Recurrent pyogenic cholangitis


Recurrent pyogenic cholangitis (RPC) is a clinical condition caused by repeated episodes of cholangitis, with biliary sepsis secondary to the accumulation of pigmented stones inside the biliary system (see Chapters 39 and 43 ), and there may be associated stricture formation of the biliary tree (see Chapter 42 ). The term RPC was formulated after identification of a series of patients with similar clinical conditions and pathology by Cook in 1954. The condition was also known as Hong Kong disease following an initial description by Professor K. H. Digby in 1930. Other names of this entity include “Oriental cholangiohepatitis,” “intrahepatic stones,” “hepatolithiasis,” and “Oriental infestational cholangitis.” Most of these patients originated from Southeast Asia, which raises a postulation that this condition may be associated with lifestyle and dietary habits of the ethnic groups native to this area.

In the past, RPC was associated with patients of a lower socioeconomic background. However, as the standard of living in endemic areas improved in the 1960s and 1990s, this association became less obvious. There is no difference in the incidence among males and females. The median age of the first attack of cholangitis is approximately 60 years old, which means that the condition may require several decades to develop before clinical presentation. Although the number of new cases presented each year in Hong Kong remains similar, the projected incidences are expected to fall as general standards of hygiene, living conditions, and health awareness continue to improve.

Etiology and pathogenesis

The etiology of RPC is multifactorial. The essence of stricture formation is the presence of microorganisms in the biliary tract as a result of repeated infections and inflammation (see Chapters 8 , 39 , and 43 ). The sequence of events likely begins with contamination of bile with bowel microorganisms. Clinical and experimental studies have shown that organisms isolated from the liver and the biliary tract are nearly identical to the microorganisms found in gut flora, as these organs communicate via venous drainage through the superior mesenteric vein (SMV) and the portal vein (PV). In most healthy individuals, the microorganisms will not breach the portal venous system and cause infection in the liver and biliary tree. However, in individuals with chronic illness, malnutrition, persistent stress, and any condition leading to an immunocompromised state, the microorganism may breach the gut mucosal barrier and migrate to the liver. Liver flukes and worms may also penetrate the gut mucosa and enter the biliary system along the portal venous circulation. Some of these microorganisms will station in the hepatobiliary system and cause infection including micro liver abscess or localized infection of the portal triads. If the infection is serious, hepatocytes may undergo necrosis resulting in cholangiohepatitis. The damage to the biliary system is usually mild if the infection is localized to the cholangioles. Mild infection can be self-limiting; however, if the area of infection is more extensive, the segmental biliary tree as well as the common bile duct (CBD) may be involved. The presence of repeated infections and inflammation may lead to fibrosis and strictures to the biliary system, causing irreversible morphologic changes to the bile ducts.

The presence of stones is a common finding in patients with RPC. Whether stones or stricture formation develop first remains uncertain. The stones act as a nidus and promote bacterial colonization and infection. Repeated infections are associated with strictures of the biliary system, thereby hindering bile flow, which may further promote stone formation and recurring infection. Endoscopic retrograde cholangiography (ERCP) findings of RPC patients commonly show a ductal stricture followed by clusters of stones. Patients can also develop cholangitis with focal strictures of the biliary system without any obvious stone. Other typical findings at ERCP include multiple stones and dilatation of the bile duct without any obvious stricture. In patients with intrahepatic duct strictures, there can be stone impaction causing a stone cast. The biliary strictures may not be severe, but even a mild narrowing can be sufficient to reduce the normal passage of bile promoting viscous bile and sludge formation as well as early precipitation of bile before discernible stones are formed.

The calculi in RPC are typically pigmented bilirubinate stones, it is postulated that bile turns from a supersaturated solution into an insoluble precipitate inside the affected bile duct (see Chapter 8 ). It was also postulated that β-glucuronidase, derived from Clostridium perfringens and Escherichia coli, splits the bilirubin diglucuronide into free bilirubin, and ionized unconjugated bilirubin, together with ionic calcium, precipitates to form the insoluble calcium bilirubinate, which eventually form stones inside the biliary system. , ,

Biliary obstruction combined with bacterial overgrowth will ultimately result in cholangitis. In this vicious cycle the infection leads to intramural inflammation of ducts and results in more frequent infections with structural damage and stenosis in the biliary system.

