Persistent Ulnar-Sided Wrist Pain After Distal Radius Fracture


Key Points

  • The development of palmar locking plate fixation for surgical treatment for distal radius fracture (DRF) provides successful outcome. However, persistent ulnar-sided wrist pain (USWP) after healed DRF is often encountered.

  • USWP is common after DRF and can improve for a year or more, so patience is warranted.

  • The main causes of persistent USWP after healed DRF are malunion of the distal radius, triangular fibrocartilage complex (TFCC) injury, and nonunion of ulnar styloid.

  • TFCC injury is frequently associated to DRF and has a good healing potential. The type of TFCC tear that is most troublesome would be a foveal tear causing distal radioulnar joint instability.

  • When conservative treatment fails, correction osteotomy for malunion, arthroscopic management for TFCC injury, and fixation or resection for nonunion of ulnar styloid seem to be the best solutions.

Panel 1: Case Scenarios

Case 1: Palmarly Angulated Malunion

A 76-year-old, right-handed female suffered a left DRF. She underwent cast immobilization for 4 weeks. She visited our clinic with a swollen and deformed left wrist 3 months after removing the cast. She complained of persistent USWP. Range of motion (ROM) was restricted: extension (ex) 50 degrees (deg), flexion (flex) 60 deg, pronation (pro) 80 deg, supination (sup) 65 deg, grip strength was 60% of the contralateral side. Radiographs showed radial shortening with an ulnar variance (UV) which was + 3.5 mm, radial inclination (RI) was 5 deg, and palmar tilt (PT) was 35 deg ( Fig. 1 ). What is the most effective approach for management of USWP for this patient?

Fig. 1, Preoperative radiographs showed malunion with radial shortening and palmar angulation.

Case 2: Dorsally Angulated Malunion

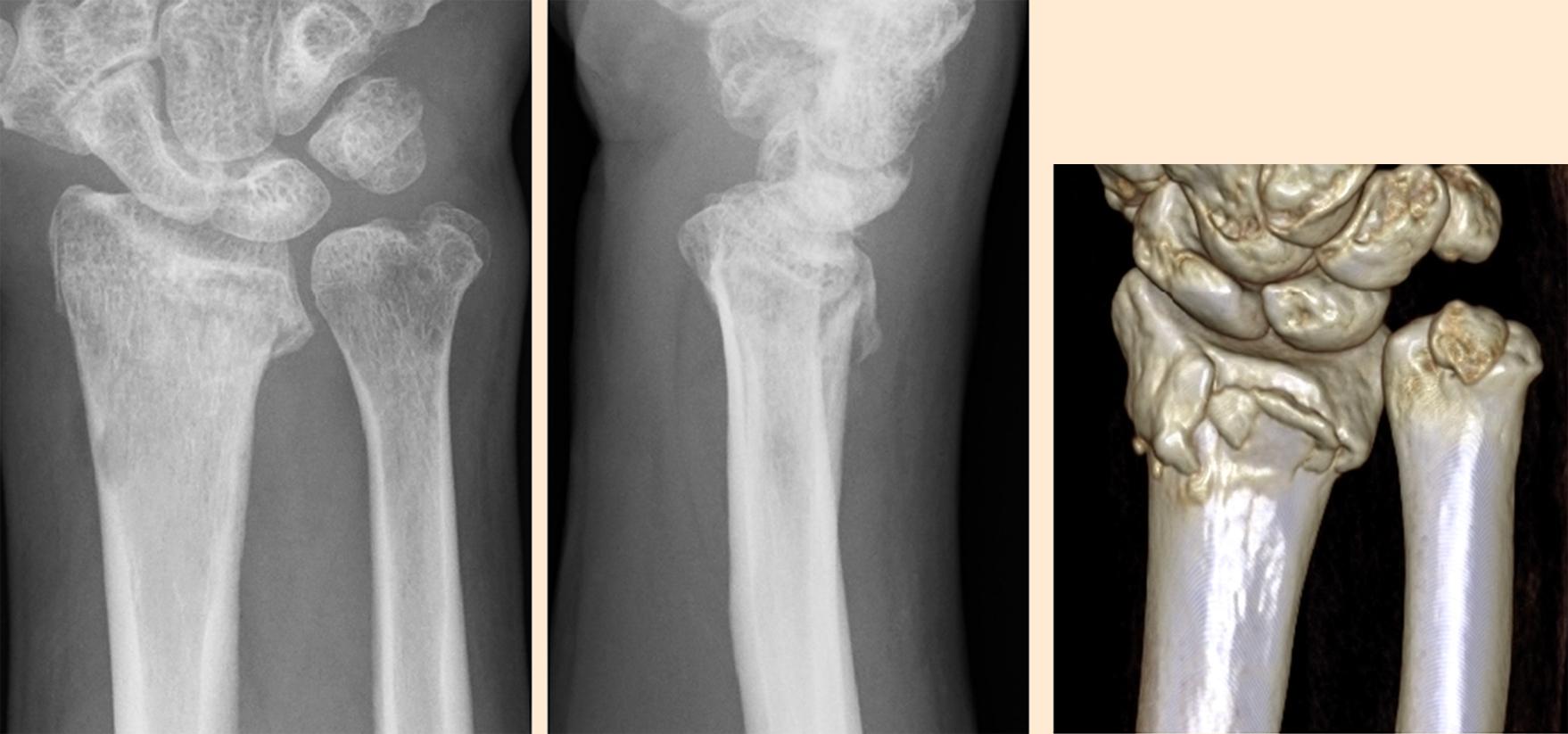
A 56-year-old, right-handed male injured his wrist by falling, was diagnosed with a DRF and treated with cast immobilization. He visited our clinic 3 months after injury with USWP. His radiographs showed a dorsally angulated malunion of the distal radius (RI: 23.5 deg, UV: 5.5 mm, PT: − 27 deg) and an ulnar styloid nonunion ( Fig. 2 ). This nonunion was already diagnosed before the DRF and seemed an old injury. He often felt mild USWP before his DRF. How do you consider the best plan to resolve his USWP?

