Tuberculosis (Mycobacterium tuberculosis)


Tuberculosis has caused human disease for more than 4,000 yr and is one of the most important infectious diseases worldwide.

Etiology

There are 5 closely related mycobacteria in the Mycobacterium tuberculosis complex: M. tuberculosis, M. bovis, M. africanum, M. microti, and M. canetti. M. tuberculosis is the most important cause of tuberculosis (TB) disease in humans. The tubercle bacilli are non–spore-forming, nonmotile, pleomorphic, weakly gram-positive curved rods 1-5 µm long, typically slender and slightly bent. They can appear beaded or clumped under microscopy. They are obligate aerobes that grow in synthetic media containing glycerol as the carbon source and ammonium salts as the nitrogen source (Löwenstein-Jensen culture media). These mycobacteria grow best at 37-41°C (98.6-105.8°F), produce niacin, and lack pigmentation. A lipid-rich cell wall accounts for resistance to the bactericidal actions of antibody and complement. A hallmark of all mycobacteria is acid fastness —the capacity to form stable mycolate complexes with arylmethane dyes (crystal violet, carbolfuchsin, auramine, and rhodamine). They resist decoloration with ethanol and hydrochloric or other acids.

Mycobacteria grow slowly, with a generation time of 12-24 hr. Isolation from clinical specimens on solid synthetic media usually takes 3-6 wk, and drug susceptibility testing requires an additional 2-4 wk. Growth can be detected in 1-3 wk in selective liquid medium using radiolabeled nutrients (e.g., BACTEC radiometric system), and drug susceptibilities can be determined in an additional 3-5 days. Once mycobacterial growth is detected, the species of mycobacteria present can be determined within hours using high-pressure liquid chromatography analysis (identifying the mycolic acid fingerprint of each species) or DNA probes. Restriction fragment length polymorphism profiling of mycobacteria is a helpful tool to study the epidemiology of tuberculosis strain relatedness in both outbreaks and routine epidemiology of tuberculosis in a community.

Clinical Stages

There are 3 major clinical stages of tuberculosis: exposure, infection, and disease. Exposure means a child has had significant contact (shared the air) with an adult or adolescent with infectious tuberculosis but lacks proof of infection. In this stage, the tuberculin skin test (TST) or interferon-γ release assay (IGRA) result is negative, the chest radiograph is normal, the physical examination is normal, and the child lacks signs or symptoms of disease. However, the child may be infected and develop TB disease rapidly, since there may not have been enough time for the TST or IGRA to turn positive. Tuberculosis infection (TBI) occurs when the individual inhales droplet nuclei containing M. tuberculosis, which survive intracellularly within the lung and associated lymphoid tissue. The hallmark of TBI is a positive TST or IGRA result. In this stage the child has no signs or symptoms, a normal physical examination, and the chest radiograph is either normal or reveals only granuloma or calcifications in the lung parenchyma. Disease occurs when signs or symptoms or radiographic manifestations caused by M. tuberculosis become apparent. Not all infected individuals have the same risk of developing disease. An immunocompetent adult with untreated TBI has approximately a 5–10% lifetime risk of developing disease. In contrast, an infected child <1 yr old has a 40% chance of developing TB disease within 9 mo.

Epidemiology

The World Health Organization (WHO) estimates that since 2015, tuberculosis has surpassed human immunodeficiency virus infection and acquired immunodeficiency syndrome (HIV/AIDS) as the leading cause of death from an infectious disease worldwide, and that almost one third of the world's population (2.5 billion people) is infected with M. tuberculosis. Approximately 95% of TB cases occur in the developing world . The highest numbers of cases are in Asia, Africa, and the eastern Mediterranean region. An estimated 10.4 million incident cases and 1.8 million TB-associated deaths occurred worldwide in 2015 ( Fig. 242.1 ). The WHO 2016 Global Tuberculosis Report estimates that in 2015 there were 1 million childhood incident cases, 170,000 TB-associated deaths among non–HIV-infected children, and 40,000 TB-associated deaths among HIV-infected children. The global burden of tuberculosis is influenced by several factors, including: the HIV pandemic; the development of multidrug-resistant (MDR) tuberculosis ; and the disproportionately low access of populations in low-resource settings worldwide to both diagnostic tests and effective medical therapy.

