Ultrasound use for Intravascular Access


Goals/Objectives

  • Basic Principles

  • Anatomy

  • Physiologic Considerations

  • Technical Considerations

  • Management of Complications

Ultrasound-Guided Vascular Access

Andrew W. Shannon
Christine Butts
Justin Cook

From Adams JG, et al: Emergency Medicine Clinical Essentials, 2nd edition (Saunders 2012)

Key Points

  • The use of ultrasound for vascular access is now standard.

  • Although bedside ultrasound improves the overall success of venous access and decreases complications, it is not without potential pitfalls.

Introduction

Emergency physician expertise in the use of ultrasound for obtaining vascular access is widespread because of its clinical benefit. Patients may not have accessible superficial veins. Obesity and decreased intravascular volume further increase the challenges. Central venous access has known complications that include pneumothorax and injury to great vessels. Bedside ultrasound may decrease the complication rate by allowing direct, real-time visualization of vascular targets, decreasing the need for multiple attempts, and avoiding arterial injury. The application of ultrasound for invasive and therapeutic procedures has become standard as reflected in the 2006 policy statement of the American College of Emergency Physicians on emergency ultrasound. Over the past decade, wide acceptance of the benefits of ultrasound-guided vascular access has led to the recommendation that ultrasound guidance be used routinely in obtaining central vascular access. Debate regarding the role of ultrasound has shifted to a focus on implementation of these recommendations and their cost-effectiveness. Research is now largely focused on improving education and training techniques or documenting the adoption of ultrasound to augment central venous access in a wider variety of settings.

How to Scan and Scanning Protocols

Ultrasound-guided central venous access is accomplished with many of the same techniques as used by the traditional landmark approach. Patient positioning, informed consent, use of sterile technique with full draping, and selection of the anatomic site should be undertaken in the usual manner.

Either a two- or single-operator technique is acceptable. A single operator will use the dominant hand to advance and aspirate the needle while manipulating the transducer with the opposite hand. In a two-operator procedure, the cannulating operator will concentrate on the needle and syringe, and the probe will be held steady by the second operator.

Two techniques are commonly accepted for achieving ultrasound-guided vascular access. In the static technique, ultrasound is used to identify vascular structures in relation to external landmarks, and then the ultrasound device is set aside and cannulation performed in the usual manner. The dynamic technique involves real-time, direct visualization of entry of the needle into the vein by ultrasound and seems to be preferable, particularly when the venous structures are small. In this case, once the vein has been accessed (or a “flash” of blood is seen), the ultrasound device is set aside.

The probe most conducive to central venous access is a linear-array high-frequency (5- to 12-MHz) probe ( Figure 69-1-1 ). Care should be taken to identify the side of the probe bearing the indicator mark that corresponds to the on-screen indicator. This will allow the most intuitive positioning of the probe during venous access such that medial on the patient is medial on the screen of the machine as viewed by the operator when attempting cannulation ( Figure 69-1-2 ).

F igure 69-1-1, A high-frequency, or linear, transducer.

F igure 69-1-2, Position of the transducer to obtain a transverse image of the internal jugular vein.

Once a site has been chosen, usually the internal jugular or femoral, it should be evaluated with ultrasound to identify the artery and the vein ( Figure 69-1-3 ). When compared with their accompanying veins, arteries appear thick walled, more circular, and pulsatile on ultrasound. Arteries do not compress with light pressure. Veins are more irregular in shape, sometimes appearing triangular rather than round, and compress with light pressure. Use of color Doppler can also aid in identification.

F igure 69-1-3, Transverse anatomy of the vessels of the neck.

It is often easiest to begin with the probe in a transverse orientation. In this view, the vessels appear in cross section as round or oval structures (see Figure 69-1-3 ). The depth of the target vessel and its relationship to surrounding structures can be determined. The vein should then be centered on the screen. This allows an external landmark, the center of the transducer, to be established. Pressure over this area with a blunt object, such as a fingertip, can confirm the correct location. The needle should then be inserted at a 45-degree angle to the skin at a distance from the probe equal to the depth of the target vessel ( Figure 69-1-4 ). Immediately after entering the skin, the needle tip should be identified on the screen. It will appear as a hyperechoic (white) object within subcutaneous tissue. The needle tip should be followed with the transducer as it advances toward the vein. As the needle tip reaches the vein, the wall of the vessel will be seen to deform. A flash of blood in the syringe confirms that the needle has entered the vein ( Figure 69-1-5 ).

