic viral (hepatitis B, C) infection

Incidence and Location

  • Common worldwide

  • Approximately 3% of world population (∼184 million) has hepatitis C infection

  • Approximately 240 million people (3.7%) worldwide are chronically infected with hepatitis B (defined as hepatitis B surface antigen positive for at least 6 months)

  • Less than 1% of the population in Western Europe and North America is chronically infected with hepatitis B, but the prevalence in endemic regions is up to 10%

Morbidity and Mortality

  • Chronic viral hepatitis accounts for a significant number of deaths per year worldwide (estimated as 786,000 cases caused by hepatitis B and ∼500,000 cases caused by hepatitis C in 2010)

  • Risk of hepatocellular carcinoma is high in chronic viral hepatitis, particularly hepatitis B

Gender, Race, and Age Distribution

  • Both genders and all races are equally affected

  • Wide age range for both hepatitis B and hepatitis C; hepatitis B is commonly acquired perinatally in high-incidence areas

Clinical Features

  • Commonly asymptomatic at diagnosis or may present with mild nonspecific symptoms

  • Patients with late-stage disease exhibit signs of chronic liver disease

Prognosis and Therapy

  • Treatment for chronic hepatitis B includes oral antiviral agents, such as tenofovir or entecavir. Interferon injections may be considered in certain cases. A vaccine is available to prevent infection

  • Newer, highly effective treatment options for hepatitis C include interferon-free regimens with direct antiviral agents

  • The prognosis for hepatitis B is related to severity of liver disease at presentation

  • The prognosis for hepatitis C is variable; risk factors for progression of untreated or refractory disease include presence of fibrosis in liver biopsy, immune status, alcohol use, viral genotype, age older than 50 years at infection, and male gender

Pathologic Features

Gross Findings

Early-stage chronic viral hepatitis shows no specific macroscopic features of chronic viral hepatitis. The liver becomes firm as fibrosis progresses. Late-stage disease is grossly evident as cirrhosis.

Microscopic Findings

The microscopic findings include the characteristic features of chronic hepatitis pattern of injury: portal inflammation with or without fibrosis and variable degrees of interface hepatitis and lobular necroinflammatory activity. The portal tracts are expanded by inflammatory infiltrates composed of mostly lymphocytes with variable plasma cells and other inflammatory cells. Lymphoid follicles with prominent germinal centers may be seen ( Fig. 17.11A ). Mild bile duct injury with intraepithelial lymphocytes may be seen, but there are no destructive bile duct lesions. Interface activity, also known as “interface hepatitis” or “piecemeal necrosis,” is a frequent feature ( Fig. 17.11B ). It is characterized by extension of the portal inflammation beyond the “limiting plate” into the periportal hepatic lobule and accompanying hepatocyte injury or necrosis.

Figure 17.11, A , Portal tracts are expanded by an exuberant inflammatory infiltrate with prominent germinal center in this case of chronic viral hepatitis. Interlobular bile ducts show no significant injury. B , Lymphocytic inflammation extending into the lobular region (interface hepatitis, arrows ), causing focal hepatocyte injury. C , Lobular activity is variable; small collections of mononuclear inflammatory cells mark sites of lytic necrosis of hepatocytes. D , Massive hepatic necrosis in acute viral hepatitis. Collapse of the parenchymal framework may be mistaken for cirrhosis. Bile ductular reaction is common. E , Ground glass cytoplasmic inclusions in hepatitis B infection.

In most cases, lobular inflammation consists of randomly scattered lobular collections of mononuclear cells associated with hepatocyte injury or acidophil bodies ( Fig. 17.11C ), but confluent and even bridging necrosis can be seen ( Fig. 17.11D ). Ground-glass hepatocytes ( Fig. 17.11E ) are a characteristic feature of HBV infection but are only seen in patients with chronic HBV in the setting of active viral replication.

Fibrosis in chronic viral hepatitis is portal-based and evolves to extend into the periportal region ( Fig. 17.12 ). Bridging fibrosis occurs as portal–portal or portal–central fibrous septa. The end result is cirrhosis.

Figure 17.12, Portal-based fibrosis is the norm in chronic hepatitis, in this case, periportal to early bridging fibrosis.

Other Findings

Steatosis in hepatitis C can occur in patients with concomitant nonalcoholic fatty liver disease (NAFLD) and as a direct effect of the virus in patients with hepatitis C virus (HCV) genotype 3 infection. HCV infection is also associated with greater insulin resistance and metabolic syndrome, and, when present, both steatosis and insulin resistance predict rapid progression of fibrosis, poor response rate to interferon therapy (even in HCV genotype 3 infection), and an increased risk of hepatocellular carcinoma.

Fibrosing Cholestatic Hepatitis

The FCH variant of HBV and HCV is an aggressive form of hepatitis that typically occurs in immunosuppressed patients. FCH is characterized by prominent perisinusoidal/pericellular fibrosis occurring in the periportal region, ductular reaction, hepatocellular injury including hepatocyte swelling and ground-glass inclusions (in HBV), and prominent intracellular and canalicular cholestasis ( Fig. 17.13 ). The biopsy usually lacks significant inflammatory infiltrates.

Chronic Viral Hepatitis—Pathologic Features

Gross Findings

  • Firm consistency if increased fibrosis

  • Cirrhotic livers with brown discoloration and greenish hue, particularly in cases with end-stage cholestasis

Microscopic Findings

  • Mononuclear portal-predominant inflammatory infiltrates

  • Interface hepatitis is variable

  • Lobular activity is manifested by acidophilic bodies and scattered foci of lobular inflammatory infiltrates

  • Confluent necrosis may be seen in severe disease or with superimposed acute injury

  • Fibrosis is portal based and evolves to involve the periportal areas, with eventual portal–portal and portal–central bridging and cirrhosis

Differential Diagnosis

  • Autoimmune hepatitis

  • Drug-induced liver injury

  • Early chronic cholestatic conditions (primary sclerosing cholangitis, primary biliary cholangitis)

  • Lymphoma or leukemic infiltrate

  • Wilson’s disease

  • α1-Antitrypsin

Figure 17.13, Diffuse swelling of hepatocytes with pale appearance and bile ductular proliferation, characteristic of early stages of fibrosing cholestatic hepatitis C.