In the histologic examination of the resected liver, the number of mucus glands in the epithelial lining is increased. , The increase in mucus formation secondary to focal inflammation together with bacterial colonization triggers a cascade of events culminating in lithogenesis. Lipopolysaccharide may induce overexpression of gel-forming apomucin (MUC2 and MIC5AC) in the biliary epithelial cells through the synthesis of tumor necrosis factor (TNF)-α and activation of protein kinase C. Mucin hypersecretion contributes to further stone formation by slowing the flow of bile and creating a focus for pigment deposit.

The associations between RPC and Clonorchis sinensis or Ascaris lumbricoides have been well established. , C. sinensis is well known to cause biliary stricture and recurrent cholangitic attacks. The identification of this liver fluke has been documented in approximately 20% of patients with RPC. It can be identified in patients’ stool, bile, and resected liver specimens. Transcriptional alterations in bile ducts involved with C. sinensis infection have been noted in animal studies. In C. sinensis –infected rats, the majority of differentially expressed genes (DEGs) were downregulated, suggesting that potential pathologic changes in the bile ducts start from the early stage of infection. The DEGs are likely to be temporally dysregulated over the time course of the infection.

C. sinensis infiltration of the biliary system produces an easily recognizable cholangiographic picture (see Chapters 45 and 71 ). The findings consist of characteristic filling defects and changes in the intrahepatic and extrahepatic ducts. The filling defects are usually small, irregular, and uniform in size. The changes in the intrahepatic ducts consist of ductal dilatation typically involving smaller ducts, apparent elongation, tortuosity, and duct wall irregularities. The changes in the extrahepatic ducts consist mainly of duct wall irregularities and a mild degree of dilatation. Recognizing such features is important as the management may have to be modified if cholangitis is the result of clonorchiasis alone. However, biliary infection with other organisms may also give rise to RPC, because RPC is still prevalent in some countries, like the Philippines, where clonorchiasis is not frequently found.

Pathology

The permanent structural changes caused by RPC are secondary to repeated infections, inflammation, and fibrosis formation leading to strictures of the bile duct and stone formation. The results of repeated infections are progressive epithelial and hepatocellular cell damage, as discussed previously. These changes have been documented by Lam and colleagues. These changes include loss of parallelism of ductal walls, excessive branching, and abrupt termination or “arrowhead” formation of smaller ducts ( Fig. 44.1 ).

FIGURE 44.1, Endoscopic retrograde cholangiopancreatography showing typical feature of recurrent pyogenic cholangitis with dilated common bile duct (CBD), CBD stone, dilated left intrahepatic duct, and arrowhead stricture of right intrahepatic ducts (see Chapter 30 ).

The most common site of the ductal strictures is in the larger branches. Main left-sided ducts are more likely to be involved followed by main right ducts and intrahepatic ducts. Proximal dilatation of biliary structures can be observed if the stricture is severe. Long strictures can occur, but these are usually located in the intrahepatic biliary tree and are manifested by tubular narrowing over a length of duct ( Fig. 44.2 ). Main left duct structures are found in 40% of patients with RPC. The exact reason for this pattern remains unknown, but it is believed that because the left duct is oriented more horizontally, this may result in a more sluggish flow of bile exacerbating stasis and stone formation. The main right hepatic duct is involved in approximately 20% of patients with RPC. The remaining 40% of patients have bilateral involvement or intrahepatic ductal involvement ( Fig. 44.3 ).

