Management of Tuberculous and Fungal Infections of the Nervous System


Acknowledgments

We are sincerely grateful to Professor P N Tandon and Professor R Bhatia the previous authors of this chapter’s section on TB for all their support. The fungal infection section is heavily adapted from “Fungal infections of the Central Nervous System” in the previous edition of this book and we sincerely thank the contributors Dr RR Sharma and his coauthors. Special thanks to Professor R K Gupta who gave deep insights in the imaging of CNS TB.

We acknowledge all the following doctors from the All India Institute of Medical Sciences, New Delhi, India for their contribution. We are especially thankful to Dr. M Agrawal, Chief Resident in the Department of Neurosurgery. We express our sincere thanks to Dr. R Sharma, Dr. S A. Sreenivasan, Dr. R Samala and Dr. S Moorthy of the Department of Neurosurgery for their constructive inputs. We acknowledge the contribution of Professor A Garg, of Neuroimaging & Interventional Radiology for providing the neuroimaging material. We are thankful to Professor MC Sharma and Dr. A Castro, senior resident in the Department of Neuropathology for providing the histopathological slides. We also acknowledge the efforts of, Prof. I Xess from the Mycology Division of the Microbiology Department for providing the mycology slides.

Management of Tuberculous Infections of the Nervous System

The pathogen responsible for central nervous system (CNS) infection belongs to the Mycobacterium tuberculosis complex (MTBC) (e.g., M. tuberculosis [MTB], Mycobacterium bovis, Mycobacterium africanum, and Mycobacterium microti) and rarely the non-tuberculous mycobacteria of which there are more than 140 species. Atypical or non-tuberculous mycobacteria are common in the environment and can be found in water, soil, food, and animals with the overwhelming majority of infection having a background of human immunodeficiency virus (HIV) coinfection.

Infection of the CNS by MTB is invariably secondary to a primary focus elsewhere in the body. The primary sites are usually pulmonary, bone, and gastrointestinal tract; genitourinary sites are less common. The incidence of CNS tuberculosis (TB) is a reflection of the overall incidence of TB in a population. Currently a fourth of the global population harbors the MTB bacillus and is at risk of developing active disease. TB is the ninth leading cause of death worldwide and the leading cause from a single infectious agent.

The epidemiology of the disease has been greatly affected by the advent of the HIV ; emergence of multidrug-resistant TB (MDR TB) and extensively drug-resistant strains of TB (XDR TB); widespread intravenous drug abuse; inadequate case detection, diagnosis, and therapy; collapse of health infrastructures due to economic crisis and war; and continuing poverty. The health burden related to TB had prompted the implementation of World Health Organization’s (WHO’s) Stop TB Strategy, the goal of which was to halve the prevalence and death rates by 2015 from the baseline of 1990. Subsequently, for the period 2016 to 2035, the End TB Strategy has been implemented by WHO and the United Nations’ (UN) Sustainable Development Goals, which share a common aim: to end the global TB epidemic. Targets set include a 90% reduction in TB deaths and an 80% reduction in TB incidence by 2030, compared with 2015.

In the United States the disease incidence has been fluctuating depending on the aggressiveness of care. , The national incidence rate in 2016 was 2.9 cases per 100,000 persons with the case rate among non-US-born persons at 14.7 cases compared to 1.1 cases per 100,000 persons among US-born persons.

In comparison, the incidence in the 30 high-TB burden countries is 150 to 300, and above 500 per 100,000 in a few countries including the Democratic People’s Republic of Korea, Lesotho, Mozambique, the Philippines, and South Africa.

Human Immunodeficiency Virus and Tuberculosis Coinfection

In 2016, incidence of TB was 10.4 million with 6.3 million new cases. Ten percent were people living with HIV (74% in Africa) and 56% were in five countries: India, Indonesia, China, the Philippines, and Pakistan. In 2016, there were an estimated 1.3 million TB deaths among HIV-negative people and an additional 374,000 deaths among HIV-positive people.

There is a clear synergistic relation between HIV and TB. The risk of developing TB in the 37 million people living with HIV was 21 times higher than the risk in the rest of the world population. The tubercle bacillus has been demonstrated to enhance the replication of HIV by transcriptional activation. , The increased susceptibility and accelerated natural history of TB with HIV infection leads to more rapid creation of drug resistance.

TB of the nervous system, which merits the attention of a neurosurgeon, occurs in several forms, and more than one form may be present in the same individual ( Table 132.1 ). This chapter deals only with tuberculomas, tuberculous meningitis (TBM), and tuberculous spinal arachnoiditis. Pott disease of the spine and tubercular encephalopathy are extensively described in orthopedic and neurologic texts.

TABLE 132.1
Tuberculosis of the Nervous System
Anatomic Area Manifestation
Intracranial Tuberculosis
Parenchymal Tuberculoma
Abscess
Tubercular encephalopathy
Meningeal Chronic meningitis
Calvarial Osteomyelitis
Spinal Tuberculosis
Vertebral Pott’s disease of the spine
Meningeal Arachnoiditis
Parenchymal Tuberculoma

Pathophysiology

MTB bacilli enter the host by droplet inhalation. The potential pathways and molecular mechanisms behind the dissemination of MTB have been reviewed.