Ancillary Studies

For chronic HBV and HBC infection, the diagnosis is based on serologic testing and confirmatory RNA or DNA by PCR to exclude false-positive serologies (as can occur in the setting of AIH). Cytoplasmic and nuclear accumulation of hepatitis B core antigen (HBcAg) ( Fig. 17.14A ) may be detected by IHC and correlates with active replication of the virus. However, immunohistochemical stains for surface ( Fig. 17.14B ) and core antigens (HBV and HCV) are rarely helpful or required in daily practice.

Figure 17.14, A , Core antigen (HBcAg) immunohistochemistry showing nuclear positivity in approximately half of the nuclei in this biopsy, with only trace amounts of core antigen seen in the cytoplasm. Cytoplasmic HBcAg staining correlates with high necroinflammatory activity. B , Immunohistochemistry for hepatitis B surface antigen shows accumulation of HBsAg in hepatocytes.

Differential Diagnosis

The histologic differential diagnosis of chronic viral hepatitis primarily includes AIH, primary biliary disorders, Wilson’s disease, α1AT deficiency, DILI, and low-grade lymphoproliferative disorders. Serologic and PCR-based testing are essential in distinguishing these entities. Ground-glass hepatocytes are associated with chronic HBV infection but are only present in the setting of active viral replication. Similar-appearing cytoplasmic inclusions (“pseudo-ground-glass change”) have been described in other conditions, such as cyanamide toxicity, type IV glycogen storage disease (GSD). Lafora disease, uremia, transplant recipients, patients taking numerous medications, and immunosuppressed patients. Extensive plasma cell inflammatory infiltrates and more extensive interface activity with concurrent lobular necroinflammatory activity favor AIH.

Like chronic viral hepatitis, the early stages of PBC and PSC show portal-based inflammation and fibrosis. Elevated serum ALP, positive antimitochondrial antibodies (AMAs) (in PBC), or endoscopic retrograde cholangiopancreatography (ERCP) (in the case of PSC) help distinguish these entities from chronic viral hepatitis.

Wilson’s disease usually affects young individuals and can be clinically excluded by the serum ceruloplasmin level, 24-hour urine copper levels, and quantitative copper on liver tissue analysis. A1AT deficiency is characterized by the accumulation of PAS-positive, diastase-resistant cytoplasmic globules in hepatocytes.

Drug-induced liver injury (discussed later in this chapter) must also be considered; medication history is key to diagnosis. Rarely, lymphoproliferative disorders, in particular low-grade B-cell lymphomas, can mimic chronic hepatitis. Monotonous or expansile lymphoid infiltrates should raise suspicion for lymphoma. Immunohistochemical stains and flow cytometry help differentiate lymphoma from chronic hepatitis.

Prognosis and Therapy

Patients with chronic hepatitis B infection can be treated with oral antiviral agents. The treatment suppresses viral replication and thus slows the progression to cirrhosis and improves long-term survival. In general, the regimens include a combination of interferon and nucleos(t)ide analogues, including tenofovir or entecavir. Vaccines are available.

The therapeutic map for hepatitis C is rapidly changing with the introduction of newer interferon-free regimens that are highly effective in achieving sustained serologic response. The newer antiviral drugs are more effective and better tolerated than interferon-based therapies.

Fibrosing cholestatic hepatitis C (hepatitis B or hepatitis C) has been linked to rapid disease progression, liver failure, and poor prognosis, although newer antiviral therapies for hepatitis C in particular may be responsible for better outcomes in this subset of cases.

Autoimmune Hepatitis

Clinical Features

Autoimmune hepatitis is an immune-mediated hepatitis characterized by a combination of clinical, laboratory, and histologic findings of hepatitis that predominantly affects young to middle-aged women. It is an a priori chronic form of hepatitis with phases of acute exacerbations. The presenting symptoms are highly variable and include anorexia, jaundice, hepatomegaly, and abdominal pain. However, the diagnosis should be considered in any patient with elevated transaminases of any duration. Between 10% and 20% of patients present with acute liver failure, but presentation with clinical features of an acute or chronic hepatitis is far more common.

Transaminase elevation is a consistent feature of AIH, and nearly all patients exhibit elevated serum immunoglobulin (Ig) G levels at the time of diagnosis. Autoantibodies including anti–smooth muscle antibodies (ASMAs) and antinuclear antibodies (ANAs), can be detected in most patients but are not required for the diagnosis. Anti-LKM1 are most often seen in young female patients (including adolescents and children). These autoantibodies are not specific and can be present in other conditions including alcoholic liver disease, NAFLD, PBC, and PSC, among others. Hepatitis C antibodies can also be falsely positive in patients with AIH and remain positive after effective HCV treatment; for this reason, confirmatory RNA testing is used to confirm or exclude HCV infection. Hyperbilirubinemia and ALP elevations may be seen in patients with severe hepatitis and extensive hepatocyte injury and in the setting of AIH–PBC overlap.

Given the multiple elements (clinical, serologic, and histologic) that contribute to the diagnosis, a detailed scoring system for diagnosing AIH was established by the International Autoimmune Hepatitis Group and later simplified by Hennes et al. ( Table 17.3 ). Rapid response to immunosuppression is typical.

Autoimmune Hepatitis—Fact Sheet

Definition

  • Ongoing immune-mediated hepatitis

Incidence and Location

  • Incidence is approximately 0.1 to 1.9 per 100,000 per year in Northern Europe and North American white populations

  • Rare in Asia and Africa

Morbidity and Mortality

  • High rate of complications (from cirrhosis to acute liver failure) if left untreated

  • 50% 5-year mortality rate if untreated

Gender, Race, and Age Distribution

  • Predominantly young to middle-aged women

  • More common in patients of European descent

Clinical Features

  • Often presents abruptly, similar to acute viral hepatitis

  • Anorexia, jaundice, hepatomegaly, abdominal pain

  • May present with arthralgia and skin rash

  • Marked elevation of transaminases

  • Polyclonal hypergammaglobulinemia

  • Positive autoantibodies: antinuclear antibodies, SMA, and/or liver-kidney microsomal antibodies

Prognosis and Therapy

  • Ongoing and variable clinical course, often with flares

  • Corticosteroids and other immunosuppressants significantly improve survival

Table 17.3
Parameters Included in the Simplified Scoring System for the Diagnosis of Autoimmune Hepatitis
Based on Hennes EM, Zeniya M, Czaja AJ, et al. Simplified criteria for the diagnosis of autoimmune hepatitis. Hepatology . 2008;48(1):169–176.
Parameters
  • ANA or SMA titers ≥1:40 → 1 point

  • ANA or SMA titers ≥1:80 or LKM titer ≥1:40 or SLA positive → 2 points

  • (The sum of both results was limited to 2 points)

  • IgG levels >UNL → 1 point

  • IgG levels >1.10 UNL (>10% above UNL) > 2 points

  • Liver histology compatible or typical for AIH → 1, or 2 points

  • Exclusion of viral hepatitis → 2 points

  • Cumulative score interpretation:

    • ≥6: probable AIH

    • ≥7: definite AIH

AIH , Autoimmune hepatitis; ANA , antinuclear antibodies; Ig , immunoglobulin; LKM , liver-kidney microsomal antibodies; SLA, SMA , smooth muscle actin; UNL , upper normal limit.

