Key Points

Clinical Findings

  • Stroke is defined as the acute onset of a neurological deficit that is due to a cerebrovascular cause; a stroke has occurred if symptoms persist for longer than 24 hours or if a permanent lesion is detected by neuroimaging techniques.

  • Strokes may be broadly described as ischemic or hemorrhagic.

  • Neuropsychiatric sequelae of stroke include affective and cognitive disorders.

Prognosis

  • Early intervention may improve the morbidity and mortality rates of stroke; rapid assessment is key to successful management.

Overview

Definition

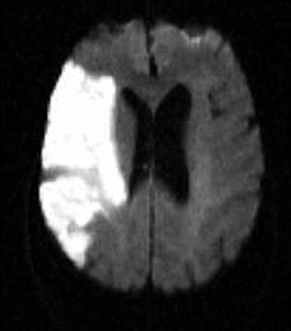
An understanding of stroke is important for psychiatrists for several reasons: it is common, effective treatment is predicated on early recognition, and significant neuropsychiatric sequelae often result from injury to brain parenchyma. Stroke is defined as the acute onset of a neurological deficit due to a cerebro-vascular cause. Strokes may be categorized as ischemic (in which the deficit is caused by blockage of an arterial feeding vessel), which results in a lack of oxygen and metabolic nutrients to the affected territory ( Figure 80-1 ) or hemorrhagic (in which the deficit is caused by vessel rupture). Ischemic strokes occur roughly four times as often as hemorrhagic strokes. Ischemic strokes usually produce focal neurological deficits due to the cessation of blood flow to a specific territory of the brain. In contrast, hemorrhagic strokes, in addition to causing focal deficits, can cause more diffuse symptoms as a result of cerebral edema and an increase in intracranial pressure.

Figure 80-1, Diffusion-weighted MRI of a right middle cerebral artery territory infarct.

By convention, a stroke has occurred if the clinical deficit persists for longer than 24 hours or if a permanent deficit is seen on neuroimaging that directly correlates with the patient's syndrome. A transient ischemic attack (TIA), in contrast, involves no permanent tissue damage. Classically, it has been described as a focal deficit that lasts less than 24 hours. However, most patients with a TIA have symptoms for a shorter duration, typically less than 45 minutes. Recognition of TIAs is essential, as they may be a harbinger of stroke; 4%–20% of patients will have a stroke in the 90 days following a TIA.

For suspected acute stroke, the time of onset and the duration of symptoms should be documented as accurately and as rapidly as possible. It is also crucial to confirm the history with a detailed neurological examination and a neuroimaging study. Time is of the essence with the diagnosis and acute management of acute stroke, as rapid treatment may reduce morbidity and mortality rates. Thus, stroke and TIA are medical emergencies that require prompt attention.

Anatomy of Cerebral Circulation

Strokes involve specific vessels of the cerebral circulation and result in focal neurological signs referable to the territory supplied by the affected vessels. Stroke syndromes can broadly be categorized into anterior (carotid) or posterior (vertebro-basilar) circulation phenomena ( Figure 80-2 ). The anterior circulation includes branches of the internal carotid artery and the lenticulostriate arteries, which penetrate deep into the cerebral cortex. These vessels supply much of the cerebral cortex, the subcortical white matter, the basal ganglia, and the internal capsule. Symptoms of anterior circulation strokes depend on the hemisphere involved and the handedness of the patient. Manifestations include aphasia, apraxia, hemi-neglect, hemiparesis, sensory disturbances, and visual field defects. Specific deficits associated with the branches of the anterior circulation are listed in Table 80-1 .

Figure 80-2, Circle of Willis showing arterial circulation of the brain.

TABLE 80-1
Anterior and Posterior Circulation Stroke Syndromes
Data from Kaufman DM. Clinical neurology for psychiatrists, Philadelphia, 2001, Saunders/Elsevier, p. 275.
Circulation Vessel Branch Syndrome
Anterior Anterior cerebral Contralateral lower extremity paresis, mutism, apathy, pseudobulbar affect
Anterior Middle cerebral Contralateral hemiparesis, hemi-sensory loss, hemianopsia/quadrantanopsia, aphasia (dominant hemisphere), hemi-inattention (non-dominant hemisphere)
Posterior Posterior cerebral Contralateral homonymous hemianopsia, alexia without agraphia (dominant hemisphere)
Posterior Basilar Coma, “locked in” syndrome, cranial nerve palsies, hemiparesis/quadriparesis, ataxia
Posterior Vertebral Lateral medullary (Wallenburg) syndrome, appendicular or truncal ataxia

