Lesser Toe Deformities Overview

Lesser toe deformities can be static or dynamic. They can occur as isolated entities or be associated with deformities of the hallux, midfoot, or hindfoot. Poor footwear is the most commonly attributed cause of lesser toe deformities, but they also can be due to heritable causes or can result from congenital and neuromuscular conditions.

The terms hammer toe, mallet toe , and claw toe have been used interchangeably by various authors in describing deformities of the lesser toes, and their definitions have been confusing. The nomenclature adopted for this book is simple, and to a certain extent, it follows that used to describe deformities of the fingers ( Table 9-1 and Figs. 9-1–9-4 ). To some extent, there is an overlap in the definitions of complex hammer toes and claw toes; however, claw toes usually involve all of the lesser toes and often have an underlying neuromuscular cause. An overview of the clinical presentation of metatarsalgia related to lesser toe deformities in presented in Fig. 9-76 .

Table 9-1
Lesser Toe Sagittal Plane Deformities
Name Joints Involved Deformity
Mallet toe DIP Flexion
Simple hammer toe PIP Flexion
  • Complex hammer toe

  • (single toe)

  • MTP

  • PIP

  • Hyperextension

  • Flexion

  • Claw toe(s)

  • (multiple toes)

  • MTP

  • PIP

  • DIP

  • Extension

  • Flexion

  • Flexion

DIP , Distal interphalangeal joint; MTP , metatarsophalangeal joint; PIP , proximal interphalangeal joint.

Fig. 9-1, A , Mallet toe deformity with plantar flexion contracture of the distal interphalangeal (DIP) joint. B , Radiograph demonstrating a mallet toe deformity of the fourth toe.

Fig. 9-2, Comparison of simple and complex hammer toes. A , Simple hammer toe deformity with plantar flexion contracture of the second proximal interphalangeal (PIP) joint. The first toe is held down to allow visualization of the second toe. B , Complex hammer toe with hyperextension deformity of the metatarsophalangeal (MTP) joint and plantar flexion contracture of the PIP joint. Although this is similar to a claw toe, it typically involves only one digit.

Fig. 9-3, A , Complex hammer toe deformity involving metatarsophalangeal and proximal interphalangeal (PIP) joints of the second toe. B , Lateral radiograph demonstrating severe flexion deformity of PIP joint.

Fig. 9-4, A and B , Photographs of claw toe deformities involving hammer toe deformity associated with dorsiflexion of the metatarsophalangeal joint, and flexion of the distal interphalangeal (DIP) joint and associated painful callus and nail deformation (red arrow) . Also note the associated IP flexion contracture of the great toe.

Fig. 9-76, Repair of claw toe deformity. Longitudinal incision is centered over the proximal interphalangeal joint (A) , exposing the skin, extensor tendon, and capsule (B) , which is excised. C , The toe is flexed and the plantar capsule is released. The collateral ligaments are released from the medial and lateral border of condyles. D , The condyles of the proximal phalanx are removed with a bone-cutting forceps. E , If an arthrodesis is desired, the articular surface of the base of the middle phalanx is removed. F , A 0.045-inch Kirschner wire is introduced at the arthroplasty site and driven distally. G , With the toe reduced, the Kirschner wire is driven in a retrograde fashion, stabilizing the proximal phalanx. After skin closure, the toe is adequately aligned.

A flexion deformity of the great toe interphalangeal joint is also called a hammer toe; no mallet toe deformity exists in the hallux ( Fig. 9-5 ). A claw toe deformity, which is essentially synonymous with a cock-up deformity of the great toe, occurs when there is also hyperextension of the metatarsophalangeal (MTP) joint of the hallux.

Fig. 9-5, A , Hammered great toe. Note articulation of distal phalanx with plantar surface of the head of the proximal phalanx. B , Hammer toe deformity of hallux.

Deformities of the lesser toes range in severity from a mild and easily correctable flexible deformity to a rigid and fixed contracture. Both the mallet toe and the hammer toe deformities can occur in one or several toes of the same foot, while a claw toe deformity usually involves multiple toes.

In most cases, these deformities are acquired. These deformities occur with varying frequency among different populations, but they are much more common in shoe-wearing societies. The literature dealing with deformities of the forefoot in populations that rarely wear shoes rarely mentions the mallet toe, hammer toe, or claw toe deformities.

In various surveys regarding the incidence of these deformities among industrial workers and military male recruits, the incidence of hammer toe and claw toe deformities ranged from 2% to 20%. All of these studies seem to indicate that the deformities develop slowly and insidiously and that their incidence increases almost linearly with age, peaking in the sixth and seventh decades. These deformities occur much more commonly in women than in men (4–5 : 1). A hammer toe deformity rarely is seen in infants ( Fig. 9-6 ). The incidence of forefoot surgery is unknown, but in studies of specific regional populations, Shirzad et al suggested these deformities constitute between 28% and 48% of all forefoot surgery.

Fig. 9-6, Hammer toe deformities peak during the fifth, sixth, and seventh decades in the female population. In the male population, there is no increase in the frequency of hammer toe deformities with increasing age.

Anatomy and Pathophysiology

An understanding of the anatomy and pathophysiology of the lesser toes is helpful in selecting a treatment regimen. The most common deformity is the hammer toe, and this is used as the prototype in discussing the pathophysiology of all three deformities.

Extensor Digitorum Longus Muscle and Tendon

The central dorsal structure of the toe is formed by the tendon of the extensor digitorum longus, which divides into three slips over the proximal phalanx; the middle slip inserts into the base of the middle phalanx, and the two lateral slips extend over the dorsolateral aspect of the middle phalanx and converge to form the terminal tendon, which inserts into the base of the distal phalanx ( Fig. 9-7 ). The tendon is held in a central position dorsally by a fibroaponeurotic sling that anchors the long extensor to the plantar aspect of the MTP joint and to the base of the proximal phalanx. It is surprising that there is no dorsal insertion of the extensor digitorum longus into the proximal phalanx; rather, the phalanx is virtually suspended by the extensor digitorum longus tendon and its extensor sling ( Fig. 9-8 ).

Fig. 9-7, Diagram of dorsal view of the extensor mechanism of toes.

Fig. 9-8, Lateral view of extensor mechanism of the lesser toe. Note that the extensor digitorum longus inserts only into the distal phalanx and secondarily suspends the metatarsophalangeal joint through the extensor sling mechanism.

The main function of the extensor digitorum longus is to dorsiflex the proximal phalanx ( Fig. 9-9 ). Only when the proximal phalanx is held in flexion or in a neutral position at the MTP joint can this tendon become an extensor of the proximal interphalangeal (PIP) joint. This concept is important because, with a hammer toe deformity, the long extensor tendon function on the PIP joint may be neutralized by extension of the proximal phalanx.

Fig. 9-9, Lateral view of the extensor mechanism demonstrates the main function of the extensor digitorum longus, which is to dorsiflex the proximal phalanx.

The flexor digitorum longus tendon inserts into the distal phalanx and flexes the distal interphalangeal (DIP) joint, whereas the flexor digitorum brevis inserts into the middle phalanx, flexing the proximal interphalangeal (PIP) joint. There is no insertion into the proximal phalanx, so the long flexor tendon influence on the proximal phalanx is minimal ( Fig. 9-10A ). Resistance to flexion at the MTP joint is maintained in the normal toe by the long extensor. Another important factor is the reactive force of the foot against the ground, which pushes the MTP joint into extension. As a result, with the proximal phalanx in an extended position, there are no major motor antagonists to the long and short flexors; thus the toe buckles, resulting in flexion of the DIP joint and the PIP joint. Over a long period of time, if this position becomes fixed, a hammer toe deformity occurs.

Fig. 9-10, A , Plantar view of flexor tendon insertion. B , Cross section through the metatarsal head of the lesser toe demonstrates structures that pass through this region. Note that the interossei tendons are dorsal to the transverse metatarsal ligament, whereas the lumbrical is plantar to it. MTP , metatarsophalangeal.

Interosseous Tendons

The interosseous tendons are located dorsal to the transverse metatarsal ligament, and the lumbricals are located plantar to this ligament ( Fig. 9-10B ). Both tendons of the intrinsic muscles, however, pass plantar to the axis of motion of the MTP joint, flexing the MTP joint ( Fig. 9-11 ), and pass dorsal to the axis of the PIP joint and DIP joint, extending these joints. The interossei flex the proximal phalanx by their direct attachment to the base of the proximal phalanx, whereas the lumbrical achieves flexion by placing tension on the extensor sling ( Fig. 9-12 ). The plantar and dorsal interossei have only a few fibers that reach the extensor sling and therefore are weak extensors of the interphalangeal joints. The lumbrical, with all of its fibers terminating in the extensor sling, is a stronger extensor of these joints.

Fig. 9-11, Lateral view of a lesser toe demonstrates that both tendons of the intrinsic muscles pass plantar to the axis of motion of the metatarsophalangeal joint, thereby flexing it. They pass dorsal to the axis of motion of the proximal and distal interphalangeal joints, thereby extending them. The lumbrical does not insert into the phalanx but into the extensor hood, and it is thus is a strong extensor of the interphalangeal joints.

Fig. 9-12, A , Lateral aspect of a lesser toe with portion of the extensor hood removed to demonstrate insertion of the interossei into the base of the proximal phalanx. This insertion permits the interossei to plantar flex the proximal phalanx on the metatarsal head. B , Anatomic dissection demonstrating extensor hood and intrinsics. A , central axis of metatarsophalangeal joint; B , lumbrical; C , interossei.

The effect of the interossei and lumbricals on the MTP and interphalangeal joints depends on the position of the joints and can be altered by surgeries that affect the center of rotation of these joints. This is an important concept to understand when performing a Weil osteotomy of the distal metatarsal; the center of MTP joint rotation is shifted plantarward, effectively making the intrinsic musculature into MTP joint dorsiflexors, which can lead to the development of a hyperextension deformity of the MTP joint ( Fig. 9-13 ). In another example, with marked dorsiflexion at the MTP joint, the lumbrical flexion power is quite limited because it is pulling at a 90-degree angle, limiting its ability to correct clawing.

Fig. 9-13, Axis of the metatarsophalangeal joint before and after Weil osteotomy. A , Lesser metatarsal before osteotomy; note intrinsics are plantar to the axis. B , Osteotomy is above the center of the metatarsal head. C , After the osteotomy and proximal translation of the capital fragment, the intrinsics course dorsal to the axis of rotation. This can lead to metatarsophalangeal joint dorsiflexion.

Plantar Plate and Collateral Ligaments

The most significant stabilizing factor of the MTP joint is the plantar plate, a combination of the plantar aponeurosis and plantar capsule. During the walking cycle, varying degrees of dorsiflexion occur at the MTP joint. The static resistance of the plantar capsule combines with the dynamic force of the intrinsic flexors to pull the proximal phalanx back into a neutral position at the MTP joint ( Fig. 9-14A ). With chronic hyperextension forces on the proximal phalanx, the plantar plate can become stretched or attenuated and rendered less efficient ( Fig. 9-14B ).

Fig. 9-14, A , Diagram demonstrates the plantar plate and the capsule of the metatarsophalangeal (MTP) joint, which is sufficiently resilient to bring the MTP joint back into a neutral position after the joint has been dorsiflexed at lift-off. B , Lateral view diagram illustrates the effects of the elongated plantar plate and capsule and area of rupture. As a result of certain disease states, the capsular structures no longer are sufficient to restore the joint to its normal position after lift-off. C , Dorsal view with removal lesser metatarsal head; a tear or rupture off of the base of the proximal phalanx may occur. Note 1 , which is the potential zone of plantar plate rupture, and 2 , which is the proximal loose synovial attachment at proximal extent of metatarsal articular surface, where a rupture rarely occurs. D , Clinical photograph of partial plantar plate rupture ( arrow points to grade I rupture of lateral plantar plate). E , Diagram of collateral ligaments of the lesser MTP joint. The PCL inserts on the plantar tubercles of the proximal phalanx, and the ACL inserts in a broad expansion into the edge of the plantar plate. ACL , Accessory collateral ligament; PCL , phalangeal collateral ligament.