Heparin binding haemagglutinin adhesin enables MTB to bind to sulphated glycoconjugates on epithelial cells. Alveolar macrophages are colonized leading to a localized granuloma typically in the middle or lower zone of the lungs known as primary or Ghon complex. During this stage, a brief bacteremia seed tubercle bacilli to other organs. In the brain, the subpial or subependymal foci is termed Rich foci . It is not clear how exactly the bacilli invade and survive initially in the CNS. The reactivation of the Rich foci leads to its expansion and rupture into the subarachnoid space causing meningitis. The deeper intraparenchymal foci cause tuberculomas or abscesses. Reinfection rather than reactivation is likely to be more common in TB endemic areas, since molecular epidemiological evidence demonstrate currently circulating strains.

Tuberculous Meningitis

TBM is the commonest and most severe CNS manifestation of TB. TBM is a disease of childhood whose highest incidence is in the first 3 years of life. The incidence of TBM has increased in adults as a result of the HIV coinfection where there is a five times higher likelihood of having TBM.

The major neurosurgical interest in TBM is the occurrence of hydrocephalus, tuberculomas, and rarely, chiasmal and spinal arachnoiditis. In the acute stage, increased intracranial pressure (ICP) is related to the general inflammatory process, increased cerebrospinal fluid (CSF) proteins, and impaired CSF absorption. When the disease becomes subacute or chronic, the inflammatory basal exudates extend along small proliferating blood vessels into the brain substance, leading to a border zone encephalitis associated with diffuse or focal ischemic changes due to vasculitis. Larger vessels, commonly the internal carotid artery siphon, its bifurcation, proximal segments of the middle cerebral artery (MCA), and sometimes the anterior cerebral artery (ACA), may get involved, leading to occlusion and infarction. The affected artery shows changes of periarteritis, massive subintimal fibrosis with narrowing or obstruction. ,

Hydrocephalus is almost invariable in children who survive for more than 4 to 6 weeks and is most often communicating caused by blockage of the basal cisterns and the sylvian fissures by tubercular exudates. In more chronic phases, hydrocephalus is caused by vascular adhesive arachnoiditis. In some cases, hydrocephalus may be “obstructive” at the outlet of the fourth ventricle or at the aqueduct by an intraluminal tuberculoma or a focal parenchymal lesion with mass effect or secondary to entrapment of the ventricle by granulomatous ependymitis. Obstruction of CSF circulation in TBM often occurs at multiple sites. TBM may rarely be followed by the development of syringomyelia despite appropriate chemotherapy.

As the disease becomes more chronic, the clinical evidence of meningitis disappears, leaving behind thickened, localized, hard, fibrotic leptomeninges that may form a plaque-like cover over the cerebral hemispheres, posterior fossa, foramen magnum, or spinal cord. The disease, although localized, is still active and can cause progressive symptoms. This condition is increasingly being recognized as a manifestation of CNS TB , ( Fig. 132.1 ) and must be differentiated from idiopathic hypertrophic pachymeningitis.

FIGURE 132.1, This magnetic resonance imaging scan of a 25-year-old woman who had headache and seizures for 5 months shows a thickened leptomeninges over the parietal convexity.

Problems of Diagnosis

The diagnosis of TBM is more based on clinical, laboratory, and radiological algorithm rather than isolation of mycobacteria. CSF examinations typically demonstrate lymphocytic pleocytosis, high protein, and low serum CSF sugar. Neutrophil predominance may be observed with early disease. However, total CSF white cell count can be normal in the elderly and HIV-infected individuals with depressed cell-mediated immunity. ,

Acid-fast bacilli demonstration by conventional microscopy of direct smears requires 10,000 organisms and is therefore found in no more than 10% to 15% of samples. The exceptionally high sensitivity of 83% of 52 patients reported by Kennedy and Fallon has not been found to be reproducible. Examining more than 5 mL of CSF for 30 minutes and pre-treatment of CSF leukocytes with triton prior to ZN staining increase the yield rate. The more sensitive light-emitting diode (LED) fluorescent microscopy is now recommended by the WHO.

A process 100-fold more sensitive than AFB smear is culturing in the solid Lowenstein–Jensen (L–J) medium requiring 18 to 24 days, or the faster liquid medium using Middlebrook 7H9 broth where growth may be seen within 10 days. Though slower, the solid media can detect mixed culture and colony morphology can aid the identification. There are three FDA-cleared platforms for the semi-automated broth-based culture of mycobacteria: the BACTEC MGIT 960 system (Becton Dickinson Microbiology Systems), the VersaTREK system (Trek Diagnostic Systems), and the MB/BacT Alert 3D (bioMérieux). A meta-analysis of 10 published studies found the MGIT system to have 81.5% analytical sensitivity (and 99.6% specificity) compared to 67% sensitivity for L–J solid media.

Subsequently, all specimens showing growth regardless of the broth culture system must be subcultured to solid media to detect mixed cultures, observe colony morphology, and identify drug susceptibility. As an alternative to bacteriologic methods molecular methods allow for rapid species identification from culture. These include nucleic acid hybridization probes, line probe hybridization assays, matrix-assisted laser desorption/ionization time-of-flight mass spectroscopy (MALDI-TOF MS), and DNA sequencing.