F igure 69-1-4, Demonstration of the method for judging the angle and placement of entry for ultrasound-guided vascular access.

F igure 69-1-5, A needle tip (seen as the hyperechoic structure on the right of the vessel) entering the internal jugular vein.

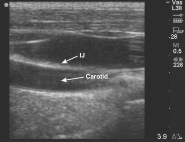
The longitudinal approach is somewhat more challenging to master but allows better visualization of the needle along its entire length. The longitudinal view is obtained by rotating the probe 90 degrees from the transverse position to line up in parallel with the course of the vein ( Figure 69-1-6 ). Extra care should be taken to differentiate venous from arterial vessels in this view and to avoid accidental migration of the probe. In this approach the needle should enter the skin at one end of the probe ( Figure 69-1-7 ) – and therefore the ultrasound screen – and be advanced in plane toward the underlying vein along the long axis ( Figure 69-1-8 ). Similar pressure deformity and indentation of the vessel wall should be noted before it is punctured, and a flash of blood should again be sought.

F igure 69-1-6, The internal jugular (IJ) vein and carotid artery in longitudinal orientation.

F igure 69-1-7, The in-plane technique used for longitudinal or oblique placement of a catheter.

F igure 69-1-8, A needle advancing toward the internal jugular in longitudinal orientation.

An oblique approach has been described in which the vessels are imaged with an orientation inbetween the transverse and longitudinal views. The probe is aligned obliquely over the vessel so that it appears between the structure typically seen in the transverse and longitudinal views. The needle can then be introduced from the end of the transducer and followed in plane as it advances toward the vessel. The oblique approach combines the familiar view of the vessel with the reassurance of being able to view the length of the needle.

Ultrasonography is also commonly used for peripheral approaches to intravenous access, particularly in patients with difficult access, such as those undergoing dialysis or chemotherapy. The basilic vein is usually a good option, even when other peripheral veins are unusable ( Figure 69-1-9 ). The extremity chosen should be positioned comfortably and a tourniquet applied to facilitate an initial ultrasound survey to identify candidate veins ( Figure 69-1-10 ). The operator localizes the vein ( Figure 69-1-11 ) and performs cannulation via the transverse or longitudinal approach, as described for central access. Because peripheral veins requiring ultrasound guidance for cannulation are often deeper structures, the use of longer catheters should be considered. It should also be appreciated that peripheral veins are much more likely to collapse with even light pressure from the ultrasound transducer.

Red Flags

Although bedside ultrasound improves the overall success of venous access and decreases complications, it is not without potential pitfalls.

When viewing vessels in the transverse orientation, only a small part of the needle can be visualized. Identifying and following the needle tip immediately after it enters the skin will avoid inadvertent arterial puncture. In the longitudinal orientation, the vein and artery are very closely opposed (see Figure 69-1-4 ). Extra care should be taken to ensure that the vessel on screen is the target vessel.

Both the transverse and longitudinal orientations have limitations in localizing the needle tip. In the transverse orientation, the medial-to-lateral position of the tip can best be determined ( Figure 69-1-12 ), but the slope of the needle path may be difficult to appreciate. Conversely, in the longitudinal orientation, the slope can be appreciated, but the medial-to-lateral position may not be apparent ( Figure 69-1-13 ). A combination of these two approaches, or the oblique approach, may minimize these potential shortcomings.

F igure 69-1-12, The advantages of transverse orientation for vascular access.

F igure 69-1-13, The advantages of longitudinal orientation for vascular access.

It is also important to avoid reliance on any one aspect of the image to identify the structures. Variant vascular anatomy may make landmarks less reliable, and severe volume depletion may lead to a completely collapsed internal jugular vein with a compressible carotid. Multiple characteristics should be examined to confirm that the vessel in question is venous.

Even though visualization of the anatomy does make successful cannulation more likely, it is no guarantee. Inadvertent carotid puncture while using ultrasound guidance is well described, in particular as a result of a through-and-through venous puncture. Prudence and careful technique are always appropriate.

F igure 69-1-9, The peripheral veins of the upper extremity.

