Radiomics and artificial intelligence


Introduction

Positron emission tomography/magnetic resonance imaging (PET/MRI) is an innovative imaging technology that simultaneously acquires PET and MRI, allowing the integration of sensitive metabolic and functional information with precise structural and anatomical characterization of tissues ( ). PET/MRI has shown great potential in tumor diagnosis, treatment planning, and follow-up ( ). In addition to the qualitative image evaluation, PET/MRI may potentially provide several imaging biomarkers for tumor characterization extracted both from PET and MRI that are currently extensively used in cancer research ( ).

In the new era of precision medicine, radiomics is an emerging translational field of research aiming to extract a large amount of meaningful quantitative features followed by their interpretation through various analyses and integration into predictive models. The term “radiomics” derives from the combination of “Radio,” denoting the use of medical images such as computed tomography (CT), PET and MRI, and “Omics,” used for all the technologies that handle large amounts of quantitative data. The main goal of this discipline is to contribute understanding unexploited subvisual information of tissue pathophysiology, phenotype and microenvironment, thus representing a supportive tool for clinical decision-making, including diagnosis, treatment monitoring, and prediction of prognosis. Notably, this is accomplished in a repeatable, objective, low-risk, and noninvasive way. To achieve this goal, radiomics employs machine learning and deep learning algorithms to develop diagnostic, predictive and/or prognostic models thus assisting the progression toward “precision” or “personalized” medicine ( ).

At present, radiomics is a still very heterogeneous field of research. Radiomic features (RFs) consist of mathematically quantitative descriptors extracted from medical images; however, standardized guidelines for their definition, extraction, and interpretation are still missing. An attempt to standardize this discipline, so far, is provided by the Image Biomarker Standardization Initiative (IBSI), which works toward the generation of consensus-based recommendations for radiomic studies and seeks to provide standardized RFs nomenclature and definitions ( ). With respect to RFs, some describe the morphology of a given region of interest (ROI), or volume of interest (VOI) (morphological features), some others the distribution of values of individual voxels within the ROI/VOI (first-order statistics) or, conversely, the distribution between neighboring voxels of a given ROI/VOI (second-order statistics, also called textural features). Finally, RFs can also be extracted after the application of filters (e.g. wavelet, logarithm etc.) to the original images to highlight details that are initially not perceivable (higher-order statistics).

The key underlying radiomic hypothesis is that the constructed descriptive models based on imaging quantitative analysis are capable of providing additional data with respect to the information captured by the human eye alone, or by invasive techniques such as biopsies ( ). The purpose of the radiomic approach is therefore to use these previously unseen patterns to develop “radiomic signatures,” that is, the set of best ranking, most discriminative features capable of uniquely identifying factors, such as for example phenotypes. Thus, radiomics not only potentially provides limitless objective biomarkers without entailing any additional examination for patients, but also bears the possibility to provide objective judgment of medical images.

Although the pipeline of a radiomic analysis is not well established yet and great efforts are needed to standardize this discipline, two main approaches to perform radiomics can be identified: hand-crafted radiomics (HCR) and deep learning-based radiomics (DLR). Hand-crafted radiomics consists in the extraction of predefined features from a segmented ROI/VOI (that usually corresponds to the tumoral area), followed by the search and selection of the most informative ones to be used as input for predictive models ( ). The general workflow of a hand-crafted radiomic analysis consists of the following key steps:

  • 1.

    Generating an input for the model; meaning that images must be acquired, preprocessed (to reduce noise and artifacts), and segmented to determine the ROI (or VOI). Segmentation may be performed manually, semiautomatically, or automatically.

  • 2.

    Features extraction: apply processing algorithms to extract quantitative data from the ROI/VOI; generally, these features consist in descriptors of intensity distribution, spatial relationships between various intensity levels, texture heterogeneity patterns, shape descriptors, and relations toward the tumor environment.

  • 3.

    Features selection: extracted features undergo a selection or reduction process to discard redundant, noninformative parameters. This allows to reduce the computational effort and possibility of overfitting of the model.

  • 4.

