Non-Neoplastic and Neoplastic Disorders of the Appendix


Congenital and Acquired Anatomic Anomalies of the Appendix

Abnormal Location, Size, and Absence of the Appendix

The appendix can have a host of anatomic abnormalities, including atypical location, duplication, and congenital absence. The position of appendix is determined by the rotation of the gut and position of the cecum during embryonic development. Retrocecal appendix is the most common abnormal location of the appendix. An abnormally long appendix (normal is 7–10 cm) has been linked to primary acute torsion, although torsion has also been reported in appendices of normal length. There can be complete or incomplete septa, which are seen principally in children and young adults and associated with acute appendicitis. Complete absence of appendix or atresia is extremely rare. This diagnosis in only made after a thorough search of the ileocecal region has failed to reveal an abnormally located appendix.

Diverticular Disease

Diverticula of the appendix can be congenital, in which case the muscularis propria is part of the diverticular wall, or acquired, in which case the diverticulum results from increased intraluminal pressure and mucosal herniation through a defect in the muscularis propria. This defect usually corresponds to the site of a penetrating artery. Acquired diverticula are more common than congenital diverticula and are seen in 1% to 2% of the population. However, acquired diverticula are greatly increased in patients with cystic fibrosis (CF), in whom they are found in up to 22% of appendectomy specimens. Patients may be completely asymptomatic or may present with signs and symptoms of acute appendicitis.

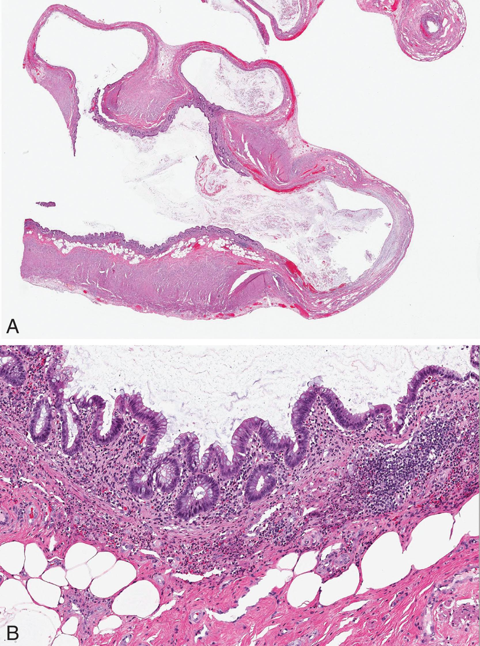
Grossly, the appendix may appear edematous and dilated. However, in most cases, diverticula cannot be easily identified. In case of perforation, the serosa shows purulent exudate. In the presence of dilated appendix, the lumen may be filled with mucin, and there may be evidence of extraappendiceal mucin. Histologically, there is outpouching of appendiceal mucosa through the muscularis propria, with or without periappendiceal fibrosis ( Fig. 8.1 ). The muscularis propria is usually attenuated. The epithelium may show reactive or hyperplastic epithelial changes that may be difficult to distinguish from low-grade appendiceal mucinous neoplasm. Diverticular disease can be associated with acellular mucin within the appendiceal wall, resulting in diagnostic mimicry with an appendiceal mucinous neoplasm. Preservation of the mucosal architecture with intact lamina propria and muscularis mucosae and lack of unequivocal cytologic dysplasia support a diagnosis of diverticular disease.

Figure 8.1, A , Appendiceal diverticular disease. The appendiceal tip shows numerous outpouchings composed of mucosa and submucosal tissue with attenuation of the corresponding muscularis propria. B , Higher magnification of the mucosa shows normal epithelial lining with intact lamina propria and muscularis mucosae.

Fibrous Obliteration of the Appendiceal Lumen (Neural Hyperplasia)

Clinical Features

There are no specific features because this is typically an incidental finding in about one-third of appendices excised for a variety of reasons.

Fibrous Obliteration of the Appendiceal Lumen (Neural Hyperplasia)—Fact Sheet

Definition

  • A spindle cell proliferation that fills and "obliterates" the appendix lumen, usually at the tip

Incidence and Location

  • Found in about one-third of excised appendices

Morbidity and Mortality

  • None

Gender, Race, and Age Distribution

  • All ages, without race or gender predisposition

Clinical Features

  • Incidental finding in appendices excised for all reasons

Pathologic Features

Gross Findings

The tip of the appendix is usually affected. No definite lumen is identified. Instead, the cut surface appears tan to white.