Pathologic Features

Gross Findings

The gross appearance of the liver in AIH is variable. For patients presenting with an acute fulminant course, massive hepatic necrosis results in a shrunken liver with a flaccid capsule. Islands of regenerating or preserved hepatic parenchyma often show greenish hue caused by cholestasis. The liver is firm in advanced fibrosis and diffusely nodular in cirrhosis.

Microscopic Findings

Autoimmune hepatitis most commonly presents a chronic hepatitis pattern of injury followed by acute hepatitis and cholestatic hepatitis patterns. The classic histologic findings include a chronic hepatitis with well-developed interface hepatitis and lobular necroinflammatory activity. Most cases reveal dense portal lymphoplasmacytic infiltrates, often with plasma cell aggregates. Prominent plasma cells are a frequent but not required feature. Interface hepatitis is often prominent in untreated AIH ( Fig. 17.15A ). The lobules demonstrate several foci of necroinflammatory activity, including perivenular plasma cell–rich inflammatory cell infiltrates and hepatocyte necrosis. Acidophil bodies may be frequent, and patients experiencing an acute exacerbation may show diffuse hepatocyte swelling with lobular disarray ( Fig. 17.15B ). Kupffer cell hyperplasia can be seen, but well-formed epithelioid granulomas are not a feature of AIH. A panel of pathology experts recently published a set of criteria to aid in the histologic diagnosis of AIH. In this publication (Lohse et al., 2022), portal or lobular lymphoplasmacytic infiltrates along with more than mild interface activity and portal based fibrosis remain importan features in the diagnosis.

Figure 17.15, A , Interface hepatitis and lobular activity are often pronounced in autoimmune hepatitis; plasma cells in clusters in the inflammatory infiltrate are a helpful but relatively nonspecific feature of AIH. B , Lobular disarray with scattered acidophil bodies. C , Hepatocyte regeneration may lead to formation of hepatocyte rosettes ( arrow ). D , Cases with severe acute AIH can demonstrate extensive lobular necrosis and collapse.

Bile duct injury, if present, tends to be patchy, mild, and most commonly associated with lymphocytic injury. Destructive bile duct lesions or “florid duct lesions” are not a feature of AIH and, if present, should raise concern for an AIH–PBC overlap syndrome, DILI, or other forms of liver disease. Portal-based fibrosis is often present at initial presentation.

In a subset of cases, an acute hepatitis or acute-on-chronic hepatitis pattern of injury predominates. In these biopsies, the lobular inflammation and injury predominates, with prominent hepatocellular swelling, lobular disarray, and regenerative changes, including hepatocellular rosettes ( Fig. 17.15C ) and bile ductular proliferation. In severe cases, extensive necroinflammatory activity leads to bridging necrosis and even massive hepatic necrosis with parenchymal collapse ( Fig. 17.15D ). Transformation of hepatocytes into syncytial multinucleated giant cells (acute hepatitis with giant cell transformation) can also be present. Hepatocanalicular cholestasis may be seen in the acute phase of exacerbation and present as an acute cholestatic hepatitis pattern of injury.

Autoimmune Hepatitis—Pathologic Features

Gross Findings

  • Cases of acute fulminant disease may show massive hepatic necrosis

  • In end-stage disease, the liver shows evidence of cirrhosis

Microscopic Findings

  • Chronic hepatitis pattern of injury

  • Usually well-established interface hepatitis and lobular necroinflammatory activity in untreated disease

  • Plasma cells may be prominent in portal tracts and perivenular locations

  • Variable fibrosis, from portal expansion to portal–portal or portal–central bridging and cirrhosis

Genetics

  • Genetic predisposition associated with human leukocyte antigen A1-B8-DR haplotype

Differential Diagnosis

  • Viral hepatitis (especially hepatitis B and C)

  • Primary biliary cholangitis and primary sclerosing cholangitis

  • Drug-induced liver injury

These histologic changes may be significantly reduced or even absent after immunosuppressive therapy.

Differential Diagnosis

The differential diagnosis for AIH includes chronic viral hepatitis, DILI, and early stages of primary biliary disorders, among others. Viral serologies and PCR-based testing are used to exclude chronic viral hepatitis, which often shows less extensive interface hepatitis and lobular necroinflammatory activity than AIH. As opposed to PBC, AIH exhibits only minimal bile duct injury without duct destruction and a hepatitic rather than cholestatic pattern of liver enzyme abnormalities.

Drugs can cause an AIH-like clinical and histologic picture with autoantibodies and hypergammaglobulinemia at any time after initiating the medication. Drugs associated with an AIH-like pattern of injury include nitrofurantoin, minocycline, diclofenac, infliximab, atorvastatin, and other statins and hydralazine, methyldopa, and anti–tumor necrosis factor-α (anti–TNF-α) agents, among others. DILI is a diagnosis of exclusion and requires clinical correlation. The LiverTox website is a helpful database to search for medications known to induce liver injury. Wilson’s disease can rarely present with features of AIH; however, clinical and laboratory findings are helpful in separating these entities.

Prognosis and Therapy

The goals of treatment are to induce or maintain remission and prevent progression of disease. Most patients experience a rapid response to immunosuppressive therapy, which typically includes steroids with or without azathioprine. Treatment-refractory cases are well recognized. Relapse is common upon withdrawal of immunosuppression, but most patients quickly recover after restarting therapy. Liver transplantation is indicated for cirrhotic patients as well as for patients with massive hepatic necrosis.

