Neurologic Dysfunction and Kidney Disease


The neurologic aspects of renal disease and the neurologic complications of dialysis and renal transplantation are discussed in this chapter. The neurologic complications of renal carcinoma are not considered, but paraneoplastic complications of malignancy are considered in Chapter 27 , and the neurologic consequences of radiation and chemotherapy in Chapter 28 . The subject itself is complicated because many of the causes of renal failure lead to neurologic complications that also occur in uremia. Thus, collagen vascular diseases are commonly associated with encephalopathy or seizures, and diabetes with neuropathy or encephalopathy. Attention here is directed primarily to complications that are a direct consequence of the renal failure and its treatment rather than to the underlying cause of the kidney disease. In addition, however, certain hereditary disorders that affect both the nervous system and the kidneys are considered. In order to limit the size of the chapter, the bibliography has been restricted, but a more detailed list of references can be found in previous editions of this book.

Uremic Encephalopathy

The neurologic consequences of uremia resemble other metabolic and toxic disorders of the central nervous system (CNS). Thus, the clinical features of the encephalopathy that occurs in uremic patients include an impairment of external awareness that ranges from a mild confusional state, with diminished attention and concentration, to coma. The presence of coma may indicate severe uremia or reflect a complication such as hypertensive encephalopathy, posterior reversible encephalopathy syndrome (PRES, discussed later), fluid and electrolyte disturbances, seizures, or sepsis. Other causes of an encephalopathy in uremic patients include dialysis, thiamine deficiency, drug toxicity, and transplant rejection. Finally, the encephalopathy and renal impairment may both relate independently to the same underlying systemic illness, such as diabetes or connective tissue diseases. All these factors complicate clinical assessment.

In addition to an alteration in external awareness, patients with uremic encephalopathy may have cognitive changes (impaired memory and executive functions), seizures, dysarthria, gait ataxia, asterixis, tremor, and multifocal myoclonus. As with all metabolic encephalopathies, symptoms and signs typically fluctuate in severity over short periods of time, such as over the course of a day or from day to day.

Pathophysiology

Uremic encephalopathy relates to a variety of metabolic abnormalities, with the accumulation of numerous metabolites, acid–base disturbances, imbalance in excitatory and inhibitory neurotransmitters, inflammatory changes, and hormonal disturbances leading to cerebral dysfunction. The European Uremic Toxin Work Group has listed 90 compounds considered to be uremic toxins; 68 have a molecular weight less than 500 Da, 12 exceed 12,000 Da, and 10 have a molecular weight between 500 and 12,000 Da. A few merit brief discussion here. Retention of urea occurs; urea clearance, even in well-dialyzed patients, amounts to only one-sixth of physiologic clearance. Accumulation of guanidinosuccinic acid, methylguanidine, guanidine, and creatinine, all of which are guanidine compounds, in the serum and cerebrospinal fluid (CSF) of uremic patients, may relate to uremic seizures and cognitive dysfunction. Oxidative stress, homocysteinemia, activation of N -methyl- d -aspartate (NMDA) receptors, and inhibition of γ-aminobutyric acid-A (GABA A ) transmission may be involved. It remains unclear whether low-level aluminum overload in renal failure causes gradual deterioration in cerebral function. Abnormalities of the membrane pumps for both Na + ,K + -adenosine triphosphatase and calcium ions may be of clinical relevance, and cerebrovascular factors may be contributory.

Hormonal changes may also be important. Serum concentrations of parathyroid hormone, growth hormone, prolactin, luteinizing hormone, insulin, and glucagon are elevated in uremic patients. Parathyroid hormone levels increase with the severity of the encephalopathy, and alterations in brain calcium could influence neurotransmitter release, the sodium–potassium pump, intracellular enzyme activity, and intracellular metabolic processes, and thereby may affect cerebral function. The calcium content of the cerebral cortex is greatly increased in uremia, and this is unrelated to alterations in calcium concentration in the plasma or CSF. Both clinical and electroencephalographic (EEG) abnormalities and changes in cerebral calcium concentration are improved by parathyroidectomy.

Clinical Features

The clinical features of uremic encephalopathy do not show a good correlation with any single laboratory abnormality but can sometimes be related to the rate at which renal failure develops. Thus, stupor and coma are relatively common in acute renal failure, whereas symptoms may be less conspicuous and progression more insidious despite more marked laboratory abnormalities in chronic renal failure. Dialysis relieves or prevents some of the more severe features of this encephalopathy, but in contrast to the continuous function of normal kidneys, the removal of uremic toxins in dialysis is achieved by a one-step, membrane-based process and is intermittent.