FIGURE 44.2, A, Dilatation of left intrahepatic ducts with multiple stones inside the biliary tree. There is evidence of portal hypertension with splenomegaly and varices formation (see Chapter 16 ). B, Endoscopic retrograde cholangiopancreatography showing stone in common bile duct and absence of S2 duct in the left biliary system, which is suggestive of a stricture or biliary stone impaction in the S2 duct. Liver resection is indicated for infection control and removal of a possibly stenotic biliary segment, which is potentially malignant (see Chapter 30 ). C, Left hepatectomy performed. The left biliary duct was packed with pigmented stones.

FIGURE 44.3, Endoscopic retrograde cholangiopancreatography showed focal dilatation of intrahepatic ducts with stone accumulation inside the intrahepatic ducts.

Proximal dilatation of ducts in relation to a stricture are a secondary phenomenon. The dilated portions can be large and are called cisterns. Regression of the hepatocytes in these areas may result in segmental atrophy (see Chapter 16 ). Stones may or may not be present in these pathologic bile ducts ( Fig. 44.4 ).The walls of these bile ducts are typically thickened and fibrotic, potentially causing difficulties during reconstruction. Attempts to repair them may be complicated by restenosis and cholangitis, eventually requiring resection of the diseased liver segment.

FIGURE 44.4, Resected segment of liver showed gross dilatation of the left duct of the liver without impaction of stone inside the biliary system.

Twenty percent of patients present with isolated extrahepatic CBD dilatation, gallbladder stones, and a diseased gallbladder. In acute cholangitis, where the CBD is obstructed by stone, the gallbladder may be distended. Edema, empyema, gangrenous change, and perforation of the gallbladder can complicate biliary obstruction. With recurrent episodes of cholangitis and gallbladder stones, initial drainage by ERCP, surgical drainage procedures, and cholecystectomy may be required for effective management of extrahepatic manifestations of RPC ( Fig. 44.5 ).

FIGURE 44.5, A and B, Contrast computed tomography (CT) scan of a patient with extrahepatic recurrent pyogenic cholangitis, which showed dilated common bile duct (CBD) and distended gallbladder. There was a large stone at the lower end of the CBD. This patient had undergone a robotic-assisted cholecystectomy and choledochojejunostomy. The follow-up CT scan showed no more stone and no dilatation of bile ducts (see Chapter 16 ). C, Endoscopic retrograde cholangiopancreatography showing dilated CBD and left intrahepatic duct with no stricture in the intrahepatic ductal system (see Chapter 30 ).

Biliary stones at the distal end of the CBD may cause choledochoduodenal fistulae and acute pancreatitis. Acute pancreatitis is a potentially lethal consequence of RPC. Acute pancreatitis was once associated with RPC in 50% of the patient population and was present in 20% of RPC patients with elevated serum amylase levels. Choledochoduodenal fistula is a chronic sequela of stone erosion, which is usually self-limiting, but it may cause confusion to the clinician during endoscopy.

In approximately 10% of cases, no biliary stone can be found in the biliary tree. Muddy debris made up of mucus, pus, parasites, microcalculi, and desquamated epithelium may be found inside a bile duct during ERCP or surgical procedures. Whenever C. sinensis is encountered, anthelminthic therapy should be prescribed to eliminate infestation by the liver fluke (see Chapters 45 and 71 ).

Stones found in RPC patients are bilirubinate stones. These stones are usually characterized by pigmentation and are relatively soft (see Chapter 8 ). They can accumulate and mold to the configuration of the bile duct in which they reside. When packed together, these stones can have multiple facets. Bilirubinate stone can easily be fragmented during surgery, choledochoscopy, and ERCP.

In the fresh state, the stone surfaces are covered with mucus or a film of viscous bile. In some stones, the outer color may be almost black from prolonged exposure to bile, whereas in others, it is orange or green. Flakes of more recently deposited bile debris are separated from the surface when gently scraped, exposing a light-colored interior, which may appear laminated. Some stones show no organized structure and disintegrate with the slightest compression into irregular, powdery clumps. A nidus may sometimes be identified, and microscopic examination of this area may find dead parasites or clumps of bacteria or cells.

