Technical Problems: Biliary


Complications involving the biliary tract after orthotopic liver transplantation (OLT) have been a common problem since the beginning. Because of the limited number of donation after brain death (DBD) donors, alternative techniques and approaches such as living donor liver transplantation (LDLT) and split-liver transplantation have been developed, each of them being associated with new challenges with regard to biliary complications (BCs). In addition, the evolution of allocation rules toward urgency-based algorithms and the growing number of organs from donation after cardiac death (DCD) donors also have influenced the epidemiology of BCs.

Notably, the use of DCD donors has been associated with a significant rise in the incidence of ischemic-type biliary lesions (ITBLs). Despite great improvements in surgical technique, immunosuppression, organ preservation, and perioperative management, BCs are a significant source of posttransplant morbidity and mortality potentially influencing graft and patient survivals. BCs often require long-term and repeated therapies, which include the whole spectrum of percutaneous, endoscopic, and surgical procedures and eventually retransplantation.

The most common BCs are biliary leaks (BLs) and strictures (BSs). However, there is a wide range of potential BCs that can occur after liver transplantation ( Table 76-1 ). Their incidence varies according to the type of graft, type of donor (DBD versus DCD versus living donor), and the type of biliary anastomosis performed. According to the time of onset after OLT, BCs may be divided into early and late complications. Approximately two thirds of all BCs occur as early complications within the first 3 months after OLT and are a significant source of morbidity and mortality.

TABLE 76-1
Specific Biliary Complications
Biliary leakage
Anastomotic leakage
Bile duct anastomosis
Bilioenteric anastomosis
Extra-anastomotic leakage
T-tube related
Bile duct necrosis
Cystic duct leakage
Cut surface of reduced grafts
Bile collection/biliary abscess
Biliary obstruction
Extrahepatic obstruction
Anastomotic stricture
Extra-anastomotic stricture
Intrahepatic stricture
Papillary dyskinesia
Cholangitis
Sludge, stones, and casts
Mucocele
Biliary complications related to bilioenteric anastomosis
Anastomotic leakage
Intestinal perforation
Gastrointestinal bleeding
Cholangitis
Blind loop syndrome
Calcineurin inhibitor malabsorption
Biliary complications related to percutaneous biopsy
Bilioportal or biliovenous fistula
Arteriobiliary fistula

Hence early diagnosis and adequate treatment of BCs are pivotal to reducing BC-related morbidity and mortality and ensuring graft and patient survival after OLT.

The diagnosis and management of BCs have changed fundamentally since the early days of liver transplantation. Treatment modalities have changed toward a primarily nonoperative, endoscopy-based strategy, leaving the surgical intervention for lesions that otherwise are not curable.

Epidemiology

BC rates were reported to be as high as 50% in early publications . During the last decades a constant decrease has been documented. Currently a range from 5% to 25% is reported.

A recent systematic review conducted by Akamatsu et al included 61 retrospective or prospective studies comprising a total of 14,359 liver transplantations. The overall incidence of BS was 13%, 12% among deceased donor liver transplantation (DDLT) patients and 19% among LDLT recipients. The overall incidence of biliary leakage was 8.2%, 7.8% in the DDLT group and 9.5% in LDLT recipients.

Sixty-six percent of BCs have been documented to occur in the first 3 months after OLT. However, particularly BS may occur up to several years after transplantation. As shown in Table 76-1 , there is a great variety of potential complications; however, BS and anastomotic leaks are the most common complications. BSs may be at the site of the anastomosis (AS) or nonanastomotic (NAS). The majority of BS (80%) are located at the anastomosis and occur in 9% to 12% of patients after DDLT. It was shown that the cumulative AS risk increases with time, being 6.6% at 1 year post OLT,10.6% at 5 years, and 12.3% at 10 years, respectively. The currently published rates of BLs, which comprise anastomotic leaks and T-tube–related leaks, range from 5% to 10%. Biliary filling defects (i.e., casts and stones) appear in approximately 5% of cases. Because DCD is a growing source of liver grafts in some countries due to a growing organ shortage, the epidemiology of BCs may alter profoundly. DCD may be performed under controlled (Maastricht categories 3 and 4) or uncontrolled conditions (categories 1 and 2). There is growing evidence that DCD is associated with distinctly higher rates of vascular complications and BCs, especially NAS, which even lead to decreased survival rates. One center analysis demonstrated BS rates as high as 37% at 3 years compared with 12% using grafts from DBD donors ( P < .0001). Several other studies confirmed higher NAS rates and lower survival rates as compared to matched DDLTs after DBD. This may even be aggravated with uncontrolled DCD. However, use of normothermic extracorporeal membrane oxygenation by two Spanish groups has dramatically improved outcomes after uncontrolled DCD transplantation.

