Infections of the Musculoskeletal System


The author wishes to acknowledge the contribution of John A. Herring for his work in the previous edition version of this chapter.

Overview

The evaluation and treatment of children with musculoskeletal infection is a multidisciplinary process, frequently involving pediatrics, orthopaedic surgery, infectious disease, emergency medicine, intensive care, radiology, anesthesiology, laboratory, and pathology. Under most circumstances a conclusive diagnosis can be derived after history, physical examination, laboratory tests, and imaging studies. When sufficient information is obtained during the evaluation process, treatment decisions are relatively straightforward and lead to excellent outcomes after appropriate antibiotic therapy and, when indicated, surgical intervention. Some investigators have proposed the use of clinical prediction algorithms to help accelerate the diagnostic process. , , However, these algorithms may not universally apply in all communities due to regional differences in disease presentations. Clinical practice guidelines, on the other hand, are helpful to facilitate an organized, interdisciplinary, evidence-based approach to the management of musculoskeletal infection by reducing variation in care. , , , The use of guidelines can improve the accuracy and efficiency of diagnosis as well as the consistency and efficacy of treatment for children with suspected or confirmed musculoskeletal infection. , , Early identification and prompt treatment are encouraged to improve outcomes and avoid the long-term sequelae that may affect some children with musculoskeletal infection.

It is an ongoing challenge to raise awareness of these conditions among all physicians who evaluate children with concerning signs and symptoms so as to minimize diagnostic delay.

Because substantial regional differences exist in the spectrum and manifestations of disease it may be difficult to standardize the evaluation and treatment of musculoskeletal infection broadly. There are also variations in clinical severity of illness that require a more tailored approach to children at the extreme clinical phenotypes. , , John Nelson’s advice to avoid a “cookbook” approach to these complex and challenging conditions continues to be valid in the current era. Regardless, a high index of suspicion, careful interdisciplinary communication, and diligent attention to detail are nearly universally beneficial when caring for children with musculoskeletal infection.

Several communities have reported an epidemiologic shift in the incidence and severity of musculoskeletal infection caused by community-associated methicillin-resistant Staphylococcus aureus (CA-MRSA), which are associated with a higher incidence of abscess formation requiring surgery and a higher rate of deep venous thrombosis than is seen in children with infection caused by other organisms. a

a References , , , , , , , .

There continues to be an evolution in the rate of antibiotic resistance among S. aureus with some communities recently reporting a decline. ,

In children, musculoskeletal infection must be differentiated from other conditions that may manifest with clinical symptoms and signs mimicking this disorder, including trauma, inflammatory conditions, and infiltrative or neoplastic processes. A thorough process of evaluation, taking into account all relevant historical, clinical, laboratory and radiographic information, should facilitate a definitive diagnosis in most cases. When uncertainty persists, ongoing clinical follow-up is necessary until either the problem resolves or further evidence leads to a more specific diagnosis.

Focal pain and decreased use of the affected extremity are the most common presenting manifestations of deep infection in nearly all age groups. Other physical findings of deep musculoskeletal infection include fever (temperature >38°C), localized tenderness, swelling, warmth, and erythema. A history of antecedent trauma can sometimes obscure the diagnosis. More than one third of children have a history of minor injury to the area which is subsequently identified to be infected. A relationship between trauma and infection has been suggested by experimental models which theorized that there is diminished resistance to infection in injured tissues. , However, to the contrary, relatively few case reports of osteomyelitis as a complication of closed fractures have been published despite the common occurrence of fractures in children. It is therefore important to ascertain the timing and severity of any injury to ensure that symptoms of infection are not mistakenly attributed to the injury. It is not uncommon to encounter advanced stages of osteomyelitis in children who have been immobilized for 10 to 14 days in a cast or splint for a suspected injury when the original radiographs failed to demonstrate an obvious fracture.

Although numerous conditions may be included in the differential diagnosis, leukemia and other neoplastic disorders are the most important to bear in mind. , , Leukemia is the most common childhood malignant disease. The peak incidence of acute lymphoblastic leukemia (ALL) occurs at approximately 4 years of age, with a range from 3 to 9 years. The skeleton is often the first body system to demonstrate overt manifestations of ALL; bone and joint symptoms are reported in 21% to 59% of children. , The musculoskeletal pain associated with ALL is described as sudden, localized, sharp, and severe in onset, and this pain results from the rapid proliferation of leukemic cells in the medullary canal and under the periosteum. One review of 296 children with ALL found that 65 (22%) had some bone pain, and 52 (18%) had prominent bone pain that overshadowed other manifestations of the disease. The investigators also found that those children with prominent bone pain frequently had nearly normal hematologic values, which led to a delay in diagnosis. When leukemia is a possibility, we request a manual inspection of the peripheral smear by the pathologist to look for blasts; the automated cell count performed in most laboratories may be unable to differentiate blast cells from other white blood cell (WBC) lines such as atypical lymphocytes or monocytes. The ultimate diagnosis of acute pediatric leukemia is confirmed by bone marrow biopsy ( Fig. 23.1 ).

FIG. 23.1, Eight-year-old girl with 2-day history of left buttock pain and limp. The initial laboratory studies were as follows: C-reactive protein 13.6 mg/dL, erythrocyte sedimentation rate 96 mm/h, and white blood cell count 2.7 cells/mL, with an automated differential of 54 segmented neutrophils, 7 band neutrophils, 1 monocyte, and 32 lymphocytes. Initial plain films (A and B) were unremarkable, but magnetic resonance images (C and D) showed diffuse marrow change within the left ilium suggestive of infarct. Subsequent manual inspection of the peripheral smear identified 4% blasts (E). Bone marrow biopsy was positive for acute lymphoblastic leukemia (F).

The clinical and radiographic similarities between osteomyelitis and Ewing sarcoma are well known ( Figs. 23.2 and 23.3 ), , , and the pitfall of mistakenly treating Ewing sarcoma with open irrigation and débridement should be kept in mind. One reasonable recommendation is to obtain a bone biopsy by trocar at the same time bone is aspirated for cultures. This simple procedure, which can be performed with an 11-gauge bone marrow biopsy needle, helped identify 1 case of Ewing sarcoma among 30 children with a presumed diagnosis of osteomyelitis in a reported series.

FIG. 23.2, (A) Anteroposterior radiograph showing a lytic lesion in the proximal femur. The patient had a 2-month history of pain and an elevated erythrocyte sedimentation rate. The permeative nature of the lesion suggested a neoplastic rather than an infectious cause. (B) Axial magnetic resonance image of the proximal femur demonstrating a large soft tissue mass posteriorly. Biopsy confirmed the diagnosis of Ewing sarcoma.

FIG. 23.3, Fifteen-year-old boy with a 20-pound weight loss and nighttime pain in the left hip of 3 months’ duration. (A and B) Plain radiographs show poorly permeative lytic changes in the left proximal femur. (C) Computed tomography scan of the area of involvement demonstrates permeative cortical erosions with periosteal reaction. (D and E) Magnetic resonance images show diffuse femoral marrow signal changes with a fluid collection adjacent to bone suggestive of abscess rather than liquefied tumor necrosis. Biopsy and culture confirmed the diagnosis of subacute osteomyelitis with methicillin-resistant Staphylococcus aureus.

This chapter reviews the imaging and laboratory modalities which are commonly used to assess children for musculoskeletal infection. It also provides a detailed review of osteomyelitis, septic arthritis, pyomyositis, and soft tissue infections.

Radiology

The evaluation of children who present with clinical signs and symptoms suggestive of musculoskeletal infection begins with a detailed history and physical examination. If clinical suspicion is raised that a child may have a deep infection, then supplemental plain radiographic images of the symptomatic region and basic laboratory studies should be obtained.

Plain Radiography

The greatest value of plain radiographs is to exclude focal disease, such as tumor or fracture, which might otherwise explain the clinical presentation of a child with pain and functional limitation who is suspected of having infection. High-quality plain radiographs in at least two planes are essential. With modern digital and computerized systems, it is possible to adjust the contrast and intensity on the viewing monitor to visualize the deep soft tissues and skeletal detail more clearly.

Radiographs should be closely inspected for lytic or sclerotic lesions of bone, periosteal elevation or calcification, osteopenia, joint effusions, and cortical disruption. Deep soft tissue swelling is the first radiographic manifestation of musculoskeletal infection ( Fig. 23.4 ). , Obvious changes within the bone secondary to osteomyelitis may not occur until 10 to 14 days after the onset of infection and after the loss of 30% to 50% of the bone mineral density at the site of infection.

FIG. 23.4, Deep soft tissue swelling is noted over the distal fibula on the initial plain radiograph (A). Subsequent magnetic resonance images (B and C) confirm distal fibula osteomyelitis with a subperiosteal abscess.

Although plain radiographs should be obtained in all diagnostic evaluations for possible infection, advanced imaging studies must be carefully considered in light of the expense, delay in definitive treatment, possible requirement for sedation, radiation exposure, and likelihood of yielding an accurate diagnosis. The decision about which supplemental studies are appropriate should be made in consultation with the radiologist who will be interpreting the study. This practice has been shown to improve utilization of advanced imaging because the radiologist is able to be better informed about the clinical presentation of the child and the region of the suspected infection.

Ultrasonography

Ultrasonography is most commonly used in the evaluation of septic arthritis of the hip joint ( Fig. 23.5 ). Children with hip joint irritability should undergo comparative static hip ultrasonography to evaluate more carefully for joint effusion, which is difficult to detect by examination or plain radiographs alone. This study may also be used in the setting of vague symptoms related to the pelvic region to assess for the presence of a psoas abscess. The advantages of ultrasonography are its low cost, absence of radiation exposure, noninvasive nature without the need for sedation, and ability to detect and localize fluid collections for aspiration. The detection of a hip effusion often helps guide decision making with regard to the need for aspiration, conservative observation, or further imaging in children with an irritable hip. , , , While ultrasound protocols are generally well established for the hip joint, they are less well defined for other joints.