Fig. 242.1, Estimated 2015 tuberculosis (TB) incidence rates.

In the United States, TB case rates decreased steadily during the 1st half of the 20th century, long before the advent of antituberculosis drugs, as a result of improved living conditions and likely, genetic selection favoring persons resistant to developing disease. A resurgence of tuberculosis in the late 1980s was associated primarily with the HIV epidemic, transmission of the organism in congregate settings including healthcare institutions, disease occurring in recent immigrants, and poor conduct of community TB control. Since 1992, the number of reported TB cases decreased each year until 2015, when it increased by 1.6% from 2014, to 9,557cases ( Fig. 242.2 ). Despite the increase in the number of reported cases in 2015, TB incidence in the United States has remained stable at 3 cases per 100,000 persons. Of the cases in 2015, 439 (4.6%) occurred in children <15 yr old (rate: 1.5/100,000 population), 55% of whom were ≤5 yr old. Racial and ethnic minorities and foreign-born persons, including children in these groups, are disproportionately affected by tuberculosis in the United States. In 2015 the Centers for Disease Control and Prevention (CDC) reported that 87% of all TB cases were among ethnic minority populations. The TB case rate among Asian, non-Hispanic black, and Hispanic children was 27, 13, and 12 times as high, respectively, as among non-Hispanic white children ( Fig. 242.3 ). The TB rate among foreign-born persons in the United States was 13 times higher than among U.S.-born persons and accounted for 66% of all TB cases in 2015 ( Fig. 242.4 ). Foreign-born children accounted for 22% of the total number of childhood TB cases in 2015. Of U.S.-born children with tuberculosis, 66% have at least 1 foreign-born parent, and 75% of all pediatric patients have some international connection through a family member or previous travel or residence in a TB-endemic country.

Fig. 242.2, Reported tuberculosis cases in the United States for 1982–2015 (as of June 9, 2016).

Fig. 242.3, Reported pediatric tuberculosis (TB) cases in the United States by race/ethnicity for the years 1993-2015.

Fig. 242.4, Number of tuberculosis (TB) cases and rate, by national origin—United States, 2008–2017.

Most children are infected with M. tuberculosis in their home by someone close to them, but outbreaks of childhood tuberculosis also have occurred in elementary and high schools, nursery schools, daycare centers and homes, churches, school buses, and sports teams. HIV-infected adults with tuberculosis can transmit M. tuberculosis to children, and children with HIV infection are at increased risk for developing tuberculosis after infection. Specific groups are at high risk for acquiring TBI and progressing to tuberculosis ( Table 242.1 ).

Table 242.1
Groups at High Risk for Acquiring Tuberculosis Infection and Developing Disease in Countries With Low Incidence
RISK FACTORS FOR TUBERCULOSIS INFECTION

  • Children exposed to high-risk adults

  • Foreign-born persons from high-prevalence countries

  • Homeless persons

  • Persons who inject drugs

  • Present and former residents or employees of correctional institutions, homeless shelters, and nursing homes

  • Healthcare workers caring for high-risk patients (if infection control is not adequate)

RISK FACTORS FOR PROGRESSION OF TUBERCULOSIS INFECTION TO TUBERCULOSIS DISEASE

  • Infants and children ≤4 yr old, especially those <2 yr old

  • Adolescents and young adults

  • Persons co-infected with human immunodeficiency virus

  • Persons with skin test conversion in the past 1-2 yr

  • Persons who are immunocompromised, especially in cases of malignancy and solid-organ transplantation, immunosuppressive medical treatments including anti–tumor necrosis factor therapies, diabetes mellitus, chronic renal failure, silicosis, and malnutrition

RISK FACTORS FOR DRUG-RESISTANT TUBERCULOSIS

  • Personal or contact history of treatment for tuberculosis

  • Contacts of patients with drug-resistant tuberculosis

  • Birth or residence in a country with a high rate of drug resistance

  • Poor response to standard therapy

  • Positive sputum smears (acid-fast bacilli) or culture ≥2 mo after initiating appropriate therapy

