Mueller-Weiss Treated With Limited Fusion


Indications

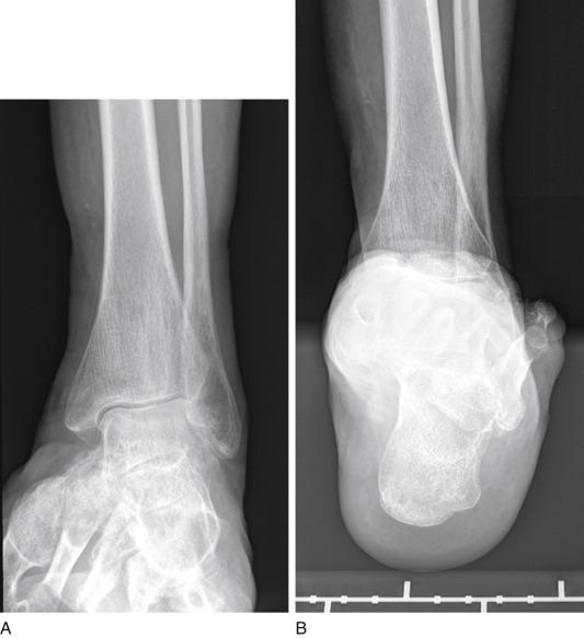
  • Advanced stage of Mueller-Weiss syndrome ( Fig. 25.1 ) with

    • Symptomatic osteoarthritis

    • Progressive destabilization of the foot

    FIG. 25.1

  • Secondary peritalar and midfoot pain due to tarsal destabilization

  • Loss of neutral foot position that cannot be compensated by shoe modifications

Indications Pitfalls

  • Charcot neuroarthropathy

  • Fusion of the talonavicular joint in a not-aligned position

Indications Controversies

  • Crucial for success, e.g., to obtain a plantigrade and stable foot, are

    • Appropriate positioning of the talus on top of the calcaneus, thereby correcting a hindfoot varus position

    • Restoring talonavicular alignment in the sagittal and horizontal planes, thereby achieving realignment of the naviculo-cuneiform and tarsometatarsal joints

  • In most instances, this can be achieved with isolated talonavicular fusion

Examination/Imaging

Clinical Investigation

  • Careful and thorough assessment of history and complaints, in particular

    • Disability in daily activities and sports

    • Impairment by pain

    • Effect of previous conservative measures

  • Careful clinical assessment of

    • Hindfoot alignment when standing (posterior view; Fig. 25.2A )

      FIG. 25.2

    • Ankle, midfoot, and forefoot alignment (anterior view; Fig. 25.2B )

    • Painful pseudo-exostosis over the dorsolateral Chopart joint

    • Ankle and subtalar range of motion with the patient sitting

    • Ankle stability with the patient sitting and hanging feet

    • Pain using a visual analog scale of 0–10 points

  • Pain is typically located over the lateral navicular bone (pseudo-exostosis)

  • Peritalar motion is typically

    • Restricted for eversion/pronation

    • Preserved for inversion/supination

Assessment by Imaging

  • Bilateral plain weight-bearing radiographs, including anteroposterior views of the foot and ankle, lateral view of the foot, and alignment view, should be used to rule out

    • Articular configuration and integrity of the subtalar and talonavicular joints

    • Collapse of the lateral navicular and tilt of the navicular toward medial ( Fig. 25.3 )

      FIG. 25.3

    • Angular deviation of talus in all horizontal planes (e.g., exorotation)

    • Presence of arthritic changes at the ankle and subtalar joint

  • Computed tomography scans, if possible while weight bearing, are initiated to

    • Assess articular configuration of the ankle, subtalar, and talonavicular joints

    • Assess collapse, osteoarthritic changes, and fragmentation of the lateral talonavicular joint

    • Detect other bony abnormalities ( Fig. 25.4 )

      FIG. 25.4

  • Magnetic resonance imaging can be used to

    • Determine the activity of avascular necrosis of the lateral navicular, for example, presence and extent of perifocal edema

    • Assess surrounding soft tissues

  • Single-photon emission computed tomography with superimposed bone scan may be used to visualize

    • Morphologic pathologies and associated activity process ( Fig. 25.5 )

      FIG. 25.5

You're Reading a Preview

Become a Clinical Tree membership for Full access and enjoy Unlimited articles

Become membership

If you are a member. Log in here