Fatty Liver Disease or Steatohepatitis Pattern of Injury

The term fatty liver disease is used to describe a histologic pattern of injury that characteristically includes steatosis at least at some point during the course of disease. Steatosis is associated with a wide spectrum of clinical disorders, such as obesity, hyperinsulinemia, metabolic disorders, malnutrition, medications, and others ( Table 17.4 ). Steatosis and steatohepatitis are distinguished based on their histologic features and prognoses. Steatosis occurs in the absence of features of steatohepatitis and carries the lowest risk of progressive disease. Alcoholic steatohepatitis (ASH) and nonalcoholic steatohepatitis (NASH) are both characterized by progressive fibrosis and common histologic features, including steatosis, lobular inflammation, hepatocellular injury, and pericellular or perisinusoidal fibrosis.

Table 17.4
Conditions That Cause Steatosis
Causes of Macrovesicular Steatosis Causes of Microvesicular Steatosis
  • Obesity or metabolic

  • Total parental nutrition

  • Rapid starvation

  • Hypothyroidism

  • Jejunoileal bypass

  • Wilson’s disease

  • Abetalipoproteinemia

  • Weber-Christian disease

  • Infection (hepatitis C)

  • Alcohol

  • Medication

    • Amiodarone

    • Tamoxifen

    • Steroids

    • Estrogen

    • Antiretroviral agents

    • Tetracycline

    • Minocycline

  • Acute fatty liver of pregnancy

  • Inherited disorders of fatty acid metabolism

  • Reye’s syndrome

  • Mitochondrial cytopathies

  • Medications

    • Amiodarone

    • Valproate

    • Nucleoside analog reverse transcriptase inhibitors

    • Tetracycline

  • Wolman’s disease

  • Acute iron toxicity

  • Cholesterol ester storage disease

  • Jamaican vomiting disease

  • Labrea fever

  • Multiple hornet stings

  • Bacillus cereus toxins

  • Alcoholic foamy degeneration

  • Navajo neuropathy

  • Inherited urea cycle disorders

  • Pearson’s syndrome

Nonalcoholic Fatty Liver Disease

Clinical Features

Nonalcoholic fatty liver disease refers to steatosis and steatohepatitis occurring in the absence of significant alcohol use and attributed to metabolic factors that are associated with increased risk of cardiovascular disease and death known as the metabolic syndrome: abdominal obesity, atherogenic dyslipidemia, hypertension, insulin resistance, and prothrombotic or proinflammatory states. NAFLD is common in developed countries and has also been recognized as an emerging health problem in the pediatric population. Patients are usually asymptomatic and often incidentally discovered because of mildly elevated transaminase levels. Many patients who were previously diagnosed with “cryptogenic cirrhosis” likely had cirrhosis secondary to end-stage NAFLD.

Nonalcoholic Fatty Liver Disease—Fact Sheet

Definition

  • Steatosis, mostly macrovesicular, occurring in patients with features of the metabolic syndrome

  • May also exhibit features of steatohepatitis (ballooning hepatocyte degeneration, inflammation) and fibrosis

Incidence and Location

  • More common in developed countries; estimated prevalence in the US population is 20% to 40%

Morbidity and Mortality

  • May progress to cirrhosis

  • Patients with steatohepatitis and fibrosis are at greatest risk of cirrhosis

Gender, Race, and Age Distribution

  • Common in both men and women of all races

  • Nonalcoholic fatty liver disease increasingly diagnosed in obese children, teenagers, and young adults

Clinical Features

  • Mostly asymptomatic, slightly abnormal liver tests (and alanine aminotransferase > aminotransferase) or hepatomegaly

  • Associated with obesity, insulin resistance or diabetes, hypertriglyceridemia, and other dyslipidemias (metabolic syndrome)

Radiologic Features

  • Fatty liver infiltration on ultrasound on magnetic resonance imaging

Prognosis and Therapy

  • Fibrosis on index biopsy is associated with progressive disease and poor outcome

  • Treatment includes lifestyle modifications that include weight loss and blood glucose control; antidiabetic drugs and bariatric surgery have shown to have significant benefit

Pathologic Features

Gross Findings

In severe steatosis, the liver is grossly enlarged, yellow, and greasy ( Fig. 17.16 ).

Figure 17.16, Accumulation of fat leads to an enlarged yellow liver in nonalcoholic fatty liver disease (NAFLD).

Microscopic Findings

Nonalcoholic fatty liver disease encompasses a range of histologic findings, including mild steatosis to steatohepatitis (NASH) and even end-stage cirrhosis.

Steatosis is a key feature of NAFLD. A minimum of 5% macrovesicular steatosis (large or small droplets) ( Fig. 17.17A ), often exclusively or predominantly macrovesicular ( Fig. 17.17B ) or mixed, should be present for the diagnosis. Microvesicular steatosis is less common and is characterized by very small fat vacuoles that impart a granular or “fluffy” appearance to the hepatocyte cytoplasm ( Fig. 17.17C ). Microvesicular steatosis may be present as scattered cells or in contiguous patches in NAFLD. Steatosis is classified as none (<5%), mild (5%–33%), moderate (34%–66%), or severe (>66%).

Figure 17.17, Steatohepatitis. A , Macrovesicular steatosis is readily identified on low power by the large rounded clear vacuoles that represent fat accumulation in hepatocytes. Note the conspicuous zones 2 and 3 distribution of steatosis commonly seen in NAFLD. B , Mainly large droplets of macrovesicular steatosis. C , A patch of microvesicular steatosis ( right of the photo) is seen admixed with areas of macrovesicular steatosis ( left ) in this case. D , Histologic features of steatohepatitis include steatosis, ballooning, and lobular inflammation. E , Ballooning degeneration of hepatocytes with Mallory hyaline ( arrow ) and focal accumulation of mononuclear inflammatory cells in the lobule are features of nonalcoholic steatohepatitis. Mallory’s hyaline, ropey eosinophilic cytoplasmic accumulation of intermediate filaments is more common in alcoholic steatohepatitis. F , Lobular inflammation may include lymphocytes, Kupffer cells, and neutrophils. G , Mallory hyaline is chemotactic for neutrophil and frequently associated with “satellitosis.” H , Fibrosis in steatohepatitis generally begins in centrilobular areas as delicate pericellular fibrosis in a “chicken wire” pattern. I , As advanced fibrosis develops, central-central bridging may be prominent, as in this case.

