Unresponsive After MVC


Consult Page

STAT MVC trauma, 2Y with GCS3

Initial Imaging

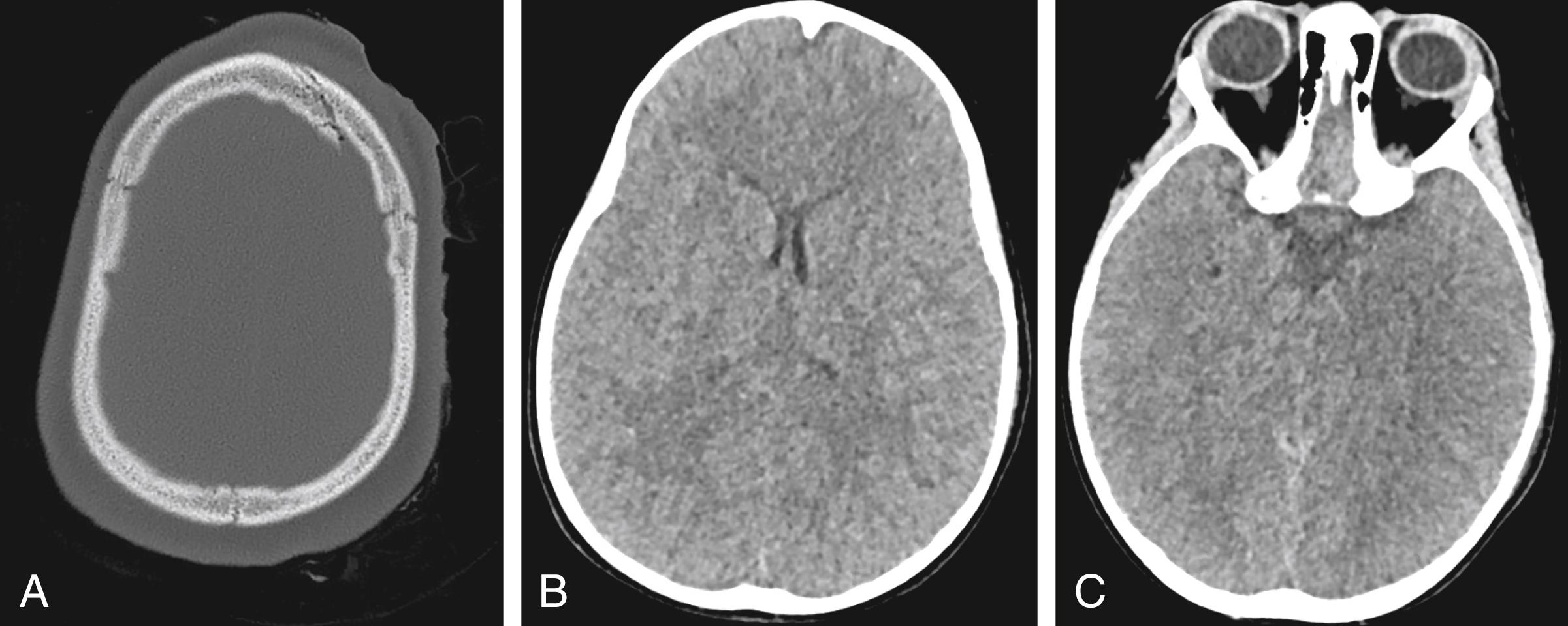
Figure 4.1, Axial head CT without contrast demonstrates a minimally displaced left frontal fracture (A) without evidence of large intracranial hemorrhage (B, C).

Walking Thoughts

  • What is the patient’s current neurological exam? Is the patient intubated?

  • Why is the patient’s GCS so poor? Is the patient currently paralyzed or sedated?

  • Do the imaging findings explain the physical exam findings?

  • Does the patient have any other injuries?

  • Does the patient have any lab abnormalities that can explain his poor GCS?

  • What immediate steps need to be taken to medically optimize the patient?

  • Is family present?

  • What, if any, surgical interventions could improve outcome or management?

  • Does the patient need additional imaging?

You're Reading a Preview

Become a Clinical Tree membership for Full access and enjoy Unlimited articles

Become membership

If you are a member. Log in here