The lesser MTP joint is stabilized by both the collateral ligaments and the plantar plate ( Fig. 9-14C and D ).The plantar plate inserts on the base of the proximal phalanx, but it is attached to the metatarsal head by only a thin layer of synovial tissue that inserts just proximal to the articular surface. The distal attachment of the plantar plate is composed of a medial and a lateral bundle. Proximally, the plantar plate forms the major attachment of the plantar aponeurosis. The plantar plate is the central stabilizing structure that determines the position of the flexor digitorum longus. The collateral ligaments are composed of two major structures: the phalangeal collateral ligament (PCL), which inserts onto the base of the proximal phalanx, and the accessory collateral ligament (ACL), which inserts onto the plantar plate ( Fig. 9-14E ). The transverse metatarsal ligament attaches to the adjacent medial and lateral borders of the plantar plate.

Pathophysiology

Fortin and Myerson reported that the collateral ligaments were the primary stabilizers of the lesser MTP joint. When the collateral ligaments were sectioned in vitro, 48% less force was required to dislocate the lesser MTP joint. When the researchers did an isolated release of the plantar plate, 29% less force was required to dislocate the MTP joint.

The position of the proximal phalanx at the MTP joint is subject to the actions of the strong extensor digitorum longus through its sling mechanism, in opposition to the decidedly weaker antagonistic intrinsic muscles and the more static capsule and plantar aponeurosis complex. The positions of the middle and distal phalanges, on the other hand, are subject to the forces of the long and short flexors, which are directly opposed by the weaker intrinsic muscles. At each of these joints, an obvious mismatch can occur, and in each case, the extrinsic muscle overpowers the intrinsic muscle ( Fig. 9-15 ).

Fig. 9-15, Diagram demonstrates the relationship of the intrinsic and extrinsic muscles about a lesser toe. The smaller intrinsics are overpowered by the extrinsics, leading to a hammer toe deformity. EDL , extensor digitorum longus.

The extensor digitorum longus helps extend the interphalangeal joints if the proximal phalanx is not hyperextended, and the flexor digitorum longus helps to flex the MTP joint if the proximal phalanx is not hyperextended. The hyperextended proximal phalanx, then, is the key to the production of most hammer toe deformities. With a chronic hyperextended position of the proximal phalanx, maintained throughout the entire walking cycle (e.g., by wearing high-heeled shoes), the plantar structures gradually become stretched and inefficient, and thus the proximal phalanx remains in a chronically dorsiflexed position. Therefore, with chronic extension of the proximal phalanx, the extensor digitorum longus tendon loses its tenodesing effect on the interphalangeal joints, allowing the distal phalanges to migrate into flexion. As the proximal phalanx extends, the extrinsic flexors are under greater tension, further increasing the flexion deformity at the PIP joint. The only counteracting forces to this flexion deformity are the lumbricals and the interossei, which are easily overpowered by the long flexor tendons.

Etiology and Presenting Symptoms

Footwear is generally considered to play an important role in the etiology of hammer toe and mallet toe deformities. The toes, to conform to a small toe box of a pointed shoe, must of necessity buckle ( Fig. 9-16 ). This fact explains why acquired mallet toes and hammer toes are among the most common deformities of the forefoot in shoe-wearing societies ( Fig. 9-17 ). DuVries thought that shoes restrict the normal movement of the joints and impedes the actions of the intrinsic muscles of the foot. It must be kept in mind, however, that anatomic predisposing factors vary extensively, and most shoe wearers do escape deformities of the forefoot.

Fig. 9-16, A , Phalanx extended to normal length. B , Buckling of the phalanx is caused by restriction of the toe box. The interphalangeal joints and metatarsophalangeal joints become subluxated. Over time, dislocation can occur.

Fig. 9-17, A , Clinical appearance of foot and pointed toe box of high-fashion shoe. B , Radiograph of foot without shoes showing width measuring 4 inches. C , Within high-fashion shoe, the forefoot width is compressed to 3 inches. Note constriction of toe box and lateral deviation of hallux.

Mallet Toe

Other than its general relationship to pressure of the toe against the shoe, the specific cause of a mallet toe is unknown. Although most often idiopathic in nature, it can develop after a hammer toe repair or trauma or it can be associated with inflammatory arthritis. A mallet toe can also develop after a hammer toe repair, possibly because of scarring on contracture of the long flexor tendon. The high incidence of mallet toe in the female population has led to speculation that a constricting toe box is a causative factor. Female subjects constituted 84% of the patient population in one reported series. Brahms stated that a mallet toe is often limited to one toe, although Mann and Coughlin noted that the deformity can occur in more than one toe. Coughlin noted in 60 patients that 65% of patients had single toe involvement, while 18% of patients had three to five toes affected.

A mallet toe occurs with equal frequency in the second, third, and fourth toes, but most often the involved toe is longer than the adjacent toes ( Fig. 9-18 ). Because of pressure against the end of the shoe, the toe becomes plantar flexed at the DIP joint. Tightness of the flexor digitorum longus tendon in patients with a mallet toe deformity can be demonstrated, but whether this tightness is a primary cause or a secondary change is not known. In young children, a tight flexor tendon can result in a flexion deformity of the PIP and DIP joint. This pediatric deformity has been termed a curly toe and may also be associated with a delta-shaped phalanx.

Fig. 9-18, The mallet toe and hammer toe occur often in the second toe, especially when it is significantly longer than the adjacent toes.

The major symptoms leading to surgical repair in the adult population include discomfort because of pressure on the tip of the toe, with callus formation or dorsal pain over the DIP joint. Preoperative nail deformities occurred in 7% of mallet toes in Coughlin’s series, and 93% were noted to have dorsal pain or pain at the tip of the toe, with callus formation ( Figs. 9-19B and F and 9-20 C and D ).

Fig. 9-19, Types of mallet toe deformities. A , Plantar flexion and lateral deviation lead to overlapping of the third toe. B , Mallet toe deformity of the third toe leads to underlapping of the second toe. C , Curvature of the third toe impinges against the adjacent digit in the interspace. D , Multiple mallet toe deformities. E , Plantar flexion contracture of classic mallet toe. F , Callus formation on the dorsal aspect of the distal interphalangeal joint.

Fig. 9-20, A , Molding of the toe after mallet toe repair. B , Lateral deviation after repair. C and D , Toenail deformity that preceded mallet toe repair does not improve after surgery. E , Callus at tip of toe usually resolves with time after surgical realignment.

Hammer Toe

The causes of a hammer toe appear to be multifactorial. The high incidence of hammer toes in the female population has led some to suggest that a constricting toe box is also a causative factor of this deformity. Coughlin et al reported that 62% of the patients in his series considered ill-fitting shoes to be a cause of their hammer toe deformity. The high incidence of female involvement has been previously reported ; females constituted 85% of the patient population in a large series. The incidence of hammer toes is reported to increase with increasing age, with the peak incidence in the fifth through seventh decades. Coughlin et al noted in 67 patients that 30% had only single toe involvement, and 40% had three or more toes involved. Although Reece et al, Coughlin et al, and others have reported the second toe to be the most commonly involved, Ohm reported an equal frequency of occurrence in the second, third, and fourth toes. Coughlin et al noted that increased length in comparison to adjacent digits might be a factor in hammer toe development, although this was not a factor in almost one half of cases.

A hammer toe deformity may be caused by a muscle imbalance in association with neuromuscular diseases, such as Charcot-Marie-Tooth disease, Friedreich ataxia, cerebral palsy, myelodysplasia, multiple sclerosis, and degenerative disk disease. The deformity also is seen in patients with an insensate foot associated with diabetes mellitus and Hansen disease. Patients with rheumatoid arthritis, psoriatic arthritis, and other types of inflammatory arthritis also can develop a hammer toe deformity. Associated hallux valgus deformities have also been implicated as a cause of hammer toe formation. Occasionally, after fractures of the tibia or other trauma, a progressive hammer toe deformity is observed and is likely the result of nerve or muscle injury from elevated compartment pressures in the involved leg or foot.

Claw Toe

A claw toe is a result of muscle imbalance between the intrinsic and extrinsic musculature. Simultaneous contracture of the long flexors and extensors of the toe, without the modifying action of the intrinsic muscles of the foot, causes the typical deformity seen in this condition ( Figs. 9-21 and 9-22 ). Taylor, however, found no abnormality of the intrinsic muscles in a series of 68 patients who had claw toes and in whom the muscles were examined by gross inspection, stimulation, and histologic analysis.

Fig. 9-21, Action of muscles in claw toe deformity (from a fresh cadaver foot). A , At rest. B , Tension on the extensor digitorum longus alone. Note extension of the metatarsophalangeal joints and minimal extension of the interphalangeal joints. C , Tension on the flexor digitorum longus alone. Note that maximal flexion occurs at the interphalangeal joints. D , Tension simultaneously on the extensor digitorum longus and flexor digitorum longus. Note the resulting deformities in all but the great toe.

Fig. 9-22, Action of muscles in a claw toe deformity of the hallux (from a fresh cadaver foot). A , At rest. B , Tension on the extensor hallucis longus alone. Note the extension of the metatarsophalangeal and interphalangeal joints. C , Tension on the flexor hallucis longus alone. Note the maximal flexion of the interphalangeal joints. D , Simultaneous tension on the extensor hallucis longus and flexor hallucis longus, with a resulting claw toe deformity.

However, the underlying etiology of a claw toe deformity often is unclear, but it may be associated with the same neuromuscular diseases, arthritic deformities, and metabolic diseases that cause hammer toe deformities ( Fig. 9-23 ). In many patients with a severe claw toe deformity, no cause can be identified.

Fig. 9-23, On physical examination, a patient with severe claw toe deformities is noted to have a hairy patch over the lumbosacral spine, a condition often associated with diastematomyelia.

A claw toe deformity usually involves multiple toes and often both feet ( Figs. 9-24 and 9-25 ). The deformity may be either rigid or flexible. It is often associated with a cavus foot, with or without a contracted Achilles tendon. Claw toes are often made worse because the patient cannot find adequate shoes, and a painful bursa develops over the PIP joint. As the claw toe deformity becomes more rigid, the toes strike the top of the shoe, and the metatarsal heads are forced plantarward. As the toes subluxate dorsally, the plantar fat pad is pulled distally, and the metatarsal heads become more prominent on the plantar aspect of the foot. This deformity can result in the development of painful plantar callosities, which can ulcerate in severe cases, particularly if sensation of the foot is impaired.

Fig. 9-24, Lateral view of foot with claw toe deformities with an underlying diagnosis of Charcot-Marie-Tooth disease.

Fig. 9-25, Imaging of a patient after compartment syndrome of the leg. A , Lateral view in equinus; the deformity is not obvious. B , Frontal view of both feet demonstrates claw toe deformity of right foot and normal left foot. C , With dorsiflexion of the ankle, the deformity substantially increases. Note scar from the previous compartment release laterally. D , Radiograph of claw toe deformity. Note articulation of base of lesser phalanges with dorsal aspect of metatarsal heads. Also note the plantar-flexed first metatarsal resulting from contracted extensor hallucis longus tendon.

Preoperative Evaluation

Physical Examination

When examining a foot with a lesser toe deformity, it is important to assess the circulatory status of the lower extremity. Although some surgical procedures require limited exposure, other procedures require extensive dissection at the MTP joint, at the interphalangeal joints, and even along both the medial and lateral aspects of the phalanges. Whether an individual digit can withstand multiple procedures and extensive surgical exposure depends on the vascular status of the digit. Preoperative evaluation is necessary to assess not only the feasibility of an individual procedure but also whether multiple procedures can be performed if necessary.

