Principles of Management of Impacted Teeth


An impacted tooth is one that fails to fully erupt into the dental arch within the usual range of expected time. The tooth becomes impacted because abnormal tooth orientation, adjacent teeth, dense overlying bone, excessive soft tissue, or a genetic abnormality prevents eruption. Because impacted teeth do not erupt, they are retained for the patient's lifetime unless surgically removed or exposed because of resorption of overlying tissues. The term unerupted teeth includes impacted teeth and teeth that are in the process of developing and erupting.

Teeth most often become impacted because of inadequate dental arch length and space in which to erupt; that is, the total length of the alveolar bone arch is smaller than the total length of the tooth arch. The most common impacted teeth are maxillary and mandibular third molars, followed by maxillary canines and mandibular premolars. The third molars are the most frequently impacted because they are the last teeth to erupt; therefore they are the most likely to have inadequate space for complete eruption.

In the anterior maxilla, the canine is also commonly prevented from erupting by dental crowding. The canine usually erupts after the maxillary lateral incisor and maxillary first premolar. If space is inadequate to allow eruption, the canine becomes impacted or erupts labial to the dental arch. In the mandible, a similar situation affects the mandibular premolars because they erupt after the mandibular first molar and canine. Therefore, if room for eruption is inadequate, one of the premolars, usually the second premolar, remains unerupted and becomes impacted or erupts into a buccal or lingual position in relation to the dental arch.

As a general rule, all impacted teeth should be removed unless removal is contraindicated. Removal of impacted teeth becomes more difficult with advancing age of the patient. The dentist should typically not recommend that impacted teeth be left in place until they cause difficulty. If the impacted teeth are left in place until problems arise, the patient may experience an increased incidence of local tissue morbidity, loss of, or damage to, adjacent teeth and bone, and potential injury to adjacent vital structures. In addition, if the removal of impacted teeth is deferred until problems arise later in life, surgery is more likely to be complicated and hazardous because the patient may have compromising systemic diseases, the surrounding bone becomes denser, and more fully formed roots may grow near structures such as the inferior alveolar nerve or the maxillary sinus.

This chapter discusses the management of impacted teeth. This is not a thorough or in-depth discussion of the technical aspects of surgical impaction removal. Instead, the goal is to provide the information necessary for proper treatment planning and management and a basis for predicting the difficulty of surgery.

Indications for Removal of Impacted Teeth

The average age for completion of normal eruption of the third molar is 20 years, although eruption may continue in some patients until age 25 years. During normal development, the lower third molar begins in a horizontal angulation, and as the tooth develops and the jaw grows, the angulation changes from horizontal to mesioangular to vertical. Failure of rotation from the mesioangular to the vertical direction is the most common cause of lower third molars becoming impacted. The second major factor is that the mesiodistal dimension of teeth versus the length of the jaw is such that inadequate room exists in the alveolar process anterior to the anterior border of the mandibular ramus to allow the tooth to erupt into position.

As noted before, some third molars continue to erupt after age 20 years, particularly in males, coming into final position by age 25 years. Multiple factors are associated with continued eruption. When late eruption occurs, the unerupted tooth is usually covered with only soft tissue or slightly with bone. These teeth are almost always in a vertical position and are relatively superficially positioned with respect to the occlusal plane of the adjacent second molar, and the completion of root development is late.

Finally, and perhaps most importantly, sufficient space needs to exist between the anterior border of the ramus and the second molar to allow eruption. This causative factor of lower third molar impaction is shown most graphically by the finding that many of these teeth do erupt, although typically tipped mesially, if the adjacent second molar is lost while the third molar is developing. Likewise, if the lower third molar does not erupt after age 20 years, it is most likely covered with bone. In addition, the tooth is likely a mesioangular impaction and is located lower in the alveolar process near the cervical level of the adjacent second molar. Therefore the dentist can use these parameters to predict whether a tooth will erupt into the arch or remain impacted.

