Support cells and the extracellular matrix


Introduction

The cells that form tissues can be divided into two types: parenchymal cells , which provide the main function of a tissue, and support cells , which provide the structural scaffolding of a tissue. Support cells comprise a set of highly developed cell types with complex metabolic functions and produce an extracellular matrix, which largely defines the physical characteristics of a tissue.

Support cells and their associated extracellular matrix are commonly termed connective tissue . However, this term does not emphasize the highly specialized nature of this class of tissues. The extracellular matrix is not merely a structural anchoring substance, it has essential roles in development, growth, homeostasis, and in response to disease.

This chapter covers the general characteristics and types of support cells and describes the main components of the extracellular matrix materials that are so vital to the structure and function of tissues and which define several types of what are termed connective tissues.

Support cells have common characteristics that distinguish them from other classes of cells.

Support cells are vital in providing mechanical stability to tissues in addition to roles in growth, tissue remodelling and homeostasis. These are included in the class of connective tissue cells and have the following common characteristics:

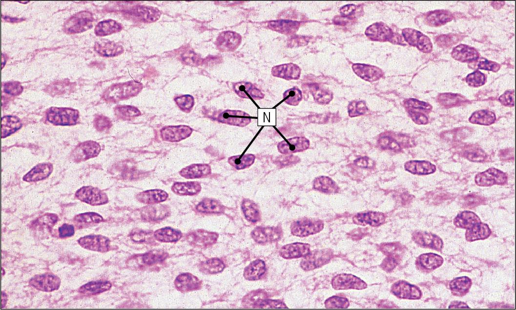
  • Embryological derivation from mesenchyme ( Fig. 4.1 )

    Fig. 4.1, Embryonic Mesenchyme.

  • Production of a variety of extracellular matrix materials

  • When mature, formation of sparsely cellular tissues in which the matrix is the main component

  • Cell adhesion mechanisms that interact with extracellular matrix materials rather than other cells

There are five main classes of support cells.

The support cells are as follows:

  • Fibroblasts secrete the extracellular matrix components in most tissues, usually collagen and elastin.

  • Chondrocytes secrete the extracellular matrix components of cartilage.

  • Osteoblasts secrete the extracellular matrix components of bone.

  • Myofibroblasts secrete extracellular matrix components and also have a contractile function.

  • Adipocytes are specially adapted lipid-storing support cells, which not only act as an energy store but have an endocrine function and act as physical cushioning and padding in some anatomic regions.

You're Reading a Preview

Become a Clinical Tree membership for Full access and enjoy Unlimited articles

Become membership

If you are a member. Log in here