The most reliable early indicators of uremic encephalopathy are a waxing and waning reduction in alertness and impaired external awareness. The ability to concentrate is impaired, so that patients seem preoccupied and apathetic, with a poor attention span; they become increasingly disoriented with regard to place and time and may exhibit emotional lability and sleep inversion. An impairment of higher cognitive abilities, such as of executive function, becomes evident, and patients become increasingly forgetful and apathetic. With progression, patients become more obtunded so that it may then be necessary to shout or gently shake them to engage their attention and elicit any responses, which are likely to be of variable accuracy and relevance. Delusions, illusions, and hallucinations (typically visual) often develop, and patients may become agitated and excited, with an acute delirium that eventually is replaced by stupor and a preterminal coma.

Tremulousness may be conspicuous and usually occurs before asterixis is found. A coarse postural tremor is seen in the fingers of the outstretched hands, and a kinetic tremor is also common. Asterixis is a nonspecific sign of metabolic cerebral dysfunction. An intermittent loss of postural tone produces the so-called flapping tremor of asterixis after several seconds when the upper limbs are held outstretched with the elbows and wrists hyperextended and fingers spread apart; irregular flexion–extension occurs at the wrist and of the fingers at the metacarpophalangeal joints, with flexion being the more rapid phase. There is complete electrical silence in the wrist flexors and extensors during the downward (flexor) movements, followed by electrical activity in the extensors as they restore the limb’s posture. The axial structures, including the trunk or neck, may also be affected. Asterixis can also be demonstrated in the lower limbs, and flapping may even be elicited in the face by forceful eyelid closure, strong retraction of the corners of the mouth, pursing of the lips, or protrusion of the tongue, provided that some degree of voluntary muscle control persists. In obtunded or comatose patients, or others in whom voluntary effort is limited, asterixis can still be elicited, but at the hip joints. With the patient lying supine, the examiner grasps both ankles of the supine patient and moves the feet upward toward the patient’s body, flexing and abducting the thighs: irregular abduction–adduction movements at the hips indicate asterixis.

Spontaneous and stimulus-sensitive myoclonus is common in uremia and in other metabolic encephalopathies and reflects increased cerebral excitability. The myoclonus is typically multifocal, irregular, and asymmetric; it may be precipitated by voluntary movement (action myoclonus). The myoclonic jerks may be especially conspicuous in the facial and proximal limb muscles. Uremic myoclonus in humans resembles the reticular reflex form of postanoxic action myoclonus. It is usually not associated with EEG spike discharges, although such discharges have sometimes been encountered with the myoclonus. The myoclonus may respond to clonazepam. Multifocal myoclonus is sometimes so intense that muscles appear to be fasciculating ( uremic twitching ). Tetany may occur.