F igure 69-1-10, A sonographer scanning the area of the basilic vein.

F igure 69-1-11, Transverse image of the basilic vein.

Suggested Reading

  • 1. Keyes LE, Frazee BW, Snoey ER, et. al.: Ultrasound-guided brachial and basilic vein cannulation in emergency department patients with difficult intravenous access. Ann Emerg Med 1999; 34: pp. 711-714.
  • 2. Leung J, Duffy M, Finckh A.: Real-time ultrasonographically-guided internal jugular vein catheterization in the emergency department increases success rates and reduces complications: a randomized, prospective study. Ann Emerg Med 2006; 48: pp. 540-547.
  • 3. Phelan M, Hagerty D.: The oblique view: an alternative approach for ultrasound- guided central line placement. J Emerg Med 2009; 37: pp. 403-408.
  • 4. Moon CH, Blehar D, Shear MA, et. al.: Incidence of posterior vessel wall puncture during ultrasound-guided vessel cannulation in a simulated model. Acad Emerg Med 2010; 17: pp. 1138-1141.

References

  • 1. Leung J, Duffy M, Finckh A.: Real-time ultrasonographically-guided internal jugular vein catheterization in the emergency department increases success rates and reduces complications: a randomized, prospective study. Ann Emerg Med 2006; 48: pp. 540-547.
  • 2. Hind D, Calvert N, McWilliams R, et. al.: Ultrasonic locating devices for central venous cannulation: meta-analysis. BMJ 2003; 327: pp. 361.
  • 3. ACEP Board of Directors : ACEP policy statement: emergency ultrasound imaging criteria and compendium. Available at http://www.acep.org/policystatements/ Accessed June 12, 2015
  • 4. Rothschild JM.: Ultrasound guidance of central vein catheterization.Shojania KGDuncan BWMcDonald KM et. al.Making health care safer: a critical analysis of patient safety practices.2001.Agency for Healthcare Research and Quality Available at http://archive.ahrq.gov/clinic/ptsafety/chap21.htm Accessed June 12, 2015
  • 5. National Institute for Clinical Excellence : Guidance on the use of ultrasound locating devices for placing central venous catheters. London: National Health Service; Issue date: September 2002, Review date: August 2005. Technology Appraisal No. 49; Available at http://www.nice.org.uk/guidance/ta49 Accessed June 12, 2015
  • 6. Neustein SM.: Mandating ultrasound usage for internal jugular vein cannulation. Can J Anaesth 2010; 57: pp. 868. author reply 868–9
  • 7. Chalmers N.: Ultrasound guided central venous access. NICE has taken sledgehammer to crack nut. BMJ 2003; 326: pp. 712.
  • 8. Matera JT, Egerton-Warburton D, Meek R.: Ultrasound guidance for central venous catheter placement in Australasian emergency departments: potential barriers to more widespread use. Emerg Med Australas 2010; 22: pp. 514-523.
  • 9. Keenan SP.: Use of ultrasound to place central lines. J Crit Care 2002; 17: pp. 126-137.
  • 10. Wells M, Goldstein L.: The polony phantom: a cost-effective aid for teaching emergency ultrasound procedures. Int J Emerg Med 2010; 3: pp. 115-118.
  • 11. Agarwal A, Singh DK, Singh AP.: Ultrasonography: a novel approach to central venous cannulation. Indian J Crit Care Med. 2009; 13: pp. 213-216.
  • 12. Milling T, Holden C, Melniker L, et. al.: Randomized controlled trial of single-operator vs. two-operator ultrasound guidance for internal jugular central venous cannulation. Acad Emerg Med 2006; 13: pp. 245-247.
  • 13. Milling TJ, Rose J, Briggs WM, et. al.: Randomized, controlled clinical trial of point-of-care limited ultrasonography assistance of central venous cannulation: the Third Sonography Outcomes Assessment Program (SOAP-3) Trial. Crit Care Med 2005; 33: pp. 1764-1769.
  • 14. Phelan M, Hagerty D.: The oblique view: an alternative approach for ultrasound-guided central line placement. J Emerg Med 2009; 37: pp. 403-408.
  • 15. Schofer JM, Nomura JT, Bauman MJ, et. al.: The “ski lift”: a technique to maximize needle visualization with the long-axis approach for ultrasound-guided vascular access. Acad Emerg Med 2010; 17: pp. e83-4.
  • 16. Keyes LE, Frazee BW, Snoey ER, et. al.: Ultrasound-guided brachial and basilic vein cannulation in emergency department patients with difficult intravenous access. Ann Emerg Med 1999; 34: pp. 711-714.
  • 17. Moon CH, Blehar D, Shear MA, et. al.: Incidence of posterior vessel wall puncture during ultrasound-guided vessel cannulation in a simulated model. Acad Emerg Med 2010; 17: pp. 1138-1141.
  • 18. Blaivas M.: Video analysis of accidental arterial cannulation with dynamic ultrasound guidance for central venous access. J Ultrasound Med 2009; 28: pp. 1239-1244.