The sensory status of a foot must be evaluated as well. An impaired sensory status can indicate a systemic disease, such as diabetes, a peripheral neuropathy, or lumbar disk disease. Careful physical examination is necessary to differentiate MTP joint pain from an interdigital neuroma of the adjacent intermetatarsal space ( Fig. 9-26 ). Preoperative documentation of sensation is important because a surgical dissection can diminish postoperative sensation.

Fig. 9-26, The diagnosis of combined metatarsophalangeal instability and an adjacent interdigital neuroma is uncommon and difficult to make. A , Medial deviation of the second toe with exposure of enlarged symptomatic interdigital neuroma. B , After Weil osteotomy to realign the second toe and excision of the interdigital neuroma.

The plantar aspect of the foot is examined for development of intractable plantar keratoses. Callosities can develop in association with contractures of the lesser toes, the result of a buckling effect of the toes. A patient typically complains of pain caused by a callus over the distal aspect of the PIP joint but also can develop pain beneath the tip of the toe or a lesser metatarsal head ( Fig. 9-27 ). Realignment of the MTP joint and interphalangeal joints can decrease plantar pressure and help relieve symptomatic calluses.

Fig. 9-27, A , With a hammer toe deformity, a callus has developed at the tip of the second toe. B , A toe cradle. C , The cradle is used to decrease pressure beneath the tip of the lesser toe.

The individual digits are examined for callosities on the medial and lateral aspects, as well as over the interphalangeal joint and at the tip of the toe. With a fixed hammer toe deformity, callosities can develop over the contracted PIP joint as well as at the tip of the toe. Toenail deformities can develop as well.

The alignment of the MTP joint must be evaluated. Medial or lateral deviation of the toe should be noted, as well as an MTP joint hyperextension deformity. The stability of the digit is assessed by the drawer test. The digit is grasped between the thumb and index finger of the examiner, and with the digit slightly dorsiflexed, dorsal pressure is placed on the digit in an attempt to subluxate the MTP joint ( Fig. 9-28 ). Even if the toe is not subluxated, the eliciting of pain with this maneuver is indicative of an intraarticular or periarticular abnormality. (See further discussion under subluxation second MTP joint.)

Fig. 9-28, Drawer test for metatarsophalangeal (MTP) joint instability. A , The toe is grasped between the thumb and second finger. B , With dorsal force, an attempt is made to subluxate the MTP joint. With instability of the MTP joint, pain is elicited with stress on the plantar structures. C , Lateral radiograph of unstable second MTP joint before drawer test. D , Lateral radiograph after drawer test with the base of the proximal phalanx subluxated dorsally. E , Before dorsal subluxation of metatarsophalangeal joint with drawer test. F , Position of the base of the toe after dorsal subluxation.

Although the evaluation of a hammer toe deformity may be seen as relatively simple, certain factors must be carefully considered to fully appreciate the nature of the deformity. These include the rigidity of the toe contractures ( Fig. 9-29 ), the position of the MTP joint ( Fig. 9-30A ), and Achilles tendon tightness with the patient both sitting and standing. Tightness of the flexor digitorum longus tendon must be assessed along with examination of all of the lesser toes. Also, it is important to determine whether there is sufficient space for the involved toe when it is reduced to a normal position. The presence of prior surgical scars can influence the planned surgical exposure.

Fig. 9-29, A hammer toe deformity is inspected to determine its flexibility. A , Fixed deformity. B , Flexible deformity.

Fig. 9-30, A , Hammer toe deformity demonstrates severe hyperextension. B , Lateral radiograph demonstrates hyperextension deformity of the proximal phalanx. C , Anteroposterior radiograph demonstrates the gun barrel sign. The proximal phalanx is seen end on, superimposed over the condyle. This conformation is pathognomonic of hyperextension deformity of the proximal phalanx.

Radiographic Examination

Although a physical examination is necessary to define the extent of a lesser toe deformity, radiographic examination is necessary to evaluate the magnitude of the bone deformity ( Fig. 9-30B ). On an anteroposterior (AP) projection, a severe hammer toe deformity can have the appearance of a gun barrel deformity ( Fig. 9-30C ) when the proximal phalanx is seen end on. Assessment of the interphalangeal joints is difficult on this projection. Diminution of the MTP joint space can indicate subluxation, and overlap of the base of the proximal phalanx in relation to the metatarsal head can indicate dislocation of the MTP joint ( Fig. 9-31 ). Medial or lateral deviation of the MTP joint can be determined as well. Subchondral erosion, flattening of the articular surfaces, or a Freiberg infraction can indicate the need for further radiographic or laboratory evaluation.

Fig. 9-31, A , A 52-year-old man with pain at the second metatarsophalangeal (MTP) joint and a slight hallux valgus deformity. B , Six-month follow-up demonstrates narrowing of the joint space, pathognomonic of a hyperextension deformity. Often subluxation can occur insidiously. C , At 15-month follow-up, the second MTP joint has dislocated.

A lateral radiograph may be helpful to assess the magnitude of contracture of the interphalangeal joints (see Fig. 9-30B ). Stress radiographs can help to determine subluxability of the MTP joint (see Fig. 9-28 ). Bone scans, computed tomography (CT), and magnetic resonance imaging (MRI) evaluation may also be used to increase information of both osseous and soft tissue abnormalities ( Fig. 9-32 ).

Fig. 9-32, Patient with ill-defined forefoot pain. A , Clinical location of pain. Technetium-99m ( 99m Tc) bone scan, anteroposterior (B) and lateral (C) views, can demonstrate pathologic changes before radiographic changes. Note the increased uptake in the area of the second metatarsophalangeal joint.

Fixed Hammer Toe Deformity

Preoperative Planning

A hammer toe deformity may be flexible, semiflexible, or rigid. If the deformity is flexible, the toe may be passively corrected to a neutral position. However, if the deformity is rigid, joint contractures preclude passive correction. The rigidity of the deformity determines the specific surgical procedure that should be performed when conservative measures have failed.

The position of the MTP joint when the patient is standing must be carefully evaluated. If a hyperextension deformity is present, correction of only the hammer toe deformity will result in the toe sticking up in an extended position ( Fig. 9-33 ), making shoe wearing difficult. If the MTP joint is subluxated or dislocated, this deformity should be corrected simultaneously with the hammer toe correction.

Fig. 9-33, An isolated hammer toe repair or a flexor tenotomy can lead to hyperextension deformity of the involved toe.

Tightness of the flexor digitorum longus tendon should be carefully observed with the patient in a standing position. If the flexor digitorum longus tendon appears to be tight in the toe adjacent to the involved toe, the involved toe probably also has a contracture of the flexor digitorum longus tendon. In this case, the tendon should be released in the deformed toe during surgery or the deformity will probably recur over time ( Fig. 9-34 ).

Fig. 9-34, With a tight flexor tendon in an adjacent toe, a flexor tenotomy should be performed at the time of hammer toe repair. A , Contracture of just the second toe indicates a flexor tenotomy is possibly not necessary. B , A contracture is noted in all of the lesser toes.

Another consideration in the treatment of a hammer toe is that there must be sufficient space for the corrected toe to occupy ( Fig. 9-35A ). If a patient has a concomitant hallux valgus deformity that has diminished the interval between the first and third toes and forced the second toe into dorsiflexion, adequate space must be obtained for the corrected lesser toe or the deformity can recur. An Akin phalangeal osteotomy may be used to create room for a second toe when a hammer toe correction is performed. A hallux valgus repair may be necessary to obtain sufficient space between the first and third toes to realign the second toe successfully. At times, the adjacent lesser toes can drift into medial or lateral deviation, again diminishing the interval that the corrected toe should occupy. These toes may need to be corrected to afford the corrected hammer toe adequate space.

Fig. 9-35, A , A hallux valgus deformity can reduce the space available for the second toe once the hammer toe has been corrected. B , A toe cap may be used to decrease pressure on the distal tip of the hammer toe. C and D , Various types of tube gauze may be used to pad a lesser toe deformity. E and F , Tube gauze is slid over the symptomatic toe to relieve pressure. G , Patient has modified footwear to make room for the prominent second toe. H , A shoe may be modified as in this case by a patient with a bunion, bunionette, and hammer toe deformity.

A young patient with a flexible deformity is a candidate for conservative treatment. Likewise, an older patient with multiple medical problems may be a poor surgical candidate. The most important conservative measure is for the patient to acquire roomy, well-fitted shoes. The preferable characteristics of such shoes include a high and wide toe box and a soft sole with a soft upper portion of the toe box. This helps to prevent direct pressure against a hammer toe and subsequent development of painful callosities or ulcers. Local treatment can consist of a doughnut-shaped cushion, foam toe cap ( Fig. 9-35B ), foam tube-gauze, or viscoelastic toe sleeves placed over the PIP joint ( Fig. 9-35C–F ). Shoes with a stiff insole or a rocker-type outer sole may relieve pressure on the forefoot and diminish metatarsalgia ( Fig. 9-36 ).

Fig. 9-36, A and B , Examples of roomy shoes. Rocker sole with stiff insole may provide increased depth to the toe box and a stiff insole to diminish lesser toe joint excursion.

The shoe itself might need to be modified if the patient has pain beneath the metatarsal head. Such a modification can consist of a soft metatarsal support, a metatarsal bar, or a comfortable orthosis that relieves pressure beneath the involved metatarsal head. At times, patients modify their shoes to reduce pressure on a symptomatic hammer toe ( Fig. 9-35G and H ). A toe cradle can elevate the involved digit and reduce pressure on the tip of the toe (see Fig. 9-27B and C ). In more advanced cases and with multiple toe involvement, an extra-depth shoe with a polyethylene foam (Plastazote) insole can help to distribute pressure more uniformly on the plantar aspect of the foot. A program with daily manipulation of the toes should be started to try to keep the toes flexible.

A traumatic boutonnière deformity can develop with a hammer toe deformity ( Fig. 9-37 ). Rau and Manoli initially reported on this rare deformity, which is caused by a rupture of the central extensor slip. As the lateral bands displace, they become flexors of the PIP joint. A flexion deformity of the PIP joint occurs and is associated with a hyperextension deformity of the DIP joint. The authors recommended a direct repair of the central slip and recentralization of the lateral bands. Quebedeaux et al reported on two cases of traumatic boutonnière deformity; one developed in association with chronic rheumatoid arthritis and was treated conservatively, and the other one developed after trauma. A delayed repair and PIP arthroplasty were performed.

Fig. 9-37, A , Traumatic boutonnière deformity of the second toe. B , A traumatic swan-neck deformity has occurred with development of a mallet toe as well as hyperextension of the proximal interphalangeal joint.

If a deformity of the MTP joint exists along with a hammer toe deformity (a complex hammer toe deformity), surgical correction of this deformity also must be considered. In cases of a mild deformity, an extensor tenotomy or lengthening may be sufficient to achieve correction. In cases of a moderate hyperextension deformity of the MTP joint, an extensor tenotomy and MTP capsule release may be necessary. Kirschner wire fixation also may be necessary to stabilize the arthroplasty site as well as the MTP joint. A flexor tendon transfer also may be necessary to achieve stability of the MTP joint. Where subluxation has progressed to frank dislocation of the MTP joint, the soft tissue procedures described are inadequate to achieve reduction, and a metatarsal osteotomy is necessary. (See the “Subluxation and Dislocation of the Lesser Metatarsophalangeal Joint” section.)

With time, and even with appropriate conservative management, most of these deformities become fixed and often require surgical correction. The algorithm presented in Fig. 9-38 is a useful guide to treatment of the hammer toe deformity. If surgery is required, it is important that the procedure be carefully selected, depending on the specific cause and type of the deformity.

