Prevention of Distal Radius Fractures


Key Points

  • Distal radius fractures (DRFs) are common in patients’ aged 50 and older, typically resulting from a low energy mechanism such as a fall from standing height.

  • DRFs in this population offer an opportunity to identify patients with a high likelihood of osteoporosis or osteopenia and represent a potential to intervene and prevent future fragility fractures.

  • Recognition of at risk adults using tools such as Fracture Risk Assessment Tool provides an opportunity to treat low bone density and implement fall prevention strategies, which may significantly decrease the incidence of subsequent fragility fractures in this population.

  • Interventions for fall prevention are effective at decreasing falls on a population and individual level.

Panel 1: Case Scenario

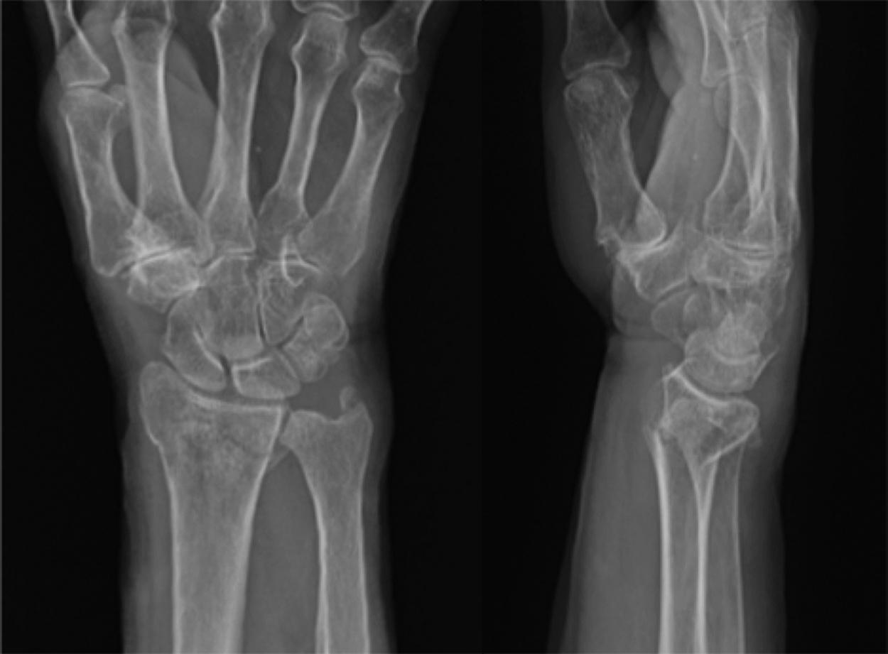
A 61-year-old male fell while walking his dog, sustaining a left, displaced DRF ( Fig. 1 A ). This was successfully treated with closed reduction ( Fig. 1 B), cast immobilization, and physiotherapy ( Fig. 1 C). Two years later, he slips on ice, fracturing his right distal radius ( Fig. 2 ). What interventions could have been employed following his first fracture to decrease the risk of his second, contralateral fracture?

Fig. 1, Right distal radius fracture sustained following a ground level fall. Initial radiographs (A) showing a displaced fracture, which was managed nonsurgically (B and C).

Fig. 2, Subsequent left distal radius fracture sustained from another ground level fall.

Importance of the Problem

Distal radius fractures (DRFs) are the second most common overall fracture type in elderly patients, typically occurring from low energy injuries such as a fall from standing height. A low energy DRF in patients 50 years and older is an indication of potential low bone density and suggests a significant risk for a future osteoporotic fracture. DRFs tend to occur earlier than other fragility fractures and typically in patients that are otherwise fairly healthy and mobile. This makes a DRF an important sentinel event, offering an opportunity to optimize bone health and prevent future fractures. That is why patients over the age of 50 years, presenting with a DRF should be screened for osteoporosis and fall risk to prevent secondary fragility fractures such as hip fractures, which carry a higher morbidity and mortality rate as well as societal cost. Unfortunately, despite significant evidence suggesting the importance of this, screening for osteoporosis remains suboptimal and the rate of secondary fractures is significant. Recent literature has suggested that secondary fracture prevention strategies are most often implemented when a bone mineral density (BMD) scan is ordered by the treating orthopedic surgeon or when a patient is directly referred to a fracture liaison service (FLS).

Although secondary prevention of future fractures is important, primary prevention of the initial DRF must not be overlooked. Fragility fractures result in significant patient morbidity and societal costs. Programs targeted at identifying at risk individuals and initiating screening for osteoporosis as well as falls education before a fracture occurs can be successful in significantly reducing DRF rates. One useful method for identifying at-risk individuals is the Fracture Risk Assessment Tool (FRAX). The FRAX score predicts an individual's 10-year fragility fracture risk based on the following factors: age, sex, body mass index (weight to height ratio calculation), previous fracture, parental hip fracture, history of rheumatoid arthritis, glucocorticoid use, secondary conditions that contribute to bone loss, current smoking, osteoporosis, intake of more than three alcoholic drinks per day, and femoral neck bone mineral density. As our population continues to age, low energy DRFs will continue to increase, placing strain on our healthcare resources. Preventative programs may help ease this burden, and more importantly reduce associated patient morbidity.

Main Question

What strategies can be employed to prevent or decrease the risk of low energy DRFs from both a bone health and fall prevention perspective?

Current Opinion

The majority of treating orthopedic surgeons view DRFs as an indication of low bone density and a risk factor for future fragility fractures. The responsibility of bone density investigation, ongoing treatment of osteoporosis, and referral to falls prevention programs is currently debated, with some suggesting this should be initiated by the treating orthopedic surgeon while others advocate for an alerting system or fracture liaison service. Furthermore, effective prevention of the initial DRF requires identification of at risk adults (from both a bone health and fall prevention perspective) and initiation of prevention strategies at the primary care level.

Finding the Evidence

A Cochrane database search was carried out using the search terms “fall prevention” and “injury prevention.”

Provided below is our Pubmed (Medline) search strategy employed to identify relevant literature used to construct this chapter:

  • For Osteoporosis :

    • (“distal radius fracture” OR radial fracture [MeSH]) AND (“prevention”) AND (“osteoporosis” OR “low bone density”)

  • For Falls Prevention :

    • (“fall prevention”) AND (“radial fracture" [MeSH] OR “distal radius fracture” or colles fracture [MeSH] or “fragility fracture”)

Bibliographies of eligible articles identified in our search were reviewed for additional relevant studies. Articles that were not in English were excluded.

Quality of the Evidence

No randomized controlled trials or metaanalyses were found that specifically addressed our main question, however there were high quality systematic reviews and one randomized controlled trial that related to aspects of our main question. Four Cochrane reviews were identified that contained information addressing a component of our main question. We identified 22 studies with relevant information relating to DRF prevention through osteoporosis management and fall prevention education. The strength of this evidence is as follows:

  • Level I:

    • Cochrane Reviews: 4

    • Systematic Reviews of RCTs: 4

    • Randomized Controlled Trial: 1

  • Level II:

    • Cohort Studies: 4

  • Level III:

    • Retrospective comparative studies: 9

You're Reading a Preview

Become a Clinical Tree membership for Full access and enjoy Unlimited articles

Become membership

If you are a member. Log in here