Key Points

Incidence

In the United States, approximately 228,150 cases of lung cancer and approximately 142,670 deaths were projected from lung cancer in 2019. Incidence is decreasing in the United States while increasing worldwide, reflecting patterns in tobacco use. Routine lung cancer screening with low-dose computed tomography (CT) is recommended for patients with a significant tobacco history.

Biological Characteristics

The predominant histological classifications of NSCLC are adenocarcinoma and squamous cell carcinoma. Unique and actionable “driver” molecular events are best characterized in adenocarcinoma, which includes EGFR mutation and EM4-ALK translocation. NSCLCs are also known to respond to immune checkpoint inhibition, with the PD-L1 assay being the most common test to predict responsiveness.

Staging Evaluation

High resolution CT of the chest is needed to determine the thoracic extent of disease. Intravenous contrast is helpful for central lesions and/or those with suspected nodal involvement. Positron emission tomography/computed tomography is recommended for all cases to not only detect occult metastatic disease but also to better evaluate the mediastinum. Patients with more advanced disease should also have a brain magnetic resonance imaging scan given the propensity for brain metastases. Biopsies should be done to prove stage and may include a surgical approach with mediastinoscopy or less invasive approaches, including bronchoscopy, endobronchial ultrasound, or transthoracic needle aspiration. The American Joint Committee on Cancer's Cancer Staging Manual, 8th edition is used to categorize the staging information for optimal treatment approaches.

Primary Therapy

For early-stage disease, anatomic resection with a lobectomy when feasible and mediastinal lymph node dissection are the preferred treatment options for medically operable patients. Medically inoperable patients are often well suited for stereotactic body radiotherapy.

Adjuvant Therapy

Following curative-intent resection with hilar or occult mediastinal lymph node involvement, adjuvant chemotherapy is recommended. The role of postoperative radiotherapy is clearly indicated for incomplete resections but is controversial in completely resected lung cancer with N2 involvement.

Locally Advanced Disease

Multimodality treatment is necessary for optimal results. For some operable patients with limited mediastinal involvement, neoadjuvant chemotherapy with or without radiation followed by resection is appropriate. For inoperable cases, radiation to a minimum dose of 60 Gy concurrent with chemotherapy is recommended, followed by consolidation with the immune checkpoint inhibitor durvalumab.

Palliation

Hypofractionated regimens result in effective palliation for a variety of symptoms, with the performance status of the patient influencing the preferred dose/fractionation. Longer-course regimens appear to have less immediate but more durable symptom palliation and may extend survival in patients with good performance status. More aggressive extracranial treatment is indicated in patients with oligometastatic disease.

Introduction

It was estimated that lung cancer would kill around 142,670 men and women in the United States in 2019, more than colon, breast, prostate, and pancreatic cancers combined. More than 80% of these cases were caused by habitual or environmental exposure to tobacco smoke. This common origin, as well as markedly improved outcomes following treatment of early- versus advanced-stage lung cancer, makes it a disease better suited to prevention and early detection rather than treatment. Tobacco-cessation efforts on both national and hospital/community levels are necessary to assist with prevention. However, non–tobacco-associated lung cancer (NTLC) is not a rare disease, representing approximately 20% and 10% of lung cancers in women and men, respectively. NTLC frequently differs at a molecular level from tobacco-associated NSCLC; these differences can have significant clinical and therapeutic implications. Owing to the latency between tobacco exposure and cancer development, the burden of lung cancer will remain for decades even if aggressive cessation efforts are successful. Routine screening of high-risk populations is essential, with current practice shaped by the National Lung Screening Trial (NLST), which demonstrated a reduction in lung cancer deaths with low-dose computed tomography (CT) screening of high-risk populations.

