CASE STUDY

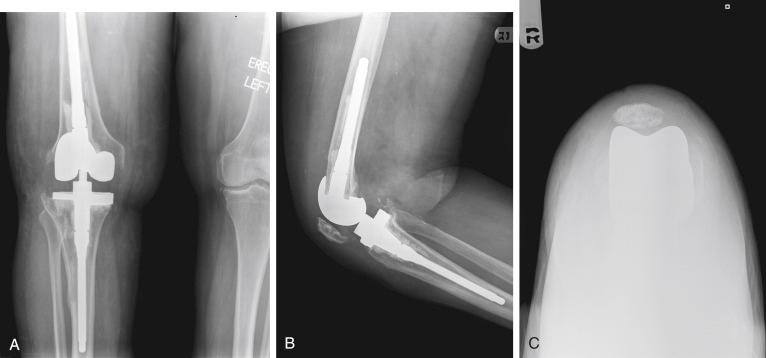
A 55-year-old woman presented to the office with persistent anterior knee pain and swelling after a revision total knee arthroplasty (TKA) performed 1 year earlier. She reported some subjective instability and difficulty descending stairs. She denied having any postoperative wound complications or constitutional symptoms, and the workup for infection included serologic and aspiration fluid analyses that were negative. Physical examination demonstrated a well-healed midline incision and a mild effusion without warmth. Standing alignment revealed a varus deformity at the knee, which was partially correctible. She had moderate peripatellar tenderness in response to palpation. Range of motion was preserved. The patella dislocated laterally during active and passive knee flexion. Initial radiographs demonstrated a cemented, stemmed revision total knee with a tibial component that was implanted in varus. Rotational malalignment was suggested by the asymmetry of the tibial keel on the anteroposterior view and the dislocated patella on the sunrise view ( Fig. 24.1 ).

FIGURE 24.1, Revision total knee arthroplasty was performed with a tibial component that was implanted in varus. Preoperatively, malrotation was suspected based on the rotational profile of the tibial keel seen on the anteroposterior radiograph ( A ) and the dislocated patella seen on the sunrise view ( B ). C, On the lateral radiograph, no gross errors in component position or sizing are noted.

Intraoperatively, it was evident that multiple technical errors had contributed to the patella instability the patient was experiencing. The tibial and femoral components had been internally malrotated, and the patellar component was lateralized ( Fig. 24.2 ). Ultimately, distal femoral augments were used to address the bone loss and restore the joint line, and a posterolateral femoral augment was used to externally rotate the femoral component. The tibial component was revised and aligned rotationally with the medial one third of the tibial tubercle. The patella was revised and placed in a medialized position to correct patellar tracking ( Fig. 24.3 ). The final postoperative radiographs demonstrated a well-aligned revision TKA with a centrally tracking patella ( Fig. 24.4 ).

FIGURE 24.2, Intraoperative photographs. A, The tibial component is internally rotated. The bovie mark indicates the medial one third of the tibial tubercle. B, The patellar component is lateralized. The blue pen mark indicates uncovered bone.

FIGURE 24.3, Intraoperative photographs of revision surgery. A, The tibial component is correctly aligned with the medial one third of tibial tubercle. B, The patellar component has been moved medially. The blue pen mark indicates uncovered bone. C, The femoral component with distal and posterolateral augments is shown.

FIGURE 24.4, A to C, Postoperative radiographs show a well-aligned revision total knee arthroplasty with the patella tracking centrally in the trochlear groove.

Chapter Preview

Chapter Synopsis

Patella instability after total knee arthroplasty (TKA) is a multifactorial problem that leads to significant pain and disability and frequently necessitates revision surgery. Results after revision surgery for extensor mechanism complications are unpredictable, complications and ongoing instability are prevalent, and more than 20% of these patients will require additional surgery within 5 years. Adherence to fundamental principles of arthroplasty can minimize the occurrence of these problems and facilitate successful outcomes after revision surgery for patella instability.