Early removal reduces postoperative morbidity and allows for the best healing. Younger patients tolerate the procedure better, recovering more quickly and with less interference to their daily lives. Periodontal healing is better in younger patients because of better and more complete regeneration of the periodontal tissues on the distal aspect of the second molar. Also, recovery is better in these patients if the nerve is injured. The procedure is more straightforward to perform in younger patients because bone is less dense and root formation is incomplete. The ideal time for removal of impacted third molars is when the roots of teeth are one-third formed and before they are two-thirds formed. This usually occurs during the mid-to-late teenage years, between the ages of 16 and 20.

If impacted teeth are left in the alveolar process, it is highly probable that one or more of several problems will result, as discussed below.

Prevention of Periodontal Disease

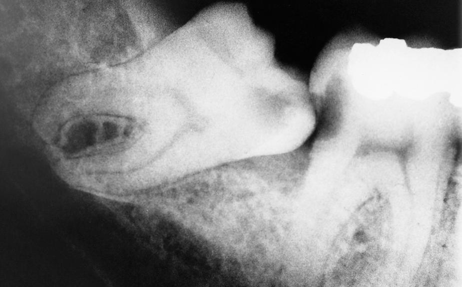
Erupted teeth adjacent to impacted teeth are predisposed to periodontal disease ( Figs. 10.1 and 10.2 ). The mere presence of an impacted mandibular third molar decreases the amount of bone on the distal aspect of an adjacent second molar. Because the most difficult tooth surface to keep clean is the distal aspect of the last tooth in the arch, patients commonly have gingival inflammation with apical migration of the gingival attachment on the distal aspect of the second molar. With even minor gingivitis, the causative bacteria gain access to a large portion of the root surface, which results in the early formation of periodontitis. Patients with impacted mandibular third molars often have deep periodontal pockets on the distal aspect of the second molars, even though they have normal sulcular depth in the remainder of the mouth.

Fig. 10.1, Radiograph of a mandibular third molar impacted against a second molar with bone loss resulting from the presence of a third molar.

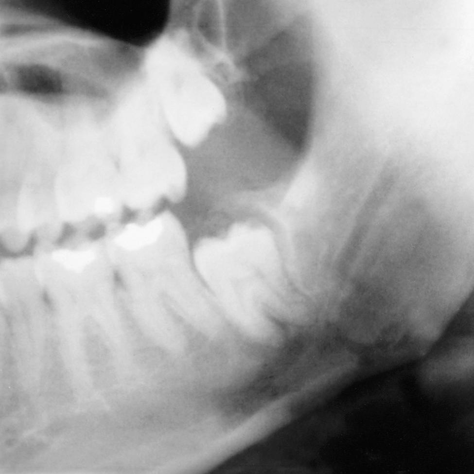
Fig. 10.2, Radiographs showing variations of a mandibular third molar impacted against a second molar with severe bone loss resulting from periodontal disease and a third molar.

The accelerated periodontal problems resulting from an impacted third molar are especially serious in the maxilla. As a periodontal pocket expands apically, it comes to involve the distal furcation of the maxillary second molar. This occurs relatively early, which makes advancement of the periodontal disease more rapid and severe. In addition, treatment of the localized periodontal disease around the maxillary second molar is more difficult because of the distal furcation involvement.

By removing the impacted third molars early, periodontal disease can be prevented, and the likelihood of bony healing and optimal bone fill into the area previously occupied by the crown of the third molar is increased.

Prevention of Dental Caries

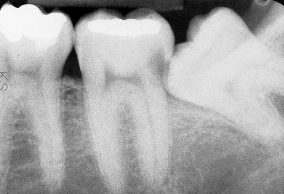
When a third molar is impacted or partially impacted, the bacteria and other factors that cause dental caries are commonly exposed to the distal aspect of the second molar as well as to the crown of the impacted third molar. Even in situations in which no obvious communication between the mouth and the impacted third molar is visible, there may be enough communication to allow for caries initiation ( Figs. 10.3 to 10.5 ).

