Predictive and Prognostic Marker Testing in Breast Pathology: Immunophenotypic Subclasses of Disease


Introduction

This chapter is divided into three main sections. The first two include discussion of well-known prognostic/predictive markers—namely, steroid hormone receptors (estrogen and progesterone) and one of the most well-studied oncogenes in breast cancer, human epidermal growth factor receptor 2 or HER2 (ERBB2). These sections are followed by a brief discussion of other relevant single-gene and gene products that are being increasingly assessed in breast cancer. The discussion is mainly focused on analysis of these single-gene/gene products within breast cancer tissue specimens. Other recently described multigene predictors are discussed elsewhere in this book.

Hormone Receptors in Breast Carcinoma

Estrogen receptor alpha (ERα) and progesterone receptor (PgR) are prognostic and predictive biomarkers which play a major role in determining the therapy of patients with invasive breast cancer (IBC). In this setting, the term prognostic refers to factors associated with the innate aggressiveness of untreated IBCs and, if adverse enough, usually result in the use of additional (i.e., adjuvant) therapies following surgery. Predictive refers to factors associated with the responsiveness of IBCs to specific types of adjuvant therapies. Many biomarkers have both prognostic and predictive significance to varying degrees. ERα and PgR are weak to moderate prognostic factors but very strong predictive factors of response to endocrine therapies. It is currently mandatory to evaluate ERα and PgR in all IBCs for the purpose of predicting therapeutic response. In current practice, immunohistochemistry (IHC) on formalin-fixed paraffin-embedded tissue (FFPET) samples is the primary method used to evaluate ERα and PgR.

The American Society of Clinical Oncology (ASCO) and College of American Pathologists (CAP) jointly published guidelines for ERα and PgR testing in breast cancer recommending that specific IHC assays be rigorously standardized and validated to be utilized in routine clinical practice ( Table 9.1 ). Adherence to these guidelines is now mandatory for laboratory accreditation by CAP, which also provides many educational and support materials to facilitate compliance.

Table 9.1
General Elements of Standardization and Validation of Prognostic and Predictive Tests of Biomarkers for Routine Clinical Use.
Technical standardization and validation—The test is:
  • highly specific for the analyte;

  • highly sensitive for the analyte;

  • reproducible as confirmed by comprehensive ongoing quality assurance and comprehensive ongoing proficiency testing (true expertise); and

  • scored in a comprehensive and uniform manner.

Clinical validation—The test:
  • identifies patients with significantly different risks of relapse, survival, and/or response to therapy;

  • calibrates positive versus negative results (interpretation) to values corresponding to optimal clinical outcomes;

  • demonstrates and confirms clinical utility in multiple comprehensive and well-designed studies (ideally, randomized clinical trials); and

  • is used in clinical practice to determine therapy.

Estrogen Receptor Alpha

ERα is as a nuclear transcription factor activated by the hormone estrogen to regulate the development, growth, and differentiation of normal breast tissue. These pathways remain active to varying degrees in IBCs, including estrogen-stimulated growth of tumor epithelial cells expressing ERα, which can be detrimental to patients. ERα expression has been evaluated in IBCs for almost 45 years. During the first 25 years it was primarily measured by biochemical ligand-binding assays (LBAs) on whole-tissue extracts prepared from fresh-frozen tumor samples, which was costly and difficult. Many studies using LBAs in large randomized clinical trials demonstrated that ERα was a weak prognostic factor but a very strong predictive factor for response to endocrine therapies such as tamoxifen. Tamoxifen binds ERα and inhibits the estrogen-stimulated growth of tumor cells, which significantly reduces cancer recurrences and prolongs survival in patients with ERα-positive (ERα+) IBCs of all stages. Tamoxifen has also been shown to reduce subsequent breast cancer in patients with ERα+ ductal carcinoma in situ (DCIS), and in patients who are cancer free but at high risk for developing breast cancer. The clinical response to newer types of endocrine therapies, such as the aromatase inhibitors, which suppress the production of estrogen, is also dependent on the status of ERα, and only positive tumors benefit.

Although the clinical utility of assessing ERα was initially based almost entirely on studies using standardized LBAs, beginning in the early 1990s laboratories around the world abandoned LBAs in favor of IHC, which is used for nearly all testing today. There are advantages to using IHC over LBAs, especially its ability to measure ERα on routine FFPET samples, eliminating the need for fresh-frozen samples and the burdensome infrastructure required to provide it. Other advantages include lower cost, higher safety, and superior sensitivity and specificity (providing it is done correctly). This is because assessment of ERα expression is restricted to tumor cells under direct microscopic visualization, independent of the numbers of tumor cells present or the presence of receptor-positive benign epithelium, which are problematic for LBAs. Several head-to-head comparisons have demonstrated that assessing ERα by IHC can be equivalent or better than LBAs in predicting response to endocrine therapy, which is comforting since IHC replaced LBA before such proof was available.

IHC was approved more than two decades ago by CAP and ASCO for routine clinical testing of ERα and PgR. Despite these approvals, there were significant problems in the beginning with the technical and clinical validation of IHC, resulting in inaccurate interpretations (i.e., positive vs. negative) in up to 20% of cases. Most of the errors were false negatives, which was potentially catastrophic because the patients involved would not have received endocrine therapy which would have greatly improved their outcome.