The two most common forms of biliary reconstruction are choledochocholedochostomy (CC; duct-to-duct reconstruction) and choledochojejunostomy (CJ), usually with a Roux-en-Y loop. There is no consensus on the optimal biliary reconstruction, and considerable variability exists between transplant centers. Apart from the personal preference of the surgeon, the choice is influenced by multiple factors, such as the underlying liver disease, the size of donor and recipient bile ducts, and prior transplant or other biliary surgery. More than three quarters of DDLTs in adults are performed as CC, with only one tenth of pediatric cases. CC is preferred because it is technically easier to perform and incorporates the well-vascularized recipient common bile duct. It preserves the sphincter of Oddi, which serves as a natural barrier to reflux of enteric contents into the biliary tree, thus theoretically decreasing the risk for ascending cholangitis. It may be performed end-to-end or side-to-side and either with or without a T tube. According to current data, T-tube placement is applied in approximately 18% of duct-to-duct reconstructions. The incidence of BSs in a recent review was 10% with a T tube and 13% without a T tube, and the incidence of leakage was 5% with a T tube and 6% without a T tube.

End-to-end CC is the preferred procedure for biliary reconstruction at the majority of centers. However, a recent prospective, randomized trial of end-to-end versus side-to side CC revealed no significant difference in BCs. Some centers prefer the routine use of a T tube because it partially bridges the biliary anastomosis and allows for early postoperative assessment of bile quality and cholangiographic anatomy. Moreover, it may reduce the incidence of anastomotic stricture formation. Internal stents have been used in some patients but were reported to be associated with a high rate of serious complications, including obstruction, migration, and erosion with hemobilia. CC without the use of a T tube has been advocated by several groups to avoid postoperative BLs related to removal of the T tube. The current tendency to abandon T tubes in DDLT originates from two systematic reviews and metaanalyses that basically shared the same source of data. Both reported superior results for BS with use of a T tube, but no differences in terms of BL or overall BCs. However, several single-center prospective trials showed data favoring T-tube application. In a prospective, randomized trial, Weiss et al compared side-to side CC with T tube and without T tube and noted significant differences in BC incidence favoring the use of a T tube ( P < .0005). No complications were observed in this study after T-tube removal. Lopez-Andujar et al also analyzed the severeness of complications prospectively. The authors reported a significantly lower incidence of AS using a T tube, whereas the overall BC rate was similar. However, there were less severe complications in the T-tube group: 67% of complications in the T-tube group were grade 1 or 2 of the Clavien classification, whereas 95% of complications in the group without a T tube were grade 3a or 3b ( P < .0001). In conclusion, the latter data may challenge the current of opinion of abandoning T tubes in DDLT.

CJ is usually indicated for patients with diseased extrahepatic bile ducts (primary sclerosing cholangitis, cholangiocarcinoma, biliary atresia); prior biliary surgery; size disparities between donor and recipient ducts; reduced-size, split, and living donor grafts ( Fig. 76-1 ); retransplantation; or when the blood supply to the distal donor bile duct is suboptimal. CJ is the most common anastomosis used in pediatric liver transplant patients because of the small size or absence of bile ducts in this patient population. Problems and potential complications unique to Roux-en-Y CJ include increased surgical time, stricture or leakage of the CJ, bleeding at the jejunojejunostomy, bowel ischemia, Roux limb torsion, intestinal perforation, delayed mixing of bile with intestinal contents, altered cyclosporine absorption, and cholangitis induced by reflux of intestinal pathogens. In addition, creation of CJ restricts endoscopic evaluation of the biliary system, occasionally requiring percutaneous transhepatic cholangiography (PTC). Because magnetic resonance cholangiography (MRC) has emerged as a sensitive, noninvasive diagnostic tool, CJ-related diagnostic problems are likely to decrease.

