Reactive Lymphadenopathies


The major question that confronts the surgical pathologist when examining a lymph node biopsy is whether the process is benign or malignant. The pathologist must be familiar with the histologic changes of a diverse group of non-neoplastic disorders to differentiate them from lymphoma, as well as to render a specific diagnosis or a differential diagnosis on morphologic grounds. A specific diagnosis often requires correlation with the clinical history and the results of additional studies such as immunohistochemistry, stains for microorganisms, cultures, serologic studies, and molecular analysis for microbial genetic material.

We group the reactive lymphadenopathies into four major categories according to their predominant architectural histologic pattern: follicular/nodular, sinus, interfollicular or mixed, and diffuse. Although this approach is convenient, multiple nodal compartments may be involved in a single process, and variation exists from case to case. Furthermore, reactive conditions of the lymph node are dynamic processes, and the predominant pattern may differ, depending on the time during the course of the disease at which the biopsy is performed.

Box 9-1 lists the major reactive conditions that cause lymph node enlargement and that may result in lymph node biopsy. Several benign disorders and borderline lesions such as immune deficiency–related lymphadenopathy, sinus histiocytosis with massive lymphadenopathy, and the plasma cell and plasmablastic variants of Castleman's disease are covered in other chapters.

Box 9-1
Reactive Lymphadenopathies

Follicular and Nodular Patterns

  • Follicular hyperplasia

  • Autoimmune disorders (rheumatoid arthritis)

    • Luetic lymphadenitis

    • Castleman's disease, hyaline vascular type

    • Progressive transformation of germinal centers

    • Mantle-zone hyperplasia

    • Mycobacterial spindle cell pseudotumor

Predominantly Sinus Patterns

  • Sinus histiocytosis

    • Non-specific

    • Specific etiology—lymphangiogram, storage disease, prosthesis, Whipple's disease