Early diagnosis is essential for effective patient management. Nucleic acid amplification methods can rapidly detect fewer than 10 organisms. Though inferior to culture with regard to sensitivity and specificity, in nonpurulent meningitis where immediate diagnosis of TB is essential, such methods are used, overriding considerations of cost and sensitivity. While the sensitivity and specificity is acceptable in smear-positive specimens, it is not so for smear-negative specimens. When nucleic amplification results are negative, the test has to be repeated with a fresh specimen or with material obtained from fluid culture systems after 1 to 2 weeks of incubation to maximize the sensitivity. The polymerase chain reaction (PCR) is the most common method. A meta-analysis of 84 published studies found that cumulative sensitivity ranged from 9.4% to 100% and specificity from 5.6% to 100%. This large heterogeneity stresses the need for vigorous verification and quality control measures. PCR assays are less expensive than commercially available NAA tests and may be utilized on a wider variety of specimen types.

Commercially available tests such as the Xpert MTB/RIF, an automated, cartridge-based closed amplification system, detect MTBC directly from patient specimens in as little as 2 hours. The Xpert MTB/RIF test reduces the potential for cross contamination between specimens, and it is simple and safe for laboratory technicians to perform. In addition, it screens for rifampin resistance by detecting mutations in an 81-base pair region of the rpoB gene that are responsible for conferring approximately 96% of rifampin resistance in MTBC. Rifampin resistance is also a predictor of multi-drug resistant TB since the majority of rifampin-resistant isolates will also be isoniazid-resistant. The test has a significant false positivity in areas with low prevalence of rifampicin resistance and therefore conventional culture and antimicrobial susceptibility testing is required as confirmation.

Several studies have evaluated the use of Xpert MTB/RIF for the diagnosis of TBM. A South African study of 204 patients (87% HIV infected) found that the sensitivity of Xpert MTB/RIF was higher than that of smear microscopy (62 vs. 12%; P = .001), while a study from Vietnam of 182 patients found that the sensitivity of Xpert MTB/RIF was only slightly higher than smear microscopy (59.3% vs. 51.8%). In a meta-analysis of 18 studies involving 4461 samples to assess the accuracy of Xpert for the detection of extrapulmonary TB, pooled sensitivity in CSF was 80.5% (95% CI 59.0% to 92.2%) against culture and 62.8% (95% CI 47.7% to 75.8%) against a composite reference standard. Based on this systematic review, the WHO now recommends Xpert as the preferred initial test for diagnosis of TB meningitis.

The guidelines for extrapulmonary TB in India caution that as Xpert MTB/RIF was not sufficiently sensitive for TB meningitis, the decision to give or withhold ATT should not be based on a negative Xpert result alone. While a positive Xpert MTB/RIF result may be reassuring due to the high specificity of the test, it should only be used as an adjunct to other diagnostic methods. It further recommended a concentration step involving centrifugation and resuspension of the sample in the processing of CSF before using Xpert MTB/RIF to increase the sensitivity of the test. In the future, more extensive sequencing would identify mycobacteria to the species level to include NTM. It would also identify resistance variants within mixed sequence populations. ,

In general, serologic tests are disappointing. Various combinations of serodiagnosis and PCR has been studied to improve sensitivity. In an Indian study of 532 children with TBM, real-time quantitative PCR and ELISA was used to detect a panel of MTB antigens (GlcB, HSpX, MPT51, Ag85B, and PstS1). In patients with definite TB, sensitivity and specificity were 100 and 96% to 97%, respectively, and in those with probable/possible TB, the sensitivity and specificity were 98%. The combination of PCR with GlcB and HspX ELISAs accurately detected all patients with TBM with 90% specificity.

The biological marker adenosine deaminase (ADA) increases by the induction of T-cell-mediated immune responses. Its quantification is a rapid test that has been used for the diagnosis of TBM. A meta-analysis of 13 studies (380 patients with TBM) concluded that once bacterial meningitis was ruled out, ADA values could improve TBM diagnosis, though the large number of methods and lack of standardization used to detect ADA limits its value. ,

Diagnosis of TB in HIV-infected patients poses special problems. The preponderance of extrapulmonary forms with the very low number of tubercle bacilli in the available test samples makes detection difficult. The resemblance of TB to some opportunistic infections in HIV-infected patients has popularized molecular diagnosis in these patients.

A large multinational study comprising of 506 patients with microbiologically confirmed TBM between 2000 and 2012 compared the efficacy of various tests. The tests included: ZN stain, CSF PCR, CSF automated culture system (CSF ACS) and L–J culture, interferon-γ release assay (IGRA), and ADA activity. The sensitivities of the tests were as follows: IGRA 90.2%, ACS 81.8%, L–J culture 72.7%, CSF PCR 57.3%, ADA 29.9%, and ZN 27.3%. The combination CSF LJ and CSF ACS was superior to using these tests alone ( P < .05). The study concluded that the diagnosis of TBM should be made in two steps. First, rapid, non-culture tests like ZN stain, PCR, ADA, and IGRA should be performed in combination according to their availability in the institution. This would be followed by both ACS and L–J cultures. If given the choice of a single method of culture in the diagnosis of TBM the choice would be ACS.

