Sarcoidosis of the Nervous System


Sarcoidosis was first described in 1877 by Sir Jonathan Hutchinson as a disease of the skin. At the turn of the century, Caesar Boeck termed the disease multiple benign sarkoid , because of its histologic similarity to sarcoma, and from this is derived the modern term sarcoidosis. Boeck also demonstrated the unifying pathologic feature of sarcoidosis as epithelioid cell granulomas that could involve different organs. Sarcoidosis is today recognized as a multisystem granulomatous disorder of unknown etiology. Typical presentations include bilateral hilar adenopathy, pulmonary infiltration, and skin and eye lesions.

Neurologic involvement in sarcoidosis was first reported in the early 1900s by Heerfordt, who described patients with cranial nerve palsies. Varied neurologic manifestations of sarcoidosis are now recognized to occur in approximately 5 to 10 percent of patients. Neurosarcoidosis manifests in diverse ways, including with cranial neuropathies, aseptic meningitis, mass lesions, encephalopathy-vasculopathy, seizures, hypothalamic–pituitary disorders, hydrocephalus, myelopathy, peripheral neuropathy, and myopathy. Because its neurologic manifestations are so diverse, its etiology is unknown, and confirmative laboratory tests are lacking, neurosarcoidosis frequently poses a diagnostic challenge. The diagnosis of neurosarcoidosis is usually based on the identification of a characteristic neurologic presentation in an individual with systemic sarcoidosis; however, neurologic manifestations are the presenting feature in approximately 50 to 75 percent of patients with neurosarcoidosis. Optimal management of patients with neurosarcoidosis requires an understanding of the broad clinical spectrum of the disorder, the best methods of confirming the diagnosis, and the full range of treatment options.

Sarcoidosis

The 1976 internationally accepted definition of sarcoidosis remains of value today: “sarcoidosis is a multisystem granulomatous disorder of unknown etiology, most commonly affecting young adults and presenting most frequently with bilateral hilar adenopathy, pulmonary infiltration, skin or eye lesions. The diagnosis is established most securely when clinical and radiographic findings are supported by histologic evidence of widespread noncaseating epithelioid-cell granulomas in more than one organ.” Sarcoidosis usually presents between the ages of 30 and 55 years but can occur in children as well as in older populations. The highest incidence and prevalence of sarcoidosis have been reported in Nordic European populations and African-Americans. The clinical manifestations of sarcoidosis are similar across populations. Intrathoracic structures are most commonly affected, followed by lymph nodes, skin, and ocular disease. Approximate frequencies of organ manifestations are indicated in Table 49-1 , although they vary across reported cohorts. Although a diagnosis of sarcoidosis is most secure when it is based on histologic confirmation, in around 30 percent of patients the diagnosis is based solely on clinical and radiologic findings—frequently in patients presenting with classic Löfgren syndrome (an acute form of sarcoidosis characterized by bilateral hilar lymphadenopathy, erythema nodosum, and polyarthralgia).

Table 49-1
Frequency of Organ Involvement in Sarcoidosis
Manifestation Approximate Frequency (%)
Intrathoracic 89–99
Hilar nodes 50–85
Lung parenchyma 45–55
Upper respiratory tract 5
Skin 16–35
Erythema nodosum 10–14
Ocular 5–60
Parotid gland 4–6
Liver or spleen 5–50 *
Peripheral lymphadenopathy 12–60
Bone 3–13
Cardiac 5–40 *
Hypercalcemia 10–20
Renal calculi 10–15
Neurologic 5–15
Hematologic, endocrinologic, and luminal gastrointestinal Rare

* Involvement of these organs is frequently not clinically apparent and is only detected on imaging, biopsy, or autopsy.

Involvement of any organ by sarcoidosis is possible and may occur with or without symptoms. It is estimated that 20 to 40 percent of patients are asymptomatic at presentation, their disease being discovered by routine chest radiography. In fewer than 10 percent of patients, the onset of symptoms is neither systemic nor pulmonary. Neurologic presentations of sarcoidosis fall in this category.

Many laboratory abnormalities have been described in sarcoidosis, but no specific or highly sensitive diagnostic test is available. Active sarcoidosis may cause an elevation in serum angiotensin-converting enzyme (ACE), which can then serve as a marker of systemic disease activity, but serum ACE is nonspecific, and often elevated in patients with other conditions such as liver disease, diabetes mellitus, hyperthyroidism, systemic infection, malignancy, and Gaucher disease.