    Statistical analysis/model building: the most informative and representative features are finally analyzed, alone or in combination with additional data, through different methodologies, generally consisting of statistical analyses and/or machine learning.

An alternative hand-crafted workflow consists, after steps 1 and 2, in the employment of deep learning models, such as artificial neural network, for the analysis of extracted RFs. Notably, this approach does not necessitate the feature selection step, and, even if requiring more expertise and computational power, may speed up the process. Apart from the analysis of RFs, deep learning algorithms can be exploited directly to extract from images the most relevant features based on the conditions of a predefined task (i.e. cancer type prediction, disease diagnosis, survival prediction, etc.). This procedure, known as deep learning-based radiomic, has recently emerged and, compared to the traditional approach, presents several benefits. First of all, image segmentation or a selection of predefined features is not needed anymore, as parameters are extracted in an entirely automatic way, without requiring any prior knowledge of the input data. Secondly, it is an end-to-end process, in which the performances of the trained networks can be easily and quickly improved as they are fed with more training samples ( ). However, large amounts of data are required for proper neural networks efficiency, and this may limit applicability in clinical settings, where the number of available datasets is generally small.

Deep learning networks for radiomics are generally based on convolutional neural networks (CNN) ( ). Compared to traditional neural networks, CNNs in each layer filter the input image using a kernel that is learned during training. In this way, each layer information is extracted by looking at the relation each pixel has with its closest neighbors. By concatenating multiple layers, information can be extracted from the whole image, combing both information contained in small details with those at larger spatial scales. A representation of the different radiomic workflows is shown in Fig. 15.1 .

Figure 15.1, Schematic comparison of the different Radiomic pipelines. DLR , Deep Learning-based Radiomics; HCR (DL) , Hand Crafted Radiomics using deep learning models; HCR (ML) , Hand-Crafted Radiomics using machine learning models.

When building either machine learning or deep learning models, several recommendations need to be considered to obtain reproducible and reliable results. Among these, the partitioning of available data into training, validation, and test sets is one of the most relevant. Precisely, the training set is used to learn an initial model, the validation set is employed to further tune the model's parameters, and finally the test set is used to provide an unbiased evaluation of the model performance on data not used for training.

Considering that radiomics is rapidly emerging as a translational approach, and that the simultaneous acquisition of PET/MR scans offers better alignment (see Fig. 15.2 ) and direct correlation of images, PET/MR-based radiomics represents a promising methodology in the field of oncology. The easy coregistration of ROI/VOI between PET and MR imaging allows indeed to extract both functional and morphological data from the patient at the same time, facilitating the simultaneous analysis of heterogeneous and possibly synergic data in a single end-to-end approach.

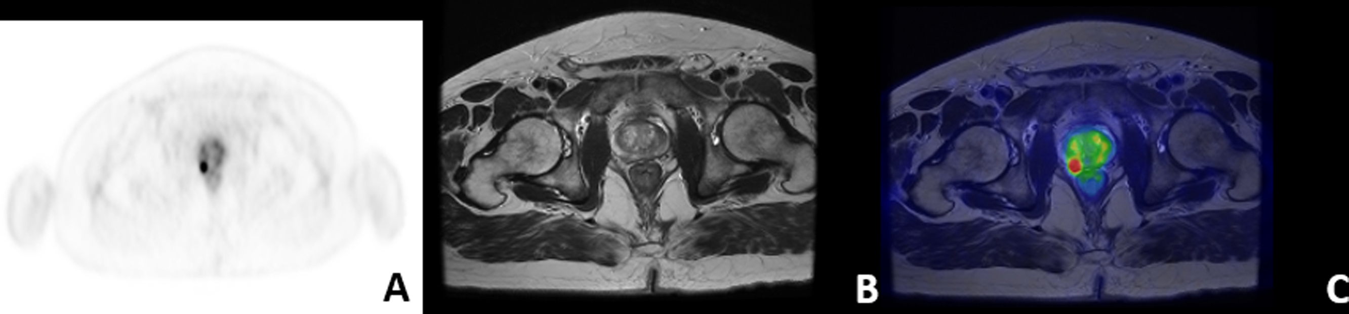
Figure 15.2, PET/MRI simultaneous acquisition in PCa. (A): transaxial 68 Ga-PSMA PET; (B): Axial T2-weighted sequence; (C): 68 Ga-PSMA PET/MRI (Eudract number 2018-001034-18).

