Structural Imaging Using Magnetic Resonance Imaging and Computed Tomography


Computed Tomography

Computed tomography (CT; other terms include computer assisted tomography [CAT]) has been commercially available since 1973. The term tomography (i.e., to slice or section) refers to a process for generating two-dimensional (2D) image slices of an examined organ of three dimensions (3D). CT imaging is based on the differential absorption of x-rays by various tissues. X-rays are electromagnetic waves with wavelengths falling in the range of 10–0.01 nm on the electromagnetic spectrum. X-rays can also be described as high-energy photons, with corresponding energies varying between 124 and 124,000 electron volts, respectively. X-rays in the higher range of energies, known as hard x-rays , are used in diagnostic imaging because of their ability to penetrate tissue, yet (to an extent), also be absorbed or scattered differentially by various tissues, allowing for the generation of image contrast.

Owing to their high energy, x-rays are also a form of ionizing radiation, and the health risks associated with their use, although minimal, should always be accounted for in diagnostic imaging. The x-rays generated by the x-ray source of the CT scanner are shaped into an x-ray beam by a collimator , a rectangular opening in a lead shield. The beam penetrates the slab of tissues to be imaged, which will absorb/deflect it to a varying degree depending on their atomic composition, structure, and density ( photoelectric effect and Compton scattering ). The remaining x-rays emerge from the imaged slab and are measured by detectors located opposite the collimator. In fourth-generation CT scanners, the detectors are in a fixed position and the x-ray source rotates around the patient. As the beam of x-rays is transmitted through the imaged body part, sweeping a 360-degree arc for each slice imaged, the emerging x-rays are collected; then a computer analyzes the output of the detectors and calculates the x-ray attenuation of each individual tissue volume (voxel).

The degree of x-ray absorption by the various tissues is expressed and displayed as shades of gray in the CT image. Darker shades correspond to less attenuation. The attenuation by each voxel of tissue is projected on the flat image of the scanned slice as a tiny quadrilateral, generally square, called a pixel or picture element. Depending on the reconstruction matrix, a slice will be represented by more or fewer pixels, corresponding to more or less resolution. The shade of gray in each pixel corresponds to a number on an arbitrary linear scale, expressed as Hounsfield units (HU). This number varies between approximately −1000 and 3000+, with values of greater magnitude corresponding to tissues or substances of greater radiodensity, which are depicted in lighter tones. The −1000 value is for air; 0 is for water. Bone is greater than several hundred units, but cranial bone can be 2000 or even more. Fresh blood (with a normal hematocrit) is about 80 units; fat is −50 to −80. Tissues or materials with higher degrees of x-ray absorption, shown in white or lighter shades of gray, are referred to as hyperdense , whereas those with lower x-ray absorption properties are hypodense ; these are relative terms compared with other areas of any given image.

By changing the settings of the process of transforming the x-ray attenuation values to shades on the grayscale, it is possible to select which tissues to preferentially display in the image. This is referred to as windowing . Utilizing a bone window, for instance, is very useful for evaluating fractures in cases of craniofacial trauma ( Fig. 40.1 ).

Fig. 40.1, Computed Tomography Scan from a 32-Year-Old Patient After a Motor Vehicle Accident.

In CT imaging, contrast agents are frequently used for the purpose of detecting abnormalities that cause disruption of the blood–brain barrier (BBB; e.g., certain tumors, inflammation, etc.). The damaged BBB allows for the net diffusion of contrast material into the site of pathology, where it is detected; this is referred to as contrast enhancement . Contrast materials used in CT scanning contain iodine in an injectable water-soluble form. Iodine is a heavy atom; its inner electron shell absorbs x-rays through the process of photoelectric capture . Even a small amount of iodine effectively blocks the transmitted x-rays so they will not reach the detector. The high x-ray attenuation/absorption will result in hyperdense appearance in the image. Other CT techniques requiring contrast administration are CT angiography (CTA), CT myelography, and CT perfusion studies.

More than 20 years ago, a fast-imaging technique called spiral (or helical ) CT scanning was introduced to clinical practice. With this technique, the x-ray tube in the gantry rotates continuously, but data acquisition is combined with continuous movement of the patient through the gantry. The circular rotating path of the x-rays, combined with the linear movement of the imaged body, results in a spiral or helix-shaped x-ray path—hence the name. These scanners can acquire data rapidly, and a large volume can be scanned in 20–60 seconds. This technique offers several advantages, including more rapid image acquisition. During the short scan time, patients can usually hold their breath, which reduces/minimizes motion artifacts. Timing of contrast bolus administration can be optimized, and less contrast material is sufficient. The short scan time, optimal contrast bolus timing, and better image quality are very useful in CTA, where cervical and intracranial blood vessels are visualized. These images can also be reformatted as 3D views of the vasculature, which are often displayed in color and can be depicted along with reformatted bone or other tissues in the region of interest (ROI; Fig. 40.2 ).

Fig. 40.2, Computed Tomography Angiogram with 3D Reconstruction.

Superfast CT scanners have become available in the past 5 years. Multiplying the number of detectors by 4 can result in obtaining 64 slices of an organ in a fraction of a second. They are particularly useful in cardiology and also allow for the acquisition of perfusion images of the entire brain. One shortcoming is a greater exposure to ionizing radiation per scan.

Magnetic Resonance Imaging

Basic Principles

Magnetic resonance imaging (MRI) is based on the magnetic characteristics of the imaged tissue. It involves creation of tissue magnetization (which can then be manipulated in several ways) and detection of tissue magnetization as revealed by signal intensity. The various degrees of detected signal intensity provide the image of a given tissue.

In clinical practice, MRI uses the magnetic characteristics inherent to the protons of hydrogen nuclei in the tissue, mostly in the form of water but to a significant extent in fat as well. The protons spin about their own axes, which creates a magnetic dipole moment for each proton ( Fig. 40.3 ). In the absence of an external magnetic field, the axes of these dipoles are arranged randomly, and therefore the vectors depicting the dipole moments cancel each other out, resulting in a zero net magnetization vector and a zero net magnetic field for the tissue.

Fig. 40.3, A, Magnetization in a magnetic resonance imaging scanner. Direction of external magnetic field is in the head–foot direction in the scanner. However, in diagrams that follow, the frame of reference is turned, so that the z direction is up (inset) . B, Precession. In an external magnetic field (B 0 ) , protons spin around their own axis and “wobble” about the axis of the magnetic field. This phenomenon is called precession.

This situation changes when the body is placed in the strong magnetic field of a scanner (see Fig. 40.3, A ). The magnetic field is generated by an electric current circulating in wire coils that surround the open bore of the scanner. Most MRI scanners used in clinical practice are superconducting magnets. Here the electrical coils are housed at near-absolute zero temperature, minimizing their resistance and allowing for the strong currents needed to generate the magnetic field without undue heating. The low temperature is achieved by cryogens (liquid nitrogen or helium). Most clinical scanners in commercial production today produce magnetic fields at strengths of 1.5 or 3.0 tesla (T).

When the patient is placed in the MRI scanner, the magnetic dipoles in the tissues line up relative to the external magnetic field. Some dipoles will point in the direction of the external field (“north”), some will point in the opposite direction (“south”), but the net magnetization vector of the dipoles (the sum of individual spins) will point in the direction of the external field (“north”), and this will be the tissue’s acquired net magnetization. At this point, a small proportion of the protons (and therefore the net magnetization vector of the tissue) is aligned along the external field (longitudinal magnetization), and the protons precess with a certain frequency. The term precession describes a proton spinning about its own axis and its simultaneous wobbling about the axis of the external field (see Fig. 40.3, B ). The frequency of precession is directly proportional to the strength of the applied external magnetic field.

As a next step, a radiofrequency pulse is applied to the part of the body being imaged. This is an electromagnetic wave, and if its frequency matches the precession frequency of the protons, resonance occurs. Resonance is a very efficient way to give or receive energy. In this process, the protons receive the energy of the applied radiofrequency pulse. As a result, the protons flip and the net magnetization vector of the tissue ceases transiently to be aligned with that of the external field but flips into another plane; thereby transverse magnetization is produced. One example of this is the 90-degree radiofrequency pulse that flips the entire net magnetization vector by 90 degrees to the transverse (horizontal) plane ( Fig. 40.4 ). What we detect in MRI is this transverse magnetization, and its degree will determine the signal intensity . Through the process of electromagnetic induction, rotating transverse magnetization in the tissue induces electrical currents in receiver coils , thus accomplishing signal detection. Several cycles of excitation pulses by the scanner with detection of the resulting electromagnetic signal from the imaged subject are repeated per imaged slice. This occurs while varying two additional magnetic field gradients along the x and y axes for each cycle. Varying the magnetic field gradient along these two additional axes, known as phase and frequency encoding , is necessary to obtain sufficient information to decode the spatial coordinates of the signal emitted by each tissue voxel. This is accomplished using a mathematical algorithm known as a Fourier transform . The final image is produced by applying a gray scale to the intensity values calculated by the Fourier transform for each voxel within the imaging plane, corresponding to the signal intensity of individual tissue elements.

Fig. 40.4, Flipping the Net Magnetization Vector.

T1 and T2 Relaxation Times

During the process of resonance, the applied 90-degree radiofrequency pulse flips the net magnetization vectors of the imaged tissues to the transverse (horizontal) plane by transmitting electromagnetic energy to the protons. The radiofrequency pulse is brief, and after it is turned off, the magnitude of the net magnetization vector starts to decrease along the transverse or horizontal plane and return (“recover or relax”) toward its original position, in which it is aligned parallel to the external magnetic field. The relaxation process, therefore, changes the magnitude and orientation of the tissue’s net magnetization vector. There is a decrease along the horizontal or transverse plane and an increase (recovery) along the longitudinal or vertical plane ( Fig. 40.5 ).

Fig. 40.5, T1 and T2 Relaxation.

To understand the meaning of T1 and T2 relaxation times, the decrease in the magnitude of the horizontal component of the net magnetization vector and its simultaneous increase in magnitude along the vertical plane should be analyzed independently. These processes are in fact independent and occur at two different rates, with T2 relaxation always occurring more rapidly than T1 relaxation ( Fig. 40.6 ). The T1 relaxation time refers to the time required by protons within a given tissue to recover 63% of their original net magnetization vector along the vertical or longitudinal plane immediately after completion of the 90-degree radiofrequency pulse. As an example, a T1 time of 2 seconds means that 2 seconds after the 90-degree pulse is turned off, the given tissue’s net magnetization vector has recovered 63% of its original magnitude along the vertical (longitudinal) plane. Different tissues may have quite different T1 time values (T1 recovery or relaxation times). T1 relaxation is also known as spin-lattice relaxation .

Fig. 40.6, This diagram illustrates the simultaneous recovery of longitudinal magnetization ( T1 relaxation) and decay of horizontal magnetization ( T2 relaxation) after the radiofrequency pulse is turned off.

While T1 relaxation relates to the longitudinal plane, T2 relaxation refers to the decrease of the transverse or horizontal magnetization vector. When the 90-degree pulse is applied, the entire net magnetization vector is flipped in the horizontal or transverse plane. When the pulse is turned off, the transverse magnetization vector starts to decrease. The T2 relaxation time is the time it takes for the tissue to lose 63% of its original transverse or horizontal magnetization. As an example, a T2 time of 200 ms means that 200 ms after the 90-degree pulse has been turned off, the tissue will have lost 63% of its transverse or horizontal magnetization. The decrease of the net magnetization vector in the horizontal plane is due to dephasing of the individual proton spins as they precess at slightly different rates owing to local inhomogeneities of the magnetic field. This dephasing of the individual proton magnetic dipole vectors causes a decrease of the transverse component of the net magnetization vector and loss of signal. T2 relaxation is also known as spin-spin relaxation . Just like the T1 values, the T2 time values of different tissues may also be quite different. Tissue abnormalities may alter a given tissue’s T1 and T2 time values, ultimately resulting in the signal changes seen on the patient’s MR images.

Repetition Time and Time to Echo

As mentioned earlier, the amount of the signal detected by the receiver coils depends on the magnitude of the net magnetization vector along the transverse or horizontal plane. Using certain operator-dependent parameters, it is possible to influence how much net magnetization strength (in other words, vector length) will be present in the transverse plane for the imaged tissues at the time of signal acquisition. During the imaging process, the initial 90-degree pulse flips the entire vertical or longitudinal magnetization vector into the horizontal plane. When this initial pulse is turned off, recovery along the longitudinal plane begins (T1 relaxation). Subsequent application of a second radiofrequency pulse at a given time after the first pulse will flip the net magnetization vector that recovered so far along the longitudinal plane back to the transverse plane. As a result, we can measure the magnitude of the net longitudinal magnetization that had recovered within each voxel at the time of application of the second pulse, provided that signal acquisition is begun immediately afterward. The time between these radiofrequency pulses is referred to as repetition time , or TR ( Fig. 40.7 ). It is important to realize that contrary to the T1 and T2 times, which are properties of the given tissue, the TR is a controllable parameter. By selecting a longer TR, for instance, we allow more time for the net magnetization vector to recover before we flip it back to the transverse plane for measurement. A longer TR, because it increases the amount of signal that can potentially be detected, will also result in a higher signal-to-noise ratio, with higher image quality.

Fig. 40.7, Repetition Time.

As described earlier, the other process that begins after the initial radiofrequency pulse is turned off is the decrease of net horizontal or transverse magnetization, owing to dephasing of the proton spins (T2 relaxation). Time to echo (TE) refers to the time we wait until we measure the magnitude of the remaining transverse magnetization. TE, just like TR, is a parameter controlled by the operator. If we use a longer TE, tissues with significantly different T2 values (i.e., different rates of loss of transverse magnetization component) will show more difference in the measured signal intensity (transverse magnetization vector size) when the signals are collected. However, there is a tradeoff. If the TE is set too high, the signal-to-noise ratio of the resulting image will drop to a level that is too low, resulting in poor image quality.

Tissue Contrast (T1, T2, and Proton Density Weighting)

By using various TR and TE values, it is possible to increase (or decrease) the contrast between different tissues in an MR image. Achieving this contrast may be based on either the T1 or the T2 properties of the tissues in conjunction with their proton density (PD). Selecting a long TR value reduces the T1 contrast between tissues ( Fig. 40.8 ). Thus, if we wait long enough before applying the second 90-degree pulse, we allow enough time for all tissues to recover most of their longitudinal or vertical magnetization. Because T1 is relatively short, even for tissues with the longest T1, this is possible without resulting in excessively long scan times. Since after a long TR the longitudinally oriented net magnetization vectors of separate tissue types are all of similar magnitudes prior to being flipped into the transverse plane by the second pulse, a long TR will result in little T1 tissue contrast. Conversely, by selecting a short TR value, there will be significant variation in the extent to which tissues with different T1 relaxation times will have recovered their longitudinal magnetization prior to being flipped by the second 90-degree pulse (see Fig. 40.8 ). Therefore, with a short TR, the second pulse will flip magnetization vectors of different magnitudes into the transverse plane for measurement, resulting in more T1 contrast between the tissues.

Fig. 40.8, T1 Weighting.

During T2 relaxation in the transverse plane, selecting a short TE will give higher measured signal intensities (as a short TE will not allow enough time for significant dephasing, i.e., transverse magnetization loss), but tissues with different T2 relaxation times will not show much contrast ( Fig. 40.9 ). This is because by selecting a short time until measurement (short TE), we do not allow significant T2-related magnitude differences to develop. If we select longer TE values, tissues with different T2 relaxation times will have time to lose different amounts of transverse magnetization, and therefore by the time of signal measurement, different signal intensities will be measured from these different tissues (see Fig. 40.9 ). This is referred to as T2 contrast .

Fig. 40.9, T2 Weighting.

Based on the described considerations, selecting TR and TE values that are both short will increase the T1 contrast between tissues, referred to as T1 weighting . Selecting long TR and long TE values will cause increased T2 contrast between tissues, referred to as T2 weighting .

On T1-weighted images, substances with a longer T1 relaxation time (such as water) will be darker. This is because the short TR does not allow as much longitudinal magnetization to recover, so the vector flipped to the transverse plane by the second 90-degree pulse will be smaller with a lower resulting signal strength. Conversely, tissues with shorter T1 relaxation times (such as fat or some mucinous materials) will be brighter on T1-weighted images, as they recover more longitudinal magnetization prior to their proton spins being flipped into the transverse plane by the second 90-degree pulse ( Fig. 40.10 ). Among many other applications of T1-weighted images, they allow for evaluation of BBB breakdown: areas with abnormally permeable BBB show increased signal after the intravenous administration of gadolinium. Gadolinium administration is contraindicated in pregnancy. Breastfeeding immediately after receiving gadolinium is generally regarded to be safe ( ). Renally impaired patients are susceptible to an uncommon but serious adverse reaction to gadolinium, nephrogenic systemic fibrosis ( ).