Further Reading

  • Hind D, Calvert N, McWilliams R, et. al.: Ultrasonic locating devices for central venous cannulation: meta-analysis. BMJ 2003; 327: pp. 361.

Ultrasound Guidance for Vascular Access

Paul-André C. Abboud
John L. Kendall

From Abboud PA, Kendall JL: Ultrasound guidance for vascular access. Emerg Med Clin North Am 2004;22:749

The ability to establish central venous access efficiently is a fundamental skill for emergency physicians. Central venous access is essential for hemodynamic monitoring, volume resuscitation, and the delivery of vasoactive drugs. It is important in the management of shock and other conditions such as renal failure and complete heart block because it contributes to temporizing and life-saving therapies.

Traditionally, central venous access has been guided only by palpable anatomic landmarks such as bony prominences, muscle surfaces, and arterial pulsations. This “blind” approach to the central veins assumes anatomic homogeneity, does not account for the possibility of thrombosis, and depends on correct discernment of the relationship among multiple anatomic landmarks.

Research in emergency department (ED) and intensive care settings has supported the efficacy of traditional landmark approaches to the internal jugular vein (IJV), subclavian vein (SV), and femoral vein (FV) in adult and pediatric patients. Failure rates, however, have been reported as high as 30% in some series. The failure rate has been demonstrated to be greater for emergent cases and highest for patients in cardiopulmonary arrest. Nonrandomized studies of central venous cannulation specifically for critical trauma or cardiopulmonary resuscitation have reported success rates ranging from 62% to 99%. One study of failed cardiopulmonary resuscitation cases demonstrated that 31% of attempted FV catheters were not in the FV.

Complication rates related to central line placement are reported to range from 0.3% to 18.8%, depending on the site of insertion, patient population, and definition of complications. Acute complications associated with the landmark approach commonly include pneumothorax, arterial puncture, hemothorax, hematoma (subcutaneous or mediastinal), misplaced catheter tip, nerve injury, and dysrhythmia. Cases of transient Horner syndrome and dysphonia after IJV catheterization have been reported in some series. Death due to complications from a central venous line also has been reported. The complication rate depends on the time needed for catheter insertion, the number of needle passes, the extremes of body habitus, previous central venous cannulation, prior surgery or radiation therapy in the area of the vein, and operator inexperience. Characteristics associated with difficult or complicated central access include limited sites for access attempts (other catheters already in place, pacemaker, local surgery, or infection), known vascular abnormality, coagulopathy, mechanical ventilation or severely diminished pulmonary function (leading to worse morbidity from a possible pneumothorax), severe peripheral vascular disease, soft tissue edema, chronic intravenous drug use, and patient intolerance of supine position (orthopnea, increased intracranial pressure). Under these circumstances in which the margin for error is small, central venous access must be undertaken carefully.

Emergency medicine has developed an expanding familiarity with portable two-dimensional (2-D) real-time ultrasound (US) over the past decade. In that time, a body of research has developed that supports US for guidance of central venous cannulation. Descriptions of US guidance for central venous access first were published in the anesthesiology literature and, subsequently, in the surgery, radiology, nephrology, critical care, and emergency medicine literature.

In 1978, Ullman and Stoelting first described the use of a “pencil-shaped Doppler probe” to identify the “windstorm” sounds of the IJV to mark the overlying skin site for cannulation. Legler and Nugent published the first experience with Doppler localization of the IJV before catheterization. In 1986, Yonei et al first reported the use of 2-D real-time US guidance for cannulation of the IJV.

