Applications of Transesophageal Echocardiography


Transesophageal echocardiography (TEE) is a widely available imaging modality with an extensive spectrum of indications for diagnostic and intraprocedural imaging. Owing to the proximity of the TEE probe to cardiac structures and thus the improved spatial resolution, TEE offers invaluable clinical information for commonly encountered cardiac diseases, with guideline-based recommendations for its use spanning from: assessment of mechanism and severity of native and prosthetic valvular disease, evaluation of structural and congenital anomalies, detection of intracardiac thrombus, characterization of cardiac masses, and assessment of aortic pathologies, among others. TEE has long been used for diagnostic imaging in echocardiographic laboratories and operating rooms and has rapidly expanding applications with the concurrent rise in performance of structural heart interventions.

Diagnostic Applications

Mitral Valve Disease

Mitral valve (MV) pathology is readily identified by TEE because of systematic visualization of the complex saddle-shaped annulus, leaflets and sub-valvular apparatus. This can be achieved using both conventional two- (2D) and three-dimensional (3D) imaging techniques, the latter of which often provides incrementally valuable information.

In cases of mitral regurgitation (MR), TEE permits a thorough assessment for the underlying morphologic cause and quantification of severity by visualizing constituent elements of the regurgitant jet with color flow and spectral doppler. Delineation of primary versus secondary etiologies of MR is paramount because ensuing options for management are directed by this categorization. Although mechanisms of MR can be appropriately classified by transthoracic echocardiography (TTE), TEE has been shown to better localize pathology in cases of mitral regurgitation undergoing surgical or percutaneous repair, particularly with 3D renderings of the valve. TEE can also offer objective but nuanced data regarding dynamic changes in annular geometry throughout the cardiac cycle, the details of which lie beyond the scope of this chapter. The use of TEE in cases of unexplained MR can yield observations of novel pathology, as evidenced by the relatively recent description of posterior leaflet indentations as a form of congenital valvular disease and atrial functional mitral regurgitation in patients with atrial fibrillation , ( Fig. 14.1 ). The multitude of these insights inform the basis that 3D TEE should be used routinely to evaluate patients with significant MR.

Figure 14.1, Representative cases of anterior cleft morphologies (top row) and posterior mitral cleft indentations (bottom row) as visualized by three-dimensional imaging of the mitral valve en face using surgeon’s view.

Although the diagnosis of mitral stenosis is not predicated on performance of TEE, therapeutic options may be better informed if TEE is performed. Rheumatic mitral disease, historically the most common etiology of mitral stenosis, can be adequately evaluated by TTE, but TEE can also assess suitability of anatomy for valvuloplasty. An entity of degenerative mitral stenosis causing a growing clinical dilemma stems from severe annular calcification, in which the exuberant calcification of the fibrous mitral annulus poses limitations for TTE because of acoustic shadowing. TEE may be useful in such patients for more accurate assessment of severity of mitral disease by clarification of valve area and detection of underappreciated regurgitation, allowing for accurate assessment of valve dysfunction.

Aortic Valve Disease

TEE is an important adjunctive method in the assessment of aortic valvular pathology when TTE is limited by image quality, calcification burden, or discrepant findings. TEE can also assist in the identification of congenital causes of aortic valvulopathy with excellent reliability and precision ( Fig. 14.2 and ).

Figure 14.2, Quadricuspid aortic valve morphology in systole ( A ) and diastole ( B ). See accompanying Video 14.2 .

Video 14.2. Short-axis view of a quadricuspid aortic valve.

In cases of aortic stenosis, there can be challenges in the assessment of aortic valve area by TTE because of acoustic shadowing from calcification or suboptimal image quality. TEE can precisely measure left ventricular outflow tract diameter, which is an integral component in the calculation of effective aortic valve area. TEE further improves estimation of valve area with 2D and 3D planimetry, demonstrating good agreement with invasively determined and multidetector computed tomography (CT)–derived valve areas. Additionally, 3D TEE may also be more accurate in the estimation of aortic valve area in patients with bicuspid aortic valves, for whom the domed leaflets may lead to overestimation with conventional 2D methods. The widespread adoption of 3D TEE imaging in the evaluation of aortic stenosis has yielded important insights regarding the dynamic, ellipsoid morphology of the aortic annulus, with more eccentric variations noted in bicuspid valves. These observations have important implications for transcatheter aortic valve replacement planning and outcomes.

TEE provides a similarly complimentary role in the clarification of aortic regurgitation etiology and severity, with a role primarily reserved for when TTE is insufficient. With recent guidelines emphasizing the importance of identifying the mechanism of aortic regurgitation, TEE can offer important and accurate classification in patients planned for aortic surgery ( Fig. 14.3 ). TEE evaluation may also help to highlight patients at risk of adverse events, including failure of surgical repair.

