Neurological Complications of Systemic Disease: Children


This chapter addresses a complex and diverse topic: the neurological complications of systemic disease in children. Although some clinical features are similar in children and adults, others vary according to the child’s age and stage of development.

Cardiac Disorders and the Nervous System

Congenital Heart Disease

Children with congenital heart disease (CHD) are at risk for neurological complications, including cerebrovascular accidents (CVAs), cerebral abscess, seizures, developmental delay, and cognitive impairment. The neurological complications, seen in as many as 25% of children with CHD, are the most common extracardiac complications of CHD. The many advances in the treatment of CHD and early correction in the first year have reduced the occurrence of developmental disabilities caused by long-term exposure to hypoxia and the neurological complications of uncorrected CHD. The focus has now shifted to neurological injury caused by cardiac surgery and cardiac transplantation.

Cerebral Dysgenesis and Malformations

Cerebral dysgenesis is a consideration to explain neurological symptoms in children with CHD. Autopsy studies reveal a 10%–29% prevalence of cerebral malformations. Patients with hypoplastic left heart syndrome are at a higher risk for associated brain dysgenesis. In one series of 41 patients with hypoplastic left heart syndrome, 29% had associated brain malformations of variable severity, 27% had microcephaly, 21% had immature cortical mantle, and the remainder had other malformations, including one with holoprosencephaly. Other reports include agenesis of the corpus callosum, Dandy-Walker syndrome, and aqueductal stenosis. described the association of moyamoya disease and structural CHD, including ventricular septal defect (VSD), aortic and mitral valve stenosis, and tetralogy of Fallot (TOF).

Chromosomal and Genetic Disorders

The combination of CHD and neurological disorders, mainly developmental delay, is sometimes a manifestation of genetic conditions combining both cardiac and central nervous system (CNS) involvement. Such conditions include trisomy 21, trisomy 13, trisomy 18, cri du chat syndrome (5p deletion), CHARGE association, Williams syndrome, DiGeorge syndrome/velocardiofacial syndrome, and RASopathies. Our understanding of the role of genetics in CHD has improved at a rapid pace during the past few years, with the use of chromosomal microarray and next generation sequencing (NGS), leading to the rapid discovery of numerous pathogenic copy number variants (CNVs) and gene mutations. Chromosomal microarray analysis, also known as array-based comparative genomic hybridization (CGH), has recently become an extremely valuable diagnostic tool, allowing the detection of subtle genomic imbalances that were undetected by conventional chromosome analysis. studied 101 patients with CHD with or without other malformations, such as cleft palate, club foot, and polydactyly, and array-based CGH detected significant abnormalities in 21.8% of patients. and other studies reported similar findings and encouraged screening patients with CHD and developmental delay with chromosomal microarray analysis. showed the clinical utility of CGH as a first-tier test in the evaluation of neonates with CHD. More recently used whole exome sequencing (WES) in 829 nonsyndromic TOF patients and found genetic variants in almost 7% of patients, most frequently seen in the NOTCH1 locus.

Neurological Complications Unrelated to Intervention and Cardiac Surgery

Cerebrovascular Accidents in Uncorrected Congenital Heart Disease

The incidence of stroke (CVA) in children with CHD unrelated to surgery or endocarditis is 1.5%–2%. The most commonly associated cardiac anomalies are TOF and dextroposition of the great arteries. Children with cyanotic CHD or right-to-left shunt have a higher incidence of stroke because of relative anemia, which leads to increased blood viscosity. Stroke may be arterial or venous in origin and either embolic or thrombotic. Cardiogenic stroke can result from emboli arising from the right heart or systemic venous circulation through a right-to-left shunt (paradoxical emboli) or from an intracardiac arterial embolic source. It also can result from cerebral venous thrombosis secondary to the combination of polycythemia, venous stasis, and central venous hypertension. Hemiplegia is the most frequent clinical finding; other presenting features include sudden alteration in consciousness, seizures, and dysphasia or aphasia. Brainstem infarcts are rare; common clinical features are ataxia, dysphagia, cranial nerve palsies, and weakness.