Fig. 40.10, Axial T1-Weighted Image of a Normal Subject, Obtained With a 3-T Scanner.

On T2-weighted images, substances with longer T2 relaxation times (e.g., water) will be brighter because they will not have lost as much transverse magnetization magnitude by the time the signal is measured ( Fig. 40.11 ). The T1 and T2 signal characteristics of various tissues or substances found in neuroimaging are listed in Table 40.1 .

Fig. 40.11, Axial T2-Weighted Image of a Normal Subject, Obtained With a 3-T Scanner.

TABLE 40.1
Magnetic Resonance Imaging Signal Intensity of Some Substances Found in Neuroimaging
T1-Weighted Image T2-Weighted Image
Air ↓ ↓ ↓ ↓ ↓ ↓ ↓ ↓
Free water/CSF ↓ ↓ ↓ ↑ ↑ ↑
Fat ↑ ↑ ↑
Cortical bone ↓ ↓ ↓ ↓ ↓ ↓
Bone marrow (fat) ↑ ↑
Edema ↑ ↑
Calcification ↓ (Heavy amounts of Ca ++ )
↑ (Little Ca ++ , some Fe +++ )
Mucinous material
Gray matter Lower than in T2-WI
White matter Higher than in T2-WI
Muscle Similar to gray matter Similar to gray matter
Blood products:
  • Oxyhemoglobin

Similar to background
  • Deoxyhemoglobin

  • Intracellular methemoglobin

↑ ↑
  • Extracellular methemoglobin

↑ ↑ ↑ ↑
  • Hemosiderin

↓ ↓ ↓
CSF, Cerebrospinal fluid; T2-WI, T2-weighted image.

What happens if we select long TR and short TE values? With the longer TR, the T1 differences between the tissues diminish, whereas the short TE does not allow much T2 contrast to develop. The signal intensity obtained from the various tissues, therefore, will mostly depend on their relative proton densities. Tissues having more PD, and thereby larger net magnetization vectors, will have greater signal intensity. This set of imaging parameters is referred to as proton density weighting .

Magnetic Resonance Image Reconstruction

To construct an MR image, a slice of the imaged body part is selected; then the signal coming from each of the voxels making up the given slice is measured. Slice selection is achieved by setting the external magnetic field to vary linearly along one of the three principal axes perpendicular to the axial, sagittal, and coronal planes of the subject being imaged. As a result, protons within the slice to be imaged will precess at a Larmor frequency different from the Larmor frequency within all other imaging planes perpendicular to the axis along which the magnetic field gradient is applied. The Larmor frequency is the natural precession frequency of protons within a magnetic field of a given strength and is calculated simply as the product of the magnetic field, B 0 , and the gyromagnetic ratio, γ. The precession frequency of a hydrogen proton is therefore directly proportional to the strength of the applied magnetic field. The gyromagnetic ratio for any given nucleus is a constant, with a value for hydrogen protons of 42.58 MHz/T. In slices at lower magnetic strengths of the gradient, the protons precess more slowly, whereas in slices at higher magnetic field strengths, the protons precess more quickly. Based on the property of nuclear magnetic resonance, the applied radiofrequency pulse (which flips the magnetization vector to the transverse plane) will stimulate only those protons with a precession frequency that matches the frequency of the applied radiofrequency pulse. By selecting the frequency of the stimulating radiofrequency pulse during the application of the slice selection gradient, we can choose which protons (those with a specific Larmor frequency) to stimulate (“make resonate”), and thereby we can select which slice of the body to image ( Fig. 40.12 ).

Fig. 40.12, Slice Selection Gradient.

After excitation of the slice to be imaged, using the slice selection gradient, the spatial coordinates of each voxel within the slice must be encoded to determine how much signal is coming from each voxel of that slice. This is achieved by means of two additional gradients that are orthogonal to each other within the imaging plane, known as the frequency encoding gradient and the phase encoding gradient . The phase encoding gradient briefly alters the precession frequency of the protons along the axis to which it is applied, thereby changing the relative phases of the precessing protons along this in-plane axis. The frequency encoding gradient, applied orthogonally to the phase encoding gradient within the imaging plane, alters the precession frequency of the protons along the axis to which it is applied, during the acquisition of the MRI signal. As a result of these encoding steps, each voxel will have its own unique frequency and its own unique phase shift, which upon repeating the acquisition with several incremental changes in the phase encoding gradient will allow for deduction of the spatial localization of different intensity values for each voxel using a mathematical algorithm known as a Fourier transform . Phase encoding takes time; it has to be performed for each row of voxels in the image along the phase encoding axis. Therefore, the higher the resolution of the image along the phase encoding axis, the longer the time required to acquire the image for that slice of tissue.

Spin Echo and Fast (Turbo) Spin Echo Techniques

Conventional spin echo imaging is time consuming because the individual echoes are obtained one by one, using a unique strength for the phase encoding gradient at each step in the acquisition of a given slice. The signal from each echo is acquired after a time period equal to one TR after the prior echo. During acquisition and digitization of the signal, with each such step, one row of data space (k-space) is filled. To fill the entire data space for one image, this process has to be repeated as many times as the number of phase encoding steps needed to obtain the image. To express this time in seconds, the number of phase encoding steps are multiplied by the TR. Distinct from the conventional spin echo technique, in fast (turbo) spin echo imaging (FSE), within each TR period, multiple echoes at various TE values are obtained, and a new phase encoding step is applied before each of these echoes. The number of echoes obtained for the encoding of each line of k-space in the FSE technique is referred to as the echo train length . Each echo will fill a new line within the k-space data set. Therefore, instead of filling just one line with each TR, multiple lines are filled, and the data space acquisition is completed much more quickly. It is important to realize that even though only a single TE is typically displayed on the MRI technician’s imaging console (this is sometimes referred to as effective TE ) during acquisition of FSE images, multiple TE times are actually used. The obvious advantage of fast spin echo imaging is that by filling up k-space much more quickly, the scan time is significantly reduced. This improves image quality by increasing the signal-to-noise ratio. The increased signal, however, may at times be a disadvantage (e.g., identifying a periventricular [PV] hyperintense lesion adjacent to brighter cerebrospinal fluid [CSF]).

Gradient-Recalled Echo Sequences, Partial Flip Angle

As described earlier, in spin echo imaging, the 90-degree pulse flips the longitudinal magnetization vector into the horizontal plane. After this pulse, the transverse magnetization starts to decay as a result of dephasing, resulting in a decrease of signal by the time (TE) the signal is read by the receiver coils. To prevent this, at a time point equal to one half of the echo time (TE/2), a 180-degree refocusing pulse is applied to reverse the directions in which the individual precessing protons are dephasing, so that at a time point equal to TE they will once again be in phase, maximizing the signal acquired by the receiver coils. Thus a signal can be collected that is close in strength to the original. This method only compensates for the dephasing caused by magnetic field inhomogeneities, not for the loss of signal caused by spin-spin interactions, so the recorded signal will not be as large as the original.

In GRE, or gradient echo imaging, instead of “letting” the transverse magnetization dephase and then using the 180-degree refocusing pulse to rephase, a dephasing-refocusing gradient is applied. This gradient will initially dephase the spins of the transverse magnetization. This is followed by the refocusing component of the gradient, which will rephase them at time TE as a readable echo at the receiver coils. Because of greater spin dephasing, GRE is more susceptible to local magnetic field inhomogeneities. This may cause increased artifacts within and near interfaces between tissues with significantly different degrees of magnetic susceptibility, such as at bone/soft tissue or air/bone/brain interfaces near the ethmoid sinuses and medial temporal lobes. However, it is very useful when looking specifically for pathology involving tissue components or deposits exhibiting significant paramagnetism. For example, in the case of chronic hemorrhage, the iron in hemosiderin causes magnetic susceptibility artifact by distorting the magnetic field, resulting in very dark signal voids with an apparent size greater than the spatial extent of the iron deposition, thereby increasing sensitivity for such lesions on the specific pulse sequences designed to maximize this effect. Such pulse sequences include 3D spoiled gradient echo, T2∗ (pronounced T2-star ), and SWI techniques. T2∗ imaging, in which signal is obtained from transversely magnetized precessing protons without a preceding echo, allows for the detection of hemorrhage as well as deoxyhemoglobin, as in the blood oxygen level dependent (BOLD) effect used to assess relative brain perfusion levels in functional MRI.

Another term that should be explained in conjunction with gradient echo imaging is the partial flip angle . Instead of applying a 90-degree pulse to flip the entire magnetization vector into the horizontal plane, a pulse is used that only partially flips the vector, at a smaller angle. As a result, only a component of the magnetization vector will be in the horizontal plane after application of the excitation pulse. Utilizing a smaller flip angle allows use of a shorter TR, since there will already be a significant longitudinal component of the net magnetization vector after excitation, requiring less time for sufficient recovery of longitudinal magnetization prior to the next excitation pulse.

The T1-weighted signal generated by a tissue in a GRE sequence can be optimized for any given TR by varying the flip angle according to a mathematical relationship known as the Ernst equation . The optimal flip angle for a given tissue at a particular TR is thus known as the Ernst angle .

Use of shorter longitudinal relaxation times in gradient echo imaging has the obvious advantage of decreasing scan time. By changing the flip angle (which, just like TR and TE is an operator-controlled parameter), the tissue contrast may be manipulated. Selecting a small flip angle in conjunction with a sufficiently long TR will decrease the T1 weighting of the image, as the longitudinal magnetization will be nearly maximized for all tissues. This effect is similar to that for a conventional spin echo sequence, when selecting a long TR allows the longitudinal magnetization to recover more, thereby reducing or eliminating T1 weighting from the resulting image.

The generation of image contrast in GRE imaging is similar to that in spin-echo imaging. One important difference is that T2-weighted images cannot be generated, owing to lack of a refocusing pulse in the GRE technique. Instead, the shorter T2∗ decay is used to generate T2-like image contrast while minimizing T1 effects. Therefore, T2∗-weighted images are obtained using a small flip angle, a long TR, and long TE. A small flip angle in conjunction with a long TR and a short TE will result in PD weighting, because the T1 and T2∗ effects upon image contrast are minimized. Selecting a large flip angle together with a short TR and a short TE will result in T1 weighting. Advantages of GRE imaging include speed, less contamination of signal in the slice to be imaged by signal from adjacent slices, and higher spatial resolution. Disadvantages include greater susceptibility to inhomogeneities in the magnetic field such as magnetic susceptibility artifact (although, in some situations, this may also be an advantage, as outlined earlier) and the requirement for higher gradient field strengths. One very useful application of GRE imaging is in volumetric analysis of imaged tissues; the shorter TR and resultant speed allow for rapid data acquisition in three dimensions, which can be used to format and display images in any plane.

Inversion Recovery Sequences (FLAIR, STIR)

For better detection and visualization of abnormalities on MR images, it is often useful to suppress the signal from certain tissues, thereby increasing the contrast between the region of pathology and the background tissue. Examples of this include visualization of hyperintense lesions adjacent to bright CSF spaces on T2-weighted images, or whenever there is a need to eliminate the hyperintense signal coming from fatty background.

Inversion recovery techniques use a unique pulse sequence to avoid signal detection from the selected tissues (fat or CSF). Initially, the application of a 180-degree radiofrequency pulse flips the longitudinal magnetization vectors of all tissues by 180 degrees, so that the vectors will point downward (south). Next, the flipped vectors are allowed to start recovering according to their respective T1 times. As the downward-pointing vectors recover, they become progressively smaller, eventually reaching zero magnitude, and from that point they start growing and pointing upward (north). Without interference, they recover the original longitudinal magnetization. However, during the process of recovery, after a time period referred to as inversion time (TI), a 90-degree pulse is applied to flip the longitudinal vectors to the transverse plane, where signal detection occurs. The amount of magnetization flipped by this pulse depends on how far the longitudinal recovery has been allowed to proceed. If the 90-degree pulse is applied when a given tissue’s vector happens to be zero (this is the so-called null point), no magnetization will be flipped from that tissue to the transverse plane, and therefore no signal will be detected from that tissue. Different tissues recover their longitudinal magnetization at different rates according to their specific T1 times. Knowing a given tissue’s T1 time, we can calculate when it will reach the null point (when its longitudinal magnetization is zero), and if we apply the 90-degree pulse at that point, we will not detect any signal from that particular tissue. The TI is linearly dependent upon a given tissue’s T1 value, being calculated as 0.69 multiplied by the T1 value. In the FLAIR (fluid-attenuated inversion recovery) sequence, the TI (when the 90-degree pulse is applied) occurs when the magnetization vector for CSF is at the null point, so no signal will be detected from the CSF ( eFig. 40.13 ). In FLAIR images, the dark CSF is in sharp contrast with the hyperintensity of PV lesions, allowing their better identification. In STIR (short TI, or tau inversion, recovery) imaging, which is a fat-suppression technique, the methodology is essentially the same as for FLAIR. However, instead of CSF, the signal from fat is nulled. The TI for the STIR technique is set to 0.69 times the T1 of fat, which results in application of the final 90-degree pulse when the fat tissue’s magnetization is at the null point, so no signal from fat will be detected.

eFig. 40.13, Axial FLAIR Image of a Normal Subject, Obtained With a 3-T Scanner.

Fat Saturation

Fat saturation is a pulse sequence used to suppress the bright signal of adipose tissue and thereby allow better visualization of hyperintense abnormalities or, upon gadolinium administration, abnormal enhancement that otherwise may be obscured by fatty tissue in areas such as the orbits or spinal epidural space. In the same external magnetic field, the protons in fat versus water experience slightly different local magnetic fields because of differences in molecular structure. As a consequence, the protons in the fat will have a slightly different precession frequency from that of the water protons and will therefore resonate with a slightly different externally applied pulse frequency. Thus it is possible to apply a radiofrequency pulse (presaturation pulse) that will resonate selectively with the fat-based protons only. This pulse will flip the magnetization vector of fat to the transverse plane, where it will be destroyed or “spoiled” by a gradient pulse. Next, the planned pulse sequence is applied, and at that point the obtained transverse magnetization will not have the component from fat, as it was destroyed ( eFig. 40.14 ). Therefore, by the time of TE, no signal will be detected from the fat tissue, and areas of fat will be dark in the image, allowing hyperintense enhancement to stand out.

eFig. 40.14, Axial Fat-Suppressed Image of the Neck of a Normal Subject Obtained With a 3-T Scanner.

Echoplanar Imaging

Echoplanar imaging is one of the fastest MR imaging techniques. With this technique, the data space (k-space) is filled very rapidly in one shot (during a single TR period) or in multiple shots. In single-shot echoplanar imaging, multiple echoes are generated, each of which is phase encoded separately by a rapidly changing magnetic field gradient. The readout gradient is also varied rapidly from positive to negative as k-space is filled line by line. This technique allows for the acquisition of all information encoding a single slice within a single TR or “in one shot.” Digital processing of these rapidly obtained signals requires very powerful computer hardware. In the multishot version of the echoplanar imaging technique, the phase encoding and the readout process is divided into multiple segments of length TR, which increases the scan time but lessens the burden on the gradient-generating components of the MRI device. In echoplanar imaging, the collection of data generally takes less than 100 ms per slice. This drastically reduced scan time is ideal for scanning poorly cooperative, moving patients and eliminating artifacts due to cardiac pulsation and respiratory motions. It also serves as the basis for DWI, DTI, and dynamic contrast-enhanced brain perfusion studies, as well as BOLD imaging.