Fig. 9-38, Algorithm for treatment of hammer toe deformity. MTP , Metatarsophalangeal.

Surgical Considerations

The DuVries arthroplasty is recommended for reduction of a fixed hammer toe deformity involving the middle three toes. This procedure does not necessarily achieve a joint fusion; it can achieve a fibrous union that usually allows approximately 15 degrees of motion. The arthroplasty may be performed under a digital anesthetic block if there is no MTP joint involvement. If there is an MTP joint deformity, more extensive anesthesia is necessary.

Contraindications include acute or chronic infection, vascular insufficiency, and flexible deformities for which a resection arthroplasty is not necessary. Relative contraindications include more severe deformities involving the MTP joint, for which more extensive surgery must be combined with the DuVries arthroplasty to realign the digit completely.

DuVries Arthroplasty Procedure (PIP Joint Resection Arthroplasty) ( )

Surgical technique

The technique is as follows

  • 1.

    The patient is placed supine and the foot is cleansed. The use of a ¼ inch Penrose drain as a toe tourniquet is optional. If MTP joint surgery is also to be performed, an Esmarch bandage can be used to exsanguinate the extremity and as an ankle tourniquet. If concern exists about tendon imbalance, a thigh tourniquet may be considered to prevent iatrogenic tension in the tendons from a tourniquet across the effecting tendons. A digital block or regional anesthesia is used for anesthesia, depending upon the need for additional surgical procedures.

  • 2.

    An elliptic or longitudinal incision is centered over the dorsal aspect of the PIP joint, excising the callus, extensor tendon, and joint capsule, thereby exposing the PIP joint ( Figs. 9-39A and 9-40A ).

    Fig. 9-39, Technique for repair of a hammer toe deformity. A , Elliptic incision over the proximal interphalangeal (PIP) joint excises callus, if present, along with the extensor tendon and joint capsule. B , Removal of extensor tendon and joint capsule along lines of incision. C , When a knife blade is placed flat against the condyles, the collateral ligaments are cut, thereby delivering the head of the proximal phalanx into the wound. D , Excision of the head of the proximal phalanx proximal to the flare of the condyles. E , Condyles have been removed. At this time, a decision is made as to whether to perform a flexor tenotomy. If a flexor tenotomy is done, the plantar capsule is incised, and the long flexor tendon is incised in the depths of the wound. F , A 0.045-inch Kirschner wire is introduced at the proximal interphalangeal (PIP) joint and driven distally, exiting the tip of the toe. The proximal interphalangeal (PIP) joint is reduced, and the pin then is driven retrograde, stabilizing the repair. G , Alternative means of stabilization. Insertion of vertical mattress suture of 3-0 nylon. The deep portion of the suture approximates the extensor tendon, and the superficial portion of the suture coapts skin edges. The Telfa bolster is used to gain leverage to hold the toe in satisfactory alignment. H , The toe is held in satisfactory alignment after placement of sutures and bolsters.

    Fig. 9-40, Hammer toe deformity of the second toe. A , After a longitudinal skin excision, the dorsal capsule and extensor tendon are exposed. B , Removal of extensor tendon and joint capsule along the lines of the incision. C , The collateral ligaments and plantar capsule are released. D , Exposing the condyles of the proximal phalanx, which are excised. (After excision of the head of the proximal phalanx, a flexor tenotomy may be performed; also, the articular surface of the base of the middle phalanx may be resected.) E , Kirschner wire fixation. F , After completion of repair.

  • 3.

    The collateral ligaments on the medial and lateral aspects of the proximal phalanx are severed to allow the condyles of the proximal phalanx to be delivered into the wound ( Figs. 9-39B and C and 9-40B and C ). Care is taken to protect the adjacent neurovascular bundles.

  • 4.

    The head of the proximal phalanx is resected just proximal to the flare of the condyles, and any prominent edges are smoothed with a rongeur ( Figs. 9-39D and 9-40D ).

  • 5.

    At this point, the toe should be brought into corrected alignment. If there still appears to be tension at the PIP joint, so that it is difficult to adequately correct the deformity, more bone should be resected. Also, consideration should be given to release of the flexor digitorum longus through this wound ( Figs. 9-39E and 9-34 ).

  • 6.

    If a flexor tenotomy is performed, the plantar capsule of the PIP joint is carefully incised, and the long flexor tendon is identified in the flexor tendon sheath. The tendon is transected and allowed to retract.

  • 7.

    The articular surface of the base of the middle phalanx may be resected with a rongeur. This is optional.

  • 8.

    A 0.045-inch Kirschner wire is introduced at the PIP joint and driven distally, exiting the tip of the toe. With the toe held in proper alignment, the pin is driven in a retrograde fashion to stabilize and align the toe. The wire is then bent at the tip of the toe and the excess pin removed ( Figs. 9-39F and 9-40E ). The Kirschner wire has enough flexibility that it can be bent at the operative site to alter the alignment when necessary.

  • 9.

    The wound is closed with vertical interrupted mattress sutures of 3-0 nylon (see Fig. 9-39F ).

Alternative fixation and joint preparation

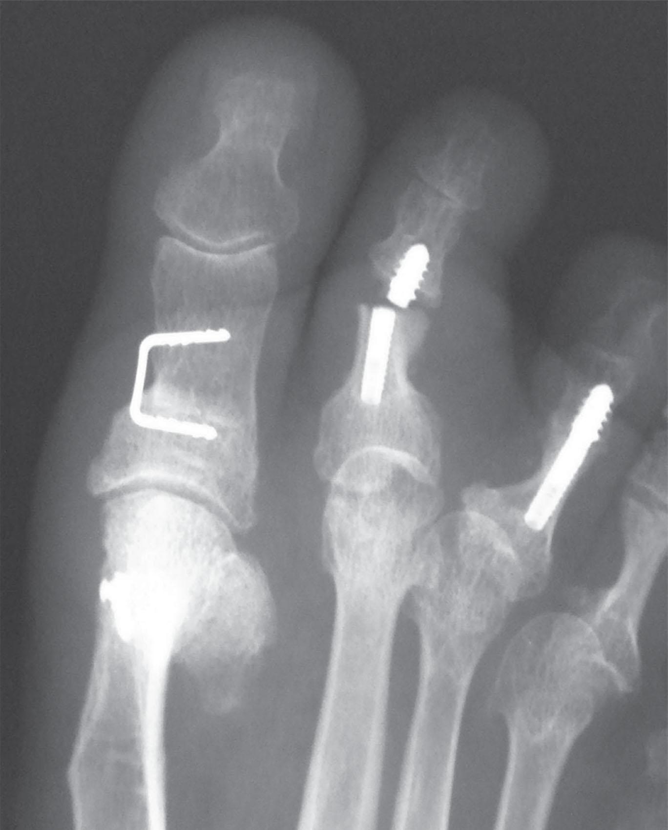
Intramedullary fixation for hammer toe correction has been advocated in an effort to secure permanent fixation without the use of Kirschner wires. Absorbable implants, screw fixation ( Figs. 9-41 and 9-42 ), wire loops, and other permanent intramedullary devices ( Fig. 9-43 ) have all been reported.

Fig. 9-41, Examples on intramedullary screws for hammer toe fixation. A , Placement of intramedullary Kirschner wire and cannulated screw from the tip of the toe. B , Cannulated screw fixation. C , Preoperative radiograph demonstrating subluxation of second and third metatarsophalangeal (MTP) joints and hammer toes of second and third toes. D , After intramedullary hammer toe fixation and distal osteotomies of second and third metatarsals. E , Intramedullary Herbert-type screws placed from the tips of the toes for treatment of hammer toe deformities. Note marked lesser MTP joint subluxation.

Fig. 9-42, Example of screw fixation with hammer toe repair. A , Clinical preoperative photograph and, B , radiograph of hammer toe deformities of second and third toes. C , Postoperative clinical photograph and, D , radiograph after placement of oblique proximal interphalangeal joint screw fixation.

Fig. 9-43, Examples of intramedullary fixation for hammer toe repairs. A , Stayfuse (Tornier, Minneapolis, Minn.), with correction of deformity. B , Ipp-On (Integra, Plainsboro, N.J.), with correction of deformity. C , Pro-Toe (Wright Medical, Memphis, Tenn.), D , Example of implant failure with persistent pain. E , Smart Toe (Stryker, Kalamazoo, Mich.), with extra Kirschner wire fixation. F , Smart Toe implant 4 years post op with fracture of implant but patient is asymptomatic

Weil described the use of conical reamers for preparation of the joint surfaces to aid in achieving proper alignment and coaptation of the surfaces. No series have been published on this technique.

Historically, a vertical mattress-type suture using 3-0 nylon and incorporating two Telfa bolsters was used when Kirchner wires were not available. As the suture is tightened, a certain degree of leverage is placed on the toe to bring it into satisfactory alignment ( Fig. 9-44 and Fig. 9-39G and H ). This technique is much less commonly used today.

Fig. 9-44, A , Proposed area of bone resection. B , After bone resection, stabilization with intramedullary Kirschner wire. C , Stabilization with sutures and Telfa bolsters.

Hammer Toe Repair with Intermedullary Implant (PIP Joint Arthrodesis) ( )

Surgical technique

The technique is as follows.

  • 1.

    The patient is supine and the foot is cleansed. The use of a ¼ inch Penrose drain as a toe tourniquet is optional. If MTP joint surgery is also to be performed, an Esmarch bandage can be used to exsanguinate the extremity and as an ankle tourniquet. If concern exists about tendon imbalance, a thigh tourniquet may be considered to prevent iatrogenic tension in the tendons from a tourniquet across the effecting tendons. A digital block or regional anesthesia is used for anesthesia, depending upon the need for additional surgical procedures at the same time.

  • 2.

    A longitudinal incision is centered over the dorsal aspect of the PIP joint. Alternatively, an elliptical incision excises the callus, extensor tendon, and joint capsule, thereby exposing the PIP joint ( Fig. 9-45A and B and ).

    Fig. 9-45, Hammer toe repair with Nitinol implant. A , Dorsal longitudinal incision. B , Excision of dorsal capsule. C , Release of collateral ligaments. D , Resection of condyles of proximal phalanx. E , Flat surfaces are created on both middle and proximal phalangeal surfaces. F , 2-mm drill hole is placed in each of the phalanges. G , The canals are broached. H , The implant is removed from refrigerated source. I , The implant is placed in the proximal phalanx and then placed in the middle phalanx. J , Postoperative fluoroscopy showing implant and additional Kirschner wire.

  • 3.

    The collateral ligaments on the medial and lateral aspects of the proximal phalanx are severed to allow the condyles of the proximal phalanx to be delivered into the wound ( Fig. 9-45C ). Care is taken to protect the adjacent neurovascular bundles.

  • 4.

    The head of the proximal phalanx is resected at the metaphyseal–diaphyseal junction, and any prominent edges are smoothed with a rongeur ( Fig. 9-45D and E ).

  • 5.

    If a flexor tenotomy is performed, the plantar capsule of the PIP joint is carefully incised, and the long flexor tendon is identified in the flexor tendon sheath. The tendon is transected and allowed to retract.

  • 6.

    The articular surface of the base of the middle phalanx is resected with a rongeur.

  • 7.

    While every implant system is different, commonly a drill is introduced at the PIP joint and driven both proximally and distally to prepare the canals for the implant ( Fig. 9-45F ). Other implants require a broach to enlarge each canal ( Fig. 9-45G ).

  • 8.

    The implant is inserted according to manufacturer’s instructions. Temperature-sensitive implants are removed from the refrigerated storage area and immediately inserted into the prepared intramedullary canal ( Fig. 9-45H and I ).

  • 9.

