Structural Organization of the Mammalian Kidney


The mammalian kidney is multiform. The basic architecture is best understood in the unipapillary kidney, which is common in all small species. A coronal section of this kidney shows the main structural parts (Figure 20.1a). The renal cortex, as a whole, is cup-shaped with inverted margins, and surrounds the renal medulla. The medulla can be roughly compared to a pyramid; its top portion, the papilla, projects into the renal pelvis. The pelvis is located within the renal sinus, which opens through the renal hilum to the medial surface of the kidney.

Kidney types and Renal Pelvis

The mammalian kidney is multiform. The basic architecture is best understood in the unipapillary kidney, which is common in all small species. A coronal section of this kidney shows the main structural parts ( Figure 20.1a ). The renal cortex, as a whole, is cup-shaped with inverted margins, and surrounds the renal medulla. The medulla can be roughly compared to a pyramid; its top portion, the papilla, projects into the renal pelvis. The pelvis is located within the renal sinus, which opens through the renal hilum to the medial surface of the kidney.

Figure 20.1, Schematics of a coronal and two transverse (b) sections through the rabbit kidney.

The cortical parenchyma is divided into the cortical labyrinth and the medullary rays. The uppermost part of the cortex, a continuous layer that covers the tops of the medullary rays, is called the cortex corticis. The medulla is divided into an outer medulla (subdivided into outer and inner stripes) and an inner medulla. The innermost part of the inner medulla generally forms the papilla.

The unipapillary kidney is the most simple kidney type; in comparative anatomy, such a kidney as a whole corresponds to a renculus. All other kidney types may be regarded as adaptations to larger body sizes. The crest kidney and the kidney with tubi maximi are magnifications of a one-reniculus unit. The multipapillary kidney ( Figure 20.2 ) and the reniculus kidney multiply this unit. The human kidney is a multipapillary kidney; however, it is particular because a variable number of papillae are generally fused, forming compound papillae.

Figure 20.2, Schematic illustration of a compound multipapillary kidney (coronal section) similar to the human kidney.

The renal pelvis ( Figures 20.1a and b ) or the renal calyces ( Figure 20.2 ) are anchored to the renal parenchyma by connective and smooth-muscle tissues that follow the intrarenal arteries. The cavity of the pelvis and calyx surrounds the renal papilla (or its equivalent in other kidney types). In many species the pelvic cavity forms different kinds of pelvic extensions ( Figure 20.1b ). Leaf-like extensions called “specialized fornices” accompany the large vessels for some distance along their entry into the renal parenchyma. Secondary pouches protrude toward the hilus, communicating with the primary pelvic cavity only above the free semilunar borders of the pelvic septa. These extensions increase the contact area between the pelvic cavity and the renal medulla, especially the outer medulla.

Renal Vasculature

Close to the renal hilum and afterwards within the renal sinus the renal artery undergoes several divisions, finally establishing the interlobar arteries which then enter the renal tissue at the border between the cortex and medulla ( Figures 20.1a and 20.2 ). From there they follow an arc-like course and are therefore called arcuate arteries. They give rise to the cortical radial arteries, which ascend radially within the cortical labyrinth. The cortex is very densely penetrated by arteries; in contrast, no arteries enter the medulla. The renal veins (cortical radial (interlobular) veins, arcuate veins) accompany the corresponding arteries. In some species (cat, dog, man) the venous blood from the outer cortex drains into veins on the renal surface (in man called “stellate veins”) which are connected by additional cortical radial veins (interlobular veins) to arcuate veins. Such additional veins are not accompanied by arteries.

The microvasculature pattern of the kidney appears to be very similar among mamma*lian species; a basic pattern can be described ( Figures 20.3 and 20.4a ). The afferent arterioles arise from the cortical radial arteries (a minor portion from the arcuate arteries) and supply the glomerular tufts of the renal corpuscles. The efferent arterioles drain the glomeruli. Several types of efferent arterioles have been described. Basically, a distinction between superficial, midcortical, and juxtamedullary renal corpuscles is essential ( Figures 20.3 and 20.5 ). The efferent arterioles of juxtamedullary glomeruli turn toward the medulla; they supply the medulla. Juxtamedullary glomeruli are best defined by this type of efferent arteriole. The superficial efferent arterioles extend to the kidney surface before dividing. Again, superficial glomeruli are best defined because of the typical pattern of their efferent arterioles. The efferent arterioles of midcortical nephrons (defined by exclusion) vary in length between those that branch abruptly near the glomerulus and others that extend to a medullary ray before splitting off into capillaries. All the efferent arterioles together (superficial, midcortical, and also small branches of the juxtamedullary efferent arterioles) supply the cortical peritubular capillaries. Direct aglomerular arterial supplies to the peritubular capillaries or to the medulla are sparse and have frequently been shown to be the result of degeneration of the corresponding glomeruli.

Figure 20.3, Schematic of the microvasculature of the rat kidney

Figure 20.4, Microvasculature.

Figure 20.5, Arterial vessels after filling with silicone rubber; rabbit kidney.

Within the capillary network of the cortex ( Figures 20.3 and 20.4 ), a differentiation between two parts is necessary: namely, the dense, round-meshed capillary plexus of the cortical labyrinth (including the cortex corticis); and the less dense, long-meshed plexus of the medullary rays, both associated with the course of the tubules. Functionally these two plexuses are different with respect to their drainage. The blood from the medullary ray plexus has to pass the plexus of the cortical labyrinth to gain access to the interlobular veins. Therefore, the blood that has perfused the straight tubules within the medullary rays mixes with the blood that perfuses the convoluted tubules of the cortical labyrinth.

The medulla ( Figures 20.3, 20.4, and 20.5 ) is exclusively supplied by the efferent arterioles of the juxtamedullary glomeruli. These efferent arterioles descend through the outer stripe and divide into the descending vasa recta. In addition, the efferent arteriole and its first divisions give rise to small side branches that supply the sparse capillary plexus of the outer stripe of the outer medulla. This plexus is continuous with the cortical capillary plexus above and the capillary plexus of the inner stripe below. The descending vasa recta then penetrate the inner stripe of the outer medulla in cone-shaped vascular bundles. At intervals, descending vasa recta leave the bundles to join the capillary plexus at the adjacent medullary level, most leaving the bundle within the inner stripe. Only a small portion of the descending vasa recta penetrate the inner medulla, and even fewer reach the tip of the papilla.

The capillary plexuses of the renal medulla ( Figures 20.3 and 20.4a ) differ in the three regions. That of the outer stripe is sparse. In contrast, the capillary plexus of the inner stripe is very dense and characteristically round-meshed in appearance. In the inner medulla the capillary plexus is less dense and long-meshed.

The ascending vasa recta are the draining vessels of the renal medulla ( Figures 20.3 and 20.4b ). In the inner medulla they arise at every level and ascend as unbranched vessels to the border between the inner and outer medulla. At this point, they join the vascular bundles and traverse the inner stripe of the outer medulla within the vascular bundles. The ascending vasa recta, which drain the inner stripe, behave differently. Those of the lowermost part of the inner stripe (and therefore probably a minor portion) join the bundles as they pass through this region. Those from the middle and upper part (and thus probably the majority) do not join the bundles, but ascend directly within the interbundle regions to the outer stripe. There are, however, interspecies differences; in the sand rat ( Psammomys obesus ), all ascending vasa recta that drain the inner stripe ascend directly to the outer stripe without joining the bundles.

Within the outer stripe, the vasa recta ascending within the bundles spread out and, together with the directly ascending vasa recta, traverse the outer stripe as individual tortuous channels with wide lumina ( Figure 20.4b ). They contact the tubules like true capillaries, and because the true capillaries which are derived from direct branches of efferent arterioles are few in the outer stripe ( Figure 20.3a ), they mainly affect the blood supply to the tubules in this region. At the corticomedullary border, the ascending venous vessels of the medulla empty into the arcuate veins or into the basal parts of interlobular veins. In some species, such as rat, guinea pig, and especially the sand rat ( Psammomys obesus ) some of the venous medullary vessels continue to ascend within the medullary rays of the cortex and finally empty into middle or even upper parts of interlobular veins.

Wall Structure of Intrarenal Vessels

The intrarenal arteries and the proximal portions of the afferent arterioles appear to be similar to arteries and arterioles of the same size elsewhere in the body. The terminal portions of the afferent arterioles are unique because of the occurrence of granular cells (renin producing cells) which replace ordinary smooth muscle cells in their wall. It is generally agreed that granular cells are modified smooth muscle cells. Compared to proper smooth muscle cells, granular cells contain less myofilaments; thus, the contractile capacity of the very last portion of the afferent arteriole appears to be considerably decreased. The endocrine function of granular cells will be considered later in the context of the juxtaglomerular apparatus. The glomerular capillaries will be described together with the glomerulus.

Efferent arterioles are already established inside the glomerular tuft. Thus, in contrast to afferent arterioles, efferent arterioles have an intraglomerular segment which passes through the glomerular stalk ( Figure 20.6a ). After this, efferent arterioles have a segment which is narrowly associated with the extraglomerular mesangium (details will be given later in the context of the glomerulus). Thereafter, the efferent arterioles are established as arterioles with a proper media made up of smooth muscle cells.

Figure 20.6, Efferent arteriole.

Efferent arterioles from juxtamedullary glomeruli differ considerably from those of cortical (midcortical and superficial) glomeruli (compare Figures 20.6b and 20.6c ). Juxtamedullary efferent arterioles are larger in diameter than cortical efferent arterioles; their size even exceeds that of their corresponding afferent arterioles. In the rabbit, the diameters of afferent arterioles throughout the cortex average approximately 20 µm; juxtamedullary efferent arterioles average 28 µm, and cortical efferent arterioles average only 12 µm. Similar differences have been found in dog, rat, and human kidneys.

Cortical efferent arterioles ( Figure 20.6b ) are only sparsely equipped with smooth muscle cells (generally not more than one layer). A striking feature of efferent arterioles (including those from juxtamedullary glomeruli) is the thick, irregular basement membrane. In contrast to the usual appearance of a basement membrane, basement membrane-like material fills the wide and irregular spaces between the endothelium and the muscle layer. The juxtamedullary efferent arterioles ( Figure 20.6c ) are surrounded by two to four layers of smooth muscle cells. Their endothelium is composed of a strikingly large number of longitudinally arranged cells; up to 30 individual cells may be found in cross-sections.

