Key Concepts

  • Clinical decision rules for the elbow joint have not been validated. Radiographs should be obtained when there is limitation in range of motion, moderate to severe pain, obvious deformity, joint effusion, or significant tenderness or crepitus over any of the bony prominences or the radial head.

  • The threshold for radiographic imaging should be lower in pediatric patients (with the exception of radial head subluxations), owing to the presence of open growth plates and limitations to the physical examination.

  • Injuries that result in neurovascular compromise necessitate prompt intervention and consultation with an orthopedic specialist for reduction and potential operative intervention.

  • In children with a traumatic wrist injury, normal radiographs should prompt consideration of an elbow injury causing referred pain to the wrist.

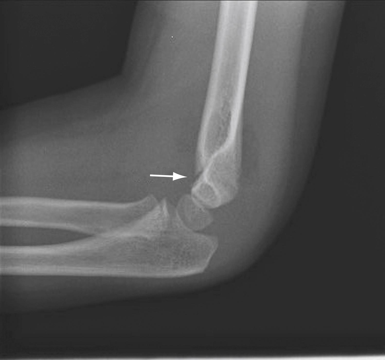
  • On lateral elbow x-ray, a small anterior fat pad, parallel to the anterior surface of the humerus, can be a normal finding. Any convex (“sail sign”) anterior fat pad and all posterior fat pads are pathological and indicate the presence of joint effusion.

  • In the setting of trauma, patients with a radiological posterior fat pad sign of the elbow are assumed to have an intra-articular skeletal injury. In adults, a posterior fat pad sign is indicative of a radial head fracture, whereas in children, a supracondylar fracture is more likely. In the absence of trauma, inflammation and infection also cause effusions with positive fat pad signs.

  • Radial nerve injury is the most common complication of humeral fractures. This is most often a benign neurapraxia that resolves spontaneously. Radial nerve injuries associated with penetrating trauma or open fractures are likely to represent anatomical disruption requiring operative exploration.

  • The radius and ulna, bound together firmly by the annular ligament and interosseous membrane, typically displace as a unit and dislocate posteriorly following a traumatic injury.

  • Biceps tendon rupture is more common in men, between ages 40 to 60, resulting from an unexpected extension force applied to the arm flexed at 90 degrees. Smoking, diabetes, chronic renal failure, systemic lupus erythematosus, rheumatoid arthritis, and steroid or fluoroquinolone therapy may predispose to this injury.

Foundations

Background and Importance

Injuries in the region of the elbow can be difficult to diagnose and have a high potential for complications and residual disability. Recognition of neurovascular and soft tissue complications improves the outcome in many of these injuries.

Anatomy, Physiology, and Pathophysiology

Knowledge of the relevant anatomy, mechanisms of injury, and appropriate management techniques, as well as knowing when to refer to or consult with orthopedic specialists will improve outcomes. The essential anatomy of the elbow region, as it relates to acute injury, is shown in Figs. 44.1–44.4 .

Fig. 44.1, Bony Anatomy of Distal Humerus and Elbow Region.

Fig. 44.2, Ligamentous Structures of Elbow.

Fig. 44.3, Neurovascular Structures of Elbow Region.

Fig. 44.4, Supracondylar process of the humerus (arrow) is present in approximately 2.5% of cases just proximal to the medial epicondyle. Volar surface of right elbow is shown.

General Clinical Features

The history includes a description of the mechanisms of the traumatic event, pain characteristics including quality, duration, location, effects of movement, exacerbating or alleviating factors, severity, and radiation, in addition to concomitant injury or systemic complaint. Past medical history should include occupational factors and prior or chronic problems with the affected joint or other bones or joints. Numbness or weakness distal to the injury may indicate neurovascular injury. Pediatric orthopedic injuries, including those caused by abuse, are discussed in Chapter 160, Chapter 172 .

Examination begins with simple inspection and comparison with the contralateral limb. The position in which the extremity is held should be noted. Deformity may indicate fracture, dislocation, or hematoma. Range of motion may be evaluated, depending on the appearance of the extremity and suspicion of injury, but general manipulation of the acute injured extremity should be minimized. Bony prominences are palpated with notation of specific areas of tenderness. Crepitus, bony deformity, and pain in an acutely injured limb are virtually diagnostic of a fracture. The radial head specifically is palpated for tenderness. Intra-articular elbow fractures, including those of the radial head, are universally associated with effusion (hemarthrosis). Elbow effusions are notoriously difficult to discern on examination but are readily identified on lateral radiographs ( Fig. 44.5 ). The extremity should be inspected for swelling, compromised circulation, or any wound that may indicate an open fracture.