There are many causes and no easy solutions to the problem of inaccurate testing, although there are useful guidelines and recommendations intended to help avoid mistakes, including, in particular, those published by ASCO and CAP. Surprisingly, there are relatively few IHC assays for ERα or PgR which entirely satisfy all these guidelines and recommendations, although a handful come close ( Table 9.2 ). The strategy published by Harvey and colleagues was among the first to be well validated ( Fig. 9.1 ). It was based on a specific and sensitive primary antibody to ERα (mouse monoclonal 6F11), a quantitative method of scoring results (the so-called Allred score), and a definition of positive calibrated to clinical outcome in several large studies, including randomized clinical trials. The latter involved patients with all stages of breast cancer treated with tamoxifen or aromatase inhibitors in adjuvant, neoadjuvant, and advanced disease settings. It is extremely difficult to standardize and validate IHC assays for ERα and PgR in a comprehensive manner, but any laboratory can utilize assays that have already been validated. For reporting ERα and PgR semiquantitative IHC results, one can choose to be descriptive (i.e., weak, moderate, or strong reactivity in percentage of tumor cells) or use one of the defined scoring methods, such as the Allred score or histochemical score (or H-score). The H-score requires an observer to assign a percentage of tumor cells to a particular intensity level: 0 = no staining; 1+ = weak staining; 2+ = moderate staining; and 3+ = strong staining. Thereafter, the percentage of cells are multiplied by their intensity levels and added together to provide a score from 0 (no staining) to 300 (diffuse strong staining). This method provides a wider dynamic range, and just like the Allred score, it appears to have good interobserver concordance among pathologists.

Table 9.2
Examples of Standardized Immunohistochemical Assays for Evaluating Estrogen Receptor Alpha and Progesterone Receptor in Breast Cancers that Have Been Validated in a Comprehensive Manner.
Reference Primary antibody Definition of “positive”
Estrogen receptor
Harvey 6F11 Allred score ≥3
(1%–10% weakly positive cells)
Cheang SP1 ≥1%
Regan
Viale
Viale
1D5 1%–9% (low) and ≥10% (high)
Phillips ER.2.123 + 1D5 (cocktail) Allred score ≥3
Dowsett 6F11 H-score >1 (equivalent to ≥1%)
Progesterone receptor
Mohsin 1294 Allred score ≥3
Regan
Viale
Viale
1A6 1%–9% (low) and ≥10% (high)
Phillips 1294 Allred score ≥3

Fig. 9.1, Overview of guideline recommendations for immunohistochemical testing of estrogen and progesterone receptors in breast cancer by the American Society of Clinical Oncology and College of American Pathologists.

Studies evaluating ERα by IHC in breast cancer collectively demonstrate that about 75% express ERα, that it is almost entirely nuclear in location, and that there is tremendous variation of expression on a continuum ranging from 0% to nearly 100% positive cells ( Fig. 9.2 ). More importantly, they show a direct correlation between the likelihood of clinical response to endocrine therapies and the level of ERα expression (see Fig. 9.1 ). Surprisingly, the gradient is skewed such that tumors expressing even very low levels show a significant benefit far above that of entirely ERα-negative (ERα–) tumors, which are essentially unresponsive. This evidence provides support for laboratories adopting ≥1% positive-staining tumor cells as the definition of “ERα+,” which has now been validated in several other comprehensive studies and is endorsed by the ASCO/CAP guidelines.

Fig. 9.2, Diagram illustrating the Allred scoring method for quantifying immunohistochemistry results for estrogen receptors and progesterone receptors in breast cancers. The score is assigned based on evaluating all tumor cells on the slide. The illustrations demonstrate the broad range of Allred scores observed in breast cancers.

Some studies have reported an essentially bimodal (either entirely negative or strongly positive) distribution of ERα assessed by IHC in IBCs, leading some to erroneously conclude that reporting results as simply positive or negative are sufficient. There does appear to be a recent shift toward an increasing incidence of ER-positive (ER+) IBCs, which may be partially due to earlier detection before additional genetic alterations are acquired, resulting in loss of expression. However, many IHC assays today appear to be too sensitive, possibly obscuring some underlying continuum of expression reported in the past. Nevertheless, even with the current antibodies (rabbit monoclonal antibody clone SP1 for ER and 1E2 for PgR) and detection methods, along with the ASCO/CAP cutoff of 1% positive cells, approximately 80% of breast cancers in predominantly Caucasian populations are positive. Data published by UPMC Magee-Womens Hospital for a 10-year period (2008–2017) showed high fidelity of ER/PgR expression. The total ER+ rate was 83.6% (81.4%–86.8%), ER+/PgR+ was 71.7% (68.6%–75.5%), ER+/PgR– was 17.6% (11.0%–15.0%), ER–/PgR– was 16.0% (13.5%–18.2%), and ER−/PgR+ was 0.6% (0.2%–1.0%). Although, most ER+ tumors are diffusely and strongly positive with current methodology, approximately 15% to 20% show weak to moderate expression. Of the ER+ tumors, at least 80% are also PgR+. The typical PgR expression in breast cancer is moderate and patchy. Most ER+/PgR+ tumors shows higher expression for ER and only 10% to 20% show higher expression for PgR. Clinical trials have demonstrated that postmenopausal patients with node-positive IBCs expressing high levels of ERα may forego the rigors of adjuvant chemotherapy, and experience equivalent benefit with endocrine therapy alone. The semiquantitative IHC results for ER and PgR along with tumor HER2 status and proliferation rate can provide information similar to multigene prognostic assays. Therefore, semiquantification of ER and PgR IHC results is clinically useful.