Fig. 10.3, Radiograph of caries in a mandibular second molar resulting from the presence of an impacted third molar.

Fig. 10.4, Radiograph of caries in a mandibular impacted molar.

Fig. 10.5, Radiograph of caries in an impacted third molar and a second molar.

Prevention of Pericoronitis

When a tooth is partially impacted with a large amount of soft tissue over the axial and occlusal surfaces, the patient frequently has one or more episodes of pericoronitis. Pericoronitis is an infection of the soft tissue around the crown of a partially impacted tooth and is usually caused by normal oral flora. In most patients, bacteria and host defenses maintain a delicate balance, but even normal host defenses cannot eliminate the bacteria ( Fig. 10.6 ).

Fig. 10.6, Pericoronitis in the area of impacted tooth #32 exhibiting classic signs of inflammation with erythema and swelling. If opposing tooth #1 is erupted, it commonly impinges on this area of swelling when teeth are brought into occlusion, causing even more pain and swelling.

If host defenses are compromised (e.g., during minor illnesses such as influenza or an upper respiratory infection or because of immune-compromising drugs), infection can occur. Thus, although the impacted tooth has been present for some time without infection, if the patient experiences even a mild, transient decrease in host defenses, pericoronitis commonly results even if the patient does not have any immunologic problems.

Pericoronitis can also arise following repeated trauma from a maxillary third molar. The soft tissue that covers the occlusal surface of the partially erupted mandibular third molar (known as the operculum ) can be traumatized and become swollen. Often the maxillary third molar further traumatizes the already swollen operculum, which causes a further increase in swelling that is now traumatized more easily. This spiraling cycle of trauma and swelling is often interrupted only by removal of the maxillary third molar.

Another common cause of pericoronitis is entrapment of food under the operculum. During eating, food debris may become lodged into the pocket between the operculum and the impacted tooth. Because this pocket cannot be cleaned, bacteria colonize it, which results in pericoronitis.

Streptococci and a large variety of anaerobic bacteria (the usual bacteria that inhabit the gingival sulcus) are the usual cause of pericoronitis. Pericoronitis can be treated initially by mechanically debriding the large periodontal pocket that exists under the operculum by using hydrogen peroxide as an irrigating solution. Hydrogen peroxide not only mechanically removes bacteria with its foaming action, it also reduces the number of anaerobic bacteria by releasing oxygen into the usually anaerobic environment of the pocket. Other irrigants, such as chlorhexidine or iodophors, can also reduce the bacterial counts of the pocket. Even saline solutions, if delivered regularly with pressure via a syringe, can reduce bacterial numbers and flush away food debris.

Pericoronitis can present as a mild infection or as a severe infection that requires hospitalization of the patient. Just as the severity of the infection varies, the treatment and management of this problem vary from mild to aggressive.

In its mildest form, pericoronitis presents with localized tissue swelling and soreness. For patients with a mild infection, irrigation and curettage by the dentist and home irrigations by the patient usually suffice.

If the infection is slightly more severe with a large amount of local soft tissue swelling being traumatized by a maxillary third molar, the dentist should consider immediately extracting the maxillary third molar in addition to local irrigation.

For patients who have (in addition to local swelling and pain) mild facial swelling, mild trismus resulting from inflammation extending into the muscles of mastication, or a low-grade fever, the dentist should consider administering a systemic antibiotic along with irrigation delivered under pressure and extraction. The antibiotic of choice is penicillin or, in the case of penicillin allergy, clindamycin.

Pericoronitis can lead to serious fascial space infections. Because the infection begins in the posterior mouth, it can spread rapidly into the fascial spaces of the mandibular ramus and the lateral neck. If a patient has trismus (with an inability to open the mouth >20 mm), a temperature of greater than 101°F, facial swelling, pain, and malaise, the patient should be referred to an oral-maxillofacial surgeon, who is likely to admit the patient to the hospital for parenteral antibiotic administration, careful monitoring, and surgical extraction.