In the present chapter, different clinical applications of radiomics based on PET, MRI, and PET/MR images will be presented, with a specific focus on the characterization of the following tumors: brain tumors, breast cancer (BC), pancreatic neuroendocrine tumors (NETs), and prostate cancer (PCa). Finally, some other applications of artificial intelligence (AI) applied to PET/MR images that can promisingly shortly enter into clinical practice will be explored.

PET/MRI radiomics in brain tumors

As brain has a complex structure, with several molecular receptors and targets, and neuro-oncologic tumors are one of the most frequent cancers in all ages, neuroimaging has rapidly embraced the emerging field of radiomics and most advanced image-based AI methods.

Brain cancer diagnosis is predominately based on neuroimaging findings ( ). At the same time, most of the local treatment options, such as radiotherapy and neurosurgery, strictly depends on accurate knowledge of tumor's type, location and extent, which can only be obtained from medical imaging such as CT, MRI and PET ( ). For decades, thanks to its ability in providing excellent soft tissue contrast, conventional MRI, such as pre- and postcontrast T1-weighted, T2-weighted, and fluid attenuation inversion recovery (FLAIR), has been the standard modality for the diagnosis and localization of brain tumors ( ; ). However, it still presents limitations in terms of specificity, tumor extent definition and treatment response assessment, thus leaving important diagnostic challenges unsolved. In order to address and overcome some of these limitations, advanced MRI techniques have been introduced with insights such as perfusion, angiogenesis, cellularity, pH, or metabolite concentrations. Among these techniques, perfusion-weighted imaging (PWI), MR spectroscopy, diffusion-weighted imaging (DWI), MR chemical exchange saturation transfer, and susceptibility-weighted imaging (SWI) are largely used in clinic.

PET is another imaging technique frequently used in neuro-oncology, allowing to quantitatively and noninvasively visualize different biological processes, thus providing functional information on tumor characteristics. For brain tumors, the most widely available PET tracer for body imaging, 2-[18F]-fluoro-2-deoxy-D-glucose ( 18 F-FDG), presents limitations due to the high background glucose metabolism of normal gray matter structures. Differently, amino acid PET tracers such as [11C]-methyl-L-methionine ( 11 C-MET), O-(2-[18 F]fluoroethyl)-L-tyrosine ( 18 F-FET), and 3,4-dihydroxy-6-[18F]-fluoro-L-phenylalanine ( 18 F-FDOPA) are extensively used for various clinical indications, being characterized by high diagnostic specificity ( ). PET can be used in several clinical settings of brain tumor, such as the differentiation between neoplastic and nonneoplastic processes, the definition of treatment planning and monitoring, post-treatment evaluation ( ; ). Despite the high specificity, PET imaging is always integrated with a morphological imaging. Most of the PET systems are integrated with CT scanners, although the number of PET/MRI hybrid scanners is increasing, being particularly promising in this field.

Within such a variety of advanced imaging modalities, radiomics in neuro-oncologic patients is currently based mainly on the analysis of conventional MRI ( ; ). To this regard, several clinical questions of considerable importance have been addressed. Precisely, treatment strategies and decisions for brain tumor patients are predominantly based on both their classification and molecular markers characterization. Furthermore, patients' management deeply depends on the differentiation of treatment-related changes from tumor and brain metastases progression, potential occurrence of local relapses or radiation-induced injury, and prediction of time interval to progression-free and overall survival. Methods including hand-crafted and deep learning-based radiomics have therefore been studied and exploited to support these major clinical questions and are summarized in the following paragraphs.