Diffusion-Weighted Magnetic Resonance Imaging

Diffusion of water molecules within tissues has a random molecular (Brownian) motion, which varies in a tissue- and pathology-dependent manner. It may have a directional preference in some tissues; for instance, there is greater diffusion in the longitudinal than in the transverse plane of an axon. Water diffusion may occur more rapidly in aqueous compartments such as CSF, relative to water that is largely intracellular, as in regions of cytotoxic edema secondary to brain ischemia or water present in fluid compartments with high viscosity, such as abscesses or epidermoid cysts. DWI is an imaging technique that is able to differentiate areas of low from high diffusion. The imaging sequence used for this purpose is a T2-weighted sequence, usually a single-shot, spin-echo, echoplanar, imaging sequence, with the addition of transient gradients applied before TE. The purpose of the gradients is to sensitize the pulse sequence to diffusion occurring during the time interval between their application. In tissues where more diffusion occurred during application of the gradient (such as in normal tissues), the diffusion causes dephasing of transverse magnetization, resulting in signal loss, and therefore, a darker appearance on the image. In areas with less diffusion (for example, in acutely ischemic brain areas), no significant dephasing or signal change occurs. Therefore, the detected signal is higher, and these areas appear bright on the image.

The degree of the applied diffusion-encoding gradient is referred to as the B value . In a regular conventional T2 or FLAIR image, the B value is zero (i.e., no gradient). As the B value is increased by the gradient being stronger, the diffusion of the water molecules will cause more and more dephasing and signal loss. As a result, if the B value is high enough, as in DWI, the areas of higher diffusion rates, such as CSF and normal brain tissue, will be dark due to the dephasing and signal loss related to water diffusion. In contrast, ischemic areas with little or no water molecule diffusion will appear bright because they lack dephasing and signal loss. In imaging protocols where more T2 weighting (longer TE values) and smaller B values are used, areas with long T2 values may appear relatively bright in the diffusion-weighted images, despite their considerable diffusion. This phenomenon is referred to as T2 shine-through , and it is due to the low applied B value, which means a weaker diffusion gradient and less diffusion weighting. This shine-through can be decreased by applying a stronger diffusion gradient, leading to higher B values and more diffusion weighting.

Based on the differences in the change of signal intensity in different areas at different applied B values, it is possible to calculate the apparent diffusion coefficient (ADC) in various areas/tissues in the image. The term apparent is used because in a tissue there are other factors besides this coefficient that contribute to signal loss, including patient motion and blood flow. The higher the diffusion rate, the higher the ADC value of the given tissue, and the brighter it will appear on the ADC image or map. As an example, CSF, where the diffusion is highest, will be bright on the ADC map, whereas areas of little (restricted) diffusion, such as ischemic areas, will be dark.

One of the most obvious practical uses of DWI is the delineation of acutely ischemic areas, which appear bright against a dark background in diffusion-weighted images and dark on the corresponding ADC maps. According to the most appealing theory, the reason for restricted diffusion in acutely ischemic brain tissue is the evolving cytotoxic edema (cellular swelling), which decreases the relative size of the extracellular space, thereby limiting water diffusion.

Although in neurological practice, the term restricted diffusion usually refers to cerebral ischemia, and this imaging modality remains most important for acute stroke imaging, there are other abnormalities that also restrict diffusion and appear bright on diffusion-weighted images. Examples include abscesses, hypercellular tumors such as lymphoma, some meningiomas, epidermoid cysts, aggressive demyelinating disease, and proteinaceous material, such as produced in sinusitis.

Perfusion-Weighted Magnetic Resonance Imaging

Perfusion-weighted imaging utilizes MRI sequences that generate signal intensities proportional to tissue perfusion. Although there are techniques (like spin-labeled perfusion imaging) that provide information about tissue perfusion without injecting contrast material, the most common technique uses a rapid bolus of paramagnetic contrast agent (gadolinium), which while passing through the tissues, causes distortion of the magnetic field and signal loss in the applied gradient echo or echo planar image. This signal loss only occurs in tissues that are perfused, whereas nonperfused regions do not have such signal loss, or in cases of decreased but not absent perfusion, the signal loss is not as prominent as seen in the healthy tissue. When the selected slice is imaged repeatedly in rapid succession, parameters related to perfusion (e.g., relative cerebral blood volume [rCBV], time to peak signal loss [TTP], mean transit time of the contrast bolus [MTT]) can be calculated for each voxel within the slice being imaged. Estimates of cerebral blood flow (CBF) can be calculated for each voxel as well.

The main clinical application of PWI is in the setting of acute stroke, primarily for visualization of tissue at risk, the ischemic penumbra. When used in conjunction with diffusion-weighted images, which delineate the acutely infarcting area, it is frequently seen that perfusion-weighted images reveal a more extensive area, beyond the extent of the zone of infarction, that exhibits decreased or absent perfusion. This is the ischemic penumbra, tissue at risk that is potentially salvageable, prompting use of thrombolytic therapy. If the perfusion deficit appears the same as the zone of restricted diffusion (area in the process of infarction), the chance for saving tissue is likely to be lower than that for an ischemic infarction exhibiting a significant perfusion-diffusion mismatch.

Susceptibility-Weighted Imaging

As described earlier, factors that distort magnetic field homogeneity, such as paramagnetic or ferromagnetic substances, cause local signal loss. Signal loss occurs because in the altered local magnetic field, protons will precess with different frequencies, resulting in dephasing and thus decreasing the net magnetization vector that translates into a detectable signal. Gradient echo images are especially sensitive to magnetic field distortions, which appear as areas of decreased signal due to the magnetic susceptibility artifact.

SWI ( ) uses a high spatial resolution 3D gradient echo imaging sequence. The contrast achieved by this sequence distinguishes the magnetic susceptibility difference between oxygenated and deoxygenated hemoglobin. Since the applied phase postprocessing sequence accentuates the paramagnetic properties of deoxyhemoglobin and blood degradation products such as intracellular methemoglobin and hemosiderin, this technique is very sensitive for intravascular venous deoxygenated blood as well as extravascular blood products. It has been used for evaluation of venous structures—hence the earlier name high-resolution blood oxygen level-dependent venography —but the clinical application is now much broader. Its exquisite sensitivity for blood degradation products makes this technique very useful when evaluating any lesion (e.g., stroke, arteriovenous malformation [AVM], cavernoma, or neoplasm) for associated hemorrhage ( eFig. 40.15 ). It is also used for imaging microbleeds associated with traumatic brain injury, diffuse axonal injury, or cerebral amyloid angiopathy.

eFig. 40.15, Susceptibility-Weighted Image Obtained With a 3-T Scanner.

Diffusion Tensor Imaging

DTI is a more advanced type of diffusion imaging capable of quantifying anisotropy of diffusion in white matter. Diffusion is isotropic when it occurs with the same intensity in all directions. It is anisotropic when it occurs preferentially in one direction, as along the longitudinal axis of axons. For this reason, DTI finds its greatest current application in MRI examinations of the white matter. As opposed to characterizing diffusion within each voxel with just a single ADC, as in DWI, in DTI intravoxel diffusion is measured along three, six, or more gradient directions. The measured values and their directions are called eigenvector s. The vector that corresponds to the principal direction of diffusion (the direction in which diffusion is greatest in magnitude) is called the principal eigenvector . In normal white matter, diffusion anisotropy is high because diffusion is greatest parallel to the course of the nerve fiber tracts. Therefore, the principal eigenvector delineates the course of a given nerve fiber pathway. Diffusion tensor images can be displayed as maps of the principal eigenvectors, which will show the direction/course of the given white matter tract (tractography). These images can also be color coded, allowing for more spectacular visualization of nerve fiber tracts ( eFig. 40.16 ). Any disruption of a given nerve fiber tract by diseases such as multiple sclerosis (MS), trauma, or gliosis, will reduce anisotropy, highlighting the disruption of the white matter tract. Tensor imaging/tractography shows degenerating white matter tracts that appear normal on conventional MRI. It is also useful in surgical resection planning to show the anatomical relationship of the resectable lesion to the adjacent fiber tracts, thus avoiding or reducing surgical injury to critical pathways. For further information on the topic of surgical planning, see the section “Advanced structural neuroimaging for planning of brain tumor surgery.”

eFig. 40.16, Diffusion Tensor Image Obtained With a 3-T Scanner.

Magnetization Transfer Contrast Imaging

As the name indicates, magnetization transfer contrast imaging is a technique that produces increased contrast within an MR image, specifically on T1-weighted gadolinium-enhanced images and in magnetic resonance angiography ( ). In water, hydrogen atoms are relatively loosely bound to oxygen atoms, and they move frequently between them, binding to one oxygen atom then switching to another. In other tissues (e.g., lipids, proteins), the hydrogen atoms are more tightly bound and tend to stay in one place for longer periods of time. Nevertheless, it does happen that a “bound” hydrogen in lipid or protein is exchanged with a “more free” hydrogen from water. In magnetization transfer imaging, at the beginning of the sequence a radiofrequency pulse is applied that saturates the bound protons in lipids and proteins but does not affect the free protons in water. In regions where magnetization transfer (i.e., exchange of saturated protons with free protons) occurs, the saturated protons will decrease the signal obtained from the imaged free protons. The more frequently this magnetization transfer occurs, the less signal is obtained from the region and the darker the region will be in the image. Magnetization transfer happens more frequently in the white matter, resulting in signal loss, and therefore on magnetization transfer images, the white matter appears darker. The CSF on the other hand, where magnetization transfer does not occur, does not lose signal. Magnetization transfer is minimal in blood because of the high amount of free water protons.

This technique is useful when gadolinium-enhanced T1-weighted images are obtained, because enhancing lesions stand out better against the darker background of the more hypointense white matter. In fact, applying a magnetization transfer sequence to single-dose gadolinium-enhanced T1-weighted images results in contrast enhancement intensity comparable to giving a double dose of gadolinium. This sequence is also used in time-of-flight magnetic resonance angiography. There is no signal change in the blood, but the background tissue becomes darker, so the imaged blood vessels stand out better, and smaller branches are better visualized. This benefit comes at the expense of a significantly prolonged scan time, because it takes additional time to apply the magnetization transfer pulse.

Another application of magnetization transfer imaging is in the assessment of “normal-appearing” tissues that in fact contain abnormalities, albeit not visible on conventional MR pulse sequences. By selecting a ROI (essentially a quadrilateral that is selected to enclose the tissue of interest within an image) corresponding to the “normal-appearing” tissue and calculating the degree to which magnetization transfer occurs within each voxel of the ROI, a histogram plot can be generated. On such magnetization transfer ratio (MTR) histograms, tissues with no apparent lesional signal on conventional images, such as the “normal-appearing white matter” of MS, may exhibit a decreased peak height. Such histograms in MS patients may also exhibit a larger proportion of voxels with low MTR values than normal tissues, reflecting a microscopic and macroscopic lesion load that is otherwise undetectable by conventional imaging techniques.

Structural Neuroimaging in the Clinical Practice of Neurology

Brain Diseases

Although a description of brain findings on CT and MRI with their differential diagnosis would be helpful ( ), in this chapter we have chosen the traditional approach of listing the imaging findings caused by various brain diseases.

Brain Tumors

Epidemiology, pathology, etiology, and management of cancer in the nervous system are discussed in Chapter 71, Chapter 72, Chapter 73, Chapter 74, Chapter 75, Chapter 76 . From the standpoint of structural neuroimaging, a useful anatomical classification distinguishes two main groups: intra-axial and extra-axial tumors. Intra-axial tumors are within the brain parenchyma, extra-axial tumors are outside the brain parenchyma (involving the meninges or, less commonly, the ventricular system). Intra-axial tumors are usually infiltrative with poorly defined margins. Conversely, extra-axial tumors, even though they often compress or displace the adjacent brain, are usually demarcated by a cerebrospinal cleft or another tissue interface between tumor and brain parenchyma. For differential diagnostic purposes, intra-axial primary brain neoplasms can be further divided into the anatomical subgroups of supratentorial and infratentorial tumors ( Table 40.2 ).

TABLE 40.2
Magnetic Resonance Imaging Characteristics of Brain Tumors
Tumor Typical Location, Appearance Typical T1 Signal Characteristics Typical T2 Signal Characteristics Typical Enhancement Pattern
Ventricular Region
Central neurocytoma Intraventricular, at foramen of Monro Isointense Iso- to hyperintense Variable, usually moderate and heterogeneous
Subependymal giant cell astrocytoma Intraventricular, at foramen of Monro Hypo- to isointense Hyperintense with possible hypointense foci due to calcium Intense
Choroid plexus papilloma Intraventricular (lateral ventricle in children, fourth ventricle in adults) Iso- to hypointense Iso- to hyperintense Intense
Calcification and hemorrhage may be present
Subependymoma Mostly fourth ventricle but can be third and lateral ventricles Iso- to hypointense Hyperintense Mild or absent
Intra-axial, Mostly Supratentorial
Ganglioglioma, gangliocytoma Supratentorial, mostly temporal lobe. Solid portion isointense, cyst hypointense Solid portion hypo- to hyperintense, cyst hyperintense From none to heterogeneous or rim
Solid and cystic
Pleomorphic xanthoastrocytoma Cerebral cortex and adjacent meninges Hypointense or mixed intensity Hyperintense or mixed intensity Solid portion and adjacent meninges enhance
Has cystic portions
Diffuse astrocytomas Supratentorial in two-thirds of cases Iso- to hypointense Hyperintense Grade II may enhance
Anaplastic astrocytoma Frequently in frontal lobes Iso- to hypointense Hyperintense Diffuse or ringlike
Oligodendroglioma Supratentorial white matter and cortical mantle Hypo- to isointense Hyperintense; also typically hyperintense on DWI Variable, patchy
May exhibit cyst or calcification
Glioblastoma Frontal and temporal lobes, spreads along pathways such as corpus callosum Mixed (edema, necrosis, hemorrhage) Mixed (edema, necrosis, hemorrhage) Intense, inhomogeneous, nodular or ringlike
Primary CNS lymphoma Supratentorial or infratentorial Iso- to hypointense Iso- to hyperintense Intense
Typically ringlike in immunocompromised host
In immunocompetent host, usually solitary at ventricular border; in immunocompromised, multiple in white matter
Intra-axial, Posterior Fossa
Pilocytic astrocytoma Posterior fossa, sellar region Iso- to hypointense Iso- to hyperintense Solid component enhances intensely
Usually large cyst with mural nodule
Ependymoma Fourth ventricle Iso- to hypointense Iso- to hyperintense Intense in solid portion, rim around cyst
Cystic component
Hemangioblastoma Infratentorial Hypo- to isointense, but can be mixed due to hemorrhage Hyperintense, but can be mixed due to hemorrhage Solid component enhances
Vascular nodule and cystic cavity
Medulloblastoma Arises from roof of fourth ventricle Iso- to hypointense Iso-, hypo-, or hyperintense Heterogeneous
Extra-axial
Esthesioneuroblastoma Cribriform plate, anterior fossa Isointense Iso- to hyperintense Heterogeneous
Meningioma Falx, convexity, sphenoid wing, petrous ridge, olfactory groove, parasellar region, and the posterior fossa Iso- to slightly hypointense Can be hypo-, iso-, or hyperintense Intense, homogeneous
Calcification may be present
Schwannoma Cerebellopontine angle, vestibular portion of cranial nerve VIII Iso- to hypointense Iso- to hyperintense Homogeneous
Cyst or calcification may be present
Neurofibroma Arises from peripheral nerve sheath, any location Iso- to hypointense Hyperintense Homogeneous
Sella and Pineal Regions
Pituitary adenoma Sella, with potential supra- and parasellar extension Hypo- or isointense Hyperintense Homogeneous, enhances in a delayed fashion (initially hypointense relative to the normally enhancing gland; on delayed images, hyperintense relative to the gland due to delayed contrast accumulation)
Craniopharyngioma Suprasellar cistern, sometimes intrasellar Iso- to hypointense
Cyst has variable signal intensity
Solid and cystic component both hyperintense
Calcification may be hypointense
Solid component enhances homogeneously
Solid and cystic components
Pineoblastoma Tectal area Isointense Iso- to hypo- to hyperintense Moderate heterogeneous
Pineocytoma Tectal area Isointense May be hypointense Intense with variable pattern (central, nodular)
Well defined, noninvasive
Germinoma Tectal region Variable, hypo- and hyperintense Variable, hypo- and hyperintense Intense
CNS, Central nervous system; DWI, diffusion-weighted imaging.

For evaluation of brain tumors, the structural imaging modality of choice is MRI. Due to their gradual expansion and often infiltrative nature, most brain tumors are already visible on MRI by the time patients become symptomatic. Exceptions to this rule are tumors that tend to involve the cortex or corticomedullary junction, such as small oligodendrogliomas or metastases, which may cause seizures early, even before being clearly visible on noncontrast MRI. Meningeal involvement is also often symptomatic, for instance by causing headaches and confusion, but may not be appreciated on noncontrast images. Higher magnetic field strength (e.g., a 3-T scanner) and contrast administration (in double or triple dose if necessary) can improve detection of small or clinically silent neoplastic lesions.