Nonalcoholic steatohepatitis can be distinguished from steatosis by the presence of ballooning hepatocyte degeneration (a key diagnostic feature) and inflammation ( Fig. 17.17D ). Ballooned hepatocytes ( Fig. 17.17E ) stand out from the background hepatocytes because of their large size and pale, irregular wispy or clumpy cytoplasm and disrupted cell membranes. They tend to be most prominent in zone 3, where they are associated with perisinusoidal fibrosis and steatotic hepatocytes. Classic ballooned hepatocytes may contain Mallory-Denk bodies, although this is not a required feature. Mallory-Denk bodies (also termed Mallory bodies or Mallory hyaline ) are abnormally folded intermediate filaments recognized histologically as eosinophilic ropy or globular structures in hepatocyte cytoplasm. Mallory-Denk bodies are not specific to NASH and can be seen in a variety of settings, including alcoholic liver disease, chronic cholestatic conditions, Wilson’s disease, and some tumors.

The inflammation seen in NASH includes a mixture of neutrophils, lymphocytes, plasma cells, and macrophages in the hepatic lobules and/or portal tracts ( Figs. 17.17F and G ). Whereas lobular inflammation is usually more prominent in adults, children may exhibit predominantly or exclusively portal inflammation (see later discussion). Lobular neutrophils are often present but are not required for the diagnosis of steatohepatitis. Portal inflammation is inconspicuous in most cases and is usually composed of mature lymphocytes and rare plasma cells. Greater portal inflammation occurring in the absence of chronic hepatitis (e.g., hepatitis C) has been linked to faster progression of disease, especially in pediatric patients, and with more severe disease in adults. If portal inflammation exceeds the extent of lobular inflammation, the possibility of coexisting chronic hepatitis or other liver disease should be considered, particularly when interface activity is seen. Megamitochondria, patchy glycogenosis, glycogenated nuclei, and lipogranulomas may also be seen in patients with steatohepatitis, although these features are not required for diagnosis.

Fibrosis in adult patients with NASH begins in the centrilobular region ( Fig. 17.17H ). In the early stages, delicate pericellular fibrosis is best highlighted by the trichrome stain. With progressive disease, portal and periportal fibrosis develops, and fibrous septa form between portal tracts and central veins or between portal tracts with subsequent evolution to cirrhosis. “Burned-out” steatohepatitis presenting in the cirrhotic stage ( Fig. 17.17I ) often shows only focal residual features of steatohepatitis and may be difficult to recognize histologically. Many cases of “cryptogenic cirrhosis” likely represent end-stage NAFLD.

Pediatric Nonalcoholic Fatty Liver Disease

Nonalcoholic fatty liver disease is the leading cause of liver disease in children. Some children show a similar histologic picture as seen in adults (type 1 pediatric NAFLD), whereas others have a distinct pattern of injury termed type 2 pediatric NAFLD and characterized by zone 1–predominant steatosis, portal inflammation, and portal or periportal scarring. Some children may show a combination of these patterns. The minimal diagnostic criteria for recognizing children at greatest risk of progressive disease are unclear, and some pathologists have used the term borderline, zone 1, steatohepatitis to indicate potentially progressive disease in biopsies exhibiting zone 1–predominant or panacinar steatosis, portal inflammation (usually mild) ( Fig. 17.18A ), and portal fibrosis ( Fig. 17.18B ) but little or no ballooning or Mallory bodies.

Figure 17.18, Pediatric steatohepatitis. A , As opposed to adult NASH, these cases may reveal more prominent portal inflammation and B , portal-based fibrosis.

In 2005, the semiquantitative “NAFLD Activity Score” (NAS; Table 17.5 ) was published by the NASH Clinical Research Network (CRN). This score was intended for use in research trials to standardize reporting and assess changes in component features that might be seen in serial biopsies. The NAS represents the unweighted sum of steatosis, lobular inflammation, and hepatocyte ballooning scores. As in chronic hepatitis, grade is reported separately from stage (extent of fibrosis).

Nonalcoholic Fatty Liver Disease—Pathologic Features

Gross Findings

  • Liver is enlarged, yellow, and greasy

Microscopic Findings

  • Steatosis, variable amount, predominantly macrovesicular

  • Ballooning hepatocyte degeneration in steatohepatitis

  • Lobular inflammation

  • Mallory’s hyaline may be conspicuous

  • Early stages of steatohepatitis show centrilobular, pericellular fibrosis that evolves to involve portal tracts and eventually bridging fibrosis and cirrhosis

Differential Diagnosis

  • Alcoholic liver disease

  • Drug-induced liver injury

  • Hepatitis C

  • Other metabolic disorders, especially Wilson’s disease

Table 17.5
Nonalcoholic Steatohepatitis Clinical Research Network Nonalcoholic Fatty Liver Disease Activity Score
Adapted from Kleiner DE, Brunt EM, Van Natta M, et al. Nonalcoholic Steatohepatitis Clinical Research Network. Design and validation of a histologic scoring system for nonalcoholic fatty liver disease. Hepatology . 2005;41:1313–1321.
Activity Score (0–8) a Fibrosis Score (0–4) b
  • Steatosis (0–3)

  • 0: <5%

  • 1: 5%–33%

  • 2: 34%–66%

  • 3: >66%

  • 1a: zone 3 perisinusoidal fibrosis requiring trichrome

  • 1b: zone 3 perisinusoidal fibrosis on H&E

  • 1c: portal fibrosis only

  • Lobular inflammation (0–3)

  • 1: <2 foci per 20× field

  • 2: 2–4 foci per 20× field

  • 3: >4 foci per 20× field

2: zone 3 + portal or periportal
  • Ballooning (0–2)

  • 0: none

  • 1: few

  • 2: many

3: bridging fibrosis
4: Cirrhosis
H&E , Hematoxylin and eosin.

a Overall pattern of nonalcoholic fatty liver disease.

b Using Masson’s trichrome.

Differential Diagnosis

Because of the histologic similarities, NAFLD cannot be reliably distinguished from alcoholic liver disease on the basis of biopsy findings alone; this distinction is made clinically. That said, there are some differences between these entities. For example, steatosis is an important feature of NASH but is not always seen in alcoholic liver disease. Furthermore, canalicular cholestasis, bile ductular proliferation, veno-occlusive lesions, sclerosing hyaline necrosis, and alcoholic foamy degeneration (pure microvesicular steatosis) are features of alcoholic liver disease and are not commonly seen in NAFLD.

Drug reaction should also be considered in the differential diagnosis. Many medications, including estrogens, tamoxifen, and glucocorticoids, can cause steatosis, and amiodarone toxicity, for example, can cause a pattern of injury similar to ASH with frequent Mallory bodies.