FIG. 23.5, Sonograms with line drawings of a patient with septic arthritis of the hip. (A) Intraarticular fluid displaces the capsule into a convex position. The capsule is also thickened. (B) The capsule on the normal side is concave (following the contour of the metaphysis) and not thickened. C, Capsule; E, epiphysis; M, metaphysis.

In communities with limited resources, such as developing countries, ultrasonography may be useful in evaluating osteomyelitis. One study recommended using ultrasonography as a second step, after plain radiographs, in evaluating children with suspected acute hematogenous osteomyelitis (AHO). The ultrasonographic features of osteomyelitis include deep soft tissue swelling, periosteal thickening, subperiosteal fluid collection, and cortical breach or destruction, which typically follows a course of progressive stages based on the duration of the infection. The response to treatment may also be tracked by ultrasonography, and one study found that subperiosteal collections of more than 3 mm resolved completely with antibiotics alone. ,

Fluoroscopy

It may be necessary to aspirate the site of suspected osteomyelitis, by using fluoroscopic guidance, in an effort to identify the causative organism before the initiation of antibiotic therapy. Aspiration may be performed with an 11-gauge bone marrow biopsy needle which permits the acquisition of a bone specimen for histopathology and fluid phase material for aerobic culture.

Nuclear Imaging

Bone scintigraphy is seldom used in the primary assessment of children with concern for acute infections given the increasing availability of magnetic resonance imaging (MRI). However, advantages of nuclear imaging include less expense or need for sedation, and whole-body imaging when there is concern for multifocal involvement. The method is also useful in assessing a limping toddler when localization of the source of the gait disturbance is not possible by history and physical examination alone. Technetium methylene diphosphonate scanning is the most common nuclear imaging method used to evaluate for infection, although other techniques, including gallium-67 citrate, technetium sulfur colloid, fluorine-18 fluorodeoxyglucose, and indium-111 oxine, have been reported for specific purposes. , , Most of these other methods have limited clinical utility in pediatric centers due to an excessive radiation burden that prohibits their routine use in children. , ,

The reported sensitivity of skeletal scintigraphy for the detection of osteomyelitis ranges from 54% to 100%, and the specificity is approximately 70% to 90%, with an overall accuracy of approximately 90%. , , , , In specific locations such as the spine, pelvis, and foot, the sensitivity of bone scintigraphy is lower. However, with modern techniques of magnified spot views, pinhole collimation, optical or electronic image magnification with camera zoom or computer magnification, and single-photon emission computed tomography (CT), the accuracy of nuclear imaging has been increased to more than 90%. , , , A three-phase bone scan consists of the following elements: (1) blood flow or angiogram phase (performed immediately after injection), (2) blood pool or soft tissue phase (performed approximately 15 minutes following injection), and (3) delayed or skeletal phase (performed 2–3 hours, and may be repeated up to 24 hours, after injection; Fig. 23.6 ). Findings in osteomyelitis include focally increased uptake on all three phases of the study. Cellulitis, deep soft tissue abscess, or pyomyositis may appear as diffusely increased soft tissue uptake on the blood flow and blood pool images, with little or no uptake on the delayed images. Septic arthritis is more difficult to diagnose with nuclear imaging. Possible findings include a diffusely increased uptake on both sides of a joint, without focal uptake in bone, or photopenia in the epiphysis on the delayed images. High false-positive (32%) and false-negative (30%) rates limit the value of nuclear imaging for assessing septic arthritis.

FIG. 23.6, Components of a three-phase technetium bone scan. Initial (A), blood pool (B), and delayed (C) sequences demonstrate increased uptake in all three phases in this 5-year-old boy with subacute osteomyelitis of the left ulna. ANT, Anterior; L LAT, left lateral; POST, posterior; PST, post-injection; R LAT, right lateral.

Photopenic or “cold” bone scans occur when uptake is decreased compared with the uninvolved side on the delayed images ( Fig. 23.7 ). This finding has been reported in approximately 8% of cases of osteomyelitis and appears to be associated with an advanced stage of infection in which the microcirculation of the medullary canal is compressed by the intraosseous pressure created by the infection. In one report, 7 of 81 children (8.6%) with AHO were found to have a “cold” defect on bone scan; all 7 patients exhibited septic clinical features, including a mean temperature of 39.9°C, a heart rate of 145 beats per minute, and bacteremia. The positive predictive value of a “cold” scan was 100% in one study, compared with only 82% for a “hot” scan.

FIG. 23.7, Twelve-year-old boy with a 2-week history of knee pain and fever (39.4°C). The initial laboratory findings included C-reactive protein 12.9 mg/dL, erythrocyte sedimentation rate greater than 140 mm/h, and white blood cell count 10,400 cells/mL. Bone scan findings were consistent with “cold” osteomyelitis of the distal femur (A). Operative findings included a large volume of purulence surrounding the distal femur (B) and an extensive area of dead bone of the distal femur (C).

Abnormal uptake at multiple sites or even at a single unexpected axial site may be an indication of a systemic disease, such as leukemia or metastatic neuroblastoma. Uptake by a soft tissue mass and multiple skeletal sites should prompt further investigation for neuroblastoma in an infant or young child. Up to 80% of children with leukemia have skeletal scintigraphic lesions at the time of diagnosis.

Computed Tomography

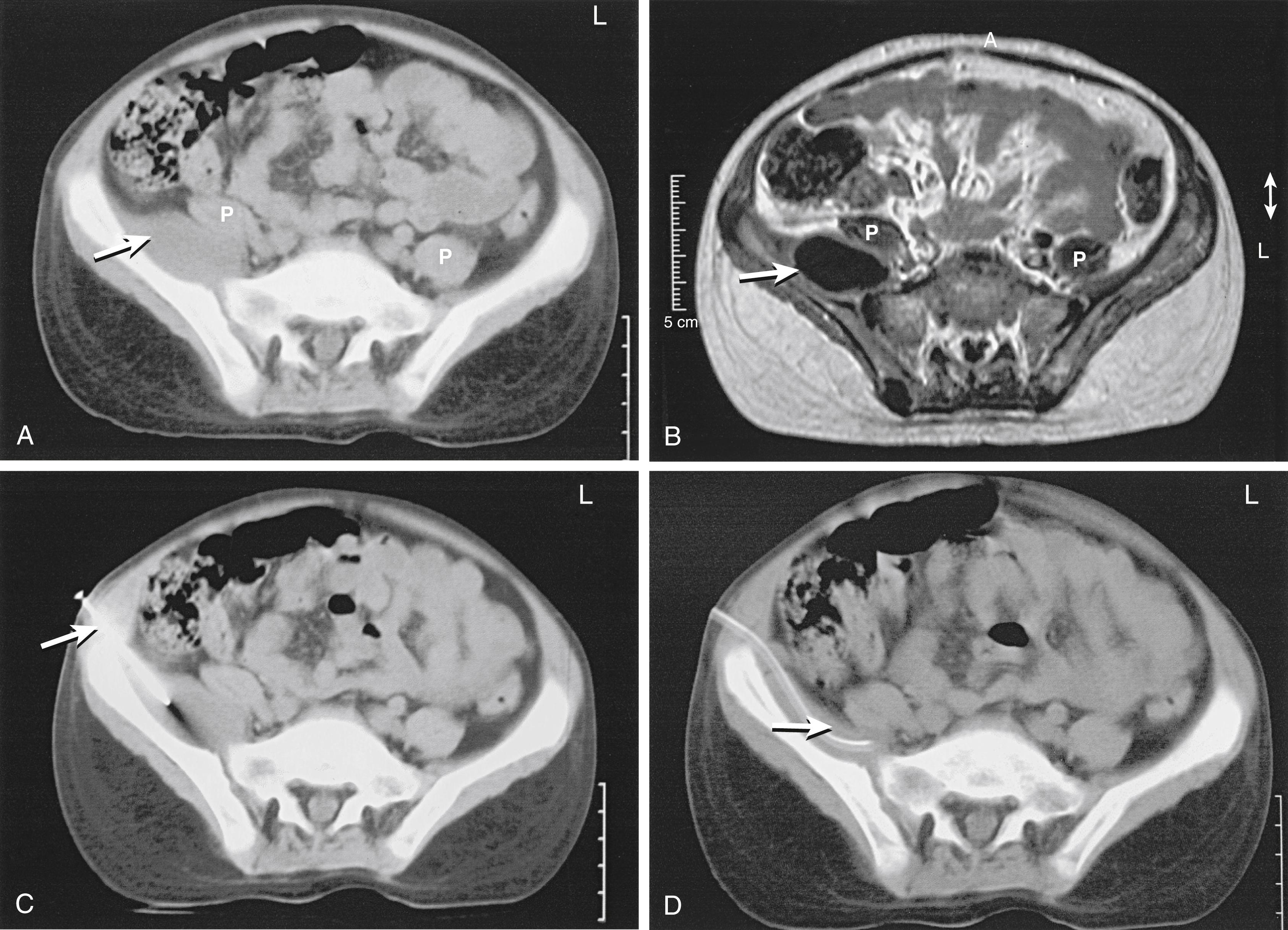
Although CT is excellent for defining the features of bone, this method has limited application in the diagnosis and management of osteoarticular infections because the bony changes associated with osteomyelitis are usually adequately visible on plain films. However, CT is useful in the delineation of bony sequestra and segmental defects in chronic osteomyelitis. It may also be helpful in demonstrating deep infections of the spine or pelvis. CT may be used for guided percutaneous biopsy of the spine or for the placement of drains in pelvic abscesses along the inner wall of the ilium ( Fig. 23.8 ).

