Predictors of Instability and Secondary Displacement After Conservatively Managed Distal Radius Fractures


Key Points

  • Up to two-thirds of distal radius fractures re-displace after initial reduction or from a minimally displaced position at presentation.

  • Increasing age and the presence of comminution, particularly dorsal, are the most commonly significant predictors of secondary displacement.

  • Other factors proposed to increase displacement risk are female gender, as well as dorsal tilt > 5 degrees, ulnar variance > 0 mm, loss of radial inclination, and increasing radial shortening on initial trauma radiographs, as well as the absence of volar cortical continuity (the “volar hook”) on postreduction radiographs.

Panel 1: Case Scenarios

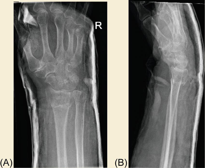
A 65-year-old woman falls on an outstretched hand whilst gardening, sustaining a right distal radius fracture. She is right hand-dominant and works as a shop assistant. Fig. 1 A and B demonstrate her presentation radiographs. Fig. 2 A and B are her satisfactory postreduction radiographs following manipulation under regional anesthesia.

  • 1.

    Which aspects of this case are concerning regarding the risk of secondary displacement?

  • 2.

    How would this influence decision-making in terms of when to follow her up in clinic?

    The same patient is seen in the out-patient department 8 days postreduction. Fig. 3 A and B show her repeat radiographs.

    Fig. 3, Radiographs at 8 days postreduction.

  • 3.

    What are the available management options for this patient and how would a definitive decision be made?

Fig. 1, Radiographs showing a severely displaced distal radius fracture.

Fig. 2, Immediate postreduction radiographs.

Importance of the Problem

This chapter examines factors that result in an unstable fracture that subsequently displaces. The literature suggests that anything from 10% to 62% of distal radius fractures (DRFs) become displaced, either after being initially minimally displaced or after early displacement followed by an initial satisfactory reduction. Exact management strategies vary between institutions, but in many centers conservative management with casting forms the mainstay of treatment for undisplaced and minimally displaced fractures. Fractures that are initially displaced can undergo closed reduction and casting. Patients require clinic follow-up to monitor for subsequent fracture displacement, and this most frequently occurs within the first 2 weeks of injury. If loss of position does occur, there needs to be a decision as to whether the new position is felt to be acceptable, considering important patient-related factors including comorbidities and preinjury activity levels. If unacceptable, treatment options can then include re-manipulation and casting, percutaneous fixation with Kirschner wires, plate fixation or external fixation. As the time from initial injury increases, achieving a satisfactory reduction can be more technically challenging and time consuming, especially with closed techniques and poorer bone quality. The ability to predict subsequent fracture displacement would avoid this and allow patients to begin rehabilitation as soon as is possible.

Main Question

Which injury characteristics predict fracture instability and secondary displacement in a distal radius fracture that is being managed conservatively?

Current Opinion

Historically, Lafontaine's criteria of dorsal tilt (referred to as angulation in the original paper) of more than 20 degrees, dorsal comminution, intraarticular radiocarpal fracture, associated ulnar fracture and age of over 60 years have been the most widely accepted predictors of secondary displacement. It is acknowledged that displacement results in inferior outcomes in young active patients, although some studies have demonstrated that this may not be the case in older lower demand patients. There is evidence to suggest that radiological parameters correlate poorly with functional and patient-reported outcomes. As with any orthopedic procedure, the risks of the proposed intervention must be considered against the perceived benefits. Decision making as to whether operative or nonoperative management is selected in the presence of a displaced fracture is highly dependent on patient factors, such as functional demand and medical comorbidities.

You're Reading a Preview

Become a Clinical Tree membership for Full access and enjoy Unlimited articles

Become membership

If you are a member. Log in here