Fig. 44.5, (A) Anterior and posterior fat pads on lateral study (arrows) . (B) The anterior fat pad is normally a thin radiolucent stripe; the posterior fat pad is not visible. (C) An effusion displaces both fat pads. This posterior fat pad is now visible.

In addition to the elbow region itself, focused examination incudes a thorough evaluation of the distal neurovascular status of the extremity. The presence of the brachial, radial, and ulnar pulses is confirmed by palpation. The ulnar pulse is more difficult to palpate than the radial pulse and may not be palpable in some normally healthy, uninjured patients. The radial, median, and ulnar nerve all transit the elbow in close proximity to major bony structures, so their motor and sensory functions require meticulous evaluation. The radial nerve can be tested by evaluating sensation to the dorsum of the hand and wrist extension. The median nerve should be tested for sensory function by assessing sensation at the lateral aspect of the thumb and for motor function by having the patient perform an “okay sign.” The ulnar nerve provides sensation to the palmar aspect of the small digit and motor function to the medial interosseous muscles, which can be tested by having the patient abduct the small finger from the ring finger against pressure.

When movement of the elbow is possible without significant pain, the range of motion of the elbow in all planes (i.e., flexion-extension and pronation-supination) is determined. Inability to tolerate even minimal passive movement often indicates dislocation or fracture. With the forearm supinated, the normal range of motion is 0 degrees in full extension to 150 degrees in full flexion. A mild degree of hyperextension is normal in some individuals and should be symmetric. With the elbow flexed at 90 degrees and the thumb facing up, the forearm normally supinates and pronates 90 degrees. Range-of-motion testing may be limited by pain and nearly impossible with severe injuries. These examination maneuvers can be delayed until after radiographic evaluation.

General Differential Diagnoses

Injuries in the region of the shaft of the humerus and regions of the elbow fall into several categories including fractures, dislocations, subluxations, and soft tissue disorders ( Table 44.1 ).