Patients with acyanotic CHD and left-to-right shunt, such as atrial septal defect (ASD), VSD, and patent ductus arteriosus (PDA), are not usually at risk for cardiogenic emboli because of the protection provided by the pulmonary vascular bed. Stroke can occur in rare cases if the direction of the shunt flow reverses.

Congenital stenosis of the great vessels (e.g., aortic stenosis, pulmonary artery stenosis, coarctation of the aorta) contributes to the occurrence of CVA and neurological complications. The usual causes are bacterial endocarditis, arrhythmias, chronic hypoxia, and cerebral aneurysms, with their known association with coarctation of the aorta.

Infants who have CHD are at risk for intraventricular-periventricular hemorrhage because of vascular immaturity and systemic hemodynamic instability. Cranial ultrasound examination shows hemorrhage in 24% of term infants with CHD and an increased incidence of cerebral atrophy and linear echodensities in the basal ganglia and thalamus.

Brain Abscess

The incidence of brain abscess is higher in cyanotic CHD. Earlier report rates were 2%–6%. In recent years, the incidence of brain abscess has decreased markedly because of earlier corrective surgery and more aggressive treatment of dehydration and infections. The occurrence of brain abscess is now largely confined to the developing world, where CHD goes uncorrected. TOF is the most common underlying cardiac lesion, followed by transposition of the great arteries. Brain abscesses are rare before the age of 2 years. In 75% of the cases, the lesion is supratentorial; in 20%, multifocal. The most common early presentation, often subtle, consists of headache in 50% of patients, vomiting in 72% of patients, personality change, and irritability. In some cases, the clinical onset can be abrupt, with seizures as the first clinical manifestation. Focal neurological signs and visual disturbances occur. Early on, as many as 75% of patients are afebrile. Eventually, papilledema and coma can occur. Computed tomography (CT) and magnetic resonance imaging (MRI) establish the diagnosis by revealing areas of hypodensity with contrast ring enhancement surrounded by edema. The usual causative organisms are mixed aerobic and anaerobic streptococci, staphylococci, Haemophilus , and occasionally gram-negative bacteria. Early detection at the stage of cerebritis allows a conservative approach with high-dose broad-spectrum antibiotic therapy for 3–6 weeks. Surgery sometimes is required, by either direct resection or CT-guided aspiration, depending upon the location of the abscess.

Infective Endocarditis

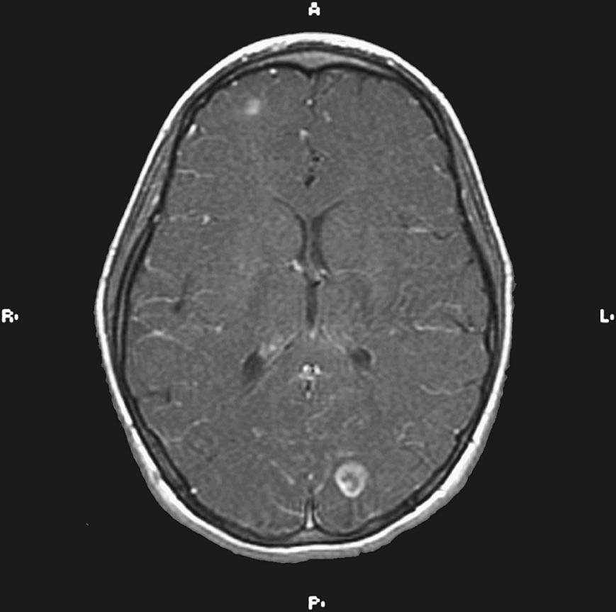
The implementation of subacute endocarditis prophylaxis before dental and surgical procedures in patients with CHD has greatly reduced the incidence of bacterial endocarditis, but it has not improved mortality, which remains at 11.1% ( ). Approximately one-third of cases of infective endocarditis are associated with neurological complications. These include cerebral embolization, usually in the middle cerebral artery (MCA) territory, meningitis, brain abscess, and seizures ( Fig. 59.1 ). Cerebral mycotic aneurysms complicate 1.2%–5% of cases of infective endocarditis and carry a high mortality rate of 60%. The risk of hemorrhagic transformation of septic infarctions is high and associated with a mortality rate of 80%–90%.