Definition of WHO grade in patients with newly diagnosed gliomas

In 2016, the World Health Organization (WHO) revised the classification of tumors of the central nervous system; a correct classification is crucial for a correct treatment approach and it is currently based on tissue samples obtained by tumor resection or stereotactic biopsy. Yet, about 15% of glioma are unresectable ( ), and stereotactic biopsy carries a considerable risk for morbidity, especially in elder populations ( ). Radiomics-based, noninvasive determination of WHO grade in patients with newly diagnosed gliomas has therefore gained great interest and, up to now, the imaging techniques mainly investigated include conventional and advanced MRI. With respect to conventional MRI, obtained areas under the receiver operating characteristic (ROC) curve (AUC) currently range between 0.90 and 0.94 ( ; ; ), considering both hand-crafted and deep learning-based radiomic methods. Slightly superior results have been gained from conventional and advanced MRI used together in a multiparametric approach based on a support vector machine model, reaching AUCs of 0.96–0.97 ( ; ). Considering PET imaging, one study demonstrated the feasibility of amino acid 18 F-FET PET radiomics for the differentiation between WHO grade III and IV gliomas, providing an AUC of 0.83 ( ). Finally, one recent study assessed the predictive potential of combined, multidimensional, and multiparametric 18 F-FET PET/MRI analysis with machine learning and radiomic algorithms to differentiate between WHO I-IV gliomas and between low-grade (LGG) and high-grade gliomas (HGG) ( ). As reported, the best prediction of WHO I-IV grading was yielded using a combination of features extracted from the contrast-enhanced T1 and 3D-FLAIR sequences and apparent diffusion coefficient (ADC) map, which provided an AUC of 0.82 (sensitivity 0.78; specificity 0.73). For the classification of HGG und LGG, the best results derived from features extracted from the contrast-enhanced T1, SWI sequences and 18 F-FET PET, yielding an AUC of 0.85 (sensitivity 0.83; specificity 0.80). These results were obtained through a stratified cross-validation procedure, accounting for both training and a testing set. This is an particularly relevant, being the majority of the studies only been tested on the training cohorts, lacking any kind of validation.

Determination of the IDH genotype and 1p/19q codeletion status in patients with newly diagnosed gliomas

As for the determination of the tumor's grade, the identification of specific molecular markers, such as the presence of a mutation in the isocitrate dehydrogenase (IDH) gene and the loss of heterozygosity (LOH) of the 1p/19q chromosome, are important for the choice of the most appropriate treatment strategies in patients with newly diagnosed gliomas, allowing an integrated diagnosis according to the WHO classification 2016 ( ). IDH-mutant gliomas, including astrocytomas (without 1p/19q codeletion) or oligodendrogliomas (characterized by 1p/19q codeletion), generally have a longer progression-free and overall survival with respect to IDH-wildtype tumors, such as astrocytomas or glioblastomas, harboring better prognosis ( ). As for characterization of tumor grade, the determination of these molecular markers is obtained from tissue samples analysis. Several studies have therefore investigated the application of radiomics for the noninvasive prediction of the IDH genotype and the 1p/19q codeletion status in patients with gliomas.

For IDH mutation prediction using conventional MRI, hand-crafted radiomics provided in the validation cohorts AUCs up to 0.92 ( ), which slightly improved through the application of a deep learning-based approach (AUC = 0.96) ( ). The inclusion of advanced MRI sequences demonstrated, in the validation cohort, an accuracy of 90% using a hand-crafted radiomic model and contrast-enhanced T1, T2, and DWI sequences ( ), and an AUC of 0.95 using a deep learning model and Diffusion Tensor images only ( ). One study performed by Lohmann et al. evaluated PET imaging, investigating and comparing the role of 18 F-FET PET standard parameters and textural features. In the prediction of the IDH genotype, standard parameters provided accuracies within the range of 71–73%, while RFs reached the accuracy of 71%; the combination of the two sets showed an accuracy of 81% (80% after model validation). Authors repeated the comparison by selecting, among the initial cohort, only those patients examined on the hybrid PET/MR scanner, demonstrating this time accuracies up to 79% for both standard parameters and textural features separately, and up to 93% using their combination (86% after model validation) ( ). A study evaluated the performance of multiparametric 18 F-FET PET/MRI and MR fingerprinting ( ). The different potential of the distinct imaging techniques was tested, showing, among the results, an AUC of 0.84 for contrast-enhanced T1, 0.66 for ADC, 0.79 for FLAIR, 0.78 for proton density magnetic resonance fingerprinting (MRF) M0 map and 0.64 for PET. Eventually, the combination of all the investigated images provided an AUC of 0.79, while the combination of contrast-enhanced T1, FLAIR, and MRF M0 provided the highest AUC (0.88). Finally, Tatekawa et al. investigated the synergism between multiparametric MRI and 18 F-FDOPA PET, obtaining a classification performance to differentiate IDH status with AUC and accuracy of 0.81 and 0.76, respectively ( ).