Neuroimaging is particularly useful in the assessment of brain tumors. Unlike destructive lesions such as ischemic strokes, brain tumors often cause clinical manifestations that are difficult to interpret. Sometimes the clinical presentation may provide clues to localization—for example, a seizure is suggestive of an intra-axial tumor, whereas cranial nerve involvement tends to signal an extra-axial pathology. But edema, mass effect, obstructive hydrocephalus, and elevated intracranial pressure (ICP) can give rise to nonspecific symptoms (e.g., headache, visual disturbance, altered mental status), and false localizing signs may also appear, such as oculomotor or abducens nerve compression due to an expanding intra-axial mass.

Neoplastic tissues most commonly prolong the T1 and T2 relaxation times, appearing hypointense on T1- and hyperintense on T2-weighted images, but different tumors differ in this property, facilitating tumor identification on MRI. MRI is also very sensitive for detection of other pathological changes that can be associated with tumors, such as calcification, hemorrhage, necrosis, and edema. The structural detail provided by MRI is useful for assessing involved structures and determining the number and macroscopic extent of the neoplasms, thereby guiding surgical planning or other treatment modalities.

Intra-axial Primary Brain Tumors

Ganglioglioma and gangliocytoma

Gangliogliomas (WHO grade I or II) are mixed tumors containing both neural and glial elements. Gangliocytomas (WHO grade I) are less common and contain well-differentiated neuronal cells without a glial component. Less commonly, gangliogliomas may exhibit anaplasia within the glial component and are classified as anaplastic ganglioglioma (WHO grade III). A rare type of gangliocytoma, dysplastic gangliocytoma of the cerebellum (also known as Lhermitte-Duclos disease ) exhibits a characteristic “tiger-striped” appearance and is often present in association with Cowden disease, a phakomatosis.

The peak age of onset for gangliogliomas is the second decade. This tumor is usually supratentorial and is most commonly located in the temporal lobe. It is well demarcated, and a cystic component and mural nodule are often observed. Calcification is common.

On MRI ( ), the solid component is usually isointense on T1 and hypo- to hyperintense on T2-weighted images. The cystic component, if present, exhibits CSF signal characteristics. The associated mass effect is variable. With contrast, various enhancement patterns are seen—homogeneous or rim pattern—but no enhancement is also possible.

Pilocytic astrocytomas

Pilocytic astrocytomas have two major groups: juvenile and adult. These tumors are classified as WHO grade I. Juvenile pilocytic astrocytomas are the most common posterior fossa tumors in children. The most common locations are the cerebellum, at the fourth ventricle, third ventricle, temporal lobe, optic chiasm, and hypothalamus ( ). The appearance is often lobulated, and the lesion appears well demarcated on MRI. Hemorrhage and necrosis are uncommon. Areas of calcification may be present. The tumor usually exhibits solid as well as cystic components, with or without a mural nodule. The adult form is usually well circumscribed, often calcified, and typically exhibits a large cyst with a mural nodule. On MRI, the solid portions of the tumor are iso- to hypointense on T1- and iso- to hyperintense on T2-weighted images ( ). The cystic component usually exhibits CSF signal characteristics. The associated edema and mass effect is usually mild, sometimes moderate. With gadolinium, the solid components (including the mural nodule) enhance intensely, but not the cyst, which rarely may show rim enhancement.

Pleomorphic xanthoastrocytoma

Pleomorphic xanthoastrocytoma is a rare variant of astrocytic tumors. It is thought to arise from the subpial astrocytes and typically affects the cerebral cortex and adjacent meninges and may cause erosion of the skull. The most common location is the temporal lobe. It is classified as WHO grade II. It usually occurs in the second and third decades of life, and patients often present with seizures. On MRI ( ) usually a well-circumscribed cystic mass appears in a superficial cortical location. A solid portion or mural nodule is often seen, and the differential diagnosis includes pilocytic astrocytoma and ganglioglioma. The signal characteristics are hypointense or mixed on T1-, and hyperintense or mixed on T2-weighted images. With contrast, the solid portions and sometimes the adjacent meninges enhance. Calcification may be present. There is mild or no mass effect associated with this tumor.

Diffuse astrocytomas

Diffuse astrocytomas are well-differentiated tumors (WHO grade II), usually arising from the fibrillary astrocytes of the white matter. Even though imaging may show a fairly well-defined boundary, these tumors are infiltrative and usually spread beyond their macroscopic border. In 2016 update to the WHO classification of central nervous system (CNS) tumors, astrocytoma is subdivided by the presence of isocitrate dehydrogenase (IDH) mutations, with IDH-mutant tumors carrying better prognoses. Although grade II astrocytoma is a relatively slow-growing tumor, they have a relatively high recurrence rate and an inherent malignant potential to transform into high-grade astrocytoma ( ). Two-thirds of cases are supratentorial ( Fig. 40.17 ). A subgroup of these astrocytomas involves specific regions such as the optic nerves/tracts or the brainstem ( Fig. 40.18 ).

Fig. 40.17, Low-Grade Glioma.

Fig. 40.18, Tectal Glioma.

Diffuse astrocytomas are iso- or hypointense on T1-weighted images and hyperintense on T2-weighted images. Expansion of the adjacent cortex may be seen, and mass effect (if present) is generally modest. There is little to no surrounding edema. Diffuse astrocytoma usually do not enhance, however, small ill-defined areas of enhancement are not rare. The appearance of enhancement in a previously nonenhancing tumor is a worrisome sign of progression to higher grades.

Anaplastic astrocytoma

Anaplastic astrocytoma is classified as grade III by the WHO grading system. It represents 25%–30% of gliomas, usually appears between 40 and 60 years of age, and is more common in men. Anaplastic astrocytoma is a diffuse infiltrating tumor that often evolves from a well-differentiated astrocytoma as a result of chromosomal and gene alterations. It is most frequently found in the frontal lobes. On MRI, anaplastic astrocytomas appear as poorly circumscribed heterogeneous tumors, which are iso- to hypointense on T1-weighted and hyperintense on T2-weighted images, with associated hyperintensity in the surrounding white matter representing vasogenic edema. Foci of hemorrhage may be present but not too commonly. There is moderate mass effect associated with the lesions, and, with contrast, a variable degree and pattern of enhancement is noted (diffuse or ringlike). This tumor is highly infiltrative, usually cannot be fully removed by surgery, and the median survival is 3–4 years.

Gliomatosis cerebri was previously considered a distinct entity, but since the 2016 update to the WHO classification of CNS tumors , it is now being considered a growth pattern of many gliomas, most commonly, anaplastic astrocytoma. The glial tumor cells are disseminated throughout the parenchyma and infiltrate large portions of the neuraxis. Macroscopically it appears homogeneous and is seen as enlargement/expansion of the parenchyma; the gray/white matter interface may become blurred, but the architecture is otherwise not altered. Unilateral hemispheric white matter is generally involved first; then the pathology spreads to the contralateral hemisphere through the corpus callosum. Later, the deep gray matter (basal ganglia, thalamus, massa intermedia) may be affected as well. Diffuse tumor infiltration often extends into the brainstem, cerebellum, and even the spinal cord. Histologically, most cases of gliomatosis cerebri are WHO grade III.

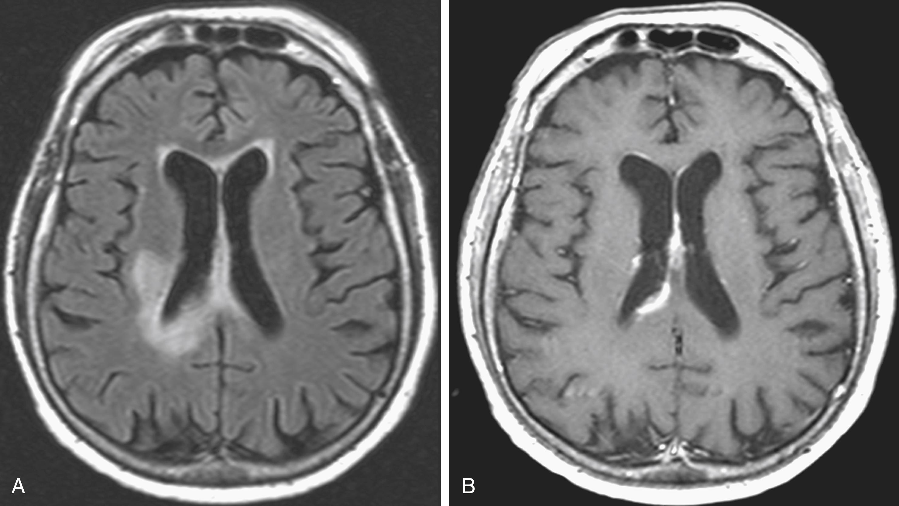
The MRI appearance is iso- to hypointense on T1 and hyperintense on T2. Hemorrhage is uncommon, and enhancement is also rare, at least in the early stages ( Fig. 40.19 ). Later, multiple foci of enhancement may appear, signaling more malignant transformation. The imaging appearance is similar to that of autoimmune or infectious encephalitis, including subacute sclerosing panencephalitis, but in these disorders, clinical findings are more pronounced.

Fig. 40.19, Gliomatosis Cerebri.

Oligodendroglioma

Oligodendroglioma, made up by IDH mutant and 1p/19q codeleted cells, accounts for 5%–10% of all gliomas. It arises from the oligodendroglia that form the myelin sheath of the CNS pathways. Oligodendroglioma occurs most commonly in young and middle-aged adults, with a median age of onset within the fourth to fifth decades and a male predominance of up to 2:1. Seizure is often the presenting symptom. The most common location is the supratentorial hemispheric white matter, and it also involves the cortical mantle. The tumor often has cystic components and at least, microscopically, in 90% of cases also shows calcification. Hemorrhage and necrosis are rare, and the mass effect is not impressive. On MRI ( ) the appearance is heterogeneous, and the tumor is hypo- and isointense on T1 and hyperintense on T2. With gadolinium, the enhancement is variable, usually patchy, and the periphery of the lesion tends to enhance more intensely. Oligodendrogliomas are hypercellular and have been noted to appear hyperintense on diffusion-weighted images ( Fig. 40.20 ).

Fig. 40.20, Oligodendroglioma.

Glioblastoma

Glioblastoma (GBM), previously known as glioblastoma multiforme, is a highly malignant tumor classified as grade IV by the WHO. It is most common in older adults, usually appearing in the fifth and sixth decades and represents 40%–50% of all primary neoplasms and up to 20% of all intracranial tumors. It is subdivided into two types on the basis of the presence or absence of IDH mutation. It is likely that most of the previously recognized primary GBMs were IDH wild-type, and most of the secondary GBMs (from progression of a previous lower-grade tumor) were IDH mutant. Methylation of the promoter for O[6]-methylguanine-DNA methyltransferase (MGMT), the gene for methylguanine methyltransferase, is well recognized as a favorable prognostic factor in GBM ( ).

Glioblastoma forms a heterogeneous mass exhibiting cystic and necrotic areas and often a hemorrhagic component as well. The most common locations are the frontal and temporal lobes. The tumor is highly infiltrative and has a tendency to spread along larger pathways such as the corpus callosum and invade the other hemisphere, resulting in a characteristic “butterfly” appearance. GBM has also been described to spread along the ventricular surface in the subarachnoid space and may also invade the meninges. There are reported cases of extracranial glioblastoma metastases.

Structural neuroimaging distinguishes between multifocal and multicentric glioblastomas. The term multifocal glioblastoma refers to multiple tumor islands in the brain that arose from a common source via continuous parenchymal spread or meningeal/CSF seeding; therefore, they are all connected, at least microscopically. Multicentric glioblastoma refers to multiple tumors that are present independently, and physical connection between them cannot be proven, implying they are separate de novo occurrences. This is less common, having been noted in 6% of cases.

On MRI ( Fig. 40.21 ) glioblastomas usually exhibit mixed signal intensities on T1- and T2-weighted images. Cystic and necrotic areas are present, appearing as markedly decreased signal on T1-weighted and hyperintensity on T2-weighted images. Mixed hypo- and hyperintense signal changes due to hemorrhage are also seen. The hemorrhagic component can also be well demonstrated by gradient echo sequences or by SWI. The core of the lesion is surrounded by prominent edema, which appears hypointense on T1-weighted and hyperintense on T2-weighted images. Besides edema, the signal changes around the core of the tumor reflect the presence of infiltrating tumor cells and, in treated cases, postsurgical reactive gliosis and/or postirradiation changes. Following administration of gadolinium, intense enhancement is noted, which is inhomogeneous and often ringlike, also including multiple nodular areas of enhancement. The surrounding edema and ringlike enhancement at times makes it difficult to distinguish glioblastoma from cerebral abscess. DWI is helpful in these cases; glioblastomas are hypointense with this technique, whereas abscesses exhibit remarkable hyperintensity on diffusion-weighted images.

Fig. 40.21, Glioblastoma Multiforme.

Owing to its aggressive growth (the tumor size may double every 10 days) and infiltrative nature, the prognosis for patients with glioblastoma is very poor. Despite surgery, irradiation, and chemotherapy the median survival is 1 year.

Ependymoma

Although ependymomas are primarily extra-axial tumors (within the fourth ventricle), intraparenchymal ependymomas arising from ependymal cell remnants of the hemispheric parenchyma are also well known, so this tumor type is discussed here. Ependymomas comprise 5%–6% of all primary brain tumors; 70% of cases occur in childhood and the first and second decades, and ependymoma is the third most common posterior fossa tumor in children. Ependymomas arise from differentiated ependymal cells, and the most common location (70%) is the fourth ventricle. The tumor is usually well demarcated and is separated from the vermis by a CSF interface. The tumor may be cystic and may contain calcification and hemorrhage but these features are more common in supratentorial ependymomas. It may extrude from the cavity of the fourth ventricle through the foramina of Luschka and Magendie. Spreading via CSF to the spinal canal (drop-metastases) may occur, but on spine imaging ependymoma is more commonly noted to arise from the ependymal lining of the central canal, presenting as an intramedullary spinal cord tumor. A subtype, myxopapillary ependymoma, is almost always restricted to the filum terminale.

Ependymomas are hypo- to isointense on T1-weighted images and iso- to hyperintense on T2-weighted images. With gadolinium, intense enhancement is seen, mostly involving the solid components of the tumor, whereas the cystic components tend to exhibit rim enhancement. The differential diagnosis for infratentorial ependymoma includes medulloblastoma, pilocytic astrocytoma, and choroid plexus papilloma.