The first case series of 2-D US for central venous access in the ED was published in 1997. The reported technique involved two operators: one for line placement and one to hold the US probe. Since then, emergency physicians have published four studies on the use of US for vascular access in the ED. These studies, which are reviewed below, reported favorable experiences and improved success rates for venous access with US guidance.

In 1997, the American College of Emergency Physicians (ACEP) published a policy statement on the use of US imaging by emergency physicians. In 2001, a revised policy statement and accompanying ACEP guidelines specifically included US guidance for central venous access in a list of “primary applications for emergency ultrasound”.

Evidence for Ultrasound-Guided Central Venous Access

In 2001, the Agency for Healthcare Research and Quality published an evidence-based report on patient safety practices. This report, which was been highly publicized in professional and lay media, includes a chapter on US guidance for central venous access. US guidance for central venous access was listed among 11 practices with the most highly rated “strength of evidence for supporting more widespread implementation”. This report based its findings on much of the same literature that previously had been reviewed in a meta-analysis by Randolph et al. The meta-analysis, published in 1996, reviewed eight randomized controlled trials of 2-D or Doppler US guidance versus the landmark method for central venous access. No studies of FV access were included. A significant decrease in the failure rate, complication rate, and number of attempts for successful access of the SV and the IJV were reported. A subsequent meta-analysis commissioned by the British National Institute for Clinical Excellence (NICE) was published in 2003. It included 18 randomized controlled trials published through October 2001. These trials compared 2-D real-time or Doppler US with the landmark method for central venous access. The meta-analysis considered risk of failed placement, complications, failure on the first attempt, number of attempts to successful access, and time to successful access as outcome measures. These outcome measures were analyzed by type of vein studied (IJV, SV, and FV), by US method (2-D and Doppler), and by age category (adult and infant). This meta-analysis concluded that 2-D US guidance was more effective than the landmark method for all outcomes for IJV access in adults. The relative risks of failed attempts, complications, and failed first attempts were reduced by 86%, 57%, and 41%, respectively. Significantly fewer attempts were required for success, and the IJV was successfully accessed more quickly when using US. Limited evidence suggested that 2-D US guidance reduced the relative risk of failed access in the SV and FV.

The three studies of IJV access in infants included in the meta-analysis were limited by small sample size; however, the analysis suggested that 2-D US was more effective in these studies. Using US, the relative risk of failed placements and complications in infants was reduced by 85% and 73%, respectively. No studies of SV or FV access among infants were included in the meta-analysis. The investigators also undertook a cost-effectiveness analysis of 2-D US guidance based on the evidence from their systematic review of the literature. The analysis of a simple decision analytic model suggested that US guidance avoided 90 arterial punctures for every 1000 patients and reduced costs by a negligible amount (approximately $5) per patient. Given the evidence for its superior efficacy, the recent Agency for Healthcare Research and Quality mandate for improving patient safety, and the 2001 ACEP emergency US guidelines, US guidance for central venous access has been transformed from an interesting novelty to an important skill for emergency physicians to acquire.

General Technical Issues

There are several commonly accepted variations of US guidance: indirect, direct or real-time, free-hand, mechanical guide, and Doppler. Choosing among these approaches mostly depends on the location of the vessel to be cannulated and the specific characteristics of the operator, patient, and the equipment at hand. In addition, vessel visualization can be obtained in two different ways: in the long axis or the short axis. A solid understanding of these technical issues is necessary to successfully cannulate a vessel, regardless of the approach used or the location of the vessel.

Indirect Method

The indirect method employs the least amount of actual guidance. With this approach, US is used only to identify the vessel and then center it on the US screen ( Figure 69-2-1 ). Next, a temporary mark is placed on the skin that corresponds to the vessel's subcutaneous position. This mark is used for the puncture site after US identifies the target vessel's location, dimensions, and depth below the skin. The easiest way to accurately make this mark is to identify the point where the center of the transducer overlies the skin surface just above the center of the vessel ( Figures 69-2-2 and 69-2-3 ).

F igure 69-2-1, IJV and carotid artery viewed in their short axes.

F igure 69-2-2, Subcutaneous location of IJV is identified on the skin surface.

F igure 69-2-3, Subcutaneous location of IJV is marked on the skin surface.