FIG. 23.8, Computed tomography (CT) scan (A) and magnetic resonance image (B) demonstrating a psoas abscess (arrows) displacing the right psoas muscle (P) . CT-guided percutaneous drainage (C) was performed, with placement of a drainage tube (D).

Magnetic Resonance Imaging

MRI is the most powerful diagnostic imaging technique currently available for the preliminary evaluation of children with suspected musculoskeletal infection. Recently, improvements have been made in the manner of utilization of sedated MRI through careful interdisciplinary coordination, so that children who undergo sedation may be kept under continued anesthesia for any indicated surgical procedures immediately after imaging. By precisely defining the anatomic location and spatial extent of the inflammatory process, MRI helps establish a definitive diagnosis, even in the challenging locations of the spine, pelvis, and foot. When surgery is necessary, MRI is useful in determining the appropriate approach when more than one approach is possible. The disadvantages of MRI include the cost, the need for sedation in most children younger than 7 years, and the lack of availability in remote locations.

The sensitivity of MRI has been reported to be as high as 98%, compared with 53% for bone scintigraphy, with additional benefits of MRI in visualizing subperiosteal abscesses, pyomyositis, septic arthritis, and deep venous thrombosis. Other investigators have reported that MRI has diminished accuracy when a broader spectrum of disease is being evaluated. Erdman and colleagues noted a sensitivity of 98% and a specificity of only 75% in their series and advised that certain pitfalls be avoided to help improve the diagnostic accuracy of the study. These investigators found that fracture, infarction, and healing osteomyelitis can mimic the typical features of acute inflammation seen on standard MRI sequences in the presence of active infection. It has been recommended that clinical examination, plain radiography, and scintigraphy be used in cases of diagnostic uncertainty to increase the specificity of MRI and avoid the well-known pitfalls. ,

Characteristics of infection seen on MRI include marrow signal depression on T1-weighted images and increased bone marrow signal intensity on short-tau inversion recovery (STIR) images ( Fig. 23.9 ). Fat-saturated postgadolinium contrast images will further enhance the intensity of marrow signal changes seen on T1 and STIR images, but may not be necessary in many cases. Abscesses, subperiosteal fluid collections, and joint effusions appear as well-demarcated areas on T2 and STIR sequences. Gadolinium creates ring enhancement and central density of abscesses on fat-saturated, T1-weighted, post-contrast images. The use of contrast does not appear to increase the overall sensitivity or specificity of the diagnosis, but it may increase the confidence of the radiologist in identifying abscess formation.

FIG. 23.9, Magnetic resonance imaging of the distal femur demonstrates decreased marrow signal intensity on T1-weighted images (A), increased marrow signal intensity on T2-weighted images (B) and short-tau inversion recovery images (C), and marrow signal enhancement along with synovial enhancement on postgadolinium T2-weighted images (D). These findings are consistent with distal femoral osteomyelitis. The possibility of contiguous septic arthritis is evidenced by the synovial enhancement with contrast compared with the noncontrasted T2-weighted images.

Septic arthritis results in altered bone marrow signal intensity of adjacent bone on T1 and STIR images in up to 60% of cases and may be misinterpreted as adjacent osteomyelitis. One study evaluated postgadolinium images and found that the marrow signal alterations in cases of septic arthritis alone were less extensive and were limited mainly to an area adjacent to articular surfaces; in contrast, in cases of confirmed contiguous osteomyelitis and septic arthritis, the marrow changes were more extensive and involved the metaphyseal region. It is commonly asked whether MRI should be obtained in children suspected to have isolated septic arthritis rather than proceeding immediately for joint aspiration and drainage. Some investigators have developed algorithms to help determine the relative probability of contiguous bone infection in children with septic arthritis. , Other institutions have suggested aspiration of the femoral neck at the time of arthrotomy in an effort to increase the culture positive identification in children with septic arthritis of the hip.

The appearance of chronic osteomyelitis on MRI can be difficult to interpret or even misleading ( Fig. 23.10 ). Extensive bone marrow signal changes may encompass an area much broader than the original focus of infection and may make it difficult to differentiate active inflammation from persistent infection and reactive bone marrow signal changes from the healing and remodeling process itself. Because of this difficulty, it is important to use good clinical judgment and consider all available information, including the appearance of plain radiographs, the trends of laboratory data, and the clinical appearance of the child, before embarking on further surgical débridement based on MRI findings alone in cases of chronic osteomyelitis.

FIG. 23.10, (A and B) Plain radiographs of chronic proximal tibial osteomyelitis in a 13-year-old boy after 2 months of treatment with intravenous antibiotics and seven surgical débridements. (C) Magnetic resonance imaging, performed to evaluate a persistent elevation of C-reactive protein (5.0 mg/dL), demonstrates diffuse marrow and periosteal signal changes consistent with healing versus active osteomyelitis, without overt abscess. Ultimately, biopsy was performed and showed mixed acute and chronic osteomyelitis. The patient was observed and responded to further antibiotic treatment without surgical intervention.

Laboratory Studies

Complete Blood Count

The complete blood count (CBC) with differential is a necessary screening study that should be performed in any child with musculoskeletal pain and functional loss suggestive of infection. A WBC count greater than 12,000 cells/mL was identified as one of four risk factors for septic arthritis of the hip by Kocher and colleagues. , The differential cell count is useful for identifying an increase in the production and release of immature neutrophils (bands), which occur in the presence of infection and which can be associated with greater severity of illness in children with osteomyelitis. Although only 25% to 35% of children with AHO have elevated WBCs on admission, the study allows an assessment of all three marrow cell lines that may be affected by disorders that interfere with their production, such as leukemia. ,

Erythrocyte Sedimentation Rate

The erythrocyte sedimentation rate (ESR) represents the rate at which red blood cells fall through plasma, as measured in millimeters per hour. The serum concentration of fibrinogen, an acute-phase reactant released by the liver in response to a variety of inflammatory conditions, is the most significant determinant of the ESR. Infection incites an increase in the ESR, which gradually increases to a mean peak value following the onset of infection and may continue to slowly rise when the child is starting to improve. , The value slowly returns to normal over several weeks following effective treatment in uncomplicated cases. , Because the ESR is greatly influenced by the number, size, and shape of erythrocytes, as well as by other plasma constituents, there is significant variation in measured levels, which may be misleading. The ESR should not be significantly elevated in response to trauma. The ultimate value of the ESR is typically at the decision point to terminate antibiotic therapy. By that point, there are very few other parameters which have not already normalized.

C-Reactive Protein

C-reactive protein (CRP), an acute-phase reactant synthesized in the liver, was named for its reaction with the pneumococcal C-polysaccharide in the plasma of patients during the acute phase of pneumonia. CRP is currently considered the most sensitive and reliable clinical laboratory test for detecting acute inflammatory reactions or changes in the severity of such reactions during the acute hospitalization phase of care. b

b References , , , , , .

CRP has been found to be superior to WBC count and absolute neutrophil count in detecting children with serious bacterial infection.

In the presence of an inciting infection, CRP levels increase 1000-fold within 6 hours of onset and reach a peak within 36 to 50 hours. , Because of the short half-life of CRP (24 hours) and constant clearance rate, rapid resolution to normal commonly occurs within 7 days following effective treatment in uncomplicated cases. More recent work showed that a peak CRP level was reached on day 1 (range, 0–7 days), with normalization occurring on day 11 (range, 0–31 days), in a series of 50 children with bone and joint infections.

Serial CRP determinations combined with repeated clinical evaluations are helpful in identifying sequela-prone children with contiguous septic arthritis and osteomyelitis and in classifying severity of illness for children with osteomyelitis. , , , , One study found that when the CRP level on the third day of treatment was more than 1.5 times the level at the time of admission, the child was 6.5 times more likely to have a combined bone and joint infection. Given the ease of monitoring CRP and its potential value in altering clinical decision making, it is reasonable to obtain daily or alternate-day serum levels during the early course of treatment to help identify sequela-prone children. A recent investigation has suggested that CRP may be used as a guide for transitioning to oral antibiotics. Within our practice experience, we have used other criteria, in conjunction with a declining CRP, regardless of the absolute value of CRP, to help make this important decision. Applying a specific CRP value or percentage decline may result in an unnecessary prolongation of the hospital stay if the child is afebrile, clinically improving, without bacteremia, and there is minimal concern that the child may require additional surgery.

The test characteristics of CRP have been assessed with respect to the ability to differentiate septic arthritis and transient synovitis, with mixed results. A study at Children’s Hospital of Philadelphia found CRP to be a better negative predictor than positive predictor of disease, although overall, it was a better independent predictor than ESR (sensitivity ranged from 41% [CRP > 10.5 mg/dL] to 90% [CRP > 1 mg/dL]). Even with a normal CRP (<1 mg/dL), the probability that the child did not have septic arthritis in that study was only 87%.

A multivariate regression analysis identified five predictors to determine septic arthritis: CRP greater than 1 mg/dL, body temperature greater than 37°C, ESR greater than 20 mm/h, WBC count greater than 11,000/mm 3 , and increased hip joint space greater than 2 mm. When all five predictors were present, the predictive probability was 99.1%, and when CRP was less than 1 mg/dL but the other four predictors were positive, the predictive probability was 90.9%.

CRP may be elevated in response to surgery and trauma. The highest response is reported in patients with tibial fractures who were undergoing open reduction and internal fixation with plates, followed by closed intramedullary nailing; the lowest values were reported in patients treated conservatively. Despite this phenomenon, Unkila-Kallio and co-workers did not find that surgery had a significant influence on CRP levels in children with osteomyelitis or septic arthritis.