In patients undergoing surgery for RPC during an acute episode of cholangitis, the liver surface is usually found to be “cholangitic” with elements of congestion, bile-stained surfaces, relatively soft consistency, and with a tendency to bleed. In the quiescent phase, avascular adhesions may be found between the surfaces of the liver and the parietal peritoneum. In long-standing patients, the adhesions are dense and vascular. Pus on the liver surface signifies previous abscess formation and rupture with resolution.

Atrophy of a particular liver segment can develop as a consequence of long-standing stone obstruction and stricture of the segmental bile duct. When the left lobe of the liver is atrophic, compensatory hypertrophy of the right lobe is typically found. Conversely, when the right lobe is atrophic, there is usually hypertrophy of the left lobe or caudate lobe leading to rotation of the liver hilum.

When inadequately treated with antibiotics, an infected and obstructed segmental duct may form a liver abscess, resulting in severe localized infection, and potential rupture of the abscess with systemic sepsis. Liver abscesses located in the left lobe of liver may rupture into the pericardial cavity and cause cardiac tamponade, whereas abscesses in the right liver may rupture to form a pleurobiliary or bronchobiliary fistula. These abscesses may bleed into their own cavities or bile ducts, or rupture into the abdominal cavity or into any adjacent hollow viscera with extension into the subphrenic or subhepatic spaces ( Fig. 44.6 ).

FIGURE 44.6, A, Patient who presented with recurrent pyogenic cholangitis (RPC) with recurrent infection and abscess formation in the dome of the liver, resulting in pleural effusion. B, Patient presented with RPC, with strictures in the intrahepatic portion of S8 ducts and the left duct was not well shown in endoscopic retrograde cholangiopancreatography due to stone impaction. Right hepatectomy is warranted in view of the focal stricture in the intrahepatic duct. Percutaneous transhepatic biliary drainage was inserted to the S8 duct before liver resection to control the systemic sepsis (see Chapter 30 ).

Following biliary tract infection, thrombophlebitis of the PV and its branches may occur because of the proximity to the biliary ducts in the portal triad (see Chapter 43 ). Acute inflammation of the biliary tree can cause edema and compression in the portal venous system, which can result in acute thrombosis of the PV. Chronic portal venous obstruction leads to segmental liver atrophy. Pulmonary hypertension may follow hepatic venous thrombosis. Microscopically, the portal triads are infiltrated with inflammatory cells and pus, and repeated attacks may result in metaplasia of the ductal mucosal glands. Degeneration and necrosis of hepatocytes will develop when fibrosis extends beyond the thickened duct wall into the adjoining liver parenchyma.

Chronic liver insufficiency, biliary liver cirrhosis, and overt liver failure may develop after a long history of RPC. Patients who have neglected their symptoms or had experienced subclinical symptoms can present with liver failure. Other patients may have undergone multiple operations for RPC, and still develop liver decompensation. Complications of cirrhosis such as portal hypertension and bleeding esophageal varices may ensue. Portosystemic shunting or liver transplant is warranted in cases of recurrent bleeding or liver decompensation.

Chronic cholangitic abscesses may be indistinguishable from cholangiocarcinoma clinically, during surgery, or in contrast imaging studies. The definitive diagnosis can only be confirmed by histology after liver resection. The association between RPC and cholangiocarcinoma is well estrablished. ,

