Questions

  • 1.

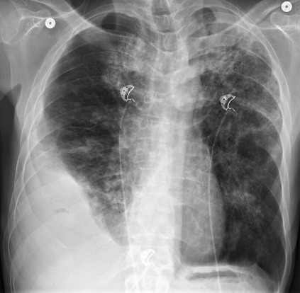
    The most likely diagnosis in the case illustrated in Fig. 4.1 is:

    • a.

      Necrotizing pneumonia with empyema.

    • b.

      Tuberculosis.

    • c.

      Lung cancer.

    • d.

      Mesothelioma.

    • e.

      Metastases.

    Fig. 4.1

  • 2.

    The most likely diagnosis in the case illustrated in Fig. 4.2, A and B, is:

    • a.

      Right lower-lobe pneumonia.

    • b.

      Pulmonary embolism.

    • c.

      Subphrenic abscess.

    • d.

      Lymphoma.

    • e.

      Diaphragmatic hernia.

    Fig. 4.2

Discussion

Pleural effusions may produce blunting of a costophrenic angle (see Fig 4.1 ), apparent elevation of the diaphragm (see Fig 4.2, A ), peripheral homogeneous opacity with a line that parallels the lateral chest wall ( Fig 4.3 ), opacity in interlobar fissures ( Fig 4.4, A-D ), 465 or complete opacification of an entire hemithorax, with a shift of the mediastinum ( Fig 4.5 ). Detection and confirmation are often the first steps in the evaluation of a suspected pleural effusion. Small effusions with opacification of the costophrenic angle may be confirmed by a lateral decubitus examination, with the side of the suspected effusion down. The decubitus examination may show a change in position of the opacity and confirm free-flowing effusion. No change in the opacity may be the result of loculated effusion, pleural scarring, or possibly a pleural mass. Prior chest radiographs indicating that the blunting is a new finding also provide a good indicator of pleural effusion. Loculated effusions are difficult to confirm with chest radiograph, but ultrasound, computed tomography (CT), and even magnetic resonance imaging (MRI) may be used to verify a localized collection of pleural fluid. The differential diagnosis of pleural effusion entails consideration of a long list of entities ( Chart 4.1 ), 465 but the radiologist should not be discouraged. 478 Pleural effusion is sometimes associated with additional radiologic findings that may be very specific, but clinical and laboratory correlation are almost always required to make a specific diagnosis.

Fig. 4.3, A large homogeneous opacity in the right lateral chest has a sharp line separating it from the partially aerated lung. This is the result of a large pleural effusion caused by metastatic disease.

Fig. 4.4, A, Posterior-anterior (PA) chest radiograph demonstrates elliptic opacity in the horizontal fissure. B, Lateral view confirms that the opacity is in the horizontal fissure. This is the characteristic appearance of loculated fluid in the horizontal fissure. These collections may be rounder and are often called pleural pseudotumors . They may be transient and are sometimes described as vanishing tumors, especially when they are the result of congestive heart failure. C, PA view from another case demonstrates the appearance of fluid in the left oblique fissure. This is less mass-like, with the fluid spreading out in the fissure. The medial inferior border (arrows) is well circumscribed, with an arch that appears to outline the superior segment of the lower lobe. D, Lateral view of the case seen in C shows thickening of the entire length of the horizontal fissure.

Fig. 4.5, This posterior-anterior chest radiograph shows complete opacification of the left hemithorax. Also note the shift of the trachea, mediastinum, and heart to the right. This is a large pleural effusion, with complete atelectasis of the left lung. This appearance does not reveal the cause of the effusion but is an important observation because it often indicates the need for urgent drainage.

Chart 4.1
Pleural Effusion

  • I.

    Congestive heart failure 6 , 390

  • II.

    Thromboembolic disease 660

  • III.

    Infection

    • A.

      Bacteria ( Klebsiella pneumoniae , Staphylococcus aureus , Streptococcus pyogenes , Nocardia asteroides , 29 Streptococcus pneumoniae [Diplococcus] , 578 anaerobic organisms, 324 anthrax, 125 , 648 actinomycosis, 164 other necrotizing bacterial infections)

    • B.

      Tuberculosis

    • C.

      Viral (uncommon)

    • D.

      Mycoplasma (uncommon)

    • E.

      Fungus (blastomycosis, coccidioidomycosis, 431 histoplasmosis, cryptococcosis 504 [effusion secondary to fungal infection is rare])

    • F.

      Parasites ( Entamoeba histolytica , 639 Echinococcus , Paragonimus , 260 , 262 malaria)

    • G.

      Infectious mononucleosis

  • IV.

    Neoplasms

    • A.

      Metastases

    • B.