TABLE 44.1
Injuries to the Humerus and Elbow
Injury Site Mechanism/Exam Imaging
Humerus fractures Shaft of the humerus fractures Direct blow, severe twisting Localized tenderness, may be shortened or rotated Obvious fracture line
Distal humerus fractures
Supracondylar (most common in children)
Extension Fall on the outstretched hand when the elbow is either fully extended or hyperextended Arm is held at the side and has a characteristic S-shaped configuration Obvious fracture line or maybe the presence of a posterior fat pad or an abnormal anterior humeral line
Flexion Direct blow to the flexed elbow Forearm is supported with the opposite hand with the elbow flexed to 90 degrees Increase in the anterior angulation of the distal supracondylar fragment or gross displacement of the distal fragment proximal and anterior to the distal end of the proximal fragment
Transcondylar (more common in elderly) Mechanism of injury that is similar to that for supracondylar injuries Localized tenderness Fracture line, either transverse or crescent shaped, that passes through both condyles within the joint capsule just proximal to the articular surface
Extension Mechanism of injury that is similar to that for supracondylar injuries Localized tenderness Fracture line, either transverse or crescent shaped, that passes through both condyles within the joint capsule just proximal to the articular surface
Flexion Mechanism of injury that is similar to that for supracondylar injuries Localized tenderness Fracture line, either transverse or crescent shaped, that passes through both condyles within the joint capsule just proximal to the articular surface
Intercondylar Direct trauma to the elbow that drives the olecranon against the humeral articular surface and splits the distal end Localized tenderness T-shaped or Y-shaped fractures with variable degrees of separation of the condyles from each other and from the proximal humerus fragment
Nondisplaced Direct trauma to the elbow that drives the olecranon against the humeral articular surface and splits the distal end Localized tenderness T-shaped or Y-shaped fractures with variable degrees of separation of the condyles from each other and from the proximal humerus fragment
Separated Direct trauma to the elbow that drives the olecranon against the humeral articular surface and splits the distal end Localized tenderness T-shaped or Y-shaped fractures with variable degrees of separation of the condyles from each other and from the proximal humerus fragment
Separated and rotated Direct trauma to the elbow that drives the olecranon against the humeral articular surface and splits the distal end Localized tenderness T-shaped or Y-shaped fractures with variable degrees of separation of the condyles from each other and from the proximal humerus fragment
Combination with articular surfaces Direct trauma to the elbow that drives the olecranon against the humeral articular surface and splits the distal end Localized tenderness T-shaped or Y-shaped fractures with variable degrees of separation of the condyles from each other and from the proximal humerus fragment
Condylar Localized tenderness Widening of the intercondylar distance
Medial Valgus force on the extended elbow Localized tenderness Widening of the intercondylar distance
Lateral Direct blow to the lateral aspect of the flexed elbow or a force that results in adduction and hyperextension with avulsion of the lateral condyle Localized tenderness Widening of the intercondylar distance
Articular surface Localized tenderness Widening of the intercondylar distance
Capitellum Fall on outstretched hand Localized tenderness, pain worse with flexion Fragment lying anterior and proximal to the main portion of the capitellum
Trochlea Fall on outstretched hand Localized tenderness with limited ROM Fragment visible lying on the medial side of the joint, just distal to the medial epicondyle, signs of joint effusion
Epicondylar Fall on outstretched hand, repetitive valgus stress, direct blow Elbow is held in flexion and any movement is resisted A posterior fat pad or significant swelling of the joint should suggest concurrent injuries, such as elbow dislocation; evaluate for fracture fragments
Medial Fall on outstretched hand, repetitive valgus stress, direct blow Elbow is held in flexion and any movement is resisted A posterior fat pad or significant swelling of the joint should suggest concurrent injuries, such as elbow dislocation; evaluate for fracture fragments
Lateral Fall on outstretched hand, repetitive valgus stress, direct blow Elbow is held in flexion and any movement is resisted A posterior fat pad or significant swelling of the joint should suggest concurrent injuries, such as elbow dislocation; evaluate for fracture fragments
Radius/ulnar fractures Radial head fracture Fall on outstretched hand Localized tenderness over radial head or pain with passive rotation of forearm Range from subtle disruption of the gradual sweep of the radial neck and head surface to obvious displaced or comminuted fracture, positive fat pad sign
Nondisplaced Fall on outstretched hand Localized tenderness over radial head or pain with passive rotation of forearm Range from subtle disruption of the gradual sweep of the radial neck and head surface to obvious displaced or comminuted fracture, positive fat pad sign
Displaced Fall on outstretched hand Localized tenderness over radial head or pain with passive rotation of forearm Range from subtle disruption of the gradual sweep of the radial neck and head surface to obvious displaced or comminuted fracture, positive fat pad sign
Comminuted Fall on outstretched hand Localized tenderness over radial head or pain with passive rotation of forearm Range from subtle disruption of the gradual sweep of the radial neck and head surface to obvious displaced or comminuted fracture, positive fat pad sign
Ulnar fracture
Olecranon fracture Direct blow, forceful contraction of the triceps while the elbow is flexed during a fall can cause a transverse or oblique fracture through the olecranon Localized tenderness, palpable separation at fracture site, inability to extend the elbow against force Obvious fracture line
Coronoid fracture Direct blow, forceful contraction of the triceps while the elbow is flexed during a fall can cause a transverse or oblique fracture through the olecranon Localized tenderness, palpable separation at fracture site, inability to extend the elbow against force Obvious fracture line
Subluxations/dislocations Elbow dislocation Obvious dislocation, must assess for concurrent fractures
Posterior Fall on the outstretched hand or wrist, the elbow being either extended or hyperextended Elbow in flexion at approximately 45 degrees and have marked prominence of the olecranon Obvious dislocation, must assess for concurrent fractures
Anterior Blow from behind to the olecranon while the elbow is in the flexed position Upper arm appears shortened, the forearm elongated and supinated, the elbow is fully extended and the olecranon fossa is palpable posteriorly Obvious dislocation, must assess for concurrent fractures
Medial/lateral Mechanism similar to that in posterior dislocations, with a vector of force displacing the ulna and radius as a unit either medially or laterally Obvious deformity either medially or laterally Obvious dislocation, must assess for concurrent fractures
Radial head subluxation Forearm pulled while in pronation with the elbow extended, direct blow, twisting Arm held in passive pronation, with slight flexion at the elbow; refuses to move the arm, localized tenderness, swelling, ecchymosis and deformity are absent Radiographs are not necessary and are rarely positive
Soft tissue Epicondylitis Repetitive pronation and supination of the forearm Dull pain over lateral aspect of elbow, the lateral epicondyle or radiohumeral joint, increased by grasping or twisting motions Radiographs normal or may have calcifications
Olecranon bursitis Repetitive minor trauma, inflammatory Progressive pain, tenderness, and swelling over olecranon None
Bicep tendon rupture
Proximal Repetitive microtrauma to the tendon Visible defect at top of bicipital groove with bunching of the muscle distally, flexion of elbow produces pain at proximal insertion but flexion remains intact None
Distal Extension force applied to the arm flexed at 90 degrees Pain and tearing in the antecubital region, visible deformity and palpable defect of the biceps muscle belly with weakness of elbow flexion and supination None