Fig. 59.1, Magnetic resonance image of brain of a 12-year-old girl with congenital heart disease, subacute endocarditis, and brain abscess. The patient presented with fever, headaches, and diplopia.

Cognitive Impairment

Children with CHD, predominantly the cyanotic type, are at an increased risk for intellectual impairment and behavioral problems. Studies have shown that 25% of children with cyanotic CHD required special education, and 23.7% of adolescents with CHD had behavioral problems ( ). Mean IQ scores in cyanotic CHD usually are in the mid-90s. Also noted is an early delay in gross motor skills in infancy, but there has been improvement over time. Hence, developmental quotients, influenced by gross motor scores, are inaccurate in this population. The most significant factors contributing to developmental delays are chronic hypoxia, white matter gliosis, and small cortical scars, even in the absence of demonstrable emboli.

Neurological Complications of Intervention and Cardiac Surgery

The risk of neurological complications with cardiac catheterization in infants and children is low. The incidence of seizures is 1%. Rare complications are focal paresthesias and injuries of the lumbar plexus or femoral nerve caused by localized hematoma.

The mortality rate associated with cardiac surgery has dramatically fallen in the past 20 years and is now less than 10%. As the mortality rate continues to decline, the emphasis is now on finding measures to improve morbidity. The incidence of neurological complications after cardiac surgery in children ranges between 2% and 25%. Neurological monitoring should be implemented during and after cardiac surgery to detect these types of complications earlier. Neuromonitoring strategies, such as the use of intraoperative monitoring with near-infrared spectroscopy or NIRS to estimate cerebral oxygenation ( ) and the use of continuous electroencephalogram (EEG) and transcranial Doppler (TCD) ultrasound, may hold promise for early detection of neurological complications, but future studies are needed.

reviewed data for 523 cardiac surgery patients and found neurological events or deficits in 31 patients in the immediate postoperative period. Seizures occurred in 16, pyramidal signs (hemiparesis-quadriparesis) in 11, extrapyramidal signs in eight, and neuro-ophthalmic deficits (gaze palsies, visual field defects) in six. Six patients were unconscious, and four demonstrated miscellaneous neurological changes, such as development of Horner syndrome secondary to brachial plexus injury, vocal cord palsy, isolated bulbar palsy, and transient ischemic episodes. A period of low perfusion pressure, either intraoperatively or postoperatively, was present in more patients who had an adverse neurological event than in those who were normal. The likely pathogenesis of CNS injury is microembolization and ischemia during bypass or the development of intracranial hemorrhage ( ). Corrective surgery for coarctation of the aorta is especially associated with CVAs.

Seizures are the most common complication after cardiac surgery, seen in up to 15% of children postoperatively. The prognosis varies with the underlying cause. Other complications include delayed recovery of mental status (thought to be caused by hypoxic-ischemic reperfusion injury), and movement disorders such as choreoathetosis, oculogyric crisis, and Parkinsonism.

A postoperative encephalopathy, characterized by choreoathetosis and developmental delay, is a well-defined complication after cardiac surgery in children, but not after cardiac surgery in adults. The incidence has dropped from 18% to 0.6% in recent reports ( ). A mild transitory form can follow cardiac surgery in infants. The severe form occurs in children who undergo such surgery after infancy. In the severe postpump choreoathetosis, the early mortality rate approaches 40%. Most of the patients have residual involuntary movements and severe long-term neurological disturbances years later. The mild form is associated with cognitive and behavioral disturbances despite complete resolution of choreoathetosis. The mechanisms underlying the pathogenesis remain unclear, with the usual proposed explanations being deep hypothermia and intraoperative hypoxic injury ( ). Brain imaging in these cases usually reveals nonspecific changes such as cerebral atrophy. Neuropathological data are limited; however, the external globus pallidus is the most consistent locus of injury, with evidence of gliosis, neuronal loss, nerve fiber degeneration, and capillary proliferation ( ).