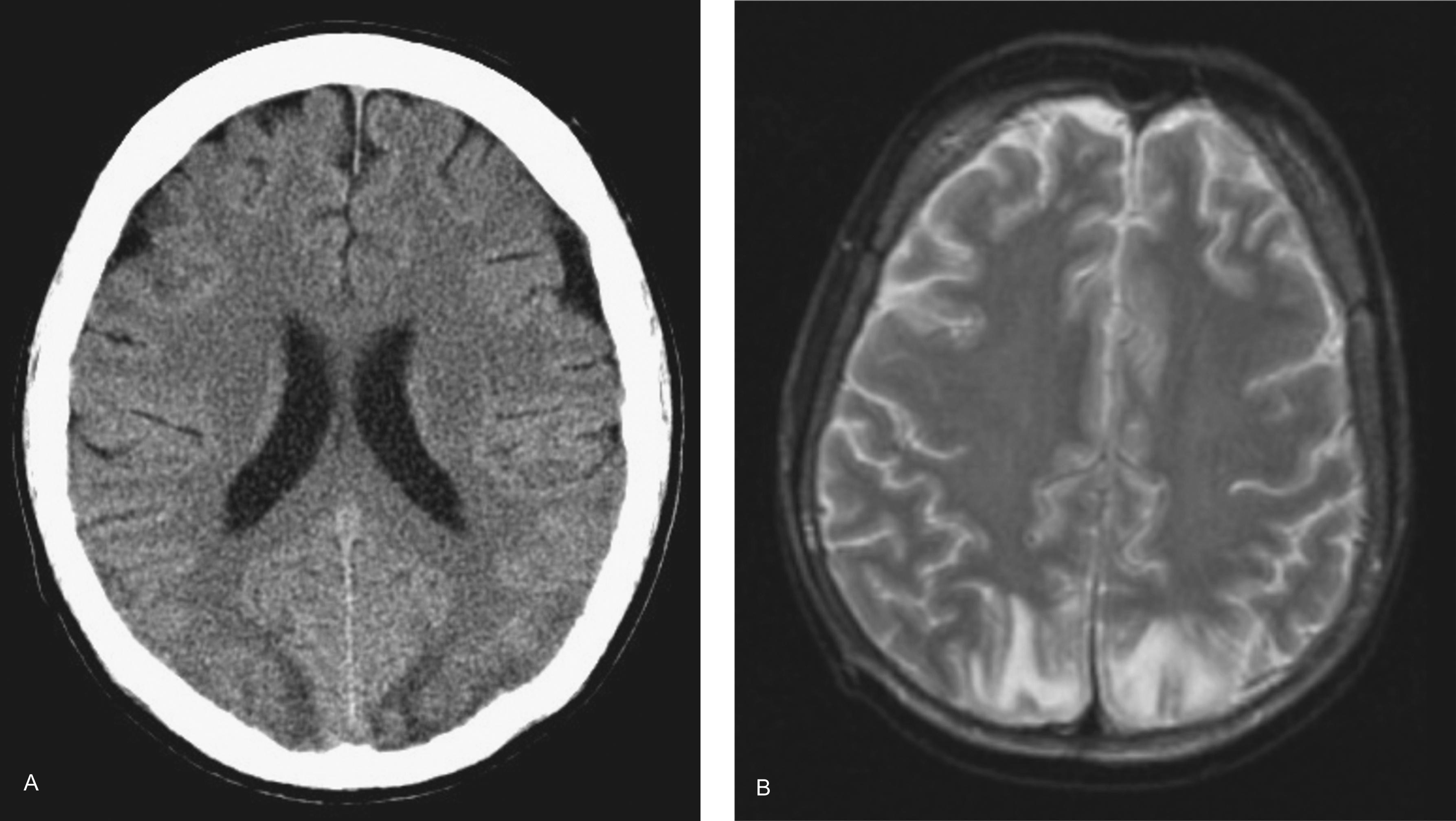
Seizures are common. They are usually generalized convulsions, may be multiple, and are often multifactorial in etiology. In acute renal failure, convulsions commonly occur several days after onset, during the anuric or oliguric phase. In chronic renal failure, they tend to occur with advanced disease, often developing preterminally; they may relate to the uremia itself or to electrolyte disturbances, medications (such as penicillin, aminophylline, or isoniazid), or an associated posterior reversible encephalopathy syndrome (characterized by vasogenic white-matter edema predominantly localized to the posterior cerebral hemispheres on imaging studies, as shown in Fig. 16-1 ). Their incidence has declined, perhaps because of more effective treatment of renal failure and its complications. Seizures also occur in patients undergoing hemodialysis as part of the dialysis dysequilibrium syndrome (discussed later). Focal seizures sometimes occur. Occasionally patients develop nonconvulsive status epilepticus that may not be recognized unless an EEG is obtained.

Figure 16-1, Imaging findings of a patient with seizures who was diagnosed with posterior reversible encephalopathy syndrome. A , Axial computed tomography (CT) scan demonstrates bilateral low-density involvement of the occipital lobes. B , Axial T2-weighted magnetic resonance imaging (MRI) shows high signal intensity lesions without mass effect involving white matter bilaterally in the occipital lobes.

During the early stages of uremia, patients may be clumsy or have an unsteady gait. Paratonia ( gegenhalten ), a variable, velocity-dependent resistance to passive movement, especially rapid movement, is common, and grasp and palmomental reflexes may be present, presumably as a result of a depression of frontal lobe function. As uremia advances, extensor muscle tone increases and may be asymmetric; opisthotonos or decorticate posturing of the limbs may eventually occur. Motor deficits may include transient or alternating hemiparesis that shifts sides during the course of the illness, flaccid quadriparesis related to hyperkalemia, or distal weakness from uremic neuropathy. The tendon reflexes are generally brisk unless a significant peripheral neuropathy is present and they may be asymmetric; Babinski signs are often present.

Encephalopathy may occur in uremic patients for reasons other than uremia, such as in relation to dialysis, thiamine deficiency, electrolyte imbalance, medication-related toxicity, and graft rejection. These disorders are considered in later sections of this chapter.