The incidence of drug-resistant tuberculosis has increased dramatically throughout the world. MDR-TB is defined as resistance to at least isoniazid and rifampin; extensively drug-resistant tuberculosis includes MDR-TB plus resistance to any fluoroquinolone and at least 1 of 3 injectable drugs (kanamycin, capreomycin, amikacin). In 2015 the estimate for MDR-TB was 3.9% of incident cases, but rates as high as 32% have been reported in countries formerly part of the Soviet Union. In 2015 in the United States, a total of 89 patients with MDR-TB were reported, 70.8% of whom were foreign-born ( Fig. 242.5 ). The CDC reported that among children with culture-confirmed tuberculosis in the United States in 2014, 17.4% had resistance to at least 1 first-line drug, and 0.9% had MDR-TB.

Fig. 242.5, Primary isoniazid resistance in U.S.-born vs foreign-born persons in the United States, 1993–2015 (as of June 9, 2016). Based on initial isolates from persons with no prior history of tuberculosis.

Transmission

Transmission of M. tuberculosis is usually by inhalation of airborne mucus droplet nuclei, particles 1-5 µm in diameter that contain M. tuberculosis. Transmission rarely occurs by direct contact with an infected discharge or a contaminated fomite. The chance of transmission increases when the patient has a positive acid-fast smear of sputum, an extensive upper lobe infiltrate or cavity, copious production of thin sputum, and severe and forceful cough. Environmental factors such as poor air circulation enhance transmission. Most adults no longer transmit the organism within several days to 2 wk after beginning adequate chemotherapy, but some patients remain infectious for many weeks. Young children with tuberculosis rarely infect other children or adults. Tubercle bacilli are sparse in the endobronchial secretions of children with pulmonary tuberculosis, and cough is often absent or lacks the tussive force required to suspend infectious particles of the correct size. Children and adolescents with adult-type cavitary or endobronchial pulmonary tuberculosis can transmit the organism.

Airborne transmission of M. bovis and M. africanum also occurs. M. bovis can penetrate the gastrointestinal (GI) mucosa or invade the lymphatic tissue of the oropharynx when large numbers of the organism are ingested. Human infection with M. bovis is rare in developed countries as a result of the pasteurization of milk and effective TB control programs for cattle. Approximately 46% of culture-proven childhood TB cases from the San Diego, California, region since 1994 were caused by M. bovis, likely acquired by children when visiting Mexico or another country, or consuming dairy products from countries with suboptimal veterinary TB control programs.

Zoonotic transmission is an uncommon source of M. tuberculosis that has been reported in adults exposed to elephants and potentially cattle.