Interleukin-6

Interleukin-6 (IL-6), which is released by local tissue monocytes and fibroblasts in response to infection, is thought to be the cytokine that most influences the hepatic production of CRP. , Investigators have hypothesized that IL-6 may be detectable in the blood even earlier than CRP during the course of bacterial infection and may thereby enable earlier diagnosis and treatment. Factors that limit the utility of measuring cytokines in the plasma include their short half-lives, the presence of blocking factors and binding proteins, and negative inhibition feedback through an autoregulatory cycle. , Although high cost, limited availability, and lack of standardization prevent the measurement of plasma cytokine levels in current clinical practice, further research may change this situation. Buck and colleagues demonstrated the clinical benefit of detecting the presence of IL-6 in newborns with blood culture–positive sepsis, with 100% sensitivity. These investigators also found that the presence of IL-6 on admission in this group of septic neonates was more sensitive than the CRP level (73% vs. 58%). However, at this time, IL-6 is not commonly used in the evaluation of children with suspected or confirmed musculoskeletal infection.

Local Tissue and Blood Cultures (Microbiology)

Whenever possible, it is helpful to isolate the causative organism for deep infections to guide specific antibiotic therapy. Culture methods and, ultimately, the treatment may differ substantially depending on the primary tissues which are infected. Blood cultures should always be obtained before the administration of antibiotics in all children suspected to have a musculoskeletal infection. An attempt should be made to obtain local tissue or fluid for culture in most children to confirm the diagnosis and facilitate antibiotic selection. Recent evidence suggests that the most beneficial culture to obtain in virtually any form of infection is the aerobic culture. Anaerobic, fungal, and acid fast bacteria cultures might be considered in cases of immunocompromise, suspected penetrating inoculation, or failed primary treatment attempts in which the aerobic cultures have been negative.

Staphylococcus aureus

With few exceptions, S. aureus is the most common cause of musculoskeletal infections of all types in all age groups. The interest focused on the antibiotic resistance of this organism has led to increased knowledge about its genetic composition that may provide insight into the peculiar ability of this bacterium to cause infections of deep soft tissue, muscle, bone, and joint. It is hoped that future research will also yield improved methods to prevent and treat infections caused by this organism.

The antibiotic resistance of S. aureus is rooted in the rise of the antibiotic era. Penicillin was first used successfully to treat a human being in 1941, following the discovery of this agent in 1928 by Alexander Fleming. By 1943 Andrew Moyer patented an industrial method for the mass production of penicillin, which lowered the cost per dose from $20 in 1943 to $0.55 in 1946. Within a year, resistant bacteria began to emerge.

Penicillin-resistant S. aureus first emerged in the 1950s as the most important pathogen in neonatal nurseries, and no fully effective therapy was available until the introduction of methicillin in the 1960s. Following this early outbreak of serious nosocomial infections, penicillin-resistant S. aureus emerged in the community. MRSA has followed a similar trend. MRSA was reported in Europe in the 1960s, and the first US case was reported in 1968. , Since then nosocomial MRSA has become an increasing problem, and the incidence of MRSA isolates in hospitalized patients has increased from 2% in 1974 to approximately 50% in 1997.

Initial reports of CA-MRSA were limited to individuals with a history of intravenous drug use and other high-risk patients with serious illness, previous antibiotic therapy, or residence in long-term care facilities. In the mid-1990s, reports surfaced of CA-MRSA strains that appeared to be different from typical nosocomial MRSA strains, occurring in individuals without established risk factors. The reported incidence of CA-MRSA infections in these patients has ranged from 20% to 67%. c

c References , , , , , .

Although skin and soft tissue infections have predominated, increasing numbers of invasive infections in children caused by CA-MRSA have been reported. , ,

Methicillin resistance is conferred by the mecA gene, often passed by plasmid or lateral transfer between organisms within communities. The gene encodes an altered penicillin-binding protein that causes resistance to β-lactam antibiotics, including cephalosporins. Most nosocomial MRSA strains have acquired resistance to other antibiotic classes through a variety of mechanisms. With rare exceptions, nosocomial MRSA strains are still highly susceptible to vancomycin, despite being multidrug resistant. However, intermediate susceptibility to vancomycin has resulted in the need to raise the recommended serum trough range to 15 to 20 mcg/mL for complicated infections. So far, CA-MRSA has also remained susceptible to antibiotics (except for β-lactam agents), including clindamycin, trimethoprim-sulfamethoxazole, rifampin, and gentamicin. , However, an inducible macrolide-lincosamide-streptogramin B (MLS B ) resistance to clindamycin has been reported in 6% to 25% of CA-MRSA isolates.

Some clues to the manifestations of infection caused by S. aureus are being sought in the virulence factors encoded by its genes. , , Pulsed-field gel electrophoresis of whole-cell DNA from MRSA isolates has been performed to identify as many as 70 virulence genes in the S. aureus genome. One group of investigators found that a significantly higher proportion of CA-MRSA strains carried the Panton-Valentine leukocidin (pvl) and fibronectin-binding protein B (fnbB) genes than did community-acquired methicillin-susceptible S. aureus (CA-MSSA) isolates. These investigators also noted that the pvl gene may lead to an increased likelihood of complications such as chronic osteomyelitis and deep vein thrombosis in children with S. aureus musculoskeletal infections. Another group similarly found that osteomyelitis caused by pvl- positive strains of S. aureus was associated with more severe local disease and greater systemic inflammatory response compared with pvl- negative osteomyelitis. , With advances in next generation sequencing technology, it is now possible to have greater discriminatory power in studying the pathogenetic behavior of this organism. Recent investigations have detected over 200 virulence genes in the Staphylococcal genome. These genes are likely to act in various combinations to create a cascade of events which may lead to a wide spectrum of clinical phenotype manifestations in this disease.

Clindamycin is often preferred to treat CA-MRSA unless constitutive or inducible resistance is identified. Inducible resistance (MLS B ), demonstrated by disk diffusion, is performed by placing clindamycin and erythromycin disks 15 to 20 mm apart on a culture medium. A D-shaped zone of inhibition around the clindamycin disk on the side of the erythromycin disk indicates an inducible MLS B phenotype. There are a variety of antibiotic options available to treat children under the circumstance of antibiotic resistance. The best selection is usually determined by interdisciplinary communication with infectious disease and pharmacology. Vancomycin, which is commonly used, is less effective than that of other antibiotics more commonly used to treat osteomyelitis due to limited bone uptake and inability to address intracellular organisms.

Streptococcus pyogenes

Most cases of group A β-hemolytic Streptococcus (GABHS) infection occur in school-age children, who have the greatest exposure to the organism. In addition to being the second most common causative organism isolated in pediatric musculoskeletal infection, Streptococcus pyogenes is associated with other notable conditions. GABHS disease may manifest as a disseminated infection. This life-threatening clinical syndrome, characterized by rash, fever, shock, and multiple organ system dysfunction, is analogous to the toxic shock syndrome caused by toxin-producing strains of S. aureus. In one report, eight children with severe streptococcal infection demonstrated renal, hepatic, and encephalopathic problems in addition to their musculoskeletal complaints. Up to 87% of children with multisystem GABHS infection have bone or joint involvement. A high index of clinical suspicion and aggressive surgical intervention are recommended to avoid poor outcomes in these children. During 2002, 986 cases of invasive group A streptococcal infection were reported through the Active Bacterial Core Surveillance Project. Based on this number, the Centers for Disease Control and Prevention (CDC) estimated that approximately 9100 cases of invasive GABHS disease and 1350 deaths occurred in the United States in 2002. Aggressive resuscitation and medical management are necessary, along with rapid decompression of foci of infection in the musculoskeletal system after a vigilant search for such sites. Involvement of the musculoskeletal system typically manifests as diffuse swelling in one or more extremities. This finding may raise concern for compartment syndrome as the infection rapidly spreads along fascial planes and creates diffuse, edematous swelling of the involved muscle groups, as opposed to discrete abscess formation ( Fig. 23.11 ).

FIG. 23.11, (A and B) Magnetic resonance images of the thigh in a 5-year-old boy with disseminated streptococcal infection and multiorgan system dysfunction. Diffuse edema is noted in the subcutaneous tissues as well as in the deep soft tissues, with extensive perifascial fluid accumulation but no discrete abscess formation. Surgical decompression was performed, with similar findings.

Osteomyelitis and septic arthritis caused by GABHS have been reported in the aftermath of varicella viral infections in otherwise immunocompetent infants and toddlers. , , , The port of entry seems to be the varicella pocks, with subsequent hematogenous spread to bone or joint. Standard methods of treatment for septic arthritis or osteomyelitis are employed, along with antibiotics.

Group A streptococcal pharyngitis may be followed by acute rheumatic fever (ARF) or, more commonly, by poststreptococcal reactive arthritis (PSRA). d

d References , , , , , .

These conditions should be considered in the differential diagnosis of warm, erythematous joints in children older than 4 years. The orthopaedic manifestations of ARF classically include migratory polyarthritis that usually affects the lower extremities first. The modified Jones criteria are useful in establishing a diagnosis. At least two major criteria (carditis, polyarthritis, subcutaneous nodules, erythema marginatum, and chorea) or one major and two minor criteria (fever, arthralgia, increased ESR or serum CRP level, and prolonged P-R interval on the electrocardiogram), along with evidence of preceding streptococcal infection, are necessary for the diagnosis of ARF. Salicylates and antibiotic treatment, followed by lifelong prophylaxis, play a significant role in the management and prevention of long-term sequelae in ARF.