In the descending vasa recta ( Figure 20.6d ) the smooth muscle cells are gradually replaced by pericytes, which form an incomplete layer around the vessel trunk. Pericytes should be regarded as contractile cells. The pattern of these cells, which encircle the endothelial tube-like hoops, and their dense assemblys of microfilaments strongly imply that they have a contractile function. In contrast to smooth muscle cells, they are not contacted by nerve terminals. The descending vasa recta finally lose their pericytes, and the concurrent appearance of endothelial fenestrations marks their gradual transformation into medullary capillaries.

The ultrastructure of the capillaries in the kidney is similar in both the cortex and the medulla (with the exception of glomerular capillaries; vide infra ). The capillaries of the kidney are of the fenestrated type ( Figure 20.7 ). The capillary wall consists of an extremely flat endothelium surrounded by a thin basement membrane. In non-nuclear regions the endothelial cells contain densely and regularly arranged fenestrations that (in contrast to the glomerular capillaries) are bridged by a thin diaphragm. An estimated 50% of the capillary circumference is composed of these fenestration-bearing areas. The fenestrations themselves are of rather complex structure. In normal TEM sections the diaphragm appears as a very thin (5–6 nm) single-layered proteinaceous membrane provided with a central knob. Deep-etch freezing techniques have revealed a composition of radial fibrils converging to the central knob. So far only one protein, PV1, a caveolar transmembrane protein, has been attributed to the diaphragm. The diaphragm is considered to be permeable to water and small water-soluble substances.

Figure 20.7, Freeze-fracture electron micrograph demonstrating the dense arrangement of fenestrations within the wall of a peritubular capillary (rabbit).

The wall structure of the ascending vasa recta ( Figure 20.6d ) is similar to that of the capillaries. These draining vessels, with wide lumina, are bound for their entire length by an extremely flat endothelium with extensive fenestrations. The same structure is found in the large veins of the cortex and at the corticomedullary border ( Figures 20.8 and 20.15 ). The interlobular and arcuate veins are not veins in the classic sense, but they have a wall structure fundamentally the same as that of the renal capillaries. This wall consists solely of an extremely flattened, partly fenestrated endothelium that rests on a basement membrane.

Figure 20.8, Scanning electron micrographs of the inner surface of an arcuate artery and vein (Rat).

Nephrons and Collecting Duct System

The specific structural units of the kidney are the nephrons. In the rat, each kidney contains 30,000 to 35,000 nephrons ; each human kidney has an estimated 1 million, but great interindividual differences exist.

The nephron consists of a renal corpuscle connected to a complicated and twisted tube that finally drains into a collecting duct. Based on the location of the renal corpuscles within the cortex, three types of nephrons are distinguished: superficial; midcortical; and juxtamedullary nephrons. Exact definitions of these types, grounded on more than arbitrary decisions, can be based on the different patterns of the efferent arterioles ( vide supra ).

The tubular part of the nephron consists of a proximal and a distal portion connected by a loop of Henle. For details of subdivisions, see Figures 20.9 and 20.10 .

Figure 20.9, Schematic of nephrons and collecting duct.

Figure 20.10, Segmentation of the renal tubule.

According to the lengths of the loops of Henle, two types of nephrons are distinguished ( Figure 20.9 ): those with long loops and those with short loops (including those with cortical loops). Short loops turn back in the outer medulla. In many species (rat, rabbit), the bends of the short loops are all located roughly at the same level of the inner stripe, namely, near the junction to the inner medulla. In other species (pig and human), short loops may form their bends at any level of the outer medulla, and even in the cortex (cortical loops).

The long loops turn back at successive levels of the inner medulla, many at its start; others reach intermediate levels, and only a few reach the tip of the papilla. Thus, the number of loops is successively reduced along the inner medulla toward the papilla. This decrease is paralleled by a decrease in collecting ducts and vasa recta, leading to the characteristic form of the inner medulla, which in all species tapers from a broad basis to a papilla (or crest).

The division of nephrons according to the position of their corpuscles in the cortex does not coincide with the division based on the length of their loops. Among species, all three types of renal corpuscles may be attached to both short and long loops. However, within a given species (with short and long loops), the long loops always belong to the deeper renal corpuscles (i.e., juxtamedullary and deep midcortical) and the short loops to the more superficially situated corpuscles.

The number of short and long loops varies among species. Some species have only short loops (mountain beaver, muskrat), and consequently lack an inner medulla, which results in a poor ability to concentrate urine. Only two species, cat and dog, are known to have just long loops. In comparison with other species, their urine concentrating ability is considered to be average. In the cat, however, many long loops penetrate into the inner medulla for a very short distance (less than 0.5 µm. Defining a loop by ultrastructural criteria ( vide infra ), a feline kidney does contain many loops resembling the short loops in other species. The formerly held presumption that rodent species with the most powerful ability to concentrate urine, like Psammomys or Meriones , have only long loops has been proved incorrect. Most species have short and long loops whose ratio varies from species to species. A correlation between the ratio of short and long loops and urine concentrating ability is not obvious. Most rodent species that have a high urine concentrating ability (rat, mouse, golden hamster, Psammomys , Meriones ) have more short loops than long loops.

The collecting ducts are formed in the renal cortex by the joining of several nephrons ( Figures 20.9 and 20.10 ). The location of the exact border between a nephron and a collecting duct is disputed. According to cytological criteria, a connecting tubule is interposed between a nephron and a cortical collecting duct. Whether this connecting tubule derives from the nephrogenic blastema, and therefore must be considered as a part of the nephron, or from the ureteral bud, and therefore is part of the collecting ducts, remains an open question.

Microanatomically, the connecting tubules of deep and superficial nephrons differ ( Figure 20.9 ). The connecting tubules of deep nephrons generally join to form an arcade before draining into a collecting duct; superficial nephrons drain via an individual connecting tubule. The numerical ratio between nephrons draining through an arcade and those draining individually varies greatly among species. In rat, rabbit, and pig, the majority of nephrons drain via arcades; as Sperber observed, some arcades probably exist in all mammalian kidneys. An arcade ascends within the cortical labyrinth before draining into a cortical collecting duct ( Figure 20.9 ). Functionally, an arcade appears to serve as a device that prevents the addition of dilute distal urine to collecting ducts at the corticomedullary junction.

The cortical collecting ducts descend within the medullary rays of the cortex and then, as unbranched tubes, traverse the outer medulla (outer medullary collecting ducts). On entering the inner medulla (inner medullary collecting ducts), they fuse successively. In the human kidney, an average of eight fusions has been found, a number that may also be a good approximation for other species. Because a cortical collecting duct in the human kidney accepts 11 nephrons on average, it can be calculated that a papillary duct (opening into the renal pelvis) drains a total of 2750 nephrons. In the rabbit kidney, which has only 6 nephron tributaries to a cortical collecting duct, approximately 1000 nephrons are drained by a terminal collecting duct. It must be emphasized that an inner medullary collecting duct is not a single unbranched tube, but rather is a system of tubules that fuse successively.

Interstitium

Definition, Volume Fraction

The space between the basement membranes of the renal epithelia and the peritubular capillaries ( Figure 20.11 ) is called the “ interstitial space .” Cells and extracellular matrix within this space constitute the “ interstitium .” The fractional volume of the interstitium in the cortex in healthy kidneys has been estimated between 4 to 9%, in the outer stripe of the outer medulla and in the vascular bundle compartment ~3–5%. In the interbundle compartment of the inner stripe the fractional volume amounts to 10% in rat, and in the inner zone the relative interstitial volume continuously increases from the base (10–15% fractional volume in rat, 20–25% in rabbit) to the tip of the papilla (~30% in rat; more than 40% in rabbit ). Reabsorption and secretion of fluid and solutes, as well as the transport for many regulatory substances from their site of production to their target site, implies a transit across the interstitial compartment. In the cortex only about 26% or 42% of the total outer tubular surfaces are directly apposed to capillaries.

Figure 20.11, Peritubular interstitium of the renal cortex with narrow (arrows) and wide (stars) portions.

Cellular Constituents

The majority of cells in the interstitium of healthy kidneys are interstitial fibroblasts and dendritic cells ( Figure 20.12 ). Other cell types ( macrophages and lymphocytes ) are scarce in healthy kidneys, but they invade the interstitial spaces under inflammatory conditions.

Figure 20.12, Schematic representation of cortical interstitial fibroblast (F) and dendritic cell (D) in the cortical interstitial space of a healthy kidney.

Interstitial Fibroblasts

Interstitial fibroblasts provide the scaffolding of the tissue, take part in the modeling of the extracellular matrix, and play a role in the production of regulatory substances. Interstitial fibroblasts bridge the interstitial space ( Figures 20.12, 20.13 and 20.14 ). They are physically affixed to the basement membranes of tubules, renal corpuscles, and peritubular capillaries, they are interconnected by adhering junctions ( Figures 20.12 and 20.14 ), and narrowly contact all types of migrating cells within the interstitial space ( Figures 20.12 and 20.13 ).

Figure 20.13, Interstitial cells, labeled by immunogold staining for ecto-5′-nucleotidase (a,b) and MHC class II (c,d) on consecutive (a,c) cryostat sections.

Figure 20.14, (a) Fibroblast with sharply outlined pericaryon in the cortical interstitium of a rat kidney; a filiform processes (1) is interconnected with another fibroblast by intermediate junctions (Insert 1); pedicle-like processes of the same fibroblast adhere to the basement membrane of a capillary (c) (2; Insert 2) and of a proximal tubule (PT) (3; Insert 3; Star: Extracellular matrix) with pedicle-like processes that reveal dense stress-fiber-like F-actin filaments; (Insert 4): collagen fibrils (asterisk) closely associated with a fibroblast extension (F) which encloses part of a dendritic cell (D); (Insert 5) the broad cytoplasmic extensions show abundant cisterns of rough endoplasmic reticulum (TEM ×~11,800; Inserts: 1 ×~50,000; 2,3 ×~23,000; 4 ×~11,800; 5 ×~23,000). (b) Fibroblast (F) in focal peritubular inflammation, caused by a lesion in a distal tubule; the fibroblast bridges the space between a healthy proximal tubule (PT), and a diseased distal tubule (DT), extends with thin processes closely along the basement membrane of the DT, partially encloses a profile of a peritubular capillary (C), and has close contact to migrating cells of the immune system (L: lymphocyte; D: dendritic cell; Insert: Higher magnification of the contact (“kiss”) of the extension of the dendritic cell and a lymphocyte; TEM ×~6000; Insert ×~23,000).