The treatment of patella instability after TKA depends on the cause. Because the cause is often structural, nonsurgical measures are rarely effective, and treatment is primarily operative. Most cases result from component malposition, malrotation, or soft tissue imbalance, and revision TKA with soft tissue realignment is often required. If it has been determined that the components are in proper position, soft tissue realignment alone may be reasonable. Tibial tubercle anteromedialization is less common but may be necessary to reduce the quadriceps angle (Q angle).

Important Points

  • The principles that lead to physiologic patellar tracking include obtaining proper limb and component alignment, restoring the native Q angle, re-creating the appropriate patellofemoral offset, maintaining the anatomic joint line, and balancing soft tissues. Gross deviation in any of these areas or, more commonly, the accumulation of multiple, small errors can result in patellar maltracking.

  • Patella instability can be caused by soft tissue imbalance or component malposition.

  • Soft tissue imbalance can result from a tight lateral retinaculum or a weak vastus medialis obliquus (VMO).

  • Component malposition can result from internal malrotation of the femoral or tibial component, malposition leading to excessive Q angle (i.e., medialization of the femoral or tibial component or lateralization of the patellar component), or overstuffing of the patellofemoral joint, which may be caused by inadequate resection of the patella or anteriorization of the femoral component.

  • Revision TKA for patella instability often entails revision of the femoral and tibial components. The patellar component should be revised if it is malpositioned, the bone is underresected, or patella preparation has been asymmetric.

  • Lateral retinacular release is a technique for improving patellar tilt and maltracking in the setting of tight retinacular structures. When considering a lateral release, the surgeon should be prepared to revise one or more of the components in the TKA if there is an external cause (e.g., component malposition) that is contributing to patellar maltracking. Lateral release in isolation is unusual.

Clinical/Surgical Pearls

  • Because of the bone loss in the revision setting, assessment of rotation must be based on the transepicondylar axis and a tensioned rectangular flexion gap.

  • A posterolateral femoral augment often is necessary to correct internal malrotation of the prior femoral implant.

Clinical/Surgical Pitfalls

  • Caution must be exercised when using an isolated lateral retinacular release to correct patella instability. Component malposition should first be thoroughly assessed and addressed as appropriate.

  • Caution is warranted for tibial tubercle osteotomies. Although this is a powerful tool for correcting the Q angle, there are many potential complications, including nonunion, tibia fracture, wound problems, and compartment syndrome.

Introduction

Extensor mechanism complications have historically been one of the major indications for revision TKA. Early series reported complication rates as high as 24%. Due to advances in surgical technique and component design, this rate dropped to between 1% and 8% as of 2001. However, patella instability, one type of extensor mechanism complication, remains a source of significant disability for many patients.

Patella instability often results from technical errors during surgery. The risk of patella instability may be reduced by understanding of the biomechanics of the patellofemoral joint, meticulous attention to fundamental surgical technique, and selection of an implant with features that optimize patellar tracking. Effective intervention in patients with patella instability after total knee arthroplasty (TKA) requires evaluation and determination of the root cause. In this chapter, we provide a systematic approach that includes clinical evaluation, determination of the cause of maltracking, and selection of treatment from among several options.

Clinical Presentation and Indications for Surgery

Failure of a TKA due to patella instability can manifest in several ways. Rarely, a patient presents with an overtly dislocated or dislocatable patella. More often, the clinical history and examination findings are subtle, and the patient complains about vague anterior knee pain, intermittent swelling, or peripatellar crepitus. Symptoms are often exacerbated by activities that increase the forces across the patellofemoral joint, such as descending stairs or standing from a seated position. Range of motion (ROM) can be affected, and an intermittent sense of instability or buckling sensation may indicate that the patella is subtly subluxating. In contrast, an acute-onset episode of medial parapatellar anterior knee pain in the early postoperative period that is associated with aggressive physical therapy or a fall may represent a traumatic dehiscence of the capsular repair. Because the symptoms of patellar maltracking are often nonspecific, infection should be considered in the differential diagnosis. It is ruled out with an analysis of knee aspiration fluid and determinations of baseline levels of inflammatory markers, including the erythrocyte sedimentation rate (ESR) and C-reactive protein (CRP).