The incidence of cholangiocarcinoma is high in patients with RPC (see Chapters 50 and 51 ). From the experience of Queen Mary Hospital in Hong Kong, the incidence of cholangiocarcinoma was 7.5% in patients with RPC from 2000 to 2020. The incidence of cholangiocarcinoma, however, has been decreasing. A possible explanation for this trend may be that the strongest risk factors for cancer formation, such as severe clonorchiasis ( Fig. 44.7 ) and intrahepatic stones, , more often lead to liver resection for infection control, potentially preventing the later progression to cancer. Autopsy studies suggest that recurrent cholangitis can induce progressive changes, leading to atypical hyperplasia of the ductal epithelium, followed by dysplasia and carcinoma formation. Evidence has shown that patients with RPC may develop cholangiocarcinoma in a multistep process of transformation including biliary intraepithelial neoplasia and intraductal papillary neoplasia formations ( Fig. 44.8 ). The tumor may take the form of a nodular or papillary growth, and stones may be found within the tumor mass or within the ductal lumen with tumor invasion. A low threshold of suspicion for malignancy should be adopted. When an abnormal lesion is found during imaging studies or an abnormal serum carcinoembryonic antigen (CEA) level is detected in an RPC patient, complete workup for cholangiocarcinoma should be performed.

FIGURE 44.7, A, Computed tomography scan showed atrophy of the right posterior sector of the liver with stone impaction of the right sectorial duct. Recurrent infection with ductal stricture resulted in the atrophy of the local segment of liver (see Chapter 16 ). B, Operative photo of right posterior sectionectomy for an atrophic liver, secondary to recurrent pyogenic cholangitis. The right anterior section of the liver has undergone hypertrophic changes. C, Right posterior section of liver is atrophic, with stricture at the origin of the duct and multiple stones impacted inside the diseased duct.

FIGURE 44.8, The incidence of Hong Kong disease in diminishing with improved standards of living, more proactive intervention, and adoption of early definitive surgery. RPC, Recurrent pyogenic cholangitis.

Cholangiocarcinoma tends to develop in an atrophic segment of liver. In case series, up to 88% of cholangiocarcinoma was located in atrophic hepatic segments. It is postulated that RPC patients who have undergone surgical treatment early with resection of diseased liver can remain free of malignancy. Vigilant surveillance and early intervention are essential in high-risk patients.

Clinical manifestation of the recurrent pyogenic cholangitis and nonsurgical management option of recurrent pyogenic cholangitis

Clinical features

In contrast to biliary calculous diseases seen in Western countries (see Chapter 33 ), RPC affects men and women equally, with a predilection for the lower socioeconomic classes. In Hong Kong, with improved socioeconomic conditions, there is a trend toward fewer new cases and fewer young patients with RPC. In a survey in which the median age of patients with RPC was 59.5 years, 56% had prior biliary surgery for stone disease. The incidence of RPC has been constantly decreasing in recent years, with fewer complications and emergencies.

The symptoms of RPC overlap with acute cholangitis, often presenting with pain, fever, and jaundice (Charcot’s triad) (see Chapter 43 ). The usual symptoms of an acute attack resemble those of acute cholangitis, including pain, fever, and jaundice. The overall presentation can range from subtle complaints of nausea and vomiting with slightly deranged liver function tests, to florid symptoms with the characteristics of Charcot’s triad or Reynold’s pentad. The pain is typically worst in the right hypochondrium or in the epigastrium, and it may be distending, sharp, gnawing, or cutting, with frequent radiation to the back. It is constant, seldom colicky, and may last for hours. In cases with high fever, septicemia or liver abscess formation should be suspected; the temperature chart often shows spikes rather than a continuous fever pattern. Patients may have a tinge of jaundice, which is suggestive of incomplete obstruction. Pruritus and pale stools are rarely noted. Passage of tea-colored urine is a more common symptom.

Physical examination during an acute attack reveals a restless patient, slightly jaundiced, and generally unwell, which may suggest sepsis. Old abdominal scars such as a right subcostal incision with upper midline extension, or bilateral subcostal scars, provide clues to the possibility of previous hepatobiliary surgery. There may also be evidence of a previous stoma in the upper abdomen such as those used for a hepaticocutaneous jejunostomy (HCJ; Fig. 44.9 ). Tenderness is typically elicited in the epigastrium or the right hypochondrium, and there may be guarding. The liver is enlarged in 60% of patients, but this may be masked by guarding. Similarly, a distended gallbladder may not be palpable. In patients with advanced disease following repeated attacks and complications, cirrhosis may result. Signs of cirrhosis may be present, with stigmata of chronic liver disease, ankle edema secondary to hypoalbuminaemia, and ascites. The spleen is enlarged in 25% of patients.