The ASCO/CAP guidelines for IHC testing of ERα and PgR in breast cancer were partly developed to help remedy an alarmingly high rate of inaccurate results, which was costing patient lives. They were conceptually modeled after the previously published guidelines for HER2 testing by ASCO/CAP, which have already shown an impact on improving quality. Hopefully, the new guidelines for ERα and PgR testing will also be helpful. Fig. 9.3 outlines the essential elements of the guidelines, which include a recommendation to repeat and confirm negative results in unexpected situations ( Fig. 9.4 ). For example, an apparently negative IBC in a sample where all the normal epithelial cells are also negative should be repeated and confirmed because a significant proportion of normal cells are usually positive in most (>90%) samples. Similarly, apparently negative lobular, tubular, and mucinous IBCs should be repeated and confirmed because these special subtypes are also usually (>90%) positive—although this is not necessary if internal controls are positive. Table 9.3 provides a summary of average ERα expression in a variety of benign and malignant categories of breast tissue, which can be helpful in identifying potential problems if there is a significant departure from expected results. The recommendation to repeat suspicious negative results may help improve accuracy more than any other in the ASCO/CAP guidelines, although the new requirement for comprehensive ongoing quality assurance and proficiency testing for laboratory accreditation by CAP should also make an important beneficial contribution. The 2020 ASCO/CAP hormone receptor guideline update reiterated that tumors with 1% to 10% positive cells should be interpreted as ER+, but made two specific recommendations. One is about the new reporting category of “low positive” for ER if the percentage of positive cells is 1% to 10%, as there are limited data on endocrine therapy benefit in such patients. The other recommendation concerns reporting of internal controls on cases with 0% to 10% positive cells. The latter recommendation is an important consideration for optimal performance for any IHC-based assay. Occasionally, an internal control is not present (especially in a core biopsy sample), and in such cases, the pathologist should critically evaluate tumor morphology. If the tumor demonstrates high-grade morphology or shows apocrine/histiocytoid/signet ring cell morphology, it may be a true result. However, if the result is unexpected (grade I or II; no special type of tumor; a tubular, cribriform, mucinous, lobular morphology with negative ER result), the pathologist should either repeat the testing on the same specimen (possibly another tumor block) or suggest repeating the testing on the resection specimen. It is important to communicate the unexpected ER-negative (ER–) result to the oncologist/surgeon as ER– status reported on a core biopsy sample could trigger consideration for neoadjuvant chemotherapy.

Fig. 9.3, Summary of estrogen receptor (ER) results from a study by Harvey and colleagues. There is a near linear correlation between immunohistochemistry (IHC) and ligand-binding assay (LBA) ER results, a broad distribution of IHC (Allred) scores, a skewed but direct correlation between Allred scores and improved disease-free survival in patients treated with adjuvant hormonal therapy (primarily tamoxifen), and significantly stronger prediction of response to hormonal therapy associated with ER by IHC versus LBA. ( A ) Allred score 0. ( B ) Allred score 3. ( C ) Allred score 4. ( D ) Allred score 5. ( E ) Allred score 6. ( F ) Allred score 8.

Fig. 9.4, Representative examples of unusual and unanticipated results of estrogen receptor alpha (ERα) expression determined by immunohistochemistry in invasive breast cancers. ( A1-2 ) Invasive tubular carcinoma which is ERα negative but accurate and does not need to be confirmed because the normal internal control cells are ERα positive. ( B1-2 ) Invasive lobular carcinoma which is apparently ERα negative but needs to be confirmed because normal internal control cells are also ERα negative. ( C1-2 ) Invasive lobular carcinoma which is ERα negative and does not need to be confirmed because the normal internal control cells are ERα positive.

Table 9.3
Approximate Average Percent Expression of Estrogen Receptor-Alpha (ERα) in Common Types of Normal, Benign, and Malignant Categories of Breast Tissue.
TDLU CCH ADH/ALH DCIS LCIS IDC ILC ITC IMUC IMED Lum A/Lum B HER2+ Basal
ERα+ >90 >90 >90 75 >90 75 >90 >90 >90 <10 >90 <5 <5
ERα+ cells 30 90 90 V 90 V 90 90 90 V NA NA NA
ADH, Atypical ductal hyperplasia; ALH, atypical lobular hyperplasia; basal, basal molecular subtype; CCH, columnar cell hyperplasia; DCIS, ductal carcinoma in situ; ERα+, average % category expressing any ERα; ERα+ cells, average % cells within category expressing ERα; IDC, invasive ductal carcinoma; ILC, invasive lobular carcinoma; IMED, invasive medullary carcinoma; IMUC, invasive mucinous carcinoma; LCIS, lobular carcinoma in situ; LUM A, luminal A molecular subtype; LUM B, luminal B molecular subtype; NA, not available; TDLU, normal terminal duct lobular unit; V, variable (ranging from 1% to 100%).

Several strategies based on technologies other than IHC have been developed to assess multiple prognostic and predictive biomarkers simultaneously (see details in Chapter10). For example, one strategy evaluates RNA expression of 21 genes that are important in breast cancer (including ER and PgR) by quantitative reverse transcription polymerase chain reaction (qRT-PCR) on FFPET samples, and it appears to be predictive of clinical outcome in several settings. Another strategy uses microarray technology to determine an RNA expression profile of estrogen-induced genes in IBCs, which also appears to be predictive of response to endocrine therapy. Yet another is the expression ratio of the HOXB13 and IL17BR genes determined by qRT-PCR, which also appears to be predictive of endocrine response. Other examples have also been published. We have compared IHC semiquantitative H-scores for ER and PgR with quantitative Oncotype DX® ER and PgR results and found over 90% concordance and linear correlation between the two tests, with IHC slightly more sensitive than qRT-PCR. In addition, IHC is quick, inexpensive, easy to read, and convenient, and preserves morphology (helps in distinguishing tumor cells from normal ducts). It appears that in routine clinical practice, there is no advantage of replacing assay based on IHC (a morphological method) with assay based on qRT-PCR (a nonmorphological method) for ER and PgR.