Pathogenesis

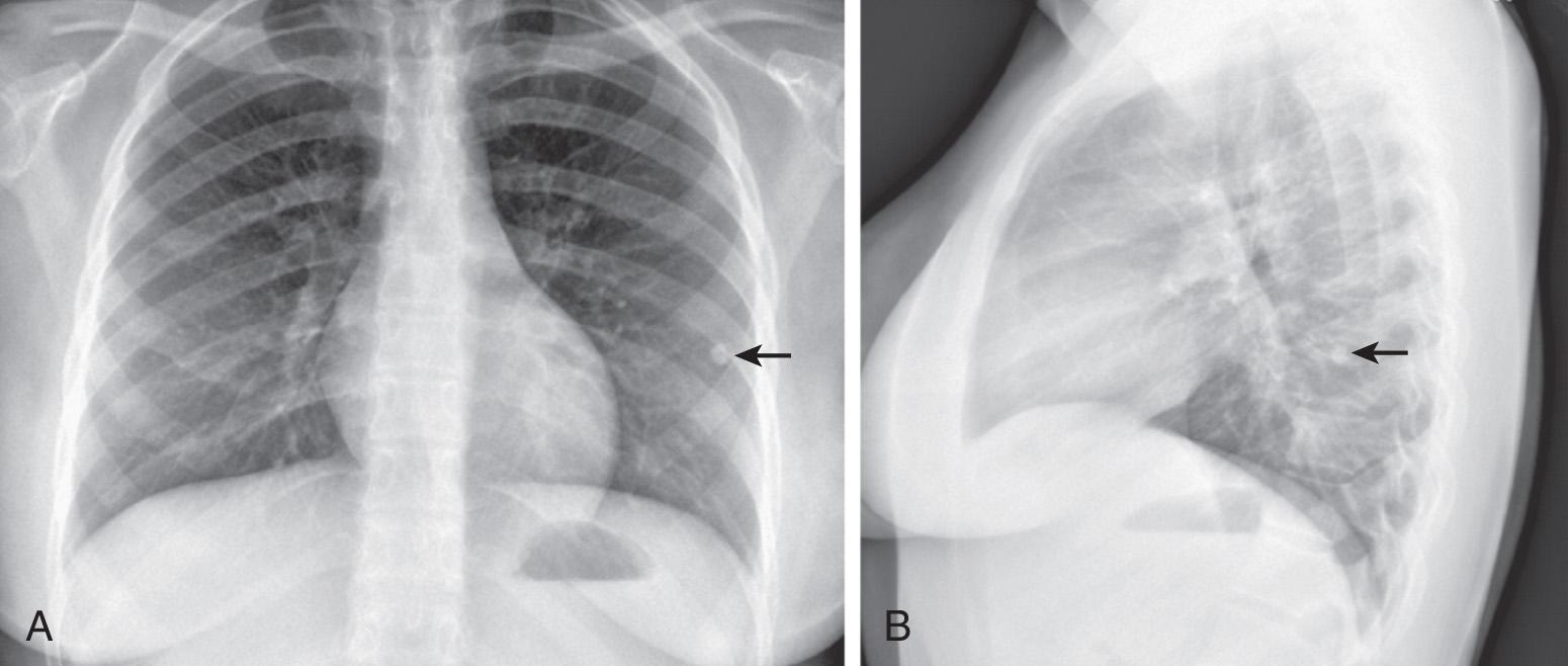
The primary complex (or Ghon complex) of tuberculosis includes local infection at the portal of entry and the regional lymph nodes that drain the area. The lung is the portal of entry in >98% of cases. The tubercle bacilli multiply initially within alveoli and alveolar ducts. Most of the bacilli are killed, but some survive within nonactivated macrophages, which carry them through lymphatic vessels to the regional lymph nodes. When the primary infection is in the lung, the hilar lymph nodes usually are involved, although an upper lobe focus can drain into paratracheal nodes. The tissue reaction in the lung parenchyma and lymph nodes intensifies over the next 2-12 wk as the organisms grow in number and tissue hypersensitivity develops. The parenchymal portion of the primary complex often heals completely by fibrosis or calcification after undergoing caseous necrosis and encapsulation ( Fig. 242.6 ). Occasionally, this portion continues to enlarge, resulting in focal pneumonitis and pleuritis. If caseation is intense, the center of the lesion liquefies and empties into the associated bronchus, leaving a residual cavity.

Fig. 242.6, Posteroanterior ( A ) and lateral ( B ) chest radiograph images of an adolescent showing a 7 mm calcified granuloma in the left lower lobe (arrows) .

The foci of infection in the regional lymph nodes develop some fibrosis and encapsulation, but healing is usually less complete than in the parenchymal lesion. Viable M. tuberculosis can persist for decades within these foci. In most cases of initial TBI, the lymph nodes remain normal in size. However, hilar and paratracheal lymph nodes that enlarge significantly as part of the host inflammatory reaction can encroach on a regional bronchus ( Figs. 242.7 and 242.8 ). Partial obstruction of the bronchus caused by external compression can cause hyperinflation in the distal lung segment. Complete obstruction results in atelectasis. Inflamed caseous nodes can attach to the bronchial wall and erode through it, causing endobronchial tuberculosis or a fistula tract. The caseum causes complete obstruction of the bronchus. The resulting lesion is a combination of pneumonitis and atelectasis and has been called a collapse-consolidation lesion or segmental lesion ( Fig. 242.9 ).