FIGURE 44.9, A patient who had received previous left hepatectomy with hepaticocutaneous jejunostomy.

The therapeutic strategy is typically a step-up approach beginning with endoscopic or radiologic interventions. However, emergency surgery may be necessary if there are signs of clinical deterioration, such as shock, or peritonitis. In the elderly or diabetic, the clinical signs may be subtle and may present late. A high index of suspicion is required to offer timely intervention. A transient increase in blood pressure in a patient with acute cholangitis may be a prelude to shock, and must be regarded as a sign of impending deterioration rather than a positive response to treatment. Between attacks, there are few if any significant clinical features. Some patients present with symptoms of cirrhosis caused by RPC. Recent weight loss in elderly patients known to have RPC should raise the suspicion of cholangiocarcinoma, which should also be suspected during follow-up when a patient’s serum alkaline phosphatase (ALP) level increases greatly, or when intrahepatic stones involving both lobes have not been completely cleared in previous operations. Tumor markers including carbohydrate antigen (CA) 19-9 and CEA should be checked, and they may be elevated with cholangiocarcinoma. With cholangiocarcinoma, higher tumor markers are associated with higher mortality (see Chapters 50 and 51 ). A computed tomography (CT) scan of the abdomen could reveal the presence of cholangiocarcinoma when the tumor markers are elevated ( Fig. 44.10 ).

FIGURE 44.10, Resected right lobe of liver with focal stricture of the intrahepatic duct.

Investigations

The results from baseline blood tests can be misleading in some of the cases, as the derangement of the liver function can be minimal and may be undistinguished from other patterns of septicemia. Leukocytosis is often present, and liver function tests often show an obstructive picture with a moderately elevated serum bilirubin level and high serum ALP and γ-glutamyltransferase (GGT) levels. There can be associated acute pancreatitis during which the amylase level will be elevated. Occasionally, patients with RPC have completely normal liver biochemistry even during an acute attack. Imaging studies remain the most important diagnostic tools to establish the diagnosis of an acute attack of RPC, while excluding other sources of sepsis. Also, imaging studies are critical tools to help evaluate the extent of disease, detect complications, and formulate treatment plans to treat the underlying RPC. Ultrasonography (US), CT, direct cholangiography, and magnetic resonance imaging (MRI) are complementary to each other in achieving such goals (see Chapters 16 , 30 , and 31 ).

When applied optimally, US can measure the diameter of the common and intrahepatic ducts and confirm the presence and location of stones. It may also diagnose complications, such as liver abscesses, biloma, tumor, or ascites if any of these are present. Color Doppler US is useful in studying PV hemodynamics, where there may be absent portal flow with severe cholangitis, or cholangiocarcinoma with tumor invasion. Intrahepatic stones are readily identified if they cast sonic shadows, but some stones found in RPC are isoechoic with respect to the surrounding tissue. This fact, combined with the propensity of these stones to form biliary casts, may lead to failure of US to identify intrahepatic stones in some patients. Pneumobilia is a common finding in patients with RPC who have undergone ERCP with internal stent placement or biliary-enteric drainage procedures. In 30% of patients with RPC, prominent periportal echogenicity is found. Unfortunately, highly reflective echoes due to the presence of pneumobilia may mask the acoustic shadowing seen in the presence of stones, limiting the use of US. These changes could also represent pericholangitis and periportal fibrous thickening found in advanced stages of RPC, a finding that should prompt the ultrasonographer to search for other evidence of RPC.