Multifactorial molecular approaches offer strategies different from IHC for determining prognostic and predictive factors in IBCs, including responsiveness to endocrine therapy. This should not be too surprising in the sense that clinical outcomes in any setting are biologically very complex, and measuring one or two gene products by IHC may not account for this complexity, regardless of how accurately they are measured. However, it is also likely that IHC will remain the primary method of assessing ER and PgR in IBCs for some time, so doing it properly is very important. There are new immunofluorescence strategies that can simultaneously measure multiple proteins in a highly quantitative manner, which may revitalize the usefulness of IHC-like methods. However, at the current time, bright-field methods (i.e., IHC evaluated under light microscopy) are preferred over fluorescence dark-field microscopy, as in the latter, it is difficult to distinguish between invasive, in situ disease and normal breast ducts. Overall, the in situ assessment of prognostic biomarkers has advantages over assays evaluating homogenates of tumor tissue.

Progesterone Receptor

PgR is also routinely assessed by IHC in IBCs. ERα regulates the expression of PgR, so the presence of PgR usually indicates that the estrogen–ERα pathway is functionally intact. PgR is activated by the hormone progesterone to help regulate several normal cellular functions, including proliferation which, like estrogen and ERα, is detrimental to patients with breast cancer. Most of the discussion regarding the historical assessment of ERα in IBCs also applies to PgR. It was measured by standardized LBAs for nearly two decades and shown to be a weak prognostic factor but a relatively strong predictive factor for response to endocrine therapy. LBAs for PgR were replaced by IHC beginning in the mid-1990s, and IHC was eventually approved by CAP and ASCO for routine clinical use, despite persistent shortcomings.

Compared to ERα, there are fewer studies in the medical literature standardizing and validating IHC assays for PgR. Those available show that PgR is expressed in the nuclei of 60% to 70% of IBCs, that expression varies on a continuum ranging from 0% to nearly 100% positive cells, that there is a direct correlation between PgR levels and response to hormonal therapies, and that tumors with even very low levels of PgR-positive (PgR+) cells (≥1%) have a significant chance of responding. Thus, the ASCO/CAP guidelines also recommend a cut point of ≥1% IHC-positive (IHC+) cells to define PgR+. PgR expression is also associated with reduced local recurrence in patients with DCIS treated with lumpectomy and radiation followed by endocrine therapy.

The expression of PgR is highly correlated with ERα, but the correlation is not perfect. This has resulted in four possible phenotypes of combined expression, each with significantly different rates of response to hormonal therapy, which would not be apparent measuring one or the other factor alone ( Table 9.4 ). For example, in a comparison of patients with IBC treated with adjuvant tamoxifen, the relative risk of disease recurrence was 28% higher in patients with ERα+/PgR-negative (PgR–) tumors than with ERα+/PgR+ tumors. Moreover, PgR status and a semiquantitative PgR H-score are important in determining response to chemotherapy when used within multivariable models such as Magee Equations. Distinguishing these significantly different outcomes is the primary reason both ERα and PgR are measured in routine clinical practice.

Table 9.4
Frequency and RR of Disease Recurrence in Breast Cancer Patients Receiving Adjuvant Hormonal Therapy Stratified by ERα and PgR Status.
From Bardou V-J, Arpino G, Elledge RM, Osborne CK, Clark GM. Progesterone receptor status significantly improves outcome prediction over estrogen receptor status alone for adjuvant endocrine therapy in two large breast cancer databases. J Clin Oncol . 2003 May 15;21(10):1973–1979. doi:10.1200/JCO.2003.09.099
ERα/PgR status Frequency (% cases) RR a of recurrence
Positive/Positive 50% 0.47
Positive/Negative 25% 0.75
Negative/Positive 3% 1.08
Negative/Negative 22% 1.0
ERα , Estrogen receptor alpha; PgR , progesterone receptor; RR , relative risk.

a Comparisons made to ER–/PgR– patients with RR defined as 1.0. Overall p-value <.0001.

It appears that ERα may also reside on the outer cell membrane in a subset of IBCs. A majority of these tumors are negative for PgR but positive for HER2 and nuclear ERα, and the latter is thought to be nonfunctional in many of these tumors, consistent with their PgR– status. However, membrane ERα appears to be functional and promotes tumor cell proliferation in cooperation with overexpressed HER2. To further complicate matters, there is also evidence that tamoxifen has a stimulatory or agonist effect on membrane ERα, leading to the speculation that aromatase inhibitors may remain effective in this setting because they inhibit the upstream production of estrogen, which is the ligand for both nuclear and membrane ERα. If these preliminary studies are confirmed, the quantitative assessment of PgR may take on added importance, especially in the ERα/erbB2+ subset of IBCs.

Assessment of ERα and PgR is mandatory in the routine care of all patients with IBC. Both are targets and/or indicators of response to highly effective endocrine therapies in many clinical settings, so accurate assessment is essential. The ASCO/CAP guidelines for evaluating ERα and PgR by IHC make several recommendations to help improve accuracy. It is the responsibility of every pathologist and laboratory performing these tests to ensure accurate test results, and compliance with the guideline will go a long way toward achieving this.

