Anaesthesia for thoracic surgery


In thoracic anaesthesia there are a number of key areas that require specific consideration in the preoperative, intraoperative and postoperative phases of care. They include understanding of pulmonary anatomy, assessment of fitness for lung surgery, understanding the indications and methods of lung isolation, management of hypoxaemia during one-lung ventilation, and provision of pain relief after thoracotomy. Oesophagectomy is also performed as a thoracic procedure.

Anatomy

The trachea leads from the cricoid cartilage below the larynx at the level of the sixth cervical vertebra (C6) and passes 10–12 cm in the superior mediastinum to its bifurcation at the carina into the left and right main bronchi at the sternal angle (T4–5). During inspiration, the lower border of the trachea moves inferiorly and anteriorly. The trachea lies principally in the midline but is deviated to the right inferiorly by the arch of the aorta. The oesophagus is immediately posterior to the trachea, and behind it is the vertebral column. The wall of the trachea is held patent by 15–20 cartilaginous rings deficient posteriorly where the trachealis membrane, a collection of fibroelastic fibres and smooth muscle, lies. It is wider in transverse (20 mm) than anteroposterior diameter (15 mm). The trachea passes from neck to thorax via the thoracic inlet at T2.

The right main bronchus is larger and less deviated from the midline than the left. The origin of the right upper lobe bronchus arises laterally 2.5 cm from the carina, whereas the origin of the left upper lobe arises laterally after 5 cm. These dimensions determine the relative ease of isolating and ventilating each lung independently using double-lumen endobronchial tubes (DLTs).

The right lung comprises three lobes, each with the following segments ( Fig. 41.1 ):

  • Right upper lobe – apical, anterior, posterior

  • Right middle lobe – medial, lateral

  • Right lower lobe – superior, anterior basal, posterior basal, medial basal, lateral basal

Fig. 41.1, Bronchopleural segments.

In the left lung there are two lobes with the following segments:

  • Left upper lobe – apical, anterior, posterior, superior lingual, inferior lingual

  • Left lower lobe – superior, anterior basal, posterior basal, lateral basal

The lingual lobe, which looks like a tongue, is part of the left upper lobe and is not a lobe in its own right, compared with the right lung, which has a distinct middle lobe. The right middle lobe has lateral and medial segments, in contrast with the left lingual lobe, which has superior and inferior segments. This difference may be explained by the position of the heart, which can be considered to elevate the vertical separation between two segments to make it horizontal on the left. On the right there is absence of the heart, and so the vertical separation remains, resulting in the presence of lateral and medial segments.

The asymmetrical structure of the bronchial tree gives rise to characteristic bronchoscopic views at the various branches ( Fig. 41.2 ). There is significant interindividual variation. Of particular anaesthetic relevance is where the right upper lobe bronchus arises.

Fig. 41.2, The respiratory tree and bronchoscopic views of major branches.

The oesophagus is a continuation of the pharynx at the level of the lower border of the cricoid cartilage (C6) 15 cm from the incisor teeth. It passes immediately anterior to the thoracic spine and aorta and descends through the oesophageal hiatus of the diaphragm at T10, to the left of the midline at the level of the seventh rib. There are four slight constrictions: at its origin, as it is crossed by the aorta and left main bronchus, and at the diaphragm, at 15 cm, 25 cm, 27 cm and 38 cm from the incisors.

Radiographic surface markings

The apices of the lungs extend 2.5 cm above the point at which the middle and inner third of the clavicle meet. Lung borders descend behind the medial end of the clavicle to the middle of the manubrium. The lung border is behind the body of the sternum and xiphisternum before sweeping inferiorly and laterally down to the level of the eleventh thoracic vertebra. On the left, at the level of the horizontal fissure at the fourth costal cartilage (T7), the medial border of the lung is displaced to the left of the sternal edge in the cardiac notch. The oblique fissure descends from 3 cm lateral to the midline at T4, inferiorly and anteriorly to the sixth costal cartilage 7 cm from the midline. The diaphragmatic reflection of the pleura extrudes below the lung to the lower border of T12.