Lymphoma

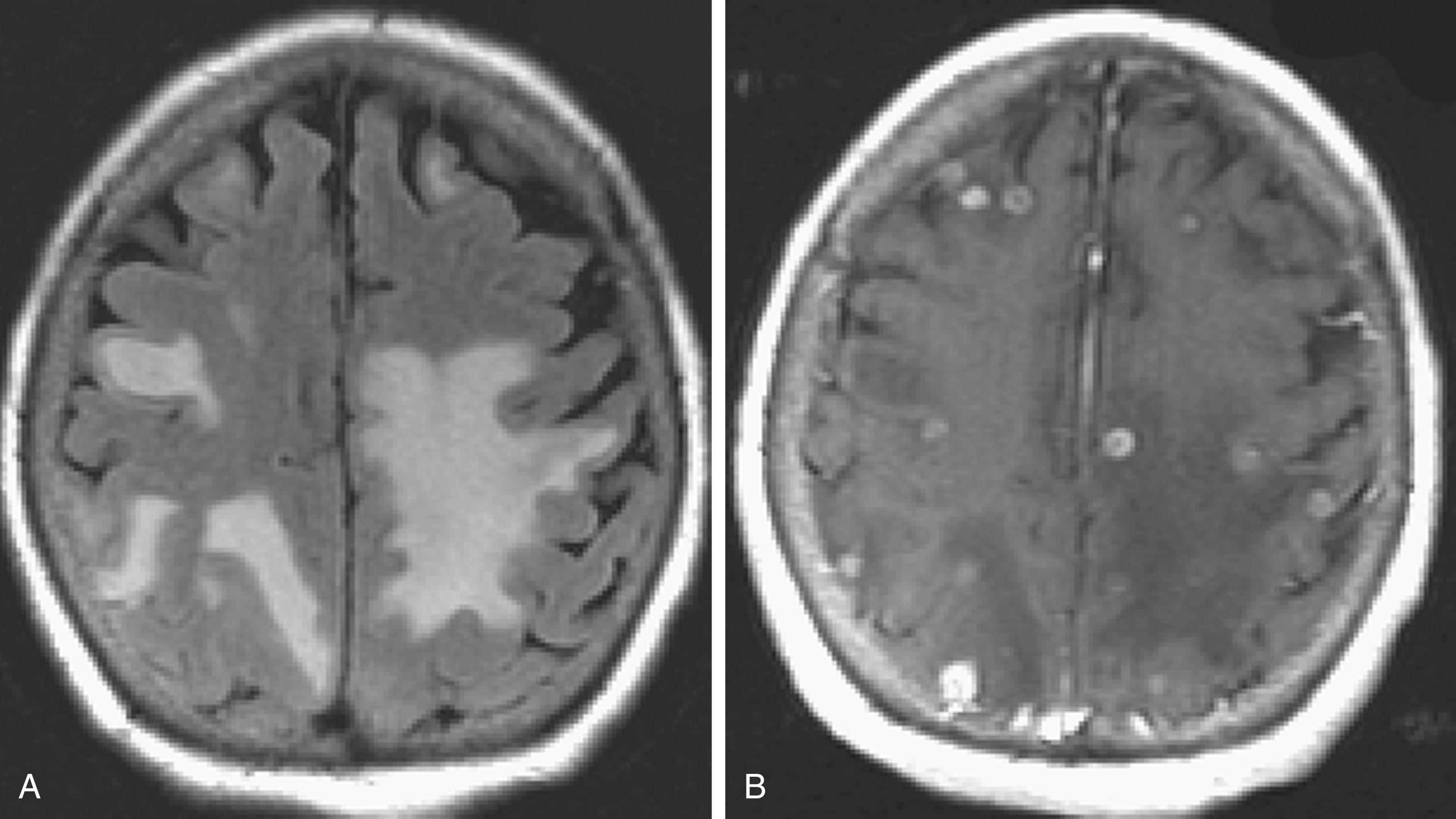
Primary CNS lymphoma (PCNSL) is a non-Hodgkin lymphoma, which in 98% of cases is a B-cell lymphoma. It once accounted for only 1%–2% of all primary brain tumors, but this percentage has been increasing, mostly because of the growing acquired immunodeficiency syndrome (AIDS) population. The peak age of onset is 60 in the immunocompetent population and age 30 in immunocompromised patients. Lesions may occur anywhere within the neuraxis, including the cerebral hemispheres, brainstem, cerebellum, and spinal cord, although the most common location (90% of cases) is supratentorial. PCNSL lesions are highly infiltrative and exhibit a predilection for sites that contact subarachnoid and ependymal surfaces as well as the deep gray nuclei.

The imaging appearance of PCNSL depends on the patient’s immune status. The tumor is hypo- to isointense on T1-weighted and hypo- to slightly hyperintense on T2-weighted images. Contrast enhancement is usually intense. In immunocompetent patients ( ) the lesion is often single and tends to abut the ventricular border ( ), and ring enhancement is uncommon ( Fig. 40.22 ). In immunocompromised patients, usually multiple, often ring-enhancing lesions are seen, which are most commonly located in the PV white matter and the gray/white junction of the lobes of the hemispheres, but the deep central gray matter structures and the posterior fossa may be involved as well. Overall, the imaging appearance appears more malignant in the immunocompromised cases and may be difficult to differentiate from toxoplasmosis. Other components of the differential diagnosis in patients with multiple PCNSL lesions include demyelination, abscesses, neurosarcoidosis, and metastatic disease.

Fig. 40.22, Central Nervous System Lymphoma in an Immunocompetent Individual.

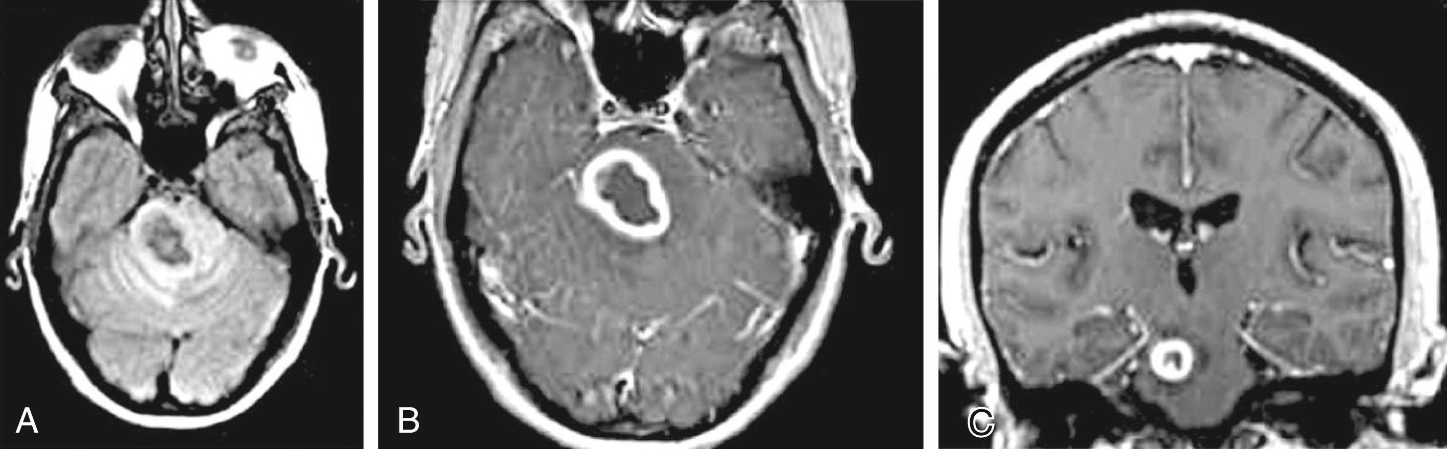
Hemangioblastoma

Hemangioblastomas represent only 1%–2% of all primary brain tumors, but in adults they are the most common type of primary intra-axial tumor of the posterior fossa (cerebellum and medulla). These tumors are WHO grade I, well circumscribed, and exhibit a vascular nodule with a usually larger cystic cavity. On MRI the solid portion is hypo- to isointense on T1 and hyperintense on T2-weighted images. Sometimes hyperintense foci are noted on T1; this is due to occasional lipid deposition or hemorrhage within the tumor. The cystic component is usually hypointense on T1 (but may be hyperintense relative to CSF due to high protein content) and markedly hyperintense on T2. On FLAIR images, the cyst fluid is not completely nulled, resulting in a bright signal, and the nodule is also hyperintense. There is usually mild surrounding edema. With gadolinium, the solid component exhibits intense enhancement. Hemangioblastomas are seen in 50% of patients with von Hippel-Lindau disease, and approximately one-fourth of all hemangioblastomas occur in these patients ( ).

Extra-axial Primary Brain Tumors

Meningiomas

Meningiomas are the most common primary brain tumors of nonglial origin and make up 15% of all intracranial tumors. The peak age of onset is the fifth decade, and there is a striking female predominance that may be related to the fact that some meningiomas contain estrogen and progesterone receptors. These tumors arise from meningothelial cells. In 1%–9% of cases, multiple tumors are seen. The most common locations are the falx (25%), convexity (20%), sphenoid wing, petrous ridge (15%–20%), olfactory groove (5%–10%), parasellar region (5%–10%), and the posterior fossa (10%). Rarely, an intraventricular location has been reported. Meningiomas often appear as smooth hemispherical or lobular dural-based masses ( Fig. 40.23 ). Calcification is common, seen in at least 20% of these tumors. Meningiomas also often exhibit vascularity. The extra-axial location of the tumor is usually well appreciated owing to a visible CSF interface between tumor and adjacent brain parenchyma. Meningiomas may become malignant, invading the brain and eroding the skull. In such cases, prominent edema may be present in the brain parenchyma, to the extent that the extra-axial nature of the tumor is no longer obvious.

Fig. 40.23, Two Cases of Meningioma.

On T1-weighted images, meningiomas are usually iso- to slightly hypointense. The appearance on T2 can be iso-, hypo-, or hyperintense to the gray matter. Although MRI does not reveal the histological subtypes of meningiomas with absolute certainty, there have been observations according to which fibroblastic and transitional meningiomas tend to be iso- to hypointense on T2-weighted images, whereas the meningothelial or angioblastic type is iso- or more hyperintense. Not uncommonly, the skull adjacent to a meningioma will exhibit subtle thickening—a useful diagnostic clue in some cases.

After gadolinium administration, meningiomas typically exhibit intense homogeneous enhancement. A quite typical imaging finding on postcontrast images is the dural tail sign , which refers to the linear extension of enhancement along the dura, beyond the segment on which the tumor is based. Earlier this had been attributed to en plaque extension of the meningioma along these dural segments and was thought to be specific for this type of tumor. However, recently it has been recognized that this imaging appearance is not specific to this situation and may be seen in other tumors, secondary to increased vascularity/hyperperfusion or congestion of the dural vessels after irradiation and as a postsurgical change.

Schwannoma

Schwannomas arise from the Schwann cells of the nerve sheath, and the most commonly affected nerve is the vestibular portion of the vestibulocochlear nerve. They are typically bilateral in neurofibromatosis (NF) type 2. The unilateral form sporadically occurs in non-NF patients, with slight female predominance. Schwannomas typically arise in the intracanalicular segment of the eighth cranial nerve where myelin transitions from central (oligodendroglia) to peripheral (Schwann cell) type. If untreated, the tumor grows toward the internal auditory meatus and eventually bulges into the cerebellopontine angle, where it may deform and displace the brainstem. The intra- and extracanalicular parts of the tumor together result in a mushroom- or ice cream cone–like appearance. The tumor is iso- to hypointense on T1-weighted images and iso- to hyperintense on T2-weighted images. This pattern may be modified by the presence of cystic changes or calcification. Gadolinium administration causes homogeneous enhancement that, together with the performance of axial and coronal thin-slice T2-weighted images, allows for the visualization of even very small intracanalicular schwannomas. For images, refer to the section “Neurofibromatosis.”

Primitive neuroectodermal tumor

Primitive neuroectodermal tumor (PNET) is a collective term that includes several tumors arising from cells that are derived from the neuroectoderm and are in an undifferentiated state. The main tumors that belong to the PNET group are medulloblastomas, esthesioneuroblastomas, and pinealoblastomas. The tumors belonging to the PNET group are fast growing and highly malignant. The most common mode of metastatic spread for PNETs is via CSF pathways, an indication for imaging surveillance of the entire neuraxis when these tumors are suspected.

Medulloblastoma

Medulloblastomas arise from the undifferentiated neuroectodermal cells of the roof of the fourth ventricle (superior or inferior medullary velum, vermis). They represent 25% of all cerebral tumors in children, usually presenting in the first and second decade. The tumor fills the fourth ventricle, extending rostrally toward the aqueduct and caudally to the cisterna magna, frequently resulting in obstructive hydrocephalus. Leptomeningeal and CSF spread may also occur, resulting in spinal drop metastases. Cystic components and necrosis may be present. Calcification is possible. On CT, medulloblastoma typically appears as a heterogeneous, generally hyperdense midline tumor occupying the fourth ventricle, with mass effect and variable contrast enhancement. The MRI signal ( ) is heterogeneous; the tumor is iso- or hypointense on T1 and hypo-, iso-, or hyperintense on T2. Contrast administration induces heterogeneous enhancement ( Fig. 40.24 ). Restricted diffusion may be seen on DWI/ADC ( ). Consistent with its site of origin, indistinct borders between the tumor and the roof of the fourth ventricle may be observed, aiding in the differential diagnosis, which in children includes atypical, rhabdoid-teratoid tumor, brainstem glioma, pilocytic astrocytoma, choroid plexus papilloma, and ependymoma. The adult differential diagnosis includes the latter two entities in addition to metastasis and hemangioblastoma. Medulloblastoma does not tend to extrude via the foramina outside of the fourth ventricle, facilitating differentiation from ependymoma. In children, choroid plexus papilloma is more likely to occur within the lateral ventricle.

Fig. 40.24, Medulloblastoma.

Esthesioneuroblastoma

The cells of an esthesioneuroblastoma are derived from olfactory neuroepithelium neurosensory cells: hence its other name, olfactory neuroblastoma . This tumor characteristically extends through the cribriform plate to the anterior cranial fossa, orbit, and paranasal sinuses. Invasion of other intracranial compartments and even of the brain is possible, and spreading via CSF has been described. The signal intensity of the tumor is variable. On MRI, T1-weighted signal is usually isointense relative to gray matter, while the T2-weighted signal varies from iso- to hyperintense ( ). With gadolinium administration, intense, sometimes inhomogeneous enhancement is seen. See eFig. 40.25 for a very advanced case of esthesioneuroblastoma that spread to multiple cranial compartments.

eFig. 40.25, Esthesioneuroblastoma.

Pineoblastoma

Pineoblastomas are highly cellular tumors that are similar in MRI appearance to pineocytomas. However, they tend to be larger (>3 cm), more heterogeneous, frequently cause hydrocephalus, and also may spread via the CSF. This tumor is isointense to gray matter on T1, with moderate heterogeneous enhancement following administration of gadolinium. Like other PNETs, the hypercellularity of pineoblastoma results in T2-weighted signal that tends to be iso- or hypointense relative to gray matter, and restricted diffusion may also be seen. Cysts within the tumor may appear markedly hyperintense on T2, peripheral edema less so. In cases accompanied by hydrocephalus, FLAIR imaging may reveal uniform hyperintensity in a planar distribution along the margins of the lateral ventricles due to transependymal flow of CSF. Peripheral calcifications or intratumoral hemorrhage will exhibit markedly hypointense signal with blooming artifact on T2∗ (pronounced T2-star ) images. Differential diagnostic considerations include germ cell tumor, pineocytoma, and (uncommonly) metastases.

Other pineal region tumors

Besides pineoblastomas, which histologically belong to the group of PNETs, the pineal gland may also develop tumors of pinealocyte origin (pineocytoma) and germ cell tumors.

Pineocytoma

Pineocytomas are homogeneous masses containing more solid components, but cysts may also be present. These tumors have a round, well-defined, noninvasive appearance. Calcification is commonly seen, but hemorrhage is uncommon. These tumors may be hypointense on T2 and exhibit a variable (central, nodular) pattern of intense enhancement after gadolinium administration ( ).

Germ cell tumors (germinoma)

Masses in the pineal region are most often germ cell tumors, usually germinomas. Less common types include teratoma, choriocarcinoma, and embryonal carcinoma. Germinomas are well-circumscribed round or lobulated lesions. Hemorrhage and calcification are rare. Metastases may spread via CSF, so the entire neuraxis should be imaged if these tumors are suspected. MRI signal characteristics are variable, with iso- to hyperintense signal relative to gray matter on both T1 and T2. With gadolinium, intense contrast enhancement is seen.

Central neurocytoma

This neuron-derived tumor accounts for less than 1% of all primary brain tumors. It tends to appear in the fourth decade. The tumor is intraventricular, most commonly in the lateral ventricles anteriorly at the foramen of Monro, close to the septum and the columns of the fornix. Even though the tumor is relatively benign histologically, this location frequently leads to obstructive hydrocephalus. The MRI signal is heterogeneous ( ); the signal is isointense on T1 and iso- or hyperintense on T2 relative to the cortical gray matter. Calcification is possible, and the tumor may contain cystic regions. Sometimes multiple cysts are noted, resulting in a “bubbly” appearance. The enhancement pattern is variable, but usually moderate and heterogeneous.

Subependymal giant cell astrocytoma

Subependymal giant cell astrocytoma (SEGA), a WHO grade I tumor, arises from astrocytes in the subependymal zone of the lateral ventricles and develops into an intraventricular tumor in the region of the foramen of Monro. It is seen almost exclusively in patients with tuberous sclerosis. Just like central neurocytoma, this tumor is also prone to cause obstructive hydrocephalus. The tumor is heterogeneously hypo- to isointense on T1 and heterogeneously hyperintense on T2-weighted images, with possible foci of hypointensity due to calcification. On FLAIR, an isointense to hyperintense solid tumor background may be punctuated by hypointense cysts. FLAIR is also useful to assess for the possible presence of hyperintense cortical tubers, which if present aid in the differential diagnosis. With gadolinium, intense enhancement is seen.