PSRA is believed by some to be a variant of ARF in which the Jones criteria are not otherwise satisfied. PSRA is characterized by a shorter latency period between the inciting streptococcal infection and the onset of arthritis, a higher frequency of involvement of small joints and the axial skeleton, a poor response to nonsteroidal antiinflammatory drugs (NSAIDs), a protracted course, and the absence of other major manifestations of ARF. Approximately 6% of children with PSRA have late-onset carditis, which most commonly manifests as mitral valve disease. , , For this reason the current recommendation is to treat with antimicrobial (penicillin) prophylaxis for a minimum of 5 years or until age 21 years, whichever is longer. ,

Studies suggested that the human leukocyte antigen (HLA)-DRB1∗16 allele predisposes to ARF, whereas the HLA-DRB1∗01 allele is more commonly associated with PSRA. , , In affected individuals, antibodies that develop against group A streptococcus are believed to cross-react with joint synovium at the basement membrane.

The most reliable methods to establish antecedent group A streptococcal infection are to measure antistreptolysin O and antideoxyribonuclease B titers and to obtain throat cultures for group A streptococcus. , If the diagnosis of ARF or PSRA is considered on the basis of the clinical evaluation and laboratory studies, an electrocardiogram, echocardiogram, and pediatric cardiology consultation should be obtained. Children with PSRA are treated with 1 year of antibiotic prophylaxis and supplemental antiinflammatory medication, typically naproxen sodium to address the inflammatory response.

Kingella kingae

Kingella kingae was first identified as a new species by Elizabeth King in 1960. Originally designated Moraxella kingii, it was subsequently allocated to the genus Kingella after its distinctive properties were characterized in 1976. , K. kingae is a fastidious, aerobic, gram-negative coccobacillus thought to colonize the upper respiratory tract and oropharynx in almost 75% of children between the ages of 6 months and 4 years, which corresponds to the age range of children who contract invasive infections from this organism. This organism has been increasingly reported as one of the most common causes of osteoarticular infections in children during the period of oropharyngeal colonization. The peak age of infection occurs in children between 10 and 24 months. Reports suggest that K. kingae infections elicit a milder inflammatory response with mild to moderate elevation of serum inflammatory markers. ,

There is a rising incidence in the reporting of Kingella osteoarticular infections. , , , , Possible explanations for this include an increased awareness of this pathogen in the medical community and improved specimen handling and culture techniques. Because K. kingae is a slow-growing organism with specific culture requirements, it is difficult to isolate from synovial fluid or bone exudates on routine solid media. Reports recommend injecting aspirated materials into aerobic blood culture bottles. , , , The dilution of synovial fluid or pus (which may exert an inhibitory effect on the organism’s growth) in a large volume of broth is postulated to decrease the concentration of detrimental factors and facilitates recovery of the organism. , Solid specimens should be plated immediately onto blood or chocolate agar in the operating room. One study evaluated the difference between sending the specimen to the laboratory for routine processing and plating the specimen immediately in the operating room. In five of six cases of osteomyelitis, the investigators were able to isolate the organism from the agar plate that was inoculated during the surgical procedure, compared with only one of six samples from the same patients that were processed in the laboratory. Several authors believe that these improved methods of organism isolation have been the decisive factor in the increase in the number of K. kingae infections recorded. , , Because of the inherent difficulties in positively identifying Kingella in tissue culture, efforts have been directed toward polymerase chain reaction (PCR) assays to facilitate positive identification of the organism antigens in joint fluid specimens. , However, although this technology may complement existing microbiologic cultures, joint fluid culture is still essential, particularly in light of the prolonged time to obtain results from PCR. ,

K. kingae typically demonstrates susceptibility to β-lactam antibiotics but empiric antibiotic coverage for children in this age group in MRSA endemic communities should include clindamycin and ceftriaxone. Because clindamycin has minimal gram-negative coverage, the oral transition in culture-negative cases is typically to trimethoprim-sulfamethoxazole to continue to coverage for MRSA and Kingella.

Streptococcus pneumoniae

S. pneumoniae is responsible for a small but consistent portion (approximately 4%) of bone and joint infections in infants and small children, following S. aureus, S. pyogenes, and K. kingae in incidence. , The organism plays a more dominant role as a cause of bacteremia, meningitis, and respiratory tract infections. The mean age of infected children is 17 months (range, 11 days to 9 years), with most children between 3 and 24 months of age. ,

A rising incidence of antibiotic resistance has been reported, which identified penicillin resistance in 50% of children who had received antibiotics within 4 weeks of hospitalization and in 27% of children without previous antibiotic treatment. In 2002, the CDC reported that 11.5% of isolates in the United States were fully resistant to penicillin. Successful treatment has been accomplished using ceftriaxone in those children who cannot be treated with penicillin.

S. pneumoniae has been identified as a cause of purpura fulminans (PF) in children. The pneumococcal autolysin is suspected to serve the same role as the endotoxin of Neisseria meningitidis. The development of the multi-valent pneumococcal conjugate vaccine, which is recommended for all children aged 2 to 23 months, has had a substantial impact on the epidemiology of invasive pneumococcal disease.

Neisseria meningitidis

N. meningitidis is well known for its role in causing rapid-onset meningitis and severe sepsis with PF. The annual incidence of meningococcal disease is 0.6 to 1.4 cases per 100,000 population, and the case-fatality rate is 10% to 20%, with an equal number of survivors sustaining permanent sequelae, including amputation from PF. , Extrameningeal involvement in overt meningococcal disease is well established, and septic arthritis (usually in large joints) was reported in 2% of children in a large epidemiologic review in the United States.

A third-generation cephalosporin, such as cefotaxime or ceftriaxone, is the favored treatment for invasive meningococcal infections. Chemoprophylaxis with rifampin, ciprofloxacin, or sulfonamides has been shown to eradicate nasopharyngeal carriage and prevent the epidemic outbreaks of invasive disease in close contacts that typically occur within 5 to 10 days of exposure.

Neisseria gonorrhoeae

Disseminated gonococcal infection (DGI) may occur in children under three circumstances: (1) neonatal infection contracted while passing through the birth canal of an infected mother, (2) pediatric or adolescent infection resulting from sexual abuse, and (3) adolescent infection through voluntary sexual activity. The onset of DGI may occur anywhere from days to months after the initial infection, and it has an incidence of 0.5% to 3% in cases of mucosal infection. The most common presenting musculoskeletal complaint is polyarthritis in up to 60% of patients, with involvement of the knee, ankle, or wrist. Associated complaints may include fever, chills, and rash. DGI should be suspected in the presence of dermatitis, tenosynovitis, and migratory polyarthritis. A rash occurs in two thirds of patients and is described as consisting of multiple painless, nonpruritic lesions involving the torso, limbs, palms, and soles.

Although the overall incidence of gonorrhea is higher in male patients, DGI is four times more common in female patients. Whenever DGI is suspected, a urine gonococcal and chlamydia RNA amplification test is now the preferred method for diagnosis. Because N. gonorrhoeae is difficult to culture, special specimen handling instructions are required to increase the chance of positively identifying the organism. Sterile culture specimens are plated on chocolate blood agar, and nonsterile specimens are plated on Thayer-Martin medium, which contains antibiotics to inhibit the growth of oropharyngeal and anorectal flora. Cultures require a 5% to 10% carbon dioxide atmosphere. Gram staining may demonstrate intracellular gram-negative diplococci.

Treatment of DGI involves a 7-day course of intravenous ceftriaxone given once daily or cefotaxime in two divided doses. Azithromycin or doxycycline is also used concurrently in sexually active adolescents to treat chlamydia, which frequently accompanies gonococcal infection. Surgical treatment is rarely indicated except in cases of severe synovitis that is not responsive to conservative treatment, which may require arthroscopic or open synovectomy. Gonococcal osteomyelitis, though rarely reported, may require a longer course of treatment.

Borrelia burgdorferi

Lyme disease is a multisystem infection caused by the spirochete B. burgdorferi. It is the most common vector-borne disease in the United States and is transmitted by the black-legged or deer tick, Ixodes scapularis. A total of 23,305 cases of Lyme disease were reported in 2005. Infection most commonly occurs in children in the northeastern, mid-Atlantic, and north-central regions of the United States. After inoculation, the time before the appearance of systemic manifestations ranges from 2 to 30 days. Because the tick bite and the premonitory erythema migrans rash may go unnoticed, a high level of suspicion is necessary to ensure that the original presenting symptoms, which may involve the musculoskeletal, neurologic, and cardiovascular systems, are recognized without delay. Although this is rarely a problem in endemic areas, physicians outside these locations may not be familiar with the common manifestations of Lyme disease.

Because juvenile arthritis, reactive arthritis, and septic arthritis may be confused with Lyme arthritis, the CDC has established diagnostic criteria, including the presence of a characteristic erythema migrans rash at least 5 cm in diameter or laboratory confirmation of infection and at least one musculoskeletal, neurologic, or cardiovascular manifestation of disease. Erythema migrans is present in 60% to 90% of patients and may occur with other early manifestations, including constitutional symptoms, migratory arthralgia, cardiac conduction defects, aseptic meningitis, and Bell palsy. Late manifestations of Lyme disease include arthritis, encephalopathy, and polyneuropathy.

The CDC recommends that clinicians use a two-step procedure when ordering antibody tests for Lyme disease: first, an enzyme-linked immunosorbent assay or immunofluorescent assay, and then, if the result is positive or equivocal, an immunoblot (Western blot) test to confirm the screening test result. Antibody test results may not be positive for the first 3 to 6 weeks of infection. In endemic regions a rapid 1-hour Lyme enzyme immunoassay (EIA) has been used to reduce the incidence of unnecessary surgical intervention in children with Lyme arthritis, given the considerable overlap in clinical, radiographic, and laboratory presentations of this condition and septic arthritis. By using the rapid Lyme EIA, the standard 3- to 5-day period for Lyme serology reporting can be significantly shortened, perhaps obviating the need for unnecessary surgery.