The posterior circulation consists of a pair of vertebral arteries and a single basilar artery with their branches, including the posterior cerebral arteries (PCAs). These vessels supply the brainstem, the cerebellum, the thalamus, and parts of the occipital and temporal lobes. Symptoms may localize to the brainstem (including coma, vertigo, nausea, cranial nerve palsies, or ataxia). Specific syndromes associated with the branches of the posterior circulation are also listed in Table 80-1 .

Epidemiology/Risk Factors

Epidemiology

Stroke is the fourth most common cause of death in the US, following only heart disease, cancer, and chronic lower respiratory diseases. It is the most common disabling neurological disorder. Each year in the US, over 795,000 new or recurrent strokes occur, leading to 1 in 19 deaths. Furthermore, stroke is a major cause of functional impairment: 15% to 30% of stroke survivors are considered permanently disabled.

Risk Factors

Several major risk factors for stroke exist. Of these, age is the most important non-modifiable risk factor; the risk of stroke more than doubles in each decade beyond age 55 years. Other non-modifiable factors include gender (male > female), race (African Americans and Hispanics > European Americans), and genetic contributions. A number of modifiable stroke risk factors have also been identified. Hypertension is one of the most important, and it is an excellent target for both primary and secondary prevention. Other risk factors include prior stroke or TIA, atrial fibrillation (AF), diabetes mellitus (DM), hyperlipidemia, metabolic syndrome, excessive alcohol use, tobacco use, and obstructive sleep apnea.

Risk-profile Generation

Patients at risk for stroke may be stratified according to a variety of risk factors, including advanced age, hypertension, smoking status, DM, hypercholesterolemia, history of cardiovascular disease, and electrocardiographic evidence of left ventricular hypertrophy or AF. One risk-profile model, the Framingham Stroke Profile, uses the Cox proportional-hazards method to generate an individual's 10-year, gender-specific prediction of stroke risk. These and other models are important, as primary prevention efforts often focus on high-risk patients.

Ischemic Stroke

Types

Several pathophysiological mechanisms lead to ischemic stroke: thrombosis, whereby a clot forms within an artery and blocks it; embolism, whereby a clot travels from a remote origin and lodges within an arterial vessel ( Figure 80-3 ); or lipohyalinosis, whereby concentric narrowing of small penetrating arteries results in lacunar infarction. Thrombotic mechanisms cause about 20% of ischemic strokes, embolism causes about 20% of cases, and lacunar infarcts comprise an additional 25%. The remainder is caused by more rare conditions or by an undetermined etiology (i.e., “cryptogenic stroke”).

Figure 80-3, Cardioembolism leading to acute ischemic stroke.

Given the broad array of etiologies, it is sometimes useful to categorize strokes by their anatomical basis. First, there are cerebrovascular causes of strokes. The most common is atherosclerosis of a large intracranial or extracranial artery, resulting in thrombotic stroke. Lacunar strokes are also vascular in origin, but they only affect the small branch vessels. Arterial dissection is a less common vascular cause of ischemic stroke, but it should be considered in younger patients with stroke, especially in those with a predisposing condition (such as Marfan syndrome or recent trauma to the head or neck). Use of cocaine or methamphetamine may cause stroke, likely secondary to arterial vasospasm or acute atrial dysrhythmias. Other vascular causes of stroke are rare, but include migraine, fibromuscular dysplasia, inflammation (e.g., with cerebral vasculitis), infection, and venous sinus thrombosis. Second, there are strokes related to cardiac causes, which most often result in embolic strokes. The most frequent cause of cardioembolic stroke is embolism of left atrial clot formed as a result of atrial fibrillation (AF). Other, less common, causes include cardiac mural thrombus, a clot formed at the site of a prosthetic heart valve, paradoxical embolus through a patent foramen ovale, and endocarditis. Last, strokes may be caused by blood-related disorders (such as hypercoagulability, sickle cell crisis, or elevations in blood cell counts resulting from polycythemia, leukocytosis, or thrombocytosis).