      Bronchogenic carcinoma

    • C.

      Distant (e.g., breast, gastrointestinal, pancreatic)

    • D.

      Multiple myeloma

    • E.

      Mesothelioma

    • F.

      Chest wall—primary bone cancer (e.g., Ewing sarcoma, chondrosarcoma, osteosarcoma, fibrosarcoma)

    • G.

      Lymphoma 620

    • H.

      Waldenström macroglobulinemia

  • V.

    Collagen vascular disease (autoimmune)

    • A.

      Systemic lupus erythematosus 632

    • B.

      Rheumatoid arthritis 59 , 532

    • C.

      Granulomatosis with polyangitis 4 (formerly Wegener granulomatosis)

    • D.

      Scleroderma (rare) 19

  • VI.

    Trauma

    • A.

      Chest wall trauma

    • B.

      Rupture of the esophagus

    • C.

      Rupture of the thoracic duct

    • D.

      Laceration of great vessels (e.g., aorta, vena cava, pulmonary veins)

  • VII.

    Abdominal diseases

    • A.

      Pancreatitis

    • B.

      Pancreatic neoplasms

    • C.

      Pancreatic pseudocyst

    • D.

      Pancreatic abscess

    • E.

      Subphrenic abscess

    • F.

      Abdominal or retroperitoneal surgery (e.g., renal surgery, splenectomy)

    • G.

      Urinary tract obstruction with extension of retroperitoneal urine 31

    • H.

      Ovarian tumors (e.g., Meigs syndrome)

    • I.

      Cirrhosis of the liver

    • J.

      Peritoneal dialysis

    • K.

      Renal disease

    • L.

      Renal failure

    • M.

      Acute glomerulonephritis

    • N.

      Nephrotic syndrome

    • O.

      Whipple disease

  • VIII.

    Diffuse pulmonary diseases

    • A.

      Lymphangioleiomyomatosis 424 (LAM)

    • B.

      Asbestosis (rare)

    • C.

      Usual interstitial pneumonitis (rare)

    • D.

      Sarcoidosis (reported to be 4% of cases) 635

  • IX.

    Drug reactions

    • A.

      Nitrofurantoin

    • B.

      Methysergide

    • C.

      Busulfan

    • D.

      Procainamide

    • E.

      Hydralazine

    • F.

      Isoniazid (INH)

    • G.

      Phenytoin sodium (Dilantin)

    • H.

      Propylthiouracil

    • I.

      Procarbazine

  • X.

    Other

    • A.

      Postmyocardial infarction syndrome (Dressler syndrome) and postpericardiotomy syndrome

    • B.

      Coagulation defect

    • C.

      Radiation therapy (very rare) 628

    • D.

      Idiopathic

    • E.

      Pleural fistulas (bronchial, gastric, esophageal, subarachnoid) 220 , 638

    • F.

      Empyema from retropharyngeal and neck abscess

    • G.

      Empyema in postpneumonectomy space 231

Pleural Effusion with Large Cardiac Silhouette

Congestive heart failure is one of the most common causes of pleural effusion, and it usually presents with a specific combination of cardiac and vascular findings. These cardiovascular changes include cardiomegaly, prominence of upper-lobe vessels, constriction of lower-lobe vessels, and prominent hilar vessels. In addition, there may be signs of interstitial edema, including fine reticular opacities, interlobular septal thickening (Kerley lines), perihilar haze, and peribronchial thickening. There may even be evidence of alveolar edema, with acinar nodules, confluent, ill-defined opacities with a perihilar distribution, and air bronchograms. The combination of cardiomegaly, pulmonary vascular changes, interstitial or alveolar edema, and pleural effusion is almost certainly diagnostic of congestive heart failure.

The pleural effusions resulting from congestive heart failure may be bilateral or unilateral. Unilateral effusions are usually on the right. Unilateral left pleural effusion in congestive failure is considered a great rarity and has even been cited as a reason to consider other diagnoses. It actually occurs in 10% to 15% of patients who develop pleural effusions secondary to congestive heart failure. Recurrent effusions caused by congestive heart failure tend to duplicate the appearance of the effusion seen in the previous episode of failure.

The combination of enlargement of the heart, pleural effusion in the absence of pulmonary vascular congestion, and signs of pulmonary interstitial or alveolar edema may be consistent with congestive heart failure. The presence of pleural effusion and cardiac enlargement alone is less specific; therefore, these require more careful review of serial examinations and correlation with clinical data to narrow the differential diagnosis ( Chart 4.2 ). Because interstitial and alveolar edema may resolve rapidly in response to diuretics, these signs of congestive heart failure may disappear, leaving residual pleural effusion and cardiomegaly. Serial chest radiographs frequently confirm this possibility.