Imaging

Computed Tomography

Although normal scan results may be seen in the early stages of TBM, the following features may be demonstrable in the course of the illness: exudates in the basal cisterns or sylvian fissures, hydrocephalus, infarcts, tuberculomas, gyral and meningeal enhancement, and edema in the white matter( Fig. 132.2 ). Hydrocephalus is seen in more than one-third of cases in the first scan and becomes more frequent as the disease progresses. Bullock and Van Dellen pointed out that in TBM, periventricular lucency is likely to be a result of spread of the inflammatory process, mimicking periventricular lucency caused by elevated ICP.

FIGURE 132.2, Contrast-enhanced computed tomography extensively shows exudates in the cisterns, along with prominent ventricles.

Magnetic Resonance Imaging

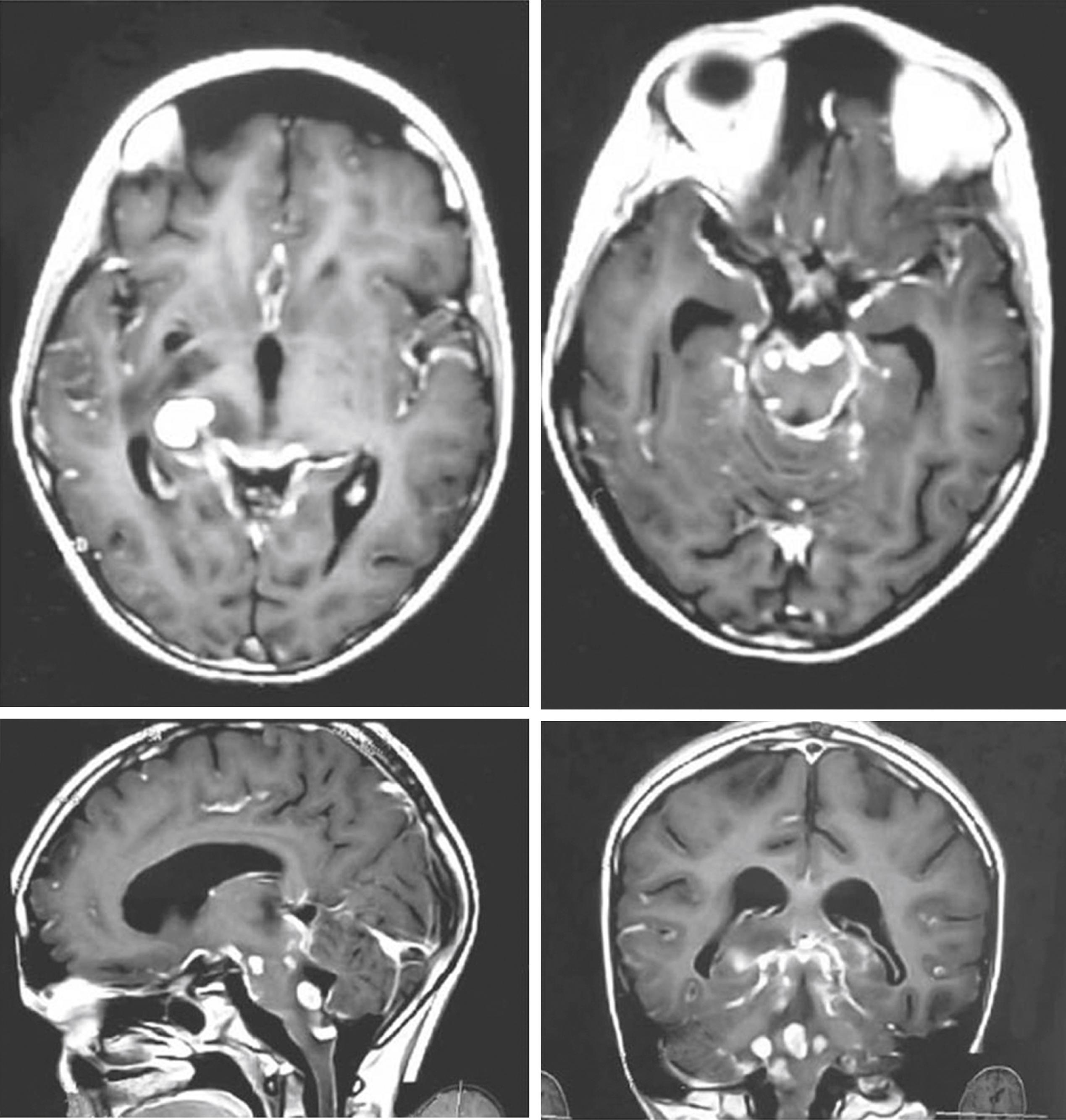
Magnetic resonance imaging (MRI) is more sensitive than computed tomography (CT) for early detection of infarcts, meningeal and parenchymal disease ( Fig. 132.3 ). Superior to routine imaging, magnetization transfer (MT) imaging demonstrates abnormal meninges as hyperintense on precontrast MTT1 images which further enhances on postcontrast T1 weighted MT images. In addition, MT ratio (MTR) quantification helps in predicting the etiology of meningitis. , Visibility of the inflamed meninges on precontrast MTT1 images with low MTR is fairly specific of TBM, which differentiates it from other nontuberculous chronic meningitis.