Preoperative assessment

There are several considerations to acknowledge when providing an anaesthetic for patients who require thoracic procedures. They include the procedure and its indication, the underlying diagnostic process, and the fitness for surgical intervention as well as one-lung ventilation for many procedures. In combination with rigid bronchos­copy after induction of general anaesthesia, typical procedures are:

  • lobectomy or pneumonectomy for treatment of non–small cell lung cancer;

  • reduction of lung volume in patients with emphysema;

  • lung biopsy for diagnosis of lung cancer and other diseases such as sarcoidosis;

  • cervical mediastinoscopy for staging of lung cancer;

  • pleurectomy with bullectomy for recurrent spontaneous pneumothorax;

  • decortication for empyema; and

  • closure of bronchopleural fistula.

Of these procedures, there is loss of lung tissue during lobectomy, pneumectomy and lung-volume reduction. Compared with general anaesthesia with two lungs, these three procedures require specific preoperative anaesthetic assessment.

Lobectomy or pneumonectomy

Staging of lung cancer

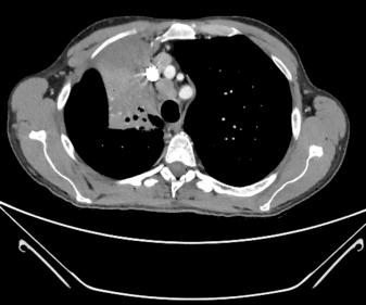
Other than a chest radiograph, patients will have had a CT scan of their thorax to demonstrate radiological evidence of size, number and location of a tumour either in the right lung or the left lung. In addition, there may be mediastinal lymphadenopathy ( Fig. 41.3 ). Before lung resection, a separate general anaesthetic for lung biopsy and cervical mediastinoscopy is often required for diagnosis and staging of suspected lung cancer.

Fig. 41.3, Computed tomographic scan showing mediastinal lymphadenopathy in the pretracheal area and obstruction of the right upper lobe bronchus.

There are four stages of lung cancer, dependent on the size, location and number of tumour, nodes and metastases. In addition to a CT scan, metabolic activity and hence location and spread of the tumour may have been assessed by positron emission tomographic (PET) scanning. This test is based on accumulation of phosphorylated 18 F-fluoro-2-deoxy-D-glucose (FDG). There is increased uptake of FDG and phosphorylation by hexokinase and decreased dephosphorylation by glucose-6-phosphatase in malignant cells compared with normal cells. Standard uptake values greater than 2.5 are suggestive of the presence of tumour cells. In general, surgical treatment and hence anaesthesia for lung resection are indicated in patients with stage 1 or 2 non–small cell lung cancer.

General anaesthetic considerations

Patients who present for lung surgery may not only have lung cancer but may have other medical conditions which should be assessed for both severity and for possible preoperative optimisation (see Chapters 19 and 20 ). There may be respiratory disease such as chronic obstructive pulmonary disease (COPD) with infection and a history of smoking. From the cardiac perspective, there may be a history of ischaemic heart disease, atrial fibrillation, anticoagulation with warfarin, heart failure, valvular heart disease, hypertension, diabetes mellitus and obesity.

The Eastern Cooperative Oncology Group (ECOG) performance status score (used by the WHO and also called the Zubrod score) provides a general assessment of functional capacity before thoracic surgery ( Table 41.1 ). The majority of operable patients are grade 2 or less.