Autoimmune hepatitis is sometimes considered in the clinical differential diagnosis of NAFLD, and nonspecific elevation of autoantibodies (ANA, SMA, AMA) can be identified in up to 20% of individuals with NAFLD. When autoantibodies are detected in the presence of prominent portal inflammation, a careful search for diagnostic features of coexisting chronic liver diseases such as AIH or PBC is warranted. Chronic HBV or HCV can coexist with NAFLD and should also be excluded clinically.

Ancillary Studies

Some studies have shown the utility of cytokeratin (CK) 8/18, hsp70, p62, and ubiquitin immunohistochemical stains in the identification of ballooned hepatocytes, but these stains are not used in clinical practice.

Prognosis and Therapy

Although there are ongoing clinical trials, diet and exercise and, in select patients, bariatric surgery remain the mainstay therapy for NASH. Steatosis appears to follow a relatively stable course, but steatohepatitis shows a greater propensity to progress to significant fibrosis or cirrhosis (∼28% of patients progress to bridging fibrosis or cirrhosis over 5–10 years).

Alcoholic Liver Disease

Clinical Features

Excess alcohol consumption is a leading cause of liver failure in the United States and worldwide. Significant alcohol use has been variably defined for research purposes. The National Institutes of Health–funded NASH CRN defined a limit of 20 g/day for men and 10 g/day for women for inclusion in their studies on NAFLD. Risk for severe hepatic injury correlates with daily intake, with 80 g/day of alcohol being a risk factor for severe hepatic injury. However, only 10% to 15% of people with alcoholism develop cirrhosis.

Like NAFLD, alcoholic liver disease can present as steatosis, alcoholic hepatitis, or cirrhosis. Hepatic steatosis presents with hepatomegaly and mild elevation of serum liver test results (in particular AST > ALT in a >2:1 ratio). Steatosis resolves with cessation of alcohol intake. Acute alcoholic hepatitis (acute alcoholic intoxication) may be life threatening. Patients often present with malaise, anorexia, weight loss, jaundice, and altered sensorium. In this setting, hyperbilirubinemia may be seen in addition to more pronounced elevation of transaminases. The clinical presentation of alcoholic cirrhosis is similar to other forms of cirrhosis.

Alcoholic Liver Disease—Fact Sheet

Definition

  • Spectrum of liver disease caused by alcohol use, including steatosis, alcoholic hepatitis, and cirrhosis

Incidence and Location

  • 10% to 15% of people with chronic alcoholism develop cirrhosis; true incidence of milder forms of alcoholic liver disease is unknown

  • Worldwide distribution

Morbidity and Mortality

  • For hepatic steatosis, full recovery is expected with cessation of alcohol intake

  • Severe acute alcoholic hepatitis is associated with up to 50% mortality rate; it may progress to cirrhosis or occur in the setting of cirrhosis

  • For alcoholic cirrhosis, the 5-year survival rate is approximately 50% for those who continue to consume alcohol; hepatocellular carcinoma is a common complication

Gender, Race, and Age Distribution

  • More common in men

  • All races are equally affected

  • Alcoholic cirrhosis is more common in older adults

  • Hepatic steatosis and alcoholic hepatitis may be seen in younger adults

Clinical Features

  • Steatosis presents with hepatomegaly; mild elevation of transaminases (aspartate aminotransferase > alanine aminotransferase in a >2:1 ratio)

  • Alcoholic hepatitis usually follows an episode of binge drinking and is associated with systemic symptoms, such as malaise or anorexia, with or without fever; liver enzymes can be markedly elevated with or without hyperbilirubinemia

  • Alcoholic cirrhosis presents with typical signs of cirrhosis

Prognosis and Therapy

  • Steatosis has an excellent prognosis with cessation of alcohol consumption

  • Alcoholic hepatitis may slowly resolve or may progress to cirrhosis; treatment is cessation of ethanol consumption and supportive therapy

  • Alcoholic cirrhosis has a poor prognosis in patients who continue to drink, with a 5-year survival rate of 50%; treatment is supportive or liver transplantation

Pathologic Features

Gross Findings

The liver in patients with steatosis and alcoholic hepatitis is often enlarged, yellow, soft, and greasy. In alcoholic cirrhosis, the liver is enlarged initially, with a finely granular capsular surface and firm texture ( Fig. 17.19 ).

Figure 17.19, A , The liver with steatosis is enlarged, soft, and yellow. The fat may be irregularly distributed. B , Cirrhosis due to excess alcohol consumption is micronodular, with a uniform cut surface.

Microscopic Findings

Alcoholic steatosis is commonly macrovesicular and zone 3 in distribution. With abstinence, steatosis may rapidly disappear, but residual foci lobular inflammation and lipogranulomas may be observed.

The diagnosis of alcoholic hepatitis (also known as alcoholic steatohepatitis has overlapping histologic features with NASH: steatosis with lobular inflammation and liver cell injury (ballooned hepatocytes and acidophil bodies), often with Mallory-Denk bodies ( Fig. 17.20A ). The degree of steatosis is variable. The lobular inflammation may be neutrophil rich with neutrophils in clusters around ballooned hepatocytes containing Mallory-Denk bodies (“satellitosis”) ( Fig. 17.20B ). In cases with pronounced hepatocellular injury, there is evidence of hepatocellular dropout, readily highlighted by the reticulin stain. Most cases show only mild or complete absence of mononuclear cell inflammatory infiltrate within the portal tracts.

Figure 17.20, A , In alcoholic steatohepatitis, the amount of steatosis is variable; hepatocyte injury, Mallory’s hyaline accumulation ( arrow ), and a neutrophilic infiltrate are key diagnostic features. B , Mallory hyaline is often present and associated with “satellitosis.” C , Pericellular fibrosis in alcoholic hepatitis has a chicken-wire appearance and is most prominent in the centrilobular region, where ballooned hepatocytes are frequently present. D , Cholestatic steatohepatitis is almost always seen in the setting of alcohol-induced injury.

Zone 3 pericellular and perisinusoidal fibrosis is a characteristic feature of alcoholic hepatitis. Collagen surrounds individual hepatocytes in a “chicken wire” pattern ( Fig. 17.20C ). As fibrosis progresses, central–central and central–portal fibrous bridges form, eventually resulting in micronodular cirrhosis. Scoring systems specifically designed for alcoholic liver disease (e.g., the system by Altamirano et al., 2014) are not widely used in clinical practice.