Most patients with systemic sarcoidosis have a good prognosis. For approximately two-thirds, the disease resolves spontaneously without major difficulties. This benign course is most common in Löfgren syndrome or in asymptomatic patients with only hilar adenopathy on chest radiographs; they have a high chance of spontaneous remission. However, for one-third of patients, symptoms persist or the disease progressively worsens. Pulmonary dysfunction is the major issue for most patients with a persistent or progressive clinical course. Mortality in systemic sarcoidosis is reported as below 5 percent. Deaths are most often due to respiratory failure, although neurologic and cardiac involvement can also be fatal.

The basis of treatment for all forms of sarcoidosis is immunotherapy, most frequently with corticosteroids. However, debate continues as to the precise indications for treatment, because many patients are asymptomatic at the time of presentation and the rate of spontaneous resolution is high. In addition, the clinical presentation and course are so varied that treatment studies—particularly large, well-controlled studies—are lacking. Corticosteroid treatment seems most clearly indicated for patients with significant functional impairment in any organ system, particularly with major pulmonary, cardiac, ocular, or central nervous system (CNS) involvement. Alternative immunosuppressive treatment options are discussed in detail later.

Pathophysiology

Although the precise etiology of sarcoidosis remains unknown, major strides have been made in understanding its pathogenesis. There is strong evidence that sarcoidosis is caused by heightened immune processes at sites of disease activity. Environment and heredity are both likely to play a role in the etiology of the disorder, with potential complex interactions between environmental triggers and genetic, immunologic, and epigenetic factors.

Current understanding of the immunopathology of sarcoidosis derives largely from studies of pulmonary sarcoidosis. The initial lesion in pulmonary sarcoidosis is an alveolitis, an inflammation of the alveolar structures of the lung ( Fig. 49-1 ). Undoubtedly, processes similar to those in the lung underlie the pathogenesis of other forms of sarcoidosis, including neurosarcoidosis ( Fig. 49-2 ).

Figure 49-1, Postulated mechanisms of pulmonary damage in sarcoidosis.

Figure 49-2, Immunologic mechanisms active in the pathogenesis of granulomatous inflammation in neurosarcoidosis.

The central pathologic hallmark of sarcoidosis, the granuloma, consists of macrophages, macrophage-derived epithelioid cells, and multinucleated giant cells that secrete cytokines ( Fig. 49-3 ). Surrounding this central core are CD4 + and CD8 + T lymphocytes, B lymphocytes, plasma cells, and fibroblasts.

Figure 49-3, Brain-biopsy section stained with hematoxylin and eosin. A , Low-magnification photomicrograph showing dense granulomatous inflammation involving the leptomeninges, with underlying gliotic cerebral cortex in a patient with neurosarcoidosis (scale bar, 50 μm). B , High-magnification photomicrograph showing Virchow–Robin space involvement by a collection of epithelioid histiocytes (granulomatous inflammation) and lymphocytes in a patient with neurosarcoidosis (scale bar, 20 μm).

Unfortunately, the inciting antigen or antigens remain unknown. Among the suspected causes have been infectious agents and environmental exposures such as pine pollen and silica. Of the various possible infectious inciting antigens, mycobacterial infections and Propionibacterium species have received the most attention. More recently, genetic research has linked several genes (particularly in the HLA region) to disease risk or phenotype.

It is thought that in reaction to an antigen, monocytes and macrophages form granulomas, and ultimately irreversible obliterative fibrosis can develop. Small foci of ischemic necrosis occur, probably as a consequence of in situ thrombosis due to perivascular inflammation. Importantly, granulomas are not specific for sarcoidosis, and nearly identical lesions occur in a variety of other conditions.

The pathology of neurosarcoidosis is characterized by noncaseating granulomas and the accompanying diffuse mononuclear cell infiltrates that can be found in any part of the neuraxis, including peripheral nerve or muscle. The most common site of inflammation is the meninges, especially in the basal region of the brain ( Figs. 49-4 and 49-5 ). Sarcoid granulomas may be widely distributed or concentrated in one or more areas to form a mass lesion. Although sarcoidosis is not usually considered to be a primary vasculitis, arteriolar and venous infiltration can occur and may lead to infarction. The granulomatous inflammation found pathologically may correlate directly with clinical deficits or may be subclinical.

Figure 49-4, Central nervous system sarcoidosis: clinicopathologic relationships.