General Diagnostic Testing

Most elbow and humerus injuries are evaluated radiographically, although on occasion, history and clinical examination alone are sufficient to make a diagnosis (e.g., minor mechanical fall with minimal pain, full range of motion, and no significant bony tenderness). There are no validated clinical decision rules for the elbow, so radiography should be performed when there is moderate to severe pain, significant limitation in range of motion, obvious deformity, swelling or effusion, or significant tenderness over any of the bony prominences or the radial head. With the exception of children with an apparent nursemaids’ elbow (radial head subluxation), radiography should be used in virtually all pediatric elbow injuries with any bony tenderness on examination to assess for possible growth plate injury.

Routine views of the elbow include at least the anteroposterior and lateral views, with oblique views when indicated. Anteroposterior and oblique views are taken with the elbow extended. The lateral view is taken with the elbow in 90 degrees of flexion and the thumb pointing upward. Positioning of the elbow is critical because anything other than a true lateral view makes accurate interpretation of soft tissue findings and alignment difficult.

Most fractures in the elbow region are identifiable on plain film, but radial head and subtle supracondylar fractures may be difficult to visualize. Radiographic examination of the elbow for the presence of fat pads secondary to traumatic effusion provides additional clues. The normal cortex of the radius is smooth and has a gentle continuous concave sweep. If consistent with history and physical findings, any disruption of this smooth arc is considered evidence of fracture. Abnormalities within the soft tissues on elbow films are particularly important and may be the only radiographic sign of a fracture. Normally, fat surrounding the proximal elbow joint is hidden in the concavity of the olecranon and coronoid fossae. The elbow normally has a narrow strip of lucency anteriorly, parallel to the anterior surface of the distal humerus (the anterior fat pad). The presence of a posterior fat pad is not considered a normal finding. Injuries that produce intra-articular hemorrhage cause distention of the synovium and displace the fat out of the fossa, making the posterior fat pad visible on lateral radiographic views. This intra-articular swelling displaces the anterior fat farther anteriorly, where it takes the shape of a main sail of a boat. Thus, this radiographic finding is commonly referred to as the “ sail sign .” Displacement of the posterior fat pad makes it visible on the lateral radiograph as a “posterior fat pad sign” (see Fig. 44.5 ). In the setting of trauma, more than 95% of patients with a posterior fat pad sign have an intra-articular skeletal injury. These soft tissue findings occur even with subtle fractures, and when present in the setting of trauma, an occult fracture should be suspected. In adults without an identifiable fracture on radiograph, fat pad signs most often indicate a radial head fracture, whereas in children a supracondylar fracture is the more likely. In the absence of trauma, the presence of a fat pad suggests other causes of effusion (e.g., inflammation or infection). Of note, the fat pad sign may be absent in fractures where the injury is severe enough to rupture the capsule.

Additional imaging modalities in the emergency department (ED), such as diagnostic ultrasound, computed tomography (CT) scanning, or magnetic resonance imaging (MRI) may be considered. Ultrasound may be considered as a quick bedside modality to assist in the diagnosis of fractures, most easily utilized on long bone injuries. This may be especially useful in the hemodynamically unstable trauma patient during resuscitation. MRI (or less commonly) CT imaging may be considered if there is high suspicion for a fracture on plain imaging that only reveals a traumatic effusion. Classically, this may be applied to pediatric elbow injuries to identify underlying fractures not visible on standard imaging.