Although similarity between ASH and NASH exists, some patterns of injury described in alcoholic liver disease do not occur in NASH: (1) cholestatic steatohepatitis ( Figs. 17.20D ), (2) alcoholic foamy degeneration, and (3) sclerosing hyaline necrosis. Patients with cholestatic disease are often jaundiced with elevated ALP and gamma-glutamyl transferase (GGT). Biopsy shows prominent canalicular and hepatocellular cholestasis with or without bile ductular proliferation, mimicking bile duct obstruction. Alcoholic foamy degeneration is characterized by marked centrilobular microvesicular steatosis, often with prominent megamitochondria and cholestasis. Macrovesicular steatosis and neutrophilic inflammation is usually absent. Sclerosing hyaline necrosis is characterized by marked centrilobular hepatocellular necrosis and dropout. These patients later develop confluent fibrosis that obliterates the central veins (veno-occlusive lesions).

Alcoholic Liver Disease—Pathologic Features

Gross Findings

  • Steatosis: liver is enlarged, yellow, and greasy because of lipid accumulation

  • Alcoholic hepatitis: liver may be enlarged; yellow discoloration and firm consistency with progressive fibrosis

Microscopic Findings

  • Steatosis: macrovesicular steatosis, predominantly centrilobular but can be panlobular

  • Alcoholic steatohepatitis: hepatocyte ballooning degeneration, Mallory-Denk bodies, variable steatosis, neutrophilic inflammation, zone 3 pericellular and perisinusoidal fibrosis, progressing to central–portal bridging fibrosis

  • Alcoholic cirrhosis: delicate central–portal fibrous septa in early stages form micronodules, later mixed macronodular and micronodular cirrhosis pattern

Differential Diagnosis

  • Nonalcoholic fatty liver disease

  • Drug-induced liver injury

  • Chronic cholestatic conditions

  • Wilson’s disease

Differential Diagnosis

Nonalcoholic fatty liver disease is the major differential diagnosis for alcoholic liver disease, and frequently NASH and ASH cannot be differentiated based on histologic features alone. In general, neutrophilic-rich infiltrates, prominent Mallory’s hyaline, cholestasis, and conspicuous pericellular sinusoidal fibrosis should favor the diagnosis of alcohol-induced injury over NASH.

Drug-induced liver injury is an important consideration if a history of alcohol use cannot be established. Amiodarone toxicity causes phospholipidosis and prominent Mallory-Denk bodies, which can mimic alcoholic hepatitis.

Cholestatic ASH, large duct obstruction, and other chronic cholestatic conditions can show overlapping histologic features; however, the clinical history of alcohol use and clinical exclusion of large duct obstruction should be helpful in sorting this differential. In young patients, Wilson’s disease should be also considered as a potential cause and should be distinguished using clinical and ancillary laboratory tests.

Prognosis and Therapy

The long-term prognosis depends on the severity of liver injury and alcohol abstinence. Alcoholic steatosis tends to resolve within 1 to 3 months of stopping alcohol consumption. On the other hand, alcoholic hepatitis can progress to cirrhosis. Sclerosing hyaline necrosis carries a poor prognosis and often leads to portal hypertension and ascites. Treatment includes alcohol cessation and nutritional interventions and, for patients with more severe disease, prednisolone or pentoxifylline. Liver transplantation is an option for patients who achieve abstinence.

Cholestatic Pattern of Injury

A cholestatic pattern of injury can be seen in disease processes that affect parts of the biliary tree. The clinical presentation depends on the underlying disease, but in general, patients present with pruritus and fatigue, and laboratory testing reveals elevation of ALPH, bilirubin, and GGT. Clinically, cholestasis is associated with certain signs and symptoms that correspond, at least in part, to elevated serum levels of bilirubin, bile acids, and cholesterol. However, pathologically, it is defined by morphologic consequences of biliary retention and injury to the biliary tree. It is important to note that cholestasis by itself is quite nonspecific and does not necessarily indicate a primary cholestatic disorder. It can be seen in many other conditions, including drug injury, viral hepatitis, Wilson’s disease, and alcoholic liver disease.

Cholestasis may be classified by time frame (acute vs chronic cholestasis) or by the pattern and location of cholestasis: bland cholestasis, canalicular cholestasis, ductular cholestasis, ductal cholestasis, or ductular reaction or proliferation.

Acute Versus Chronic Cholestasis

Acute cholestasis often results from acute biliary obstruction but can also occur in sepsis and DILI. Histologic features of acute biliary obstruction include portal stromal edema, bile ductular proliferation with accompanying neutrophils. The lobules show canalicular cholestasis and bile plugs. Portal edema is a more specific histologic feature; however, it is uncommon and lacks sensitivity. Occasionally, bile infarcts and bile lakes are identified, and their presence indicates large bile duct obstruction.

Chronic cholestatic conditions such as chronic biliary obstruction, PBC, PSC, drugs or toxins, total parenteral nutrition (TPN) toxicity, sarcoidosis, graft-versus-host disease, bile transporter mutations, IgG4 cholangitis, and ischemic cholangitis, among others, show histologic features of chronic cholestasis. A key feature is periportal “cholate stasis” caused by accumulation of bile salts in hepatocytes, imparting a rarefied, feathery appearance to the cytoplasm of periportal hepatocytes. Intracytoplasmic copper accumulation within periportal hepatocytes can be highlighted by rhodanine and orcein stains, and periportal Mallory-Denk bodies are often seen. Other features include feathery degeneration of hepatocytes, hepatocyte rosette formation, and ductular proliferation. Over time, scarring progresses to a biliary-type cirrhosis, which exhibits a characteristic low-power appearance of irregular, serpiginous, or “jigsaw-shaped” nodules and periportal cholate stasis.

Patterns and Manifestations of Cholestasis

Bland cholestasis is defined by the presence of lobular canalicular and hepatocellular cholestasis in the absence of inflammation and hepatocyte injury. Bland cholestasis is typically related to DILI ( Fig. 17.21A ). Medications associated with bland cholestasis include androgenic steroids, estrogen, azathioprine, and others. Less frequently, bland cholestasis occurs in benign recurring intrahepatic cholestasis, thyroid disorders, or intrahepatic cholestasis of pregnancy and as a paraneoplastic syndrome.

Figure 17.21, A , Bland cholestasis associated with drug-induced liver injury. B , Most commonly, canalicular and hepatocellular cholestasis as a result of cholestatic liver injury. C , Ductular cholestasis involves the interlobular bile ducts, classically described in the setting of “cholangitis lenta.”