Table 41.1
Eastern Cooperative Oncology Group (ECOG) performance status
0 Fully active, able to carry on all predisease performance without restriction
1 Restricted in physically strenuous activity but ambulatory and able to carry out work of a light or sedentary nature (e.g., light housework, office work)
2 Ambulatory and capable of all self-care but unable to carry out any work activities; up and about more than 50% of waking hours
3 Capable of only limited self-care; confined to bed or chair more than 50% of waking hours
4 Completely disabled; cannot carry on any self-care; totally confined to bed or chair
5 Dead

Predicted postoperative lung function

Other than general anaesthetic considerations, many surgical procedures require one-lung ventilation and lung resection. The issue is whether the patient will tolerate one-lung ventilation and possible postoperative complications. Of the measurements of lung function, forced expiratory volume in 1 second (FEV 1 ) and transfer factor (diffusing capacity for carbon monoxide (DL CO ) and carbon monoxide transfer coefficient (K CO )) are recommended and cited at multidisciplinary meetings for lung cancer; FEV 1 assesses lung mechanics, whereas transfer factor measurements estimate the effect of cardiopulmonary disease on reduction in gas transfer. These measurements are generally quoted as a percentage of the predicted value for each patient. Ventilation or perfusion scintigraphy may be used to predict postoperative lung function if a ventilation-perfusion mismatch is suspected.

To calculate predicted postoperative lung function, it is necessary to know the number of bronchopulmonary segments in each lobe of lung before and after lung resection (see Fig. 41.1 ). Overall, the right lung has 10 segments, whereas the left lung has 9 segments, giving a total of 19 segments. After a simple right lower lobectomy, there will be 5 segments removed (19 – 5 = 14 segments), and so the predicted postoperative FEV 1 or transfer factor will be the preoperative value multiplied by 14 divided by 19. However, if 2 segments in the right lower lobe are obstructed by tumour and so do not contribute to the lung function measurements, then they would have to be deducted from the denominator (i.e. 19 – 2 = 17 segments). So, after right lower lobectomy, the predicted postoperative FEV 1 or transfer factor would be multiplied by 14 divided by 17. The predicted postoperative FEV 1 and transfer factor proportions are used to define severity of lung disease. There are differing definitions:

The British Thoracic Society has two levels of risk:

  • Low risk (≥40% predicted)

  • High risk (<40% predicted)

The American College of Chest Physicians has three levels of risk:

  • Low risk (>60% predicted)

  • Medium risk (30%–60% predicted)

  • High risk (<30% predicted)

Exercise testing

According to UK and American guidance, the shuttle-walk test is recommended for patients at moderate risk, as suggested by the lung function results (see Chapter 19 ). The perioperative risk is considered to be high if the test of 25 sets of 10 m is not completed. Patients seem to be at a low risk if they can walk 400 m. The stair-climbing test has also been recommended; patients are at high risk if they cannot climb 22 m. Both the stair-climbing and the shuttle-walk tests are low-technology assessments of exercise tolerance.

In contrast, cardiopulmonary exercise testing (CPET; see Chapter 19 ) involves the use of special equipment and is recommended in both the UK and American guidelines, with peak oxygen consumption (V̇ o 2 ) used to estimate fitness. In the UK, a peak V̇ o 2 >15 ml kg –1 min –1 indicates good function. However, the American guidance defines three thresholds for peak V̇ o 2 :

  • Low risk: >20 ml kg –1 min –1 or 75% predicted

  • Medium risk: 10–20 ml kg –1 min –1 or 35%–75% predicted

  • High-risk: <10 ml kg –1 min –1 or <35% predicted

Prediction of mortality

In addition to an assessment of fitness for lung cancer surgery, it is possible to use a scoring system (Thoracoscore, Table 41.2 ) to estimate the global risk of death. In this way the operative risk can be stratified. Many of the Thoracoscore factors apply to other types of patients who present for a general anaesthetic. They provide the basis for:

  • providing patient information and obtaining consent (see Chapter 21 );

  • determining anaesthetic technique and level of intraoperative monitoring; and

  • planning postoperative management (ICU vs . high-dependency unit vs. ward).