Figure 14.3, Case of moderate aortic regurgitation with unclear etiology. Two-dimensional imaging with systolic doming ( A ) and thickening in diastole ( B ). Central moderate to severe regurgitant jet ( C ) with three-dimensional demonstrating central malcoaptation ( D ).

Tricuspid and Pulmonic Valves

The anterior location of the tricuspid and pulmonic valves and their associated apparatus can pose challenges to visualization by TEE, but it remains an option in patients when TTE is suboptimal. In such cases, use of multiple views from the mid- and lower esophageal as well as transgastric positions can help to fully elucidate right-sided valve pathology. The tricuspid valve is composed of three nonuniformly sized leaflets (with occasional accessory leaflets described), an ellipsoid, vertically oriented annulus, and subvalvular apparatus ( Fig. 14.4 and ). The annulus itself can exhibit dynamic changes in size and contour according to loading conditions and right heart geometry. Tricuspid annular dimensions are well elucidated using 3D applications, though some data suggest that 3D TTE is probably equivalent to TEE. Pulmonic valve pathology prompting TEE evaluations is most commonly related to preexisting congenital disease, concern for endocarditis, or evaluation of pulmonic valve prostheses.

Figure 14.4, Representative three-dimensional acquisition of tricuspid valve from transgastric view. See accompanying Video 14.4 .

Video 14.4. Three-dimensional transillumination from the right ventricular perspective of the device lead causing impingement of the tricuspid septal leaflet.

Prosthetic Valves

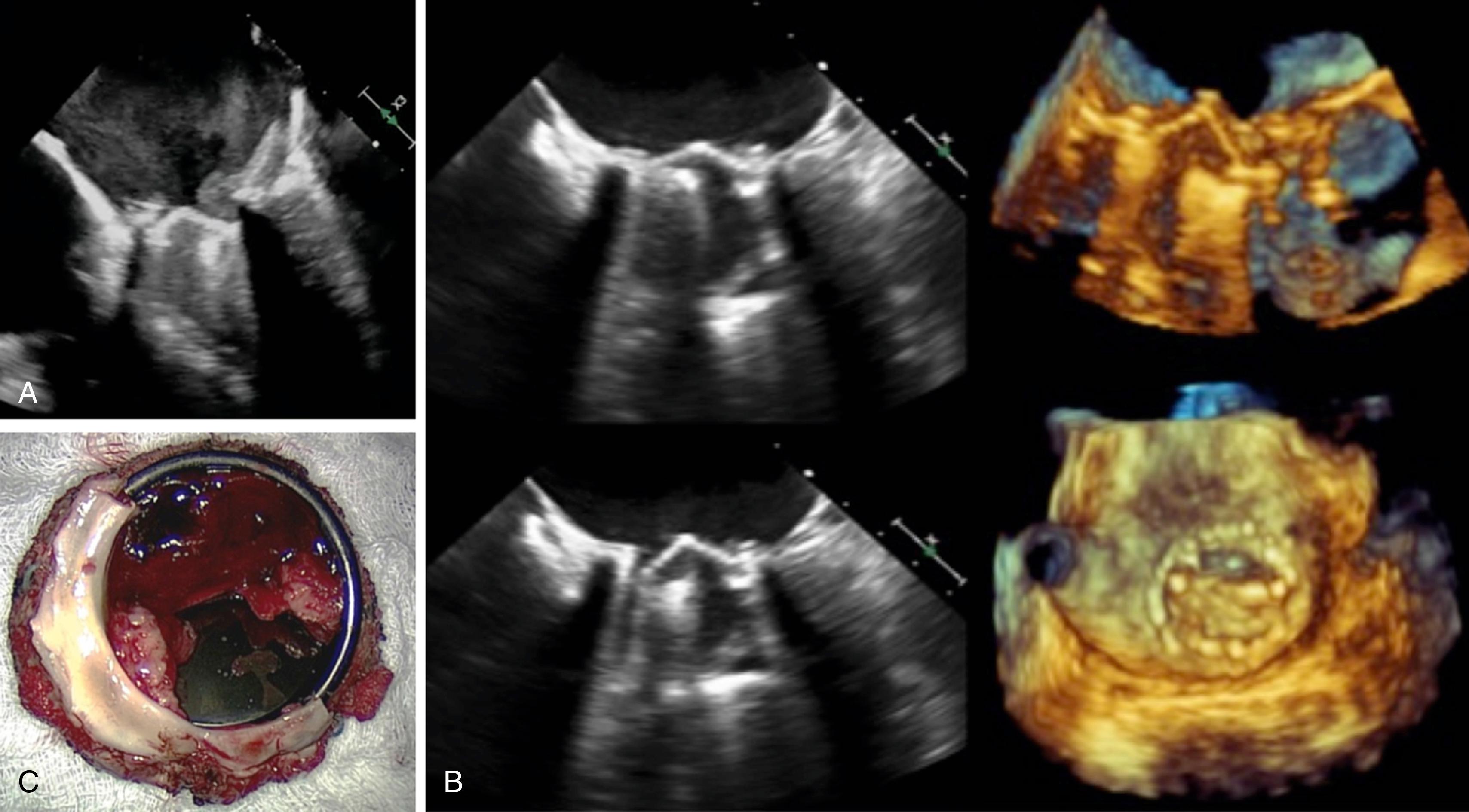
TEE is frequently used for the investigation of suspected or confirmed prosthetic valve dysfunction. Image quality of bioprosthetic and mechanical prosthesis is invariably enhanced by the use of TEE because of less acoustic shadowing and less obscuration of far-field structures. TEE is standardly performed for concern of prosthetic valve endocarditis because of its superior sensitivity and ability to evaluate for vegetation, abscess, or fistulous complications. With 2D and 3D TEE, careful delineation of prosthetic leaflet motion, degenerative changes, and the presence of pathologic thrombus, vegetations, or pannus can be performed, with consequential implications for clinical management ( Fig. 14.5 and , ). The introduction of 3D color imaging with adequate temporal resolution can also help to coregister abnormal regurgitant jets to the valvular or perivalvular space, as well as define the associated lesion severity ( Fig. 14.6 and ). Real-time TEE guidance is now standardly used for percutaneous valve interventions, including perivalvular leak closure.