Although current therapies have considerable room for improvement, they must not be viewed nihilistically. Adjuvant systemic therapy in resected NSCLC has resulted in a modest but statistically significant and clinically meaningful survival improvement, especially in those with nodal involvement. In locally advanced NSCLC, concurrent chemotherapy and radiotherapy has substantially increased long-term survival. Recently, the addition of immunotherapy has transformed the care of lung cancer patients. Adjuvant immunotherapy following concurrent chemotherapy and radiotherapy dramatically improves progression-free survival (PFS) and overall survival (OS) in locoregionally advanced NSCLC patients, while immunomodulating agents alone or in combination with cytotoxins and biologics have improved PFS and OS in metastatic or recurrent NSCLC. Finally, improvements in supportive care have both prolonged survival and enhanced quality of life (QoL). These incremental improvements in therapy have helped many individuals diagnosed with NSCLC.

The key to improving treatment for lung cancer is the integration of diagnostic and treatment modalities by a dedicated team well versed in the application of the appropriate modalities and with the ability to combine them without undue bias. This interdisciplinary approach and the expertise, dedication, and collaboration that it mandates are essential to optimize therapy for patients. Furthermore, advances in molecular characterization have enabled the identification and targeted treatment of oncogenic-driven cancers, bringing the concept of personalized medicine to fruition. From a radiotherapy standpoint, refinements in imaging and delivery technologies have improved the accuracy and reproducibility of therapy, thereby enhancing the therapeutic ratio. The development of interventions to facilitate such continuity of care and communication with patients and other care providers is gaining attention. A growing advocacy effort similar to what is done for patients with breast and prostate cancer will also focus attention and research efforts on lung cancer patients.

Etiology and Epidemiology

An estimated 2,093,876 cases of lung cancer were diagnosed worldwide in 2018, with 1,761,007 deaths. Among men, age-standardized rates are highest in central/eastern Europe and Eastern Asia. In contrast, age-standardized rates for women are highest in North America. Incidence is decreasing in developed countries, including the United States, attributable to declining trends in tobacco use. Unfortunately, the tobacco epidemic is rising in East Asia. In the United States alone, the annual American Cancer Society (ACS) cancer statistics report projected 234,030 new cases will be diagnosed in 2018 with an estimated 154,050 deaths. Incidence in US men continues to decline. For women, a clear decrease is now apparent following nearly 2 decades of stable incidence. The number of deaths remains staggering and represents a quarter of all cancer deaths, greater than breast, prostate, and colorectal cancers deaths combined. Based on the ACS report, 5-year OS for lung cancer (including small cell) is approximately 20%. The poor survival is related in part to the fact that approximately 60% of patients present with metastatic disease. Fortunately, the mortality rate is decreasing, which is likely a result of a combination of factors, including increased screening, improved staging, and therapeutic advances.

The etiology of lung cancer involves modifiable risk factors as well as the individual susceptibility to those exposures. Cigarette use is the most significant preventable risk factor for developing lung cancer and is thought to be associated with more than 80% of cases. This is attributed to the many carcinogens in tobacco smoke, including nitrosamines and polycyclic aromatic hydrocarbons. The amount and length of time that tobacco is smoked correlates with risk, with estimates ranging from a 10- to 30-fold risk depending on the exposure. A useful metric in quantifying this exposure is known as pack years smoked , which is the amount of packs per day multiplied by the length of time in years smoking. Up to 90% of the risk attributable to tobacco exposure can be avoided with early tobacco cessation. Even among patients who have been treated for lung cancer, smoking cessation has several benefits including a reduction in recurrence of the primary tumor, reduction in the incidence of second primary lung cancers, and improved survival. Although risk estimates are much lower, secondhand exposure is also a clear risk factor.

Beyond tobacco, other agents that have been associated with lung cancer include arsenic, beryllium, cadmium, chromium, nickel, asbestos, silica, radon, smoke from cooking/heating, and diesel fumes. There is often a synergistic effect in the risk of these agents in populations that also smoke. These agents are also implicated in the development of lung cancer in never smokers. Worldwide, up to 20% to 25% of lung cancer cases occur in never smokers, particularly in women. A study in an Asian population found a significant association with indoor pollution from heating/cooking methods. Particulate outdoor pollution has also been associated with a modest but significant risk for the development of lung cancer. An inherited component of risk may be present for some individuals, especially younger patients with no smoking history and multiple affected family members. The genetic component is likely complex and may represent a combination of factors, including susceptibility loci, alterations of genes involved in the dependency on nicotine, metabolism of carcinogens, cell cycle progression, and DNA repair or even specific oncogenic germline mutations such as EGFR T790M and HER2 G660D. The clinical and molecular characteristics of lung cancer arising in persons who have never smoked or in minimal smokers are generally distinct from those of tobacco-associated lung cancer.