Open heart surgery is associated with several risk factors for stroke ( Fig. 59.2 ). The risks include altered intravascular endothelial surfaces, thrombus formation facilitated by the use of prosthetic devices, gaseous emboli originating from the cardiopulmonary bypass, global hypoperfusion, inflammatory cascades and microvascular inflammatory changes, and occurrence of a prothrombotic state during surgery, owing to consumptive coagulopathy and decreased protein C and antithrombin levels. found increasing rates of thrombosis in CHD patients.

Fig. 59.2, Magnetic resonance image of a 13-month-old child with tetralogy of Fallot and stroke in the middle cerebral artery distribution.

Spinal cord injury occurs especially after aortic coarctation repair. Peripheral neuromuscular complications include plexopathies (mostly brachial), pressure palsies (peroneal and ulnar nerves), myopathy, “critical care neuropathy,” and polyneuropathy developing after withdrawal of neuromuscular blocking agents. reviewed data for 90 patients younger than 1 year of age who underwent cardiac surgery. These patients had no brain anomalies or syndromes associated with delayed mental development, but 32% had evidence of psychomotor impairment.

Cardiac Transplantation

In the past decades, the number of cardiac transplantation procedures performed worldwide has increased. Although the survival rate has steadily improved, the potential for significant complications remains. Such complications include graft rejection, graft arteriosclerosis, infections, malignancies, pneumonia, pericarditis, gastrointestinal hemorrhages, and drug toxicity, leading to an overall perioperative mortality rate of approximately 9%.

reported neurological complications after cardiac transplantation in 13.7% of patients. Other studies, however, have reported an incidence of 50%–70%, mostly in the perioperative period.

In the series of , 48% of transplant recipients suffered neurological complications, such as encephalopathy (16.6%), seizures (13.6%), neuromuscular disorders (10.6%), headaches (10.6%), CVA (10.1%), psychiatric problems (2.2%), and CNS infections (2.2%). Signs and symptoms of cyclosporine toxicity include tremor, seizures, and encephalopathy.

Acquired Heart Disease

Several acquired heart diseases are associated with neurological complications. The most common entities are cardiomyopathies, arrhythmias, and hypertension. Ventricular dilatation and hypokinesia cause stasis of intraventricular blood, resulting in thrombus formation and embolic stroke. Furthermore, poor ejection fraction can lead to arrhythmias and syncope. In rheumatic heart disease, the source of emboli to the brain is either vegetations or septic emboli due to infective endocarditis. Sydenham chorea occurs in 10%–25% of patients with rheumatic heart disease.

Cardiac arrhythmias cause neurological symptoms secondary to impaired cerebral perfusion. These include dizziness, syncope, transient ischemic episodes, confusion, dementia, and abnormal behavior. Convulsive syncope occurs in severe cases associated with some degree of cerebral anoxia. Embolic strokes from arrhythmias are more likely to occur during or after surgical manipulation at the time of heart surgery or in the postoperative period.

The most important neurological complication of hypertension in children is hypertensive encephalopathy. This entity is discussed later in the “Hypertension” section.

Connective Tissue Diseases and Vasculitides

Polyarteritis Nodosa

Polyarteritis nodosa (PAN) is rare in childhood and occurs most frequently in the fifth and sixth decades of life. Early reports of infantile PAN probably were severe cases of Kawasaki disease. PAN is a necrotizing vasculitis of small- and medium-sized arteries. The etiology is unknown, but an association with hepatitis B and C is recognized in adults. In children, severe PAN-like vasculitis may follow cytomegalovirus (CMV) and parvovirus B19 infections. An association with a preceding group A or B streptococcal infection is questionable. Furthermore, some cases of PAN have followed drug exposure.

Signs and symptoms of systemic illness, such as weight loss, fatigue, and anorexia, can be prominent. Other manifestations include fever, arthralgias, rash, edema, petechiae, myalgia, painful subcutaneous nodules in the calf and foot, and livedo reticularis. Gastrointestinal-vessel involvement causes abdominal pain, ulcers, and bleeding. Renal, cardiac, and pulmonary involvement can occur, with the potential for renal or heart failure. Hypertension is common. describe a patient presenting with hypertension, seizures, and posterior reversible encephalopathy syndrome (PRES) who was eventually diagnosed with PAN.