Fig. 242.7, A 14 yr old child with proven primary tuberculosis.

Fig. 242.8, An 8 yr old child with a history of cough.

Fig. 242.9, Right-sided hilar lymphadenopathy and collapse-consolidation lesions of primary tuberculosis in a 4 yr old child.

During the development of the primary complex, tubercle bacilli are carried to most tissues of the body through the blood and lymphatic vessels. Although seeding of the organs of the reticuloendothelial system is common, bacterial replication is more likely to occur in organs with conditions that favor their growth, such as the lung apices, brain, kidneys, and bones. Disseminated tuberculosis occurs if the number of circulating bacilli is large and the host's cellular immune response is inadequate. More often, the number of bacilli is small, leading to clinically inapparent metastatic foci in many organs. These remote foci usually become encapsulated, but they may be the origin of both extrapulmonary tuberculosis and reactivation pulmonary tuberculosis .

The time between initial infection and clinically apparent TB disease is variable. Disseminated and meningeal tuberculosis are early manifestations, often occurring within 2-6 mo of acquisition. Significant lymph node or endobronchial tuberculosis usually appears within 3-9 mo. Lesions of the bones and joints take several years to develop, whereas renal lesions become evident decades after infection. Extrapulmonary manifestations are more common in children than adults and develop in 25–35% of children with tuberculosis, vs approximately 10% of immunocompetent adults.

Pulmonary tuberculosis that occurs >1 yr after the primary infection is usually caused by endogenous regrowth of bacilli persisting in partially encapsulated lesions. This reactivation tuberculosis is rare in children but is common among adolescents and young adults. The most common form is an infiltrate or cavity in the apex of the upper lobes, where oxygen tension and blood flow are highest.

The risk for dissemination of M. tuberculosis is very high in HIV-infected persons. Reinfection also can occur in persons with advanced HIV or AIDS. In immunocompetent persons the response to the initial infection with M. tuberculosis usually provides protection against reinfection when a new exposure occurs. However, exogenous reinfection has been reported to occur in adults and children without immune compromise in highly endemic areas.

Immunity

Conditions that adversely affect cell-mediated immunity predispose to progression from TBI to disease. Rare specific genetic defects associated with deficient cell-mediated immunity in response to mycobacteria include interleukin (IL)-12 receptor B1 deficiency and complete and partial interferon (IFN)-γ receptor 1 chain deficiencies. TBI is associated with a humoral antibody response, which plays little known role in host defense. Shortly after infection, tubercle bacilli replicate in both free alveolar spaces and inactivated alveolar macrophages. Sulfatides in the mycobacterial cell wall inhibit fusion of the macrophage phagosome and lysosomes, allowing the organisms to escape destruction by intracellular enzymes. Cell-mediated immunity develops 2-12 wk after infection, along with tissue hypersensitivity ( Fig. 242.10 ). After bacilli enter macrophages, lymphocytes that recognize mycobacterial antigens proliferate and secrete lymphokines and other mediators that attract other lymphocytes and macrophages to the area. Certain lymphokines activate macrophages, causing them to develop high concentrations of lytic enzymes that enhance their mycobactericidal capacity. A discrete subset of regulator helper and suppressor lymphocytes modulates the immune response. Development of specific cellular immunity prevents progression of the initial infection in most persons.

Fig. 242.10, Overview of the immune response in tuberculosis.

The pathologic events in the initial TBI seem to depend on the balance among the mycobacterial antigen load; cell-mediated immunity, which enhances intracellular killing; and tissue hypersensitivity, which promotes extracellular killing. When the antigen load is small and the degree of tissue sensitivity is high, granuloma formation results from the organization of lymphocytes, macrophages, and fibroblasts. When both antigen load and degree of sensitivity are high, granuloma formation is less organized. Tissue necrosis is incomplete, resulting in formation of caseous material. When the degree of tissue sensitivity is low, as often occurs in infants or immunocompromised persons, the reaction is diffuse and the infection is not well contained, leading to dissemination and local tissue destruction. Tumor necrosis factor (TNF) and other cytokines released by specific lymphocytes promote cellular destruction and tissue damage in susceptible persons.

