Shoulder and Elbow Reduction


Clavicle Fractures

Overview

  • 1.

    Most clavicle fractures require no reduction.

  • 2.

    Closed reductions cannot be maintained and should not be attempted.

Indications for Use

  • 1.

    Minimally displaced clavicle shaft fractures ( Fig. 9.1 )

    Fig. 9.1

  • 2.

    Medial physeal clavicle fractures

Precautions

Do not attempt heroic measures to reduce clavicle fractures.

Pearls

  • 1.

    Clavicle fractures with more than 1.5 cm of overlap result in long-term disability and should be treated with open reduction and internal fixation.

  • 2.

    Fractures that tent the skin can erode through the skin and are unlikely to heal without open reduction and internal fixation.

  • 3.

    There is no difference in outcome between a figure-of-8 splint and a sling for closed management of clavicle fractures.

  • 4.

    The sling or figure-of-8 strap should be relatively tight to support the weight of the arm.

Improvisation

If no sling is available, then a simple scarf or a towel can be used.

Equipment

  • 1.

    A sling

  • 2.

    A figure-of-8 strap (alternative)

Basic/Detailed Technique

Acromioclavicular Separations

Overview

  • 1.

    Most acromioclavicular (AC) separations require no reduction.

  • 2.

    Closed reductions cannot be maintained and should not be attempted.

Indications for Use

  • 1.

    Minimally displaced AC separations (grades 1–3) ( Fig. 9.2 )

    Fig. 9.2

  • 2.

    Severely displaced AC separations (grades 4–6) ( Fig. 9.3 )

    Fig. 9.3

Precautions

Do not attempt heroic measures to reduce AC separations.

Pearls

  • 1.

    AC separations with severe displacement or soft tissue interposition (grades 4–6) should be surgically reduced on an elective basis.

  • 2.

    AC separations that tent the skin are unlikely to heal without fixation.

  • 3.

    The sling should be relatively tight to support the weight of the arm.

Improvisation

If no sling is available, then a simple scarf or a towel can be used.

Equipment

A sling

Basic/Detailed Technique

A sling (see Chapter 13 )

Glenohumeral Dislocations

Overview

  • 1.

    Most glenohumeral dislocations can be reduced in a closed manner.

  • 2.

    The reduction technique varies according to the direction of dislocation.

  • 3.

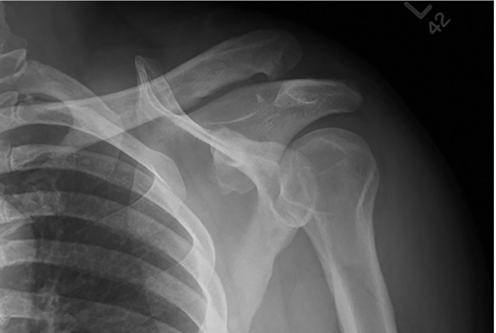
    An axillary or modified axillary view is an essential part of the radiographic series ( Fig. 9.4 ).

    Fig. 9.4

Indications for Use

  • 1.

    Anterior glenohumeral dislocation

  • 2.

    Posterior glenohumeral dislocation

  • 3.

    Inferior glenohumeral dislocation (luxatio erecta)

Precautions

  • 1.

    Confirm that no fracture is present on diagnostic films before attempting a reduction. Standard reduction maneuvers can result in a displaced four-part fracture that requires surgical fixation/prosthetic replacement.

  • 2.

    Confirm that the humeral head is not impacted onto the glenoid (known as a Hill-Sachs lesion) before attempting a reduction (see Fig. 9.4 ). Standard reduction maneuvers can result in a head-splitting fracture.

  • 3.

    When applying traction, make sure that the force is applied over a broad area; otherwise, this can result in a forearm fracture.

  • 4.

    Be aware that some persons may voluntarily initiate a glenohumeral dislocation in an effort to gain access to drugs.

  • 5.

    Reducing dislocations in persons who present more than a few days after the injury may not be possible, and attempting to do so could result in a fracture; it is preferable to not attempt a reduction and instead take the patient to the operating room if simple traction does not succeed in reducing the dislocation.

  • 6.

    When reducing posterior dislocations, do not externally rotate the humerus until the head is disimpacted from the glenoid or else this may result in a fracture.

Pearls

  • 1.

    Be patient; the stability of the shoulder is largely provided by a set of small but powerful muscles that must be overcome with gentle sustained traction before a reduction is possible.

  • 2.

    Gentle internal and external rotation of the shoulder can coax the humerus back in place.

  • 3.

    For posterior dislocations, stretching the rotator cuff muscles by maximal internal rotation of the shoulder may be necessary.

  • 4.

    General anesthesia may be required if muscle spasms are not overcome with sedation.

  • 5.

    External rotation is a better position for immobilization of both anterior and posterior dislocations after reduction, although a gunslinger brace may not be immediately available.

  • 6.

    The sling or gunslinger brace can be loosely applied for comfort.

Improvisation

When all else fails, try traction at different angles of abduction and extension.

Anterior Glenohumeral Dislocations

Equipment

  • 1.

    Two bedsheets

  • 2.

    A stretcher

  • 3.

    Medications for conscious sedation

  • 4.

    A sling or a gunslinger brace (if available)

You're Reading a Preview

Become a Clinical Tree membership for Full access and enjoy Unlimited articles

Become membership

If you are a member. Log in here