Neurological manifestations can develop in 50%–70% of children and occur in 10% of children at presentation. Mononeuritis multiplex, a characteristic feature of the disease in adults, is much less frequent in children. A comparison of 15 pediatric and 22 adult patients with PAN found neurological involvement in 40% of pediatric patients and 59% of adults ( ). Focal neurological deficits secondary to ischemia, infarction, and hemorrhage are common. The signs and symptoms include unilateral blindness, visual field defect, seizures, headache, encephalopathy, cognitive decline, cranial neuropathies (III, IV, VI, and VII nerves), and aseptic meningitis. In the brain, changes are mainly seen in the small meningeal arteries ( ). Catastrophic intracranial hemorrhage with altered sensorium at presentation has been described in a child with PAN ( ). reviewed 69 children with PAN. The most frequent clinical features at presentation were fever (87%), myalgia (83%), and skin lesions (88%). Neurological involvement at presentation was present in 10% of children and included motor mononeuritis multiplex in 4%, sensory neuropathy in 4%, meningitis/encephalitis in 4%, cranial nerve palsy in 6%, and stroke in 10%.

Confirmation of the diagnosis is either by the histopathological demonstration of the characteristic vascular lesions of necrotizing angiitis or by radiological documentation of aneurysms. MRI, magnetic resonance angiography (MRA), and angiography reveal segmental arterial narrowing and ischemic injuries. Aneurysms are common in visceral arteries and are rare intracranially. In the presence of a peripheral neuropathy, muscle or nerve biopsy (of the sural nerve) also may be diagnostic. Common laboratory features include leukocytosis, anemia, elevation in erythrocyte sedimentation rate, and increased C-reactive protein level and serum immunoglobulin (Ig) levels. Antineutrophil cytoplasmic antibodies (ANCAs) and circulating immune complexes may be present. Detection of rheumatoid factor and antinuclear antibody (ANA) is rare.

Corticosteroid therapy improves life expectancy and decreases the incidence of hypertension and renal complications. In severe cases, lack of response to steroids is an indication for use of oral or intravenous-pulse cyclophosphamide. Plasmapheresis has not improved survival. Methotrexate, azathioprine, mycophenolate mofetil, intravenous immunoglobulin (IVIG), and more recently tumor necrosis factor (TNF) inhibitors (infliximab) and anti-CD20 monoclonal antibodies (rituximab) have been used successfully in children ( ).

Identification of certain CECR1 mutations that lead to ADA2 deficiency, often associated with stroke in early-onset PAN-like patients, has resulted in improved treatment of some causes of PAN with anti-TNF treatments ( ).

Kawasaki Disease

Kawasaki disease is one of the most common vasculitides affecting small- and medium-sized arteries in childhood, typically diagnosed between 6 months and 5 years of age. There is an increased incidence in Asians and Pacific Islanders ( ). Some early reports of infantile PAN, in which the patient died of a ruptured or thrombosed coronary artery aneurysm, were probably severe cases of Kawasaki disease. Some 85% of affected patients are younger than 5 years of age. The etiology is unknown, but an infectious cause is thought possible. Current etiological hypotheses include a novel RNA virus that enters the upper respiratory tract and causes an inflammatory cascade. Tropospheric wind patterns transporting a substance that leads to disease when inhaled by genetically predisposed children is also a hypothesis. Single-nucleotide polymorphisms in six genes have been associated with the disease ( ).

The criteria for the diagnosis of complete Kawasaki disease include the presence of unexplained fever for at least 5 days, with at least four of the following physical features: (1) nonpurulent conjunctivitis, (2) cervical lymphadenopathy, (3) rash, (4) mucosal changes (redness and fissuring of the lips, “strawberry tongue”), and (5) changes in the extremities (erythema and edema of palms and soles, with desquamation). Up to one-third of patients develop myocarditis, coronary artery aneurysms, and, less often, pericarditis or valvular disease. Aneurysms smaller than 8 mm usually resolve, whereas those larger than 8 mm rarely resolve and are usually associated with stenosis. Incomplete Kawasaki disease, presenting with unexplained fever and neurological features, without initial typical physical features, was reported in children as young as 2 months of age ( ).