FIGURE 132.3, Gadolinium–diethylene triamine penta-acetic acid–enhanced T1-weighted axial, sagittal, and coronal images demonstrate enhancement of the leptomeninges over the surface of the brain. There are also multiple tubercles studding the brain parenchyma.

Periventricular hyperintensity on proton density and T2W and FLAIR images usually suggests transependymal ooze of CSF from hydrocephalus under pressure. Patency of an endoscopic third ventriculostomy stoma can be demonstrated by CSF flow dynamics.

The majority of the infarcts are in the basal ganglia and internal capsule regions due to the involvement of the lenticulostriate arteries, however, infarcts related to large vessel disease like MCA are also seen. Diffusion weighted imaging (DWI) helps in early detection of this complication.

Pachymeningitis may be a focal or diffused involvement of the duramater. , Focal pachymeningitis appears isointense on T1, iso to hypointense on T2WI, and enhances on postcontrast images. Diffuse involvement may appear hyperintense on T2WI. These findings are nonspecific and may be seen in a large number of inflammatory and noninflammatory conditions.

The presence of cranial nerve palsies helps clinical differentiation of TBM from acute bacterial meningitis. The possible mechanisms are ischemia due to vascular compromise and/or entrapment of the nerves by the exudates.

Medical Treatment

There is evidence that bacille Calmette–Guérin vaccination offers some protection against TBM. , Once meningitis is established, drug therapy is initiated. The drugs usually prescribed nearly always belong to a group of five antibiotics known to be effective in the treatment of extracranial TB ( Table 132.2 ). The first-line agents most commonly used are isoniazid (H), rifampicin (rifampin) (R), and pyrazinamide (Z), all of which are bactericidal and ethambutol (E), a bacteriostatic drug, or streptomycin (S), in children too young to be monitored for visual acuity.

TABLE 132.2
Anti-tubercular Drugs
Drug Dosage Contraindications Side Effects
Isoniazid Oral/intramuscular 300 mg/day (3–10 mg/kg) Drug-induced liver disease Peripheral neuritis, psychosis, optic neuritis, occasionally lupus syndrome, convulsions
Rifampicin Oral 450–600 mg/day (10 mg/kg) Jaundice, pregnancy Liver toxicity, gastrointestinal symptoms, rarely shock, respiratory collapse
Pyrazinamide Oral (20–30 mg/kg) Liver damage Hepatitis
Ethambutol Oral (15 mg/kg) Optic neuritis Optic neuritis, color blindness, peripheral neuritis
Streptomycin Intramuscular 1 g/day (20–25 mg/kg) Pregnancy Ototoxicity, renal damage

Short-course chemotherapy is well established for treatment of pulmonary TB but not for extrapulmonary disease. Two main arguments for the perception that longer treatment is needed for TBM is the blood-brain barrier hindering the penetration of anti-TB drugs and the fear of relapse. Goel et al. reviewed 35 cases of TBM in which chemotherapy was given for periods of less than 2 years. Short-term therapy was associated with recrudescence of TBM and, in some cases, with the development of deep cerebral infarcts and permanent neurologic deficit. Current guidelines for India recommend a 2-month initiation phase with four drugs (rifampicin [R], isoniazid [H], pyrazinamide [Z], and ethambutol [E] or streptomycin [S]) followed by a 10-month continuation phase of three drugs (HRZ). In South Africa, the regimen consists of a 6-month purely intensive course with four drugs: isoniazid (15 to 20 mg/kg), rifampin (20 mg/kg), pyrazinamide (40 mg/kg), and ethionamide (20 mg/kg). The selection of the drugs takes into account the ability to penetrate into CSF while the dose was dependent on the efficacious concentrations required without causing undue toxic effects. The overall mortality among 184 children, with more than 80% of the children having stage 2 or 3 TBM, was 3.8% in mainly those with stage 3 meningitis. It is worthwhile remembering that isoniazid at concentrations approaching 5 μg/mL had an appreciable mutant-inhibition capacity, probably directed mainly at inhA mutants. Low INH concentration is particularly likely to be the case with faster N-acetyltransferase two isoniazid acetylators.

With the objective of identifying whether a 6-month course of ATT or a more prolonged course was better, 4 RCTs and 12 prospective cohort studies including a total of 1881 participants with TBM were reviewed. The conclusion was that relapse was uncommon in all participants irrespective of the regimen and that further inferences was probably inappropriate.

The medical management of MDRTB is discussed below.

In a critical reappraisal of the literature on adjunctive corticosteroid therapy in TB, Dooley et al. concluded steroids did not reduce the efficacy of adequate antimycobacterial therapy and appeared to offer significant short- and long-term benefits in TBM. Several randomized trials of steroids in TBM have appeared in the literature. In the first prospective, randomized, controlled trial of dexamethasone in TBM, Kumarvelu et al. concluded that dexamethasone appeared to be a useful adjunct, especially in patients with severe disease. A similar prospective, randomized, controlled trial of steroids in TBM in 141 consecutive children concluded that the survival rate and intellectual outcome were significantly better with steroids. There was enhanced resolution of basal exudates and tuberculomas on serial CT scanning. However, ICP and the incidence of basal ganglia infarction remained unchanged. In a randomized, double-blind trial involving 59 adults with TBM, prednisolone was not found to be beneficial in patients with poor neurologic status, increased ICP, and cranial nerve palsies. In a controlled trial of 545 adults with TBM Thwaites demonstrated that dexamethasone improved survival but did not improve disability.