  • Vascular transformation of sinuses

  • Hemophagocytic lymphohistiocytosis

Interfollicular or Mixed Pattern

  • Paracortical hyperplasia and dermatopathic reaction

  • Granulomatous lymphadenitis

    • Non-necrotizing granuloma

    • Necrotizing granuloma

      • Tuberculosis

      • Fungal infection

      • Cat scratch disease

  • IgG4-related lymphadenopathy

  • Kimura's disease

  • Toxoplasmic lymphadenitis

  • Systemic lupus erythematosus

  • Kikuchi's lymphadenitis

  • Kawasaki's disease

  • Inflammatory pseudotumor

  • Bacillary angiomatosis

Diffuse Pattern

  • Infectious mononucleosis

  • Cytomegalovirus infection

  • Herpes simplex lymphadenitis

  • Dilantin lymphadenopathy

Follicular and Nodular Patterns

Follicular Hyperplasia

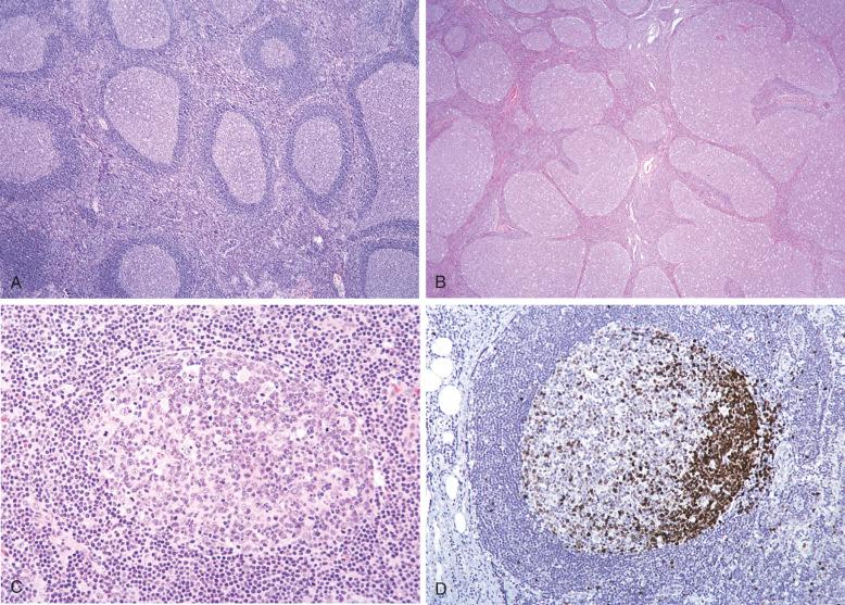
Follicular hyperplasia (FH) is defined as an increase in the number and usually in the size and shape of secondary lymphoid follicles ( Fig. 9-1 ). It is among the most common reactive patterns encountered by the surgical pathologist. The antigens responsible are usually not known. Hyperplastic follicles contain germinal centers with a mixture of centroblasts (non-cleaved cells) and centrocytes (cleaved cells), which vary in proportion depending upon the duration of immune response. Tingible body macrophages containing apoptotic cellular debris are common and impart a “starry-sky” pattern to the germinal center (see Fig. 9-1, A and B ). The prominence of the starry-sky pattern correlates with the proliferative index in the germinal center. Typically, some follicles show polarization of the germinal center with the proliferative dark zone, composed mostly of centroblasts, located toward the medullary side of the germinal center and an apical light zone, containing a predominance of centrocytes, located on the capsular side of the follicle (see Fig. 9-1, C , and Fig. 9-2, A ). Early in a hyperplastic reaction, germinal centers may consist almost exclusively of centroblasts ( Fig. 9-3 ). The high proliferative index is highlighted by staining with MIB-1 (Ki-67) (see Fig. 9-1, D , and Fig. 9-3, B ). Centrocytes, plasma cells, varying numbers of T cells (CD4 + , CD57 + , PD1 + ), and follicular dendritic cells are present in the light zone. Follicular dendritic cells have intermediate-sized, pale nuclei that contain a small central nucleolus; many are binucleated, with apposing nuclear membranes appearing flattened (see Fig. 9-2, B ). A variably prominent mantle zone composed of small lymphocytes surrounds the germinal center. In a polarized germinal center, the mantle zone is expanded around the light zone (see Fig. 9-1, C ). Other features of follicular hyperplasia include large, irregular germinal centers with oddly shaped geographic outlines (see Fig. 9-1, B ) and, occasionally, follicular lysis ( Fig. 9-4 ). The latter is characterized by disrupted germinal centers due to infiltration by mantle-zone lymphocytes. The interfollicular area may show variable expansion with scattered transformed cells, small lymphocytes, plasma cells, and high endothelial venules.

Figure 9-1, Follicular hyperplasia.

Figure 9-2, A, Higher magnification of a germinal center. The light zone (left) shows a predominance of centrocytes, while the dark zone (right) contains mostly centroblasts interspersed by tingible body macrophages. B) A follicular dendritic cell is shown (arrow). These cells have clear chromatin with a small central nucleolus and often appear bilobed with flattening of apposing nuclear membranes.

Figure 9-3, A, Germinal center consisting almost exclusively of centroblasts. Tingible body macrophages are scattered throughout. B, MIB-1 staining of the germinal center in A showing positivity in all centroblasts, indicating that these cells are proliferating.

Figure 9-4, Follicular lysis of a germinal center.

Germinal centers are composed predominantly of CD20 + B cells, with varying numbers of CD4 + T cells and CD57 + /PD1 + follicular helper T cells. These PD1 + T cells tend to be present at the periphery of the germinal center. BCL2 is not expressed by reactive germinal center B cells, whereas BCL6 and CD10 are expressed in both benign and neoplastic germinal center B cells. A small subset of interfollicular and intrafollicular T cells that co-express CD4 and BCL6 may be found.