Figure 49-5, Coronal midfrontal pathologic section of the brain of a patient with neurosarcoidosis, showing thickening and inflammatory changes of the basal meninges and optic chiasmal region.

Inflammation affecting primarily the leptomeninges may spread along Virchow–Robin perivascular spaces to invade the brain or spinal cord, or it may remain more localized, involving the cranial nerves. Inflammation can also extend to the cerebrospinal fluid (CSF)-containing spaces, leading to hydrocephalus. Brain or spinal cord disease may appear as discrete granulomatous mass lesions or as diffuse parenchymal disease with or without vasculopathy. The hypothalamic region is the most common site of parenchymal disease.

Granulomas can also be found in the epineurium and perineurium of peripheral nerves. The endoneurium may contain a mononuclear cell infiltrate. Perivascular and vascular inflammation may be seen in the epineurial and perineurial vessels. Nerve fibers of all sizes can be affected; a predominantly axonal neuropathy is usual, with only minor segmental demyelination.

Muscle pathology may also occur in sarcoidosis. Muscle biopsy of symptomatic patients reveals typical noncaseating granulomas. More diffuse inflammation can occur, with muscle fiber degeneration along with regeneration and fibrosis. Asymptomatic noncaseating granulomas are found in as many as one-half of all patients with systemic sarcoidosis undergoing muscle biopsy.

Epidemiology

The prevalence of sarcoidosis is estimated to be on the order of 60 per 100,000 population, with an annual incidence of approximately 11 per 100,000 population, although this incidence likely varies regionally and in population subgroups. The exact prevalence and incidence are difficult to validate because of diagnostic challenges. Sarcoidosis can occur at any age, with peak onset between age 30 and 55.

Population differences for sarcoidosis have been well-described. In the United States, incidence is increased in African-Americans compared with Caucasians. The disease also seems to be more severe in African-Americans. Certain areas of the world, such as in Sweden and other Nordic European countries, have a higher incidence of sarcoidosis, whereas it is quite rare in China and Southeast Asia. First-degree relatives of patients with sarcoidosis appear to have a higher risk of the disease, as do monozygotic twins compared to dizygotic twins. Genetic studies using a range of techniques including genome-wide association studies, HLA typing, and fine-mapping have identified multiple genetic variants associated with sarcoidosis risk, potentially accounting for 33 percent of disease heritability. In addition, genetic variants such as HLA subtypes may be associated with disease phenotype. Notably, a significant association with a variant in the ZNF592 gene has been identified in patients with neurosarcoidosis.

Neurologic Manifestations

Neurologic symptoms are the presenting feature of sarcoidosis in around 50 to 75 percent of individuals with neurosarcoidosis, and in other patients neurologic manifestations often occur a short time after systemic diagnosis (usually less than 2 years). Only rarely do patients with neurosarcoidosis have no evidence of even asymptomatic disease in other organ systems such as the lungs, a condition termed “isolated neurosarcoidosis.” The approximate frequency of the various neurologic complications is presented in Table 49-2 , although numbers vary across reported cohorts. One-third to one-half of patients with neurosarcoidosis will eventually develop more than one neurologic manifestation of their disease.

Table 49-2
Complications of Neurosarcoidosis
Clinical Manifestation Approximate Frequency (%)
Cranial neuropathy 50
Facial palsy 25
Aseptic meningitis 15
Hydrocephalus 10
Parenchymal disease
Endocrinopathy 10–15
Mass lesion(s) 5–10
Encephalopathy-vasculopathy 5–10
Seizures 10
Myelopathy 15
Radiculopathy/neuropathy 15
Myopathy 10

Cranial Neuropathy

The most frequent neurologic complication of sarcoidosis is cranial neuropathy, occurring in over half of patients with neurosarcoidosis. Any cranial nerve can be involved, but the facial nerve is most commonly affected. Around one-third to one-half of patients will have involvement of multiple cranial nerves.

Olfactory nerve dysfunction may occur secondary to meningeal sarcoidosis involving the subfrontal region. However, anosmia or hyposmia may also result from local nasosinus granulomatous invasion. Optic nerve involvement is much less frequent than other ocular manifestations of sarcoidosis such as uveitis, but is reported in around 15 to 20 percent of cases of neurosarcoidosis. Optic neuropathy can present with visual loss that is acute, subacute, or chronic, can be painful or painless, and may be bilateral. The visual loss may be due to bulbar or retrobulbar invasion of the optic nerve by granulomas or extrinsic compression of the optic nerve by a granulomatous mass. Intraocular inflammation such as anterior uveitis may co-occur. Optic disc edema may be secondary to papilledema from sarcoidosis-induced increased intracranial pressure (typically with meningitis) or result from direct local invasion by sarcoid. A chiasmal syndrome also has been reported.