Clinical Presentation

The hallmark presentation of ischemic stroke is the abrupt onset of a focal neurological deficit. Associated symptoms, such as a seizure or headache, may occur but are less common. Thrombotic and lacunar strokes are more likely to manifest with a stuttering course of waxing and waning neurological symptoms that eventually result in a complete deficit, while embolic strokes are more likely to produce a maximal deficit at the outset.

Differential Diagnosis

The classic signs and symptoms of acute ischemic stroke are usually recognizable by physicians. However, a differential diagnosis should always be created, especially in cases with atypical features, such as a non-focal neurological examination or an impaired level of consciousness. The differential diagnosis includes intracerebral or subarachnoid hemorrhage, epidural or subdural hematoma, TIA, mass lesions (such as a tumor or abscess), seizures, migraine headaches, and metabolic causes, such as hypoglycemia.

Examination

A careful history is a crucial first step in the management of a suspected acute ischemic stroke. The exact time of onset, to the minute if possible, is an essential data point, as some therapies for the management of acute stroke (such as thrombolysis) are only available within strict time frames. If the exact time of onset is not known, or if the patient was not witnessed at the time of symptom development, the time of onset by default becomes the time at which the patient was last seen to be neurologically normal. A history of similar symptoms, which may suggest a recent TIA or even a recent stroke, should also be ascertained. Essential components of the medical history include a history of cardiac problems, hypertension, DM, hypercholesterolemia, and use of tobacco or drugs. The medication list should be reviewed, especially if the patient is taking anticoagulants or antiplatelet agents. A thorough physical examination should follow, which should include the careful assessment of vital signs (including blood pressure [BP] measured in both arms). The examiner should auscultate the carotid arteries to assess for the presence of carotid bruits. Of note, a lack of a bruit may accompany a complete or an impending occlusion. Most important, a focused neurological assessment should be done with the aim of localizing the lesion supplied by the suspected vessel. Most stroke physicians use a standardized scale (such as the National Institutes of Health [NIH] Stroke Scale), which establishes a method of performing a rapid and focused evaluation and establishes standardized values for comparisons among stroke patients for treatment and research purposes.

Diagnosis

Rapid diagnosis is critical to the management of acute ischemic stroke. Use of imaging, including computed tomography (CT) or magnetic resonance imaging (MRI), is essential. CT and MRI imaging help the clinician to distinguish ischemic strokes from intracerebral hemorrhages, to evaluate for other causes of symptoms, and to define the ischemic territory. While MRI is more sensitive to the presence of ischemia, CT is more widely available and is highly accurate in differentiating intracerebral hemorrhage from ischemic stroke. Thus, it is the first choice of imaging in most centers. It must be performed before the administration of a thrombolytic agent in order to rule out an underlying condition (such as a hemorrhage, abscess, or tumor) that would preclude its use. MRI provides superior detection of early ischemic lesions and improved visualization of lesions of the brainstem and the cerebellum. However, in order to identify pathology within the target vessel, imaging with CT angiography (CTA) or MRI angiography (MRA) is required. Laboratory testing should always include a complete blood count (CBC), metabolic panel, serum glucose, liver function tests, and a coagulation profile. These should be obtained before sending the patient for a CT scan. If clinically indicated, such as in younger patients, other laboratory tests, such as a hypercoagulability panel or toxicology screen, should be obtained. An electrocardiogram (ECG) should always be obtained to detect arrhythmias or acute myocardial ischemia. Before any neuroimaging, the patient should be stabilized from a respiratory and hemodynamic standpoint. Consideration should be given to elective intubation if the patient's airway may be compromised by his or her neurological deficit or by an impaired mental status.

A complete evaluation will include ultrasound of the carotid arteries, 24-hour cardiac monitoring, and echocardiography. In most cases, a transthoracic echocardiogram (TTE) study with an agitated saline bubble contrast study (to look for a patent foramen ovale [PFO]) will suffice. However, a transesophageal echocardiogram (TEE) may be indicated with specific conditions, such as in younger patients with a suspected PFO, valvular disease, or disease of the left atrium or aortic arch. Cerebral angiography is reserved for the investigation of unusual causes of stroke.

Treatment

You're Reading a Preview

Become a Clinical Tree membership for Full access and enjoy Unlimited articles

Become membership

If you are a member. Log in here