The medical treatment of Lyme disease initially consists of 4 weeks of oral antibiotics (amoxicillin or doxycycline). Children younger than 8 years should not be treated with doxycycline because it may cause permanent discoloration of the teeth. In one series, 88% of children were disease free before the end of 4 weeks, 7% required treatment for 8 weeks, and 5% required treatment for 12 weeks.

A post–Lyme disease syndrome has been described in individuals with longstanding unrecognized Lyme arthritis before antibiotic treatment. Most patients with suspected post-Lyme syndrome are simply slow responders and improve with conservative observation and symptomatic support over a 6-month period.

Mycobacterium tuberculosis

In 2015, 9557 cases of tuberculosis were reported to the CDC, which represents a stable decline in incidence since 2013 ( https://www.cdc.gov/tb/statistics/default.htm ). Foreign-born individuals have a case rate more than eight times higher than that among US-born persons.

Extrapulmonary tuberculosis is more common in children younger than 5 years, and this condition occurs in approximately 5% to 10% of infected children. Thus tuberculosis must be included in the differential diagnosis of bone and joint infections in this age group, particularly children who live in high-risk households. Despite the decreasing incidence in the United States, tuberculosis remains prevalent in developing countries.

Osteoarticular involvement occurs in approximately 1% to 3% of patients with tuberculosis. Aside from spinal involvement (addressed earlier), tubercular infection can manifest as septic arthritis, osteomyelitis of long bones, and dactylitis. This involvement may take the form of spondylitis (50%), peripheral arthritis (30%), osteomyelitis (11%–19%), and tenosynovitis and bursitis (1%). , Long bones may not become infected for 1 to 3 years, whereas dactylitis may develop in a few months. A high index of suspicion is needed to diagnose tubercular infection of the bone or joint. Positive culture can be obtained in approximately 80% of children with extrapulmonary disease, but 4 to 6 weeks of incubation may be needed to identify the organism.

Tuberculosis of joints is usually monarticular, with the knee and hip most frequently affected. The clinical presentation is variable and simulates that of other chronic inflammatory arthritic disorders. Synovitis, effusion, central and peripheral articular erosions, and active and chronic pannus are the most common manifestations. Delay in diagnosis is common. Postcontrast MRI may help differentiate effusion from synovitis and further differentiate acute synovitis from chronic synovitis.

Tubercular osteomyelitis most commonly involves the epiphysis or metaphysis. Unlike in other bone infections, the physeal plate does little to stop the spread of infection. As the infection progresses, the area of skeletal destruction may slowly expand and typically appears on radiographs as a cystic lesion with obscure margins ( Fig. 23.12 ). Because the disease process is almost entirely lytic, one sees little periosteal reaction and often no sclerotic margin. Bone lesions often resemble benign or malignant bone tumors or fungal infections. An expansile lesion may form within long bones, associated with periosteal thickening, and give the appearance of a shortened bone filled with air, termed spina ventosa. When bone lesions occur near an involved joint, a biopsy specimen should be taken from the area of involved bone rather than from the synovium alone because the synovium may show only nonspecific changes. Curettage of the bacilli sequestrated in the necrotic tissue within cavities and bone defects is necessary to exact a cure because systemic chemotherapeutic agents may not be able to access these locations. , For tubercular bone and joint involvement, current treatment recommendations include a 12-month regimen of isoniazid, rifampin, pyrazinamide, and streptomycin for the first 2 months, followed by isoniazid and rifampin for the remaining 10 months of therapy.

FIG. 23.12, Fifteen-month-old girl from Ethiopia who had been asymptomatic until 1 day earlier, when she fell from a chair. Plain radiographs (A and B) demonstrate an expansile lesion in the left proximal femur, with obscure margins and centralized cyst formation without significant periosteal reaction. Magnetic resonance images (C and D) show the anterior soft tissue component associated with fluid-filled cysts in the bone as well as in the soft tissues. Findings at open biopsy were consistent with extrapulmonary tuberculosis.

Nontuberculous Mycobacteria

Nontuberculous mycobacteria are found in many parts of the natural environment, including soil and water. Infections caused by these organisms have been increasingly recognized in immunocompromised and otherwise healthy individuals who have been exposed to penetrating inoculation by soiled organisms. Case reports of osteoarticular infections caused by Mycobacterium fortuitum and Mycobacterium avium-intracellulare complex illustrate the characteristic features. , These infections usually manifest 4 to 8 weeks after penetrating trauma, with a clinical appearance of cellulitis or a draining puncture wound. A recurring cutaneous lesion with scant serous drainage may be noted, and a fistula may form.

Surgical débridement is necessary and may be curative if the infection is well circumscribed. Otherwise, antimicrobial therapy with a combination of agents is necessary. Commonly used antibiotics include clarithromycin, ciprofloxacin, amikacin, and imipenem. ,

Treponema pallidum

With the advent of penicillin, the incidence of syphilis has decreased markedly; however, it remains common in developing countries. Syphilis of bone has been reported in up to 65% of cases of congenital syphilis. The number of congenital syphilis cases declined between 2008 and 2012 from 446 to 334 cases in the United States ( https://www.cdc.gov/tb/statistics/default.htm ).

Pathogens tend to localize in the metaphysis and diaphysis and do not spread to joints. The most common sites of involvement are the tibia, femur, humerus, and cranial bones. Syphilitic metaphysitis is the usual finding in early infancy ( Fig. 23.13 ). Symmetric involvement of multiple bones is characteristic. The physis becomes widened, irregular, and ill-defined. The epiphyses usually are not involved. Pathologic fractures may occur through the weakened metaphyseal area. In later childhood, syphilitic osteoperiostitis produces a dense, circumscribed swelling over the convex side of the bone. In the tibia, the subperiosteal apposition of bone on the anterior cortical surface produces the classic “saber shin” of congenital syphilis ( Fig. 23.14 ).

FIG. 23.13, Congenital syphilis in a 3-month-old girl. Note the characteristic bilateral and symmetric metaphyseal erosions, which have progressed to diffuse osteochondritis with periosteal new bone formation.

FIG. 23.14, Classic “saber shin” in an adolescent with untreated congenital syphilis.

Brucella melitensis

Brucella melitensis is most commonly transmitted to humans through the consumption of raw milk, a practice that is still common among indigenous populations in the Middle East. Other common means of exposure include ingestion of, or contact with, meat from infected animals and contact with the products of conception of infected animals, which may occur in farmers and meat packers. Other reported Brucella species include Brucella abortus (most common in North America and Europe) and Brucella suis. The control program for cattle in the United States has nearly eliminated B. abortus infection from US herds; most cases in humans are identified in international travelers or recent immigrants. One of the largest reported series of brucellosis came from Kuwait, where 452 patients with brucellosis were studied. In that study, 25% of patients were younger than 15 years. Osteoarticular infections occurred in 37.4% (169) of the patients, most commonly manifesting as arthritis (79.8%), followed by spondylitis (6%), osteomyelitis (2.4%), and tendinitis or bursitis (1.2%). The most common sites of arthritis were the hip (53%), knee (36%), sacroiliac (20%), and ankle (15%) joints. Brucellar osteomyelitis is very rare in children, and only a single case was reported in patients younger than 55 years (a 17-year-old patient) in this large series.

Because the organism is identified in culture in less than 20% of cases, the diagnosis of brucellosis is often made when a rising antibody titer (or a single titer >1:160) is found in the presence of compatible symptoms and a risk of exposure. Treatment is accomplished with a 4- to 6-week course of two-drug therapy using tetracycline and streptomycin, rifampin and tetracycline, or trimethoprim-sulfamethoxazole and streptomycin. , A relapse rate of 16.6% was reported using either single-drug treatment or only a 2- to 4-week course. Osteomyelitis may require 12 weeks of antibiotic treatment and wide surgical excision.

Bartonella henselae

Cat-scratch disease (CSD) is a self-limiting lymphadenopathy caused by B. henselae and is most frequently reported in children and young adults. The course of the disease is usually of short duration and benign. Approximately 10% of children with CSD develop complications, however, which may include hepatic granuloma, splenic abscess, encephalitis, or osteomyelitis. Severe systemic disease, which may persist for months, has been described in 2% of patients. Since the first description of CSD in 1954, 22 cases of associated osteomyelitis have been reported, 19 of them in children.

The diagnosis of CSD is difficult because the clinical presentation and tissue histologic features are nonspecific. The diagnosis should be considered in children who present with fever and lymphadenitis when a history of contact with cats or kittens is obtained. Tissue specimens typically demonstrate noncaseating granulomas, and organisms may occasionally be identified by Warthin-Starry silver staining. The diagnosis is made by an enzyme-linked immunosorbent assay or indirect fluorescent antibody test, which demonstrates elevated titers of immunoglobulin G and immunoglobulin M to B. henselae. , Elevated antibody titers are found in less than 5% of the general population who do not have CSD. PCR assays of pus or tissue have a reported sensitivity and specificity approaching 100%, but this method of testing is not available in most laboratories. ,

Various antibiotics have been used with success, including aminoglycosides, azithromycin, cefazolin, and trimethoprim-sulfamethoxazole; however, only aminoglycosides display bactericidal activity against these organisms. , , Children with advanced epitrochlear lymphadenopathy may disrupt the lymph node architecture sufficiently to the point of abscess formation which may necessitate surgical débridement ( Fig. 23.15 ).

FIG. 23.15, Coronal (A) and axial (B) magnetic resonance images of the elbow demonstrate an enlarged epitrochlear lymph node in a child with a history of exposure to cats. Enzyme-linked immunosorbent assay serologies were positive for Bartonella henselae. Surgical débridement resulted in rapid resolution of her limited elbow motion and pain.