Disorders of ocular motility may follow involvement of the oculomotor , trochlear , or abducens nerves . Typically, these nerves are damaged in their extra-axial course in the subarachnoid space as they traverse the meninges or the cavernous sinus (where mass-like inflammatory lesions can occur). However, they may also be involved in local orbital disease, and rarely the brainstem nuclei themselves and eye movement pathways can be affected. Occasionally, pupillary dysfunction is present. Uncommonly, disordered ocular motility is due to sarcoidosis involving the extraocular muscles directly.

Trigeminal nerve disease may present as facial numbness or, rarely, trigeminal neuralgia. Headache may also represent trigeminal nerve dysfunction intracranially. Involvement of the muscles of mastication is unusual.

Of the cranial nerve syndromes, peripheral facial nerve palsy is the most common, and it is also the single most frequent neurologic manifestation of sarcoidosis. It develops in around one-quarter of all patients with neurosarcoidosis. Although the condition is usually unilateral, bilateral facial palsy can occur, presenting with either simultaneous or sequential paralysis. More than half of all patients with facial palsy also have other forms of nervous system involvement. In patients with an isolated facial palsy, the spinal fluid is often normal, but when other manifestations of neurosarcoidosis are present, the CSF is abnormal in 80 percent of patients. The specific cause of facial nerve palsy in sarcoidosis is variable. Rarely, the facial palsy is caused by parotid inflammation. More commonly, the nerve is compromised as it traverses the meninges and subarachnoid space, or facial paresis is due to intra-axial inflammation of the facial nerve motor nucleus. In general, the prognosis for the facial palsy is good, with most patients experiencing recovery of function.

Eighth cranial nerve involvement may affect the auditory or vestibular portions of the nerve. Loss of hearing or vestibular dysfunction may be sudden or insidious and often fluctuates over time. If hearing loss occurs, it is typically of the sensorineural type. As with facial nerve palsy, bilateral eighth nerve disease may occur, and bilateral seventh or eighth nerve dysfunction is suggestive of neurosarcoidosis.

Glossopharyngeal and vagus nerve involvement causes dysphagia and dysphonia but is quite uncommon. Hoarseness is more commonly due to laryngeal nerve dysfunction from intrathoracic disease than CNS inflammation involving the vagus nerve.

Eleventh and twelfth cranial nerve disease may occur but seems to be rare.

Meningeal Disease

Meningeal disease occurs in approximately 10 to 20 percent of patients with neurosarcoidosis and can present as aseptic meningitis or, less commonly, as a dural-based mass lesion. Aseptic meningitis is characterized by headache, occasional meningismus, and sterile CSF with a mononuclear pleocytosis. Occasionally neutrophils may predominate. Hypoglycorrhachia, or low CSF glucose concentration, is sometimes found, and there is often an elevation of the CSF protein concentration. Oligoclonal bands unique to the CSF may also be present. Postcontrast magnetic resonance imaging (MRI) can delineate the type and extent of meningeal disease, with leptomeningeal involvement being more common than pachymeningeal involvement. Leptomeningitis may have a nodular appearance on postcontrast MRI, and is often focused around the skull base, hypothalamic/pituitary region, and posterior fossa ( Fig. 49-6 ). Pachymeningeal involvement manifests with either mass lesions, or more widespread inflammation. Mass lesions may mimic intracranial tumors such as meningiomas ( Fig. 49-7 ), and are often located around basal structures such as the cavernous sinus or orbital apex. It is not uncommon for there to be asymptomatic chronic meningitis within the context of other CNS manifestations of sarcoidosis.

Figure 49-6, Cranial MRI. A , Axial T1 volumetric interpolated brain examination (VIBE) image with gadolinium. B , Coronal T1 VIBE image with gadolinium, showing extensive leptomeningeal enhancement around the cerebellum and infiltrating the fourth ventricle.

Figure 49-7, Cranial MRI, coronal section, T1-weighted image with gadolinium, demonstrating an enhancing convexity sarcoid mass lesion that was initially mistaken for a meningioma.