HER2 (ERBB2) Oncogene in Breast Cancer

The ERBB2 (HER2) gene was originally called neu , as it was first derived from rat neuro/glioblastoma cell lines. Coussens et al. named it HER2 because its primary sequence was very similar to human epidermal growth factor receptor (EGFR or ERBB or ERBB1). Semba etal. independently identified an ERBB-related but distinct gene which they named as ERBB2 . DiFiore et al. indicated that both NEU and HER2 were the same as ERBB2. Akiyama et al. precipitated the ERBB2 gene product from adenocarcinoma cells and demonstrated it to be a 185-kD glycoprotein with tyrosine kinase activity. In 1987, three years after its discovery, clinical significance of HER2 gene amplification was shown in breast cancer. We now know that approximately 10% to 20% of breast cancers demonstrate HER2 gene amplification and/or protein overexpression. In the absence of adjuvant systemic therapy, HER2-positive (HER2+) breast cancer patients have a worse prognosis (i.e., higher rate of recurrence and mortality), clearly demonstrating its prognostic significance. An even more important aspect of determining HER2 status is its role as a predictive factor. HER2 positivity is predictive of response to anthracycline- and taxane-based therapy, while the benefits derived from nonanthracyclines and nontaxane therapy may be inferior. It is also important to note that HER2+ tumors generally show relative resistance to all endocrine therapies; however, this effect may be more toward selective endocrine receptor modulators like tamoxifen and less likely toward estrogen depletion therapies like aromatase inhibitors. Most importantly, the availability of HER2 targeted therapy brought this biomarker to the forefront of theranostic testing for breast cancer. Trastuzumab is a humanized monoclonal antibody to HER2 that was approved by the US Food and Drug Administration (FDA) in 1998 for use in metastatic breast cancer. Trastuzumab improves response rates, time to progression, and survival when used alone or in combination with chemotherapy in treatment of metastatic breast cancer. Although first approved for use in metastatic cancer, several prospective randomized clinical trials have shown large therapeutic benefits from trastuzumab in early-stage breast cancers. The same paradigm has also shifted to neoadjuvant chemotherapy using trastuzumab in HER2+ tumors. In recent years many other agents targeting HER2 have become available, such as pertuzumab (inhibits HER2 and HER3 dimerization), lapatinib (dual HER1 and HER2 tyrosine kinase inhibitor), and T-DM1 (ado trastuzumab emtansine). However, administration all of these agents requires that a tumor is positive for HER2. Therefore, accurate determination of HER2 status is required in each case.

Immunohistochemistry (IHC) for HER2

Given the enormous therapeutic benefit derived from trastuzumab in HER2+ tumors, it is absolutely critical that an accurate determination of HER2 status be made on each case. Due to its prognostic and predictive value, HER2 status should be determined on all newly diagnosed invasive breast cancers, which is also recommended by the CAP/ASCO guidelines, first published in 2007. These guidelines provide a detailed review of literature and recommendations for optimal HER2 testing. The issues ensuring reliable HER2 testing by IHC can be divided into three categories: preanalytical, analytical, and postanalytical. All three issues are equally important, and require a commitment to continuous quality improvement.

Preanalytical

This mainly relates to time of fixation and type of fixative used. Since most studies with clinical outcomes have been performed using FFPET, the current CAP/ASCO recommendation is to use 10% neutral buffered formalin, and to fix the tissue for 6 to 72 hours. If an alternative fixative or fixation method is used, it has to be validated with standard fixation before it is implemented in clinical testing. Although the guidelines stress more regarding overfixation, we believe it is underfixation that seems to be the real problem with HER2 testing. The antigen can be retrieved by various methodologies and the enzymatic digestion times for in situ hybridization can be altered if the tissue is overfixed, but nothing can be done if the tissue is underfixed. Overfixation may become an issue with alcohol fixation, which can lead to antigen diffusion, but it is generally not an issue with formalin fixation. We have validated tissue fixation times of up to 96 hours for performing hormone receptors and HER2 testing on breast carcinoma at our institution. The effect of underfixation on biomarker testing has been nicely shown by Goldstein et al. using ER as an example. Using semiquantitative IHC, the authors demonstrated that with 40 minutes of standard antigen retrieval, tissues fixed for less than 6 hours had a very low Q score for ER and that the Q score plateaued at 8 hours to 7 days. It should also be noted that CAP/ASCO guidelines for fixation times were addressed to resection specimens, but there is no reason to believe these cannot be applied to needle core biopsies. As a matter of fact, the guidelines should remain the same irrespective of the size of the specimen. This is because tissue permeation (which is roughly 1 mm/hour) is not equal to fixation. It is true that formalin will permeate core biopsy samples faster and make it harder for sectioning, but actual fixation or chemical reaction of aldehyde cross-linking takes time and is independent of specimen size.

Analytical

This refers to the actual testing protocol, including IHC equipment, reagents, competency of staff performing IHC, use of appropriate controls, and type of antibody used. This last issue regarding type of antibody used deserves special mention. The first clinical trial assay for assessing the effect of trastuzumab on metastatic breast cancer used CB11 and 4D5 antibodies for determining HER2 status. In these studies, only patients with 2+ or 3+ scores were eligible to receive trastuzumab. Retrospective analyses have revealed therapeutic benefit in cases with either a 3+ score or HER2 amplification by fluorescence in situ hybridization (FISH). Only 24% of 2+ cases showed amplification by FISH. At the time of FDA approval of trastuzumab, a polyclonal antibody (HercepTest™; Dako Corporation) was compared with the clinical trial assay antibody CB11 using the same scoring criteria. HercepTest received FDA approval based on its 79% concordance with CB11. A few additional studies showed that HercepTest had a slightly higher false-positive rate than other monoclonal antibodies (CB11, TAB250) when compared with FISH. Later, it was recommended that laboratories performing HER2 testing using HercepTest should strictly adhere to the manufacturer’s recommendation for appropriate staining. Even to this day, several different antibodies are being used, but all IHC 2+ cases are sent for reflex FISH testing, which in a majority of cases resolves the clinical dilemma about HER2 status. Subsequently, a more reliable rabbit monoclonal antibody, 4B5, became available, which has been adopted by many large laboratories. In a clinical validation study, Powell et al. showed that rabbit monoclonal 4B5 demonstrates sharper membrane staining with less cytoplasmic and stromal background staining than CB11. The major advantage of 4B5 was its excellent interlaboratory reproducibility (kappa of 1.0).