Early Detection and Prevention

The single most important preventive action for lung cancer is the complete abstinence or cessation of tobacco smoking. Preventive action occurs on a national/international level with public education programs about the potential harms of tobacco use as well as programs to support tobacco cessation. However, it also should occur on the physician-patient level; the US Preventive Services Task Force (USPSTF) recommends that clinicians ask all adults about tobacco use. Active smokers should be advised to stop and provided behavioral interventions and pharmacotherapy to assist with a quit attempt. Enrollment in a formal smoking cessation program is preferred if available. In the United States, a free telephone quit line (800-QUIT-NOW) or web-based program ( www.smokefree.gov ) is provided to facilitate these efforts. In addition to behavioral counseling and support, several US Food and Drug Administration (FDA)–approved medications have been shown to increase the chance of a quit attempt. Preferred options include nicotine replacement therapy (patches, gums, lozenges, and the like), varenicline, or bupropion. Randomized evidence comparing all three medications shows varenicline to have the highest abstinence rates with a good safety profile. Many patients will consider e-cigarettes as an alternative nicotine replacement strategy. Although the reduction or cessation of tobacco smoke is preferred, the health risks of e-cigarettes have not been fully characterized and there are no current guidelines that recommend their use in helping patients quit smoking.

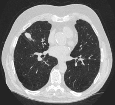
At present, no agent or combination of agents has been proven to delay or prevent the development of lung cancer in high-risk populations. The emphasis in this population has been early detection, previously with chest radiographs and now most notably with low-dose screening chest CT ( Fig. 51.1 ). NSCLC is a disease well suited for a comprehensive screening program for a number of reasons. The disease is common and represents a significant health problem, especially in a high-risk population that has a clearly identifiable risk factor of tobacco exposure. Lung cancer is often asymptomatic until the disease is advanced, at which point it has a high mortality rate even with treatment. Effective therapies are available for early-stage lung cancer. As tumor size and stage are highly prognostic, it is most advantageous to diagnose the disease as early as possible. A sensitive screening test is essential to an effective screening program that preferably has limited morbidity, is accessible to the at-risk population, and is economical relative to the consequences of an unscreened population.

Fig. 51.1, Computed tomography scan of a 78-year-old man with a screen detected cT1c N0 non–small cell lung cancer.

Initial trials with chest radiographs and sputum cytology suggested a potential benefit of early detection, but in the large Prostate, Lung, Colorectal and Ovarian (PLCO) cancer screening trial, there was no survival benefit from chest radiographs compared with usual care. Improved anatomic resolution with low-dose chest CT was compared with conventional chest radiographs in the NLST, which represents the most important screening trial influencing early detection practices in the modern era.

Patients aged 55 to 74 years with at least a 30 pack-year history were eligible for the NLST, including active smokers or those who had quit within 15 years. Exclusion criteria included a prior diagnosis of lung cancer, chest CT within 18 months of enrollment, or any symptoms suggestive of lung cancer, including hemoptysis or unexplained weight loss. In the CT arm, low-dose noncontrast multidetector CT (LD-CT) was used to reduce radiation exposure (average effective dose of 1.5 mSv compared with 8 mSv for diagnostic CT) but obtain high-resolution thin-cut images. In both groups, imaging was obtained at baseline and for two subsequent consecutive years. A positive result was defined as a noncalcified nodule (at least 4 mm in the LD-CT group) or other suspicious findings, including a pleural effusion or regional adenopathy. Approximately 53,000 patients from 33 centers were randomly assigned and, after a median follow-up of 6.5 years, LD-CT was associated with a 20% and 6.7% relative reduction in lung cancer–specific and overall mortality, respectively. Of detected lung cancers, 50% were stage I with LD-CT while only 30% were stage I with chest radiography. An important observation from this trial was the high false-positive rate of screening. In the LD-CT arm, 24% of CT scans met criteria for an abnormal result, of which over 95% were deemed false positive. In most cases, false-positive results were confirmed by serial imaging; invasive procedures were necessary to characterize the abnormality in others. A protocol-defined management approach to pulmonary nodules was not implemented in the trial, however. A criticism of the NLST was that it did not compare CT to a truly unscreened population, but in considering the results of the PLCO trial, it suggests that LD-CT would have similar benefits over usual care.