General Management

General management should begin with an appropriate evaluation for additional traumatic injuries, pain control with appropriate analgesics, and attempt at providing patient comfort with support for the injured extremity. Once a potential fracture is identified, prompt neurovascular evaluation should be performed. Although a warm hand with normal color suggests adequate tissue perfusion, a handheld Doppler device is often required to evaluate major vessel flow if significant swelling is present or if the pulses are not palpable. Poor perfusion may be the result of a direct arterial injury, compression or kinking from a fracture or dislocation, or compartment syndrome. Identification of arterial compromise or injury warrants consultation with an orthopedic or vascular surgeon (see Chapter 40 ). Compartment syndrome is discussed in Chapter 41 . Orthopedic consultation and measurement of compartment pressures is indicated for patients who are suspected of having a compartment syndrome.

General Disposition

General disposition for patients with humerus or elbow fractures depends on several considerations. Common fracture factors include need for emergent operative intervention and need for neurovascular checks or compartment checks. Additionally, patient-centered factors may include pain control, ability to perform activities of daily life, and ability to follow instructions regarding fracture care. Given the previous factors, a large proportion of upper extremity, humerus, and elbow injuries can be discharged home with appropriate orthopedic specialty follow-up.

Specific Fractures

Shaft of the Humerus

Clinical features of humeral shaft fractures

Fractures of the humeral shaft commonly result from a direct blow to the arm, severe twisting, or a fall on an outstretched hand. Rarely, fractures may be caused by abrupt muscle contraction, such as occurs when a javelin or baseball is thrown. The shaft of the humerus most commonly fractures in the middle third in a transverse fashion. The patient reports localized pain, which is often severe in nature, and the arm is visibly swollen and cannot be used. When a fracture is complete, bony crepitus is felt in the shaft of the humerus with the slightest manipulation of the arm. The arm may be shortened or rotated, depending on the displacement of the fracture fragments. When the fracture is incomplete, there is bony tenderness and swelling without obvious deformity.

Diagnostic testing for humeral shaft fractures

Imaging studies should routinely include the shoulder and elbow joints. The humerus is a common site for benign tumors, unicameral cysts, and primary bone malignancies, as well as a common site for metastatic disease. Thinning of the cortex and abnormal osteoblastic or osteoclastic activity are evidence of a pathologic fracture ( Fig. 44.6 ). Pathologic lesions may require orthopedic surgical intervention, though once a fracture occurs, a multidisciplinary approach with oncology should occur to determine the best course of surgical intervention. While these fractures may be stabilized with treatment such as plates, pins, intramedullary nails, cement, and joint replacement, these underlying fractures do not heal well without concomitant treatment of the underlying pathologic condition.

Fig. 44.6, Pathologic Fracture of Proximal Humerus.

Management of humeral shaft fractures

Isolated, closed fractures are treated with a high degree of success. Attempts at fracture reduction and external immobilization are generally unnecessary and may be detrimental to healing. Fractures that are nondisplaced or minimally displaced are immobilized by adding a coaptation, or “sugar-tong” splint, to the sling and swathe ( Fig. 44.7 ). The coaptation splint is often replaced by a functional brace after the first 10 to 14 days. If the fracture is grossly displaced or comminuted, the hanging cast technique is preferable. This technique is especially effective with spiral fractures ( Fig. 44.8 ). Care is taken not to make the cast too heavy because this would distract fracture fragments or too tight as this may compromise circulation. The hanging cast has the disadvantage of using gravity for traction and requires that the patient remain upright at all times, including during sleep, a situation that many patients find intolerable. Neurovascular examination should be repeated and documented before and after the application of any splint or cast because entrapment of the nerve between fragments can occur after these interventions. Open reduction and internal fixation ( Fig. 44.9 ) are necessary for open fractures, presence of multiple injuries that preclude mobilization, bilateral fractures, poor reduction, poor patient compliance, failure of closed treatment, and fractures through pathologic bone. Although the success rate with nonoperative intervention is about 80%, patients should be included in treatment decisions regarding nonoperative versus operative intervention because operative intervention may decrease recovery time resulting in earlier return to work.

Fig. 44.7, Sugar-Tong Splint for Humeral Shaft Fractures.

Fig. 44.8, Hanging Cast Technique.

Fig. 44.9, Midshaft humerus fracture before (A) and after (B) open reduction and internal fixation.

For open fractures, the wound should be covered with normal saline soaked gauze. Splinting can be done for comfort during patient manipulation but should be limited. Cefazolin (2 g intravenously) is given, and consultation is obtained by orthopedic surgery for emergent operative washout. Additional antibiotics, such as an aminoglycoside or quinolone may be used as an alternate for gram negative coverage. For potential clostridial infection (e.g., contaminated farm injuries), clostridial coverage including clindamycin or metronidazole may also be indicated.