Neurological complications in Kawasaki disease are reported in 1%–30% of patients ( ). The most common neurological manifestations consist of extreme irritability, probably caused by aseptic meningitis, sensorineural hearing loss, facial nerve palsy, headaches, and encephalopathy. Cerebral infarction, seizures, polyneuropathy, myositis, other cranial neuropathies, retinal vasculitis, subdural effusions ( ) are rare complications. Arterial ischemic stroke has been described in 10 pediatric patients with KD ( ). described a single patient with a silent right cerebellar infarct and suggested the need to consider the possibility of brain lesions in all children with Kawasaki disease with or without neurological symptoms. Diffuse microhemorrhages with multifocal white matter injury on MRI were described in a pediatric patient with severe KD ( ). Few reported patients with KD had mild encephalopathy and reversible restricted diffusion of the splenium of the corpus callosum or MERS and hyponatremia ( ). A child with incomplete Kawasaki disease had a left MCA stroke that responded well to IVIG and aspirin ( ).

Treatment consists of a single dose of IVIG at 2 g/kg and is usually accompanied by high-dose aspirin (80–100 mg/kg of body weight per day in the United States and 30-50 mg/kg of body weight in Western Europe and Japan) typically until the patient is afebrile for 3–7 days, and then the dose is decreased to 3–5 mg/kg/day and continued until the inflammatory markers and thrombocytosis have resolved and the echocardiogram is normal. Failure of IVIG treatment occurs in 10%–20% of patients, and alternative agents are used ( ).

Henoch-Schönlein Purpura

Henoch-Schönlein purpura (HSP) is a leukocytoclastic multisystem IgA-mediated vasculitis, one of the most common in childhood ( ). The characteristic features are arthralgia, abdominal pain, and nonthrombocytopenic purpura mostly involving the buttocks and lower extremities. Fever, fatigue, and edema are common. Nephritis occurs in 40% of patients.

Neurological complications are estimated to occur in 1 out of 14 patients with HSP, but they are mostly mild ( ). Headache is the most common neurological symptom, sometimes caused by hypertension. However, CNS vasculitis can occur with the potential for development of ischemia and hemorrhage. Seizures, facial palsy, paralysis, chorea, Guillain–Barré syndrome, visual abnormalities, ataxia, and central and peripheral neuropathy are also reported. HSP complicated by posterior reversible leukoencephalopathy syndrome or PRES has been described ( ). In some cases, manifestations of CNS vasculitis can precede or follow the rash. Imaging studies can show ischemic lesions most of the time involving two or more vessels, intracerebral hemorrhage, brain edema, and sagittal sinus thrombosis ( ). Permanent sequelae from CNS manifestations are rare in children, though adults may suffer more serious sequelae ( ). The long-term outcome of HSP depends on the degree of renal involvement.

Takayasu Arteritis

Takayasu arteritis is a chronic granulomatous large-vessel vasculitis affecting the aorta and its major branches. In 75% of cases, the onset of symptoms is between the ages of 11 and 30 years. However, onset in persons as young as 5 months of age has been described. Greater than 80% of the patients are female and more likely to be of Japanese origin. Takayasu arteritis is the most common large-vessel vasculitis in children, with overall mortality reports of 3% during the first year and around 50% of morbidity within 5 years from diagnosis ( ).

The examination reveals loss of radial pulses, and sometimes a carotid bruit is present. Other clinical manifestations are hypertension, fever, back pain, dyspnea, chest pain, claudication, weight loss, transitory visual loss, myalgias, arthralgias, abdominal pain, and congestive heart failure. reviewed 241 pediatric cases of Takayasu arteritis. The most frequent problem at presentation was hypertension (83%), followed by headaches (31%). saw headache, dizziness, stroke/TIA, and syncope as the top neurological symptoms in their cohort of 27 children. described carotid artery involvement in 43% of the patients, and stroke occurred in 6% of 101 reported patients. Diagnosis is based on characteristic angiographic findings in the aorta and its major branches. MRI/MRA are useful both in diagnosis and in monitoring disease activity by detecting early smooth-muscle thickening and signs of vascular inflammation of the vessel walls.

