Small Bowel and Colon Pathology


Small Intestine

  • 1.

    What are the morphologic features of celiac disease?

    The normal duodenal mucosa has numerous fingerlike projections, or villi, as shown in Figure 59-1 A, whereas in celiac disease the normal villous architecture is lost (blunted villi and crypt hyperplasia) and intraepithelial lymphocytes (IELs) are increased, as shown in Figure 59-1 B . Increased IELs are seen more toward the tips of the villi. These are T lymphocytes that can be highlighted by CD3 immunohistochemical stain.

    Figure 59-1, A, Duodenum (normal) with underlying Brunner glands ( asterisk ). B, Celiac disease. Villous blunting with crypt hyperplasia and increased intraepithelial lymphocytes (tip heavy pattern). Hematoxylin and eosin stain.

    The Marsh criteria represent a morphologic classification that defines the many histologic features of this entity. The modified classification (Marsh-Oberhuber) subdivides Marsh 3 into A, B, and C as partial, subtotal, or total villous atrophy, respectively. Corazza classification simplifies it further into Grade A, B1, and B2, representing Marsh type 1, 3a, and 3c, respectively. The comparison and summary of histologic classifications is depicted in Table 59-1 .

    Table 59-1
    Histologic Classifications of Celiac Disease
    Adapted from Rubio-Tapia A, et al. ACG clinical guidelines: Diagnosis and management of celiac disease. Am J Gastroenterol 2013;108(5):656–676.
    Marsh Modified (Oberhuber) Histologic Criteria Corazza
    IEL * Crypt Hyperplasia Villous Atrophy
    Type 0 No No No None
    Type 1 Yes No No Grade A
    Type 2 Yes Yes No
    Type 3a Yes Yes Yes (partial) Grade B1
    Type 3b Yes Yes Yes (subtotal)
    Type 3c Yes Yes Yes (total) Grade B2
    IEL, Intraepithelial lymphocytes.

    * > 40 IEL per 100 enterocytes for Marsh modified (Oberhuber); > 25 IEL per 100 enterocytes for Corazza.

    Treated celiac disease may show normal villous architecture but the IELs are still increased.

  • 2.

    What is the differential diagnosis of the biopsy showing villous blunting?

    • Allergy to other proteins (e.g., cow’s milk in the pediatric population)

    • Dermatitis herpetiformis

    • Nonsteroidal antiinflammatory drugs (NSAIDs)

    • Peptic duodenitis

    • Giardiasis

    • Tropical sprue

    • Crohn’s disease

    • Severe malnutrition

    • Bacterial overgrowth

    • Common variable immunodeficiency

    • Autoimmune enteropathy

    • Graft-versus-host disease (GVHD)

    • Zollinger-Ellison syndrome

    • Chemotherapy effect

  • 3.

    What are the complications of celiac sprue?

    • Collagenous sprue: Some cases of longstanding sprue, unresponsive to gluten-free diet, exhibit a thickened subepithelial collagen table greater than 10 μm along with marked villous blunting.

    • Ulcerative jejunoileitis is characterized by multiple transverse ulcers in the small intestine, predominantly in the jejunum.

    • Enteropathy-associated T-cell lymphoma is mostly seen in older adult patients with celiac disease.

    • Carcinoma: Increased incidence of small bowel adenocarcinoma and carcinoma at other GIT sites has been reported. Also reported are carcinomas of oropharynx, lung, breast, and ovary.

  • 4.

    Histologically, what findings suggest peptic duodenitis?

    Gastric foveolar metaplasia is seen in the villi (which may be focal or extensive), along with active lesions (i.e., cryptitis or crypt abscess) and increased chronic inflammation in the lamina propria. Rarely, Helicobacter organisms may be identified in cases with extensive foveolar metaplasia. The differential diagnosis includes gastric heterotopia.

  • 5.

    Discuss a few causes of infectious enteritis.

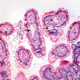
    • Giardiasis: Giardia lamblia is seen as a pear-shaped organism, which resides in the upper small intestine (duodenum and jejunum) ( Figure 59-2 ) and exists in two forms—trophozoite and cyst. The trophozoite form (7 μm wide, 14 μm long) shows two symmetrical nuclei with nucleoli and four pairs of flagella. On longitudinal sections, it appears as a long, curved organism.

      Figure 59-2, Photomicrograph of Giardiasis. Small bowel biopsy shows pear-shaped trophozoite forms ( arrows ) on the luminal surface. Hematoxylin and eosin stain.

    • Mycobacterium avium intracellulare infection: This opportunistic infection affects both the small and large bowel in immunocompromised hosts in a patchy distribution. Histologic examination shows numerous histiocytes in the lamina propria ( Figure 59-3 A ) that contain numerous acid-fast bacilli highlighted by Kinyoun stain (see Figure 59-3 B ). Granulomas may not be identified.

      Figure 59-3, A, Mycobacterium avium intracellulare. There is marked expansion of the lamina propria by plump histiocytes (hematoxylin and eosin stain). B, Mycobacterium avium intracellulare. Acid-fast bacilli (magenta staining rods within histiocytes) highlighted by the Kinyoun stain. The Tropheryma whippeli organisms are not acid fast.

    • Whipple disease: Tropheryma whippelii infects the small intestine, cardiac valves, nervous system, and lymph nodes. Histologic examination shows expansion of lamina propria by positive periodic acid–Schiff (diastase resistant) Whipple bacilli that are negative with acid-fast bacilli stain. The other feature that points to Whipple infection is the dilated lymphatics in the lamina propria caused by obstruction of the lymphatic ducts by bacilli. Other tests include polymerase chain reaction (PCR) assay and electron microscopy.