Cortical Interstitial Fibroblasts

In transmission electron microscopic (TEM) images ( Figure 20.14 ), cortical interstitial fibroblasts display a heterochromatin-rich angular nucleus which is surrounded by a narrow organelle-free cytoplasmic rim. Filiform and leaf-like, perforated and filiform processes spread from the cell body, traverse the interstitial space and are affixed to the basement membranes of tubules, enveloping glomerular arterioles and cells of the immune system. Characteristic for fibroblasts is the dense layer of f-actin filaments immediately under the plasmalemma ( Figures 20.12 and 20.14 ). In the filiform processes and the pedicle- or spine-like attachments to the basement membranes, the f-actin is markedly dense ( Figures 20.12 and 20.14 ).

The anchorage of fibroblasts to tubular and capillary basement membranes and their interconnections suggests the possibility that each configurational change of tubules or capillaries (e.g., related with tubular/capillary growth, tubular/capillary dilatation or collapse) exerts mechanical forces on the f-actin frame of the fibroblasts and induces signaling pathways. In concert with chemokines and other factors the mechanical forces might be essential components in the cross-talk between fibroblasts and epi- or endothelia,

The production of extracellular matrix is another distinguishing characteristic of fibroblasts. The morphological correlate for matrix production is the prominent apparatus for protein synthesis, i.e., abundant large profiles of rough endoplasmic reticulum filled with flocculent, rather electron-dense material, as well as several sets of Golgi-fields. These organelles, including mitochondria, are predominantly located in the peripheral thicker parts of the leaf-like processes, close to the sites of release of matrix and collagen fibrils into the interstitial space ( Figure 20.14 ).

The extracellular matrix of the interstitium is composed of a network of fibers, proteoglycans, glycoproteins, and interstitial fluid. Several types of fibers are found, among them typical interstitial collagen fibers (type 1, type 3, and type 6). Microfibrils (collagen type 1) are found throughout the renal interstitium. Type 3 fibers correspond to the reticular fibers which form a network enveloping individual tubules. Proteoglycans are an important component of the interstitial matrix in the kidney. As elsewhere in the body, various glycoproteins (fibronectin, laminin, and others) are found associated with tubular basement membranes, as well as with fibrillar structures. All these substances contribute to the scaffolding function of the interstitium. Furthermore, they are important substrates for migrating immune cells in the interstitial space.

Fibroblasts can accumulate lipid droplets . These are not common in cortical fibroblasts (in contrast to medullary fibroblasts, see below) of healthy kidneys; yet, they may also appear in cortical fibroblasts under specific functional conditions (e.g., anemia ). Lysosomal bodies are rarely observed under control conditions.

Cortical interstitial fibroblasts play important roles in the adaptive response to local and systemic hypoxia. The cleavage of AMP by ecto-5′-nucleotidase (5′NT) on the plasmalemma of cortical fibroblasts generates extracellular adenosine ( ADO ) in the cortical interstitium. ADO has been widely implicated in adaptive responses to local hypoxia and in regulating local hemodynamics. The particularly narrow sheathing of glomerular arterioles by 5′NT-positive fibroblasts suggests a role of ADO in the regulation of glomerular blood flow and glomerular filtration rate. Indeed, purinergic receptors in afferent and efferent glomerular arterioles are implicated in the regulation of renal functions and hypertension. Studies on 5′NT-deficient mice have confirmed that ADO mediates the vascular response elicited by changes in NaCl concentration at the macula densa. Cortical fibroblasts also exhibit soluble guanylyl cyclase (sGC), and a b -type cytochrome 558.

Interstitial fibroblasts in the deep cortex are the source of renal erythropoietin. The hypoxia-inducible factor (HIF Hif-2), which has also been located to 5′NT-positve fibroblasts, mediates regulation of transcription of erythropoietin following changes in oxygen supply. In conditions of anemia and hypoxia, cortical interstitial fibroblasts from all cortical regions are rapidly recruited for EPO-synthesis.

Extensive phenotypical modulations of cortical peritubular fibroblasts in vivo occur under the concerted action of inflammatory cytokines and growth factors. Under these conditions, the interstitial fibroblasts proliferate and transform into myofibroblasts . Morphologically myofibroblasts differ from interstitial fibroblasts of the healthy renal interstitium, having rounded, euchromatin-rich nuclei and large irregularly-shaped cellular extensions containing dramatically expanded cisterns of rER, and by increased junctional coupling. Differing from healthy interstitial fibroblasts, myofibroblasts express αSMA and vimentin, and 5′NT is internalized from the plasma membrane into the cytoplasm. Functionally, myofibroblasts have an increased capacity for quantitatively and qualitatively different matrix production, and a reduced potential for erythropoietin gene expression.

Medullary Interstitial Fibroblasts

The phenotype of fibroblasts in the medulla is basically the same as in the cortex, yet their three-dimensional configuration changes in correlation with the change in tubular arrangement, from convolutions in the cortex to the strictly parallel course of tubules and vessels in the inner zone. The longitudinal axis of the pericaryon of inner medullary fibroblasts is oriented perpendicularly to the longitudinal axis of tubules and vessels ( Figure 20.15 ), and in two-dimensional microscopic images they appear like “rungs of a ladder”. One noticeable change in the ultrastructure of medullary fibroblasts is the progressive increase in cytoskeletal elements towards the deep inner zone; actin filaments form a very prominent layer under the plasma membrane of the pericaryon ( Figure 20.16 ) and the processes. The latter may be interconnected by a composite type of intercellular junction. The increase in cytoskeletal elements in the cells in the inner zone most probably contributes to withstanding the increasing osmotic pressure towards the papillary tip. Furthermore, the occurrence of lipid granules increases progressively from the outer medulla towards the inner medulla where they may be so prominent that the cells were designated as “lipid-laden cells.” However, inner medullary fibroblasts may also lack lipid droplets. In vitro studies have revealed that the occurrence and amount of lipid droplets in the inner medullary fibroblasts depends on the specific environment of the cells, conditioned by the presence of inner medullary collecting duct cells, and that inner medullary fibroblasts can transform to myofibroblasts with upregulation of alpha smooth muscle actin and desmin. In medullary fibroblasts the cisterns of rough endoplasmic reticulum, including the perinuclear cistern, are often strikingly enlarged and they may narrowly enclose mitochondria ( Figure 20.16 ). Occasionally the rER membranes are in direct contact with the plasma membrane ( Figure 20.16 ). The functional interpretation of these particular features, only rarely observed in cortical fibroblasts, is still to be resolved.

Figure 20.15, Interstitial fibroblasts of the inner medulla, demonstrated in longitudinal sections.

Figure 20.16, Medullary fibroblasts, (a, b, d) human fibroblasts from a renal biopsy; (c) fibroblast from a perfusion-fixed rat kidney.

The medullary fibroblasts do not display 5′NT or mRNA for EPO. A role of medullary interstitial cells has been proposed in the regulation of urinary osmolarity. Glycosaminoglycans are particularly abundant in the inner medullary interstitium, and condensed hyaluronate-proteoglycan aggregates are associated with basement membranes, with collagen fibers, as well as with diffuse reticular structures.

The inner medulla has the greatest capacity for renal prostaglandin (PG) synthesis. Cyclooxygenase (COX) isoforms, rate-limiting enzymes in PG biosynthesis, are expressed at substantially higher levels in the inner medulla than in the renal cortex. COX-2 is found predominantly in inner medullary interstitial fibroblasts, and its expression increases under chronic salt loading.

Dendritic Cells

Dendritic cells (DC) belong to the mononuclear phagocyte system and constitute the major antigen-presenting cell population in the healthy kidney. Interstitial DCs continually probe the surrounding environment through dendrite extensions, and readily respond to insults to the parenchyma. DCs have been recognized by their expression of MHC class II ( Figures 20.12 and 20.13 ) and CD11c. In the healthy kidney DCs are present in their immature phenotype with comparatively low levels of MHC class II and of co-stimulatory proteins, but with a high capacity for uptake of antigens.

Similar to fibroblasts, DCs form an organ-spanning network, located in very close contact with fibroblasts ( Figures 20.12, 20.13 and 20.14 ). DCs are constantly moving. Unlike fibroblasts, the pericaryon of DCs is large and confines the often rounded or elongated nucleus together with most cell organelles. The rER profiles of dendritic cells are narrow and less abundant than in fibroblasts. The intermediate filament protein vimentin is regularly present in the pericaryon of DCs, whereas it is absent in fibroblasts in the healthy renal cortex. Dendritic cells have, in comparison to macrophages and lymphocytes, more mitochondria, more rER, and a large Golgi apparatus. Lysosomes are less apparent than in macrophages. The so-called Birbeck granules, which are characteristic for dendritic cells, are a special formation of the endocytotic compartment serving as a loading compartment and/or reservoir of antigens before DC maturation.

The ramified “veil-like” and perforated cellular extensions ( Figure 20.12 ) lack the prominent stuffing with f-actin filaments, and are largely devoid of cell organelles, in marked contrast to fibroblasts. The long filiform processes of DCs have approximately the same diameter as the filiform fibroblast processes, but due to the lack of f-actin filaments are much less electron-dense ( Figure 20.14 ). In contrast to fibroblasts, DCs have no junctional connections among each other or with tubules or vessels. However, frequently the plasma membranes of dendritic cells and of fibroblasts or dendritic cells and lymphocytes form points of membrane adhesion, so-called “kisses” ( Figure 20.14 ). Parts of dendritic cells are often nestled into the hollows of the pericaryon or the processes of fibroblasts. The narrow intermingling of both cell types ( Figures 20.12, 20.13 and 20.14 ) suggests the possibility of extensive cross-talk between them.