The most common complication, radial nerve injury, occurs in up to 15% of humerus fractures. Radial nerve injury causes wrist drop with loss of the ability to extend the fingers and thumb. This nerve injury is most often a benign neurapraxia that resolves spontaneously in approximately 80% to 90% of cases without operative intervention, although recovery may take 6 to 9 months. Of those with radial nerve palsy who fail conservative treatment, upwards of 90% of patients will recover. Patients should be advised of this possible complication prior to discharge, and follow-up with an orthopedic surgeon should be arranged from the ED. Exploration and internal fixation are indicated if the radial nerve palsy develops after manipulation, because this is highly suggestive of nerve entrapment. Radial nerve injuries associated with penetrating trauma or open fractures are likely to be caused by anatomical nerve disruption and generally warrant operative exploration. Median and ulnar nerve injuries are rare and usually secondary to penetrating trauma. Injuries to the brachial artery occur rarely and, if suspected, vascular surgery consultation is indicated, often with angiography or other vascular studies.

Disposition of humeral shaft fractures

All patients with humeral shaft fractures should be referred to an orthopedic surgeon for further evaluation within 48 hours after treatment in the ED to ensure that the alignment has been maintained, no neurological deficits have emerged, and pain is adequately controlled. Emergent referral to an orthopedist is recommended for patients with evidence of radial nerve injury, severely displaced or comminuted fractures, open fractures, or fractures associated with forearm fractures in the same injured extremity.

Distal Humerus

Supracondylar fractures

Distal humerus fractures that occur proximal to the epicondyles are called supracondylar fractures. This type of fracture is almost exclusively an injury of the immature skeleton, with a peak incidence in children 5 to 10 years old. This injury rarely occurs after age 15 and accounts for approximately one half of all elbow fractures and one third of pediatric limb fractures. In children, the tensile strength of the collateral ligaments and joint capsule of the elbow is greater than that of bone. In adults, the reverse is true, and a fall or accident that would result in a supracondylar fracture in children would likely result in a posterior elbow dislocation in an adult. Supracondylar fractures are classified as either extension or flexion fractures, depending on the mechanism of injury and the displacement of the distal fragment. Of these injuries, 98% are of the extension type.

Extension type supracondylar fractures

Clinical features of extension type supracondylar fractures

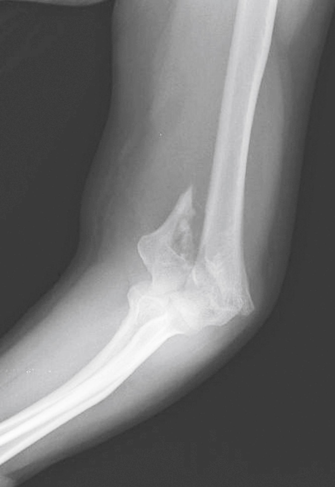
Extension supracondylar fractures occur as a consequence of a fall on the outstretched hand when the elbow is either fully extended or hyperextended (e.g., a fall off the playground “monkey bars”). The strong action of the triceps tends to pull and displace the distal fragment in a posterior and proximal direction. In children with extension-type supracondylar fractures, the arm is held at the side and has a characteristic S-shaped configuration, whereas with flexion-type supracondylar fractures, the forearm is supported with the opposite hand with the elbow flexed to 90 degrees. There may be anterior angulation of the sharp distal end of the proximal fragment into the antecubital fossa, which could injure the brachial artery and median nerve ( Fig. 44.10 ). In most cases, however, the brachialis muscle protects the anterior neurovascular structures from injury. Because this fracture primarily occurs in children, 25% of supracondylar fractures are of the greenstick variety, with the posterior cortex remaining intact. Subtle changes (e.g., the presence of a posterior fat pad or an abnormal anterior humeral line) may be the only radiographic clues to the presence of a fracture ( Fig. 44.11 ). Ten percent of children lose the radial pulse temporarily, most often as a result of swelling and not direct brachial artery injury. Fracture reduction, avoiding flexing the elbow more than 90 degrees, and elevating the arm help prevent secondary obstruction to arterial flow. Nerve injuries occur in approximately 10% of these injuries, but the incidence increases to a range of 20% to 50% with increasing severity of fracture displacement. , The anterior interosseous nerve is the most commonly injured, followed by the radial, median, and ulnar nerves. Most deficits seen at the time of injury are neurapraxias that resolve with rest and conservative management. Motor function returns within 7 to 12 weeks, whereas recovery of sensation may take over 6 months, though the recovery of injuries with multiple nerve injuries may take longer than that of isolated nerve injuries. ,

Fig. 44.10, Supracondylar Fractures, Extension and Flexion.