Canalicular cholestasis refers to bile within the bile canaliculi, which are not visible on routine H&E in the normal liver. Hepatocellular cholestasis indicates bile accumulation within hepatocyte cytoplasm. Hepatocellular and canalicular cholestasis often coexist ( hepatocanalicular cholestasis ) (see Fig. 17.19B ).

Ductal cholestasis is uncommon and indicates the presence of bile within the lumen of a native interlobular bile duct. Ductular cholestasis indicates the presence of bile plugs within the lumens of proliferating bile ductules (see later). Also termed cholangitis lenta ( Fig. 17.21C ), this finding can be seen in patients with sepsis. Ductular reaction or proliferation is a nonspecific finding that can be seen in a broad array of settings, including biliary obstruction, as a regenerative phenomenon in the setting of hepatocyte injury, with drug-induced injury, sepsis, parenteral nutrition, advanced hepatic fibrosis, and others.

Disorders of the Bile Ducts

.

Large Duct Obstruction

Clinical Features

The clinical diagnosis of large duct obstruction is based on imaging studies. Mechanical blockage of extrahepatic (large) intrahepatic ducts in the setting of biliary lithiasis is usually manifested by colicky right upper quadrant abdominal pain and elevated ALP, GGT, and serum bilirubin levels. In cases of malignant obstruction, patients often present with painless jaundice. Fever is only present when there is superimposed ascending bacterial cholangitis.

Large Duct Obstruction—Fact Sheet

Definition

  • Obstruction of large bile ducts by any cause, such as biliary stones, fibrosis, impingement by external structures/lesions (e.g., hematoma, abscess, tumor), or intrinsic biliary lesions

Incidence and Location

  • Common worldwide

Morbidity and Mortality

  • Histologic changes can be reversible upon resolution of the underlying obstruction

  • Long-standing biliary obstruction may progress to cirrhosis

  • Severe secondary ascending (bacterial) cholangitis; can lead to abscesses and strictures

Gender, Race, and Age Distribution

  • Men and women equally affected; obstruction secondary to gallstones more common in women

  • All races affected; gallstones more common in some populations.

  • Wide age range, depending on cause of obstruction

Clinical Features

  • Cholestatic pattern of liver enzymes

  • Colicky abdominal pain suggests biliary obstruction from stones

  • Painless jaundice suggests obstruction from malignancy

  • Fever may be seen in the setting of superimposed bacterial cholangitis

Radiologic Features

  • Ultrasonography may show dilated intrahepatic or extrahepatic ducts and may identify the cause of obstruction

  • Endoscopic ultrasonography and endoscopic retrograde cholangiopancreatography are very helpful in determining the site of obstruction and diagnostic/therapeutic interventions

Prognosis and Therapy

  • Treatment is relief of obstruction by surgery, endoscopic or percutaneous drain or stent placement, endoscopic removal of stones, or endoscopic dilation of stricture

  • Prognosis depends on the underlying cause but is generally good for nonmalignant causes of obstruction

Radiologic Features

Imaging studies remain the gold standard for diagnosing of large duct obstruction. Ultrasonography may show dilated intrahepatic and extrahepatic bile ducts above the level of obstruction as well as biliary stones. Endoscopic ultrasonography or ERCP is more helpful in the setting of malignant obstruction because this procedure provides information on the exact site of obstruction and allows clinicians to obtain biopsy samples to place stents or dilate strictures. Compared with ERCP, magnetic resonance cholangiopancreatography (MRCP) is noninvasive; superior in visualizing the bile ducts proximal to a site of obstruction; and provides additional information regarding hepatic parenchyma, vascular structures, and lymph nodes.

Pathologic Features

Gross Findings

Biliary sludge or stone material may be seen in the obstructed biliary tree, and areas of extravasated bile may form bile lakes or bile infarcts. Dilated extrahepatic and intrahepatic bile ducts, thickening of the bile duct wall, and ulceration of the bile duct mucosa may be seen with malignant obstruction. Advanced stages of chronic biliary obstruction can result in biliary-type cirrhosis characterized by irregular nodules and greenish discoloration of the liver parenchyma.

Microscopic Findings

Liver biopsy does not play a major role in the work-up and diagnosis of large duct obstruction because the histologic features are largely nonspecific, and the diagnosis of large duct obstruction is generally based on imaging studies. Portal tract abnormalities appear as early as 4 to 5 days after obstruction and include mixed portal inflammation, bile duct proliferation, and portal stromal edema ( Fig. 17.22A ). The portal inflammation consists of numerous neutrophils (secondary to bile ductular proliferation) and scattered lymphocytes and plasma cells ( Fig. 17.22B ). Canalicular cholestasis and bile plugs may be present. When present, bile infarcts and bile lakes are very specific for large duct obstruction ( Figs. 17.22C and D ). Some patients may develop superimposed ascending cholangitis with numerous intraluminal neutrophils within bile ducts, portal edema, and bile ductular proliferation.

Figure 17.22, A , Early in biliary obstruction, the portal tracts are edematous, with only a modest increase in inflammatory cells. The edema is particularly pronounced around interlobular bile ducts. B , If obstruction is not relieved, bile ductular reaction at the periphery of the portal tract develops. C , In later stages of biliary obstruction, hepatocyte necrosis with release of accumulated bile (bile infarct) may be seen. Note canalicular cholestasis ( arrow ), more prominent in centrilobular regions. D , Bile lakes are seen in late-stage large duct obstruction. E , In biliary cirrhosis due to large duct obstruction, bile ductular reaction is prominent at the periphery of the regenerative nodules.

With prolonged biliary obstruction, periportal hepatocytes show cholate stasis, copper accumulation, and Mallory hyaline inclusions. Mild periductal fibrosis may occur but bile duct loss is unusual in large duct obstruction. Advanced fibrosis with prominent bile ductular proliferation may develop in the setting of chronic biliary obstruction ( Fig. 17.22E ).

Large Duct Obstruction—Pathologic Features

Gross Findings

  • Intrabiliary stones

  • Bile lakes and infarcts

  • Strictures or thickening of the bile duct wall

  • Biliary-type cirrhosis with green discoloration

Microscopic Findings

Early Findings

  • Canalicular and hepatocellular cholestasis

  • Portal tract edema, more pronounced around interlobular bile ducts

  • Variable portal mixed inflammatory infiltrates

  • Bile ductular reaction accompanied by neutrophils

You're Reading a Preview

Become a Clinical Tree membership for Full access and enjoy Unlimited articles

Become membership

If you are a member. Log in here