    The middle phalanx is then positioned adjacent to the prepared surface of the proximal phalanx. Temperature sensitive implants are held while the implant expands and stabilizes the digit. The position of the implant is verified under fluoroscopy ( Fig. 9-45J ).

  • 10.

    The wound is closed with vertical interrupted mattress sutures of 3-0 nylon.

Postoperative care

A small compression dressing is placed around the toe, and the patient is allowed to ambulate in a postoperative wooden shoe. If a Kirschner wire has been used, the sutures and Kirschner wire are removed 3 weeks after surgery. In either case, it is important to support the toe with tape for the next 4 to 6 weeks after internal or external fixation has been removed. Localized trauma to the digit in the first few weeks after surgery can lead to recurrent deformity and must be avoided.

Results of Hammer Toe Repair

Condylectomy and Fusion

Numerous case series describe results of PIP resection for treatment of fixed hammer toe deformities. Coughlin et al reported on the results of a DuVries condylectomy in one of the largest studies (67 patients, 118 toes). Patients were evaluated at an average of 5 years after proximal phalangeal condylectomy, middle phalangeal articular resection, and intramedullary Kirschner wire fixation. Fusion of the PIP joint occurred in 81% of cases, and subjective satisfactory results were observed in 84% of cases.

Similarly, case series describe results of PIP fusion. Ohm et al reported on 62 hammer toe repairs in 25 patients corrected with a digital fusion technique. An equal number of corrections were performed on the second, third, and fourth toes. At short-term follow-up, a 100% fusion rate was reported. Newman and Fitton reported on results in 19 patients treated with a similar technique and surprisingly noted only 40% satisfactory results.

The use of some type of fixation improves clinical outcome. O’Kane and Kilmartin reported their results with excisional arthroplasty in 75 patients (100 toes). They used suture fixation and early return to shoes at 2 weeks as opposed to intramedullary Kirschner wires and reported a high complication rate (31%). Although they did not report angular measurements, malalignment was a common occurrence (rotation, extension, axial plane malalignment), probably because of their lack of internal fixation. This lack of fixation allowed a higher rate of “toe-touch” with plantar flexion (mild recurrence) at the operative site.

Either bony fusion or fibrous union can produce excellent clinical results after hammer toe repair. A randomized controlled trial by Schrier et al compared a PIP joint fusion with a DuVries arthroplasty with both groups using Kirchner wire fixation and noted similar results in both groups. This notion was confirmed by Coughlin’s series, who found pain relief in 92% of patients was no different in those with a fibrous or a bony union. Although some authors advocate attempted arthrodesis, others have stated that a PIP joint resection suffices as treatment by achieving adequate alignment of the toe and that a fibrous union is consistent with a successful outcome.

Although a PIP fusion is not necessarily the ultimate objective, increased stiffness of the PIP joint, appears to help maintain alignment. Kelikian observed that resection of both articular surfaces leads to a satisfactory result if it is followed by stiffness of the joint. Both a fusion of the PIP joint and an arthrofibrosis succeed by converting the pull of the flexor digitorum longus to flex the MTP joint. However, a fusion also gives triplanar stability to the toe. For this reason, Higgs stated that a fibrous union placed the digit at risk for recurrent deformity. Therefore, the goal of surgery is to correct the deformity as well as to maintain the correction.

Various joint preparation techniques have been used to try to improve bony fusion. The rate of pseudoarthrosis in attempted PIP joint fusions approaches 50% in some series, although some surgeons have obtained a high fusion rate (>90%) with a peg-and-dowel technique. Pichney et al and others have used a V-type arthrodesis technique for correcting a hammer toe deformity with good success. Lehman and Smith noted a 50% satisfaction rate with a peg-and-dowel technique. Major reasons for postoperative dissatisfaction were toe angulation and incomplete relief of pain. Because of the straight nature of the fusion, toe tip elevation (a “floating toe”) was noted in 14% of cases. Transverse plane angulation was observed in 11%. Forty-four percent of patients developed flexion at the DIP joint, a finding also noted by Schlefman et al. Ohm et al and Schlefman et al noted that more bone resection was necessary for a peg-and-dowel technique, and shortening is a common complaint after this technique of hammer toe repair.

Attempts at more permanent fixation have been reported. Lane, Caterini et al, and Vitek have reported the use of either a distally introduced intramedullary screw or an oblique screw fixation (see Figs. 9-41–9-43 ). Vitek reported a 93% fusion rate. Caternini et al reported a similar fusion rate; however, this technique sacrifices the DIP joint with fixation that crosses both interphalangeal joints. Konkel et al reported the use of an absorbable intramedullary pin for fixation of a hammer toe repair. A 73% union rate was noted. Three mallet toes and eight transverse plane deformities were reported, as well as a similar rate of “floating toes.”

The results of DIP joint sacrificing fixation has led to the development of DIP joint sparing intramedullary fixation. While this list is not exhaustive, it includes: the Smart Toe II (Stryker, Kalamazoo, MI), the DynaNite (Arthrex, Naples, Flor.), the Toe grip (Synchro Medical, Lyon, France), the Stayfuse (Tornier, Minneapolis, Minn.), the Ipp-On (Integra, Plainsboro, NJ), the Pro-Toe (Wright Medical, Memphis, Tenn.), the TenFuse (Wright Medical, Memphis, Tenn.), the Hat-trick (Smith and Nephew, Andover, Mass.), the Hammerfix (Extremity Medical, Parsippany, NJ), the Nextra (Zimmer Biomet, Warsaw, Ind.), and the CannuLink (Wright Medical, Memphis, Tenn.). Bioabsorbable fixation with either a PDS pin, polyketone, or PLLA screw has also been described.

Several of the available implants have published results. While there are no randomized controlled trials, Wei et al published a systematic review of previously published studies on intramedullary implants that included a control group with Kirchner wires. They demonstrated similar clinical outcomes with respect to pain levels, patient satisfaction, foot-related function, and surgical complication rates. Ellington et al reported a 60% union rate in 38 toes and sagittal or coronal plane malalignment in 18% of cases ( Fig. 9-46 ). Only three patients had revision surgery; the authors felt the implant assisted in maintaining alignment despite a union rate very similar to Kirschner wire fixation. Roukis reported his results with the Smart Toe in 30 toes. The fusion rate was 93%; malunion occurred in 7%. Avenrous published a report of 142 patients with 1-year follow-up of the Toegrip and reported a 94% satisfaction rate with a PIP joint arthrodesis rate of 84%. Catena et al reported a 100% satisfaction rate, an 81% bony union rate in a case series of 42 Smart Toes at 1 year follow-up. Obrador compared standard K wire fixation with the Smart Toe implant as well as the TenFuse implant and demonstrated slightly higher patient satisfaction with intramedullary fixation but similar outcomes. Scholl compared the smart Toe to a buried Kirchner wire and noted that despite similar clinical outcomes, only 68.9% of the Smart Toe implants achieved an arthrodesis across the PIP joint, which was consistent with their results in the Kirchner wire group.

Fig. 9-46, Broken implant with recurrent deformity.

In the authors’ opinion, there are several potential benefits of intramedullary fixation over K wire fixation including increased patient satisfaction due to irritation and annoyance of pins at the end of the toe, increased rotational stability, increased axial stability, decreased risk of infection from the pin tract, decreased risk of implant migration, increased compression across the PIP joint, and finally a possible decrease rate of deformity recurrence due to the permanence of the implant. It must be noted, however, that these potential benefits have not been established by the literature and changes in technique and fixation will have to be weighed against the increased cost of the implants. As an alternative, one option may be to use a 0.062 inch Kirchner wire as an intramedullary implant ( Fig. 9-47 ) utilizing a similar technique as the intramedullary implants.

Fig. 9-47, Intramedullary fixation utilizing a 0.062 inch K wire.

Less Common Procedures

Alternative treatments for hammer toe deformities include either a diaphysectomy or partial proximal phalangectomy ( Fig. 9-48 ). McConnell reported on a large series of patients treated with diaphysectomy of the proximal phalanx to correct a hammer toe deformity ( Fig. 9-49 ). Satisfactory results were reported with this procedure. McConnell stated that “most cases heal by bony union.” The actual alignment of the toe, complications, and rate of nonunion were not described in the report. A diaphysectomy is a useful procedure to treat a hammer toe and obtain shortening of a toe that is significantly longer than adjacent toes.

Fig. 9-48, Excessively long second toe treated with diaphysectomy. Preoperative clinical (A) and radiographic (B) appearance. C , Dorsal phalangeal exposure with proposed excision. D , Sagittal saw is used for careful resection. E , Removal of 5-mm diaphyseal segment. F , Kirschner wire fixation. G , After skin closure. H , Postoperative radiograph demonstrating shortening of digit. I and J , Evaluation of postoperative vascularity is important. Capillary filling may be slow and should be monitored.

Fig. 9-49, Preoperative clinical (A) and radiographic (B) views of patient with hammer toe symptoms and an unusually long second ray. C , Long-term radiographic follow-up after diaphysectomy of the proximal phalanx.

Partial proximal phalangectomy has been recommended by Johnson and others ( Figs. 9-50 and 9-51 ) as a treatment for a hammer toe deformity in association with MTP joint deformity. Cahill and Connor reported on 78 patients (84 toes). They noted poor objective results in 50% of patients and concluded that partial proximal phalangectomy relieved symptoms but left a cosmetically poor result ( Fig. 9-52 ). Conklin and Smith noted a 29% postoperative dissatisfaction rate; major complaints were shortening of the ray, floppiness of the toes, metatarsalgia, weakness, and stiffness.

Fig. 9-50, With a partial proximal phalangectomy, the base of the proximal phalanx is excised. Often, adjacent partial proximal phalangectomies are performed in combination with syndactylization. A and B , An intramedullary web space incision is made to approach the adjacent metatarsophalangeal joints. C , The bases of the proximal phalanges of the second and third toes have been excised. D–F , Closure of deep and superficial tissue.

Fig. 9-51, A , Painful degenerative arthritis of the second metatarsophalangeal joint. Radiograph demonstrates complete loss of the remaining joint space. B , After excision of the base of the proximal phalanx of the second toe, an intramedullary Kirschner wire is used to stabilize the repair until adequate healing is achieved. C , Intraoperative photograph after partial proximal phalangectomy. D , After removal of Kirschner wire.

Fig. 9-52, A and B , Intraoperative photographs after Kirschner wire fixation and syndactylization after partial proximal phalangectomy of the second toe deformity. C , Radiograph immediately after surgery. D , A radiograph 5 years postoperatively demonstrates severe shortening of the proximal phalanx with a varus deformity of the third toe. E , Cosmetically unacceptable syndactylization after partial proximal phalangectomy of only the second toe.

A limited syndactylization may be combined with a partial proximal phalangectomy of adjoining phalanges. Daly and Johnson reported 75% patient satisfaction with this procedure; however, 43% of patients had moderate footwear restrictions, 27% reported residual pain, 28% noted moderate or severe cosmetic problems, and 18% reported a recurrent cock-up deformity. In general, the treatment of a hammer toe deformity by creating another deformity with a partial proximal phalangectomy and syndactylization should be discouraged except in a salvage situation.

Amputation of the second toe may be an expeditious treatment for severe deformity in an elderly patient, but it is ill-advised in a younger patient because a hallux valgus or other toe deformity can progress ( Fig. 9-53A, C, and D , Fig. 9-54 ). Ely believed a hallux valgus deformity would not progress after amputation of a second toe. VanderWilde and Campbell reported on 16 patients (22 feet) who underwent a second toe amputation. They observed mild progressive drift of the hallux but thought that it was usually not significant. Despite these reports, it is generally accepted that removal of the second toe can place the patient at risk for a progressive hallux valgus deformity in time. Arthrodesis of the hallux MTP joint may be combined with a second toe amputation to ensure that a hallux valgus deformity will not progress with time ( Fig. 9-53E and F ). Gallentine and DeOrio reported on 17 amputations in patients averaging 78 years of age; 14 of 17 had a severe hallux valgus deformity, and absence of the toe was not an issue for them. They reported this to be a simple procedure with a predictable healing and recovery (see Fig. 9-54 ).