There is no direct visualization of the needle as it enters the vessel, however. This technique has been used for localization and cannulation of larger structures but has been criticized for not taking full advantage of the potential of US for greater precision. Mansfield et al compared the indirect method of US guidance with the standard landmark approach for SV cannulation. This study was closed after an interim analysis of 824 patients showed that US guidance by the indirect method had no effect on the rate of complications or failures.

Real-Time Visualization

The alternative to the indirect method is to perform needle placement under direct, or real-time, US guidance so that the entire procedure is visualized continuously. With this technique, a sterile sheath whose tip is filled with transmission gel is unrolled over the transducer ( Figure 69-2-4 ). The transducer is then placed on the skin and the target vessel is identified and centered on the viewing screen. With the other hand, local anesthetic is injected at a point corresponding to the middle of the US transducer. After anesthesia is achieved, the cannulation needle is advanced through the skin.

F igure 69-2-4, Sterile barrier covering transducer and cable.

After the skin has been punctured, the operator can switch visual focus to the US monitor where the needle will appear sonographically as an echogenic line with a ring-down artifact ( Figure 69-2-5 ). Advancement of the needle is then guided by viewing its progression on the US monitor. When the operator visualizes the needle piercing the anterior wall of the vessel ( Figure 69-2-6 ) and after the subsequent flash of blood into the syringe, the transducer is placed aside and the remaining aspects of the procedure can be completed normally.

F igure 69-2-5, Advancing needle and ring-down artifact.

F igure 69-2-6, Needle visualized advancing through anterior (ant.) vessel wall.

Few studies have compared indirect and real-time US guidance methods for insertion of venous catheters. Nadig et al randomized 73 patients to an external landmark or a real-time US guidance of IJV cannulation. There were 87 unsuccessful attempts among 37 patients in whom cannulation was performed using the indirect method. In comparison, there were only 10 unsuccessful attempts among the 36 patients who underwent real-time US guidance.

Mechanical Guides

A mechanical guide is an attachment to the US transducer that controls the depth, angle, and trajectory of the needle during cannulation ( Figure 69-2-7 ). In addition to venous cannulation, mechanical guides are used for many other US-guided invasive procedures, including amniocentesis, follicle retrieval, cordocentesis, biopsies, and fluid aspiration. The approach uses an attachment to the transducer that provides a fixed trajectory for the needle. Advancement of the needle through the designated path ensures a predictable, uniform trajectory of the needle relative to the transducer. This stability may be particularly advantageous for inexperienced operators because it incorporates control of the transducer's placement with the needle's angle of entry.

F igure 69-2-7, Ultrasound transducer with needle inserted through a mechanical guide.

The use of mechanical guides has some notable disadvantages. It requires investing in an additional piece of equipment that makes large, linear transducers even bulkier. Mechanical guides restrict the angle of the needle and the skin entry point. This restriction prevents the operator from continuously redirecting the needle as may be needed in certain cases. Lastly, the fixed angle of entry may make some superficial structures difficult to access.

The largest study to evaluate needle-guided US was published by Denys et al. This nonrandomized study reported a 100% success rate for US guidance among 928 patients. In comparison, the success rate for the landmark approach was 88% among 302 patients. With needle-guided US, there also was a significant improvement in venous access time (9.8 versus 44.5 seconds), carotid puncture rate (1.7% versus 8.3%), brachial plexus irritation (0.4% versus 1.7%), hematoma development (0.2% versus 3.3%), and average number of attempts to success (1.3 versus 2.5).

Free-Hand Method

The alternative to using a needle-guide system is to perform the procedure using the free-hand technique. In this situation, the transducer and the advancing needle are positioned and stabilized with the operator's or an assistant's hands ( Figure 69-2-8 ). Continuous fine adjustments can be made in the needle's direction and in the transducer's view. Although it generally is considered to be a more technically demanding procedure, this approach offers more flexibility for the operator. In addition, if an assistant is available, he or she can hold the transducer on a site distant from the needle entry point, thereby removing it from the sterile field and potentially increasing the speed with which the target vein can be cannulated.

F igure 69-2-8, Free-hand technique.

You're Reading a Preview

Become a Clinical Tree membership for Full access and enjoy Unlimited articles

Become membership

If you are a member. Log in here