Microscopic Findings

The appendiceal lumen is obliterated by a proliferation of bland spindle cells in a collagenous and myxoid background. The individual cells may have “wavy” or “buckled” nuclei ( Fig. 8.2 ). These cells consist of an admixture of fibroblasts, Schwann cells, and axons. The process may be confined to the mucosa (“intramucosal variant”) or may replace the entire lumen. These phenomena are believed to be overall proliferative, with attendant phases of growth, involution, and finally fibrosis. Immunohistochemical staining shows S-100 protein and neuron-specific enolase–reactive spindle cells (intermingled Schwann cells and axons, respectively), and scattered endocrine cells. The fibroblasts may be positive for CD34.

Fibrous Obliteration of the Appendiceal Lumen (Neural Hyperplasia)—Pathologic Features

Gross Findings

  • Normal appendix diameter with lumen being replaced by tan-white fibrous tissue

Microscopic Findings

  • Bland spindle cell proliferation amid fibromyxoid stroma

Immunohistochemistry

  • S-100– and neuron-specific enolase–positive cells with scattered endocrine cells

Differential Diagnosis

  • With benign mesenchymal tumors, the luminal location is the key

Figure 8.2, Fibrous obliteration of appendix. A , The bisected appendiceal tip shows completer obliteration of the appendiceal lumen by spindle cells and inflammatory cells. B , Higher magnification shows that the spindle cell population is composed of bland cells with wavy nuclei. These cells express S-100 protein and are often admixed with fibroblasts.

Differential Diagnosis

The differential diagnosis is with the host of spindle cell tumors of the gastrointestinal (GI) tract that are discussed in Chapter 7 . However, the location (with its epicenter in the lumen of the appendix) and nature of the spindle cell proliferation are helpful in distinguishing it from other mesenchymal neoplasms, especially those of neural origin.

Prognosis and Therapy

Fibrous obliteration is a benign and incidental lesion.

Acute Appendicitis

Clinical Features

Acute appendicitis most commonly affects children and adolescents (5–15 years) but occasionally may present in older individuals as well. The approximate incidence of acute appendicitis is 7% to 10%. It results from mucosal injury secondary to luminal obstruction by a fecalith, parasite, fragment of undigested food, or lymphoid hyperplasia followed by bacterial infection that progressively spreads from the mucosa to involve the appendiceal wall. Perforation is more common in the very young and in the older age groups. In older patients, the inflammatory process is often associated with neoplasms. Some observers believe that all appendices should be removed during surgery for suspected acute appendicitis, even when grossly normal, because nearly 20% of normal-appearing appendices may have acute inflammation on microscopic examination. A possible exception is patients who might require urologic surgery in the future because their appendices may later serve as urinary conduits.

Both ultrasound and computed tomography (CT) are useful in diagnosing acute appendicitis. The only sonographic sign that is specific for appendicitis is an enlarged, noncompressible appendix measuring greater than 6 mm in maximal diameter. CT signs of acute appendicitis include a distended appendix greater than 7 mm in maximal diameter, appendiceal wall thickening and enhancement, an appendicolith, circumferential or focal cecal apical thickening, pericecal fat stranding, adjacent bowel wall thickening, focal or free peritoneal fluid, mesenteric lymphadenopathy, and intraperitoneal phlegmon or abscess.

Acute Appendicitis—Fact Sheet

Definition

  • An acute inflammatory process attributed to local obstruction and infection involving the appendix

Incidence and Location

  • Involves the appendix

  • Incidences reported up to 7%

Morbidity and Mortality

  • Complications include wound infection, urinary retention, bowel obstruction, intraabdominal abscesses, urinary tract infections, and pneumonia, all more likely if the appendix has perforated

  • Overall mortality rate for appendectomy is about 0.3%; in individuals older than 65 years, this percentage is closer to 5%

Gender, Race, and Age Distribution

  • Peak presentation is from 5 to 15 years, but it occurs at any age

  • Male predominance in all races, but acute appendicitis is more common in whites than in African Americans and Asian Americans

Clinical Features

  • Classically, right lower quadrant pain accompanied by fever and elevated white blood cell count, but many variants occur

Prognosis and Therapy

  • Treatment is appendectomy

  • Preoperative antibiotics followed by appendectomy (“interval appendectomy”) have been advocated in patients with perforated appendices