Fig. 44.11, Supracondylar fracture (arrow) with anterior and posterior fat pad.

Diagnostic testing of extension-type supracondylar fractures

Two diagnostic aids in evaluating for possible supracondylar fractures include using the anterior humeral line and evaluation of Baumann’s angle. The anterior humeral line is a line drawn on a lateral radiograph along the anterior surface of the humerus through the elbow. Normally, this line transects the middle third of the capitellum ( Fig. 44.12 ). With an extension supracondylar fracture, this line either transects the anterior third of the capitellum or passes entirely anterior to it. An abnormal relationship between the anterior-humeral line and capitellum may be the only radiographic evidence of a minimally displaced supracondylar fracture and is a presumptive finding of a fracture. Baumann’s angle is the intersection of a line drawn on the anteroposterior film through the midshaft of the humerus and the growth plate of the capitellum defines an angle of approximately 75 degrees ( Fig. 44.13 ). Radiographic evaluation of the elbow in children is challenging because of the presence of multiple ossification centers ( Fig. 44.14 ). Comparison views of the uninjured elbow are often helpful in distinguishing fractures from the normal epiphyses and ossification centers. Table 44.2 lists the typical age of first appearance and fusion of ossification centers.

Fig. 44.12, (A) A line drawn down the anterior surface of the humerus on a lateral film should transect the middle third of the capitellum. (B) With an extension supracondylar fracture, the line passes more anteriorly.

Fig. 44.13, Baumann’s Angle as Measured on Anteroposterior Film.

Fig. 44.14, Secondary Growth Centers of the Elbow.

TABLE 44.2
Ossification Centers of the Elbow: CRITOE
Ossification Centers Age of Appearance
Capitellum 1–2
Radial head 4–5
Internal (medial) epicondyle 4–5
Trochlea 8–10
Olecranon 8–9
External (lateral) epicondyle 10–11

Based on radiographic findings, supracondylar fractures are classified into four types: type I, minimal or no displacement; type IIA, displaced fracture, posterior cortex intact with no rotational component; type IIB, displaced fracture, posterior cortex intact with a rotational component; type III, totally displaced fracture, anterior and posterior cortex disrupted; and type IV, multidirectionally unstable due to complete circumferential periosteal disruption.