Ongoing questions for screening include the appropriate population to screen, the optimal duration and interval of screening examinations, and the most appropriate workup of an abnormal result. While most expert groups recommend screening a population similar to that of the NLST protocol, patients older than 74 years but in good health who would be eligible for definitive treatment may warrant screening. Refinements in risk prediction may eventually better select patients; however, at present, age and tobacco exposure remain the primary criteria. The NELSON trial randomly assigned 15,822 high-risk patients in Europe to increasing screening intervals with CT (1, 2, and 2.5 years) versus no screening. In contrast to the NLST, NELSON incorporates volume doubling time in the nodule management algorithm. While the primary analysis for mortality reduction with screening is still pending, it has been observed that the longer-interval screening is associated a higher proportion of advanced-stage disease and interval cancer diagnoses. This suggests that the screening interval should be maintained annually. Whether screening should continue beyond 3 years in patients with a negative result is unclear.

The identification of a pulmonary nodule(s) on screening CT can be further classified using the lung imaging reporting and data system (Lung-RADS; Table 51.1 ). Similar to the Bi-RADS system used for breast imaging, Lung-RADS was developed in order to provide standardization for lung cancer screening reporting and management. In contrast to the NLST, solid nodules greater than 6 mm in average diameter are considered a positive finding in Lung-RADS. This system was implemented in 2015, with subsequent studies demonstrating the utility of its use in screening populations.

TABLE 51.1
Lung-RADS Classification of Pulmonary Nodules With Recommended Management
Lung-RADS Category Findings on Initial/Subsequent LD-CT Recommendation
1-negative No nodules; nodules with calcification Continued annual LDCT
2-benign Initial
SN/PSN: <6 mm
GGN: <20 mm
Subsequent
Category 3 or 4 nodules with no change at ≥3 months
Continued annual LDCT
3-probably benign Initial
SN: ≥6 to <8 mm
PSN: ≥6 mm with solid component <6 mm
GGN: ≥20 mm
Subsequent
SN: new ≥4 to < 6 mm
PSN: new <6 mm
GGN: new ≥20 mm
6 month LDCT
4A-suspicious Initial
SN: ≥8 to <15 mm
PSN: ≥8 mm with solid component ≥6 and <8 mm
Subsequent
SN: growing <8 mm or new ≥6 mm to <8 mm
PSN: >6 mm with new or growing solid component <4 mm
3 month LDCT, consider PET/CT for SN or solid component ≥ 8 mm
4B-suspicious Initial
SN: >15 mm
PSN: Solid component ≥8 mm
Subsequent
SN: New or growing and ≥8 mm
PSN: ≥6 mm with new or growing solid component ≥4 mm
PET/CT and/or tissue sampling
4X-suspicious Category 3 or 4 nodules with additional features suspicious for cancer PET/CT and/or tissue sampling
SN, solid nodule; PSN, part solid nodule; GGN, ground glass nodule