Considering the 1p/19q codeletion status, hand-crafted radiomics using conventional MRI provided AUCs between 0.69 ( ) and 0.76 ( ), while the deep learning-based approach showed an AUC of 0.88 ( ).The addition of DWI to conventional sequences in a hand-crafted radiomics approach demonstrated instead a predictive accuracy of 80% ( ). With respect to PET imaging, one study conducted by Zaragori and colleagues investigated the role of 18 F-FDOPA, showing an AUC of 0.72 and identifying in a single texture feature up to 14.5% of importance for the prediction of the implemented hand-crafted radiomic model ( ). Finally, one PET/MRI analysis showed that proton density MRF M0 map alone, as well as in combination with the nonenhanced T1 dark fluid sequence, provided the best predictive value for the 1p19q deletion with an AUC of 0.98, followed by contrast-enhanced T1 (AUC = 0.86) and PET (AUC = 0.86) images ( ).

Determination of the MGMT promoter methylation status

The methylation status of the O 6 -methylguanine-DNA methyl-transferase (MGMT) promoter is a molecular marker involved in the DNA repair process. This marker has shown to favor pseudoprogression over tumor progression in high-grade glioma patients conventionally treated ( ). Different studies have investigated the application of radiomics for the noninvasive determination of the MGMT promoter methylation status ( ; ; ; ).

To date, the majority of the studies has been applied to conventional MRI, with AUCs up to 0.88 using hand-crafted radiomics ( ) and accuracies up to 95% using deep learning algorithms (ResNet) ( ). A study performed on 18 F-FDG PET scans using hand-crafted radiomics provided an AUC of 0.86 in the test dataset ( ). Finally, a study conducted a hand-crafted radiomic analysis on a PET/MRI scanner obtained AUCs of 0.72, 0.71, 0.58 and 0.64 using T1, contrast-enhanced T1, FLAIR and PET scans, respectively ( ). However, the best result (AUC = 0.75) was reached through the combination of T1, contrast-enhanced T1, and diffusion-weighted with b = 1000.

Prediction of progression-free survival (PFS) and overall survival (OS)

Optimal patients' management and counseling is strictly dependent on the assessment of survival probabilities. Survival prediction in glioma patients is commonly investigated by using statistical approaches and clinical features such as age, morphology, grade, etc. With the rapid development of AI techniques, there has been a strong interest among researchers to apply these methods to survival prediction.

Again, to date, the most studied imaging technique is MRI. Conventional MRI studies have investigated RFs extracted from both preoperative scans of the primary tumor and postoperative scans of peritumoral regions, and generated predictions for PFS and OS outperformed those based on clinical features alone ( ; ). In a study, prediction errors decreased by 36% for PFS and 37% for OS when adding the radiomic signature, compared to a reduction of 29% and 27%, respectively, using molecular and clinical features alone ( ). Similar findings have been observed when using advanced MRI. RFs extracted from both fractional anisotropy (FA) calculated from DTI and normalized cerebral blood volume (CBV) coming from perfusion MRI, for instance, demonstrated better predictive value for local progression (AUC = 0.79) than single imaging parameters (FAmin AUC = 0.54; CBVmax AUC = 0.54) in a hand-crafted radiomic study ( ). Functional PET imaging has also been employed for this kind of analysis, both in the form of 18 F-FDG ( ) and 11 C-MET PET imaging. Particularly, in a 11 C-MET PET study performed by Papp et al., the combination of radiomic and clinical features provided an AUC of 0.90 for the prediction of survival in glioma patients ( ). Currently, no investigation has been specifically performed on PET/MR imaging.