Hydrocephalus

Hydrocephalus is noted in about 10 percent of patients with neurosarcoidosis and may have fatal consequences. Chronic basilar leptomeningitis with obliteration of subarachnoid CSF flow is a major cause of communicating hydrocephalus. In addition, infiltration of the ventricular system by granulomas, granulomatous compression of the aqueduct, or outlet obstruction of the fourth ventricle by granulomas may cause noncommunicating hydrocephalus. Patients with acute hydrocephalus may die suddenly of increased intracranial pressure, and even patients with chronic hydrocephalus have the potential for acute decompensation. Patients with hydrocephalus characteristically present with headache, altered mentation or consciousness, and impaired gait. On examination, papilledema or other signs of raised intracranial pressure may be found. Acute decompensating hydrocephalus is a medical emergency that necessitates prompt diagnosis and treatment. Once clinically suspected, the diagnosis of hydrocephalus is best substantiated with imaging studies, either computerized tomography (CT) or MRI.

Parenchymal Disease

Parenchymal brain disease can present in several forms, and is often associated with overlying meningeal involvement. Hypothalamic dysfunction is the most common manifestation of CNS parenchymal disease.

Endocrine Disorders

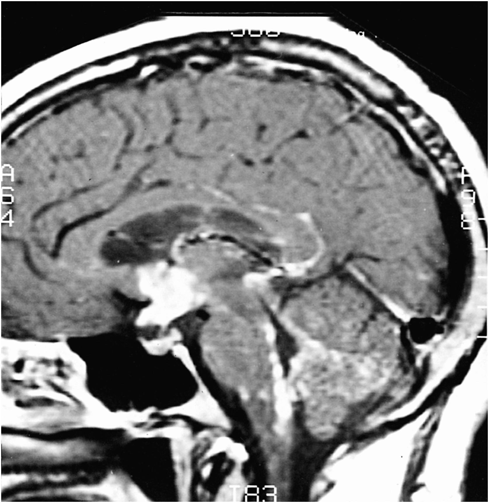
Any of the neuroendocrinologic systems can be affected by sarcoidosis due to either a hypothalamic or pituitary granulomatous mass or a more diffuse local inflammation. Given the predilection of sarcoidosis for the basal meninges ( Fig. 49-8 ), the relative frequency of such endocrinologic disturbances is not surprising. Anterior pituitary dysfunction is more common than posterior pituitary dysfunction. Potential endocrinologic manifestations include gonadotropin deficiency, TSH deficiency, hyperprolactinemia, and diabetes insipidus. Hypothalamic disorders vary in their effect on vegetative functions. A disorder of thirst is the most common hypothalamic disorder related to neurosarcoidosis and is attributed to a change in the hypothalamic osmostat. Less commonly, the syndrome of inappropriate secretion of antidiuretic hormone occurs. Neurosarcoidosis-induced disruptions of hypothalamic–pituitary function can also cause problems with appetite, libido, temperature control, weight regulation, and sleep. Because neuroendocrinologic involvement is relatively common in individuals with CNS sarcoidosis, patients with more than just an isolated facial palsy probably merit a thorough evaluation with specific attention to hypothyroidism, hypocortisolism, hypogonadism, and hyperprolactinemia. Furthermore, in affected patients, contrast-enhanced MRI may identify inflammation of the hypothalamic–pituitary structures or surrounding meninges. Unfortunately, hormonal abnormalities may persist even after effective control of neurosarcoidosis inflammation.

Figure 49-8, Cranial MRI, sagittal section, T1-weighted image with gadolinium, showing hypothalamic and pituitary involvement by sarcoidosis.

Mass Lesions

An intraparenchymal lesion due to sarcoidosis may present as an isolated mass ( Fig. 49-9 ) in any cerebral area or as multiple cerebral nodules. Such nodules may represent an inflammatory reaction in the Virchow–Robin spaces. Calcifications may be seen, mimicking infection or tumor. Although intraparenchymal mass lesions were historically considered rare in neurosarcoidosis, CT and MRI have shown parenchymal disease to be relatively frequent. The symptoms and signs in individual cases depend on the location of the lesion.

Figure 49-9, Cranial MRI, axial section, T1-weighted image with gadolinium, demonstrating a frontal intracerebral mass that was proven by biopsy to be neurosarcoidosis.

You're Reading a Preview

Become a Clinical Tree membership for Full access and enjoy Unlimited articles

Become membership

If you are a member. Log in here