CASE STUDY

Case 1

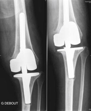
A 72-year-old woman underwent a total knee arthroplasty (TKA) for primary osteoarthritis that was revised to a hinged TKA 12 years later because of loosening. Twelve months after the revision TKA, she was referred to our center. A postoperative infection occurred 3 weeks after the index implantation. The knee was reoperated to provide surgical débridement. A fistula persisted postoperatively, and the patient continued to have severe pain. Early loosening was observed on sequential radiographs ( Fig. 35.1 ). Persistent infection was diagnosed after culture of a knee aspirate grew Staphylococcus aureus that was sensitive to methicillin.

FIGURE 35.1, Case 1: Standard preoperative radiographs. A, Anteroposterior (AP) view. B, AP view centered on the tibial cortical defect

We performed a one-stage exchange with reconstruction using a hinged prosthesis with cemented stem extensions and provided immediate coverage with a gastrocnemius flap. Intraoperative samples confirmed the diagnosis. Postoperative antibiotic treatment was given intravenously for 2 weeks and orally for 3 months. The postoperative course was uneventful. After 2 years, the patient had only minor pain after strenuous activities. There were no signs of persistent infection, and no pathologic changes were observed on the final radiographs ( Fig. 35.2 ).

FIGURE 35.2, Case 1: Standard final radiographs. A, Anteroposterior view. B, Lateral view.

Case 2

A 70-year-old man underwent a TKA 6 months before referral to our center. He was never satisfied with the results because of persistent pain. Prosthetic loosening with tibia subsidence was observed after 6 months ( Fig. 35.3 ). The result of a perioperative aspiration was negative, but the clinical history supported a diagnosis of chronic infection.

FIGURE 35.3, Case 2: Standard preoperative radiographs. A, Anteroposterior view. B, Lateral view.

We performed a one-stage exchange with reconstruction using a stabilized prosthesis with cemented stem extensions. Intraoperative samples confirmed the diagnosis of infection, and culture grew Propionibacterium acnes . Postoperative antibiotic treatment was given intravenously for 2 weeks and orally for 3 months. The postoperative course was uneventful. At follow-up after 2 years, the patient had no complaints of knee pain. There were no signs of persistent infection, and no pathologic changes were observed on the final radiographs ( Fig. 35.4 ).

FIGURE 35.4, Case 2: Standard final radiographs. A, Anteroposterior view. B, Lateral view.

Chapter Preview

Two-stage exchange is considered the gold standard for treatment of chronic infection after total knee arthroplasty (TKA). However, a one-stage exchange may be an alternative to provide infection control and better knee function. In our experience, routine one-stage revision has not been associated with a higher rate of infection recurrence, but knee function was not improved compared with the results of two-stage revisions. One-stage exchange may be a reasonable alternative for some patients with chronically infected TKAs, improving their quality of life and reducing hospital costs.

Introduction

Infection after TKA is a devastating complication that threatens life and function. With the use of modern prophylactic measures, a low incidence of postoperative infection (1% to 2%) is to be expected. However, with the increasing number of TKAs performed, the number of infections will increase in proportion.

Treatment of infected TKAs usually requires surgery. Débridement should be performed only for early-stage infections. For chronic infection, prosthesis removal is considered mandatory. Implantation of a new prosthesis usually is performed in a subsequent stage after a variable waiting period (i.e., two-stage protocol) for healing of the infection. The period without any implant in place theoretically allows better control of the infection with systemic antibiotic therapy, but the patient must endure functional impairment during this period, and the final outcome may be poorer.

One-stage reimplantation was first proposed by Wroblewski. The theoretical advantage is that this approach suppresses the waiting period before reimplantation and improves the final functional outcome. It also avoids the need for a second demanding procedure with inherent risks of complications, including the occurrence of a new infection. However, the one-stage procedure has a higher risk of persistent or recurrent infection due to deficient débridement or insufficient antibiotic treatment.

Two-stage protocols are considered the gold standard for the treatment of infected TKAs. One-stage procedures usually are considered contraindicated or reserved for selected cases (e.g., those with no fistula, no severe bone damage, and a known pathogen with high sensitivity to antibiotics). However, only limited, nonprospective studies have addressed these issues, and systematic literature analyses have been inconclusive.

A routine one-stage protocol that includes prolonged oral antibiotic treatment may be applied to all cases of chronically infected TKA except for fungal infections and repeat failures of previous infection treatments. This chapter presents this protocol, with its important points and pitfalls, and compares its results with those reported in the literature.

Indications and Contraindications

At our institution, a routine one-stage protocol is used for almost all cases of chronically infected TKA, provided that certain conditions are met. There are few contraindications:

  • Cases of early postoperative infection are considered for débridement with implant retention when the surgical treatment is performed up to 6 weeks after the index implantation.

  • Cases of hematogenous infection are considered for débridement with implant retention when the surgical treatment is performed up to 7 days after the onset of the symptoms.

  • Fungal infection is routinely treated with a two-stage procedure.

  • Repeat failure of TKA exchange (one or two stage) is routinely considered for a two-stage protocol.

All other cases are typically treated with a one-stage prosthesis exchange. In selecting patients, we do not take into account the classic contraindications for such a protocol, such as fistula, resistant pathogen, poor medical status, or extensive bone destruction. The only contraindication might be a chronic infection with a pathogen (e.g., fungus) with virtually no possibility of prolonged antibiotic treatment. However, these cases are rare.

You're Reading a Preview

Become a Clinical Tree membership for Full access and enjoy Unlimited articles

Become membership

If you are a member. Log in here