Postanalytical

This involves interpretation criteria, reporting methods, and quality assurance measures, including the competency of the interpreting pathologist. Although less often mentioned, the suboptimal interpretation of HER2 IHC score is one of the major factors responsible for discordance between IHC and FISH. The literature regarding HER2 IHC testing would suggest that a 2+ score is the most problematic; however, in routine practice it is the incorrect interpretation of 1+ and 3+ scores that has grave clinical consequences (i.e., undertreatment or overtreatment). Nowadays, most laboratories would do FISH for HER2 gene copy number assessment when the IHC score is 2+, but would skip HER2 FISH testing for a 0, 1+, or 3+ score. There are ample data showing that HER2 FISH has great correlation with response to trastuzumab treatment. Therefore, one should have a lower threshold for scoring a case as 2+ and a higher threshold for scoring a case as 3+. This recommendation is actually in line with a 2013 ASCO/CAP HER2 guidelines update stating that a score of 0 is basically no staining, 1+ is barely perceptible staining in >10% cells, 2+ is weak to moderate membranous staining in >10% cells, and 3+ is strong membranous staining in >10% cells. This indicates a wide range of “2+ staining.” One may also argue the case for using FISH alone as the diagnostic assay for HER2, but it should be realized that IHC is significantly less expensive than FISH, and moreover, IHC provides an opportunity to scan the tumor for any significant heterogeneity compared to FISH.

Apart from judging the HER2 score, it is also important that it is effectively communicated to the treating physician. A standardized template could be used that states the time tissue was fixed, controls used, antibody used, and HER2 IHC score with a description of the staining. An example of such a template is shown in Fig. 9.5 . The CAP/ASCO guidelines first published in 2007, modified in 2013, and updated again in 2018 is a useful document and provides practical guidance for accurate HER2 testing. There are a few unresolved issues, but it is a work in progress.

Fig. 9.5, Template for reporting human epidermal growth factor receptor 2 protein expression by immunohistochemistry.

Furthermore, a quality assurance program should be in place for laboratories that perform HER2 testing. Quality control procedures for HER2 IHC should include the laboratory statistics of percentage of positive cases and the percentage of IHC cases that are amplified by FISH. Periodic laboratory assessment of these correlations is essential for quality reporting. Rigorous adherence to quality, tissue fixation time, and control tissue/cell line (which should be placed on the same slide as the test slide), along with an improved interobserver interpretation agreement or use of image-assisted analysis system, is preferable. If image analysis systems are used, they should be appropriately calibrated and undergo regular maintenance just like any other laboratory equipment. The CAP/ASCO guidelines recommend participation in a proficiency testing program specific to each method used.

Key diagnostic points: HER2 IHC

  • Due to its predictive value, HER2 is currently the most important theranostic test for breast cancer.

  • Accurate assessment of HER2 status is critical and the lessons learned from HER2 testing will be applied for future biomarker assessment.

  • Tissues should be fixed in 10% neutral buffered formalin for at least 6 hours for accurate assessment.

  • Choice of antibody may vary but should be mentioned in the report.

  • Scoring criteria should be rigidly followed to avoid 3+ false positives and 1+ false negatives.

  • All 2+ cases should go for reflex ISH testing.

  • Continuous quality measures should be in place for any laboratory performing HER2 testing.

HER2 FISH

FISH is a molecular cytogenetic technique that uses fluorescent probes to detect specific DNA sequences on the chromosome. In the case of HER2 FISH, an HER2 probe is used to identify HER2 gene amplification. The probe could be single color or dual color with one sequence labeled for the HER2 gene and another for the chromosome 17 centromere (chromosome enumeration probe 17 or CEP 17) to indicate the chromosome on which the HER2 gene resides. For a single-color probe an absolute HER2 gene copy number determines amplification, whereas for a dual-color probe a ratio of HER2 to CEP17 is used to define amplification. DNA is a more robust molecule than protein, and therefore HER2 gene amplification studies could be performed on a wide variety of samples. However, due to the significance of this test result and to avoid any variability, the CAP/ASCO guidelines recommend the similar preanalytic conditions as required for HER2 IHC. In the available literature, HER2 FISH has a better track record than HER2 IHC in predicting response to trastuzumab. This may be due to several factors, including tissue fixation, criteria used to define positivity, the wide number of antibodies used, and subjectivity in interpreting HER2 IHC test results compared to FISH. However, after years of experience in both HER2 IHC and FISH, the 2007 CAP/ASCO guidelines demanded 95% concordance (of negative and unequivocal positive results) between the two methods, which has been slightly reduced (to 90%) in the modified 2013 guidelines. This still seems like a high number, but theoretically it is not unreasonable because HER2 gene amplification almost always results in HER2 protein overexpression. For many genes, there are alternative ways to achieve protein overexpression, but the HER2 gene is unique in the sense that its gene amplification is very tightly coupled with protein overexpression.

In the past few years, it has also been realized that just like IHC, a FISH assay may also give equivocal results. In the clinical trial assay used for trastuzumab approval, HER2 gene amplification was defined as an HER2:CEP17 ratio of 2 or higher and lack of amplification was defined as a ratio of less than 2. Using the cutoff value of 2 makes sense, but it was realized over the years that there is variability in interpretation when the value is around 2. Therefore, the 2007 CAP/ASCO guidelines recommended that a ratio of 1.8 to 2.2 should be considered as equivocal for HER2 gene amplification. However, the 2013 guidelines reverted back to the initial cutoff value of 2 to make treatment decisions easier and not to exclude any potential patient who may be eligible for trastuzumab. The 2013 HER2 ASCO/CAP committee tried to reduce the number of FISH equivocal results, but some comparative studies suggested a slight increase in the number of both FISH equivocal and positive cases. The data also suggested that the previously “polyploid” cases were called equivocal using the 2013 criteria. The 2013 guidelines were crafted to err on the side of sensitivity rather than specificity, which explained the slight change in interpretation. The HER2 guidelines are further discussed in the next section.