Mycotic Organisms

Mycotic osteomyelitis and septic arthritis are extremely rare and are often specific to endemic areas ( Fig. 23.16 ). Fungal infections may occur by direct inoculation, as happens with Aspergillus species, Sporothrix schenckii, and Scedosporium species. Alternatively, organisms may infect bone by hematogenous spread from other invasive infectious loci, such as the lungs. This commonly occurs with Candida species, Blastomyces dermatitidis, Coccidioides immitis, Histoplasma capsulatum, and Cryptococcus neoformans. Fungal osteomyelitis is often seen in immunocompromised hosts.

FIG. 23.16, Endemic areas of fungal infection in the United States. Coccidioidomycosis: southwestern United States, particularly the San Joaquin Valley of California. Blastomycosis: areas extending from Wisconsin to Louisiana and from the Carolinas to Kentucky. Actinomycosis: Mississippi, western North Carolina, and the northeastern United States.

The radiographic features of fungal infections of bone are variable but have been described as similar to those seen in tuberculous osteomyelitis. Fungal infections are often inappropriately treated owing to diagnostic delay. A high level of suspicion is needed to ensure that fungal cultures are sent and a proper biopsy specimen from bone or synovium is obtained for histopathologic evaluation.

Treatment with amphotericin B has been the preferred treatment for fungal infections. More recently, the use of ketoconazole, in conjunction with operative treatment, has proved to be effective.

Coccidioides immitis

Coccidioidomycosis, a fungal infection caused by C. immitis, affects primarily the lungs. Dissemination is rare but may produce skeletal lesions, either solitary or multiple. The diagnosis is made by identifying characteristic spores under the microscope. Serologic tests and skin tests are not sufficiently specific for diagnosis. The disease is endemic in the southwestern United States, particularly the San Joaquin Valley of California and Arizona. A significant increase in the incidence of coccidioidomycosis has been reported. A high index of suspicion should be maintained in patients with a flulike illness who live in or have visited areas with endemic disease.

Blastomyces dermatitidis

Blastomycosis affects primarily the skin and lungs. Bone is the third most common location of involvement, and as many as 60% of patients with systemic illness have a skeletal infection. Blastomycosis is endemic throughout the southeastern and south-central United States, along the Mississippi and Ohio River valleys, and in central Canada. The disease is more common in rural areas and among outdoor workers. The diagnosis is made by histologic examination but may also be made by culture of the organism on Sabouraud agar. Curettage and treatment with either amphotericin B or ketoconazole appear to be effective.

Actinomyces israelii

Actinomycosis is a chronic infection caused by the organism Actinomyces israelii; the infection usually involves the soft tissues of the head and neck, followed in frequency by the lungs and intestine. , Bone becomes involved by direct extension. In North America, actinomycosis is endemic in Mississippi, North Carolina, and the northeastern United States. Patients are treated with long-term administration of penicillin.

Sporothrix schenckii

Sporotrichosis is a chronic granulomatous infection caused by the organism S. schenckii; it affects primarily the skin and subcutaneous tissues. Hand involvement is common because of penetrating injury from plant thorns. Skeletal lesions may occur by direct extension from a subcutaneous lesion or, less commonly, through hematogenous spread. Sporotrichosis may be associated with sarcoidosis or tuberculosis.

Disease Manifestations

Infections of the musculoskeletal system represent a broad spectrum of conditions with varied manifestations, severities, and responses to treatment. These include osteomyelitis (bone infection), septic arthritis (joint infection), pyomyositis (muscle infection), and other deep soft tissue infections such as septic bursitis, abscesses, cellulitis, fasciitis, lymphangitis, and lymphadenitis.

Osteomyelitis

The discernible types of pediatric osteomyelitis are based on the time of onset, the manner of clinical presentation, and the response to treatment: AHO, subacute osteomyelitis, and chronic osteomyelitis. Chronic recurrent multifocal osteomyelitis (CRMO) is a nonbacterial inflammation of bone, which may be challenging to differentiate from other forms of bacterial osteomyelitis. In AHO, the child often presents within several days of the rather sudden onset of illness and localized symptoms. In contrast, in subacute osteomyelitis, medical evaluation may not be sought for 2 weeks or longer after the onset of symptoms, which are typically vague and minimized, thus leading the family or the physician to overlook or discount the child’s condition until it is often discovered as a skeletal lesion on plain-radiographs. Chronic osteomyelitis is commonly the consequence of the failure to eradicate AHO; it is usually present for months to years and creates the hallmark clinical findings of dead bone (sequestrum) surrounded by reactive new bone (involucrum) and draining sinuses. The pathogenesis of CRMO is uncertain, but it typically follows a prolonged relapsing and remitting course lasting several years and involving multiple sites.

Acute Hematogenous Osteomyelitis

Epidemiology

Evidence indicates that the epidemiology of musculoskeletal infection is evolutionary and that regional variation exists. Thus, it is difficult to extrapolate the reported experience from one institution or region to predict the epidemiology in other areas reliably. Reports from a single health district in Glasgow, Scotland, identified a 44% decrease in the incidence of osteomyelitis (predominantly AHO) between 1990 and 1997 and a 50% decrease between 1970 and 1990. , Other authors reported little change in the incidence of osteomyelitis since the 1970s. , , Within our institution, there was a 2.8-fold increase in the annualized per capita incidence of osteomyelitis over a 20-year period.

Pathophysiology

AHO most commonly affects the metaphyseal region of long bones, with lower extremity locations—femur (27%), tibia (22%), and fibula (5%)—slightly more common than upper extremity locations—humerus (12%), radius (4%), and ulna (3%). Long bone infections account for 75% of cases of osteomyelitis; nontubular bone infections occur with a reported incidence of 10% to 11% for pelvic osteomyelitis, 7% to 8% for calcaneal osteomyelitis, 5% for hand involvement, and 2% for vertebral osteomyelitis or diskitis. , , , , Isolated cases of osteomyelitis in rare locations such as the cuboid, patella, and clavicle have been reported. , , , Bacteria can be introduced into bone by hematogenous spread from bacteremia (most common route), local invasion from a contiguous infection, or direct inoculation from penetrating trauma, such as an open fracture or foot puncture wound.

Transient bacteremia is thought to be a relatively common event in childhood; it may be a consequence of other infections such as otitis media, pharyngitis, and sinusitis that gain access to the bloodstream, or it may be related to daily activities such as tooth brushing and Valsalva-type maneuvers. It is presumed that bacteria gain access to the metaphyseal location of long bones through the branches of the nutrient arteries, which ultimately terminate in the regions adjacent to the physis as straight, narrow arterioles that form loops and connect with wider venous sinusoids ( Fig. 23.17 ). Trueta proposed that this anatomic configuration results in slow, turbulent blood flow in which the circulating bacteria can localize. Gaps in the endothelium of metaphyseal vessels in growing children may allow the passage of bacteria from the metaphyseal circulation into the extravascular space. , These anatomic features differ from those of adults, in whom hematogenous osteomyelitis is rarely identified.

FIG. 23.17, Metaphyseal circulation of the long bones in children. The nutrient artery terminates in end arterioles, which make a hairpin turn adjacent to the physis and feed into larger venous sinusoids. The resultant turbulent circulation enables bacteria to enter the extravascular space.

It has long been recognized that the mere presence of bacteria in bone is not enough to cause disease. Various investigators have sought to create a model of AHO that resembles the clinical disease, with limited success. However, one model that originally helped substantiate the effectiveness of antibiotics in the treatment of osteomyelitis was created by injecting sodium morrhuate directly into bone to produce an area of necrosis immediately before injecting the area with bacteria. Hypothesizing that local tissue trauma may be a supplemental causative factor essential to the initiation of osteomyelitis, Morrissy and associates studied the effects of physeal injuries in New Zealand white rabbits before inducing experimental bacteremia and demonstrated a reproducible model resembling AHO. , In this research, the inflammatory response was consistently confined to the portion of bone beneath the area of injury, in the secondary spongiosa, whereas the bacteria were identified in the primary spongiosa, a relatively acellular area. It is surmised that the lack of phagocytic activity in this vulnerable region in growing children may allow the proliferation of bacteria and the initiation of AHO. Another factor that may influence the localization and proliferation of bacteria, specifically S. aureus, is the presence of surface antigens that play a key role in bacterial adherence to type 1 collagen and endotoxins that suppress the local immune response. An extensive glycocalyx that may also form around the bacteria and enhance their adherence to other bacteria and metallic implants may be protective against antibiotic treatment.

A significant anatomic feature that allows osteomyelitis to gain access to the epiphysis is the continuity of circulation across the physis, which remains open until approximately 18 months of age ( Fig. 23.18 ). Osteomyelitis originating in the metaphysis at an early age can easily spread to the epiphysis and result in the total destruction of both, with profound implications for the subsequent development of the proximal femoral and proximal humeral anatomy. e

e References , , , , , .

FIG. 23.18, Vascular anatomy of the proximal femur. (A) In the neonate, the entire epiphysis shares a blood supply with the metaphysis. Thus infection in the metaphysis can spread into the epiphysis and can produce devastating osteonecrosis of the proximal femur. (B) After development of the secondary ossification center, the epiphysis and metaphysis have separate blood supplies. Thus in the older child, the physis prevents the spread of infection into the epiphysis. However, the metaphysis remains intraarticular, and infection may decompress into the joint and produce septic arthritis.

