Metabolic disorders


Mucinoses

The mucinoses are a group of disorders characterized by mucin deposition in the dermis. The mucin is typically non–sulfated acid mucopolysaccharide (hyaluronic acid) that appears as wispy, faint blue threads on routine sections. It can be better appreciated with colloidal iron, Alcian blue, and toluidine blue staining.

Scleredema (of Buschke)

Key Features

  • Thickened dermis

  • Widened spaces with mucin between normal collagen bundles

  • The mucin is most prominent in the deep dermis

  • No inflammatory infiltrate or increased fibroblasts

  • The histologic features can be subtle and mimic normal skin at scan, but there is increased space between collagen fibers in the deep dermis

Scleredema most often occurs in the setting of insulin-dependent, adult-onset diabetes on the upper back, an area that normally displays a thick dermis. Scleredema can also occur suddenly after a streptococcal infection or in association with a monoclonal gammopathy.

Fig. 14.1, Scleredema

Fig. 14.2, Scleredema

Pretibial myxedema

Key Features

  • Large amounts of mucin throughout the dermis

  • Collagen bundles separated by mucin and reduced to thin wisps

Pretibial myxedema is found in patients with Graves disease, especially those with exophthalmos. It may not develop until after correction of the hyperthyroidism.

Differential Diagnosis

The mucin deposition in pretibial myxedema involves the full thickness of the dermis, whereas the mucin in stasis is restricted to the papillary dermis. Nodular angioplasia and hemosiderin deposition are also features of stasis. Scleredema lacks attenuation of collagen fibers.

Fig. 14.3, Pretibial myxedema

Fig. 14.4, Pretibial myxedema

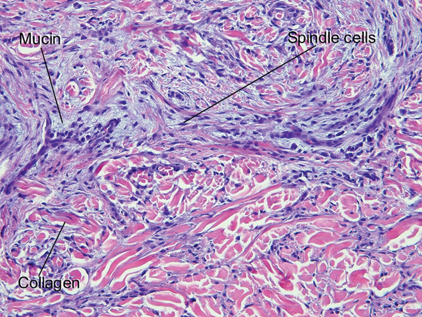
Scleromyxedema

Key Features

  • Increase in dermal fibroblasts, fine collagen fibers, and interstitial mucin

Papular mucinosis (lichen myxedematosus) is composed of linear arrays of waxy papules. Scleromyxedema is a variant in which the papules coalesce with diffuse sclerosis of the skin. An immunoglobulin (Ig) G lambda gammopathy is associated with scleromyxedema and many cases of papular mucinosis.

Differential Diagnosis

Histologically, scleromyxedema resembles nephrogenic systemic fibrosis. The clinical setting varies in that nephrogenic systemic fibrosis occurs in patients with renal failure with involvement of the distal extremities, whereas scleromyxedema is associated with IgG paraproteinemia and typically involves the face.

Fig. 14.5, Scleromyxedema

Fig. 14.6, Scleromyxedema

Fig. 14.7, Nephrogenic systemic fibrosis

Fig. 14.8, Nephrogenic systemic fibrosis

Tumid lupus

Key Features

  • Interface damage is subtle or absent

  • Superficial and deep perivascular and periadnexal lymphocytic infiltrate

  • Infiltrate typically involves the eccrine coil

  • Abundant mucin is present in the reticular dermis

Reticular erythematous mucinosis is indistinguishable histologically from tumid lupus. Many consider it a variant of tumid lupus.

Fig. 14.9, Tumid lupus

Fig. 14.10, Tumid lupus

Focal mucinosis

Key Features

  • Dome-shaped papule containing a pool of mucin

Digital myxoid cyst resembles focal mucinosis, but on acral skin.

Fig. 14.11, Focal mucinosis (colloidal iron)

Fig. 14.12, Digital myxoid cyst

You're Reading a Preview

Become a Clinical Tree membership for Full access and enjoy Unlimited articles

Become membership

If you are a member. Log in here