The most important characteristics of the Lung-RADS system include nodule attenuation (i.e., solid, part-solid, or ground-glass), nodule size, and growth characteristics. Among the different attenuation types, part-solid nodules tend to have the greatest association with malignancy. Attenuation characteristics that strongly favor a benign etiology include benign calcification pattern (central, diffuse, or laminated) and fat attenuation, which can represent prior infection and granulomas or hamartomas, respectively. Malignancy is more likely in solid or part-solid nodules when the solid component is greater than or equal to 8 mm. While spiculated borders tend to be associated with primary lung cancer and smooth, well-defined borders can be seen with either benign or metastatic lesions, these features are not always reliable in distinguishing a primary lung cancer. When serial CT is obtained, volume doubling time can further risk stratify lung nodules. Solid nodules with a doubling time of less than 6 months are highly associated with malignancy, where part-solid and ground-glass nodules with doubling times on the order of years can still be associated with malignancy. Malignancies with long volume doubling times tend to be associated with more indolent histologies (adenocarcinoma in situ [AIS], minimally invasive adenocarcinoma [MIA]), which can factor into the need for intervention. It should be noted that volume doubling time is not part of the current Lung-RADS system. The workup and tissue confirmation of a patient with a suspected lung cancer is discussed separately. Nodules that are detected incidentally outside of a screening program are typically managed according to the Fleischner Society Guidelines most recently updated in 2017.

Pathology and Molecular Biology of Lung Cancer

The past decade has seen dramatic changes in our understanding of the molecular basis of lung cancers. Histopathological classification remains a critical step in not only differentiating small cell versus non–small cell lung cancer but also in individualizing molecular testing. The World Health Organization (WHO) 2015 classification is the most recent update for the classification of malignant epithelial lung tumors. Non–small cell lung tumors are categorized into five major types: adenocarcinoma, adenosquamous carcinoma, squamous cell carcinoma, large cell carcinoma, and sarcomatoid carcinoma. Further subtyping can be applied to these designations, with adenocarcinoma having the most variants. Of note, the term bronchioalveolar carcinoma (BAC) has been replaced with adenocarcinoma in situ (AIS) or minimally invasive adenocarcinoma (MIA). Both of these newer designations refer to nodules less than or equal to 3 cm with lepidic growth, with the latter (MIA) including an invasive component no larger than 5 mm. Large cell carcinomas with neuroendocrine features are now classified as neuroendocrine tumors along with small cell and carcinoid tumor.

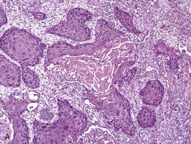
The initial distinction between small cell and non–small cell lung cancer is often possible based on light microscopy and hematoxylin and eosin (H&E)–stained cytological features. Small cell carcinoma cells are typically no larger than the size of three lymphocyte nuclei. Adenocarcinoma is characterized by glandular formation and intracytoplasmic mucin, while for squamous cell carcinoma keratin production and intercellular bridging can be pathognomonic ( Fig. 51.2 ). Large cell carcinoma is often described as polygonal cells with abundant cytoplasm, but the diagnosis is often one of exclusion from adenocarcinoma and squamous cell carcinoma.

Fig. 51.2, Hematoxylin and eosin photomicrographs of a squamous cell carcinoma demonstrating keratin pearl formation (A) and adenocarcinoma with papillary features (B).

Immunohistochemistry (IHC) provides further clarification as to histological type. Thyroid transcription factor-1 (TTF-1) and napsin are characteristic of primary adenocarcinoma of the lung in which cytokeratin (CK) 7 is usually positive and CK 20 is negative. Squamous cell carcinomas will usually stain positive for p40, CK 5/6, and/or p63. Typical neuroendocrine markers include chromogranin A, synaptophysin, neuron-specific enolase and cluster of differentiation (CD) 56. In some tumors, especially when biopsy material is limited, it may not be possible to characterize histological type and the term NSCLC not otherwise specified (NOS) may be applied.

The genomic characteristics of squamous cell and adenocarcinoma lung cancers were recently comprehensively characterized by the Cancer Genome Atlas (TCGA) Research Network. For squamous cell carcinomas, complex and widespread genomic alterations were apparent, with mutations in the tumor suppressor gene TP53 being nearly universal. Although less common, additional specific alterations were noted in the following pathways: CDKN2a/RB1, NFE2L2/KEAP1/CUL3, PI3K/AKT and SOX2/TP63/NOTCH1. Interestingly, inactivating mutations in the HLA-A class I major histocompatibility gene were found, suggesting a molecular explanation for immune tolerance.