There is no specific angle for internal malrotation of a component that should prompt revision knee arthroplasty for patellofemoral instability, and numerous articles have attempted to address this topic. Internal rotation of 1 to 4 degrees results in lateral tracking and patellar tilt; 3 to –8 degrees of internal rotation causes patellar subluxation; and 7 to –17 degrees of combined component rotation can cause early patella dislocation or late patella failure. Barrack and colleagues found that patients with anterior knee pain had an average of almost 5 degrees of combined internal rotation of the TKA components, compared with 2.6 degrees of external rotation determined in an asymptomatic control cohort. In a case-control study of twenty-four patients who underwent revision surgery due to component malrotation with a mean of 6.8 degrees of combined component internal malrotation, the Knee Society scores (KSS) improved by almost 50 points at the 6-month follow-up evaluation.

Equipment

The equipment needed for revision TKA for patella instability is no different from that needed for any revision TKA. Many component extraction devices exist, including flexible osteotomes, Gigli saws, thin-blade oscillating saws, trephines, burs, and specialized footed extractor devices. Any surgeon prepared to do revision arthroplasty should be familiar with each tool’s role. If a tibial tubercle osteotomy (TTO) is planned, a drill and an 18-gauge wire or cancellous screws for fixation should be available.

Preoperative Planning

Prior operative reports provide important information that can be used in the preoperative plan for a patient undergoing revision TKA for patella instability. Identifying the clinical indication for the index surgery may shed light on the current issues. For example, patients with significant valgus deformities often have hypoplastic lateral femoral condyles, which might have contributed inadvertently to internal rotation of the femoral component. Patients who have undergone a patellar realignment procedure may have peripatellar scarring and some intrinsic abnormalities of the extensor mechanism. Knowledge about the make, design features, size, and positioning of the existing components can facilitate removal of the implants and planning for the ultimate combination of revision implants. Determining whether a lateral retinacular release was performed at the index surgery can provide insight about the intraoperative issues encountered by the first surgeon and may affect treatment options for persistent patellar tilt or subluxation after component revision.

Anatomy and Approaches

The patella is held in a delicate balance by the surrounding peripatellar soft tissues, including the retinaculum, the quadriceps tendon, and the infrapatellar ligament. The quadriceps angle (Q angle) is the angle formed by the intersection of a line connecting the anterior superior iliac spine to the patella and a second line between the patella and tibial tubercle that represents the laterally directed muscle vector on the patella by the quadriceps muscles. A tight lateral retinaculum, an incompetent medial retinaculum, or a combination of the two can lead to patellar tilt. Increasing the Q angle or overstuffing the patellofemoral joint leads to patellar subluxation or dislocation, whereas altering the joint line leads to patella baja or patella alta. Appropriate alignment parameters, correct component position, and soft tissue balance are prerequisites for sound patellar tracking after TKA.

The blood supply to the anterior knee must be protected to prevent skin necrosis and wound dehiscence, just as the vascular supply to the patella must be preserved to avoid avascular necrosis ( Fig. 24.5 ). Because the main vascular supply to the anterior knee skin is derived from a rich anastomosis of vessels that lies just superficial to the deep fascia, all dissection should be performed deep to the fascia. The deep perforators supplying the anastomoses arise from the medial side of the knee as branches of the saphenous artery and from the descending genicular artery, and the most lateral prior longitudinal incision should be used if feasible. Because the standard medial parapatellar incision divides the medial-side arteries, the lateral meniscectomy interrupts the inferior lateral genicular artery, and the recurrent anterior tibial artery may be disrupted during excision of the fat pad, the superior lateral genicular artery often is the only remaining patellar blood supply. Recognition of its location deep to the synovium in the same plane as the vastus lateralis allows the surgeon to preserve the vessels during an internal lateral release, although it is not proven that preserving the superior lateral genicular artery is clinically beneficial.

FIGURE 24.5, Patellar blood supply.

You're Reading a Preview

Become a Clinical Tree membership for Full access and enjoy Unlimited articles

Become membership

If you are a member. Log in here