Investigations

Laboratory studies provide evidence of impaired renal function but are of limited utility in monitoring the course of the encephalopathy. Furthermore, abnormal renal function tests do not exclude other causes of encephalopathy. An underlying structural lesion must be excluded in uremic patients who have had seizures, especially when focal or multiple seizures have occurred.

The CSF is commonly abnormal, with a pleocytosis that is unrelated to the degree of azotemia and an increased protein content that sometimes exceeds 100 mg/dL. The findings may thus suggest a mild aseptic meningitis.

The EEG is diffusely slowed, with an excess of intermittent or continuous theta and delta waves that may show a frontal emphasis, perhaps reflecting a decreased cerebral metabolic rate. Triphasic waves are often present, with an anterior predominance ( Fig. 16-2 ). Bilateral spike–wave complexes may be present either in the resting EEG or with photic stimulation. The EEG becomes increasingly slowed with progression of the encephalopathy, so that delta activity becomes more continuous; the findings correlate best with the level of retained nitrogenous compounds, although no clear relationship exists between the EEG and a specific laboratory abnormality. Similarly, there are delays of visual, auditory, and somatosensory evoked cerebral potentials. Event-related potentials reveal abnormalities even in asymptomatic patients, with an increase in P3 latency. In a study involving transcranial magnetic stimulation, 36 patients with end-stage renal disease were evaluated at different stages of the disease and under different treatment. Patients on conservative treatment showed a significant reduction of short-interval intracortical inhibition that could be reversed by hemodialysis, peritoneal dialysis, or renal transplantation. After hemodialysis, intracortical facilitation increased, and this was inversely correlated with the decline in plasma osmolarity induced by the dialytic procedure. In other words, patients showed alterations in cortical excitability that were reversed by treatment of the renal disease.

Figure 16-2, Electroencephalogram (EEG) showing a diffusely slowed background with triphasic waves in a patient with uremic encephalopathy.

Cerebral imaging studies are of limited help except in excluding other, structural causes of the encephalopathy. They may reveal a reversible, predominantly posterior leukoencephalopathy, with subcortical edema without infarction. There may be multiple areas of symmetric edema in the basal ganglia, brainstem, or cerebellum, with—in severe cases—focal infarcts, sometimes hemorrhagic.

Treatment of Uremic Convulsions

Treatment involves correction of renal failure and related metabolic abnormalities. In patients who have had seizures, anticonvulsant medication may be required, especially when the convulsions are of uncertain cause. If status epilepticus occurs, it is managed as in other circumstances.

Various considerations make anticonvulsant therapy difficult to manage in uremia. As discussed in Chapter 57 , plasma protein binding and renal excretion are reduced, and dialysis may remove drugs from the circulation. Phenytoin was often used in the past in this context; reduced protein binding leads to a greater volume of distribution and lower serum concentrations, but the proportion of unbound (active) phenytoin increases and maintains the benefit of a given dose. Free phenytoin rather than total plasma levels are used to monitor treatment; the optimal therapeutic range is 1 to 2 μg/mL. The total daily dose generally need not be changed, but it is probably best taken divided rather than in a single dose. Dialysis does not remove phenytoin from the circulation to any significant extent. Plasma phenobarbital levels are unaffected by renal insufficiency. Lower doses of phenobarbital are used for long-term maintenance therapy, however, because the drug may accumulate; additional doses may be required after dialysis. Primidone and its metabolites may also accumulate, causing toxicity in uremic patients.

Valproic acid is helpful for treating myoclonic seizures and generalized convulsions in uremic patients. Protein binding decreases, but the free fraction remains constant. Dialysis does not necessitate additional doses.

Serum carbamazepine levels are unchanged, and dosing does not need alteration. Impaired renal function leads to decreased clearance of felbamate, gabapentin, topiramate, levetiracetam, vigabatrin, pregabalin, and oxcarbazepine. Gabapentin, pregabalin, and topiramate are excreted mainly by the kidneys, and the daily dose will need to be reduced in uremic patients; dosing of zonisamide may also need reduction. Hemodialysis necessitates additional doses of levetiracetam (typically 250 to 500 mg) and gabapentin (200 to 300 mg); supplemental doses of topiramate and pregabalin after hemodialysis may also be required. Extra doses of zonisamide may not be necessary if this drug is given in a single daily dose after dialysis sessions. Tiagabine and lamotrigine pharmacokinetics show little change even in severe uremia, and dosage adjustment is usually unnecessary.