Differential Diagnosis

The main differential diagnosis in follicular hyperplasia is follicular lymphoma. Features that favor a benign process include polarization, tingible body macrophages with a starry-sky pattern, the presence of plasma cells within follicles, and a well-defined mantle zone. Immunostains show a lack of BCL2 protein in B cells. Because T cells express BCL2, this stain should always be interpreted in conjunction with B-cell and T-cell markers so that relative percentages of each type of cell can be determined, allowing appropriate interpretation of the BCL2 stain. Although the t(14;18)(q32;q21) translocation, characteristic of follicular lymphoma, may be detected in hyperplastic lymph nodes by polymerase chain reaction (PCR), this finding does not appear to be a significant problem with assays that have sensitivity of 1 in 10 4 or less. An uncommon incidental finding in the setting of follicular hyperplasia is strong CD10 + /BCL2 + co-expression of follicular B cells that represent so-called follicular lymphoma in situ. This finding is characterized by lack of architectural distortion with involvement (often partial) in only a minority of follicles. This occurs in approximately 2% of reactive lymph nodes and is likely associated with a low risk for development of overt follicular lymphoma.

Pediatric-type follicular lymphoma (PTFL), a variant of follicular lymphoma, may also rarely enter the differential diagnosis. Nodal PTFL occurs predominantly in young males with localized disease and histologically demonstrates effacement of the lymph node by large ill-defined follicles with a starry-sky pattern. They are composed of sheets of large centroblasts. Although mononclonal, BCL2 protein is not expressed, and BCL2 translocation is absent. Prognosis is excellent, even with conservative management. Finally, with the prevalent use of flow cytometry, immunohistochemistry, and molecular methods for assessment of monoclonality, one must be aware of reports of florid follicular hyperplasia with evidence of monoclonality. Clinical correlation is important, and, when in doubt, observation and repeat biopsy of persistently enlarged lymph nodes may be a reasonable approach (particularly in the context of a needle biopsy).

Monocytoid B-Cell Proliferation

Follicular hyperplasia may be associated with proliferation of monocytoid B cells in and around cortical sinuses, around venules, or in a parafollicular location. Although this proliferation may be associated with non-specific follicular hyperplasia ( Fig. 9-5 ), it is characteristic of toxoplasmic lymphadenitis, HIV-associated lymphadenopathy, cytomegalovirus lymphadenitis, and disorders associated with suppurative granulomas, especially cat scratch disease. Monocytoid B cells are medium-sized cells with abundant pale to clear cytoplasm and round to slightly indented nuclei with moderately dispersed chromatin. Neutrophils and immunoblasts are usually scattered among the monocytoid cells (see Fig. 9-5 ). The differential diagnosis when the monocytoid B-cell proliferation is prominent includes marginal-zone B-cell (mono­cytoid B-cell) lymphoma. Although this differentiation may be difficult in some cases, evidence of light chain restriction is diagnostic of lymphoma and can be established in paraffin sections if plasmacytoid differentiation is present. Morphologic features favoring lymphoma include partial effacement of the architecture by the monocytoid B-cell proliferation and increased numbers of large cells with an increased mitotic index. Molecular genetic analysis for immunoglobulin gene rearrangement by PCR may be helpful. Follicular lymphoma with marginal-zone differentiation may also be considered. In this situation, there are increased numbers of follicles composed of monotonous centrocytes surrounded by a rim of monocytoid B cells several layers thick. Demonstration of BCL2-expressing follicle-center B cells, monoclonality, and/or presence of a BCL2/ IGH translocation support this diagnosis.

Figure 9-5, A, Reactive follicle with adjacent monocytoid B-cell proliferation. B, The monocytoid cells are medium-sized with slightly indented nuclei and ample cytoplasm. Neutrophils are scattered among the monocytoid cells.

Autoimmune Disorders (Rheumatoid Arthritis)

Patients with autoimmune disorders such as rheumatoid arthritis (RA), juvenile rheumatoid arthritis, and Sjögren's syndrome often have lymphadenopathy, which is characterized by follicular hyperplasia. Although biopsies are not ordinarily performed in these patients, they may be done if there is a clinical suspicion of lymphoma. The features of RA-associated lymphadenopathy are well characterized. We focus primarily on RA.