Dendritic cells are abundant in the inner stripe in the outer medulla and, as in the cortex, are narrowly associated with fibroblasts. Accumulations of dendritic cells are particularly striking around collecting ducts and thick ascending limbs.

In the inner medulla the pericaryon of dendritic cells is often situated in the spaces between the “ladder rungs” formed by the fibroblasts, and their processes may extend over several “ladder rungs.” In the lower two-thirds of the inner medulla bone marrow-derived cells are not detected in the healthy kidney.

Macrophages and Lymphocytes

Macrophages and lymphocytes are rarely found in the healthy renal interstitium, but they massively invade the interstitial spaces under inflammatory conditions. A large proportion of the invading mononuclear cells display the established “marker proteins” (CD 45, CD3, CD4, CD 8; ED1, ED2, CD44, etc.) and the protein S100A4. Neutrophil granulocytes are found occasionally, basophil and eosinophil granulocytes and plasma cells are rare in the healthy cortical renal interstitium.

Periarterial Connective Tissue and Lymphatics

The periarterial tissue is a sheath of loose connective tissue, surrounding the intrarenal arteries (arcuate arteries, cortical radial arteries). The considerable thickness of the periarterial sheath is apparent in quick-frozen specimens, and in perfusion fixed tissue. It attenuates towards the end of the cortical radial arteries and terminates along the afferent arteriole at the vascular pole of the glomerulus ( Figures 20.17, 20.18 and 20.19 ). The periarterial sheath is continuous with the peritubular interstitium and with the connective tissue underlying the epithelium of the renal pelvis and ureter at all sites. The renal veins are apposed to the periarterial sheath.

Figure 20.17, Cross-section through the deep cortex (rat).

Figure 20.18, Schematics to show (a) the distribution, and (b) the topographical relationships of the periarterial connective tissue sheath.

Figure 20.19, The renal nerves accompany (a) the intrarenal arteries.

The periarterial sheath constitutes wide meshes of the extremely attenuated processes of 5′NT-negative, but weakly alpha-smooth muscle actin- and vimentin-positive fibroblasts. The meshes are filled with thick bundles of collageneous fibers and interstitial fluid and regularly confine some macrophages and dendritic cells.

The periarterial connective tissue sheath provides the path for renal nerves (see below) and for renal lymphatics . Lymphatics start in the vicinity of the glomerular vascular pole or at a more proximal level of the afferent arteriole, depending on the species, and travel along the branches of the renal arteries towards the renal hilum ( Figures 20.17 and 20.18 ). Their recognition and distinction from blood capillaries at light microscopic levels is facilitated by their specific expression of podoplanin. Also, 5′NT labels in rat and mice lymphatics, but not in blood vessels. Lymphatic endothelial cells secrete chemokines that attract dendritic cells. An increase in lymphatic microvessels has been observed, e.g., in tubulointerstitial fibrosis and progression to end-stage renal failure in remnant kidney.

Regulatory substances that are released into the peritubular interstitium might access the systemic blood circulation via the lymphatics in the periarterial sheath. This suggestion has been made for renin, and it may apply to other protein hormones such as erythropoietin. The periarterial tissue sheaths have been interpreted as a mixing chamber for a variety of vasoactive substances, ultimately determining the contractile status of the renal resistance vessels. In addition to the lymphatics, the periarterial tissue itself constitutes a pathway for interstitial fluid drainage. Indeed, a tracer injected under the renal capsule can be followed within the periarterial tissue, as well as within the lymphatics.

While a fraction of cortical interstitial fluid gains access to the periarterial tissue, and eventually to lymphatics, there is no direct pathway for regulatory substances released in the cortical interstitium to reach medullary targets. It has been proposed that the intimate relationships between cortical radial arteries and veins permits countercurrent exchange of O 2 , being responsible – at least in part – for the low partial pressure of O 2 in the superficial cortex.

Nerves

The efferent nerves of the kidney are composed of sympathetic nerves and terminal axons, which accompany the intrarenal arteries, and the afferent and efferent arterioles ( Figures 20.18 and 20.19 ). The nerve fibers are monoaminergic. Norepinephrine and dopamine have been identified. In addition, several neuropeptides are co-localized with norepinephrine in renal nerves. The presence of acetylcholinesterase in renal nerves cannot be taken to indicate cholinergic nerves, but rather that monoaminergic nerves obviously possess acetylcholinesterase activity.

The nerve fibers run in the loose connective tissue around the arteries and arterioles. The descending vasa recta within the medulla are also innervated by adrenergic nerve terminals as far as they are enveloped by smooth muscle cells. A dense assembly of nerves and terminal axons is found around the juxtaglomerular apparatus which is described in more detail along with the JGA.

Tubules have direct relationships to terminal axons only when they are located around the arteries or arterioles. Tubules adjacent to the juxtaglomerular apparatus (terminal portion of the cortical thick ascending limb) are more frequently touched by terminal axons than at other sites. The density of nerve contacts to convoluted proximal tubules (located in the cortical labyrinth) is low ; nerve contacts to straight proximal tubules (located in the medullary rays and the outer stripe) have never been encountered. The overwhelming majority of tubular portions have no direct relationships to nerve terminals.

Consequently, morphologists are left with the question of how the neuronal influence on tubular function is mediated. In addition to a systemic distribution of catecholamines, a more specific, but also indirect, mode seems possible for certain tubular segments. Because nerve fibers do pass along the vascular pole of each glomerulus from afferent to efferent arterioles, the distribution of nerves in the renal cortex is dense. Catecholamines (and other transmitters) released from nerve terminals at the vascular poles and at the efferent arterioles may gain access to peritubular capillaries, and in this way may perfuse the convoluted tubules of the cortical labyrinth. Tubules arranged around the cortical radial arteries would be reached most easily by transmitters released from periarterially located nerve terminals. This may be of relevance with respect to arcades (connecting tubules), which have been shown to be sensitive to isoproterenol. Exposure of the straight tubules within the medullary rays of the cortex to neural transmitters reaching them directly by diffusion from nerve terminal is improbable.

Tubules in the outer medulla may only be reached by neurotransmitters if they are either situated adjacent to vascular bundles (a minority of tubules) or secondarily, by a capillary distribution of the transmitters from nerve terminals accompanying the vascular bundles. The tubules of the inner medulla cannot be reached by neurotransmitters directly delivered from nerve terminals in the medulla.

Little is known about the afferent nerves of the kidney; they are commonly believed to be sparse, but the issue remains unresolved.

Topographical Relationships

Cortex

The architectural pattern of the renal cortex is best understood when viewing a cross-section through the midcortex ( Figures 20.20 and 20.21 ). Two portions within the cortical parenchyma, the labyrinth and the medullary rays, are distinguishable. Within the cortical labyrinth, the vascular axes, which consist of the cortical radial (interlobular) artery, vein, and a lymphatic, are regularly distributed. The renal corpuscles and the corresponding convoluted tubules (proximal and distal) are situated around each vascular axis. Barriers separating the population of renal corpuscles and convoluted tubules belonging to another vascular axis are not discernible. Thus, the cortical labyrinth is a continuous parenchymal layer that contains the vascular axes of the cortex and the medullary rays in a regular pattern. The straight tubules (proximal and distal), together with the collecting ducts, are located within the medullary rays. Because the number of straight tubules increases toward the corticomedullary border, the medullary rays increase in width toward the outer stripe.

Figure 20.20, Schematics of histotopography.

Figure 20.21, Renal cortex of the rat; 1 µm cross-section.

A regular pattern of the convoluted tubules within the labyrinth is not apparent. Proximal and distal convoluted tubules (the latter constitute only a minor portion of profiles in comparison with proximal tubules) are equally embedded in the dense capillary plexus of this region. A strikingly constant position is occupied by the arcades (if they are present). They ascend within the cortical labyrinth and are grouped immediately around the vascular axes. The topographical relationships within the juxtaglomerular apparatus will be described later.

Within the medullary rays the straight tubules of superficial nephrons (proximal and distal) generally occupy a central position, and those of midcortical nephrons occupy a peripheral position. The collecting ducts are situated between the two groups, and therefore are situated neither in the center nor at the very border of a medullary ray. Efferent arterioles do not enter the medullary rays, but frequently break off into capillaries just at the border between the labyrinth and the medullary rays. As a result, the blood supply of the medullary ray tubules is as direct as that of the tubules within the cortical labyrinth. However, blood that perfuses the straight tubules of the medullary rays mixes afterwards with the blood that perfuses the convoluted tubules ( vide supra ).

Medulla

The three regions of the medulla contain different populations of nephron segments. The outer stripe contains straight parts of the proximal tubule (S 3 segments), straight parts of the distal tubule (thick ascending limbs), and collecting ducts. The inner stripe is composed of descending thin limbs, ascending thick limbs (distal straight tubules), and collecting ducts. The inner medulla contains thin descending and ascending limbs, and collecting ducts.

The architectural organization of the medulla can best be described by considering the vascular bundles as central axes and studying how the tubules are arranged around them. A “simple” and a “complex” type of renal medulla are distinguished ( Figure 20.22 ); the differences between both are mainly found in the inner stripe.

Figure 20.22, Schematic to demonstrate the difference between the simple (a and a 1 ) and complex (b and b 1 ) types of medulla.

The vascular bundles develop in the outer stripe ( Figures 20.20 and 20.23 ). At the very beginning of the bundles the straight proximal and distal tubules of juxtamedullary nephrons are grouped immediately around the bundles. In the continuation of the medullary rays, the tubules of superficial and midcortical nephrons, together with the collecting ducts, fill the spaces between the bundles and their adjacent juxtamedullary tubules. In the outer stripe straight proximal tubules and straight distal tubules (thick ascending limbs) should theoretically be present in equal numbers; however, a cross-section through the outer stripe shows that proximal tubular profiles are much more numerous than distal tubules. In the rat, proximal tubules occupy roughly 68% of the space in the outer stripe, in contrast to approximately 13% by the thick ascending limbs, and 5% by the collecting ducts. The dominance of the proximal tubules is rooted in the fact that the straight proximal tubules of juxtamedullary nephrons are not straight (as their name indicates), but rather take a tortuous course when descending through the outer stripe; this holds true for the mouse kidney. In addition, straight proximal tubules are much thicker in diameter than the straight distal tubules, and proximal tubules of juxtamedullary nephrons are even thicker than those of the midcortical and superficial nephrons.