Uremic Neuropathy

Polyneuropathy

Peripheral nerve function becomes impaired at glomerular filtration rates of less than 12 mL/min, with clinical deficits developing at rates of about 6 mL/min. More than 50 percent of patients with end-stage renal disease have clinical (neuropathic symptoms or signs) or electrophysiologic abnormalities, the exact number depending on the series and diagnostic criteria utilized.

Pathophysiology

Because uremic neuropathy improves with dialysis, uremic neuropathy has been attributed to the accumulation of dialyzable metabolites. Hemodialysis regimens sufficient to control urea or creatinine may nevertheless fail to prevent the development of neuropathy, and this observation led to the “middle molecule” hypothesis. In particular, the lower prevalence of neuropathy in patients on peritoneal dialysis than on hemodialysis suggested that the responsible substance was better dialyzed by the peritoneum, and it was proposed that these substances might be in the middle-molecule range (500 to 12,000 Da), which is poorly cleared by hemodialysis membranes. The adoption of dialysis strategies to improve the clearance of middle molecules reduced the rates of severe neuropathy, but the identity of the responsible neurotoxins has remained elusive.

Secondary hyperparathyroidism complicates chronic renal failure and some evidence exists for the neurotoxicity of parathyroid hormone, as discussed earlier. Studies in uremic patients of the effect of parathyroid hormone on peripheral nerves, however, have yielded both supporting and conflicting results.

It has been proposed that mild hyperkalemia has a role in the genesis of the neuropathy. Hyperkalemia typically recurs within a few hours of a dialysis session as a result of re-equilibration between intracellular and extracellular fluid compartments. Prolonged hyperkalemia may disrupt normal ionic gradients and activate Ca ++ -mediated processes that are damaging to axons. Motor and sensory nerve excitability has been studied in relation to changes in serum levels of potential neurotoxins, including calcium and potassium ions, urea, uric acid, and certain middle molecules. Predialysis measures of nerve excitability were abnormal, consistent with axonal depolarization, and correlated strongly with serum potassium levels, suggesting that hyperkalemic depolarization did underlie the development of uremic neuropathy. The severity of symptoms also correlated with excitability abnormalities. Most nerve excitability parameters were normalized by hemodialysis. The findings thus supported the belief that hyperkalemia contributes to the development of neuropathy. There was no evidence of significant Na + /K + pump dysfunction.

If hyperkalemia does indeed have a role in mediating these abnormalities, measures of dialysis adequacy based solely on blood urea or creatinine concentrations may be inadequate for determining whether dialysis will prevent neurotoxicity. Monitoring the serum potassium level to ensure that it is maintained within normal limits between periods of dialysis may be more relevant in this regard. Preliminary evidence suggests that dietary potassium restriction confers some degree of neuroprotection in chronic kidney disease.

Clinical Features

Uremic neuropathy is more common in men than women and in adults than children. It is characterized by a length-dependent, symmetric, mixed sensorimotor polyneuropathy of axonal type that resembles other axonal metabolic-toxic neuropathies. Its clinical manifestations, severity, and rate of progression are variable. As with uremic encephalopathy, its severity correlates poorly with biochemical abnormalities in the blood, but neuropathy is more likely to develop in chronic or severe renal failure.

Initial symptoms commonly consist of dysesthesias distally in the legs; muscle cramps may also be troublesome. The restless legs syndrome often develops before or with the clinical onset of neuropathy, and its occurrence may therefore indicate incipient peripheral nerve involvement. As with many other neuropathies, the earliest clinical signs are of impaired vibration appreciation and depressed or absent tendon reflexes distally in the legs, indicating involvement of large-diameter myelinated fibers. Autonomic involvement may occur but is usually mild.

Progression is typically insidious over many months but occasionally is rapid, leading early to severe disability, sometimes painful. A more progressive, predominantly motor subacute neuropathy may occur in uremic patients with diabetes and lead to severe weakness over a few weeks or months; nerve conduction studies typically demonstrate features of an axonal neuropathy but may show demyelination features, and the neuropathy may respond to transplantation or to a switch from conventional to high-flux hemodialysis. The course may be arrested at any time despite continuing or worsening renal failure.

It is hard to predict the likely clinical course in individual patients. Most patients are left with distal motor and sensory deficits, but some become severely disabled with a flaccid quadriparesis or paraparesis. Severe neuropathy has become less prevalent with the introduction of dialysis and transplantation techniques but remains common.