The lymph node histologic changes seen in RA are follicular hyperplasia, interfollicular and intrafollicular plasmacytosis, and neutrophils within sinuses ( Fig. 9-6 ). The lymph node capsule may be thickened but is not infiltrated by plasma cells. Expansion of the lymphoid reaction into perinodal tissue may occur and does not necessarily denote malignancy. Compared with non-specific follicular hyperplasia, the reactive germinal centers of RA were found to be smaller and more regularly spaced, with a predominance of centrocytes exhibiting less mitotic activity. Immunohistochemical studies have shown CD4 + T cells to predominate in the interfollicular areas with CD8 + T cells within germinal centers. Increased numbers of polytypic CD5 + B cells, which can be expanded in autoimmune disorders, may also be seen. These features may also be seen in other disorders such as Sjögren's syndrome; however, monocytoid B-cell hyperplasia is more frequent in the latter.

Figure 9-6, Follicular hyperplasia in a lymph node from a patient with rheumatoid arthritis.

In some patients with RA, an atypical proliferation that is unlike the typical follicular hyperplasia with plasmacytosis can occur. It has been divided into three types. The first resembles multicentric Castleman's disease with hyaline vascular lymphoid follicles, interfollicular polytypic plasmacytosis, and vascular proliferation. The second is a paracortical hyperplasia and has well-formed lymphoid follicles with germinal centers. The paracortex is expanded by polyclonal CD4 + T cells with varying degrees of atypia, plasma cells, immunoblasts, and histiocytes. EBV is absent in the few cases reported. The third type is an atypical lymphoplasmacytic, immunoblastic proliferation, and occasional Hodgkin's-like cells. This latter type may be akin to the atypical, usually EBV-driven, proliferations seen in the setting of methotrexate or other immune modulatory drugs.

The differential diagnosis of FH associated with RA also includes FH due to other causes. Appropriate clinical history and laboratory findings should help confirm the diagnosis of RA-associated lymphadenopathy.

Syphilis may show histologic features similar to those in RA (see later). but in contrast to RA, the capsule is thickened and infiltrated by plasma cells and lymphocytes, especially around small vessels. In addition, epithelioid granulomas may be present in interfollicular areas. Also, endarteritis and venulitis are typically found. Special stains for spirochetes may be diagnostic. HIV infection, particularly early in its course, may show histologic changes similar to those in RA. Follicular lymphoma might also be considered in the differential diagnosis. Demonstration of BCL2 protein–positive germinal-center B cells or the presence of the t(14;18)(q32;q21) translocation would confirm the diagnosis of follicular lymphoma, although its absence does not negate such a diagnosis.

In FH associated with Sjögren's syndrome, marginal-zone B-cell lymphoma should be excluded. Features suggesting lymphoma include large confluent areas of monocytoid B cells. Demonstration of monoclonality may be necessary to confirm the diagnosis in cases of follicular hyperplasia with extensive monocytoid B-cell proliferation.