Figure 14.5, A, Mechanical mitral prosthesis thrombosis with left atrial and valve-associated thrombus and dense spontaneous echo contrast in the left atrium. B, Mechanical mitral prosthesis dysfunction with immobile posterior mechanical leaflet on two- and three-dimensional imaging with pathology demonstrating amalgam of acute and chronic thrombus, with pannus formation ( C ). See accompanying Video 14.5A , Video 14.5B .

Figure 14.6, Three-dimensional (3D) imaging of bioprosthetic MV ( A ) with 3D color imaging ( B ) revealing two distinct perivalvular leaks at the 6 and 9 o’clock positions. See accompanying Video 14.6 .

Video 14.5 . A, Two-dimensional imaging of a thrombosed mitral valve with dense spontaneous echo contrast layered in the LA. B, Three-dimensional en-face view of the same valve with evidence of stasis in the LA and abnormal leaflet mobility.

Video 14.6. Three-dimensional color imaging demonstrating two large distinct perivalvular leaks associated with bioprosthetic mitral valve.

Intracardiac Thrombus And Mass Evaluation

Left Atrium and Appendage

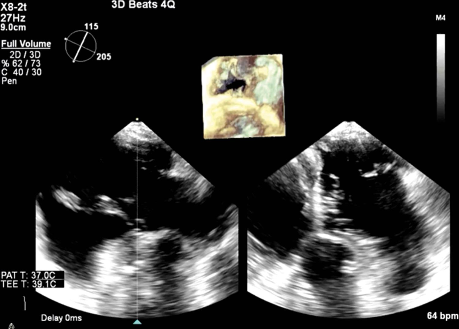
Evaluation of the left atrium (LA) and appendage (LAA) is a common step in the management of patients with atrial fibrillation or flutter. Because of the posterior location of the L, and the complex morphologies of the LAA, TEE provides excellent resolution for the detection of thrombus, which poses an absolute contraindication to chemical and electrical cardioversion. The administration of microbubble contrast during TEE may improve the ability to correctly discern the presence of LAA thrombus. TEE also permits the assessment of spontaneous echo contrast or “smoke” and detection of reduced appendage emptying velocities, both of which are predictors of increased thromboembolic risk in patients with atrial arrhythmias ( Fig. 14.7 ). Evaluation for occult LA or LAA thrombus is routinely performed before invasive pulmonary vein isolation or cryoablation. Applications of 3D TEE have underscored the complex and dynamic geometries of the LAA, with increasing relevance given the availability of implantable LAA closure devices. Use of TEE for the evaluation of patients presenting with cryptogenic stroke is common, but recent studies have suggested the yield of TEE in terms of findings of LAA thrombus or spontaneous echo contrast leading to initiation of anticoagulation occur in only 3% to 4% of cases.

Figure 14.7, Left atrial appendage with thrombus and spontaneous echo contrast in the appendage ( A ) with evidence of reduced left atrial emptying velocities ( B) .

You're Reading a Preview

Become a Clinical Tree membership for Full access and enjoy Unlimited articles

Become membership

If you are a member. Log in here