Fig. 2, Preoperative radiographs and CT showed a shortened and dorsally angulated malunion of the distal radius, and an ulnar styloid nonunion.

Case 3: TFCC Disc Tear

A 56-year-old, right-handed female sustained a right DRF, treated with cast fixation for 4 weeks. The DRF healed within normal range alignment (RI: 27 deg, PT: 10 deg, UV: + 1.5 mm) ( Fig. 3 ), however she complained of USWP for 10 months and therefore visited our clinic. Grip strength was 62% of the contralateral side. A TFCC slit tear was suspected on MRI. How would this be best managed?

Fig. 3, Alignment of the distal radius was almost normal. On MRI, a TFCC slit tear was suspected (red arrow) .

Case 4: TFCC Foveal Tear

A 54-year-old, right-handed female suffered left DRF, classified as A3 in the AO classification. She underwent palmar plate fixation ( Fig. 4 A and B ) with arthroscopic radiocarpal inspection, showing a normal appearing TFCC. The postoperative course was uneventful, plate removal was performed 6 months after surgery ( Fig. 4 C). Around 9 months after surgery, she gradually complained of USWP with instability of the ulnar head and grip weakness of 75% of the contralateral side. Radiographs showed widening of the DRUJ ( Fig. 4 D). How could this finding best be explained and managed?

Fig. 4, Extraarticular DRF was fixed with a volar plate (A and B). At 6 months after surgery, the plate was removed (C). At 9 months after surgery, the DRUJ was distended (D).

Case 5: Ulnar Styloid Nonunion

A 28-year-old, right-handed male visited our clinic for USWP that appeared after slightly twisting the wrist several days earlier. His medical history revealed a left DRF that uneventfully healed with cast immobilization for 4 weeks at the age of 13 years. He complained not only of USWP but also of a slack sensation of the ulnar head during forearm rotation. Radiographs and MRI showed an ulnar styloid nonunion probably due to the old injury ( Fig. 5 ). It is unclear if the foveal origin of the TFCC was still attached to the fragment or not. A removable wrist splint was applied for 4 months, but failed, USWP continued. How would this best be managed?

Fig. 5, Ulnar styloid nonunion was recognized on radiograph and MRI.

Importance of the Problem

USWP is a common complaint that contains a diagnostic challenge for hand surgeons because of the small and complex anatomic structures involved. The history and physical examination findings for a wide range of pathologies often overlap. Pain may derive from injured forearm and carpal bones, TFCC, ligament tears, tendinitis, vascular pathology, osteoarthritis and systemic arthritis, and ulnar nerve compression. DRF is the most common fracture in the upper extremity, and is frequently associated with injury of the ulnar wrist structures such as the ulnar styloid, TFCC, lunotriquetral (LT) ligament, etc. The development of palmar locking plate fixation for surgical treatment for DRF provides rigid fixation, maintains accurate reduction acquired when the surgery was carried out, results successful outcome. However, USWP after DRF healed is often encountered, though only some of these patients have persistent moderate to severe pain that persists even a few years after, limiting proper function of the hand. The causes of pain are often difficult to diagnose and resolve. A comprehensive examination of the wrist such as inspection, palpation, provocative maneuvers, radiography, computed tomography (CT), magnetic resonance imaging (MRI), and wrist arthroscopy are required. Wrist arthroscopy plays an increasingly important role in the diagnosis and management of persistent USWP. It is considered the benchmark for the diagnosis and management of TFCC injuries and other pathologies including carpal ligament injuries.

You're Reading a Preview

Become a Clinical Tree membership for Full access and enjoy Unlimited articles

Become membership

If you are a member. Log in here