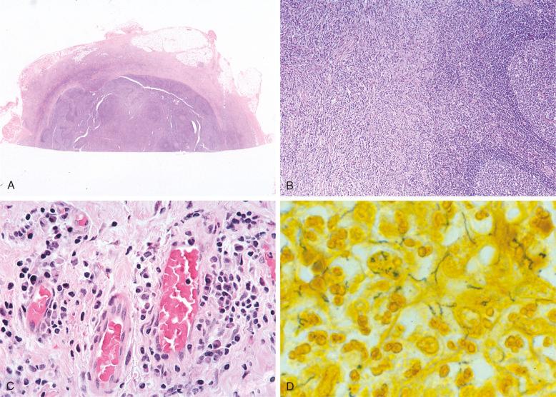
Luetic Lymphadenitis

Although lymph node biopsy does not play a significant role in the diagnosis of syphilis, the localized or generalized lymphadenopathy of primary and secondary syphilis may be clinically suspicious for lymphoma, and, therefore, biopsies may be performed. The typical histologic picture is FH with interfollicular plasmacytosis, similar to that seen in RA-associated lymphadenopathy. Features that point to luetic lymphadenitis include capsular and trabecular fibrosis with infiltration by plasma cells and lymphocytes, especially around capillaries ( Fig. 9-7 ). Sarcoidal-type or, rarely, suppurative granulomas in the paracortex, clusters of epithelioid histiocytes, and endarteritis or venulitis may be present. Rarely, a suppurative form of syphilitic lymphadenitis produces a necrotizing lymphadenitis. Stains such as Warthin-Starry or Steiner stains may demonstrate spirochetes anywhere in the lymph node but most consistently within the walls of blood vessels and epithelioid histiocytes. Spirochetes may be difficult to identify, but serologic studies should be positive. Immunohistochemistry may aid in detection of the organisms.

Figure 9-7, Syphilitic lymphadenitis.

A recently described manifestation of syphilitic disease in lymph nodes is luetic inflammatory pseudotumor of lymph node, described later in this chapter.

The differential diagnosis includes other causes of follicular hyperplasia, and because of the increased number of plasma cells, autoimmune disorders such as rheumatoid arthritis (see earlier in the chapter).

Castleman's Disease, Hyaline Vascular Type (Angiofollicular Lymphoid Hyperplasia, Giant Lymph Node Hyperplasia)

Castleman's disease may be either localized or one of the multicentric types. Localized Castleman's disease is typically of the hyaline vascular type (HVCD), but the plasma cell variant may also be localized. HVCD is typically a disease of young adults, although it can affect patients of any age. Clinically, it presents as a localized mass, with the mediastinal and cervical lymph nodes being the most common sites involved. Patients with HVCD are usually asymptomatic, unlike those who have the plasma cell type, and are not infected with HIV. In general, localized CD can be successfully treated with surgical resection, whereas multicentric forms require systemic therapy.

Often considered a hyperplastic or reactive process, reports of stromal tumors arising in patients with HVCD as well as karyotypic abnormalities have led to the hypothesis that HVCD is a monoclonal proliferation. A study examining cases of HVCD in female patients with human androgen receptor assays have detected monoclonality in a high proportion of cases and correlation with size of the tumor. Although no immune receptor gene rearrangements were seen, cytogenetic abnormalities in stromal cells were seen, suggesting that HVCD may be a neoplasm of lymph node stromal cells.

Histology

The histologic features of HVCD include numerous small, regressively transformed germinal centers surrounded by expanded mantle zones, and a hypervascular interfollicular region ( Fig. 9-8, A, B ). The cells within the regressively transformed germinal centers are predominantly follicular dendritic cells (FDC) and endothelial cells. Relatively few follicle-center B cells remain. The mantle cells tend to form concentric rings lined up along FDC processes, imparting an “onion skin” pattern. Blood vessels from the interfollicular area may penetrate at right angles into the germinal center to form a “lollipop” follicle (see Fig. 9-8, C ). The interfollicular area contains increased numbers of high endothelial venules and varying numbers of small lymphocytes. A useful diagnostic feature is the presence of more than one germinal center within a single mantle (twinning) (see Fig. 9-8, D ). Occasional clusters of plasmacytoid dendritic cells are found. The relative numbers of follicular and interfollicular components may vary from case to case. Sclerosis in the form of perinodal fibrosis and fibrous bands, often perivascular, within the lesion is common.

Figure 9-8, Hyaline vascular Castleman's disease.

A stroma-rich variant of HVCD has been described, with stromal cells consisting of an angiomyoid component expressing actins. This variant is also clinically benign. In some cases, there may be atypical FDCs with enlarged, irregular nuclei, which some investigators regard as dysplastic. Clonal karyotypic abnormalities in these dendritic cell proliferations have also been seen. Although the exact relationship is not known, these cells may be precursors to FDC tumors and sarcomas that have been reported in patients with HVCD. Plasma cell Castleman's disease (PC-CD) may be localized (approximately 10% of localized CD). It may be associated with constitutional symptoms that may resolve with resection. The predominant features of PC-CD are follicular hyperplasia with intense interfollicular plasmacytosis. The plasma cells are not cytologically atypical. A mixed or transitional type of CD may be diagnosed when occasional hyaline vascular-type follicles are present.