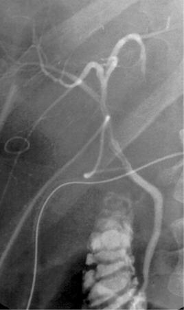
FIGURE 76-1, Complex biliary reconstruction using a combination of duct-to-duct and bilioenteric anastomosis in a patient who received a right hepatic lobe from a living donor. A, Duct-to-duct reconstruction of two orifices of the right lobe graft with the ductus choledochus of the recipient. The image was performed on the fifth postoperative day depicting a regular biliary anastomosis. B, In a second step, contrast medium was given via the transintestinal internal drainage stenting a bilioenteric anastomosis established for draining a separate orifice. The residual contrast medium applied via the T tube is still visible in the background.

The epidemiology and spectrum of BCs have also changed over the past decade because of the establishment of split-liver transplantation and reduced-size liver transplantation. The incidence of BCs in reduced-size liver transplantation was reported to be as high as 24%, however, with approximately 50% of complications related to cut-surface leakages. The initial experience with ex situ split-liver transplantation for infants and children resulted in an average biliary complication rate of 24% to 27%. Meanwhile, complication rates for ex situ split OLTs have been markedly reduced. In situ split OLT was reported to result in lower complication rates of the biliary system of about 0% to 15%, reflecting the better anatomical orientation during the in situ splitting process. In pediatric recipients a biliary complication rate of 8.7% to 15% was reported. A further modification has been seen with the advances in adult-to-adult LDLT. The incidence of BLs and BSs was reported to be as high as 30% in the early phase and may be attributed to initial difficulties in defining the dissection plane around the right hepatic duct and complex reconstructions including several orifices ( Fig. 76-2 ; see Fig. 76-1 ). A similar development has taken place in pediatric LDLT.

FIGURE 76-2, Radiopaque contrast via T tube showing regular biliary anatomy after transplantation of a deceased donor full-size graft.

According to a recent survey of liver transplantation from living adult donors in the United States, the overall biliary complication rate was approximately 22%. Although the growing experience may result in improvement of complication rates over time, the recent review by Akamatsu et al reported even higher complication rates, with the BS rate being 19% and the BL rate being 9% after LDLT.

Pathophysiology and Risk Factors

A variety of factors have been identified as contributing to BCs. Several analyses compared risk factors for BC after deceased donor OLT before and after the Model for End-Stage Liver Disease (MELD) era. Duct-to-duct anastomosis (odds ratio [OR], 2.22), occurrence of a previous bile leak (OR, 2.24), donor age (OR, 1.01), and transplantation in the post-MELD era (OR, 2.30) were identified through a multivariate logistic regression analysis as factors associated with an increased rate of AS. The latter seemed to be associated with a higher number of DCD grafts. The only significant determinant for the development of a BL was the use of a T tube (OR, 3.38) in this study.

In an analysis by Welling et al, which excluded DCD grafts and patients with NAS, transcystic tubes (OR, 0.30) and organ preservation with histidine-tryptophan-ketoglutarate (HTK) solution (OR, 0.40) were revealed to be protective against BSs. A previous bile leak, however, was the only significant factor associated with an AS (OR, 3.63).

Although the exact mechanisms of bile duct injury unrelated to technical reasons sometimes remain elusive, the damage is believed to result from several contributing factors, including ischemic and immunological injury, preservation injury due to prolonged ischemia, and infection. A recent systematic review detected no significant differences in BCs between the use of HTK solution and University of Wisconsin (UW) solution. The same was found for UW versus Celsior solution.

Busquets et al reported the usefulness of postreperfusion biopsies in predicting bile duct complications. They correlated the extent of neutrophilic infiltrates indicative of preservation injury with BCs. Several other associated conditions were identified, including ABO incompatibility, cytomegalovirus (CMV) infection, age crossmatch, chronic ductopenic rejection, and also patients with a pretransplantation diagnosis of primary sclerosing cholangitis. The role of CMV infection has been particularly discussed. A higher BC rate was demonstrated among recipients with CMV antigenemia. Interestingly, 75% of patients with BC showed prior or concomitant CMV antigenemia, and in two patients CMV positivity in bile duct cells was proven after surgical reconstruction. Graft steatosis over 25% has also been associated with BCs.