Differentiation between tumor progression and pseudoprogression

Early differentiation of treatment-related changes such as pseudoprogression from tumor progression is fundamental in patients with malignant gliomas ( ; ). Pseudoprogression describes the manifestation of a progressive enhancing lesion on MRI typically within 12 weeks after radiotherapy, chemotherapy or radio-chemotherapy, not related to tumor growth and not confirmed as progressive disease on later imaging studies, with spontaneous improvement of MRI findings without any treatment change ( ; ; ). Although amino acid PET and advanced MRI have already demonstrated their value in the diagnosis of pseudoprogression ( ; , ; ), several studies have investigated whether radiomics might improve the discrimination between pseudoprogression and progression.

Some of these studies explored the combination of conventional and advanced MRI (DWI and PWI) in hand-crafted radiomic studies, providing AUCs in the range of 0.85–0.94 in the test dataset ( ; ). With respect to deep learning radiomics, a study conducted on conventional MRI (contrast-enhanced T1) reached an AUC of 0.83 incorporating both clinical and imaging features, which outperformed the model based on clinical features solely ( ). The combination of conventional and advanced MRI in deep learning approaches provided instead an accuracy of 82% using DWI and FLAIR sequences ( ) and 75% using multiparametric (mp-MRI) data (T1, contrast-enhanced T1, T2, FLAIR, DTI, and dice similarity score (DSC)) ( ). One group also evaluated a novel feature-learning method based on deep convolutional generative adversarial networks and a convolutional neural network to identify and extract from DTI images discriminative features, which eventually yielded a diagnostic AUC of 0.95 (accuracy: 92%) in the validation dataset ( ). Regarding PET imaging, amino acid PET in the form of 18 F-FET PET was investigated in few studies, providing an accuracy of 75% in a dataset of solely 14 patients (therefore requiring further validation) ( ), and 86% in the test dataset of a 35 patients cohort ( ). Furthermore, in the work conducted by Lohmann and colleagues ( ), the 18 F-FET PET radiomics model correctly diagnosed pseudoprogression in all test cohort patients (AUC of 0.74; sensitivity of 100%); from the obtained results, authors suggest that 18 F-FET PET radiomics helps diagnose patients with pseudoprogression with a high diagnostic performance.

Differentiation between treatment-related changes and local tumor recurrence in patients with brain metastases

Patients with brain metastases are usually treated with stereotactic radiosurgery (SRS), thus resulting radiation injuries such as radiation necrosis are often indistinguishable from tumor recurrence using conventional MRI alone. Different studies applied radiomics for the differentiation between these two phenomena ( ; ; ; ).

Up to now, radiomic exploitation of conventional MRI reached AUCs in the range of 0.73–0.81 in the validation set, not further validated on an external test set ( ; ). Interestingly, in the study performed by Peng and colleagues, a hand-crafted radiomic model provided a sensitivity of 87% and specificity of 65% in the distinction between treatment effect after SRS and true tumor progression ( ). Classification outcomes were compared to the ones based on imaging description and clinical interpretation performed by a board-certified neuroradiologist with 16 years of postfellowship experience, blinded to final histopathologic and clinical outcome, which eventually consisted in a sensitivity and specificity of 97% and 19%, respectively. Considering amino acid PET imaging, a study was performed on 18 F-FET PET scans of patients with suspicious MRI findings for tumor recurrence after radiosurgery ( ). Results demonstrated how RFs allowed to obtain a diagnosis of tumor recurrence with 85% accuracy, even though outcomes were not validated on a validation nor a test set. A similar investigation was conducted on 11 C-MET images, where the differentiation between recurrent brain tumor and radiation necrosis though a hand-crafted radiomic approach yielded the highest AUC (0.98), outperforming the conventional 11 C-MET PET parameter evaluation (AUC = 0.73) ( ). Finally, a study tested the potential of combining 18 F-FET PET and MRI radiomics ( ). Patients with newly or progressively contrast-enhancing lesions on MRI after radiotherapy were indeed additionally investigated using 18 F-FET PET. The combination of the PET/MRI features, as well as the performance of the features extracted separately from each modality, was tested through the generation of three different models. The highest diagnostic accuracy was obtained by the combined PET/MRI model (accuracy: 89%, sensitivity 85%, specificity 96%), followed by the 18 F-FET PET one (accuracy: 83%, sensitivity: 88%, specificity: 75%) and lastly the contrast-enhanced MRI one (accuracy: 81%, sensitivity: 67%, specificity: 90%).