Clinical Manifestations

Primary Pulmonary Disease

The primary complex includes the parenchymal pulmonary focus and the regional lymph nodes. Approximately 70% of lung foci are subpleural, and localized pleurisy is common. The initial parenchymal inflammation usually is not visible on chest radiograph, but a localized, nonspecific infiltrate may be seen before the development of tissue hypersensitivity. All lobar segments of the lung are at equal risk for initial infection. Two or more primary foci are present in 25% of cases. The hallmark of primary tuberculosis in the lung is the relatively large size of the regional lymphadenitis compared with the relatively small size of the initial lung focus (see Figs. 242.7 and 242.8 ). As delayed-type hypersensitivity develops, the hilar lymph nodes continue to enlarge in some children, especially infants, compressing the regional bronchus and causing obstruction. The usual sequence is hilar lymphadenopathy, focal hyperinflation, and then atelectasis. The resulting radiographic shadows have been called collapse-consolidation or segmental tuberculosis (see Fig. 242.9 ). Rarely, inflamed caseous nodes attach to the endobronchial wall and erode through it, causing endobronchial tuberculosis or a fistula tract. The caseum causes complete obstruction of the bronchus, resulting in extensive infiltrate and collapse. Enlargement of the subcarinal lymph nodes can cause compression of the esophagus and rarely a bronchoesophageal fistula.

Most cases of tuberculous bronchial obstruction in children resolve fully with appropriate treatment. Occasionally, there is residual calcification of the primary focus or regional lymph nodes. The appearance of calcification implies that the lesion has been present for at least 6-12 mo. Healing of the segment can be complicated by scarring or contraction associated with cylindrical bronchiectasis, but this is rare.

Children can have lobar pneumonia without impressive hilar lymphadenopathy. If the primary infection is progressively destructive, liquefaction of the lung parenchyma can lead to formation of a thin-walled primary TB cavity. Rarely, bullous tuberculous lesions occur in the lungs and lead to pneumothorax if they rupture. Erosion of a parenchymal focus of tuberculosis into a blood or lymphatic vessel can result in dissemination of the bacilli and a miliary pattern, with small nodules evenly distributed on the chest radiograph ( Fig. 242.11 ).

Fig. 242.11, Posteroanterior (A) and lateral (B) chest radiographs of an infant with miliary tuberculosis. The child's mother had failed to complete treatment for pulmonary tuberculosis twice within 3 yr of this child's birth.

The symptoms and physical signs of primary pulmonary tuberculosis in children are surprisingly meager considering the degree of radiographic changes often present. When active case finding is performed, up to 50% of infants and children with radiographically moderate to severe pulmonary tuberculosis have no physical findings. Infants are more likely to experience signs and symptoms. Nonproductive cough and mild dyspnea are the most common symptoms. Systemic complaints such as fever, night sweats, anorexia, and decreased activity occur less often. Some infants have difficulty gaining weight or develop a true failure-to-thrive syndrome that often does not improve significantly until several months of effective treatment have been taken. Pulmonary signs are even less common. Some infants and young children with bronchial obstruction have localized wheezing or decreased breath sounds that may be accompanied by tachypnea or, rarely, respiratory distress. These pulmonary symptoms and signs are occasionally alleviated by antibiotics, suggesting bacterial superinfection.

Progressive Primary Pulmonary Disease

A rare but serious complication of tuberculosis in a child occurs when the primary focus enlarges steadily and develops a large caseous center. Liquefaction can cause formation of a primary cavity associated with large numbers of tubercle bacilli. The enlarging focus can slough necrotic debris into the adjacent bronchus, leading to further intrapulmonary dissemination. Significant signs or symptoms are common in locally progressive disease in children. High fever, severe cough with sputum production, weight loss, and night sweats are common. Physical signs include diminished breath sounds, rales, and dullness or egophony over the cavity. The prognosis for full recovery is excellent with appropriate therapy.