Both the bile duct and the vascular endothelium were shown to be vulnerable to the damaging effects of humoral and cellular immune mechanisms. Both mechanisms can result in bile duct cell death and stricturing, either directly or because of a compromised vascular supply, and ultimately lead to ischemic cholangitis.

Patients with acute hepatic artery thrombosis and stenosis after transplant are at risk for ischemic AS and NAS unless the vascular flow is immediately reconstituted or adequate collateral blood flow exists. However, most BCs occur in the absence of arterial complications. In addition, low-flow phenomena in the hepatic artery unrelated to the anastomosis may occur in the case of a preexisting splenic artery steal syndrome or stenosis of the celiac trunk. Both phenomena should be subject to examination during the evaluation process of a potential recipient. Splenic artery steal syndrome may be treated sufficiently by interventional radiological methods reducing blood flow through the splenic artery and thus ameliorating portal hyperperfusion. Intermittent celiac trunk stenosis may be caused by the arcuate ligament impairing patency of the trunk during inspiration; a persistent stenosis may be congenital or related to arteriosclerosis. In the latter case an arterial jump graft is advised, and intermittent stenosis can be avoided by incision of the arcuate ligament. Further technical reasons may be related to the delicate vascular supply of the bile duct. Specifically, excess dissection of periductal tissue during organ procurement, which impairs the vascular supply of the donor’s bile duct, and the use of electrocautery for biliary duct bleeding control in both donor and recipient may contribute. In addition, excess tension on the ductal anastomosis and active bleeding from the cut ends of the bile duct before anastomosis were identified as risk factors for BCs.

The phenomenon of ITBLs was subject to several studies. Heidenhain et al identified donor age ( P = .028) and cold ischemic time ( P = .002) as significant risk factors for the development of ITBL. UW solution accounted for higher ITBL rates than HTK solution ( P = .036). The same applied to organs harvested externally versus those procured locally ( P < .001). Pressure perfusion via the hepatic artery significantly reduced the risk for ITBL ( P = .001), which was initially reported by Moench et al. The only further recipient factor that showed a significant influence was Child-Turcotte-Pugh score status C ( P = .021) in the pre-MELD era. Immunological factors were stated to have no significant impact on ITBL.

In contrast, Iacob et al demonstrated that specific chemokine receptor polymorphisms of the recipient are associated with development of post-OLT BSs, and altered cytokine profiles may contribute to enhanced fibrotic tissue remodeling and BS formation. In a univariate analysis, older donor and recipient age, partial OLT, high peak aspartate aminotransaminase levels, and CC chemokine receptor 5 delta32 loss-of-function mutation (CCR5Δ32) were associated with ITBL, whereas OLT for acute liver failure, ABO-compatible nonidentical OLT, presence of donor-specific anti-human leucocyte antigen (HLA) class II antibodies, and fractalkine receptor (CX3CR1)-249II allele were associated with AS. In the multivariate analysis, CCR5Δ32 was an independent risk factor for ITBL, whereas OLT for acute liver failure, ABO-compatible nonidentical OLT, and CX3CR1-249II allele remained predictive for AS. Serum levels of interferon-γ, interleukin-6, and interleukin-10 were significantly increased in patients with BSs. The authors advocated screening for anti-HLA antibodies as potentially useful for early identification of at-risk patients who could benefit from closer surveillance and tailored immunosuppressive regimens. Of note, other studies did not find an association between CCR-5Δ32 mutation and the development of ITBL.

Clinical Presentation

Patients with BCs may present with a variety of complaints. Complaints such as right upper quadrant abdominal pain, anorexia, abdominal distention, singultus, paralytic ileus, and right shoulder pain are typically associated with biliary tract disorders but are not specific or could be absent. Pain, a leading concern, can be totally absent in liver transplant patients due to hepatic denervation. Fever may accompany biliary leakage or cholangitis but is usually indicative for infections of various kinds. Jaundice, acholic stools, no bile drainage through the T tube, bilious ascites, or respiratory complaints caused by pleural effusion or elevation of the right diaphragm are usually late symptoms and signs. In all of these cases, a comprehensive examination is indicated. However, patients with BCs may remain asymptomatic for an extended period of time because abdominal symptoms may be masked by corticosteroid use. Bile leaks should also be considered in asymptomatic patients with unexplained elevations in serum bilirubin level, unexplained fluctuations in cyclosporine levels, bilious ascites, or intraperitoneal fluid collections on imaging studies.