Fig. 9-53, A , After amputation of second toe. B and C , Progressive hallux valgus after amputation of second toe. D , Preoperative radiograph with hallux valgus and dislocated second metatarsophalangeal (MTP) joint. E , After MTP fusion and second toe amputation.

Fig. 9-54, Patient with rapid onset of adjacent claw toe deformity after second toe amputation.

Implants in the lesser toes have been reported by a number of authors. Shaw and Alvarez reported on 672 implants placed over an 11-year period for hammer toe deformities. Several implants were removed for pain, infection, or implant failure. The authors noted that the only true function of an implant in the lesser toe was to act as a spacer, and they found no difference between implants left in permanently and those removed at least 6 weeks after surgery.

Reports of hinged silicone joint replacement for hammer toe deformities have also been reported by Gerbert and Benedetti and others. Although these series reported a high level of satisfactory results, it is doubtful that the long-term results of PIP joint implants are significantly different from results of excisional arthroplasty. The risk of implant placement in this relatively subcutaneous area and the cost of the implant and surgical procedure make its use questionable when similar results are obtainable with excisional arthroplasty.

Cracchiolo et al and others have reported on the use of silicone implant arthroplasty in the lesser MTP joints ( Fig. 9-55 ). Sgarlato proposed silicone arthroplasty of the lesser MTP joints for a dislocated MTP joint, arthritis, a Freiberg infraction, congenitally shortened toes, bunionette deformity, and failed resection arthroplasty. Cracchiolo et al reported on lesser MTP replacement arthroplasty in 31 feet (28 patients), noting acceptable results in 63%. Transfer metatarsalgia was the most common postoperative complication, but other complications included lesser metatarsal stress fracture, soft tissue infection, and implant failure. Cracchiolo et al concluded that the implant aided in maintaining the joint in a reduced position but that there were strict limitations in the indications for silicone replacement arthroplasty. Fox and Pro reported on a similar success rate (70%) with lesser MTP implant arthroplasty. Silicone replacement arthroplasty of the lesser MTP joints or lesser toes is rarely indicated and should be reserved for the occasional salvage procedure when other more standard techniques either are contraindicated or have been unsuccessful.

Fig. 9-55, Second metatarsophalangeal (MTP) joint silicone implant arthroplasty. A , Mild hallux valgus deformity with painful second MTP joint. B , After first metatarsal osteotomy and placement of second MTP joint double-stem silicone implant. (The implant went on to failure, with eventual salvage with a second toe amputation.) C , At long-term follow-up, the lateral lesser toes have migrated medially.

Complications

The results of hammer toe repairs are in general gratifying, and few, if any, complications are routinely reported. Kramer et al, in a series of nearly 3000 hammer toe corrections noted that two variables increased the risk of revision surgery: capsulotomy of the MTP joint (more severe deformity) and Kirchner wire complications (early removal of the fixation).

Malalignment is often a reason for dissatisfaction. Malali-gnment can occur in any one of three planes—medial–lateral, dorsal–plantar, or rotational. Any attempt at arthrodesis may place the digit in “too straight” a position. Although intramedullary devices may increase the incidence of successful fusion, they may be predisposed to a straight toe that does not necessarily touch the ground and may be a source of dissatisfaction. On the other hand, the development of transverse plane deformities, which can occur with inadequate hammer toe fixation, are similarly unpopular. Also, a hammer toe can develop in an adjacent nonoperated toe. A patient should be warned that there is a possibility of developing deformities in other toes. The development of a mallet toe deformity after a hammer toe repair is uncommon but can occur as well.

Swelling of the toe can persist for 1 to 6 months after the procedure. Almost invariably, however, the swelling subsides if given sufficient time ( Fig. 9-56 ). Coughlin et al noted that no patient had digital swelling at long-term follow-up.

Fig. 9-56, A , Postoperative swelling is common. B , With time, edema of the toe usually subsides.

Recurrence of a hammer toe deformity is one of the most frustrating complications after surgery. Although excessive resection of bone should be avoided because it leads to a floppy and unstable toe ( Fig. 9-57A and B ), adequate bone resection is necessary to decompress the toe to obtain an adequate correction. In the face of recurrence, a flexor tenotomy may be necessary to achieve adequate correction. If sufficient bone has been excised and the flexor digitorum longus has been released when indicated, recurrent deformity rarely occurs. Placing two pins for fixation and leaving Kirchner wires for 4 to 5 weeks can help to successfully stabilize a toe after redo surgery.

Fig. 9-57, A and B , Excessive resection of bone can destabilize the lesser toes. C and D , Unstable second toe after excessive bone resection. E , Operative exposure of area of prior resection arthroplasty. F , Calcaneal exposure to obtain graft. G , Cylindric donor graft. H , Placement of graft. I , Final clinical appearance after interposition graft. Note adequate vascularity of digit.

After excessive bone resection, development of a flail toe is a most difficult complication to salvage. Mahan , Mahan et al described a technique of bone graft stabilization of an iatrogenic flail second toe after unsuccessful hammer toe repair; however, this is an extensive reconstruction to perform on a lesser toe and should be reserved for a patient with significant symptoms ( Fig. 9-57C–I ). Friend described a soft tissue repair using a V-Y skinplasty, soft tissue release, and partial metatarsal head resection to reconstruct an unstable flail lesser toe ( Fig. 9-58 ).

Fig. 9-58, Soft tissue V-Y plasty for contracted lesser toe. A , Proposed V-shaped skin incision. B , Operative incision. C , Closure in Y fashion to lengthen the lesser toe. D and E , Z-plasty to correct contracted lesser toes.

The toe often assumes the shape of adjacent toes, a process termed molding ( Fig. 9-59 ). Preoperative patient counseling about the possibility of molding usually alleviates postoperative concern on the part of the patient. If the great toe has an element of hallux valgus interphalangeus, the second toe will also probably have a slight lateral curvature. It is not possible for a repaired hammer toe to remain straight when a deforming force is applied by the great toe or an adjacent toe ( Fig. 9-60 ).

Fig. 9-59, Molding of adjacent toes. Preoperative clinical examination (A) and radiograph (B) demonstrate molding of second toe. C , Molding of the second and third toes often occurs immediately after surgery but resolves with diminution of swelling. D and E , Molding of second toe after hammer toe repair.

Fig. 9-60, After hammer toe repair. A , Preoperative radiograph of second hammer toe with metatarsophalangeal joint (MTP) subluxation. B , After realignment. C , Lateral translation after hammer toe repair, with later development of interdigital corn. D , Mild medial angulation with satisfactory result; a successful arthrodesis resulted. E and F , Lateral deviation of the digit after hammer toe repair caused by pressure from an adjacent hallux valgus deformity. Both patients were dissatisfied. G , Medial deviation with fibrous union. H , A broken Kirschner wire at the MTP joint. Although the hammer toe repair was satisfactory, the MTP joint became malaligned. I and J , Hyperextension deformity after hammer toe repair.

Kirschner wire fixation of hammer toe repairs was introduced by Taylor in 1940 to stabilize the correction. This remains the most popular technique of digital stabilization because of the ease of placement and removal, the maintenance of alignment, and the increased stability after correction. Although complications such as pin tract infection ( Fig. 9-61 ), migration, and breakage have been observed (see Fig. 9-60G and H and Fig. 9-13 ), Zingas et al reported a 2.5% failure rate when using 0.045-inch Kirschner wires for fixation of lesser toe deformities; however, they routinely left their Kirschner wires implanted for 6 weeks. A shorter period of implantation may diminish the incidence of Kirschner wire failure. They noted the area of wire fracture occurred a few millimeters proximal to the metatarsal head but was rarely symptomatic. Wires can be bent at the operative site after placement to improve digital alignment. An 18% infection rate was reported by Reece et al when Kirschner wires were left in place 6 weeks or more. In Coughlin’s series, only 3 of 118 toes developed a pin tract infection, and all resolved after pin removal. Kirschner wires were removed routinely 3 weeks after surgery. Herstik et al, in a large review of lesser toes stabilized with Kirschner wires, reported an even lower infection rate (<1%). He attributed those infections mostly to skin contamination.

Fig. 9-61, A , Severe infection in toe pulp after hammer toe repair. B and C , Infection of second toe after hammer toe repair. D and E , Pin tract infection after hammer toe repairs.

Other uncommon complications include postoperative numbness caused by injury of an adjacent sensory nerve, subsequent mallet toe deformity, and decreased MTP range of motion. On rare occasions, patients develop discomfort at the site where a pseudoarthrosis has developed. In these unusual cases, an injection of a corticosteroid usually gives lasting relief. If this is unsuccessful, revision hammer toe repair may be necessary to achieve bone union, with consideration of permanent intramedullary fixation.

Flexible Hammer Toe Deformity

The patient with a flexible or dynamic hammer toe has a deformity when standing. Practically no deformity is present when the patient sits on the examining table with the foot in an equinus position. The deformity can then be reproduced by dorsiflexion of the ankle joint and with pressure placed beneath the metatarsal heads. These patients do not have the classic claw toe deformity because the MTP joint is not involved. The deformity appears to be caused by a contracture of the flexor digitorum longus tendon.

This deformity may be corrected by a flexor tendon transfer. Although Girdlestone is often cited as the originator of the split flexor digitorum longus tendon transfer to the dorsum of the proximal phalanx, he did not report a surgical technique to correct clawed or hammered toes; rather, he discussed the concept of a loss of intrinsic muscle function that leads to clawing of the toes. Taylor also is commonly credited with describing a flexor digitorum longus transfer; however, the surgical technique that he described has evolved significantly. The use of either of the eponyms Girdlestone or Taylor to describe this procedure as it is currently used is no longer appropriate.

Preoperative Planning

The theory behind the flexor tendon transfer is that the transferred flexor digitorum longus tendon assumes the function of the intrinsics (i.e., plantar flexion of the MTP joint and extension of the interphalangeal joints). Merely sectioning the flexor digitorum longus usually is not sufficient to straighten the toe in these patients and sacrifices a usable tendon. The flexor tendon transfer realigns the toe at the cost of prehensile action, which has been found to be a problem for some patients. Often a patient has an absence or loss of active toe flexor power at the time of the flexor tendon transfer, and the patient commonly retains passive, but not active, toe function. Major complaints include restricted interphalangeal and metatarsophalangeal joint motion and loss of active flexor digitorum longus function to the other lesser toes.

Surgical Considerations

A flexor tendon transfer is indicated for primary treatment of a flexible hammer toe. It may also be used in combination with other surgical techniques in the treatment of claw toes and toes that demonstrate instability of a lesser MTP joint. Also, it may be used as a component of the repair for MTP joint plantar plate insufficiency or a crossover second toe deformity.

A flexor tendon transfer is contraindicated as a primary treatment of a fixed hammer toe deformity.

Flexor Tendon Transfer Procedure 43,48 ( )

Surgical technique

The technique is as follows.

  • 1.

    The foot is cleansed and draped in the usual fashion. The foot is exsanguinated with an Esmarch bandage. An Esmarch bandage may be used as a tourniquet above the level of the ankle ( Fig. 9-62A ).