Table 41.2
Thoracic Surgery Scoring System (Thoracoscore)
Variable Value Score
Age (years) 55–65 0.7679
≥65 1.0073
Sex Male 0.4505
ASA ≥3 0.6057
Performance status classification ≥3 0.689
Dyspnoea score ≥3 0.9075
Priority of surgery Urgent or emergency 0.8443
Procedure class Pneumonectomy 1.2176
Diagnosis group Malignant 1.2423
Comorbidity score 1–2 0.7447
≥3 0.9065

Dyspnoea score is graded using the Medical Research Council score:
0: None
1: Slight (troubled by shortness of breath when hurrying on the level or walking up a slight hill)
2: Moderate (walks slower than people of the same age on the level because of breathlessness)
3: Moderately severe (has to stop because of breathlessness when walking at own pace on the level)
4: Severe (stops for breath after walking about 100 yards or after a few minutes on the level)
5: Very severe (too breathless to leave the house or breathless when dressing or undressing)
Performance status is the Eastern Cooperative Oncology Group performance status scale used by the WHO (see Table 41.1 ). The probability of in-hospital mortality is estimated as: P in-hospital mortality (%) = 100 / (1 + e (7.3737 + Total Score) ).

Lung volume reduction

Some patients with severe emphysema may present for reduction of lung volume. There are two types: traditional surgery and bronchoscopic surgery, which involves the placement of endobronchial valves at the entrance of appropriate bronchopulmonary segments. Currently, bronchoscopic lung-volume reduction surgery is in vogue as it reduces perioperative complications and hence mortality. Appropriate anatomical targets for lung-volume reduction include the following:

  • High residual volume (150%–180% predicted)

  • High total lung capacity (>100% predicted)

  • Reduced predicted FEV 1 (but still >20% predicted)

  • Presence of target lobe (heterogeneous, upper-lobe disease rather than homogeneous disease is preferred)

  • Presence of a fissure between lobes of the lung (a complete fissure between lobes of a lung provides anatomical evidence to predict absence of collateral air flow)

  • Evidence of the location of ventilation-perfusion mismatch

Intraoperative considerations

In this section there are general and specific issues that need to be discussed. As with any anaesthetic, the following general considerations should be reviewed:

  • Preoperative preparation. This includes factors such as smoking cessation, physiotherapy, and optimisation of any active cardiac conditions.

  • Marking of side of procedure. Many thoracic procedures are unilateral, with no external distinguishing features, and so the side of the operation must be marked and checked to prevent wrong-side surgery.

  • Patient information, options and agreement for specific procedures. Many thoracic procedures are associated with moderate to severe pain, and so information regarding epidural, spinal and paravertebral block should be provided.

  • Individualised requirements for monitoring. Major procedures generally require invasive arterial blood pressure monitoring and central venous access.

  • Temperature. Patients should be normothermic before arrival in the anaesthetic room.

  • Cross-matching. Blood should be cross-matched for major procedures.

Specific issues regarding thoracic procedures relate to positioning, rigid bronchoscopy, cervical mediastinoscopy, unilateral procedures involving lung isolation, hypoxaemia during one-lung ventilation and postoperative analgesia.

Positioning

In thoracic anaesthesia, patients are usually positioned supine or in the lateral decubitus position. The supine position is required for rigid bronchoscopy, cervical mediastinoscopy and other midline procedures such as thymectomy. For cervical mediastinoscopy, there is neck extension similar to a tracheostomy. This position opens a space for placement of a video mediastinoscope beneath the suprasternal notch. The standard position for unilateral operations such as lobectomy, pneumonectomy, surgical lung-volume reduction, pleurectomy and decortication is the lateral decubitus position. The non-dependent side of the chest is elevated so that the rib spaces are maximised for surgical access and the non-dependent lung allowed to collapse for surgery, while the dependent lung is ventilated.

You're Reading a Preview

Become a Clinical Tree membership for Full access and enjoy Unlimited articles

Become membership

If you are a member. Log in here