Diagnostic Workup

Serum Chemical Markers

The first clue of a posttransplantation biliary complication may be an asymptomatic rise in liver enzyme levels. γ-Glutamyl-transferase level was assessed to be the most effective indicator of BCs in the early period after OLT (first 30 days). Total bilirubin level elevation was most sensitive between days 30 and 90 post transplant. The extent of early aspartate aminotransferase elevation as a marker for ischemia/reperfusion injury was found to correlate independently with graft and patient survival, but not with BCs, chronic rejection, and long-term graft quality.

Graft Biopsy

In many cases a liver biopsy will be performed before cholangiography to exclude rejection and ischemia and other causes of elevated liver enzyme levels. However, despite the description of distinct histological findings of extrahepatic cholestasis resulting from extrahepatic obstruction, the liver biopsy can miss an extrahepatic obstruction by misinterpreting portal inflammation as rejection, thus confusing the primary diagnosis and leading to the misdiagnosis of rejection. Campbell et al found that cholangitis was the only biopsy feature significantly associated with a documented stricture.

Imaging

The subsequently shown diagnostic workup has been reviewed repeatedly in an attempt to reach the most accurate strategy. Different imaging modalities can be used to optimize the diagnostic follow-up after OLT. The first step in posttransplantation surveillance is ultrasonography (US) and Doppler examination. If US shows a parenchymal abnormality, the next examination would be a computed tomography (CT) scan or a magnetic resonance imaging (MRI) scan in case of contraindications to iodinated contrast medium. In case a biliary abnormality is seen at US, patients can be imaged with MRI and magnetic resonance cholangiopancreatography (MRCP).

Abdominal Ultrasonography

Transabdominal ultrasonography (TAUS), as a noninvasive mean of evaluating complications in transplant patients, is often the first step. However, there is a common belief that TAUS cannot be considered reliable for the early detection of BCs, because it lacks sufficient sensitivity to detect small but clinically important obstructions, generalized ductal changes, and leaks. Zemel et al observed that sonograms were abnormal in only 22 of 41 patients (54%) with cholangiographically defined abnormalities. In contrast, Hussaini et al reported an overall sensitivity of 77% and a specificity of 67%, with positive and negative predictive values of 26% and 95%, respectively, when adjusted to an endoscopically assessed complication rate of 12.8% in the given patient population. Because of the variability of experience with TAUS, a cautious approach seems advisable, suggesting that the absence of bile duct dilatation on sonography should not preclude further evaluation in clinically suspicious cases. In addition, the use of TAUS with simultaneous Doppler evaluation of hepatic artery patency is of paramount importance for the exclusion of hepatic artery stenosis. Hepatic angiography may be indicated if Doppler signals suggest hepatic vascular obstruction, but evidence of biliary ischemia based on other data can be an indication for angiography regardless of the ultrasound findings.

Cholangiography

A more definitive assessment of BCs can be made by means of direct cholangiography via T tube, PTC, and ERC, which can also be used as an access for therapeutic purposes. Cholangiography via T tube or endoscopic retrograde cholangiography (ERC) is, if pertinent and possible, the gold standard and considered to be the most effective and accurate method for identifying early posttransplant BCs. A routine cholangiography is conducted before clamping the T tube and after about 6 weeks to 3 months, before T-tube removal. In this way BLs, T-tube migration, rarefication of the intrahepatic biliary tree, edema of the anastomotic site or early strictures, and papillary dysfunction can be detected. Commonly a transient increase in the levels of liver enzymes 1 to 2 days following T-tube clamping will occur.

If there is no T tube in situ, MRCP is the optimal noninvasive imaging study, because it permits evaluation of the biliary tree without the complications associated with invasive PTC or ERC. US has a lower sensitivity (54%) for detecting biliary complications.

However, in the absence of a T tube, direct visualization of the biliary system is possible only when invasive procedures such as PTC and ERC are used, which are themselves associated with complications in 3.4% of PTC and 7% of ERC procedures. In patients with bilioenteric anastomoses, PTC is generally required for minimal invasive therapeutic intervention.