In summary, radiomics is increasingly applied in the field of neuro-oncology and its potential value as an additional source of diagnostic information has been demonstrated, with possible impact on patients' management and outcome. The application of radiomics to PET/MRI has been very limited so far, and results are yet to be established. Nevertheless, the clinical use of PET/MRI is significantly relevant in neuro-oncology and its use will expand during years to come. Consequently, the number of radiomic studies focused on PET/MRI will certainly increase. Despite being quite limited, the available results on the role of radiomics on PET/MRI in neuro-oncology are very promising, and they suggest the need of further investigations in this specific field of research. Importantly, multiple studies have shown an improved performance when combining features derived from PET imaging, further emphasizing the potential added value of hybrid tomographs for these indications.

PET/MRI radiomics in breast cancer

Breast cancer is the worldwide most diagnosed cancer in 2020, being the first cause of death in women cancer patients ( ). Breast MRI is an important modality in BC, providing morphological and anatomical information. This imaging modality is mainly used in the setting of BC staging, lesion detection and response assessment to Neoadjuvant Chemotherapy (NAC) ( ). T1-weighted Dynamic Contrast Enhanced (DCE) sequence is the typical imaging modality for breast MRI, which relies on gadolinium injection as contrast agent. From DCE-MRI, semiquantitative (e.g., washin or washout slope and Maximum Signal Difference (MSD)) and pharmacokinetic (e.g., volume transfer constant (Ktrans) and volume fraction of plasma (Vp)) parameters can be obtained as descriptors of contrast agent perfusion inside tissues. DCE-MRI in BC evaluation is characterized by high sensitivity; however, it has been demonstrated that breast MRI alone lacks specificity ( ). On the other hand, PET is an imaging technique that provides metabolic information. 18 F-FDG is the most commonly used radiotracer in PET oncologic imaging and in BC its uptake is usually related to the histological type of lesion (e.g., tubular carcinoma or invasive ductal carcinoma) ( ). However, tumor 18 F-FDG avidity and low spatial resolution due to partial volume effect resulted to be the main limitations in 18 F-FDG PET BC diagnosis ( ). The hybrid PET/MRI system integrates the MRI sensitivity with the metabolic characterization of PET, thus potentially improving the clinical management of BC ( ; ; ).

The application of radiomics in BC has been mainly focused on studies involving DCE-MRI ( ; ; ; ; ; ; ; ; ), integrating RFs with semiquantitative or pharmacokinetic parameters of DCE-MRI ( ; ) or ADC map parameters ( ), showing preliminary results in different fields of research. Some of those fields are: prediction of axillary lymph node (ALN) or sentinel lymph node (SLN) metastasis ( ; ; ), prediction of NAC response ( ; ; ; ; ; ; ), differentiation between benign and malignant tumor ( ; ), prediction of molecular subtype of BC ( ; ).

Several studies using a radiomic approach were also focused on breast PET imaging. The topic of major interest is the prediction response to NAC ( ; ), but also including reports aimed at finding correlation between RFs, integrated with other PET quantitative parameters, and immunohistochemical prognostic factors ( ; ) or subtype of BC ( ).

The number of studies involving RFs extraction from both PET and MRI in the same examination is recently growing. Six papers that present this modality will be reported ( ; ; ; ; ; ) three of them combining imaging parameters from hybrid 18 F-FDG PET/MRI ( ; ; ).

You're Reading a Preview

Become a Clinical Tree membership for Full access and enjoy Unlimited articles

Become membership

If you are a member. Log in here