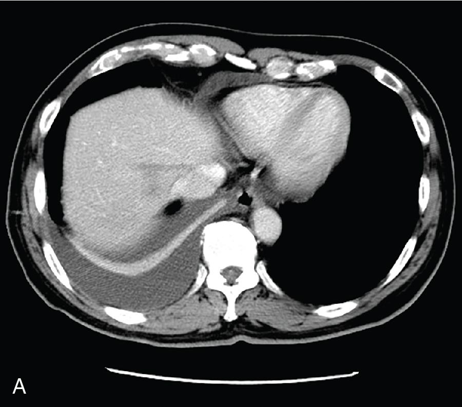
CT is now the investigation of choice (see Chapter 16 ). In addition to providing the information offered by US, CT can accurately differentiate intrahepatic stones from pneumobilia, which may be confusing on US, and can provide accurate topographic localization for drainage of liver abscesses ( Fig. 44.11 ). Examination of a plain scan is mandatory to establish the baseline liver status, as some stones may become less conspicuous on postcontrast scans against the contrast-enhanced hepatic parenchyma. On CT scan, information regarding the presence of the liver abscess, cholangiocarcinoma, and features of cirrhosis can be detected; volumetric and contour alterations of the liver can also be readily seen. Lobar atrophy, hypertrophy, and rotation of the liver hilum are present in long-standing cases. Other notable findings include parenchymal changes, the anatomy of the PV or hepatic artery, and the presence of varices. During an acute attack, persistent segmental enhancement is observed in 36% of patients, representing parenchymal suppuration analogous to the angiographic finding of diffuse hypervascularity and arteriovenous shunting described in RPC.

FIGURE 44.11, Contrast computed tomography scan showing right posterior ductal stones in the presence of pneumobilia (arrow) (see Chapter 16 ).

Ultrasound and CT are complementary examinations to cholangiography, which provides clear delineation of the ductal anatomy (see Chapters 16 , 30 , and 31 ). The patterns of ductal disease can be so diverse in RPC that detailed delineation of the entire biliary tract is essential. ERCP and percutaneous transhepatic cholangiography (PTC) are the direct cholangiographic methods of choice for RPC, which are both diagnostic and therapeutic. Our initial investigation of choice is ERCP for patients without previous hepaticojejunostomy, because the extrahepatic ducts, which are affected in more than 50% of patients with RPC, are better visualized ( Fig. 44.12 ). Additionally, repeated procedures can be performed with ease because blockages of previously placed internal biliary stents can be managed endoscopically. PTC is preferred when there has been a hepaticojejunostomy or choledochojejunostomy and when a stone or stricture located at the biliary confluence prevents filling of the intrahepatic ducts (see Chapter 31 ). PTC is also preferred when there is a peripheral stricture that ERCP may not be able to diagnose. One advantage of PTC is that it can be targeted to a particular segment. CT or US-guided percutaneous puncture of the targeted bile ducts have been shown to be very safe ( Fig. 44.13 A,B). When interpreting cholangiograms of patients with RPC, care should be exercised in looking for missing segmental ducts, especially with a paucity of intrahepatic filling; however, in case of sepsis, a complete cholangiogram may be risky because hepaticovenous reflux secondary to excessive contrast filling the entire biliary tree may worsen the septicemia ( Fig. 44.14 A,B). Correlation of cholangiography with US or CT can yield useful information in defining the cause of repeated attacks of cholangitis in patients who have seemingly cleared all stones.

FIGURE 44.12, This patient suffered from acute cholangitis from recurrent pyogenic cholangitis with initial cholangiogram showing a dilated common bile duct and a large obstructing stone (red arrow) (see Chapter 30 ).

FIGURE 44.13, A, Patient who had previous left lateral sectionectomy with hepaticocutaneous jejunostomy had recurrent attacks of recurrent pyogenic cholangitis (RPC). USG found a dilated intrahepatic duct with a hyperechoic filling defect (red arrow). B, An acute attack of RPC in the same patient required urgent percutaneous transhepatic biliary drainage. The cholangiogram showed typical features of RPC with intrahepatic ductal stones just proximal to the hepaticojejunostomy ( red arrow).