Patients who have had one episode of pericoronitis, although managed successfully by these methods, are highly likely to continue to have episodes of pericoronitis unless the offending mandibular third molar is removed. The patient should be informed that the tooth should be removed at the earliest possible time to prevent recurrent infections. However, the mandibular third molar should not be removed until the signs and symptoms of pericoronitis have completely resolved. The incidence of postoperative complications, specifically dry socket and postoperative infection, increases if the tooth is removed during the time of active soft tissue infection. More bleeding and slower healing also occur when a tooth is removed in the presence of pericoronitis.

Prevention of pericoronitis can be achieved by removing the impacted third molars before they penetrate the oral mucosa and are visible. Although excision of surrounding soft tissue, or operculectomy, has been advocated as a method for preventing pericoronitis without removal of the impacted tooth, it is painful and usually ineffective. The soft tissue excess tends to recur because it drapes over the impacted tooth and causes regrowth of the operculum. The gingival pocket on the distal aspect also remains deep after operculectomy. The overwhelming majority of cases of pericoronitis can be prevented only by extraction of the tooth.

Prevention of Root Resorption

Occasionally an impacted tooth causes sufficient pressure on the root of an adjacent tooth to cause external root resorption ( Fig. 10.7 ). Although the process by which root resorption occurs is not well understood, it appears to be similar to the resorption process primary teeth undergo during the eruptive process of the succedaneous teeth. Removal of the impacted tooth may result in salvage of the adjacent tooth by cemental repair. Endodontic therapy may be required to save these teeth.

Fig. 10.7, (A) Root resorption of a second molar as result of an impacted third molar. (B) Root resorption of maxillary lateral incisors as a result of an impacted canine.

Impacted Teeth Under a Dental Prosthesis

When a patient has an edentulous area restored, there are several reasons for removing impacted teeth in the area before the prosthetic appliance is constructed. After teeth are extracted, the alveolar process slowly undergoes resorption. This is particularly true with tissue-borne prostheses. Thus the impacted tooth becomes closer to the surface of the bone, giving the appearance of erupting. The denture may compress the soft tissue onto the impacted tooth, which is no longer covered with bone; the result is ulceration of the overlying soft tissue and the initiation of an odontogenic infection ( Fig. 10.8 ).

Fig. 10.8, Impacted canine retained under a denture. The tooth is now at the surface and is causing infection.

Impacted teeth should be removed before a prosthesis is constructed because if the impacted teeth must be removed after construction, the alveolar ridge may be so altered by the extraction that the prosthesis becomes less functional ( Fig. 10.9 ). In addition, if removal of impacted teeth in edentulous areas is achieved before the prosthesis is made, the patient is probably in good physical condition. If ulceration with infection occurs while waiting until the overlying bone has resorbed, it does not produce a favorable situation for extraction. If extraction is postponed, the patient will be older and more likely to be in poorer health.

Fig. 10.9, Impacted tooth under a fixed bridge. The tooth must be removed and therefore may jeopardize the bridge.

Furthermore, the mandible may have become atrophic, which increases the likelihood of fracture during tooth removal ( Fig. 10.10 ). Also, if implants are planned near the position of impacted teeth, removal is warranted to eliminate the risk of interference with the implantation procedure.

Fig. 10.10, Impaction in an atrophic mandible, which may result in jaw fracture during extraction.

Prevention of Odontogenic Cysts and Tumors

When impacted teeth are completely within the alveolar process, the associated follicular sac is also frequently retained. Although the dental follicle maintains its original size in most patients, it may undergo cystic degeneration and become a dentigerous cyst. If the patient is closely monitored, the dentist can diagnose the cyst before it reaches large proportions ( Fig. 10.11 ). However, unmonitored cysts can reach enormous sizes ( Fig. 10.12 ). As a general guideline, if the follicular space around the crown of the tooth is greater than 3 mm, the preoperative diagnosis of a dentigerous cyst is reasonable.