Choroid plexus papilloma

Choroid plexus papilloma is a well-circumscribed, highly vascular, intraventricular WHO grade I tumor derived from choroid plexus epithelium. In children it is usually seen in the lateral ventricle, while in adults it tends to involve the fourth ventricle. General imaging characteristics include a villiform or bosselated “cauliflower-like” appearance. Hemorrhage and calcification are noted occasionally in the tumor bed. The tumor’s location frequently causes obstructive hydrocephalus. On MRI, the appearance is hypo- or isointense to normal brain on T1 and iso- to hyperintense on T2-weighted images. The latter may also show punctate or linear/serpiginous signal flow voids within the tumor. Calcification (25%) or hemorrhage manifests as a markedly hypointense blooming artifact on T2∗ gradient echo images. With gadolinium, intense enhancement is seen. Choroid plexus carcinomas are malignant tumors that may invade the brain parenchyma and may also spread via CSF.

Subependymoma

Subependymoma is a rare, benign (WHO grade I) intraventricular tumor thought to originate from subependymal neuroglial cells. It most commonly presents in middle age (peak incidence during the fifth and sixth decades). Typically asymptomatic, it may be seen incidentally at autopsy. General imaging characteristics include a tendency to be small in size, round or lobular, well delineated, and homogeneous. Larger tumors are more likely to exhibit cysts, calcifications, or hemorrhage. The majority present within the fourth ventricle, but subependymomas are also seen in the third and lateral ventricles. Subependymomas of the lateral ventricle may be attached to the septum pellucidum, a location characteristic of central neurocytoma. Fourth-ventricular subependymomas, like ependymoma, may be seen to extrude posteroinferiorly via the foramen of Magendie. Of note, hydrocephalus is uncommon with subependymomas. On CT, subependymoma is iso- to hypodense. MRI features include T1 hypo- to isointensity, T2 hyperintensity, and hyperintense signal on FLAIR. Following gadolinium administration, enhancement is usually either absent or mild. Differential diagnostic considerations include central neurocytoma (more intensely enhancing), ependymoma (the adult peak is at a lower age than subependymoma), and intraventricular meningioma as well as metastasis.

Tumors in the Sellar and Parasellar Region

The sellar and parasellar group of extra-axial masses include pituitary micro- and macroadenomas and craniopharyngiomas. Meningiomas, arachnoid cysts, dermoid and epidermoid cysts, optic pathway gliomas, hamartomas, metastases, and aneurysms are also encountered in the para- and suprasellar region.

Pituitary adenomas

The distinction between micro- and macroadenomas is based on their size: tumors less than 10 mm are microadenomas; the larger tumors are macroadenomas. These tumors may arise from hormone-producing cells, such as prolactinomas or growth hormone–producing adenomas, resulting in characteristic clinical syndromes. Pituitary adenomas are typically hypointense on T1-weighted and hyperintense on T2-weighted images, relative to the surrounding parenchyma. This signal change, however, is not always conspicuous, especially in the case of small microadenomas. Gadolinium administration helps in these cases, when the microadenoma is visualized as relative hypointensity against the background of the normally enhancing gland ( Fig. 40.26 ). Following a delay, this difference in enhancement is often no longer apparent, and if the postcontrast images are obtained in a later phase, a reversal of contrast may be noted. The adenoma takes up contrast in a delayed fashion and is seen as hyperintense against the more hypointense gland from where the contrast has washed out. Sometimes when the signal characteristics are not conspicuous, only alteration of the size and shape of the pituitary gland or shifting of the infundibulum may indicate the presence of a microadenoma. Because of this, it is important to be familiar with the normal range of pituitary gland sizes, which depend on age and gender. In adults, a gland height of more than 9 mm is worrisome. In the younger population, however, different normal values have been established. Before puberty, the normal height is 3–5 mm. At puberty in girls, the gland height may be 10–11 mm and may exhibit an upward convex morphology. In boys at puberty, the height is 6–8 mm, and the upward convex morphology can be normal. The size and shape of the gland may also change during pregnancy: convex morphology may appear, and a gland height of 10 mm is considered normal.

Fig. 40.26, Pituitary Microadenoma.

While microadenomas are localized to the sellar region, macroadenomas may become invasive and extend to the suprasellar region and may displace/compress the optic chiasm or even the hypothalamus. Extension to the cavernous sinus is also possible (see eFig. 40.27 ).

eFig. 40.27, Pituitary Macroadenoma.

Craniopharyngioma

Craniopharyngiomas are believed to originate from the epithelial remnants of the Rathke pouch. This WHO grade I tumor may be encountered in children, and a second peak incidence is in the fifth decade ( ). The most common location is the suprasellar cistern ( Fig. 40.28 ), but intrasellar tumors are also possible. The tumor may cause expansion of the sella or erosion of the dorsum sellae. In the suprasellar region, displacement of the chiasm, the anterior cerebral arteries, or even the hypothalamus is possible. Craniopharyngiomas have both solid and cystic components. Histologically, the more common adamantinomatous and the less common papillary forms are distinguished. The adamantinomatous type frequently exhibits calcification. The MRI signal is heterogeneous. Solid portions are iso- or hypointense on T1, whereas cystic components exhibit variable signal characteristics depending on the amount of protein or the presence of blood products. On T2, the solid and cystic components are sometimes hard to distinguish, as they are both usually hyperintense. Areas of calcification may appear hypointense on T2. In contrast, the solid portions of the tumor exhibit intense enhancement.

Fig. 40.28, Craniopharyngioma.

Metastatic Tumors

Intracranial metastases are detected in approximately 25% of patients who die of cancer. Cerebral metastases comprise over half of brain tumors ( ) and are the most common type of brain tumor in adults ( ). Most (80%) metastases involve the cerebral hemispheres, and 20% are seen in the posterior fossa. Pelvic and colon cancer have a tendency to involve the posterior fossa. Intracranial metastases, depending on the type of tumor, may involve the skull and the dura, the brain, and also the meninges in the form of meningeal carcinomatosis. Among all tumors that metastasize to the bone, breast and prostate cancer and multiple myeloma are especially prone to spread to the skull and dura. Most often, carcinomas involve the brain and get there by hematogenous spread. Systemic tumors with the greatest tendency to metastasize to brain are lung (as many as 30% of lung cancers give rise to brain metastases), breast ( Fig. 40.29 ), and melanoma ( Fig. 40.30 ). Cancers of the gastrointestinal tract (especially colon and rectum) and the kidney are the next most common sources. Other possibilities include gallbladder, liver, thyroid gland, pancreas, ovary, and testicles. Tumors of the prostate, esophagus, and skin (other than melanoma) hardly ever form brain parenchymal metastases.

Fig. 40.29, Brain Metastases from Breast Cancer.

Fig. 40.30, Hemorrhagic Melanoma Metastases.

It is important to highlight the potential imaging differences between primary and metastatic brain tumors, since a significant percentage of patients found to have brain metastasis have no prior diagnosis of cancer. Cerebral parenchymal metastases can be single (usually with kidney, breast, thyroid, and lung adenocarcinoma) or (more commonly) multiple (in small cell carcinomas and melanoma) and tend to involve the gray/white matter junction. Seeing multiple tumors at the corticomedullary junction favors the diagnosis of metastatic lesions over a primary brain tumor. The size of metastatic lesions is variable, and the mass effect and peritumoral edema is usually prominent and, contrary to that seen with primary brain tumors, frequently out of proportion to the size of the tumor itself. The edema is vasogenic, persistent, and involves the white matter, highlighting the intact cortical sulci as characteristic fingerlike projections. It is hypointense on T1 and hyperintense on T2 and FLAIR. The tumor itself exhibits variable, often heterogeneous signal intensity, especially if the metastasis is hemorrhagic (15% of brain metastases). Tumors that tend to cause hemorrhagic metastases include melanoma; choriocarcinoma; and lung, thyroid, and kidney cancer. The tumor signal characteristic can be unique in mucin-producing colon adenocarcinoma metastases, where the mucin and protein content cause a hyperintense signal on T1-weighted images.

Detection of intracerebral metastases is facilitated by administration of gadolinium, and every patient with neurological symptoms and a history of cancer needs to have a gadolinium-enhanced MRI study. The enhancement pattern of metastatic tumors can be solid or ringlike. To improve the diagnostic yield, triple-dose gadolinium or magnetization transfer techniques have been used, which improve detection of smaller metastases that are not so conspicuous with single-dose contrast administration. A triple dose of gadolinium improves metastasis detection by as much as 43% ( ). Meningeal carcinomatosis can also be detected by contrast administration, which can reveal thickening of the meninges and/or meningeal deposits of the metastatic tumor.

Advanced structural neuroimaging for planning of brain tumor surgery

Besides functional MRI, advanced structural MRI techniques are also indispensable tools for brain tumor surgery planning. The goal is to maximize the amount of neoplastic tissue removal and to avoid injury to eloquent cortical structures and neural pathways. DTI is an excellent tool for visualization of the nerve fiber systems within and around neoplasms, helping define the boundaries of the planned surgical procedure. The imaging appearance helps decide whether the signal from a certain fiber system is just displaced or disrupted by the neoplasm. Disruption of the fractional anisotropy and signal of a neural pathway indicates the infiltrative nature of the tumor and predicts injury to the fibers if that particular portion of the tumor is removed. eFig. 40.31 demonstrates a case of an infiltrative anaplastic astrocytoma that infiltrates/disrupts multiple fiber systems. On the other hand, extra-axial/compressive tumors and certain, noninfiltrative intra-axial tumors only displace the adjacent pathways—hence those can be preserved during removal of the lesion.

eFig. 40.31, Diffusion Tensor Imaging, for Surgical Planning.

Ischemic Stroke

Acute ischemic stroke

With the introduction of intravenous tissue plasminogen activator (IV tPA) and, later, mechanical thrombectomy in the treatment of acute ischemic stroke, timely diagnosis of an ischemic lesion, determining its location and extent, and demonstrating the amount of tissue at risk has become essential (see Chapter 65, Chapter 68 ). CT imaging remains of great value in the evaluation of acute stroke; it is readily available, and newer CT modalities including CTA and CT perfusion imaging are coming into greater use. The applicability of CT to acute stroke continues to be enhanced by the ever-increasing rapidity with which scans can be acquired, allowing for greater coverage of tissues with thinner slices. The technological advances allowing for rapid acquisition of data have led to 4D imaging, where complete 3D data sets of the brain are serially obtained over very short time intervals, allowing for higher temporal and spatial resolutions in brain perfusion studies of acute ischemic stroke patients.

CT is very useful in detecting hyperdense hemorrhagic lesions as the cause of stroke. Early ischemic stroke, however, may not cause any change on unenhanced CT, making it difficult to determine the extent of the ischemic lesion and the amount of tissue at risk. CT is especially limited in evaluating ischemia in the posterior fossa, owing to streak artifacts at the skull base. Despite these limitations, early signs of acute ischemia on unenhanced CT may be helpful in the first few hours after stroke. CT signs of acute ischemia include blurring of the gray/white junction and effacement of the sulci due to ischemic swelling of the tissues. Blurring of the contours of the deep gray matter structures is of similar significance. In cases of internal carotid artery occlusion, middle cerebral artery main segment (M1) occlusion, or more distal occlusions, intraluminal clot may be seen as a focal hyperdensity, sometimes referred to as a hyperdense middle cerebral artery (MCA), or hyperdense dot sign ( Fig. 40.32 ).

Fig. 40.32, Evolving Ischemic Stroke in the Territory of the Left Middle Cerebral Artery.

Several MRI modalities, as well as CT perfusion studies, are capable of providing data regarding cerebral ischemia and perfusion to assist in the evaluation for possible thrombolytic therapy very early after symptom onset. DWI with ADC mapping is considered to be the most sensitive method for imaging acute ischemia ( Figs. 40.33–40.36 ). In humans, the hyperintense signal indicating restriction of diffusion is detected within minutes after onset ( ).

Fig. 40.33, Acute Ischemic Stroke in the Territory of the Middle Cerebral Artery.

Fig. 40.34, Acute Ischemic Stroke in the Territory of the Anterior Cerebral Artery.

Fig. 40.35, Acute Ischemic Stroke in the Territory of the Posterior Cerebral Artery.

Fig. 40.36, Acute Ischemic Stroke in the Left Anterior Watershed Area.

Temporal evolution of ischemic stroke on magnetic resonance imaging

Acute stroke

Initially, the hyperintense signal on DWI is caused by decreased water diffusivity due to swelling of the ischemic nerve cells (for the first 5–7 days); then it increasingly results from the abnormal T2 properties of the infarcted tissue (T2 shine-through). For this reason, a reliable estimation of the age of the ischemic lesion is not possible by looking at DWI images alone. Imaging protocols for acute ischemic stroke usually include T1- and T2-weighted fast spin echo images, FLAIR sequences, and DWI with ADC maps. These sequences together confirm the diagnosis of ischemia, determine its extent, and allow for an approximate estimation of the time of onset ( ). On ADC maps, the values decrease initially after the onset of ischemia (i.e., the signal from the affected area becomes progressively more hypointense). This reaches a nadir at 3–5 days but remains significantly low until the seventh day after onset. After this time, the values increase (the signal gets more and more hyperintense) and return to the baseline values in 1–4 weeks (usually in 7–10 days). Therefore, ADC maps are quite useful for the estimation of the age of the lesion: If the signal of the area is hypointense on an ADC map, the lesion is likely less than 7–10 days old. If the area is isointense or hyperintense on the ADC map, the onset was likely more than 7–10 days ago. As already noted, although these signal changes take place on ADC maps, the DWI images remain hyperintense, without noticeable changes of intensity by visual inspection.

On T2-weighted (including FLAIR) images, the signal intensity of the ischemic area is normal in the initial hyperacute stage, increases markedly over the first 4 days, then becomes stable. In a research setting, computing the numerical values of hyperintensity in infarcted tissue on serial T2-weighted scans can demonstrate a consistent sharp signal increase after 36 hours, distinguishing lesions younger or older than 36 hours. This is certainly not possible by visual inspection used in clinical practice.

One purpose of MRI in the evaluation of acute stroke is to determine the extent of irreversible tissue damage and to identify tissue that is at risk but potentially salvageable. The combination of DWI and PWI is frequently used for this purpose ( Fig. 40.37 ). Evaluation is based on the premise that diffusion-weighted images delineate the tissue that suffered permanent damage (although in some cases, restricted diffusion is reversible, corresponding to ischemia without infarction), whereas areas without signal change on DWI but abnormal signal on perfusion-weighted images represent tissue at risk, the so-called ischemic penumbra. If there is a mismatch between the extent of DWI changes and perfusion deficits, the latter being larger, reperfusion treatment with mechanical thrombectomy is justified to salvage the brain tissue at risk up to 24 hours of last known normal ( ). If the extent of diffusion and perfusion abnormalities is similar or the same, the tissue is thought to be irreversibly injured, with no penumbra, and therefore the potential benefit from reperfusion treatment may not be high enough to justify the risk of hemorrhage associated with thrombolytic treatment.

Fig. 40.37, Ischemic Penumbra in Acute Right Middle Cerebral Artery Stroke.

Subacute ischemic stroke (1 day to 1 week after onset)

In this stage, there is an ongoing increase of cytotoxic edema due to swelling of the ischemic neurons. Parallel with this, the involved tissue becomes more and more hypointense on T1 and also gradually more hyperintense on T2 and FLAIR sequences. Cytotoxic edema is usually maximal 2–3 days after onset, but in the case of malignant middle cerebral artery strokes, it may keep increasing until day 5. Arterial wall enhancement is seen during this stage, whereas parenchymal enhancement usually begins at the end of the first week.

Reperfusion usually occurs at this stage and may be associated with petechial hemorrhages or even frank hemorrhage within the infarcted tissue. Petechial hemorrhages are very common; microbleeds (not always visible with CT or MRI) occur in as much as 65% of ischemic stroke patients ( ). Frank hemorrhagic transformation, however, is much less common.

Late subacute ischemic stroke (1–3 weeks after onset)

In this stage, gradual resolution of the edema is seen. As the infarcted tissue is disintegrating and resorbed, the T1 hypointensity and T2 hyperintensity of the lesion become more marked. Gray matter enhancement (which in the case of infarcted cortex has a gyriform pattern) is intense throughout this stage.