Figure 20.23, Outer stripe of rat kidney; 1 µm cross-section.

The tubules of the outer stripe are perfused by a specific “capillary” plexus. “True” capillaries, derived from direct branches of efferent arterioles, are few; the dominating “capillary” vessels in the outer stripe are the ascending vasa recta ( Figures 20.3 and 20.4b ). They traverse the outer stripe as wide tortuous channels closely contacting the tubules like proper capillaries. Because these vessels carry the entire venous blood from the medulla, the outer stripe tubules are mainly supplied by venous blood from deeper parts of the medulla.

The outer stripe varies considerably in thickness among species; in the rat and mouse, it is very well-developed and constitutes approximately one-third of the outer medulla. In contrast, in Psammomys , cat, dog, and humans, the outer stripe is very thin.

The inner stripe ( Figures 20.20 and 20.24 ) of the outer medulla is the most constant part of the renal medulla, consisting of the regularly distributed vascular bundles (VB) leaving between them the interbundle region (IBR). Two types of vascular bundles can be distinguished, which form the basis for the discrimination of a “simple” and a “complex” type of medulla.

Figure 20.24, Inner stripe of rabbit kidney (simple medulla); 1 µm cross-section.

In most species vascular bundles of the simple type are present, which exclusively contain descending and ascending vasa recta. The tubules are found in the IBR and are arranged around the bundles in a pattern similar to that found in the outer stripe. The loops of Henle, originating from juxtamedullary nephrons (generally the longest long loops), lie nearest to the bundles, whereas the loops derived from superficial and midcortical nephrons (in most species, short loops) lie distant from the bundles. The collecting ducts are generally arranged in distant rings around the bundles, and are intermingled with loops derived from superficial and midcortical nephrons. Altogether, they are perfused by the dense capillary plexus of the IBR.

The complex type of vascular bundle ( Figure 20.25 ) is present in several rodent species with a high urine concentrating ability, including rat, mouse, Meriones , and Psammomys . It differs from the simple type in that the descending thin limbs of short loops (only of short loops!) descend within the vascular bundle ( Figure 20.26 ). Consequently, the bundles within the inner stripe change from the classic countercurrent arrangement of a rete mirabile, consisting of DVRs and AVRs, to a system in which one ascending tube (AVRs) is closely packed together with two descending tubes (DVRs and SDTLs). In addition, the vascular bundles in the complex type of medulla tend to fuse and to form larger bundles, up to giant bundles ( Psammomys ). These complex bundles are developed at the transition from the outer stripe to the inner stripe, and are maintained only throughout the inner stripe. At the border to the inner medulla, the SDTLs leave the bundles, and the fused bundles split into the original number of bundles. The characteristics of the complex type are developed to different degrees in the species so far investigated. A somewhat “gradual” transition from the rat, via the mouse, to Meriones and Psammomys is observed.

Figure 20.25, Inner stripe of Meriones shawii kidney (complex medulla); paraffin cross-section.

Figure 20.26, Longitudinal section through a vascular bundle in the inner stripe of a gerbil kidney (complex medulla); paraffin section.

The tubular pattern around these complex bundles is different from that of the simple type. At the border between the outer stripe and inner stripe, the SDTLs leave their position distant from the bundles, then turn toward a bundle and descend within the bundle. Their TALs maintain a position distant from the bundles and near to a collecting duct throughout the outer medulla. As observed in the simple type, the tubules of the interbundle regions are embedded in the dense capillary plexus of the IBR. In contrast to what is observed in the simple type, it is worthwhile to stress the fact that in the complex type only the LDTLs, scattered among the TALs of short and long loops, traverse IBR. Specific variations of this pattern in mice and Psammomys are described elsewhere.

To understand the possible functional implications of the inner stripe architecture, as well as the differences between the simple type and the complex type, we have to consider precisely the composition of the vascular bundles. The vascular bundles of the simple type contain all descending and all ascending vasa recta servicing the inner medulla. Furthermore, they contain most of the descending vasa recta, which service the inner stripe, but only few of the ascending vasa recta, which drain the inner stripe. The numerical relationship between descending and ascending vasa recta is about 1 to 1 (at the level of the inner stripe). Thus, in the simple type of vascular bundle, the venous blood from the inner medulla contacts the arterial blood that supplies both the inner medulla and the inner stripe of the outer medulla in a countercurrent arrangement. Therefore, inner medullary venous blood may exchange not only with the arterial blood that is predetermined for the inner medulla, but also with blood predetermined for the inner stripe. Substances originating from the inner medulla could be trapped by countercurrent exchange to the inner medulla, but could also be shifted to the inner stripe capillary plexus, and thereby be offered to inner stripe tubules (see below).

In the complex type of medulla, the vascular bundles incorporate the descending thin limbs of short loops. In Psammomys , at the level of the inner stripe, the bundles consist of approximately 10% descending vasa recta, 45% ascending vasa recta, and 45% descending thin limbs, with the descending thin limbs being completely surrounded by ascending vasa recta. The difference between the simple and the complex types of bundles is even more pronounced when it is realized that the bundles in Psammomys no longer contain any vasa recta servicing the inner stripe. All vasa recta present in the giant bundles of Psammomys either descend to the inner medulla or ascend from the inner medulla. The vasa recta servicing the inner stripe in Psammomys descend or ascend, respectively, independent of the bundles. Thus, the giant bundles of the inner stripe in Psammomys appear to form a countercurrent trap for the inner medullary blood that is located in the inner stripe. In other species with complex bundles (rat, mouse), vasa recta servicing the inner stripe are not as strictly excluded from the bundles as in Psammomys ; even in these species the vascular bundles appear to be a countercurrent trap for mainly the inner medullary circulation.

The inner medulla develops very differently among species. Species with only short loops of Henle do not have an inner medulla; their urine concentrating ability is poor. All species with high urine concentrating ability have a well-developed inner medulla. It is characteristic for the inner medulla to taper from a broad basis to a papilla (or crest). The mass of the inner medulla is therefore unevenly distributed along the longitudinal axis. A study in the rat has shown that the decrease in the mass of the inner medulla along the longitudinal axis follows an exponential function. The upper half of the inner medulla accounts for roughly 80% of the total inner medullary volume, and consequently only 20% are left for the papillary half.

With regard to the ratio between Henle's loops and collecting ducts along the inner medulla, considerable differences are found when comparing the base with the tip of the inner medulla, as well as notable interspecies differences. In the rat, the ratio is about 2.5 (2.5 loops per one collecting duct) at the beginning of the inner medulla; this ratio rapidly decreases to about 1 toward the papilla. In the rabbit, the ratio increases from 3 at the beginning of the inner medulla to 9 within the papilla, then later decreases to 5 in the papillary tip. These data all await functional interpretation, thus indicating the limitation of our knowledge concerning structure–function correlations in the inner medulla.

An architectural pattern within the inner medulla is less apparent than in the outer medulla. Constant histotopographical relationships between certain structures or spatial separations of others do not seem to be as important to the function of the inner medulla compared to the outer medulla. When entering the inner medulla, the vascular bundles already contain a drastically decreased number of vasa recta. Towards the papilla, this number continues to decrease; finally single descending vasa recta enter the tip of the papilla. Ascending vasa recta in the inner medulla generally ascend independent of the bundles, which they finally join at the border of the inner stripe. Thus, in the inner medulla, the vasa recta are never as closely packed to bundles as they are in the inner stripe.

As far as vascular bundles are discernible, the collecting ducts are generally distanced from them. At the very beginning of the inner medulla, collecting ducts are still arranged in groups that reflect their grouping within the medullary rays of the cortex ( Figure 20.27 ). Joining of collecting ducts first occurs among the ducts of one group. Descending and ascending thin loop limbs, together with individually running vasa recta and capillaries, fill the spaces between the bundle centers and the collecting ducts. DTLs in general tend to be more distant from CDs, whereas ATLs tend to be positioned more closely to CDs ; a thin limb of Henle, regardless of whether descending or ascending, may be associated with both collecting ducts and/or vasa recta. Obviously, the interactions of the structures in the inner medulla are mediated through the wide interstitial spaces.

Figure 20.27, Inner medulla of the rabbit kidney; 1 µm cross-section through the upper part.

With regard to the functional connections of the inner medulla with the outer medulla, it is notable that all descending vasa recta servicing the inner medulla have already been established as individual vessels in the outer stripe and traverse the inner stripe within the bundles. All ascending vasa recta from the inner medulla traverse the inner stripe within the bundles without joining with ascending vasa recta from the inner stripe. The blood flow of the inner stripe and that of the inner medulla are apparently distinct from each other. In the outer stripe, however, venous vasa recta coming up from the inner medulla and those from the inner stripe finally take a similar route. Both traverse the outer stripe as wide capillary channels representing the major capillary supply of the outer stripe tubules.

Glomerulus (Renal Corpuscle)

The renal corpuscle consists of a tuft of specialized capillaries that protrudes into Bowman's space (urinary space) surrounded by Bowman's capsule (BC). The tuft consists of specialized capillaries held together by the mesangium and covered – as a whole – by the glomerular basement membrane (GBM), followed by a layer of unique epithelial cells, the podocytes. Traditionally, this layer is called the visceral epithelium of BC, which – at the vascular pole of the glomerular tuft – reflects into the parietal epithelium of BC. Nowadays, the term Bowman's capsule is generally used only for this parietal cell layer which – together with its basement membrane (parietal, BM, PBM) – forms the outer wall of a glomerulus. At the urinary pole, BC transforms into the proximal tubule epithelium, Bowman's space opens into the tubular lumen ( Figures 20.28 and 20.29 ).

Figure 20.28, Diagram of a longitudinal section through a glomerulus and its juxtaglomerular apparatus (JGA).

Figure 20.29, Longitudinal section through a glomerulus (rat).