Apart from its better prediction value, FISH is also very useful when the HER2 IHC test result is equivocal (i.e., an IHC score of 2+). An IHC 2+ score is seen in up to 25% to 30% of all breast cancers. However, it is uncommon for typical IHC 2+ cases to show large HER2 gene clusters, which is a characteristic of IHC 3+ cases ( Fig. 9.6 ). FISH is useful for clinical decision-making in these cases, but it appears that HER2 IHC 2+, FISH-amplified cases may be biologically different from HER2 IHC 3+ cases. Most HER2 IHC 2+ cases are not amplified by FISH. The cases classified as equivocal based on the 2013 ASCO/CAP criteria often show more than three copies of HER2 and CEP17, which previously was considered indicative of “polysomy” for chromosome 17. Now most investigators consider these cases as showing low-level coamplification of HER2 and CEP17, as true chromosome 17 polysomy in breast cancer is a rare event. It is currently uncertain as to how much benefit such cases derive from trastuzumab-based therapy. In one study of 103 patients (prior to the 2013 guidelines), polysomy was observed in 27% of patients, with six responding to the trastuzumab treatment. However, all six cases were reported to show HER2 overexpression (IHC 3+), and two were FISH negative (FISH–) based on the 2007 HER2:CEP17 ratio criteria. For the cases classified as equivocal by the 2013 guideline criteria, ASCO/CAP initially suggested using an alternative probe for chromosome 17, such as probes for SMS, RARA, or TP53 genes, which also reside on chromosome 17. Our institutional experience suggests that the cases are often classified as amplified using the SMS probe compared to the RARA probe. Scant data also suggest that cases are often classified as amplified using TP53 gene copies in the denominator. However, there are no clinical outcome data on use of these alternative probes, and one can argue that this is an additional cost that doesn’t result in any clinical benefit. Therefore, ASCO/CAP do not mandate the use of such probes.

Fig. 9.6, A typical human epidermal growth factor receptor 2 (HER2) immunohistochemistry (IHC) 3+ case ( A ) showing numerous HER2 gene copies (red) consistent with unequivocal amplification ( B ). A typical HER2 IHC 2+ case ( C ) with some increase in HER2 gene copies ( D ).

In a 2018 guideline update, ASCO/CAP recommended not to use alternate probes. For borderline test results in which there are more than 4 and fewer than 6 HER2 copies and a ratio less than 2, it may sometimes be useful to repeat testing on a larger specimen. Striebel et al. showed that evaluating HER2 status by FISH on a larger tumor sample (resection specimen) affects patient management if the core biopsy shows an “equivocal” FISH result, indicating genetic heterogeneity in tumors showing low-level HER2 gene copy numbers.

In spite of its usefulness, there are some limitations to FISH assay mainly related to dark-field fluorescence microscopy and lack of morphological details ( Table 9.5 ). To overcome some of these limitations, the chromogenic in situ hybridization (CISH) method has gained popularity. Studies comparing FISH and CISH show varying degree of concordance. CISH uses diaminobenzidine (DAB) as the chromogen and therefore results in brown signals. It is a method that combines the expertise of an ICH and cytogenetic laboratory. This may be the reason for lack of wide acceptance for CISH, which we believe can improve with automation.

Table 9.5
Benefits and Limitations of Immunohistochemistry and in situ Hybridization Assays.
Immunohistochemistry FISH CISH/SISH/DISH
Availability of the test Widely available Available at major labs Available at major labs
Microscopy Bright field Fluorescent Bright field
Training for interpretation No special training required Special training required Minimal training required
Amount of tumor analyzed with ease Large tumor area can be analyzed Generally a small tumor area is analyzed Large tumor area can be analyzed
Morphology Morphology well preserved Morphology not well preserved Morphology well preserved
Turnaround time 4–6 hours 3 days 1–2 days
Average time for interpretation <1 minute 20 minutes 1–5 minutes
Number of equivocal results Approximately 25%–30% None (after 2018 guideline update) None (after 2018 guideline update)
Cost Relatively inexpensive Expensive Intermediate
Automation Possible Possible Possible
CISH , chromogenic (generally DAB as chromogen) in situ hybridization; DISH , dual in situ hybridization; FISH , fluorescence in situ hybridization; SISH , silver in situ hybridization.

Some pathologists also feel uncomfortable interpreting HER2 CISH slides when there are between 2 and 8 gene signals per nucleus, as the signals may not be very discrete, especially when one is looking under a 40X objective using bright-field microscopy. Silver in situ hybridization (SISH) has been developed specifically to overcome this problem. SISH uses an enzyme-linked probe to deposit silver ions from the solution to the target site, providing a dense, punctate, high-resolution black stain that is readily distinguished from other commonly used stains. SISH for HER2 is now combined with detection of CEP17 using fast red as the chromogen in an FDA-approved test called dual in situ hybridization (DISH). This test is already used by a number of laboratories for primary evaluation of HER2 gene status ( Fig. 9.7 ). Most studies have shown comparable results with FISH. Even in cases classified as IHC 2+, there is good correlation between DISH and FISH. The advantages and limitations of FISH and bright-field in situ hybridization assays are summarized in Table 9.5 .