In adenocarcinoma, driver genetic alterations have been described in which the receptor tyrosine kinase (RTK)/RAS/RAF pathway is mutated and/or altered in approximately three-quarters of cases. The following sections will review some of the more common molecular events with clinical relevance in NSCLC.

Epidermal Growth Factor Receptor

Epidermal growth factor receptor (EGFR) is a transmembrane RTK that mediates a number of intracellular signaling pathways critical for cell growth, survival, neovascularization, and metastasis. Various alterations in EGFR expression have been described, including copy number gains and mutations. Multiple activating mutations in the EGFR gene have been characterized that lead to constitutive downstream signaling of the RAS/RAF pathway, with the most common variants being exon 19 deletions and the missense mutation L858R in exon 21. EGFR-directed tyrosine kinase inhibition (TKI) has been shown to significantly improve PFS in patients with activating EGFR mutations. While the majority of identified mutations predict responsiveness to EGFR TKI, numerous variants are intrinsically resistant to current targeted therapies, including most exon 20 insertions and the T790M mutation. The incidence of activating EGFR mutations varies by smoking status, being less common in patients with a more substantial pack-year history. Ethnicity and geography also influence incidence, with Asian patients having over a 50% probability of an EGFR mutation, whereas rates of 10% to 20% are typically reported in Europe and North America. Women consistently demonstrate higher rates of mutation compared with men. Considering the prevalence and therapeutic implications of an EGFR mutation, EGFR testing is recommended for all patients with adenocarcinoma or NSCLC NOS irrespective of smoking history, ethnicity, or gender. A further discussion on the clinical benefit of EGFR TKI is addressed in the systemic therapy section later in this chapter.

RAS

The RAS oncogene family contains three members: KRAS, HRAS, and NRAS, which encode membrane-associated proteins involved in mediation of signals arising from binding of ligands to cell membrane receptors such as EGFR to nuclear transcription factors. Among these three, KRAS is the most commonly mutated and is found in 20% to 30% of patients with lung adenocarcinoma. These mutations tend to be mutually exclusive with EGFR mutations or ALK rearrangements and are more common in smokers. Common KRAS alterations include missense mutations involving codons 12, 13, or 61, which leads to constitutive activation of the signaling pathways. KRAS mutations have unclear prognostic utility, with several studies reporting conflicting results. In early-stage patients treated with stereotactic body radiotherapy (SBRT), one study found that KRAS mutation predicted for a higher risk of relapse. Unfortunately, KRAS mutations have presented a therapeutic challenge and targeting downstream targets of RAS , including MEK inhibition with trametinib or selumetinib, has not demonstrated a clinical benefit. The current practice is to treat KRAS mutant tumors analogous to those without a driver mutation.

TP53

TP53 is tumor-suppressor gene critical in the DNA damage repair response, with key functions including cell cycle arrest and regulation of apoptosis. Abnormalities in the TP53 gene (or its expression) is the most common genetic abnormality in NSCLC, reported in 80% of squamous cell carcinomas and approximately 50% of adenocarcinomas. While this most often includes mutation or deletion of TP53 , altered expression/mutations of genes that modulate TP53 function, such as MDM2 or ATM , can impair TP53 function. TP53 mutations are highly associated with tobacco exposure, with a characteristic mutational profile involving a high frequency of G to T transversions in smokers. A systematic review and meta-analysis of TP53 mutations as a prognostic factor suggests an association with worse survival in multiple subgroups of NSCLC. While potentially showing prognostic value, management remains the same irrespective of TP53 status.