It is not clear how steroids work. Steroids do not appear to act by attenuating immunologic mediators of inflammation. A review of 9 randomized controlled trials that included 1337 participants (with 469 deaths) comparing corticosteroid plus ATT with ATT alone concluded that while corticosteroids reduced mortality from 41 per 100 people to 31 per 100 people, it had no effect on the number of people who survived with disabling neurological deficit. Only one of the nine trials included HIV-positive people ( n = 98 out of 545 participants). The WHO strongly recommends with a moderate certainty of evidence that an initial adjuvant corticosteroid therapy with dexamethasone or prednisolone tapered over 6 to 8 weeks should be used. A subgroup analysis showed that corticosteroids had no effect on mortality in those with HIV coinfection. The Indian guidelines recommend that though the quality of evidence was low, steroids may be used for TB meningitis in HIV-positive people, where other life-threatening opportunistic infections are absent.

In the absence of anticonvulsants, seizures occurred in less than 10% of children in the first 3 months. Patwari et al. advocated that all children with focal seizures and those with generalized tonic–clonic seizures and tonic spasms manifesting more than once during hospitalization or associated with abnormal CT or electroencephalographic findings be given long-term anticonvulsants. Children without seizures and those with generalized tonic–clonic seizures before hospitalization or not more than one seizure during the first week of hospitalization and without abnormal CT or electroencephalographic findings were not given long-term anticonvulsants. The Indian guidelines similarly does not advocate prophylactic anti-epileptic drugs in TBM patients who have not had seizures during their clinical course. Close follow-up is essential, especially when anticonvulsant therapy has been withheld.

Surgery

Hydrocephalus is seen in up to 85% of children with TBM. The initial management includes acetazolamide and steroids in good grade patients with communicating hydrocephalus. Cairns first advocated ventricular decompression during the acute stage of TBM. Since then, numerous procedures have been tried, and reports have conclusively documented the efficacy of ventriculoatrial or ventriculoperitoneal (VP) shunts for this condition. The fear of spreading tubercle bacilli through the shunt is unfounded.

After a shunt is inserted, a progressive reduction in size of the ventricles occurs, but the ventricles may not return to normal size. A low-pressure shunt appears to be best suited to these patients. Infrequently, separate shunts are required for each lateral ventricle if a CSF block is present at the level of the foramen of Monro. Alternatively, an endoscopic fenestration of septum pellucidum eliminates the need for two ventricular ends. Loculations within ventricles could similarly be fenestrated to reduce the number of shunts required. Where the obstruction is at the aqueduct or the fourth ventricular outlet on imaging, it is tempting to perform a third ventriculostomy, but the surgeon must keep in mind that CSF frequently is obstructed at multiple sites, and bypassing one obstruction may simply uncover another. In acute TBM, the combination of an inflamed, opaque, tubercle-studded third ventricular floor and exudates in the underlying subarachnoid space makes the procedure risky and prone to failure. The success rate is quite variable, ranging from 41% to 77%. Whether it is a third ventriculostomy or an endoscopic fenestration of septate, the results would be better when performed following 4 weeks or more of anti-TB treatment or when the disease has been quiescent. Rarely, optochiasmal arachnoiditis may be responsible for the development of visual deterioration and may indicate a need for decompression of the optic nerves and chiasm. Cerebral tuberculomas can develop insidiously during treatment of TBM, and the patient may die as a result of elevated ICP. These tuberculomas tend to occur in deep structures, making surgical access difficult and hazardous.

Results

The prognosis of TBM depends on the delay in treatment, the patient’s level of consciousness, the presence and degree of exudates, and the presence of hydrocephalus and cerebral infarcts. , After TBM, there is frequent marked, generalized impairment of cognitive and motor development. Palur et al. reviewed 114 patients with TBM and hydrocephalus who underwent shunt surgery and followed them for a period ranging from 6 months to 13 years (mean 45.6 months). They described a grading score at admission based on sensorium and neurologic deficit, which was found to correlate statistically significantly with the outcome ( P < .001) The grading system has since been modified to include the Glasgow Coma Scale to improve reproducibility ( Table 132.3 ). The utility of this grading system has been ratified by other researchers. ,

TABLE 132.3
Modified Vellore Grading of Tuberculous Meningitis and Hydrocephalus
Grade Description
I GCS 15 Headache, vomiting, fever with or without neck stiffness, no neurologic deficit
II GCS 15 Neurologic deficit present
III GCS 9–14 Neurologic deficit may or may not be present
IV GCS 3–8 Neurologic deficit may or may not be present

Early shunt surgery is advocated for patients in grades I and II. For patients in grade III, surgery may be performed either without a trial of external ventricular drainage or when an improvement in sensorium occurs after such a trial. All patients in grade IV should undergo external ventricular drainage, and only those who show a significant change in their neurologic status within 24 to 48 hours of drainage should undergo shunt surgery. There would be a few patients in this group who show no improvement on drainage yet may show improvement after shunt surgery.