Immunophenotype

The immunophenotype of the follicles in HVCD is similar to that of reactive follicles. Expanded, concentric meshworks of FDCs stain with antibodies to CD21 or CD23; multiple germinal centers may be found within a single expanded FDC meshwork. The expanded mantle-zone B cells express CD20 and may express CD5 in approximately one-third of cases when sensitive staining protocols are used. TdT-positive T-lymphoblastic populations of cells can be seen in most cases (75%) of HVCD as rare individual cells or, less commonly, in patchy clusters in interfollicular areas. Patches of plasmacytoid dendritic cells are highlighted by stains for CD123, CD68, and CD43. Staining for HHV-8 is typically negative in HVCD. Plasma cells in localized PC-CD are generally polytypic plasma cells; however, as with multicentric PC-CD, monotypic plasma cells may be present.

Differential Diagnosis

The morphologic features of HVCD are not entirely specific, and the differential diagnosis includes late-stage HIV-associated lymphadenopathy, early stages of angioimmunoblastic T-cell lymphoma (AITL), follicular or mantle-cell lymphomas, and non-specific reactive lymphadenopathy. Clinical history and serologic testing can exclude HIV infection. AITL is typically a diffuse process containing expanded meshworks of FDCs outside of B-cell follicles, highlighted by CD21 and/or CD23 staining. However, atrophic germinal centers may occasionally be present. In early stages, the atypical infiltrate of AITL may be interfollicular, and the proliferation of high endothelial venules may resemble the hypervascular interfollicular region of HVCD. Atypia of the lymphoid cells, including characteristic clear cells, is usually seen, and CD10 + /PD1 + /BCL6 + T cells outside of germinal centers are characteristic of the follicular T-helper cell origin of AITL. In-situ hybridization for EBV-EBER may reveal EBV + B immunoblasts in the interfollicular region in early AITL; however, these cells should not be present in HVCD.

The mantle-zone pattern of MCL may mimic HVCD, but the lymphoid component in MCL is atypical, monotypic, and expresses cyclin D1. The characteristic interfollicular vascularity of HVCD is absent. Small follicles of FL can be mistaken for the regressively transformed germinal centers of HVCD, but immunostains demonstrate the typical phenotype of FL (CD20 + , CD10 + , BCL2 + ). Exclusion of autoimmune processes such as RA or HIV infection is important when considering a diagnosis of PC-CD.

Progressive Transformation of Germinal Centers

Progressive transformation of germinal centers (PTGC) is a pattern of reactive lymphadenopathy that often presents as a single enlarged lymph node in asymptomatic young adults (peak incidence in the second decade and predominantly in males), although it is also seen in children. Cervical and axillary lymph nodes are most commonly involved. The few cases studied by FDG-PET (fluorodeoxyglucose positron emission tomography) have shown increased uptake. PTGC has recently been shown to be associated with autoimmune phenomena in a pediatric population.

PTGC occurs as macronodules scattered in the background of typical follicular hyperplasia ( Fig. 9-9 ). The nodules are usually at least twice as large as, and often much larger than, the hyperplastic follicles and are composed predominantly of small lymphocytes with scattered follicle-center cells present singly or in small clusters. In most cases, a single or a few PTGCs are present in a lymph node, but florid PTGC, in which numerous progressively transformed germinal centers are present, may occur, especially in young males. Even in these cases, typical reactive follicles are always present between PTGC. Epithelioid histiocytes may occasionally be seen surrounding the follicles. Immunophenotypically, the small cells are predominantly immunoglobulin M (IgM) + , IgD + , and mantle-zone B cells. Concentric, smooth meshworks of CD21 + , CD23 + FDCs outline the follicles.

Figure 9-9, Progressive transformation of germinal centers.

You're Reading a Preview

Become a Clinical Tree membership for Full access and enjoy Unlimited articles

Become membership

If you are a member. Log in here