EML4-ALK

Fusion of the echinoderm microtubule-associated protein-like 4 ( EML4 ) and anaplastic lymphoma kinase ( ALK ) genes has been described in a subset of patients with NSCLC. The overall incidence of an ALK rearrangement is approximately 5%, being more common in younger patients with a light or never-smoking history. These rearrangements occur in adenocarcinomas and tend to be mutually exclusive with EGFR and KRAS mutations. Inhibitors of ALK have shown significant activity in clinical trials with dramatic improvements in overall response rates and PFS in patients with EML4-ALK translocations, which is discussed in detail later in the systemic therapy section.

ROS1

ROS1 is a receptor tyrosine kinase in which fusion with a variety of gene partners leads to overexpression of the kinase domain. ROS1 rearrangement occurs in approximately 1% to 2% of unselected patients with adenocarcinoma. As is the case with ALK rearrangements, the incidence is higher among never smokers. Interestingly, homology between ROS1 and ALK results in responsiveness to the oral TKI crizotinib, with a prospective Phase II study of ROS1-rearranged NSCLC treated with crizotinib showing an objective response rate of 72% and median PFS of 19.2 months. ROS1, however, does not appear to be responsive to second-generation ALK TKIs.

BRAF

BRAF is a downstream kinase of the mitogen-activated protein kinase (MAPK) pathway. BRAF mutations can result in unregulated signaling of the MAPK pathway. Various mutations in BRAF occur, with the V600E mutation being the most common. The incidence of BRAF mutations in adenocarcinoma ranges from 2% to 4% and tends to be associated with a smoking history. Combination TKI has activity in BRAF mutant NSCLC and is further discussed in the systemic therapy section.

Carcinogenesis and Pathways of Spread

The respiratory epithelium has a total surface area about the size of a tennis court. It may be divided functionally and pathologically into three zones. From the trachea through the major bronchi, the normal lining is made up of squamous cells with interspersed neuroendocrine cells, which appear most commonly at airway bifurcations. Terminal alveoli are lined predominantly with type 1 and type 2 pneumocytes. Intermediate bronchi and bronchioles show a transition between squamous and adenomatous lining cells that corresponds with a mixture of tumor types at these locations. The exposure of this large respiratory organ to a common set of inhaled carcinogens can result in widespread molecular and subsequent morphological changes termed field cancerization . The particulate size of the carcinogen influences the location and cell type of lung cancer, with large particles tending to settle more centrally and being associated with squamous and small cell carcinomas while finer particles, such as filtered cigarette smoke, extends more peripherally and is more often associated with adenocarcinomas. Considerable overlap can be seen, however, and location alone is not an adequate predictor of histology.

The practical consequence of field cancerization is the risk of synchronous and metachronous malignancies involving the upper aerodigestive tract (i.e., head, neck, lung, and esophagus). For patients with resected NSCLC, the risk of a second primary lung cancer is significantly increased in current or former smokers, with an estimated 8% increased risk per 10 pack-year exposure. When a patient presents with multiple tumors in either the ipsilateral or contralateral lung, establishing whether these are metastases or synchronous lung cancers can influence staging and the potential treatment approach. Radiographically, primary tumors tend to have a spiculated appearance while a pulmonary metastasis tends to be solid and rounded. Multifocal ground-glass nodules can be a feature of adenocarcinoma in situ, minimally invasive adenocarcinoma, and/or lepidic predominant adenocarcinoma, in which each nodule is considered to be a separate tumor. When possible, biopsy showing a different histology and/or morphology is the strongest distinguishing factor. However, clinical judgment is often necessary when tumors are of the same histology or when biopsy is not feasible.

Lung cancer can spread via multiple pathways, which can be broadly categorized as intrathoracic and extrathoracic spread. Intrathoracically, the primary lung mass extends directly into surrounding lung parenchyma and airways. Rarely, this involvement can be diffuse, involving large proportions of the lung and airway. Direct extension into the pleura or pericardium can result in dissemination of cancer into these cavities, manifesting as effusions. Direct extension to the mediastinum, great vessels, chest wall, ribs and vertebral bodies are also possible for more advanced lesions. Intrathoracic spread can also occur aerogenously, where discontinuous extension of cancer cells occurs through the airways to distant lung parenchyma. This mechanism of spread tends to be more common with mucinous subtypes of adenocarcinoma.