Chronic ischemic stroke (3 weeks and older)

Areas of complete tissue destruction with death not only of neurons but of glia and necrosis of other supporting tissues as well, will eventually appear as cavitary lesions filled with fluid that have signal characteristics identical to CSF: hyperintensity on T2-weighted images and marked hypointensity on T1 images and FLAIR sequences. The region of encephalomalacia is bordered by a glial scar (reactive gliosis) that is hyperintense on T2 and FLAIR images ( Fig. 40.38 ). Although the initial signal changes on DWI frequently predict the final extent of tissue destruction, changes on DWI can also disappear, and the final size of tissue cavitation can be best determined on T1-weighted images, which should be part of every stroke follow-up imaging protocol. Tissue in the margins of the cavitary lesion, and often in other areas of the brain as well, may have undergone extensive neuronal loss resulting only in atrophy but not in signal intensity changes, even on T2-weighted images (partial infarction).

Fig. 40.38, Chronic Ischemic Stroke.

Besides signal changes, chronic ischemic infarcts lead to secondary changes in the brain. Owing to the loss of tissue, ex vacuo enlargement of the adjacent CSF spaces (sulci and adjacent ventricular segments) occurs. Pathways that originate from or pass through the infarcted area undergo wallerian degeneration, which is seen as T2 hyperintense signal change along the course of these pathways ( Fig. 40.39 ). Later, the hyperintensity may resolve, but the loss of pathways may result in volume loss of the structures they pass through (e.g., cerebral peduncle, pons, medullary pyramid), noted as decreased cross-sectional area.

Fig. 40.39, Wallerian Degeneration.

Stroke Etiology

Watershed ischemic stroke

Watershed ischemic stroke involves the border zones between the vascular territories of the major cerebral arteries. Infarcts may be superficial, between the territories of the major branches of the circle of Willis, such as anterior watershed infarcts between the proximal territories of the anterior and middle cerebral arteries (see Fig. 40.36 ) and posterior watershed infarcts between those of the middle and posterior cerebral arteries. Deep border zone infarcts develop between the superficial and deep branches of a cerebral artery.

Bilateral, roughly symmetrical watershed infarcts result from global cerebral hypoperfusion caused by heart failure, hypoxia, or hypoglycemia that tends to damage the border zone regions. In unilateral cases, one of these factors is usually coupled with arterial stenosis or occlusion, which can be evaluated with Magnetic Resonance Angiography (MRA) or CTA of the carotid and vertebral arteries.

Ischemic stroke of thromboembolic origin

Thromboembolic stroke results from occlusion of one or more major cerebral arteries or their branches by a blood clot. The occlusion may be due to in situ thrombus formation or embolization from a distant source. Emboli can be of cardiac origin, but they may also be the result of artery-to-artery embolization, commonly due to carotid or aortic arch atherosclerotic disease. The location of infarctions on CT or MRI can orient as to the source of emboli. Unilateral anterior strokes are often due to embolization from the proximal internal carotid artery, a preferential site for atherosclerotic plaque formation. Likewise, unilateral embolic stroke in the posterior circulation necessitates evaluation of the vertebrobasilar system. It should be kept in mind that in case of the quite common anatomical variant of fetal origin of the posterior cerebral arteries (termed fetal PCA when they are predominantly fed by large posterior communicating arteries, which are variably present and arise from the internal carotids), posterior circulation stroke may result from embolization from the anterior circulation. Multiple, especially bilateral, cortical ischemic strokes almost always suggest an embolic origin. If the strokes are bilateral and/or involve both the anterior and posterior circulation, a more proximal embolic source such as the aortic arch or heart can be suspected. Reperfusion injury is a common phenomenon in embolism, and in this stroke type, hemorrhagic transformation of varying degree is often seen.

Lacunar ischemic stroke

Lacunar ischemic strokes constitute 20%–25% of all strokes and are typically seen in patients with hypertension and diabetes. This stroke type is thought to be due to narrowing and in situ thrombosis of the small, deep-penetrating arteries such as the lenticulostriate arteries. The most common locations include basal ganglia, internal capsule, and thalamus. According to structural imaging criteria, their size is usually less than 15 mm in diameter. Acutely, lacunar infarctions may exhibit restricted diffusion if the resolution of the ADC map is high enough to differentiate such from background signal variation. Chronic lacunes have a smoothly rounded, well-defined appearance. The encephalomalacic core of chronic lacunar infarctions follows CSF signal on all pulse sequences, appearing markedly hyperintense on T2 and hypointense on both T1 and FLAIR. There is often a thin rim of hyperintense signal on FLAIR due to gliosis, which helps differentiate lacunes from large Virchow-Robin spaces ( eFig. 40.40 ).

eFig. 40.40, Chronic Lacunar Ischemic Stroke and Microvascular Ischemic Changes in the Hemispheric White Matter.

Other Cerebrovascular Occlusive Disease

Arteriolosclerosis (white matter hyperintensity of presumed vascular origin)

Diffuse or patchy T2 hyperintense signal changes in the deep hemispheric and subcortical white matter are probably the most common abnormal findings on MRI in the adult and elderly patient population. The terms microvascular ischemic changes , chronic small vessel disease, or leukoaraiosis are alternatively used to describe these lesions on imaging studies. Their etiology and clinical significance have been debated extensively.

Certain hyperintense signal changes are considered normal incidental findings, with no clinical relevance. A uniformly thin, linear, T2 hyperintensity that has a smooth outer border along the border of the body of the lateral ventricles is often seen in the elderly population and likely represents fluid or gliotic changes in the subependymal zone. It tends to be more pronounced at the tips of the frontal horns (ependymitis granularis). This finding is thought potentially to be due to focal loss of the ependymal lining with gliosis and/or influx of interstitial fluid into these regions.

Patchy signal changes within the white matter of the cerebral hemispheres beyond a relatively low threshold (generally, one white matter hyperintensity per decade of life is felt to fall within the normal range) are pathological and are most commonly of ischemic origin. According to the most accepted hypothesis, these hyperintensities are the result of gradual narrowing or occlusion of the small vessels of the white matter, the diameters of which are less than 200 μm (hence the terms microvascular lesions or small vessel disease ). Pathologically, these lesions are composed of focal demyelination and gliosis. The lumen of the involved vessels is narrow or occluded; their walls may exhibit arteriosclerotic changes and commonly amyloid deposits. On imaging studies, they have a chronic appearance, with diffuse borders and no surrounding edema or evidence of mass effect. They are generally associated with some degree of central atrophy, which tends to worsen with higher lesion loads. The distribution of these lesions changes only very gradually on serial scans, often showing minimal to no significant difference on studies spaced several years apart.

While age by itself can cause such changes, and the incidence of these lesions increases with age in people 40 years or older, there are several other risk factors that can make them more numerous. These include hypertension, diabetes, hypercholesterolemia, and smoking. Indeed, patients with these medical problems are more likely to have an elevated number of ischemic white matter lesions.

Chronic ischemic white matter lesions are hypodense on CT, but MRI is much more sensitive and reveals more extensive lesions ( Fig. 40.41, A ). On MRI, the lesions are hyperintense on T2 and FLAIR sequences. They may or may not be visible as T1 hypointensities. It is possible that only lesions visible on T1-weighted images may be clinically significant. Common locations are the PV and, more commonly, the deep white matter, but subcortical lesions are also common, with sparing of the U-fibers. The lesions can be isolated, scattered, or more confluent, especially in the PV zone. Morphologically, individual lesions generally exhibit indistinct borders with a diffuse “cotton-wool” appearance and range in size from punctate to small. Regions of confluent lesions may appear large and more commonly affect the deep white matter anterior and posterior to the bodies of the lateral ventricles, symmetrically within the parietal and frontal lobes. Deep white matter lesions also often occur in a distribution parallel to the bodies of the lateral ventricles on axial views, with an irregular band-like or “beads-on-string” appearance often separated from the PV lesions by an intervening band of relatively unaffected white matter. Involvement of the external capsules is also characteristic. These patterns of lesion distribution and morphology are often best seen on FLAIR. Contrary to the lesions of multiple sclerosis (MS), microvascular ischemia tends not to involve the temporal lobes or the corpus callosum. Besides the hemispheric white matter, microvascular ischemic lesions often also involve the basis pontis (see Fig. 40.41, B and C , available online).

Fig. 40.41, Microvascular Ischemic White Matter Changes.

The clinical significance of ischemic white matter lesions depends on their extent and location. The presence of a few small, scattered, ischemic white matter lesions on T2-weighted images is clinically meaningless, and these are usually considered a normal imaging manifestation of aging. Patients may feel more comfortable with descriptions such as “age spots of the brain” to convey their benign nature when verbally discussing results. More extensive lesions also visible on T1-weighted sequences, however, are more likely to be associated with neurological abnormalities such as abnormal gait, dementia, and incontinence. In ischemic arteriolar encephalopathy or Binswanger disease, there is pronounced, widely distributed, and confluent PV and deep white matter signal change. In more severe cases, the confluent hyperintensity also involves the internal and external capsules or subcortical white matter. Besides confluent lesions, coexisting multiple scattered T2 hyperintensities are also very common. Ischemic white matter lesions are often intermixed with lacunar ischemic strokes and generalized cerebral volume loss is also frequently noted.

eFig. 40.42 illustrates a case where the combination of various vascular pathologies, including large vessel stroke, and multiple lacunar infarcts led to vascular dementia.

eFig. 40.42, Vascular Dementia.

Scattered small, nonspecific-appearing, seemingly microvascular white matter hyperintensities have a broader differential diagnosis in the younger patient population. Multiple small T2 hyperintense lesions in the hemispheric white matter can be caused by migraine, trauma, inborn errors of metabolism, vasculitis (including Sjögren syndrome, lupus, Behçet disease, and primary CNS vasculitis), Lyme disease, and MS. Since the MRI appearance of these is nonspecific, clinical correlation is always warranted. In many instances, these white matter lesions are idiopathic, and future serial imaging studies are needed for follow-up.

CADASIL

Cerebral autosomal dominant arteriopathy with subcortical infarcts and leukoencephalopathy (CADASIL) is an autosomal dominant inherited vascular disease. Pathologically there is destruction of the smooth muscle cells in the small and medium-sized penetrating arteries, with deposition of osmiophilic material and fibrosis leading to progressive thickening of the arterial wall and narrowing of the lumen. As a result, leukoencephalopathy and multiple ischemic strokes occur. Over 90% of patients have detectable mutations of the NOTCH3 gene, which encodes a transmembrane receptor primarily expressed in arterial smooth muscle cells. On MRI, multiple focal infarcts and T2 hyperintense white matter lesions are seen. The white matter lesions may involve the external capsules and, very characteristically, the anterior temporal lobe white matter in a confluent fashion that includes the subcortical arcuate fibers ( eFig. 40.43 ). This latter finding is helpful for the structural imaging diagnosis and also helps distinguish CADASIL from “sporadic” ischemic arteriosclerotic vascular disease.

eFig. 40.43, CADASIL.

Hippocampal sclerosis

Hippocampal sclerosis is a potential typical imaging finding in patients with seizures of temporal lobe origin. Previous history of febrile seizures is quite common. On the affected side, the hippocampus exhibits decreased size and often also abnormal T2 hyperintense signal, which is best appreciated on coronal T2 as well as coronal and axial FLAIR images ( eFig. 40.44 ). The underlying pathology is neuronal loss and gliosis involving the CA1 and CA3 regions of the hippocampus. Ex vacuo enlargement of the adjacent segment of the lateral ventricle temporal horn is also seen. There may be involvement of the hippocampus only, but at times other structures of the mesial temporal lobe are also affected and exhibit T2 hyperintensity. In these cases, mesial temporal sclerosis is a more appropriate term.

eFig. 40.44, Hippocampal Sclerosis.

Venous occlusion/infarction

Venous infarction may follow the thrombosis of cerebral veins (cortical draining veins and the cerebral deep venous system) or of one or more intracranial venous sinuses. The pathogenesis of venous ischemia/stroke is fundamentally different from arterial strokes. Thrombosis of the efferent channels (veins or sinuses) causes elevation of venous pressure, leading to congestion/dilatation of upstream capillaries and venules. This results in interstitial edema, which makes the area of venous infarction/ischemia hyperintense on T2-weighted and FLAIR pulse sequences. Rupture of the vessels may occur, leading to the frequently observed hemorrhagic component of these lesions, best visualized on susceptibility sensitive sequences. Further changes depend on the severity and duration of venous occlusion. Often the congestion is brief or transient, and the ischemic tissue recovers. In these cases, the sometimes very prominent signal changes can resolve, and no residual deficits will remain. In more severe cases that progress to infarction, restriction of diffusion (hyperintense signal on DWI and hypointense signal on ADC maps) is a common finding due to cytotoxic edema. Cytotoxic and vasogenic edema also results in hypointense signal on T1-weighted images. The venous etiology of the stroke is suggested by the morphological appearance of the lesion. Its distribution does not follow an arterial branch pattern. The appearance of the hyperintense signal changes on T2-weighted images and FLAIR sequences is also different; oftentimes heterogeneous signal changes are noted within the venous infarction, consisting of a “curly cue” or “fudge-swirl” pattern. Tumor-like appearances are also possible.

In cases of ischemia/stroke that are suspected to be of venous origin, it is important to carefully evaluate the draining veins in the area, and the sinuses as well, to look for thrombosis. The normal flow voids on MRI may be absent, replaced in some cases by hyperintense signal changes on FLAIR or hyperdensities on CT that exhibit a tubular or curvilinear string-like morphology. However, the pattern and distribution of cortical draining veins is very variable, which makes it difficult to pinpoint abnormalities of individual veins. Sometimes there is a striking absence of visualizable draining veins. Conversely, in cases of sinus thrombosis, massive engorgement of the veins may be seen. Venous thrombosis frequently starts at the level of a draining vein. In these cases, magnetic resonance venography (MRV) may be initially unremarkable. MRV will become abnormal only later when the thrombosis progresses to the venous sinuses. Suspected cases of venous infarction are often best evaluated with two modalities: conventional MRI or CT in conjunction with MRV or a CT venogram. eFig. 40.45 demonstrates the evolution of a venous infarct, due to left transverse sinus thrombosis, from the acute to chronic stages.

eFig. 40.45, Venous Stroke.

Cerebral venous sinus thrombosis

Acute cerebral venous sinus thrombosis results in diminished or absent flow in the involved sinuses. Cerebral venous sinus thrombosis usually causes typical signal changes on MRI ( Fig. 40.46 ) and severely attenuated or absent flow signal on MRV. MRV techniques include flow-sensitive modalities such as 2D time-of-flight and phase contrast imaging, as well as postcontrast high-resolution three-dimensional spoiled gradient-recalled (3D SPGR), which offers excellent visualization of the sinuses with a very high spatial resolution and contrast-to-noise ratio.

Fig. 40.46, Left transverse and sigmoid sinus thrombosis with a small left temporal lobe area of venous ischemia. This 48-year-old patient presented with a new-onset seizure and right visual field deficit that resolved later. A, Axial FLAIR image reveals abnormal hyperintense signal in the left transverse and sigmoid sinus, indicating thrombosis. Compare with the right transverse sinus, with the normal hypointense flow void. This FLAIR image also shows a small but noticeable area of hyperintensity due to venous ischemia in the left temporal lobe. B, Noncontrast T1-weighted image also reveals abnormal hyperintense signal in the involved venous sinuses. Again, compare with the contralateral sinus. C, Postcontrast T1-weighted image reveals normal filling in the sinus on the right, but there is no filling along the visualized segment of the left transverse sinus (arrowheads) .

In the appropriate clinical context, a useful sign of venous sinus thrombosis is the absence of a normal hypointense flow void in the involved sinuses on T1- and T2-weighted images and absent flow in the involved sinus on MRV. Nonflowing blood generally results in increased signal intensity on T1 and T2. In the early acute stage, however, the sinuses may still be hypointense. This is followed by signal that is isointense to the gray matter. The typical hyperintense signal on T1- and T2-weighted images appears when methemoglobin is present in the clot. At all stages, therefore, simultaneous review of the MRV or CT angiogram for lack of flow signal and lack of contrast filling in conjunction with conventional MRI may be particularly useful to increase the sensitivity and specificity of detection of sinus thrombosis while also adding information regarding the age of the clot.