The diameters of the – more or less – spherical renal corpuscles in different species range from approximately 100 µm (mouse) up to 300 µm (elephant), in humans they are approximately 200 µm, in rat 120 µm, and in rabbit 150 µm. In many species (rodents) the diameter of juxtamedullary renal corpuscles may exceed that of midcortical and superficial nephrons by up to 50 ; this does not hold true for the human kidney.

Architecture of the Glomerulus

The reflection of the parietal epithelium of Bowman's capsule into the visceral epithelium creates an oval opening in the glomerulus, which is called the glomerular hilum. Actually, it is the reflection of the GBM into the PBM (i.e., the basement membrane of the parietal epithelium of Bowman's capsule) that borders the opening. Through it the glomerular arterioles, together with the glomerular mesangium, enter the inner space of the GBM, which forms a complex folded sack. Inside this sack the glomerular capillaries pursue a tortuous course around centrally located mesangial axes. Together, capillaries and mesangium totally fill the labyrinthine spaces inside the GBM. The outer aspect of the GBM is covered by the visceral epithelium, i.e., by the podocytes. The glomerular tuft therefore consists of the glomerular capillaries and the mesangium inside the sack of the GBM (frequently called the “endocapillary compartment”), and the podocytes covering this sack from outside (“exocapillary compartment”).

The glomerular capillaries are derived from the afferent arteriole which – strictly at the entrance level – divides into several (two to five) primary capillary branches. Each of these branches gives rise to an anastomosing capillary network which runs toward the urinary pole and then turns back, running toward the vascular pole. Thereby, the glomerular tuft is subdivided into several (2–5) lobules, each of which contains an afferent and efferent capillary portion. The lobules are not strictly separated from each other; some anastomoses between lobules occur. The efferent portions of all lobules together establish the efferent domain of the capillary network out of which the efferent arteriole develops.

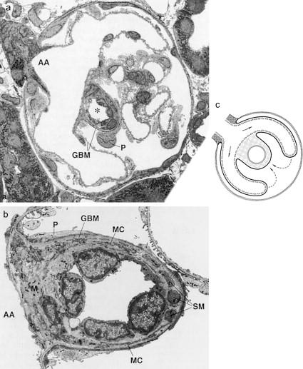
In contrast to the afferent arteriole, the efferent arteriole is already established inside the glomerular tuft; thus, the efferent arteriole has a significant intraglomerular segment which runs through the glomerular stalk ( Figures 20.30, 20.31 and 20.32 ). At this site, the efferent arteriole has close spatial relationships to the first branching of the afferent arteriole. After leaving the tuft, the efferent arteriole has a segment which is narrowly associated with the extraglomerular mesangium (see below). The intraglomerular segment is made up by a continuous endothelium which is fully separated from the GBM by a “mesangial layer” consisting of mesangial cell processes and matrix. Thus, this initial segment of the EA is fully embedded into the mesangium. Along the course through the extraglomerular mesangium, the mesangial and/or extraglomerular mesangial cells in its wall are gradually replaced by smooth muscle cells. Thereafter, the efferent vessel is established as a proper arteriole.

Figure 20.30, Schematic to show the branching pattern of the glomerular tuft.

Figure 20.31, Scanning electron micrograph of a vascular cast of a dog glomerulus with afferent (A) and efferent (E) arterioles.

Figure 20.32, (a) Narrow association between the afferent arteriole (AA) and the intraglomerular segment of the efferent arteriole (*, EA) as seen in a section approximately 15 µm inside a glomerulus. The afferent arteriole (AA) splits into primary branches. The branching point of the AA has a narrow spatial relationship to the inraglomerular segment of the EA (asterisk), which is located in the center of the tuft. The intraglomerular segment of the EA is enclosed – together with the AA – in a common compartment bordered by the GBM. (b) Higher magnification of the intraglomerular segment in a subsequent section with several conspicuous features: the lumen is narrow; the continuous endothelium consists of four cell bodies that bulge into the lumen; the endothelium is surrounded by a mesangial envelope made up of mesangial cells (MC) and matrix; a few smooth muscle cell processes ( SM ) are interspersed. AA and EA are separated only by mesangial tissue ( M ); there is no basement membrane separating the AA and EA. P , cell body of a podocyte attached to the GBM surrounding the EA. (c) Schematic of a cross-section through the glomerular vascular pole, showing the spatial relationships of the AA and EA within the glomerular stalk corresponding to the situation in (a). Immediately after its entry into the glomerulus, the AA splits into wide capillary branches with open endothelial pores. The branching point of the AA has a narrow spatial association with the outflow segment of the EA. The outflow segment is enclosed, together with the AA, in a common compartment bordered by the GBM. The EA is completely surrounded by a layer of mesangial tissue (shown in gray), and is separated from the AA only by this layer; there is no basement membrane between AA and EA. Broken arrows represent blood flow from afferent branches through the capillary network to the outflow segment (TEMs: (a) ×~1500; (b) ×~4300).

Glomerular capillaries are a specific type of blood vessel whose wall is made up of an endothelial tube only. A small strip of the outer circumference of this tube is in contact with the mesangium, the major part bulges toward the urinary space and is covered by the GBM, followed by the layer of podocyte foot processes. Taken together, these peripheral portions of the capillary wall represent the filtration area. The small juxtamesangial portion of the capillary wall is not underlain by a basement membrane, but directly abuts the mesangium. The glomerular mesangium constitutes the axis of a glomerular lobule, to which the glomerular capillaries are attached by their juxtamesangial portion. Apart from this attachment site, the mesangium is bounded by the perimesangial part of the GBM. Like the peripheral GBM, it is covered at its outer aspect by podocyte processes. At the turning points of the GBM the opposing parts of the GBM are interconnected by podocyte processes that are strongly armed with actin filaments.

The Glomerular Basement Membrane (GBM)

The glomerular basement membrane represents the skeletal backbone of the glomerular tuft. Topographically, the GBM consists of a peripheral (pericapillary) and a perimesangial part. At the border between both parts, the GBM changes from a convex pericapillary into a concave perimesangial course; the turning points are called mesangial angles.

During development, the GBM originates from the fusion of an endothelial and a podocytic basement membrane. In the adult, the collagen component of the GBM is solely derived from podocytes, whereas the laminin component originates from both podocytes and endothelial cells. The GBM is a remarkably stable structure; the in vivo loss of protein radioactivity suggests a half-life of more than 100 days. Nevertheless, a continuous turnover occurs, but few details are known about where and how new components are added, and others removed and degraded. Several extracellular matrix degrading enzymes have been found to be produced by podocytes and mesangial cells ; however, the relevance of these enzymes to the turnover of the GBM remains to be established.

The GBM varies in width among species. In humans the thickness ranges between 240 and 370 nm, in rat and other experimental animals it is between 110 and 190 nm. In electron micrographs of traditionally fixed tissue the GBM appears as a trilaminar structure made up of a lamina densa bounded by two less dense layers – the lamina rara interna and externa. Recent studies using freeze techniques reveal only one dense layer directly attached to the bases of the epithelium and endothelium.

The major components of the mature GBM include type IV collagen, type II laminin (= laminin 521), heparan sulphate proteoglycans (agrin, perlecan), and the glycoproteins entactin/nidogen ; type V and VI collagen have also been demonstrated.

The mature GBM is established during the development of a glomerulus from the S-shaped body to the capillary loop stage. During this transition, the collagen IV α 1 and α 2 chains are replaced by α 3 , α 4 , and α 5 chains, and the laminin α 1 and β 1 chains are replaced by α 5 and β 2 chains, the γ 1 chain remains preserved, together forming laminin 521. The components of the mature GBM are all synthesized by the podocytes. The functional importance of this specific composition of the GBM compared to basement membranes elsewhere in the body becomes evident when looking at their involvement in glomerular diseases: the various forms of Alport syndrome are caused by mutations in the genes encoding the α 3 , α 4 , and α 5 chains of collagen type IV; Goodpasture syndrome is mediated by antibodies against the α 3 collagen IV chain.

Current models depict the basic structure of the basement membrane as a three-dimensional network of collagen type IV. Monomers of type IV collagen consist of a triple helix of α 3 , α 4 , and α 5 chains measuring 400 nm in length which, at its carboxy-terminal end, has a large non-collagenous globular domain, called NC1. At the amino-terminus the helix possesses a triple helical rod 60 nm in length, the 7S domain. Interactions between the 7S domains of two triple helices or the NC1 domains of four triple helices allow collagen type IV monomers to form dimers and tetramers. In addition, triple helical strands interconnect by lateral associations via binding of NC1 domains to sites along the collagenous region.

Fibronectin, laminin, and entactin are the glycoproteins of the GBM ; the major one is laminin 521. Laminin forms a second network that is superimposed onto the collagenous network. Laminin is a noncollagenous glycoprotein consisting of three polypeptide chains, two of which are glycolylated and cross-linked by disulfide bridges. Laminin, via entactin, binds to specific sites on the polymerized network of type IV collagen, as well as to integrin and dystroglycan surface receptors of the podocytes and endothelial cells (see later). This combined network of type IV collagen and laminin is considered to provide mechanical strength to the basement membrane, and to serve as a scaffold for alignment of other matrix components.

The proteoglycans of the GBM consist of core proteins and covalently bound glycosaminoclycans which are concentrated in the laminae rarae internae and externae. The electronegative charge of the GBM is mainly due to these polyanionic proteoglycans. The major proteoglycans of the GBM are heparan sulfate proteoglycans; most prominent is agrin but perlecan is also present. Proteoglycan molecules aggregate to form a meshwork that is kept highly hydrated by water molecules trapped in the interstices of the matrix. Within the GBM heparan sulfate proteoglycans may act as an anticlogging agent to prevent hydrogen bonding and adsorption of anionic plasma proteins and maintain an efficient flow of water through the membrane.

The Cells of the Glomerular Tuft

Within the glomerular tuft three cell types ( Figure 20.33 ) are found which all contact the GBM: (1) mesangial cells; (2) endothelial cells; and (3) podocytes (visceral epithelial cells).

Figure 20.33, Schematic to show the arrangement of the structures in the glomerular tuft.

Mesangial cells, together with the mesangial matrix, establish the glomerular mesangium ( Figure 20.34 ). Mesangial cells are quite irregular in shape, with many processes extending from the cell body towards the GBM. In these processes (to a lesser extent also in cell bodies) dense assemblies of microfilaments are found which have been shown to contain actin, myosin, and α-actinin.