Management and disposition of extension type supracondylar fractures

Current treatment recommendations for supracondylar fractures from the American Academy of Orthopedic Surgeons remain based on the modified Gartland classification ( Box 44.1 ). Nondisplaced extension supracondylar fractures (type I) are immobilized primarily for comfort and protection, because they are inherently stable. They are treated in a splint or cast flexed to 75 to 80 degrees with the forearm in neutral rotation. Protected active range of motion is begun in approximately 3 weeks. Even without definite radiographic findings, a child with localized tenderness consistent with a supracondylar fracture should be splinted and referred for follow-up examination within 24 to 48 hours. A plain radiograph performed a few weeks after the injury may reveal periosteal new bone formation in the supracondylar region. Patients with a type I fracture can be discharged safely from the ED with instructions to elevate the extremity, apply ice, and have a follow-up evaluation in 1 to 2 days. Fractures that require manipulation usually warrant admission to the hospital to ensure compliance and for neurovascular monitoring. Minimally displaced (type II) fractures that are stable after reduction can be treated with splinting or casting with the elbow flexed. We recommend flexion to 110 to 120 degrees for this injury. This position uses the intact posterior periosteum as a tension band to hold the reduction; however, if swelling or circulatory obstruction prevents this amount of flexion, it should not be used. The greater the flexion at the elbow, the greater is the chance of vascular impairment. When swelling peaks at 24 to 48 hours, the risk of vascular obstruction and compartment syndrome is highest. Occasionally, these injuries require percutaneous pinning to maintain stability, especially if a significant rotational component is present. Percutaneous pinning of fractures after reduction has grown in popularity in recent years and is recommended for type IIB fractures with some studies showing better outcomes with pinning than without. , Type III totally displaced fractures generally are the result of more severe injuries that produce more swelling than type I or type II injuries. Displacement necessitates the reestablishment of length, increases the chance of varus deformity, and increases the chances of interposed soft tissues and neurovascular injury. For all these reasons, patients with type III fractures require emergency orthopedic consultation in the ED and should be admitted to the hospital for frequent neurovascular checks and closed reduction and percutaneous pinning. Open reduction may be necessary if closed reduction is unsuccessful. Reduction in the ED is indicated only when the displaced fracture is associated with vascular compromise that threatens the viability of the extremity. Under these conditions, closed reduction should be attempted. After appropriate procedural sedation, an assistant fixes the arm of the patient. The clinician grasps the patient’s wrist and applies steady, firm traction in line with the long axis of the limb ( Fig. 44.15A ). The forearm is kept in the neutral, thumb-up position. While traction is maintained, correction of any medial or lateral displacement is accomplished with the other hand at the elbow (see Fig. 44.15B ). If the distal fragment is displaced laterally, it is pushed inward; if it is displaced medially, it is pushed outward. After the length has been restored and the angular deformity has been corrected, the thumb of the free hand is placed over the anterior surface of the proximal fragment with the fingers behind the olecranon. While traction is maintained, the elbow is gently flexed to just beyond 90 degrees (see Fig. 44.15C ). Angulation is corrected to a normal carrying angle. Only one attempt should be made at this manipulation technique. Multiple attempts increase the likelihood of neurovascular injury and swelling. If reduction is unsuccessful, simple traction on the extended elbow may restore vascular supply. When reduction is performed, follow-up radiographs are obtained to ensure adequate reduction and neurovascular function is checked at frequent (hourly) intervals. Cylinder casts are not applied initially because they increase the risk of forearm ischemia; a posterior plaster splint provides safe and adequate immobilization. Type IV injuries require emergent orthopedic consultation for operative intervention. These injuries represent a surgical challenge, but recent studies show that a satisfactory outcome can be achieved.

Box 44.1
Gartland Classification for Supracondylar Fractures in Children

  • Type I: Minimal or no displacement

  • Type II: Displacement of the fracture but with the posterior cortex intact

    • Type IIA: No rotational component

    • Type IIB: Some rotational component

  • Type III: Displaced, no cortical contact, periosteal contact

    • Type IIIA: No rotation of the fracture

    • Type IIIB: Rotation present

  • Type IV: Complete disruption/displacement

Fig. 44.15, (A) to (C) Steps in reduction of displaced supracondylar fracture.

Flexion type supracondylar fractures

Clinical features of flexion type supracondylar fractures

Flexion-type supracondylar injuries are much less common, with a reported frequency of about 2% of all supracondylar fractures. The mechanism of injury is a direct blow to the flexed elbow.

Diagnostic of flexion type supracondylar fractures

Plain films may reveal a simple increase in the anterior angulation of the distal supracondylar fragment or gross displacement of the distal fragment proximal and anterior to the distal end of the proximal fragment. In the latter case, the distal end of the proximal fragment protrudes posteriorly. A line drawn down the anterior humeral shaft (see earlier discussion in the extension type supracondylar fractures section) intersects the capitellum either normally or posteriorly in these fractures, depending on whether there is anterior displacement. The most common complication is nerve injury with injury to the ulnar nerve, occurring in over 90% of cases. The radial and median nerves are rarely injured.

Management of flexion type supracondylar fractures

For flexion-type supracondylar injuries, when the posterior periosteum is torn, the anterior periosteum functions as a tension band with the arm in extension. In type I fracture, the periosteum is minimally displaced. These injuries do not need to be immobilized in extension. The elbow can be comfortably flexed and should be immobilized in a splint as with extension injuries. Type II and III injuries require emergent orthopedic consultation. Type II injuries are manipulated into extension and then either in a long arm cast or with percutaneous pins. Type III injuries are treated with closed reduction and percutaneous pinning but will require open reduction if closed reduction fails ( Fig. 44.16 ).

Fig. 44.16, Type III supracondylar fracture with significant displacement of distal fragment.

Transcondylar Fractures

You're Reading a Preview

Become a Clinical Tree membership for Full access and enjoy Unlimited articles

Become membership

If you are a member. Log in here