  • Overall prognosis is good

Pathologic Features

Gross Findings

The appendix may appear grossly normal when inflammation is limited to the mucosa and submucosa. However, when inflammation extends into the muscularis propria, the appendix frequently becomes swollen and erythematous. When the serosa is affected, the serosal aspect is initially dull and gray followed by a fibrinous or purulent exudate. Gangrenous appendicitis may show a purple, green, or blackish discoloration. Perforation secondary to mural necrosis can follow, which may lead to abscess formation. Cut surface shows edema and hyperemia of the wall, with or without intraluminal purulent contents. At times, an appendix resected in the clinical setting of acute appendicitis is grossly and histologically normal, even after submission of the complete specimen for histologic examination. In these cases, a cause is rarely found.

Microscopic Findings

Early acute suppurative appendicitis (phlegmonous appendicitis) usually shows mucosal erosions and scattered cryptitis and crypt abscesses ( Figs. 8.3 and 8.4 ). Later, the inflammation extends to involve the appendiceal wall. Collection of neutrophils within the appendiceal lumen is considered insufficient for a diagnosis of acute appendicitis. Gangrenous appendicitis is associated with transmural necrosis extensive serosal fibroinflammatory reaction and can lead to perforation if left untreated.

Figure 8.3, Acute appendicitis. The appendix shows an edematous and thickened wall with extensive mucosal ulceration and transmural suppurative inflammation. There is marked serosal fibroinflammatory reaction.

Figure 8.4, Acute appendicitis. Higher magnification of the mucosa shows reactive epithelial changes characterized by loss of mucin, cytoplasmic eosinophilia, slight nuclear hyperchromasia, and nuclear enlargement. There are neutrophilic cryptitis and crypt abscess formation.

As the appendix heals, two basic patterns may be seen. In the first, more typical pattern, there is a mixed inflammatory infiltrate ranging from patchy and mild to diffuse and transmural inflammation. Intramural or serosal foreign body–type giant cells surrounded by granulation tissue indicate prior rupture. Submucosal fibrosis, serositis, and fibrous adhesions can be present as well. In some cases, mucin extravasation may be a prominent feature and may lead to confusion with an appendiceal mucinous neoplasm. However, typical appendiceal mucinous neoplasms, even those that perforate, seldom show a prominent acute inflammatory component within the wall of the appendix and often display a dense fibrocollagenous stroma that is distinct from the acute edematous appearance of the stroma in acute appendicitis. A second pattern, which has been termed xanthogranulomatous appendicitis , consists of an inflammatory infiltrate rich in foamy histiocytes, multinucleate giant cells, abundant hemosiderin, and luminal obliteration with sparing of lymphoid follicles. These latter cases share features with Crohn’s disease but differ by lacking epithelioid granulomas, having fewer lymphoid aggregates, and having less profound subserosal fibrosis.

Commonly, patients who present with ruptured acute appendicitis are treated with antibiotic therapy and drainage followed by a delayed or “interval appendectomy” ( Figs. 8.5 and 8.6 ). In this setting, about two-thirds of patients have granulomas compared with fewer than 10% of acute appendicitis control participants. About one-third of interval appendectomy patients have xanthogranulomatous inflammation, and about half show a Crohn’s-like infiltrate. This is analogous to changes seen in sigmoid colon resections after antibiotic therapy for acute diverticulitis and should not be misinterpreted as manifestations of Crohn’s disease.

Figure 8.5, Gross specimen prepared from an “interval appendix.” Antibiotic treatment was carried out for 4 weeks prior to appendectomy. Note the fibrous thickened wall, which suggests the possibility of Crohn’s disease.

Figure 8.6, “Interval appendix.” A , Low magnification shows thickened appendiceal wall with mural lymphoid aggregates arranged in a concentric pattern. This pattern has been linked to a “string of pearls.” B , Higher magnification shows giant cells and epithelioid granulomas within the appendiceal submucosa.

It is common for patients with neoplastic processes to present with clinical signs and symptoms of acute appendicitis only to reveal a neuroendocrine tumor (NET) or goblet cell neoplasm within the wall of the appendix. These cases require careful histologic evaluation to prevent misdiagnosis.

