Recognizing Anything: An Introduction to Imaging Modalities


This chapter provides a brief introduction to the major imaging modalities. Accompanying most of the modalities is a Case Quiz that uses that modality. A number 2 pencil is not necessary for the quiz. The answers to the quizzes are at the very end of this book. If you do not know the answers to any of the quizzes, that is perfectly fine because you are about to learn about each of these imaging modalities, how to approach imaging studies, and much more as you complete this text.

Many Shades of Gray

  • In 1895, Wilhelm Röntgen (or Roentgen), working in a darkened laboratory in Würzburg, Germany, noticed that a screen painted with a fluorescent material and located a few feet away in the same room as a cathode ray tube he had energized and made lightproof, started to glow (fluoresce). After repeating the experiment, he recognized that the screen was responding to the nearby production of a form of energy transmitted invisibly through the room. He named the new rays “x-rays” using the mathematical symbol “x” for something unknown. It did not take long before almost everyone was taking x-rays of almost everything imaginable ( Fig. 1.1 ).

    Fig. 1.1, Wilhelm Roentgen Discovers X-Rays.

  • Like today, conventional radiographic images (usually shortened to x-rays ) were produced by a combination of ionizing radiation and light striking a photosensitive surface which, in turn, produces a latent image that is subsequently processed to become visible. For about a hundred years after the discovery of x-rays, radiographic images survived their birth as a burst of ionizing radiation by resting comfortably on a piece of film.

  • At first, the processing of film was carried out in a darkroom containing trays with various chemicals, and the films were then, literally, hung up to dry.

    • When an immediate reading was requested, the films were interpreted while still dripping with chemicals and the term wet reading for a “stat” interpretation was born.

  • Films were then viewed on lighted view boxes (almost always backward or upside down if the film placement was being done as part of a movie or television show). In a few places, film is the medium still used, but it is much less common because it has some major drawbacks.

    • It required a great deal of physical storage space for the ever-growing number of films. Even though each film was very thin, many films in thousands of patients’ folders took up a great deal of space ( eFig. 1.1 )

      eFig. 1.1, Film File Room.

    • The other drawback was that the radiographic films could physically be in only one place at a time , which was not necessarily where they might be needed to help in the care of the patient.

  • Eventually digital radiography came into being, in which the photographic film was replaced by a photosensitive cassette or plate that could be processed by an electronic reader, and that image could be stored in a digital format . This electronic processing no longer required a darkroom to develop the film or a large room to store the films. Countless images could be stored in the space of one, spinning, hard disk on a computer server. Even more importantly, the images could be viewed by anyone with the right to do so, anywhere in the world, at any time.

  • The studies were maintained on computer servers on which the images could be archived for posterity, from which they could be communicated to others and in which they could be stored . This system is called a PACS system, for picture archiving, communications and storage system.

  • With PACS systems, images from all modalities can be stored and retrieved, including conventional radiographs (CR), CT scans, ultrasound images, MRI studies, fluoroscopy studies, and nuclear medicine studies.

  • We will look briefly at each of these modalities.

Conventional Radiography (Plain Films)

  • Images produced through the use of ionizing radiation (i.e., the production of x-rays, but without added contrast material like barium or iodine) are called conventional radiographs or, more often, plain films .

  • The major advantage of conventional radiographs is that the images are relatively inexpensive to produce, can be obtained almost anywhere with portable or mobile machines, and are still the most widely obtained imaging studies.

  • Radiographs require a source to produce the x-rays (the “x-ray machine”), a method to record the image (a film, cassette, or photosensitive plate), and a way to process the recorded image (either with chemicals or a digital reader).