Figure 20.34, Section through a glomerular lobule (rat).

The processes of mesangial cells run towards the GBM, to which they are attached either directly or mediated by the interposition of microfibrils (see below). The GBM represents the effector structure of mesangial contractility. Mesangial–cell–GBM connections are especially prominent alongside the capillaries. At these sites mesangial cell processes (densely stuffed with microfilament bundles) extend underneath the capillary endothelium towards the mesangial angles of the GBM where they are anchored. Generally, these processes interconnect the GBM from two opposing mesangial angles ( Figure 20.35b ). Functionally, the microfilament bundles bridge the entire distance between both mesangial angles. In the axial mesangial region as well, numerous microfilament bundles extending through mesangial cell bodies and processes bridge opposing parts of the GBM. The connection of mesangial cell processes to the GBM is mediated by the integrin α3β1 and the Lutheran glycoprotein, which both adhere to the laminin α5 chain.

Figure 20.35, (a) Overview of a glomerular capillary (mouse).

The mesangial matrix fills the highly irregular spaces between the mesangial cells and the perimesangial GBM (for review see ). A large number of common extracellular matrix proteins have been demonstrated within the mesangial matrix, including several types of collagen (III, IV, V, and VI), heparin sulfate proteoglycans (including the small proteoglycans biglycan and decorin), fibronectin, laminin, and entactin, as well as fibrillin 1 and other specific elastic fiber proteins. Among these components, fibronectin is the most abundant, and has been shown to be associated with microfibrils.

The basic ultrastructural organization of the matrix is a network of microfibrils. In specimens prepared for TEM by routine methods a fine filamentous network is seen, which possibly corresponds to collagenous filaments. In specimens prepared by a technique that avoids osmium tetroxide and uses tannic acid for staining, the mesangial matrix is seen to contain abundant elastic microfibrils. Microfibrils are unbranched, noncollagenous tubular structures that have an indefinite length and are about 15 nm in diameter. They form a dense three-dimensional network establishing a functionally continuous medium anchoring the mesangial cells to the GBM. Distinct bundles of microfibrils may be regarded as “microtendons” that allow the transmission of contractile force of mesangial cells to specific sites of the GBM, predominantly to the mesangial angles. α-8 integrin serves as a specific matrix receptor in the mesangium.

Glomerular endothelial cells ( Figures 20.33, 20.34 and 20.35 ) are large flat cells consisting of a cell body (which contains all the usual cell organelles) and densely perforated peripheral parts. These regions are extremely attenuated and characterized by round to oval pores varying in diameter between 50 and 100 nm. Unlike fenestrae (unfortunately, these pores are frequently also called “fenestrae”), the pores of glomerular endothelial cells lack a diaphragm, they are virtually open ; ( Figures 20.36b and 20.37b ). Fenestrae bridged by diaphragms in glomerular capillaries are only found along the intraglomerular segment of the efferent arteriole and its tributaries. In rat, about 60% of the capillary surface is covered by the porous regions; the total area of pores occupies about 13% of the capillary surface. Micropinocytotic vesicles are very rare in glomerular endothelial cells, corroborating the fact that the open pores make transcytotic processes unnecessary.

Figure 20.36, (a) Podocyte (rat).

Figure 20.37, (a) Outer surface of glomerular capillaries (rat).

Glomerular endothelial cells contain the usual inventory of cytoplasmic organelles, generally located within the cell body cytoplasm. The endothelial skeleton comprises intermediate filaments and microtubules; individual pores are lined by clusters of microfilaments.

The luminal membrane of endothelial cells is highly negatively charged, due to a cell coat that also fills the pores like “sieve plugs”. It consists of several polyanionic glycoproteins including a sialoprotein called podocalyxin, which is considered as the major surface polyanion of glomerular endothelial as well as epithelial cells. Endothelial cells are active participants in the processes controlling coagulation, inflammation and immune processes. Glomerular endothelial cells synthesize and release endothelin-1, endothelium-derived relaxing factor (EDRF), and PDGF B. Glomerular endothelial cells have receptors for VEGF A and angiopoetin that are produced by podocytes. The continuous stimulation of glomerular endothelial cells by podocyte-derived VEGF A has major relevance for the maintenance of glomerular capillaries and the formation of pores instead of fenestrae.

Within the conspicuously narrow portion of the efferent arteriole (outflow segment) the endothelial cells are arranged in an eye-catching pattern: their cell bodies bulge into the lumen being longitudinally stretched, suggesting a specific shear stress receptor of glomerular capillaries.

Mature podocytes are highly-differentiated cells. In the developing glomerulus at the S-shaped body stage, podocytes are a simple polygonal shape connected by apical tight junctions. At the transition to the capillary loop stage the mitotic activity of the cells is completed, the interdigitating foot process pattern with basally located slit membranes instead of apical tight junctions is established, and the final number of podocytes is determined. In rat this point is reached soon after birth, in man it is established during prenatal life. Differentiated podocytes are unavailable for regenerative cell replication ; thus in the adult, lost podocytes cannot be replaced by division of the remaining cells. The only way to replace the function of lost podocytes is the hypertrophy of the remaining podocytes.

Podocytes have a voluminous smooth surfaced cell body ( Figures 20.36a and 20.37a ), which floats within the urinary space; it appears to adapt in shape to the surrounding flow conditions created by the filtrate. The cells give rise to long primary processes (frequently branching another time) that extend towards the capillaries, finally splitting apart into terminal processes, called foot processes, which affix to the GBM ( Figures 20.36 and 20.37a ). The foot processes of neighbouring podocytes regularly interdigitate with each other, leaving meandering slits (filtration slits) between them, which are bridged by an extracellular structure, the so-called slit diaphragm. Podocytes are polarized epithelial cells with a luminal and a basal cell membrane domain; the latter corresponds to the sole plates of the foot processes which are embedded into the GBM to a depth of 40 to 60 nm. The border between basal and luminal membrane is represented by the insertion of the slit diaphragm.

The cell body contains a prominent nucleus, a well-developed Golgi system ( Figure 20.36a ), abundant rough and smooth endoplasmic reticulum, prominent lysosomes (including abundant multivesicular bodies), and many mitochondria. In contrast to the cell body, the cell processes contain only a few organelles (except from multivesicular bodies). The density of organelles in the cell body indicates a high level of anabolic, as well as catabolic, activity. In addition to the work necessary to sustain the structural integrity of these specialized cells, all components of the GBM are synthesized by podocytes.

A well-developed cytoskeleton accounts for the complex shape of the cells. In the cell body and the primary processes, microtubules and intermediate filaments (vimentin, desmin) dominate, whereas microfilaments are densely accumulated in the foot processes. In addition, in the cell body and the primary processes, microfilaments are seen as a thin layer underlying the cell membrane.

The prominent bundles of microtubules in the large processes are associated with microtubule-associated proteins, including MAP3/MAP4 and tau. Moreover, like in neuronal dendrites, the microtubules of the podocyte foot processes are non-uniformly arranged with peripheral plus- and minus-end microtubules associated with the specific protein CHO1/MKLP1. In addition, the large processes contain the intermediate type filament protein vimentin.

In the foot processes a complete microfilament-based contractile apparatus is present. The microfilaments form loop-shaped bundles, with their limbs running in the longitudinal axis of the foot processes. The bends of these loops are located centrally at the transition to the primary processes, and are probably connected to the microtubules by “tau” which is concentrated at those sites. Tau is known from other places to mediate connections between microtubules and microfilaments. The microfilament bundles contain actin, myosin II, α-actinin, and synaptopodin ; synaptopodin, a novel podocyte-specific actin-associated protein interacts with α-actinin inducing the formation of long unbranched parallel bundles of microfilaments. Peripherally, the actin bundles anchor in the dense cytoplasm associated with the basal cell membrane of podocytes, i.e., the sole plates of foot processes.

Anchoring of the sole plates to the GBM is achieved by specific transmembrane receptors; two systems are so far known ( Figure 20.38 ). First, a specific integrin heterodimer, consisting of α 3 β 1 integrins, which bind within the GBM to collagen type IV, fibronectin, and laminin 521. Second, a dystroglycan complex connects the intracellular molecule utrophin to laminin 521, agrin, and perlecan in the GBM. Both integrins and dystroglycans are coupled via adapter molecules (paxillin, vinculin, α-actinin) to the podocyte cytoskeleton, allowing outside-in and inside-out signaling, as well as transmission of mechanical force in both directions. A major role in this issue is played by the integrin-linked kinase.

Figure 20.38, Glomerular filtration barrier.

A huge body of data has been accumulated in recent years concerning the inventory of receptors and signaling processes starting from podocytes. cGMP signaling (stimulated by ANP, BNP, and CNP, as well as by NO), cAMP signaling (stimulated by prostaglandin E 2 , dopamine, isoproterenol, PTH/PTHrP), and Ca 2+ signaling (stimulated by a huge number of ligands including angiotensin II, acetylcholine, PGF 2 , AVP, ATP, endothelin, histamine) have been identified. Among the cation channels, TRPC6, a nonselective Ca 2+ channel, has recently received attention, since mutations in the respective gene lead to hereditary FSGS. The major target of this signaling orchestra is the cytoskeleton, the concrete effects, however, are poorly-understood. Other receptors, such as for C3b, TGFß, FGF2, and various other cytokines and chemokines have been shown to be involved in the development of podocyte diseases (for details see ). Megalin, a multi-ligand endocytotic receptor, is associated with coated bits ; it represents the major antigen of rat Heymann nephritis.