Acute Appendicitis—Pathologic Features

Gross Findings

  • Thickened diameter, depending on severity of process, with or without perforation. Serosa may be dull from periappendicitis

Microscopic Findings

  • Early lesions display mucosal erosions and scattered crypt abscesses; later, the inflammation extends into the wall of the appendix

  • When the inflammation extensively damages the muscularis propria, mural necrosis can lead to perforation

  • In appendectomies performed in patients with prior appendicitis, there are mixed inflammatory infiltrates ranging from patchy and mild to diffuse and transmural

  • In some appendices, there may be intramural or serosal foreign body–type giant cells surrounded by granulation tissue suggestive of prior rupture

  • Serositis and fibrous adhesions, as well as prominent submucosal fibrosis, may be present

  • Mucin extravasation is often seen but is admixed with a prominent inflammatory component, which is helpful in distinguishing this from a ruptured low-grade appendiceal mucinous neoplasm

  • Xanthogranulomatous appendicitis: features an infiltrate of foam cells, scattered multinucleated histiocytes, abundant hemosiderin, and luminal obliteration with spared lymphoid follicles

Differential Diagnosis

  • Interval appendectomy specimens share features with Crohn’s disease but differ by lacking epithelioid granulomas and having fewer lymphoid aggregates and less mural fibrosis, and these patients lack prior and concurrent clinical symptoms and endoscopic or radiologic signs of Crohn’s disease

  • Appendiceal involvement as part of an infectious enterocolitis and mechanical trauma associated with fecaliths. Both these conditions can cause superficial cryptitis and crypt abscesses. However, mural inflammation is typically present only in acute appendicitis. Inflammatory bowel disease involving the appendix is also in the differential (discussed later)

Prognosis and Therapy

The definite form of treatment is appendectomy. Complications include wound infection, urinary retention, bowel obstruction, intraabdominal abscesses, urinary tract infections, and pneumonia, all more likely if the appendix has perforated. Rarer complications include fistula formation, pylephlebitis, and liver abscesses. The overall mortality rate for appendectomy is about 0.3%. In individuals older than 65 years, the mortality rate approaches 5%.

Periappendicitis

Periappendicitis is characterized by serosal fibroinflammatory reaction with or without adhesions in the absence of mucosal or mural inflammation. Although intraoperative mechanical manipulation of the appendix alone may result in mild granulocytic infiltration of the serosa, the presence of fibrinous exudate is a potentially clinically significant finding. Periappendicitis is found in 1% to 5% of appendices resected for clinically acute appendicitis. The vast majority of cases are secondary to salpingitis. In two large series, the causes of periappendicitis included gonococcal and chlamydial salpingitis, yersiniosis, Meckel’s diverticulitis, and associated intraperitoneal abscess, urologic disorders, colon neoplasms, infectious colitis, abdominal aortic aneurysm, bacterial peritonitis, and GI perforation.

Grossly, the appendix is normal in size, and depending on the severity of periappendicitis, the serosal surface appears dull or tan to gray. The lumen and mucosa appear normal. Histologically, there is a serosa-confined (or possibly with extension into muscularis propria) inflammatory cell infiltrate consisting of neutrophils and fibrin if the process is acute ( Fig. 8.7 ) or with adhesions and chronic inflammation if the process is chronic. The lumen is unaffected. The pathologist’s finding of periappendicitis on an appendectomy specimen in the absence of luminal disease should alert the surgeon to take measures to identify the source of the serosal injury. If the patient is a woman, the genital tract is a likely source, but as noted previously, any abdominal process may result in periappendicitis. The treatment and prognosis depend on the inciting extraappendiceal lesion.

Periappendicitis—Fact Sheet

Definition

  • Inflammatory process confined to the appendix serosa without luminal involvement (and thus with an extraappendiceal source)

Incidence and Location

  • Periappendicitis alone is found in 1% to 5% of appendices resected for clinically acute appendicitis, the majority of which are attributable to salpingitis

Morbidity and Mortality

  • Depends on the source of the periappendicitis

Clinical Features

  • Attributable to a variety of processes: gonococcal and chlamydial salpingitis; yersiniosis, Meckel’s diverticulitis, and associated intraperitoneal abscess; urologic disorders; colon neoplasms; infectious colitis; abdominal aortic aneurysm; bacterial peritonitis; and gastrointestinal perforation