FIGURE 44.14, A, This patient had previous left hepatectomy with hepaticocutaneous jejunostomy. She had recurrent attacks of recurrent pyogenic cholangitis. Computed tomography scan showed that the right intrahepatic ducts were dilated and filled with stones ( red arrow: intrahepatic ductal stones). B, Acute attack from the same patient was settled after placing percutaneous transhepatic biliary drainage. The cholangiogram revealed multiple intrahepatic ductal stones in the dilated right ductal system ( arrows: intrahepatic ductal stones).

Similar to CT and US, MRI is a sensitive modality for demonstrating the volume and contour changes in RPC (see Chapter 16 ). Contrast-enhanced T1-weighted MRI can show the acute suppurative changes by enhancement of the ductal walls and parenchyma. Periportal inflammation is seen on MRI as an intermediate signal between that of the liver and bile on T2-weighted images. T2-weighted images are best for showing ductal dilatation and stones, because bile appears with high signal intensity, whereas stones (without free protons) are signal void and appear as an intraductal filling defect. Compared with US and CT, MRI is slightly better in detecting intrahepatic stones, ductal dilatation, and strictures ; however, the presence of pneumobilia, which is also signal void, may adversely affect the stone detection rate. This could be helped with the addition of T1-weighted gradient-echo in-phase images to standard MR cholangiopancreatography (MRCP) sequences, and which may improve the detection and differentiation between hepatolithiasis and intrahepatic pneumobilia. Three-dimensional display of the biliary system by MR cholangiography is indicated when ERCP cannot be performed, and it may supplant direct cholangiography for diagnostic purposes ( Fig. 44.15 A,B). MR cholangiography may be more sensitive and effective than ERCP in detecting intrahepatic stones, because intrahepatic strictures inhibit filling of intrahepatic branches by contrast material in ERCP, which is further enhanced by adding the T1-weighted sequence to MRCP. , It has been suggested that MR cholangiopancreatography may replace ERCP when a therapeutic procedure is not mandatory.

FIGURE 44.15, A, Endoscopic retrograde cholangiopancreatography image showing stricture and the dilated segment of the left duct. There were multiple filling defects compatible with stones (arrow) (see Chapter 30 ). B, Magnetic resonance cholangiopancreatography image of the same patient showing the stricture and the dilated segment of the left duct. The proximal left duct was filled with stones (arrow) (see Chapter 16 ).

A differential diagnosis should be made to distinguish RPC from other conditions with secondary hepatolithiasis. Unlike Caroli disease, RPC predominantly affects the left side of the liver and has no evidence of ductal plate malformation (see Chapter 46 ). Bilirubinate stones and chronic proliferative cholangitis are not seen in uncomplicated Caroli disease. However, ductal dilatation and even stone formation have been observed in primary sclerosing cholangitis, which may be mistaken for RPC, especially if only the peripheral liver parenchyma is examined. In RPC, ductopenia is not significant. A multimodal imaging approach is sometimes needed to make an accurate and detailed diagnosis.

Management

Most patients present with repeated acute attacks of RPC, and radiologic examinations are required for diagnosis. Acute attacks usually resolve with antibiotics and endoscopic or surgical treatment. After the acute condition has settled, the site of the strictures, location of stones, size of the ducts, volume of the liver parenchyma involved, presence of cholangiocarcinoma, and any associated complications can be ascertained before a decision is made regarding the need for or type of intervention. If the patient’s liver function is normal and the volume of the future liver remnant is adequate, definitive treatment by liver resection is often indicated. The few patients for whom liver resection is not recommended generally include frail patients with minimal ductal strictures and no stones, and rarely those whose bile ducts are filled with C. sinensis and whose attack of cholangitis is presumably caused by bacterial infection superimposing a heavy infestation of liver flukes. These patients can be treated with antibiotics, antifungals, antihelminthic medications, and endoscopic or radiologic interventions (see Chapter 45 ).

You're Reading a Preview

Become a Clinical Tree membership for Full access and enjoy Unlimited articles

Become membership

If you are a member. Log in here