Following administration of gadolinium, there may be enhancement of the dural wall of the sinus and along the periphery of the clot, but not within the clot itself, resulting in an “empty delta” appearance. This is classically a CT finding, but the same concept also applies to MRI in the context of the T1-weighted clot signal that varies with clot age. MR demonstrates lack of flow, appearing as absence of contrast-related signal in the involved sinuses. CT angiogram reveals no contrast filling in the thrombosed sinuses. The cortical veins that drain into the involved sinuses may appear engorged on MRV. However, if the thrombosis also involves these draining veins, they too may exhibit lack of signal on MRV, lack of filling on CT angiogram, and lack of flow voids in conjunction with iso- or hyperintense signal on T1- and T2-weighted images.

Variations in the speed of blood flow and anatomical variants of the venous sinuses may change their usual signal characteristics, leading to a false diagnosis of venous sinus thrombosis. Slow flow in a venous sinus may cause increased signal on T1- and T2-weighted images, potentially leading to a false assumption of thrombosis. Gadolinium-enhanced images help in these cases, demonstrating contrast filling/enhancement in the sinuses and confirming the absence of thrombosis. A normal variant of venous sinus hypoplasia/aplasia may result in decreased/absent flow signal on MRV, falsely interpreted as thrombosis. T1- and T2-weighted images, however, are usually able to demonstrate the absence of thrombus in the sinus. These examples highlight the importance of reviewing all necessary image modalities (MRV, T2-weighted images, T1-weighted images with and without contrast) to make or reject a diagnosis of venous sinus thrombosis.

Hemorrhagic Cerebrovascular Disease

Structural neuroimaging is crucial in the evaluation of hemorrhagic cerebrovascular disease. Besides detection of the hematoma itself, its location can provide useful information regarding its etiology. Lobar hematomas, especially along with small, scattered, parenchymal microbleeds, raise the possibility of cerebral amyloid angiopathy, whereas putaminal, thalamic, or cerebellar hemorrhages are more likely to be of hypertensive origin. Other underlying lesions such as brain tumors causing hemorrhages can be detected by structural imaging. This section discusses hemorrhagic cerebrovascular disease and cerebral intraparenchymal hematoma, whereas other causes of hemorrhage such as trauma or malignancy are discussed in other sections. Refer to Chapter 66, Chapter 67 for a clinical neurological review of intracerebral hemorrhages.

For decades, noncontrast CT scanning has been (and in most emergency settings still is) the essential tool for initial evaluation of intracerebral hemorrhage. In hyperacute (<12 hours after onset) and acute hemorrhage (12–48 hours), the patient’s hematocrit largely determines the lesion’s degree of density on CT. With a normal hematocrit, both retracted and unretracted clots exhibit hyperdensity that contrasts sufficiently with the isodense background of brain parenchyma to be easily detectable. In cases of anemia, however, small hemorrhagic lesions may potentially be overlooked owing to their lower CT density and may even be isodense to brain. The following sections describing the appearance of hemorrhage on CT and MRI studies all assume a normal hematocrit.

In the acute stage, the hematoma is seen as an area of hyperdensity on CT. The associated mass effect depends on the size and location. Effacement of the ventricles, cortical sulci, or basal cisterns is often seen. Various degrees of midline shift or subtypes of herniation (transtentorial, subfalcine, etc.) may occur. The surrounding edema is seen as hypodensity and tends to appear irregular with varying thickness depending on the degree of involvement of adjacent white matter tracts, which are preferentially affected. The initially distinct border of the hematoma changes within days to a few weeks after onset and becomes irregular and “moth-eaten” due to the phagocytic activity of macrophages. Small hematomas may disappear on CT within 1 week; in the case of larger hematomas, the process may take more than a month. Small hemorrhages may resolve without any residual change, while those that are larger are gradually replaced by an encephalomalacic cavity of decreased density and ex vacuo enlargement of the adjacent CSF spaces.

The appearance of hemorrhagic cerebrovascular disease on MRI is very complex regarding both signal heterogeneity on individual scans and subsequent changes in appearance over successive imaging studies. Signal characteristics of hemorrhage vary widely across different pulse sequences (T1, T2, T2∗ gradient echo), depending on the age of the hemorrhage; presence of oxyhemoglobin, deoxyhemoglobin, methemoglobin, and hemosiderin; changing water content within the clot; and integrity of erythrocyte membranes. Understanding the typical MRI appearance of each stage in the evolution of a hemorrhage allows one to estimate its age, because biochemical and structural changes characteristic of each stage (macroscopic and microscopic) occur along a predictable time line. In addition to conventional (T1- and T2-weighted) images, the gradient echo technique has been used to detect even small intracerebral hemorrhages, given its sensitivity to the paramagnetic properties (magnetic field distorting effects) of various blood products. More recently introduced into clinical practice, the technique of SWI offers the greatest sensitivity for chronic hemorrhage to date and is particularly useful in evaluating punctate hemorrhages in patients with diffuse shear injury secondary to prior head trauma.

A discussion of the MR imaging features of hemorrhage is best organized according to the stages of hemorrhage evolution as follows.

Hyperacute hemorrhage (0–24 hours)

In the early (hyperacute) phase of intraparenchymal hemorrhage (<24 hours) the red blood cells are intact, and a mixture of oxy- and deoxyhemoglobin is present ( ). In this stage, the signal on T1-weighted images is isointense to the brain, so even larger hematomas may be missed on this pulse sequence. On T2-weighted images, the oxyhemoglobin portion is hyperintense and deoxyhemoglobin is hypointense, resulting in the gradual appearance of a hypointense rim and gradually increasing hypointense foci within the hematoma as the amount of deoxyhemoglobin increases from the periphery. Such hypointense foci are also seen on FLAIR. Between the clot and the deoxyhemoglobin-containing rim, thin intervening clefts of fluid-like T2 hyperintensity may be seen as an initial manifestation of clot retraction. On gradient echo images, hyperacute hemorrhage will exhibit heterogeneously isointense to markedly hypointense signals, the latter corresponding to deoxyhemoglobin content in more peripheral portions of the clot. The amount of edema is mild in this stage, usually seen as a thin rim that is hyperintense on T2 and FLAIR images and hypointense on T1-weighted images ( ).

Acute hemorrhage (1–3 days)

During this stage, hemoglobin is transformed to deoxyhemoglobin, but the membranes of the erythrocytes are still intact ( ). The hematoma becomes slightly hypointense on T1 and strikingly hypointense on T2-weighted images ( Fig. 40.47 ). On GRE, proton spins in the presence of paramagnetic deoxyhemoglobin dephase rapidly during TE, resulting in signal loss and, therefore, hypointensity of the hematoma on this pulse sequence. The surrounding edema, which is more extensive during this stage, is hypointense on T1 and hyperintense on T2.

Fig. 40.47, Two Cases of Acute Parenchymal Hemorrhage.

Early subacute hemorrhage (3 days to 1 week)

As blood degradation evolves, deoxyhemoglobin is converted to methemoglobin. At this stage, the blood degradation products are still intracellular ( ). Intracellular methemoglobin is hyperintense on T1 and hypointense on T2-weighted images. T1 shortening is primarily the result of dipole–dipole interactions between heme iron and adjacent water protons, facilitated by a conformational change that occurs when deoxyhemoglobin is converted to methemoglobin.

Signal changes on T2 occur via a different mechanism. Sequestration of methemoglobin within the intact red blood cell membrane results in a locally paramagnetic environment adjacent to the diamagnetic, methemoglobin-free extracellular compartment. These differences in the local magnetic fields, present at a microscopic level, cause rapid dephasing of proton spins and signal loss during TE as water molecules diffuse rapidly through this heterogeneous environment. Therefore, on T2-weighted images, the presence of intracellular methemoglobin results in hypointensity of the hemorrhage. These signal changes start from the periphery of the hematoma where the deoxyhemoglobin-to-methemoglobin transformation first occurs. During this stage, the amount of edema starts to decrease.

Late subacute hemorrhage (1–4 weeks)

In the late subacute phase, the membranes of the red blood cells disintegrate, and methemoglobin becomes extracellular ( ). Extracellular methemoglobin contains Fe 3+ , which has five unpaired electrons. This leads to a dipole–dipole interaction that, contrary to intracellular methemoglobin, causes hyperintense signal change on both T1- and T2-weighted images ( Fig. 40.48 ).

Fig. 40.48, Late Subacute Parenchymal Hemorrhage.

During this stage (usually 2 weeks after the hemorrhage) hemosiderin deposition begins, typically at the periphery of the hematoma where macrophages reside. A dark peripheral rim appears on GRE and T2-weighted images, which is initially thin but then progressively thicker. The amount of edema around the hematoma continues to decrease gradually.

Chronic hemorrhage (>4 weeks)

In the chronic stage ( ), the core of larger hematomas turns into a slitlike or linear cavity with CSF signal characteristics, being hypointense on T1 and FLAIR and hyperintense on T2-weighted images. At the periphery of the lesion, macrophages continue to remove iron from the extracellular methemoglobin; hemosiderin and ferritin are deposited in their lysosomes, resulting in a rim of hypointense signal on T2-weighted and GRE images. This hypointense rim becomes progressively more prominent during the transition from the late subacute to chronic stage ( Fig. 40.49 ).

Fig. 40.49, Chronic Parenchymal Hemorrhage.

If the hemorrhage is small, eventually its entire area will be occupied by hemosiderin deposition. Smaller hemorrhages or microbleeds, such as those seen in amyloid angiopathy or after head trauma, are visualized as multiple uniformly hypointense foci on GRE images. Susceptibility-weighted images are even more sensitive to magnetic field distortion due to blood products and can reveal microbleeds that are missed even by conventional gradient echo images. It is important to keep in mind that because of magnetic field distortion, the area of hypointensity on GRE or susceptibility-weighted images is larger than the actual size of the bleed. GRE or, ideally, SWI should be part of every MRI protocol for brain trauma.

Hemorrhage, like many other lesions to the brain, provokes reactive gliosis. In the chronic stage, surrounding gliosis is seen as mildly hyperintense signal on T2 and FLAIR images.

Superficial Siderosis

The phenomenon of superficial siderosis has been described as a late consequence of subarachnoid hemorrhage. It typically follows chronic or repeated episodic bleeding into the subarachnoid space. The recurrent hemorrhage can be due to certain tumors, trauma, or vascular malformations. As a result of the bleeding, there is deposition of hemosiderin into the subpial layer of the brain parenchyma. On T2-weighted images, this appears as a thin rim of hypointensity along the periphery of involved structures such as the cortical gyri, contour of the brainstem, rim of the spinal cord, or along certain cranial nerves ( eFig. 40.50 ). Although the phenomenon may be idiopathic, an extensive search for the earlier-described possible sources of hemorrhage is warranted.

eFig. 40.50, Superficial Siderosis.

Cerebral Amyloid Angiopathy

This condition results from deposition of β-amyloid into the media and adventitia of small and medium-sized arteries. The damaging effect of amyloid causes narrowing of the lumen of these vessels, but fibrinoid necrosis and microaneurysm formation are also noted. Microvascular damage causes white matter ischemic lesions, hyperintense on T2 and hypointense on T1-weighted images. Rupture of the vessel wall or microaneurysm results in cerebral hemorrhage, which can be large. A lobar pattern of hemorrhage in a normotensive elderly patient, especially when multiple lobes are affected, should raise the possibility of underlying amyloid angiopathy. The hemorrhagic lesions may be much smaller too, often appearing as multiple microbleeds. These are well visualized with gradient echo imaging, and the yield is even better when the more sensitive technique of SWI is used ( eFig. 40.51 ). Amyloid angiopathy may be seen in the setting of Alzheimer disease (AD), and in these cases the characteristic mesial temporal atrophy or generalized cerebral atrophy may also be noted.

eFig. 40.51, Amyloid Angiopathy.

Infection

Bacterial meningitis

In the typical uncomplicated form of bacterial meningitis, no abnormalities are seen in the brain parenchyma, and without contrast administration, the meninges may also appear unremarkable. With gadolinium, however, intense meningeal enhancement is seen, usually over the convexities and along the basal cisterns; this is due to vascular engorgement and increased vascular permeability secondary to the inflammatory process. At times, as a complication, ventriculitis may develop, and then the ependymal lining of the ventricles also exhibits enhancement.

Cerebritis, abscess

Cerebritis and abscess can arise as complications of bacterial meningitis, but they may also spread to the brain hematogenously from another source such as endocarditis or pulmonary abscess. Cerebritis and abscess refer to different stages of the parenchymal infection. In the cerebritis stage, the lesion has poorly defined hyperintensity on T2 and FLAIR sequences and is iso- to hypointense on T1-weighted images. Foci of necrosis may be present. There is surrounding edema, appearing as hypointensity on T1 and hyperintensity on T2 and FLAIR. With gadolinium, a heterogeneous irregular enhancement pattern may or may not be present.

If the process continues to cerebral abscess formation, after an average of 2 weeks, the core appears more demarcated and fibrotic capsule formation is noted. The center of the abscess contains liquefied, necrotic, and purulent material. This is usually hypointense on T1 (but may appear more hyperintense, depending on the protein content) and hyperintense on T2. The rim is iso- to hypointense on T1 and iso- to hypointense on T2. Often the T2 hypointense rim is well seen, separating the hyperintense core from the usually less hyperintense surrounding edema. With gadolinium, the capsule exhibits ring enhancement, which is typically a smooth, thin, complete ring. Sometimes the deeper segment of the enhancing ring is thinner than the superficial. A characteristic feature that supports the diagnosis of abscess is the so-called daughter abscess, which is seen as a smaller ring-enhancing lesion connected to the parent abscess.

Cerebral abscesses are part of the differential diagnosis when ring-enhancing cerebral lesions are encountered. Besides the described ring morphology and the potential presence of daughter abscesses, cerebral abscesses exhibit restriction of diffusion centrally, appearing as hyperintense signal on diffusion-weighted images and hypointensity on ADC maps, which distinguishes them from metastatic and most primary brain tumors ( eFig. 40.52 ).

eFig. 40.52, Cerebral Abscess.

Central nervous system tuberculosis

Tuberculosis may involve the brain parenchyma in the form of tuberculomas ( eFig. 40.53 ), cerebritis, or cerebral abscess. Tuberculomas are isointense on T1; the T2 appearance is variable. At times a mildly T1 hyperintense and T2 hypointense rim is seen around them. Tuberculomas exhibit solid or ring enhancement and, similar to tuberculosis-related abscesses, enhance intensely; in cases of ring enhancement, it is usually thicker and more irregular than seen with pyogenic abscesses. In chronic tuberculomas, areas of calcification are sometimes noted. Tuberculous meningitis is another frequent occurrence in this disease, with diffusely abnormal meningeal enhancement being most intense along the basal meninges; distinct nodules may also be noted. Ventriculitis with ependymal enhancement is also possible. Tuberculosis-related vasculitis may complicate the disease, causing infarctions of various sizes.

eFig. 40.53, Central Nervous System Tuberculosis.

Lyme disease

In the brain parenchyma, Lyme encephalitis may cause multiple lesions that are slightly hypointense on T1- and hyperintense on T2-weighted images. The most common locations are the subcortical and PV white matter, but the thalamus, corpus callosum, and pons may be involved as well. The lesions appear nonspecific, their size ranging from a few millimeters to a centimeter. Vasculitis, demyelinating disease, and microvascular ischemia are frequent differential diagnostic considerations. If present, abnormal enhancement along the meninges and cranial nerve segments may indicate involvement of these structures by Lyme disease.

Cysticercosis

Among the parasitic infections of the CNS, cysticercosis is the most common. It is caused by the larval form of Taenia solium . The infection may involve the parenchyma, but meningeal, subarachnoid, and intraventricular locations are also common. The lesions are usually cystic, and the cysts often exhibit a T1 hyperintense central scolex. Intraparenchymal cysts are common at the gray/white junction, their size ranging from millimeters to a few centimeters. The cyst itself is of variable signal intensity, hypo- to hyperintense on T1 and iso- to hyperintense on T2. The cyst and its leaking contents provoke an inflammatory reaction in the surrounding parenchyma, resulting in edema and later gliosis, both appearing as T2 hyperintensity. With gadolinium, the amount of enhancement depends on the degree of inflammatory reaction. As the larva dies, the cystic lesion usually retracts, and at the chronic stage there is calcification without contrast enhancement. See eFig. 40.54 for a case, with corresponding gross pathology.

eFig. 40.54, Cerebral Cysticercosis.

You're Reading a Preview

Become a Clinical Tree membership for Full access and enjoy Unlimited articles

Become membership

If you are a member. Log in here