Cerebral hypoperfusion secondary to stenosis of the carotid and vertebral arteries and complications of hypertension cause the neurological complications. The signs and symptoms include visual loss, vertigo, syncope, seizures, hemiplegia, and headaches. Recurrent chorea has recently been reported ( ). Treatment consists of corticosteroids and immunosuppressive agents, such as methotrexate and cyclophosphamide. A small series revealed the usefulness of anti-TNF agents. Recent reviews suggested improved mortality and morbidity with biological agents ( ). Management of hypertension is critical, and antiplatelet agents are useful in preventing thrombosis. Surgical intervention, angioplasty, and stent placement are sometimes required.

Churg-Strauss Syndrome

Churg-Strauss syndrome, or eosinophilic granulomatosis with polyangiitis (EGPA), affects middle-aged males and is rare in children. However, cases have been reported in children as young as 2 years of age. Churg-Strauss is an antineutrophil cytoplasmic antibody (ANCA)-associated vasculitis of small and medium vessels. The clinical picture consists of asthma symptoms, eosinophilia, fever, allergic rhinitis, pulmonary infiltrates, sinus problems, purpura, skin nodules, and cardiac and renal involvement. Histopathological examination reveals vasculitis of small arteries and veins associated with necrotizing extravascular granulomas and eosinophilic infiltrates. The disease is associated with prominent eosinophilia and high IgE levels. ANCA are seen in only 25% of pediatric cases.

Neurological manifestations consist mainly of neuropathy, with evidence of mononeuritis multiplex, polyneuropathy, and cranial neuropathy. The optic nerve is the most frequently affected cranial nerve in this disorder. CNS features are less common, but focal neurological deficits occur secondary to infection and hemorrhage, and pseudotumor cerebri is reported. Neurological symptoms have been reported to continue despite treatment. Reports of pediatric cases without clear respiratory features except rash and polyneuropathy highlight the importance of imaging in suspected cases ( ). Treatment options include high-dose corticosteroids, cyclophosphamide, methotrexate, IVIG, mycophenolate mofetil, rituximab, interferon-α, and plasmapheresis. Other biological therapies, such as omalizumab, are being used in resistant pediatric cases with good success ( ).

Juvenile Idiopathic Arthritis

Juvenile idiopathic arthritis (JIA), previously called juvenile rheumatoid arthritis or JRA, is a heterogeneous group of seven inflammatory arthropathies in children. The age at onset must be younger than 16 years. For definitive diagnosis, objective evidence of arthritis is required in one or more joints for 6 weeks or longer and the exclusion of other causes for the arthritis. Systemic JIA is characterized by daily fever for at least 2 weeks, rash, arthritis, lymphadenopathy, or pericarditis, but overall the presentation of JIA is much more heterogeneous than adult rheumatoid arthritis ( ).

The neurological complications of the systemic form include acute encephalopathy, which can be lethal as a result of the macrophage activation syndrome ( ). The cause of this syndrome is disruption of the macrophage–lymphocyte interaction, causing uncontrolled proliferation of highly activated macrophages and T lymphocytes, with consequent sepsis-like symptoms often resulting in multiple organ failure. High-grade fever, hepatosplenomegaly, pancytopenia, consumption coagulopathy, and low erythrocyte sedimentation rate are other features. Macrophage activation syndrome is seen in 5%–8% of cases ( ). Treatment is with high-dose steroids and cyclosporine ( ).

Reye syndrome has been described in affected patients secondary to the use of acetylsalicylic acid. Other neurological manifestations include myelopathy secondary to cervical arthritis. Myelopathy from atlantoaxial dislocation is rare in children. Motor and sensory neuropathies, such as entrapment neuropathies, are uncommon in children. One-third of patients have high serum creatine kinase concentration; however, evidence of proximal weakness or histological evidence of myositis is uncommon.

The management of JIA is usually with nonsteroidal anti-inflammatory agents. There is a growing pool of disease modifying antirheumatic drugs. The advances in treatment with biological agents such as etanercept, infliximab, and others have led to significant improvement in the treatment of JIA ( ).

You're Reading a Preview

Become a Clinical Tree membership for Full access and enjoy Unlimited articles

Become membership

If you are a member. Log in here