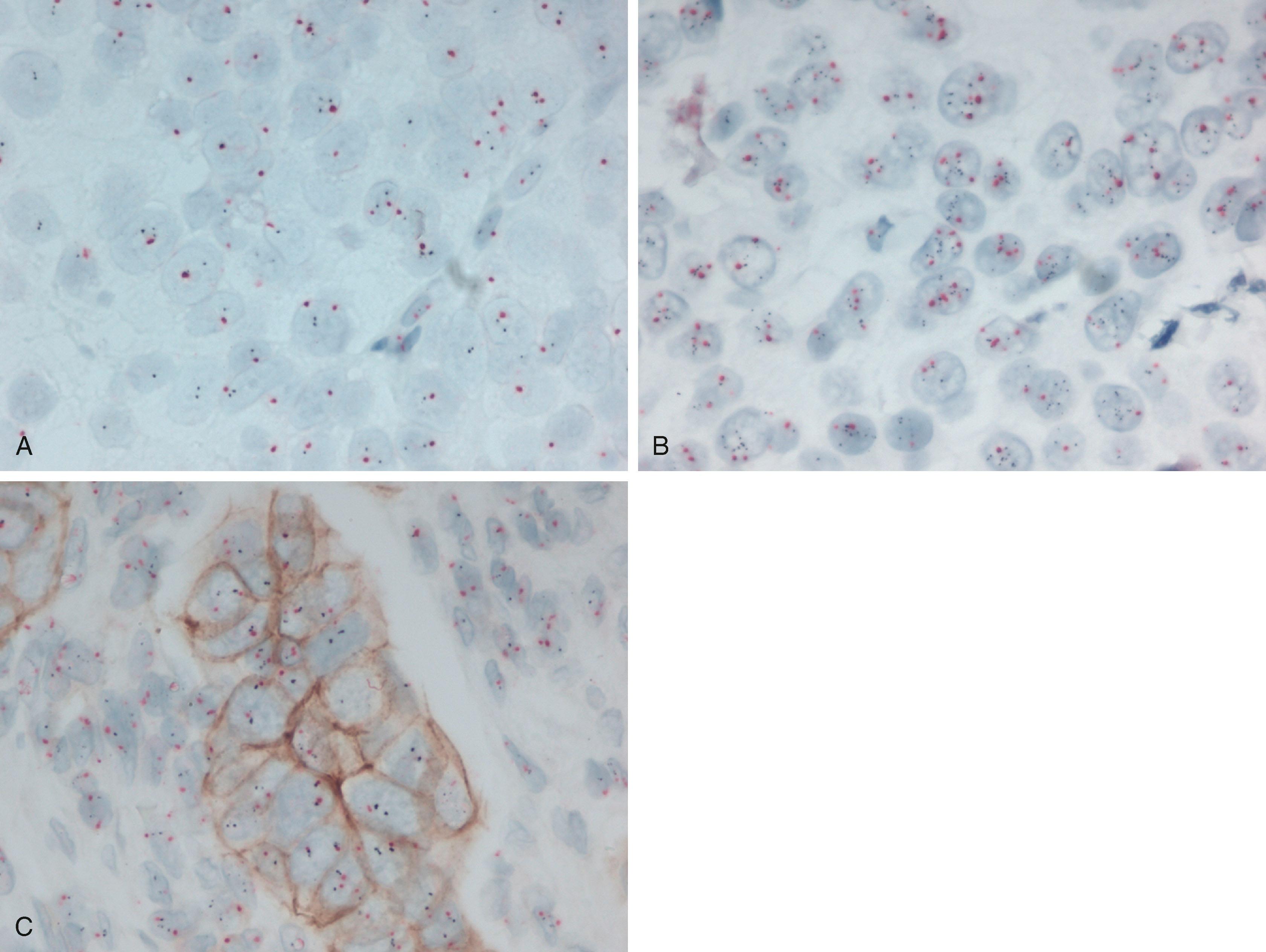
Fig. 9.7, Representative photomicrographs from bright-field in situ hybridization assays. ( A ) A dual in situ hybridization assay (DISH) showing lack of human epidermal growth factor receptor 2 (HER2) gene amplification with approximately 2 signals for both the HER2 gene (black) and chromosome 17 centromere (red) in each cell. ( B ) DISH assay showing an increase in black HER2 gene copies, consistent with HER2 gene amplification. ( C ) HER2 gene protein assay showing moderate membranous reactivity (IHC score of 2+) of tumor cells, but a lack of HER2 gene amplification. Notice the lack of HER2 protein (no brown membranous staining) in stromal cells but normal copies of the HER2 gene. IHC , Immunohistochemistry.

Another bright-field in situ hybridization assay that is still considered investigational within the United States is the gene protein assay (GPA). It is a combination of HER2 IHC and DISH in which the HER2 protein, HER2 gene signals, and CEP17 signals are analyzed on the same slide in a sequential fashion ( Fig. 9.7 ). The limited experience suggests that this may be even better than the currently available DISH assay. The concurrent HER2 protein assessment provides a better evaluation of HER2 heterogeneity and guides an observer toward the area where counts should be performed. Moreover, the “silver dust” artifact that is not uncommon with DISH assay is not seen with GPA. In a comparative study of IHC 2+ cases, GPA performed similar to FISH. It appears that these innovative in situ hybridization assays will become more widely available, and will be more acceptable to laboratories, especially if these assays are automated and do not interfere with the current workflow. Since FISH slides are evaluated under a 100X oil immersion lens, the amount of tumor analyzed is fairly limited. A definite advantage of these bright-field in situ hybridization assays would be to examine the tumor for heterogeneity with respect to HER2 gene copy number.

You're Reading a Preview

Become a Clinical Tree membership for Full access and enjoy Unlimited articles

Become membership

If you are a member. Log in here