Routine use of ERC in asymptomatic patients after OLT with abnormal liver enzyme levels was not found to be useful. Conversely, liver biopsy results were usually abnormal in this subset of patients and should therefore be the initial invasive procedure. Sensitivity, specificity, and positive and negative predictive values for successful ERC in detecting early biliary complications in patients with unsplinted CC were reported to be 80%, 98%, 89%, and 97%, respectively, whereas those for predicting the overall rate of biliary complications were 53%, 98%, 89%, and 89%, respectively. Although highly specific and moderately sensitive in detecting early biliary complications, ERC performed routinely has been shown to have low sensitivity in predicting the overall risk for biliary complications.

Computed Tomography

CT is the method of choice for detecting and assessing intra-abdominal fluid collections such as biloma and enables simultaneous investigation of the vascular supply of the graft. Progress was made in describing vascular and biliary anatomy by using three-dimensional helical CT for the assessment of living donors. It can provide valuable information, particularly for patients with indeterminate TAUS results or patients in whom TAUS is difficult. However, its value in screening for biliary obstruction or leaks still awaits evaluation in imaging studies. CT has its established place in the detection and interventional treatment of intra-abdominal fluid collections. Because CT requires less cooperation by the patient as compared with MRC, CT is of special importance in the early posttransplant phase and for the early assessment of intensive care unit patients.

Magnetic Resonance Cholangiography/Cholangiopancreatography

MRCP has been proposed as a reliable noninvasive screening method in patients with biliary and pancreatic disease and biliary complications after OLT. It is based on a combination of thin-slice and thick-slab heavily T2-weighted images. Specific combinations of contrast medium provide negative gastrointestinal contrast on both T1- and T2-weighted sequences without causing significant susceptibility artifacts. MRCP images are particularly useful in the presence of biliary dilatation.

MRCP was successfully used to delineate the anatomy and morphology of bile ducts in living related pediatric OLTs, thus guiding the interventional radiological or surgical treatment of biliary complications. Several studies suggested that MRC may be a useful noninvasive diagnostic tool for the follow-up of liver transplant patients. It has been shown recently that MRC is also useful in detecting BLs. However, formal comparative studies with other imaging modalities have not yet been published. Because the biliary tract is inaccessible by ERC in patients with bilioenteric anastomosis, MRC would appear particularly attractive in these patients.

Boraschi et al prospectively compared MRC versus ERC and clinical history in 113 liver transplant patients with suspected biliary complications. The overall accuracy of MRC for various complications, including strictures, bilomas with leaks, choledocholithiasis, and ampullary stenosis was 93%. The sensitivity and specificity were more than 90%, and the positive predictive value was reported to be 86%. The authors concluded that MRC is a feasible imaging modality for biliary tract evaluation when there is low or unspecific suspicion of biliary tract disease or when ERC and PTC are unsuccessful. In addition, a comprehensive assessment of concomitant vascular, parenchymal, and extrahepatic complications was described by using dynamic interpolated three-dimensional MRI. However, three main restrictions were defined: MRC tends to overestimate BSs at the anastomotic site, MRC cannot usually distinguish circumscribed perianastomotic ascitic fluid from biloma, and the precision of its measurement of the length of NASs, particularly those involving the hepatic bifurcation and right or left hepatic ducts, is restricted. Also, proximal biliary dilatation may be absent despite significant stenosis at the anastomotic site. False-positive and false-negative results may occur in the presence of surgical clips because of susceptibility artifacts obscuring the biliary ducts. Moreover, there is evidence that MRCP is accurate but may underestimate the number and length of intrahepatic strictures.

Valls et al reported a sensitivity of 95.3%, a positive predictive value of 97.6%, and an overall diagnostic accuracy of 95.2% for the detection of BC. In summary, MRCP was able to provide a specific diagnosis in 96.8% of the patients. An improvement in anastomotic visualization may be achieved by mangafodipir trisodium–enhanced imaging according to Bridges et al.

It was reported that gadolinium-enhanced MRI reveals thickening and increased enhancement of the wall in the affected bile ducts in up to 64% of cases.

You're Reading a Preview

Become a Clinical Tree membership for Full access and enjoy Unlimited articles

Become membership

If you are a member. Log in here