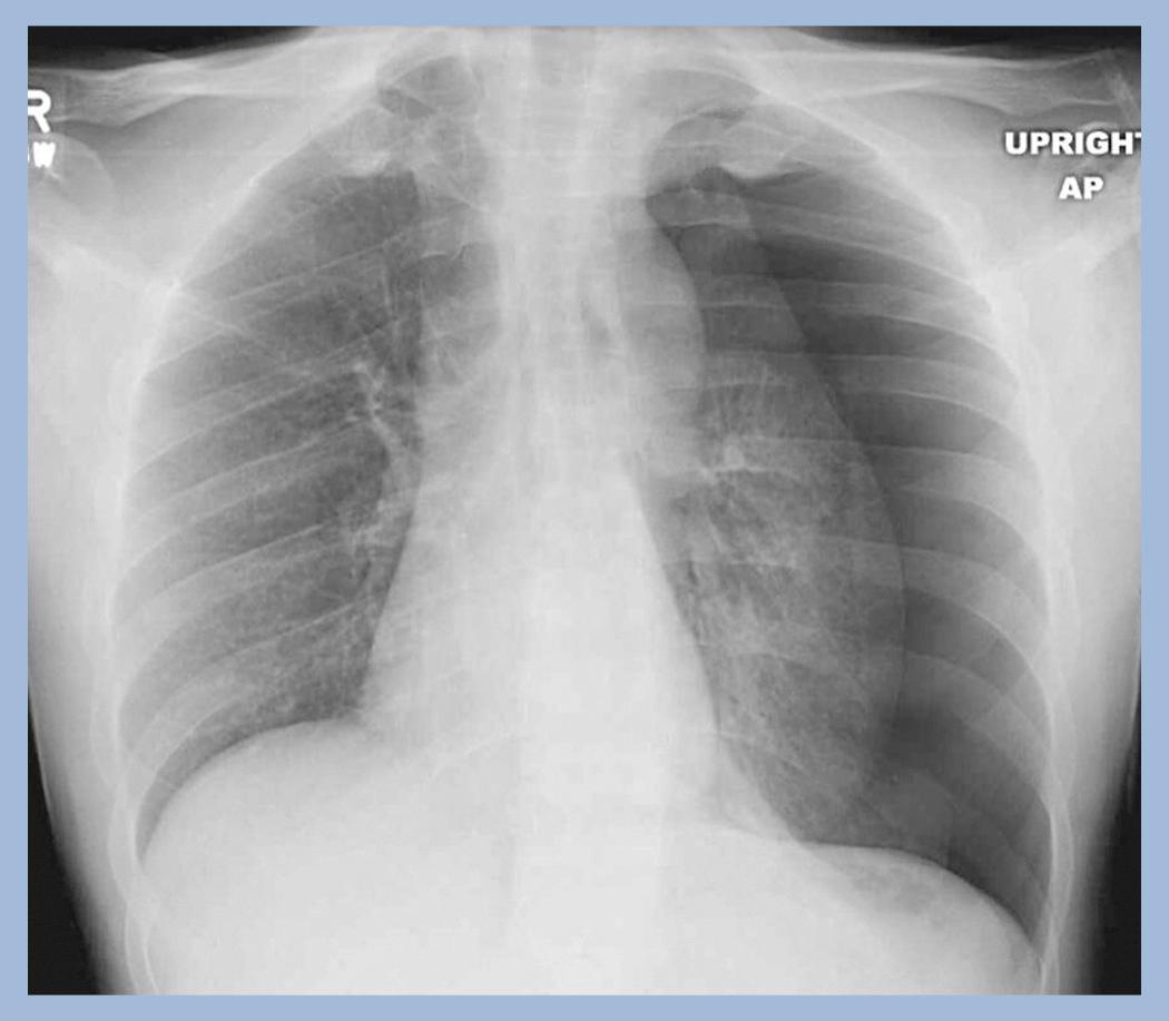
  • Common uses for conventional radiography include the ubiquitous chest x-ray, plain films of the abdomen, and virtually every initial image of the skeletal system to evaluate for fractures or arthritis. Fig. 1.2 contains our first Case Quiz, this one related to conventional radiography ( Fig. 1.2 ).

    Fig. 1.2, CASE QUIZ 1.

  • The major disadvantages of conventional radiography are the limited range of densities it can demonstrate and its reliance on ionizing radiation.

You're Reading a Preview

Become a Clinical Tree membership for Full access and enjoy Unlimited articles

Become membership

If you are a member. Log in here