    Fig. 9-62, Technique for correction of dynamic hammer toe. A , Lateral view of lesser toe demonstrates the anatomy of flexor and extensor tendons. B , Cross-section anatomy through the metatarsal head region. Note that the flexor digitorum longus (FDL) is deeper than the flexor digitorum brevis (FDB). The FDL is characterized by a midline raphe. C , The FDL tendon has been detached from its insertion into the base of the distal phalanx and delivered into the plantar wound at the base of the toe. The tendon is then split longitudinally along its raphe, producing two tails. D , The FDL is delivered on either side of the extensor hood through a subcutaneous tunnel. E , The FDL is sutured into the extensor digitorum longus (EDL) tendon under moderate tension, and the metatarsophalangeal joint is held in approximately 20 degrees of plantar flexion.

  • 2.

    Under tourniquet control, a 5-mm transverse incision is made on the plantar aspect of the foot at the level of the proximal plantar flexion crease of the toe. The soft tissue is spread, and the flexor tendon sheath is identified.

  • 3.

    The flexor tendon sheath is split longitudinally. Visualization of the contents of the sheath demonstrates three tendons. The flexor digitorum longus is the central of these three tendons, is larger, and is characterized by a midline raphe ( Fig. 9-62B ).

  • 4.

    A small curved mosquito clamp is placed into the wound, and the flexor digitorum longus tendon is brought out under tension. Percutaneously, the long flexor tendon is released from its insertion into the plantar base of the distal phalanx ( Figs. 9-62C and 9–63A ).

    Fig. 9-63, A , Plantar view demonstrates the flexor digitorum longus (FDL) tendon beneath the mosquito hemostat. Note the distal puncture wound releasing the long flexor tendon. B , The two limbs of the FDL tendon have been delivered through the more proximal plantar wound and split longitudinally. C , Each limb of the FDL is delivered on either side of the proximal phalanx and sutured to the extensor expansion with the toe in a corrected position. D , Final position of the corrected toe.

  • 5.

    The raphe or decussation in the flexor digitorum longus tendon is noted, and the tendon is split longitudinally, creating two tails (see Figs. 9-62C and 9-63B ).

  • 6.

    Attention is directed to the dorsal aspect of the toe, where a longitudinal incision is centered over the proximal phalanx. A mosquito hemostat is passed in a dorsal to plantar direction along the extensor hood, deep to the neurovascular bundle but superficial to the extensor hood, exiting at the plantar incision, on both the medial and lateral sides of the phalanx.

  • 7.

    The tails of the flexor digitorum longus tendon then are passed dorsally on the medial and lateral aspects of the extensor hood in the midportion of the proximal phalanx ( Figs. 9-62D and 9-63C ).

  • 8.

    With the toe placed in approximately 20 degrees of plantar flexion at the MTP joint, the flexor tendon is sutured to the extensor digitorum longus tendon under a slight degree of tension ( Figs. 9-62E and 9-63D ).

  • 9.

    If a Kirschner wire is used to stabilize the toe, it should be used only to reinforce the repair. If it is used to realign the toe, the deformity can recur when the pin is removed. If a Kirschner wire is used, it is introduced into the MTP joint through a dorsal capsule incision made to expose the base of the proximal phalanx. The pin is driven distally and exits through the tip of the toe. The pin is then driven in a retrograde fashion across the MTP joint.

  • 10.

    Occasionally, the patient with a dynamic hammer toe also has an element of clawing. A release of the extensor digitorum longus tendon and simultaneous MTP capsulotomies may be performed at the same time as a flexor tendon transfer.

  • 11.

    The wounds are closed and a gauze-and-tape compression dressing is applied.

Alternative technique

Kuwada , Kuwada and Dockery has described a modification of the flexor tendon transfer. After the flexor digitorum longus tendon is detached distally on the plantar aspect, it is transferred through a tunnel in the proximal phalanx and secured to the extensor digitorum longus tendon with interrupted sutures ( Fig. 9-64 ). Gazdag and Cracchiolo have reported no substantial difference between flexor tendon transfer techniques using circumferential tendon transfer or transfer through a central drill hole.

Fig. 9-64, Kuwada technique. Flexor tendon transfer through a drill hole in the proximal phalanx. A , Lateral view. B , Dorsal view. C , After transfer of the flexor digitorum longus through a drill hole. The tendon is sutured to the extensor expansion of the extensor digitorum longus.

Postoperative care

The patient is allowed to ambulate in a postoperative shoe. Dressing changes are performed weekly until the wound has healed. If a Kirschner wire has been placed, it is removed 3 weeks after surgery. Sutures are removed 3 weeks after surgery. The toe then is taped in correct alignment for an additional 3 to 6 weeks. Passive manipulation of the toe is begun 6 weeks after surgery, and the patient is permitted to resume activities as tolerated.

Results and Complications

A flexor tendon transfer usually provides satisfactory correction not only for patients with an idiopathic flexible hammer toe but also for patients with cerebral palsy, patients who have had cerebral vascular accidents or a compartment syndrome, and patients with associated neuromuscular diseases such as Charcot-Marie-Tooth disease. It is important for the surgeon to remember that if a fixed contracture is present, this procedure alone does not produce a satisfactory result. A flexor tendon transfer, however, may be used in association with other procedures of the lesser toe to achieve realignment of the MTP joint.

Reports by Taylor, Pyper, Boyer, and others have noted inconsistent levels of satisfaction, with results ranging from 51% to 89%. (See the discussion of claw toe repair later in this chapter.) Thompson and Deland, in reporting on results of a flexor tendon transfer, observed excellent postoperative pain relief; however, only 54% of those with a subluxated MTP joint had achieved complete correction at final follow-up. Boyer and DeOrio reported variable levels of satisfaction using the procedure for both fixed and flexible hammer toe deformities. Of 79 digits, those with a fixed hammer toe resulted in 64% satisfaction, while those with a flexible hammer toe noted a 55% satisfaction rate. Reasons for dissatisfaction included recurrent deformity, poor alignment, and postoperative stiffness.

Kuwada and Barbari and Brevig have reported a high level of satisfactory results (>90%) in patients in their series after flexor tendon transfer. Arbab et al also report a high early satisfaction rate of 92%, however, 16% of patients in their series had recurrent or persistent extension deformity of the MTP joint. Barbari and Brevig reported three cases where a fixed contracture of the interphalangeal joint developed postoperatively.

After a flexor tendon transfer, the ability to curl the toe is sacrificed. Often, at long-term follow-up after a flexor tendon transfer, stiffness develops in the PIP joint. Boyer and DeOrio estimate a 50% loss of MTP and IP joint motion after a flexor tendon transfer. Myerson and Jung reported that 19 of 59 patients reported serious reservations about this procedure, much of the dissatisfaction stemming from the postoperative digital stiffness. A patient should be counseled preoperatively that there will be an absence of dynamic function of the involved toe and often the other lesser toes after a flexor tendon transfer. This does not tend to cause disability, but it can be annoying to the patient. They should be alerted to the trade-off of sacrificing flexor digitorum longus function for stability and realignment of the malaligned digit.

Complications experienced after this procedure are uncommon. Occasionally, swelling of varying degrees persists for a time, but it usually subsides. Transient numbness probably caused by stretching or contusion of the adjacent neurovascular bundles can occur, but this usually improves with time. Hyperextension of the DIP joint has been noted in a few patients with concomitant spasticity and is usually associated with recurrence of flexion at the PIP joint. This may be a result of concomitant tightness of the flexor digitorum brevis.

If a Kirschner wire has been placed across the MTP joint, the pin can break (see Fig. 9-60H ). Often, the pin fractures just proximal to the articular surface of the metatarsal head, and in this case, the distal fragment is removed and the proximal fragment is left within the metatarsal. If the distal aspect of the remaining pin penetrates the MTP joint, or if it migrates, it may be surgically removed through an MTP joint arthrotomy.

Fishco and Roth has reported isolated fracture of the proximal phalanx after a flexor tendon transfer procedure ( Fig. 9-65 ).

Fig. 9-65, Fracture of the proximal phalanx after flexor tendon transfer. A , After flexor tendon transfer but before phalangeal fracture. B , After fracture of the proximal phalanx.

Postoperative vascular insufficiency of a digit can require removal of the Kirschner wire. (If the Kirschner wire has been driven across the MTP joint, sometimes just withdrawing it below this joint may improve vascularity.) Other alternatives, when there is slow capillary filling after surgery, are avoiding ice or elevation, removing and rewrapping the dressing, and temporarily dropping the extremity over the side of the bed. When these methods are unsuccessful, topical nitroglycerin ointment (Nitropaste) along the borders of the involved digit can increase the capillary filling of the digit. Postoperative observation is important with this complication. Achievement of adequate alignment intraoperatively without the use of a Kirschner wire is important should the removal of internal fixation be necessary in the immediate postoperative period. Thus the Kirschner wire is used to protect a flexor tendon transfer but not to achieve further realignment of the toe.

Curly Toe Deformity

A curly toe occurs in a younger patient, is characterized by a flexion deformity of the PIP joint and DIP joint, and is caused by a contracture of the flexor digitorum longus tendon to a specific toe ( Fig. 9-66A ). A curly toe deformity is often associated with a mallet toe. Radiographs often demonstrate a deviation of the toe ( Fig. 9-66B ). Although some advocate stretching and taping to correct the deformity, Sweetnam concluded that conservative treatment is rarely successful in straightening the toe. He found that there was a similar level of improvement in patients who were treated conservatively and in those who had no treatment, concluding that there was no progression or correction of deformity in either group.

A flexor tenotomy often enables complete correction of the deformity. Ross and Menelaus have noted no significant weakness of the involved toe at almost 10-year follow-up after flexor tenotomy. They reported 95% successful results after flexor tenotomy. Although a flexor tendon transfer may be performed, Hamer et al examined patients who had either a flexor tenotomy or flexor tendon transfer for a curly toe deformity and noted no significant postoperative difference. Thus a simple flexor tenotomy appears to be sufficient treatment. Jacobs and Vandeputte reported on 11 children in whom they performed a Z-lengthening of the flexor digitorum longus (FDL) for hammer toes and a tenotomy for mallet toes as a treatment of curly toes. A total of 15 toes (5 second, 3 third, 6 fourth, and 1 fifth toes were involved). They reported excellent results in 70% of the cases (see Fig. 9-66 ).

Fig. 9-66, Repair of curly toe deformity. A , Preoperative dorsal view demonstrating curly toe or contracture of the second toe. B , Preoperative frontal view demonstrating contracture of the third toe of another patient. C , Open lengthening of long flexor tendon of third toe. D , Postoperative taping of third digit for 6 weeks. E , Final result with correction of third toe curly toe deformity (preoperative from photograph A ).

Boc and Martone treated an adduction deformity of the distal digit with a laterally based elliptic arthroplasty. This procedure may indeed be necessary to correct a fixed bony deformity, but in most cases, a flexor tenotomy is adequate treatment for the flexible curly toe deformity in the younger child.

Mallet Toe Deformity

A mallet toe usually is a fixed deformity, but occasionally, in a young patient, it is flexible. Symptoms develop when the tip of the toe strikes the ground, resulting in development of a callosity on the tip of the involved toe. This can be treated conservatively with a small felt pad placed beneath the toe to prevent the tip of the toe from striking the ground. A shoe with an adequate toe box must be worn to accommodate the toe with a felt pad beneath it. A mallet toe occurs much less often than a hammer toe (ratio, 1 : 9). It occurs in the longer toe in 75% of cases but with equal frequency in the second, third, and fourth toes (see Fig. 9-19 ). Although excess length has been implicated as a cause of mallet toe, trauma may lead to this deformity with disruption of the extensor insertion onto the dorsal base of the proximal phalanx.

Preoperative Planning

When the deformity is flexible, release of the flexor digitorum longus tendon percutaneously may be sufficient. When the deformity is fixed ( Fig. 9-67 ), which is more often the case, surgical intervention may be required. Bone decompression of the DIP joint, with resection of the head of the middle phalanx and release of the flexor digitorum longus tendon, results in satisfactory correction.

