Microscopic Findings


This chapter will present common or important microscopic findings seen in autopsies, with an emphasis on deaths that are from natural causes or are hospital based. It is not meant to be comprehensive, but it should provide a helpful adjunct to the techniques outlined in earlier chapters and to the gross findings shown in Chapter 16 , the atlas portion of this book. We will not cover diagnostic surgical pathology, because that is covered well by the numerous textbooks in that field. Many of the photographs in the print edition of this chapter are low power, as much of autopsy diagnosis is done at that magnification. Closer examination of histopathologic features can often be accomplished by expanding the images in the digital versions of this textbook.

Suggested routine histologic sections to be submitted in hospital-based autopsies are outlined in Box 8-1 and special sections as described in Chapter 8 . Some microscopic findings are found elsewhere in this book, such as some relevant to sudden death in Chapter 12 and some relevant to systemic findings in sepsis in Chapter 13 ( Fig. 13-1 ).

* Robbins SL. Textbook of Pathology with Clinical Applications. Philadelphia: W.B. Saunders; 1957.

Cardiovascular System

Figure 9-1, Fibrinous pericarditis.

Figure 9-2, Hypertensive heart disease, ×10.

Figure 9-3, Dilated cardiomyopathy, ×10.

Figure 9-4, Myocardial replacement fibrosis (scar), ×10.

Figure 9-5, Arrhythmogenic right ventricular cardiomyopathy (ARVC).

Figure 9-6, Giant cell myocarditis.

Figure 9-7, Cardiac amyloidosis.

Figure 9-8, Myocardial ischemia, prolonged.

Figure 9-9, Acute myocardial ischemia.

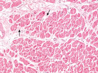
Figure 9-10, Acute myocardial ischemia with wavy fibers.

Figure 9-11, Coronary thrombus.

Figure 9-12, In-stent thrombus.

Figure 9-13, Acute myocardial infarct, 1 day old.

Figure 9-14, Acute myocardial infarct, 2-3 days old.

Figure 9-15, Healing myocardial infarct, 2 weeks old, low magnification.

Figure 9-16, Healing myocardial infarct, 2 weeks old, high magnification.

Figure 9-17, Healing myocardial infarct, 4 weeks old.

Figure 9-18, Healing myocardial infarct, 8 weeks old.

Figure 9-19, Atheroembolus.

Respiratory System

Figure 9-20, Fetal lung, 18 weeks' gestation, ×4.

Figure 9-21, Fetal lung, 35 weeks' gestation, ×4.

Figure 9-22, Fetal lung, 21 weeks' gestation.

Figure 9-23, Neonatal diffuse alveolar damage.

Figure 9-24, Chronic pulmonary venous congestion.

Figure 9-25, Chronic and subacute pulmonary venous congestion.

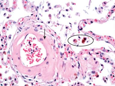
Figure 9-26, Amniotic fluid embolus, lung.

Figure 9-27, Bone marrow embolus, lung.

Figure 9-28, Foreign material emboli, lung.

Figure 9-29, Recanalization of pulmonary arteries.

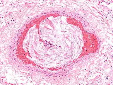
Figure 9-30, Acute pulmonary infarct.

Figure 9-31, Emphysema.

Figure 9-32, Organizing pneumonia.

Figure 9-33, Acute aspiration pneumonia.

Figure 9-34, Miliary granulomatous pneumonia.

Figure 9-35, Fibrocavitary granuloma.

Figure 9-36, Cryptococcal pneumonia.

Figure 9-37, Aspergillus pneumonia with vascular invasion.

Figure 9-38, Pneumocystis pneumonia.

Figure 9-39, Cytomegalovirus (CMV) pneumonia.

Figure 9-40, Respiratory syncytial virus (RSV) pneumonia.

Figure 9-41, Hyalinized granuloma, lung.

You're Reading a Preview

Become a Clinical Tree membership for Full access and enjoy Unlimited articles

Become membership

If you are a member. Log in here