Prognosis and Therapy

  • Depends on the source of the periappendicitis

Periappendicitis—Pathologic Features

Gross Findings

  • Serosal thickening or exudates with normal muscularis propria and mucosa

Microscopic Findings

  • Serosal fibroinflammatory process with normal rest of the appendiceal wall

Differential Diagnosis

  • Acute appendicitis

  • Chronic appendicitis: The term chronic appendicitis has been variably used in the past to describe pathologic changes following recurrent episodes of acute appendicitis, for interval appendectomy when resection for perforated appendix is delayed as a result of initial conservative therapy with antibiotics and drainage, and other chronic inflammatory conditions of the appendix, such as ulcerative colitis, Crohn’s disease, granulomatous appendicitis, infections, diverticular disease, and cystic fibrosis

Figure 8.7, Periappendicitis with acute and chronic serositis with fibrosis and adhesions. In these cases, the mucosa is usually completely normal.

Ulcerative Colitis Involving the Appendix

The appendix has been shown to play a protective role in ulcerative colitis. The prevalence of prior appendectomy is lower in patients with ulcerative colitis than in the general population. Ulcerative appendicitis, the appendiceal counterpart of ulcerative colitis, is typically present in patients with pancolitis but is also common as a “skip lesion” in patients who have left-sided or rectal disease. It has an overall prevalence of 50% in patients with ulcerative colitis.

Grossly, the appendiceal mucosa appears erythematous and ulcerated. Ulcerative appendicitis shows the same histologic features as ulcerative colitis. Active mucosal inflammation is characterized by cryptitis and crypt abscesses. Chronic changes include crypt architectural distortion, basal lymphoplasmacytosis, and basal lymphoid aggregates. Ulcerative appendicitis is distinguished from early acute appendicitis partly on the basis of clinical history, although early acute appendicitis shows minimal crypt architectural distortion and basal plasmacytosis.

Ulcerative Colitis Involving The Appendix—Fact Sheet

Definition

  • Appendiceal inflammatory disease (usually chronic active) in patient with ulcerative colitis

Incidence and Location

  • Common in patients with ulcerative colitis and predominantly involving the orifice rather than the appendiceal tip

Morbidity and Mortality

  • Same as for ulcerative colitis

Gender, Race, and Age Distribution

  • Same as for ulcerative colitis

Ulcerative Colitis Involving the Appendix—Pathologic Features

Gross Findings

  • Found either in continuity with pancolitis in ulcerative colitis or as a “skip” lesion in left-sided disease

Microscopic Findings

  • Similar to those of ulcerative colitis elsewhere, featuring cryptitis, crypt distortion, and basal plasmacytosis

Differential Diagnosis

  • Acute appendicitis

Crohn’s Disease Involving the Appendix

Most appendices resected in patients with Crohn’s disease are unremarkable. Appendiceal involvement by Crohn’s disease has been reported in up to 20% of patients and is typically associated with extensive ileocolonic involvement. Most patients who present with granulomatous appendicitis do not later manifest typical Crohn’s disease elsewhere in the GI tract.

Crohn’s Disease Involving The Appendix—Fact Sheet

Definition

  • Appendiceal inflammatory disease in a patient known to have Crohn’s disease

Incidence and Location

  • Uncommon; may be found in any part of the appendix

Morbidity and Mortality

  • Same as for Crohn’s disease

Gender, Race, and Age Distribution

  • Same as Crohn’s disease: Grossly, the appendiceal wall is thick and fibrotic in patients with Crohn’s disease, and involvement may be patchy. In patients with clinical Crohn’s disease, the appendices have the typical histologic features of Crohn’s seen elsewhere in the gastrointestinal tract, with fissures, ulcers, active or chronic active inflammation, lymphoid aggregates, and occasional granulomas (see Figs. 8.8 and 8.9 and Table 8.1 ). Diagnosis of Crohn’s disease of the appendix requires clinicopathologic correlation. Determination of the type of inflammatory bowel disease should not be performed based on the findings in an appendectomy specimen because several causes may result in granulomatous appendicitis (see later). The prognosis for patients with Crohn’s disease of the appendix is that of Crohn’s disease in general (see Chapter 10 ) because those with appendiceal involvement usually have extensive ileocolic involvement

    Figure 8.8, Appendiceal Crohn’s disease. The specimen shows presence of active inflammation along with a deep fissuring ulcer.

    Figure 8.9, Appendiceal Crohn’s disease. The specimen shows chronic active colitis with granulomatous inflammation.