Fig. 9-67, Mallet toe deformity. A , Dorsal view. B , View end on. C , Plantar view of another patient with severe mallet toe deformity.

An algorithm, presented in Fig. 9-68 , describes the decision-making process for the treatment of mallet toe.

Fig. 9-68, Algorithm for treatment of mallet toe.

Surgical Considerations

The main indication for a surgical repair is a symptomatic mallet toe. Lateral or medial deviation of the digit at the DIP joint may be corrected with a mallet toe repair as well.

In the presence of a combined mallet toe and hammer toe, a decision must be made as to which deformity is more severe. A combined procedure for hammer toe and mallet toe is rarely, if ever, performed. When merely a flexor tenotomy is sufficient, a formal mallet toe repair can be avoided.

Mallet Toe Repair ( )

Surgical technique

The technique is as follows.

  • 1.

    The patient is placed in a supine position on the operating room table. If MTP joint surgery is performed, an Esmarch bandage may be used to exsanguinate the extremity and may also be used as an ankle tourniquet. A digital block or ankle block is administered, depending upon the necessity for additional surgical procedures.

  • 2.

    The foot is cleansed and draped in the usual fashion. A ¼ inch Penrose drain may be used as a tourniquet ( Fig. 9-69A ).

    Fig. 9-69, Technique for correction of mallet toe deformity. A , Elliptic skin incision centered over the distal interphalangeal joint. B , Excision of skin, extensor tendon, and capsule, exposing condyles of middle phalanx. C , The collateral ligaments are severed, exposing the condyles of the middle phalanx. D , Generous excision of the distal portion of the middle phalanx. E , After resection of the condyle. F , The articular surface of the distal phalanx is removed with a rongeur. The flexor digitorum longus tendon is identified in the base of the wound and is released. G , Stabilization with intramedullary Kirschner wire. Vertical mattress sutures are used to coapt the skin.

  • 3.

    An elliptic incision is centered over the dorsal aspect of the interphalangeal joint. The dissection is carried down through the extensor tendon and joint capsule. The distal portion of the ellipse should be sufficiently proximal to avoid injuring the nail matrix ( Figs. 9–69B and 9-70A ).

    Fig. 9-70, Mallet toe repair. A , Dorsal elliptic incision. B , After condyles of the middle phalanx are resected, a flexor tenotomy is performed. C , The articular surface of the distal phalanx is removed (optional). D , Insertion of Kirschner wire. E and F , After Kirschner wire insertion and closure. G , Radiograph with stable and painless fibrous union of corrected mallet toe deformity of the second toe.

  • 4.

    The collateral ligaments are released on the medial and lateral aspects of the DIP joint. Care is taken to protect the adjacent neurovascular bundles ( Fig. 9-69C ).

  • 5.

    The condyles of the middle phalanx are delivered into the wound. The bone is transected in the supracondylar region, and the distal fragment is excised ( Fig. 9-69D and E ).

  • 6.

    The plantar capsule is incised in the depths of the wound, and the flexor digitorum longus is identified and released under direct vision ( Fig. 9-70B ). The toe is brought into satisfactory alignment without tension. If the toe cannot be completely aligned, more bone is resected from the middle phalanx.

  • 7.

    The articular cartilage is removed from the base of the distal fragment (optional) ( Figs. 9-69F and 9-70C ).

  • 8.

    A 0.045-inch Kirschner wire is introduced at the DIP joint and driven distally, exiting the tip of the toe ( Figs. 9-69G and 9-70D ). The toe is then aligned properly, and the Kirschner wire is driven in a retrograde fashion into the middle phalanx. The pin is bent at the tip of the toe, and the remaining pin is removed ( Fig. 9-70E-G ). Often, a second pin is placed to add rotational control to the fixation construct. As described below, a cannulated screw may be used as an alternative (inserted retrograde from the tip of the toe) ( Fig. 9-71 ).

    Fig. 9-71, 2.5-mm headless compression screw used as mallet toe fixation.

  • 9.

    A gauze-and-tape compression dressing is applied at surgery and changed on a weekly basis until drainage has subsided.

Alternative fixation

More recently smaller diameter cannulated and headless compression screws are available for use (see Fig. 9-71 ) that gives permanent fixation while minimizing the risk of pin tract infections.

Historically, Telfa bolsters have been used by placing interrupted vertical mattress sutures of 3-0 nylon ( Fig. 9-72 ). They are inserted in a similar fashion for fixation of a hammer toe. As tension is applied to the suture, leverage is created to bring the toe into satisfactory alignment. This is used quite uncommonly at this point (see technique in hammer toe section).

Fig. 9-72, Alternative means of fixation for mallet toe repair. A and B , Placement of Telfa bolsters beneath 3-0 nylon vertical mattress suture.

Postoperative care

The patient is allowed to ambulate in a wooden-soled postoperative shoe. If bolsters have been placed, they are removed 1 week after surgery. If the bolsters are left longer than 1 week, there is risk of skin necrosis. If a Kirschner wire has been placed, the pin is removed 3 weeks after surgery. Sutures are removed at this time as well.

After removal of the pin or bolsters, the toe is held in a corrected position with a piece of tape for 6 weeks to ensure soft tissue healing.

Results and Complications

The expected results after this procedure have been routinely satisfactory. Using this procedure, with resection of the condyles of the middle phalanx and the corresponding articular surface of the distal phalanx, Coughlin reported successful fusion in 72% of cases ( Fig. 9-73A ). The satisfaction rate was only slightly higher in the group with a successful arthrodesis. Some 75% of those with a fibrous union were satisfied, although slightly less so than those with a successful DIP arthrodesis ( Fig. 9-73B ). Pain relief was noted by 97% and correction of the deformity by 91%. Although not performed in all cases, a flexor tenotomy appeared to be associated with a slightly higher rate of satisfaction and maintenance of the corrected position. Usually, correct alignment is maintained and complications are uncommon ( Box 9-1 ).

Fig. 9-73, A , Stable fibrous union of second toe distal interphalangeal joint after mallet toe repair (distal interphalangeal [DIP]) joint after mallet toe repair. B , Fibrous union of DIP joint of the second toe after mallet toe repair with significant soft tissue distraction (asymptomatic).

Box 9-1
Complications After Mallet Toe Repair

  • Swelling often persists for several months after the procedure, but it invariably resolves with time 45 .

  • Molding resulting from extrinsic pressure from adjacent toes can cause angulation or malalignment ( Fig. 9-20A and B ).

  • Recurrence of a mallet toe deformity can occur, usually because the flexor digitorum longus tendon was not released.

  • Injury to an adjacent digital nerve leading to numbness along either the medial or lateral border of the toe is rarely a significant complaint.

  • A preoperative toenail deformity usually does not resolve after correction of the mallet toe (see Fig. 9-20C-E ).

Oliver et al reported on a series of 20 patients (63 toes) in which a double resection arthroplasty was performed for a dual correction of deformities at both the DIP and PIP joint (hammer toe + mallet toe). A 10% recurrence rate was noted. They used both a longitudinal incision for the proximal interphalangeal joint and a transverse incision for the DIP joint. No internal fixation was used.

Claw Toe Deformities

A claw toe often develops in association with neurologic conditions in which a muscle imbalance occurs with weakness or loss of intrinsic muscle function. It can also occur in arthritic conditions, such as rheumatoid arthritis and other collagen deficiency syndromes. At times, a claw toe deformity is associated with a cavus foot deformity. It may also be associated with the sequelae of compartment syndromes after lower-extremity trauma.

In evaluating a claw toe deformity, every effort should be made to determine the specific diagnosis. However, many of these cases are idiopathic.

What differentiates a claw toe from a hammer toe is the hyperextension deformity of the MTP joint. A hammer toe may or may not be associated with hyperextension of the proximal phalanx, but a claw toe classically has a hyperextension deformity at the MTP joint. In a claw toe, the DIP joint may be extended or flexed. The chronic hyperextended posture of the MTP joint forces the metatarsal heads plantarward and displaces the plantar fat pad, often resulting in symptomatic metatarsalgia over time. In patients with an insensate foot, ulcers can develop beneath the metatarsal heads.

Preoperative Planning

To successfully correct a claw toe deformity, the MTP joint must be brought into a neutral position so that the extensor tendon can function to extend the PIP joint and the intrinsic tendons can function as flexors of the MTP joint.

Treatment of a claw toe depends on the underlying condition. Fig. 9-74 presents an algorithm for treatment of claw toe. If a significant pes cavus deformity is present, attention should be directed first to the midfoot and hindfoot deformities. With a pes cavus deformity, the metatarsal heads are depressed as a result of the anatomic alignment of the foot, and the toes are extended by the contracted long extensors, creating the claw toe deformity (see Fig. 9-24A ). When there is dynamic clawing without a significant cavus deformity, attention should be directed to the forefoot itself. If there is no clawing of the toes when the ankle is held in plantar flexion, and if clawing occurs with dorsiflexion of the ankle joint, a flexible claw toe deformity is present (see Fig. 9-24B-E ). This may be treated with a flexor tendon transfer. This is the same type of procedure that is used to correct a flexible or dynamic hammer toe (see Figs. 9-62 and 9-63 ); however, release of the MTP joints (extensor tenotomies or MTP joint capsulotomies, or both) also may be necessary.

Fig. 9-74, Algorithm for treatment of claw toe.

Feeney et al, in treating patients with the sequelae of compartment syndromes after tibia fractures, have advocated selective proximal lengthening of the flexor hallucis longus and flexor digitorum longus to relieve lesser toe contractures.

In the presence of a fixed contracture, a DuVries arthroplasty of the PIP joint is carried out with concomitant release of the contracted structures at the MTP joint ( Fig. 9-75 ). In patients with severe contractures of the MTP and interphalangeal joints, release of both flexor tendons should be carried out at the time of the surgery. In patients with severe contractures, longitudinally placed Kirschner wires may be used to stabilize both the interphalangeal and MTP joints in satisfactory alignment.

Fig. 9-75, Soft tissue release and realignment. A , Lateral view of a cadaver dissection demonstrating a fixed hammer toe deformity and a fixed contracture of the metatarsophalangeal joint. Note the lumbrical pulling at a right angle. Also note the thickness of the lateral capsule. B , An extensor tenotomy and dorsal capsule release have been performed. This is an inadequate release to reduce the toe, as can be seen in this dissection. Note that a more extensive capsule release must be performed on the medial and lateral aspect to reduce the toe. C , Intraoperative photograph demonstrating inadequate release. D , An adequate capsule release has been performed. E , After metatarsophalangeal joint release, often intermedullary Kirschner wire fixation is used to stabilize the repair.

Surgical Considerations

In the presence of a fixed claw toe deformity, a condylectomy of the base of the proximal phalanx is performed. Release of the extensor tendon and contracted capsule at the MTP joint depends on whether a fixed contracture is present. A fixed contracture at the interphalangeal joint of the hallux is treated with an interphalangeal joint fusion. With a contracture of the extensor hallucis longus tendon, a Jones tendon transfer is performed. An extensor tendon transfer to the distal metatarsal (Jones transfer) and the midfoot also has been advocated for treatment of claw toe deformity. A distal metatarsal osteotomy may also be an alternative in the treatment regimen of a severe claw toe deformity (discussed under Weil osteotomy).

In the presence of a flexible claw toe deformity, a flexor tendon transfer is performed identical to that for a flexible hammer toe deformity. Transfer of a flexor tendon as sole treatment of a fixed deformity is rarely successful.

PIP Joint Contracture Correction

A fixed deformity of the PIP joint is corrected using a DuVries PIP resection arthroplasty procedure (see previous “DuVries Arthroplasty Procedure” section) (see Fig. 9-76 , see ).

You're Reading a Preview

Become a Clinical Tree membership for Full access and enjoy Unlimited articles

Become membership

If you are a member. Log in here