Lymphangitic spread can occur within the involved lung and extend to intrapulmonary, hilar, or more distant regional lymphatics. The distribution of nodal metastases is highly prognostic and is reflected in the staging system. The frequency and patterns of nodal spread depend on tumor size, histology, and proximity to central airways. The International Association for the Study of Lung Cancer (IASLC) defines the lymph node stations in the chest numerically as shown in Fig. 51.3 . Most data on regional nodal involvement comes from surgical series and/or patterns of progression analyses. In one study, patients with clinical stage I NSCLC who underwent surgery and lymph node dissection had a 19.4% prevalence of lymph node metastases. Tumor size and solid consistency on CT scan were predictive for nodal involvement. A similar analysis of cT1N0 NSCLC patients reported an incidence of pathologically detected clinically occult lymph nodes of 15%, with a 3-fold increase in risk of pathological stage II or III disease with every 1.0-cm increase in size. The fact that occult nodal involvement is seen even in small lesions indicates that lymphatic spread occurs early in the natural history of NSCLC.

Fig. 51.3, Illustrations of how the International Association for the Study of Lung Cancer (IASLC) lymph node map can be applied to clinical staging by computed tomography scan in axial (A-C), coronal (D) and sagittal (E, F) views. The border between the right and left paratracheal region is shown in (A) and (B). Ao, Aorta; AV, azygous vein; Br, bronchus; IA, innominate artery; IV, innominate vein; LA, ligamentum arteriosum; LIV, left innominate vein; LSA, left subclavian artery; PA, pulmonary artery; PV, pulmonary vein; RIV, right innominate vein; SVC, superior vena cava.

Patients without cancerous involvement of mediastinal lymph nodes after surgery can experience recurrence later in the mediastinum, representing one-third of locoregional recurrences. Although pathological lymph node involvement is typically contiguous from hilar/sublobar to mediastinal lymph node stations, skip metastases directly to mediastinal lymph node stations in the absence of hilar involvement can occur either at diagnosis or recurrence. Patterns of pathological mediastinal lymph node involvement based on the involved lobe have been described. In one such study, right upper lobe tumors most commonly spread to the ipsilateral lower paratracheal nodes, while right middle and right lower lobe tumors had similar distributions of paratracheal and subcarinal nodal involvement. Left upper lobe tumors most commonly spread to the aortopulmonic (AP) window nodes, while left lower lobe tumors tended to involve subcarinal and paratracheal stations. Although not typical, left-sided tumors are more likely to spread to contralateral nodal stations than right-sided tumors.

Extrathoracic spread is common, with the majority of NSCLC cases presenting with metastatic disease. Even among patients treated for localized disease, the most common pattern of progression following treatment is distant recurrence. As a result, there is significant emphasis on thorough staging of NSCLC patients prior to treatment to ensure appropriate therapy. According to the National Comprehensive Cancer Network (NCCN) guidelines, whole body (commonly skull base to mid-thigh) staging with positron emission tomography (PET)-CT is recommended for essentially any stage of NSCLC, while brain magnetic resonance imaging (MRI) is recommended for large primary tumors and in patients with any nodal involvement.

While extrathoracic spread is usually associated with nodal involvement, it can occur independently. Patterns of distant progression can vary according to histology; more recently, progression has been noted to vary based on molecular features. Common locations for metastatic disease include the brain, bones, liver, adrenal glands, and lungs. Primary lung cancer is the most common histology associated with brain metastases. Among NSCLC specifically, adenocarcinomas more commonly result in brain metastases than squamous cell carcinomas. ALK -rearranged NSCLC has been reported to more commonly involve the pericardium and pleural space, while rates of lung and brain metastases have been reported with higher frequency in EGFR mutant versus EGFR wild-type NSCLC.

You're Reading a Preview

Become a Clinical Tree membership for Full access and enjoy Unlimited articles

Become membership

If you are a member. Log in here