Once bacteria have gained access to the extravascular space, local macrophages and monocytes migrate to the foreign stimulus and phagocytize the pathogen; this process leads to the production and release of prostaglandins and cytokines. Prostaglandin E production is 30-fold higher in infected bone than in normal bone, and experimental treatment of osteomyelitis in rats with ibuprofen prevents bone resorption and sequestration, despite elevated bacterial counts in the local tissues. The inflammation-associated cytokines include IL-6, IL-1β, tumor necrosis factor-α (TNF-α), interferon-γ, transforming growth factor-β, and IL-8. IL-6 acts as the chief stimulator of the production and release of most acute-phase proteins by hepatocytes, including CRP, fibrinogen, the complement system, and serum amyloid A. CRP acts as an opsonin for bacteria, parasites, and immune complexes and can activate the classic complement pathway, thereby modulating the behavior of several cell types involved in the inflammatory response, including neutrophils, monocytes, natural killer cells, and platelets. The patterns of cytokine production and the acute-phase response may vary in different inflammatory conditions, with the cytokines operating both as a cascade and as a network in stimulating the production of acute-phase proteins. Altogether, the acute-phase response results in physiologic and metabolic alterations, including fever, lethargy, leukocytosis, altered vascular permeability, and changes in hepatic biosynthesis, which act in concert to neutralize the infectious agent and foster the healing of damaged tissues. Recently the gene expression pattern of children with AHO has been reported which revealed an over-expression of innate immunity as manifest by upregulated neutrophil function concurrent with an under-expression of the adaptive immunity which was noted in the natural killer and T-cell depressed function.

Classification

Osteomyelitis has been classified by pathogenesis, anatomic location, extent, duration, and host status. The first classification system was described in 1970 by Waldvogel and co-workers, who categorized bone infection by cause; however, this system was not useful for guiding treatment or determining prognosis. The Cierny-Mader classification, proposed in 1984, was based on anatomic type (medullary, superficial, localized, diffuse) and host status (normal, local compromise, systemic compromise; Table 23.1 ). Using this classification, the authors developed comprehensive treatment guidelines for 12 stages of infection. Because most children with osteomyelitis are normal hosts with localized osteomyelitis, the Cierny-Mader classification has limited application in pediatric orthopaedics. Recently, authors have begun to consider classification of pediatric osteomyelitis on the basis of the severity of illness of the child at the time of clinical presentation. , , , Some evidence suggests that long-term outcomes may be predicted to some extent by specific parameters of disease. ,

Table 23.1
Cierny-Mader Osteomyelitis Staging System.
From Mader JT, Shirtliff M, Calhoun JH. Staging and staging application in osteomyelitis. Clin Infect Dis . 1997;25:1303.
Classification Description
Anatomic Stage
1 Medullary osteomyelitis
2 Superficial osteomyelitis
3 Localized osteomyelitis
4 Diffuse osteomyelitis
Physiologic Host Status
A Normal host
B Systemic compromise
Local compromise
Systemic and local compromise
C Treatment worse than the disease

A clinically useful subclassification of AHO in children is based on the child’s age and development. Ultimately, this system may be more helpful in anticipating both the causative organism (and thus guide empiric antibiotic selection) and the clinical manifestations of infection in a given child. Children appear to have somewhat distinct age-related periods when certain types of infection have their highest incidence ( Table 23.2 ). Numerous factors may influence this relationship, including the following: exposure to specific organisms during childbirth; loss of maternally conferred immunity; developmental anatomy; exposure to specific organisms during daycare, preschool, and school; and the onset of sexual activity during adolescence. These age-related categories are neonatal (birth to 8 weeks), infantile (2–18 months), early childhood (18 months to 3 years), childhood (3–12 years), and adolescent (12–18 years).

Table 23.2
Causative Organisms and Empiric Antibiotics for Musculoskeletal Infections Based on Patient Age and Risk Factors.
Patient Characteristics Causative Organisms Empiric Antibiotics
Age Group
Neonatal (birth to 8 wk)
Nosocomial infection Staphylococcus aureus, Streptococcus species, Enterobacteriaceae, Candida species Nafcillin or oxacillin plus gentamicin or cefotaxime (or ceftriaxone) plus gentamicin
Community-acquired infection S. aureus, group B streptococcus, Escherichia coli, Klebsiella species Nafcillin or oxacillin plus gentamicin or cefotaxime (or ceftriaxone) plus gentamicin
Infantile (2–18 mo) S. aureus, Kingella kingae, Streptococcus pneumoniae, Neisseria meningitidis, Haemophilus influenzae type b (nonimmunized) Immunized: nafcillin, oxacillin, or cefazolin
Nonimmunized: nafcillin or oxacillin plus cefotaxime, or cefuroxime
Early childhood (18 mo to 3 yr) S. aureus, K. kingae, S. pneumoniae, N. meningitidis, H. influenzae type b (nonimmunized) Immunized: nafcillin, oxacillin, or cefazolin
Nonimmunized: nafcillin or oxacillin plus cefotaxime, or cefuroxime
Childhood (3–12 yr) S. aureus, GABHS Nafcillin, oxacillin, or cefazolin
Adolescent (12–18 yr) S. aureus, GABHS, Neisseria gonorrhoeae Nafcillin, oxacillin, or cefazolin; ceftriaxone and doxycycline for disseminated gonococcal infection
Risk Factor
Sickle cell disease Salmonella species, S. aureus, S. pneumoniae Ceftriaxone
Foot puncture wound Pseudomonas aeruginosa, S. aureus Ceftazidime or piperacillin-tazobactam and gentamicin
HIV infection S. aureus, Streptococcus species, Salmonella species, Nocardia asteroides, N. gonorrhoeae, cytomegalovirus, Aspergillus, Toxoplasma gondii, Torulopsis glabrata, Cryptococcus neoformans, Coccidioides immitis Broad-spectrum antibiotics per infectious disease recommendations
CGD Aspergillus species, Staphylococcus species, Burkholderia cepacia, Nocardia species, Mycobacterium species Nafcillin, oxacillin, or cefazolin
CGD, Chronic granulomatous disease; GABHS, group A β-hemolytic streptococcus; HIV, human immunodeficiency virus.

Neonatal

Neonatal osteomyelitis occurs in two distinct varieties. The first is encountered in infants 2 to 8 weeks of age who are typically discharged from the hospital with their mothers soon after birth, often after full-term, spontaneous vaginal delivery. However, these infections may also occur following cesarean section. The problem is often identified when parents become concerned about a lack of movement or visible swelling of an extremity in their newborn. Because the clinical features of fever and irritability are usually not present in this age group, diagnosis and treatment may be delayed. These neonates may fail to mount a typical inflammatory response that could be detected in common laboratory studies, and their radiographic evaluation may also be equivocal. Because of these issues, a high index of suspicion must be maintained. Aspiration of bone and joint should be performed liberally, and antibiotic therapy should be initiated when infection is identified, followed by appropriate surgical decision making.

S. aureus is the most commonly identified organism in this age group. Other common organisms include those encountered during the childbirth process, such as Streptococcus agalactiae (group B streptococcus), enterococci, and Enterobacteriaceae ( Escherichia coli, Proteus species, Klebsiella species). ,

The second form of neonatal osteomyelitis is encountered in the neonatal intensive care unit, typically in low-birth-weight neonates requiring endotracheal intubation, positive-pressure ventilation, intraarterial or intravenous lines, or umbilical artery or vein cannulation. Multifocal osteomyelitis or septic arthritis is commonly identified in neonates who demonstrate the typical signs and symptoms of sepsis, including temperature instability, poor color and perfusion, abdominal distention, feeding intolerance, bradycardia or apnea, increased oxygen requirements, and tachycardia or tachypnea. Outbreaks of MRSA have been reported in neonatal nurseries in Europe, Asia, the United States, and Australia, thus making this an important organism for empiric treatment. Other causative organisms in this setting include group B streptococci, Enterobacteriaceae species, Candida albicans, and Staphylococcus epidermidis. Our current guidelines support the use of vancomycin (15 mg/kg dose every 12 hours without a loading dose) and cefotaxime 50 mg/kg/dose every 8 to 12 hours (based on postnatal age) for neonatal infections. Because of the potentially devastating effect on the anatomic development of the proximal femur and humerus, suspicion of large joint infection in these neonates should prompt aspiration and, if positive for infection, surgical drainage. Historically, routine aspiration of both hips was recommended for all neonates known to have osteomyelitis or septic arthritis at any other site. However, given the advances in neonatal intensive care guidelines and the early administration of broad-spectrum antibiotics at the first detection of signs of sepsis, the incidence of these infections has markedly diminished in the United States.

Infantile and Early Childhood

Several organisms appear to have the ability to cause deep infection in children between 3 and 36 months of age. The reasons may be, in part, the timing of the loss of maternally conferred immunity and the onset of increased exposure to specific organisms in daycare settings. The waning levels of passively transferred maternal antibodies to certain pathogens, such as meningococci, are positively correlated with the highest rates of meningococcemia in young children. During later childhood and early adolescence, the level of bactericidal antibodies rises, and disease associated with these early childhood pathogens declines. Although S. aureus remains the most common bacterial isolate in this category, other notable organisms include the following: K. kingae; S. pneumoniae; group A, B, and C streptococci; Haemophilus influenzae type b (Hib; in nonimmunized children); and N. meningitidis. f

f References , , , , , .

Continued vigilance is necessary when treating osteoarticular infections of the large joints in this age category, particularly up to age 18 months, when long-term sequelae from osteonecrosis and growth disturbance may result. , , , For this reason, we endorse early aspiration and surgical débridement whenever septic arthritis is encountered in early childhood.

Childhood

Among children between 3 and 12 years of age, the most common causative organism of AHO is S. aureus (80%–90%); S. pyogenes (GABHS) is next in frequency, accounting for approximately 10% of culture-positive cases. , The age of children with GABHS AHO is consistent with the peak incidence of GABHS infection in school-age children, with a median age of 36 months reported in one series. Children who experience severe streptococcal infections with multisystem dysfunction are, on average, slightly older, with a median age of 8 years (range, 3–11 years).

You're Reading a Preview

Become a Clinical Tree membership for Full access and enjoy Unlimited articles

Become membership

If you are a member. Log in here