The filtration slits are the site of convective fluid flow through the visceral epithelium. They have a width of 30 to 40 nm and are bridged by the slit membrane. The structure and molecular composition of this proteinaceous membrane is insufficiently understood. Chemically fixed and tannic acid treated tissue reveals a zipper-like structure with a row of “pores” approximately 4 × 14 nm on either side of a central bar. According to its dimension and its components (as far as is known) the slit diaphragm may be considered as a specific adherens-like intercellular junction. Intensive research in recent years has uncovered several transmembrane proteins that participate in the formation of the slit membrane, including nephrin, Neph1, P-cadherin, and FAT ( Figure 20.38 ). Other molecules, such as ZO1, Podocin, CD2AP, and catenins mediate the connection to the actin cytoskeleton (see below). Nephrin is a member of the immunoglobin superfamily (IgCAM); its gene NPHS1 has been identified as the gene whose mutations cause congenital nephritic syndrome of the Finnish type. In addition to its role as a structural component, nephrin acts as a signaling molecule that can activate MAP kinase cascades. Neph1 is considered as a ligand for nephrin. Podocin belongs to the raft associated stomatin family, whose gene NPHS2 is mutated in a subgroup of patients with autosomol-recessive stereoid-resistent nephrotic syndrome. These patients show disease onset in early childhood and rapid progression to end-stage renal failure. Podocin interacts with nephrin and CD2AP. FAT is a novel member of the cadherin superfamily, with 34 tandem cadherin-like extracellular repeats and a molecular weight of 516 kDa. Because FAT has a huge extracellular domain, it is speculated that it dominates the molecular structure of the slit membrane ; the FAT mutant mouse fails to develop a slit membrane. P-cadherin is thought to mediate the linkage to ß- and γ-catenin with its intracellular domain, a complex which then connects to the actin cytoskeleton via α-catenin and α-actinin. Taken together, many components of the slit membrane are known, but an integrative model of its substructure including all components is so far lacking.

The luminal membrane and the slit diaphragm are covered by a thick surface coat which is rich in sialoglycoproteins (including podocalyxin, podoendin, and others) that are responsible for the high negative surface charge of the podocytes. Podocalyxin is anchored to the actin cytoskeleton beneath the cell membrane via the linker protein NHERF 2 (Na + /H + exchanger regulatory factor 2) and ezrin. The surface charge of podocytes contributes to the maintenance of the interdigitating pattern of the foot processes. In response to neutralization of the surface charge by cationic substances (e.g., protamine sulfate), the foot processes retract, resulting in what is called “foot process effacement”.

Filtration Barrier

The walls of glomerular capillaries represent a specific barrier which is very permeable to water, and yet able to prevent all but very minute losses of serum albumin and other major plasma proteins from the circulation. The glomerular capillary wall consists of three distinct layers ( Figures 20.36b and 20.37 ). Starting at the capillary lumen, there is the porous endothelium, followed by the GBM, and the layer of interdigitating foot processes with the filtration slits in between.

The high hydraulic permeability of this barrier suggests that the filtrate pathway is entirely extracellular, passing through the endothelial fenestrae, across the GBM, and through the slit diaphragms of the filtration slits. According to a calculation by Drumond and Deen, the hydraulic resistance of the endothelium is negligible. The GBM and the filtration slits each make up roughly one half of the total hydraulic resistance of the filtration barrier.

Charge, size, and shape determine the specific permeability of a macromolecule. It is now generally accepted that the charge barrier plays an important part in preventing polyanionic macromolecules such as albumin from passing through the glomerular filter. All components of the glomerular filter are heavily laden with negative charges. Recent investigation suggests that the negative residues of the endothelium play the major role in establishing a negative charge field which considerably decreases the entry of polyanionic macromolecules, i.e., albumin, into the filter.

With regard to the size selectivity, direct experimental findings, as well as recent findings about the molecular composition of the slit membrane (see above) and the consequences of genetic mutations in these components, suggest that it is for the major part the slit membrane which is responsible for the size selectivity; it appears to be the main barrier for uncharged large molecules.

There is another major unresolved problem in glomerular physiology, namely the regulation of the ultrafiltration coefficient Kf. Kf is the product of the local hydraulic permeability and the filtration area. There has been a widespread belief that Kf is regulated through changes in the filtration area due to an action of the mesangium. However, the structural arrangement of the mesangium, as well as several morphometric studies, do not support such an assumption. Dimensional changes in just the slit membrane area have also been regarded as a reasonable and, theoretically, very effective site to change Kf. In pathological conditions, e.g., in membranous nephropathy, the decrease in Kf correlates perfectly with the decrease in total slit length. With respect to acute regulatory mechanisms under physiological conditions, however, no convincing morphometric data have been published showing that changes in Kf are correlated with corresponding dimensional changes in the slit membrane. Thus, the question of where and how Kf is regulated remains an open problem.

Stability of the Glomerular Tuft

The glomerular tuft is constantly exposed to comparably high intraglomerular pressures within glomerular capillaries and mesangium. The high intraglomerular pressures challenge not only the glomerular capillaries themselves, but also the folding pattern of the glomerular tuft. Increased pressures lead to loss of the folding pattern, and to dilation of the glomerular capillaries. Therefore, we have to ask what are the specific structures and mechanisms that counteract the expansile forces in the glomerular tuft. To answer this question we have to distinguish between the structures and mechanisms maintaining: (1) the folding pattern of the glomerular tuft; and those maintaining (2) the width of glomerular capillaries ( Figure 20.39 ).

Figure 20.39, Schematic to show the mechanisms that stabilize the glomerular tuft against expansion (relevant structures are highlighted in dark gray).

The folding pattern of the glomerular tuft is primarily sustained by the mesangium. Mesangial cells are connected to the GBM by their contractile processes (see above); by centripetal contractions they maintain the infoldings of the GBM, thereby allowing the capillaries to arrange in the peripheral expansion of the GBM. This supporting role of mesangial cells is best illustrated under circumstances with loss of mesangial cells, such as Thy-1 nephritis. Under those circumstances the folding pattern of the GBM is progressively lost, finally resulting in mesangial aneurysms. Podocytes clearly contribute to the maintenance of the folding pattern by specific cell processes that interconnect opposing parts of the GBM from outside within the niches of the infoldings. This function is again clearly illustrated in Thy-1 nephritis under circumstances with loss of mesangial support: podocytes are capable of maintaining a high degree of the GBM folding pattern for 2–4 days, after which they fail and mesangial aneurysms become prominent.

The width of glomerular capillaries, in the long run, is probably controlled by growth processes accounting for different-sized capillaries. The width of a given capillary, in an acute situation being exposed to changes in blood pressure, appears to be stabilized by the GBM which is a strong elastic structure and, together with the mesangial cell bridges (see above), is capable of developing wall tension. In addition, the tensile strength of the GBM is reinforced by podocytes. Podocytes are a kind of pericyte; their foot processes represent a unique type of pericyte process which, like elsewhere in the body, counteract the dilation of the vessel. Podocyte processes are firmly attached to the underlying GBM (see above); their cytoskeletal tonus counteracts the elastic extension of the GBM. Podocytes cannot be replaced by any other cell; failure in this function will lead to capillary dilation.

Parietal Epithelium of Bowman's Capsule

The parietal layer of Bowman's capsule consists of squamous epithelial cells resting on a basement membrane ( Figure 20.29 ). The cells are of polygonal shape and contain prominent bundles of actin filaments running in all directions. Microfilament bundles are especially prominent in the parietal cells surrounding the vascular pole, where they are located within cytoplasmic ridges that run in a circular fashion around the glomerular entrance.

The basement membrane of the parietal epithelium (PBM) is, at variance with the GBM, composed of several dense layers which are separated by translucent layers and contain bundles of fibrils. Recent studies suggest a role of type XIV collagen in the organization of the multilayered PBM. In contrast to the GBM, the predominant proteoglycan of the PBM is a chondroitin sulfate proteoglycan. The transition from the GBM to the PBM borders the glomerular entrance. This transitional region is mechanically connected to the smooth muscle cells of the afferent and efferent arterioles as well as to extraglomerular mesangial cells.

At the urinary pole, the flat parietal cells transform into proximal tubule cells. In some cases the flat cells may continue for a certain distance as a so-called neck segment of the tubule (rabbit) or the typical proximal tubule epithelium generally starts within the glomerular capsule. This is the case in the mouse, most pronounced in males.

In rare cases, parietal epithelial cells may be replaced by podocytes (“parietal podocytes”) which display a process pattern identical to that of podocyte proper of the tuft. At such sites, the PBM is similar to the GBM and capillaries may attach from outside. As shown recently, parietal podocytes are regularly found when ß-catenin is deleted in renal epithelial cells during development at the S-shaped body stage. Recent observations suggest that a niche of glomerular epithelial stem cells resides within the parietal epithelium at the transition to the proximal tubule.

It is an intriguing hypothesis that proliferating stem cells from this locus may transform into podocytes and may reach the tuft via the transitions of the epithelia at the glomerular vascular pole. Migration of parietal cells via the vascular pole and subsequent transition into podocytes has been shown to occur in the new-born mouse. However, evidence that such a process may be of any relevance in the adult has so far not been presented.

Structural Organization of Renal Electrolyte Transporting Epithelia

General Overview of Renal Epithelial Organization

The renal tubular epithelia function as selective barriers between the tubular fluid in the luminal compartment and the interstitial compartment that communicates with the blood compartment. The epithelium consists of a single layer of cells, resting on a basement membrane composed of extracellular matrix. The cells are interconnected by junctional complexes that encircle each individual cell like a belt. The tight junction (zonula occludens) separates the luminal compartment from the lateral intercellular space and is the boundary between the apical plasma membrane domain, facing the tubular fluid, and the basolateral membrane domain, which lines the intercellular compartments and is in contact with the basement membrane. The intermediate junctions (zonula adherens), and the patches of desmosomes (maculae adherentes) provide mechanical adherence. Gap junctions that provide intercellular communication exist exclusively in the proximal tubule.

This basic organization of the epithelium ( Figure 20.40 ) implies two transepithelial transport pathways for solutes and macromolecules: (1) the paracellular pathway across the tight junctions and the lateral intercellular spaces (the passage of solutes through the paracellular pathway is driven by the transepithelial electrochemical and oncotic gradients); (2) the transcellular pathway across the luminal membrane domain, the cellular cytoplasm and the basolateral membrane domain, and vice versa (the passage of solutes via the transcellular pathway occurs mostly against electrochemical gradients and is energy-dependent).

Figure 20.40, Schematic drawing, demonstrating the essential structural features of renal transporting epithelia.

You're Reading a Preview

Become a Clinical Tree membership for Full access and enjoy Unlimited articles

Become membership

If you are a member. Log in here