Fig. 10.11, Small dentigerous cyst arising around an impacted tooth.

Fig. 10.12, Large dentigerous cyst that extends from the coronoid process to the mental foramen. The cyst has displaced the impacted third molar to the inferior border of the mandible.

In the same way that odontogenic cysts can occur around impacted teeth, odontogenic tumors can arise from the epithelium contained within the dental follicle. The most common odontogenic tumor to occur in this region is the ameloblastoma. Usually, ameloblastomas in this area must be treated aggressively by excision of the overlying soft tissue and of at least a portion of the mandible. Occasionally, other odontogenic tumors may occur in conjunction with impacted teeth ( Fig. 10.13 ).

Fig. 10.13, Ameloblastoma associated with the crown of an impacted third molar.

Although the overall incidence of odontogenic cysts and tumors around impacted teeth is not high, the overwhelming majority of pathologic conditions of the mandibular third molar are associated with unerupted teeth.

Treatment of Pain of Unexplained Origin

Occasionally, patients come to the dentist complaining of pain in the retromolar region of the mandible, but the reason for the pain may not be obvious. If conditions such as myofascial pain dysfunction syndrome and other facial pain disorders are excluded, and if the patient has an unerupted tooth, removal of the tooth sometimes results in resolution of the pain. In addition, delaying third molar removal to a later age may increase the chances of temporomandibular disorders.

Prevention of Jaw Fractures

An impacted third molar in the mandible occupies space that is usually filled with bone. This weakens the mandible and renders the jaw more susceptible to fracture at the site of the impacted tooth ( Fig. 10.14 ). If the jaw fractures through the area of an impacted third molar, the impacted third molar is frequently removed before the fracture is reduced, and fixation is applied (see Chapter 24 ).

Fig. 10.14, Fracture of a mandible, which occurred through the location of an impacted third molar.

Facilitation of Orthodontic Treatment

When patients require retraction of first and second molars by orthodontic techniques, the presence of impacted third molars may interfere with the treatment. Therefore it is recommended that impacted third molars be removed before orthodontic therapy is begun.

Some orthodontic approaches to a malocclusion might benefit from the placement of retromolar implants to provide distal anchorage. When this is planned, removal of impacted lower third molars is necessary.

Optimal Periodontal Healing

As noted before, one of the most important indications for removal of impacted third molars is to preserve the periodontal health of the adjacent second molar. A great deal of attention has been given to the two primary parameters of periodontal health after third molar surgery: (1) bone height and (2) periodontal attachment level on the distal aspect of the second molar.

Recent studies have provided information on which to base the likelihood of optimal periodontal tissue healing. Two most important factors that have been shown are (1) the extent of the preoperative infrabony defect on the distal aspect of the second molar and (2) the patient's age at the time of surgery. If a large amount of distal bone is missing because of the presence of the impacted tooth and its associated follicle, it is less likely that the infrabony pocket can be decreased. Likewise, if the patient is older, the likelihood of optimal bony healing is decreased. Patients whose third molars are removed before age 25 years are more likely to have better bone healing than those whose impacted teeth are removed after age 25 years. In the younger patient, not only is the initial periodontal healing better, but also the long-term continued regeneration of the periodontium is clearly better.

As mentioned previously, unerupted teeth may continue to erupt until age 25 years. Because the terminal portion of the eruption process occurs slowly, the chance of developing pericoronitis increases and so does the amount of contact between the third molar and the second molar. Both of these factors decrease the possibility for optimal periodontal healing. However, it should be noted that the asymptomatic completely bony impacted third molar in a patient older than age 30 years should probably be left in place unless some specific pathologic condition develops. Removal of such asymptomatic completely impacted third molars in older patients clearly results in pocket depths and alveolar bone loss, which are greater than if the tooth were left in place.

You're Reading a Preview

Become a Clinical Tree membership for Full access and enjoy Unlimited articles

Become membership

If you are a member. Log in here