Reactivation Tuberculosis

Pulmonary tuberculosis in adults usually represents endogenous reactivation of a site of TBI established previously in the body. This form of tuberculosis is rare in childhood but can occur in adolescence. Children with a healed TBI acquired when they were <2 yr old rarely develop chronic reactivation pulmonary disease, which is more common in those who acquire the initial infection when they are >7 yr old. The most common pulmonary sites are the original parenchymal focus, lymph nodes, or the apical seedings ( Simon foci ) established during the hematogenous phase of the early infection. This form of TB disease usually remains localized in the lungs, because the established immune response prevents further extrapulmonary spread. The most common radiographic findings are extensive infiltrates and thick-walled cavities in the upper lobes.

Older children and adolescents with reactivation tuberculosis are more likely to experience fever, anorexia, malaise, weight loss, night sweats, productive cough, hemoptysis, and chest pain than children with primary pulmonary tuberculosis. However, physical examination findings usually are minor or absent, even when cavities or large infiltrates are present. Most signs and symptoms improve within several weeks of starting effective treatment, although the cough can last for several months. This form of tuberculosis may be highly contagious if there is significant sputum production and cough. The prognosis for full recovery is excellent with appropriate therapy.

Pleural Effusion

Tuberculous pleural effusions, which can be local or general, originate in the discharge of bacilli into the pleural space from a subpleural pulmonary focus or caseated lymph node. Asymptomatic local pleural effusion is so common in primary tuberculosis that it is considered as part of the primary complex. Larger and clinically significant effusions occur months to years after the primary infection. Tuberculous pleural effusion is uncommon in children <6 yr old and rare in children <2 yr old. Effusions are usually unilateral but can be bilateral. They are rarely associated with a segmental pulmonary lesion and are uncommon in disseminated tuberculosis. Often the radiographic abnormality is more extensive than would be suggested by physical findings or symptoms ( Fig. 242.12 ).

Fig. 242.12, Pleural tuberculosis in 16 yr old girl.

Clinical onset of tuberculous pleurisy is often sudden, characterized by low to high fever, shortness of breath, chest pain on deep inspiration, and diminished breath sounds. The fever and other symptoms can last for several weeks after the start of antituberculosis chemotherapy. The TST is positive in only 70–80% of cases. The prognosis is excellent, but radiographic resolution often takes months. Scoliosis is a rare complication from a long-standing effusion.

Examination of pleural fluid and the pleural membrane is important to establish the diagnosis of tuberculous pleurisy . The pleural fluid is usually yellow and only occasionally tinged with blood. The specific gravity is usually 1.012-1.025, the protein level is usually 2-4 g/dL, and the glucose concentration may be low, although it is usually in the low-normal range (20-40 mg/dL). Typically there are several hundred to several thousand white blood cells per microliter (WBCs/µL), with an early predominance of polymorphonuclear leukocytes (PMNs) followed by a high percentage of lymphocytes. Acid-fast smears of the pleural fluid are rarely positive. Cultures of the fluid are positive in <30% of cases. Measurement of adenosine deaminase (ADA) levels may enhance the diagnosis of pleural tuberculosis. Biopsy of the pleural membrane is more likely to yield a positive acid-fast stain or culture, and granuloma formation can be demonstrated.

Pericardial Disease

The most common form of cardiac tuberculosis is pericarditis . It is rare, occurring in 0.5–4% of TB cases in children. Pericarditis usually arises from direct invasion or lymphatic drainage from subcarinal lymph nodes. The presenting symptoms are nonspecific, including low-grade fever, malaise, and weight loss. Chest pain is unusual in children. A pericardial friction rub or distant heart sounds with pulsus paradoxus may be present. The pericardial fluid is typically serofibrinous or hemorrhagic. Acid-fast smear of the fluid rarely reveals the organism, but cultures are positive in 30–70% of cases. ADA levels are elevated in TB pericarditis. The culture yield from pericardial biopsy may be higher, and the presence of granulomas often suggests the diagnosis. Partial or complete pericardiectomy may be required when constrictive pericarditis develops.

You're Reading a Preview

Become a Clinical Tree membership for Full access and enjoy Unlimited articles

Become membership

If you are a member. Log in here