    • Other infections include cryptosporidium, disseminated histoplasmosis, Isospora belli, Microsporidium spp. (Enterocytozoon bieneusi, Enterocytozoon intestinalis), strongyloides, and Yersinia spp.

Miscellaneous Conditions

  • Lymphangiectasia: Primary lymphangiectasia presents in the pediatric age group generally before 3 years. The biopsy sample shows dilated lymphatics in the superficial lamina propria ( Figure 59-4 ). Secondary causes will show similar histologic findings and include local inflammatory or a neoplastic process.

    Figure 59-4, Photomicrograph of lymphangiectasia (secondary). Small bowel biopsy showing villi with dilated lacteals ( arrows ). Hematoxylin and eosin stain.

  • Ischemic enteritis: This is often the result of mechanical obstruction and, histologically, shows hemorrhage in the lamina propria or transmural hemorrhage with mucosal sloughing.

  • GVHD: Histologic findings are graded as follows:

    • Grade 1—Apoptosis (single cell necrosis) of the crypt epithelium

    • Grade 2—Apoptosis with crypt abscesses

    • Grade 3—Individual crypt necrosis or crypt drop-out

    • Grade 4—Total surface denudation of areas of bowel

  • Eosinophilic gastroenteritis: The biopsy shows villous blunting with numerous eosinophils in the lamina propria forming clusters or sheets. The etiologic factors include food allergies, parasites, drugs, hypereosinophilic syndrome, and idiopathic disease.

Small Intestinal Neoplasms

  • Peutz-Jeghers polyps: The small intestine is the most common site for polyps in Peutz-Jeghers syndrome. Histologic examination shows arborizing smooth muscle bundles in the lamina propria without much expansion of lamina propria by inflammatory infiltrate ( Figure 59-5 ). The overlying epithelium is that of small intestinal type and may show hyperplasia. Dysplasia can occasionally be seen in these polyps.

    Figure 59-5, Photomicrograph of Peutz-Jeghers polyp. Note the arborizing smooth muscle bundles ( arrows ) traversing the lamina propria. Hematoxylin and eosin stain.

  • Adenomas: Duodenum is the most common upper gastrointestinal (GI) site for an adenoma. The morphologic characteristics are similar to that in the colon: tubular, tubulovillous, or villous patterns are seen. Ampullary adenomas arise in the ampulla or periampullary region and are indistinguishable from each other based on morphologic examination.

  • Adenocarcinomas: The primary adenocarcinoma of the small intestine is uncommon (2% of GI tract tumors), and the duodenum is the most common site. Usually, these arise from a sporadic adenoma. Histologic examination resembles colonic adenocarcinoma. Other predispositions include familial adenomatous polyposis (FAP), hereditary nonpolyposis colorectal cancer (HNPCC), or hamartomatous polyp syndromes. Risk factors include chronic inflammatory conditions such as celiac disease, Crohn’s disease, ileostomy, and protein-losing enteropathy.

  • 6.

    Discuss the neuroendocrine tumors.

    • Carcinoid tumor ( Figure 59-6 ): The duodenum is the most common site of these well-differentiated neuroendocrine tumors. These can be functional or nonfunctional in the production of hormones. Serotonin production is common in ileal carcinoids.

      Figure 59-6, Photomicrograph of duodenal carcinoid tumor. A, Submucosal well-circumscribed nodule. B, Nested appearance of the tumor and cells with round-to-ovoid nuclei and salt-pepper chromatin. Hematoxylin and eosin stain. C, Same case of carcinoid tumor showing strong immunoreactivity with chromogranin stain.

    • Gastrin production is common in duodenal carcinoids.

      Immunohistochemical stains cannot be used to predict the functional status of the tumor. All carcinoids are considered to have metastatic potential. Histologic architecture varies from nested, trabecular, cords, or glandular morphologic characteristics and consists of cells with scant amphophilic cytoplasm that show a salt-and-pepper chromatin pattern in the round or ovoid nuclei with inconspicuous nucleoli. Mitotic figures are rare. Gastrin-producing, somatostatin cell, and serotonin-producing tumors have aggressive behavior and metastasize.

    • Gangliocytic paragangliomas are usually benign infiltrative lesions and consist of ganglion cells, spindle cells (neural), and epithelial cells forming trabeculae, nests, and pseudoglandular architecture. Occasional large tumors (more than 2 cm) may spread to the lymph nodes.

    • Small cell carcinoma is the other end of spectrum of neuroendocrine tumors. These are poorly differentiated neuroendocrine carcinomas with small cell morphologic characteristics, necrosis, and increased mitotic activity.

Small Intestinal Lymphomas

  • Small intestinal lymphomas are less common than gastric lymphomas and include extranodal marginal zone lymphoma (low-grade mucosa-associated lymphoid tissue [MALT], MALToma, or MALT lymphoma), mantle cell lymphoma, Burkitt lymphoma, immunoproliferative small intestinal disease (IPSID), and enteropathy-like T-cell lymphoma (rare).

  • IPSID is seen exclusively in Mediterranean and Middle Eastern regions. This is a variant of MALT lymphoma that secretes defective alpha heavy chains. The infiltrate consists of plasma cells with small lymphocytes, and monoclonal alpha heavy chain can be demonstrated in the cytoplasm of neoplastic cells. Transformation to large B-cell lymphoma is frequent in late stages.

You're Reading a Preview

Become a Clinical Tree membership for Full access and enjoy Unlimited articles

Become membership

If you are a member. Log in here