Nadvi et al. compared two groups of 15 patients each, one with TBM and the other with HIV coinfection. None of the HIV-positive patients had a good recovery, and there were no survivors in grades III and IV. They as well as others concluded that all patients of TBM who were HIV positive should be given a trial of CSF drainage, and only those who show an improvement should undergo shunt surgery.

A multinational study analyzed 507 patients with microbiologically confirmed TBM from 43 centers and 14 countries between 2000 and 2012 for unfavorable outcome defined as survival with significant sequela or death. Eighty-six of the 165 patients who had unfavorable outcome died. Altered consciousness, diabetes mellitus, immunosuppression, neurological deficits, hydrocephalus, and vasculitis were predicters of unfavorable outcome.

Tuberculomas

Incidence

The incidence of tuberculomas in India, which comprised 20% to 30% of all intracranial space-occupying lesions in the 1950s and 1960s, has declined since 1980. Although TB is widely prevalent in Nigeria and Taiwan, tuberculomas are rare. Tuberculomas account for 1% to 2% of all intracranial lesions , in industrialized nations.

Location

Tuberculomas can occur at any site in the brain, most commonly the various lobes and the cerebellum. Unusual sites of tuberculomas include the dura mater, , subdural space, orbital fissure, intraventricular, brain stem, , pituitary gland, and hypothalamus. and intramedullary spinal tuberculomas.

Pathologic Features

The typical mature tuberculoma is a solid, creamy white, well-defined, avascular mass with multiple nubbins encased in a firm gliotic capsule and extending into and compressing the surrounding brain. The cut section is pale yellow with an often gritty caseating central core. The immature form consists of multiple small tubercles, some with caseating or liquefied centers dispersed within an edematous brain. Severe edema, possibly caused by an allergic response, may surround these tubercles. Tuberculomas vary in size from 1.5 to 8 cm. Giant tuberculomas can occupy an entire cerebral hemisphere, and many adhere to the dura. The dural attachment can be tenuous or so firm that the tumor resembles a meningioma.

Microscopically, the central zone of caseous necrosis is surrounded by tuberculous granulation tissue consisting of epithelioid cells, Langerhans giant cells, and some lymphocytes, polymorphonuclear leukocytes, and plasma cells ( Fig. 132.4 ). Acid-fast bacilli, although sparse, are usually present in both layers. The brain surrounding a tuberculoma may show degenerated axons and nerve cells, thrombosed vessels, and occasionally swollen astrocytes and oligodendroglial cells. The changes in the small vessels can lead to microhemorrhages or microinfarcts, and these areas may coalesce. Smaller satellite tuberculomas may surround the main mass.

FIGURE 132.4, A photomicrograph of a typical tuberculoma with Langerhans giant cells, epithelioid cells, and lymphocytes. Hematoxylin and eosin stain, magnification ×100.

Tuberculomas can take several unusual forms, , representing the spectrum of inflammatory reaction: (1) incipient tuberculoma, which may appear as an irregular, fleshy, gray cortical mass with associated meningeal tuberculomatosis or even grape-like clusters of tuberculoma along cerebral vessels; (2) subdural cyst overlying an intracerebral tuberculoma; (3) cystic tuberculoma; (4) tubercular abscess; (5) extensive edematous encephalopathy without a tuberculoma; (6) severe cerebral edema with a small, “inconsequential” tuberculoma; and (7) rarely, tuberculoma that has spread transdurally to the calvarium.

TB is a classic example of a disease the resistance to which is mediated by cellular immunity. The nature of the immunologic compromise in HIV, with its major effect on cellular immunity, increases host susceptibility to TB and abscess formation. Chronic inflammatory granulomas seen in immunocompetent patients are less common in patients with HIV.

Tubercular abscess is a distinct entity from a tuberculoma with central liquefaction. The abscess has a wall of chronic inflammatory cells without tubercular granulomas, and the “pus” contains a large number of acid-fast bacilli. The liquefaction produced by hydrolytic enzymes released from brain tissue is thought to allow tubercle bacilli to proliferate, leading to abscess formation. Enzyme inhibitors from dead bacilli and necrotic tissue in caseous material have been reported to prevent liquefaction in tuberculous lesions. The vessels in the reactive border zone of tuberculomas show marked proliferation of the basement membrane into several concentric layers associated with fragmentation. This basement membrane, consisting mainly of glycoproteins, may act as a newly formed antigen, initiating a cellular antibody reaction that results in vasculitis and brain damage.