Chart 4.2
Pleural Effusion With Large Cardiac Silhouette

  • I.

    Congestive heart failure

  • II.

    Pulmonary embolism with right-sided heart enlargement

  • III.

    Myocarditis or pericarditis with pleuritis

    • A.

      Viral infection

    • B.

      Tuberculosis

    • C.

      Rheumatic fever

  • IV.

    Tumor: metastasis, mesothelioma

  • V.

    Collagen vascular disease

    • A.

      Systemic lupus erythematosus 632 (pleural and pericardial effusion)

    • B.

      Rheumatoid arthritis 532

  • VI.

    Postpericardiotomy syndrome

Chronic renal failure is another cause of pulmonary edema with associated pleural effusions that is usually confirmed by correlation with the clinical history. When renal failure is the cause of pleural effusions, the associated congestive heart failure is secondary to fluid overload.

Pulmonary embolism as a cause of pleural effusions is a more difficult diagnosis to confirm. 82 Right-sided heart enlargement and pleural effusions may be suggestive of embolism. A patient with congestive heart failure may have right-sided heart enlargement and pleural effusion and is also at increased risk for developing a pulmonary embolism. When the effusion is atypical (e.g., predominantly left sided) or if it increases after the pulmonary edema has begun to clear, the possibility of embolism should be considered. Any combination of additional clinical information indicating the development of chest pain, hemoptysis, sudden shortness of breath, pleural friction rub, decreased arterial P o 2 , or thrombophlebitis should be considered evidence for pulmonary embolism and thus would indicate more definitive evaluation. 396

The combination of cardiac silhouette enlargement caused by pericardial effusion with associated pleural effusions may be seen in patients with metastatic or inflammatory disease. A history of a current or recurrent malignant neoplasm should suggest metastatic pleural and pericardial effusions. A febrile illness with clinical findings of pericarditis or myocarditis are helpful in suggesting inflammatory diseases, in particular viral and tuberculous infections or even poststreptococcal infection (e.g., rheumatic fever).

Pleural and pericardial effusions are the most common radiologic manifestations of systemic lupus erythematosus ( Fig 4.6, A and B ). 632 This diagnosis is rarely suggested by the radiologist. In the absence of other radiologic or clinical features of the common causes of pleural effusion with cardiac enlargement, this diagnosis may be considered. The pericardial effusion may be confirmed with ultrasound as an alternative to CT. Correlation with clinical and laboratory data is required to confirm the diagnosis.

Fig. 4.6, A, The blunting of both costophrenic angles with apparent elevation of the left diaphragm provides the clue to suspect bilateral pleural effusions that are greater on the left. The heart is partially obscured on the left but appears to be enlarged. B, Computed tomography confirms bilateral pleural effusions and reveals that the apparent cardiac enlargement is the result of pericardial effusion. This patient had a known diagnosis of lupus erythematosus. Effusions are the most common manifestation of lupus in the chest.

Pleural Effusion with Multiple Masses

Metastatic tumors and mesothelioma may both cause pleural masses and effusion. The case in Fig. 4.7, A , shows a large, left pleural effusion with multiple pleural masses. A CT scan from the same case (see Fig 4.7, B ) reveals a large inferior chest wall mass that was obscured by the pleural effusion. This combination is not likely to result from empyema, tuberculosis, actinomycosis, or multiple myeloma. In this case, an iatrogenic pneumothorax accounts for the air-fluid level. The pleural masses were obscured by the large effusion prior to the thoracentesis. The combination of pleural effusion with pleural masses is most often confirmed with CT and is strongly suggestive of metastases. When there has been a history of asbestos exposure, mesothelioma becomes a likely explanation for unilateral pleural masses with pleural effusion.

Fig. 4.7, A, The opacity of the left hemithorax with shift of the mediastinum to the right is the result of a large hydropneumothorax with an air-fluid level. The pneumothorax would suggest a bronchopleural fistula, but is iatrogenic secondary to thoracentesis. The additional finding of superior lobulated lateral masses is the result of pleural metastases. This combination of pleural effusion with pleural masses is difficult to evaluate on the chest radiograph, except for the pneumothorax. The combination of pleural effusion with pleural masses often requires computed tomography (CT) for confirmation. In this case, the masses were obscured by the pleural effusion prior to the thoracentesis and are visible because of the iatrogenic pneumothorax. B, The CT reveals a large inferior mass that has extended through the chest wall. This is a Ewing sarcoma that has spread to the pleura, with malignant effusion and multiple pleural masses.

You're Reading a Preview

Become a Clinical Tree membership for Full access and enjoy Unlimited articles

Become membership

If you are a member. Log in here