Histopathologic examination of nerve biopsy specimens confirms that the neuropathy is a length-dependent axonal degeneration accompanied by secondary demyelination, although in some cases the demyelination seems the predominant finding; damaged endoneural blood capillaries may also be found and support an ischemic theory as one mechanism in the pathogenesis of uremic neuropathy.

Nerve conduction studies also support an axonal process, with reduced conduction velocities and response amplitudes; abnormalities are common even in clinically unaffected nerves. The amplitude of the sensory nerve action potential is affected particularly, especially that of the sural nerve. Large fibers are affected more often than small fibers, but in occasional patients a predominantly small-fiber neuropathy occurs. The findings on nerve conduction studies may improve after effective treatment of the underlying renal failure, sometimes very rapidly, but this is not always the case; sensory nerve conduction velocities in the median, ulnar, and sural nerves may be the most sensitive electrophysiologic indices of the beneficial effect of hemodialysis. Needle electromyography may reveal evidence of denervation, particularly in the distal muscles of the legs. Abnormalities of late responses (F waves and H reflexes) are frequent and may be helpful early in the course of renal failure, when standard nerve conduction study results are sometimes normal.

Laaksonen and colleagues examined the clinical severity of uremic neuropathy in 21 patients, using a modified version of the neuropathy symptom score combined with results of electrophysiologic studies. They found that 81 percent of uremic patients were diagnosed with neuropathy: the neuropathy was asymptomatic in 19 percent, associated with nondisabling symptoms in 48 percent, and accompanied by disabling symptoms in 14 percent.

Treatment

Uremic polyneuropathy may stabilize or even show some improvement with dialysis, but mild progression is not uncommon and recovery from severe neuropathy is unlikely. Renal transplantation improves uremic neuropathy, sometimes very rapidly and with a negative correlation between electrophysiologic change and serum creatinine and myo -inositol concentrations, suggesting that metabolic factors may underlie the rapid improvement. In other instances, improvement is more gradual over a number of months, is characterized electrophysiologically by improvement in motor and sensory conduction velocities, and is often incomplete, perhaps because the main reason for improvement is segmental remyelination, with some fibers remaining degenerate in severe neuropathies.

Autonomic Neuropathy

Uremic patients may develop postural hypotension, impaired sweating, impotence, gastrointestinal disturbances, and other dysautonomic symptoms, which progress in some patients—but not all—despite continuing hemodialysis. The dysautonomia correlates with the presence or severity of peripheral neuropathy in some but not all patients and may be corrected by renal transplantation. The mechanism underlying the development of uremic autonomic neuropathy is unknown. In patients with diabetic renal failure, dysautonomia may relate also to the diabetes. Studies of both cardiovagal and sympathetic function (discussed in Chapter 8 ) have revealed objective evidence of dysautonomia that may be subclinical.

Intradialytic hypotension is a frequent complication of hemodialysis and has been shown to relate in many cases to impaired autonomic function regardless of whether a peripheral neuropathy is present. Midodrine may have a role in the therapy of patients with intradialytic hypotension.

Dialysis may not benefit autonomic neuropathy. After renal transplantation, autonomic function may improve or normalize but at a variable rate and typically slower and less completely than large-fiber neuropathies. Specific symptomatic treatments, for example, with phosphodiesterase inhibitors such as sildenafil for erectile dysfunction, may be helpful.

Restless Legs Syndrome

Development of the restless legs syndrome may indicate incipient peripheral nerve involvement or may occur as an isolated disorder. Patients develop an irresistible urge to move the legs that is worse at night and during periods of inactivity. They complain of curious sensations—often described as creeping, crawling, prickling, or itchy feelings—in the lower limbs, and these tend to be worse in the evening or when the limbs are not in motion. Such sensations are experienced most commonly in the legs but occasionally occur in the thighs or feet; the upper limbs are also sometimes involved. The disorder may occur in nondialyzed patients with chronic renal failure. When it occurs in uremic patients undergoing hemodialysis, it has been related to low hemoglobin levels, high serum phosphorus levels, and high anxiety levels. Treatment of restless legs syndrome is with clonazepam, dopamine agonists, levodopa, certain anticonvulsants, or opioids (propoxyphene or codeine) taken at bedtime, but the response often declines with time. Co-existing anemia and hyperphosphatemia should be corrected. Successful renal transplantation may ameliorate or eliminate symptoms within a few weeks, but symptoms can recur with transplant rejection and the disorder remains more common than in the general population.

You're Reading a Preview

Become a Clinical Tree membership for Full access and enjoy Unlimited articles

Become membership

If you are a member. Log in here