    Table 8.1
    Chronic Inflammatory Disorders of the Appendix
    Finding Idiopathic Granulomatous Appendicitis Crohn’s Disease Healing Acute Appendicitis
    Neutrophilic cryptitis or crypt abscesses + + +
    Fissures or fistulae Occasional fissures + -
    Transmural lymphoid aggregates Often Often Occasionally
    Fibrosis Often Often Often
    Granulomas Numerous Occasional No, but may have numerous foam cells

Crohn’s Disease Involving the Appendix—Pathologic Features

Gross Findings

  • Thickened appendix, usually without grossly visible mucosal lesions

Microscopic Findings

  • Segmental involvement with fissuring ulcers, chronic active inflammation, transmural lymphoid aggregates, epithelioid granulomas, and mural fibrosis

Differential Diagnosis

  • If disease is limited to the appendix, one should not label a de novo patient as having Crohn’s disease, and “interval” appendicitis should be considered

  • Sarcoidosis

Other Studies

Newer microbiologic techniques may provide some clues to the causes of granulomatous appendicitis. For example, in a 2001 study by Lamps and her colleagues, 10 of 40 (25%) cases of granulomatous appendicitis were found to have evidence of pathogenic Yersinia species by polymerase chain reaction. However, now that some of the features of Crohn’s disease are believed to reflect an immunologic defect in processing organisms that do not affect normal individuals, the interest in search for a unifying infectious cause of Crohn’s disease has diminished greatly.

Granulomatous Appendicitis

Granulomatous appendicitis was first described in 1953 by Meyerding and Bertram and was initially believed to be a manifestation of Crohn’s disease. However, studies that have appendiceal pathology in patients with documented idiopathic inflammatory bowel disease have shown that only a minority of patients with granulomatous appendicitis are a true manifestation of Crohn’s disease. Based on our current understanding, granulomatous appendicitis results from several conditions such as interval appendicitis, infections (bacterial— Yersinia spp., tuberculosis; parasitic—schistosomiasis, strongyloidosis; fungal— Candida spp., Histoplasma spp.), sarcoidosis, Crohn’s disease, and foreign body reaction. When a cause cannot be found, the condition is termed idiopathic granulomatous appendicitis . This histologic hallmark is the presence of granulomas that may involve any layer of the appendiceal wall. The presence of numerous granulomas, large-sized granulomas (>200 microns), and those with caseous necrosis or suppurative inflammation should prompt a search for infectious pathogens. The management of granulomatous appendicitis depends on the underlying cause, so appropriate ancillary infectious work-up and clinical information is essential.

Cystic Fibrosis

Clinical Features

Cystic fibrosis occurs in approximately 1 of every 3200 live white births (in 1 of every 3900 live births of all Americans). Approximately 1000 new cases of CF are diagnosed each year. More than 80% of patients are diagnosed by age 3 years; however, nearly 10% of newly diagnosed patients are age 18 years or older. People with CF have a variety of symptoms, including very salty-tasting skin; persistent coughing, at times with phlegm; wheezing, or shortness of breath; an excessive appetite but poor weight gain; and greasy, bulky stools. Symptoms vary from person to person owing in part to the more than 1000 mutations of the CFTR gene . The sweat chloride test is the standard diagnostic test for CF.

Although recurrent pulmonary infections and pulmonary insufficiency are the hallmarks, GI symptoms commonly antedate the pulmonary findings and may suggest the diagnosis in infants and young children. The protean GI manifestations of CF result primarily from abnormally viscous luminal secretions within hollow viscera and the ducts of solid organs. Bowel obstruction may be present at birth because of meconium ileus or meconium plug syndrome. Overall, patients with CF have a lower frequency of acute appendicitis (1.5%) than the general population (∼7%). In some cases, the engorged appendix itself can cause clinical symptoms of appendicitis even though histologic examination reveals no inflammation. The incidence of acquired appendiceal diverticula is also markedly increased in patients with CF.

Cystic Fibrosis Involving The Appendix—Fact Sheet

Definition

  • Involvement of the appendix in a patient known or subsequently found to have cystic fibrosis (CF)

  • Gastrointestinal tract involvement may be the first presentation

Incidence and Location

  • CF occurs in approximately 1 in every 3200 live white births (1 in every 3900 live births of all Americans)

You're Reading a Preview

Become a Clinical Tree membership for Full access and enjoy Unlimited articles

Become membership

If you are a member. Log in here