Clinical Features

Tuberculoma is a disease of the young, with 70% of patients younger than 30 years. However, it is uncommon in children under 4 years of age. Both sexes are equally affected. ,

The signs and symptoms of tuberculomas resemble those of other intracranial space-occupying lesions. As they enlarge gradually, the clinical picture is one of a slowly progressive lesion, although in at least 50% of patients, the symptoms are less than 6 months in duration. Features helpful in distinguishing tuberculomas from other brain tumors are constitutional symptoms such as weight loss, fever, or malaise; a history of active or known TB elsewhere in the body; close contact with a patient with an open case of TB; and a high frequency of seizures, even in association with a cerebellar lesion. The clinical diagnosis is often presumptive. Pyrexia is variable and may not be present in more than 20% to 25% of patients, and the Mantoux test result may be negative. The clinical course may uncommonly show spontaneous remissions and relapses. Clinical evidence of an active focus of TB, such as the lungs and lymph glands, may be present in only 33% of patients and in approximately 10% of close relatives. Rare signs include scalp swelling, CSF rhinorrhea, features of a pituitary tumor, unilateral proptosis, and trigeminal neuralgia. The clinical picture may be confusing when multiple lesions are present. Intramedullary tuberculomas with no evidence of extracranial TB are clinically indistinguishable from intramedullary tumors; the diagnosis may be suspected on MRI and is usually established at surgery.

Extrapulmonary manifestations, particularly CNS involvement, are frequently seen in patients with HIV. Seizures, headaches, and an altered mental state are common presentations, but fever is often absent. The infection is usually a reactivation of latent TB.

Tuberculosis-Immune Reconstitution Inflammatory Syndrome

A paradoxical development or enlargement of tuberculoma after an initial improvement of symptoms and/or radiographic findings with antituberculous drugs is attributed to the load of antigenically active dead bacteria in a setting of a hypersensitive cell-mediated response and can occur even after the completion of treatment. In this group of patients, associated TBM was a common feature. This is now recognized as tuberculosis-immune reconstitution inflammatory syndrome (TB-IRIS) that may occur in either HIV-infected patients, where antiretroviral therapy (ART) unmasks the signs and symptoms not clinically apparent before, or, less commonly in HIV-uninfected patients leading to a paradoxical worsening of symptoms of a treated case. TB-IRIS might be misdiagnosed as failure of treatment due to inadequate anti-TB treatment, drug resistance or a relapse, or superimposed infection. Risk factors for IRIS include disseminated TB, young male, anemia, lymphopenia or a CD4 + T lymphocyte count less than 50/mm 3 , use of biological agents (e.g., anti-TNFα), and ART. The median time to onset of the paradoxical response was 3 to 8 weeks after initiation of antituberculous treatment in HIV-uninfected patients and 2 to 4 weeks in HIV-infected patients on ART. The immunopathogenesis of IRIS in both HIV-infected and uninfected patients appears to involve T helper 1-driven immune responses in the presence of multibacillary disease and immunodeficiency.

Neuroimaging

An abnormal chest radiograph is a pointer to the diagnosis of a tuberculoma. More sensitive is a CT scan of the chest in picking up a tubercular involvement. Calcification occurs in fewer than 6% of tuberculomas and is rarely extensive or dense, with the striking exceptions of the Inuit (Eskimos) and North American Indians, in whom nearly 60% of tuberculomas are known to have calcifications. Calcification does not indicate an inactive lesion. Cerebral angiography reveals an avascular mass, although surface tuberculomas adherent to the dura may show some peripheral vascularity. , An associated vascular spasm may be seen that is ascribed to tuberculous vasculitis. These angiographic findings may also be seen on magnetic resonance angiography.

Computed Tomography and Magnetic Resonance Imaging

On CT scan, a tuberculoma appears isodense or slightly hyperdense and enhances strongly with contrast, revealing a thick, dense, unbroken ring of enhancement with a regular or irregular margin. There may be combinations of rings and discs, which may coalesce. Multiple lesions are seen in 50% to 60% of cases. , Welchman described the rather rare target sign which is not specific for tuberculoma wherein a central focus of calcification and occasional enhancement is surrounded by a peripheral ring of contrast enhancement.

CT scan on patients presenting with focal epilepsy picks up small (less than 1.5 cm) solitary or multiple ring enhancing lesions surrounded by disproportionately extensive low-attenuating white matter edema. Biopsy has shown that although some of these cases are definitely tuberculomas, others result from a variety of causes, most importantly the neurocysticercosis cyst. Nearly 30% to 40% of these lesions may regress, either spontaneously or as a result of anticonvulsant drugs alone ( Fig. 132.5 ).

FIGURE 132.5, A contrast-enhanced computed tomography scan of a patient who had right focal motor seizures shows (A) a disc-like lesion with disproportionate surrounding low attenuation, which (B) disappeared 2 months later on anticonvulsant therapy alone.

Magnetic Resonance Imaging

In a review of 100 consecutive cases of tuberculoma, Wasay et al. described the finding of a hypointense core surrounded by a hyperintense periphery as the most common signal characteristic on T2-weighted images; in T1-weighted images, the core was isointense with a hypointense rim. This hyperintense signal on T2-weighted images made lesions stand out even when there was only minimal central liquefaction. On comparing MRI signal intensities with histologic results, Kim et al. noted that the hyperintense and hypointense rims on T1-weighted images corresponded to layers of collagenous fibers and inflammatory cellular infiltrate, respectively, whereas the central zone consisted of caseation necrosis and cellular infiltrate. T2-weighted images did not discriminate among the various layers. Gupta et al. found that granulomas that consisted predominantly of macrophages and gliosis were hypointense on T2-weighted images. This characteristic hypointensity of intraparenchymal tuberculomas is not found in most other space-occupying lesions. Although the course of TB is more fulminant in the patient with HIV, the imaging findings are similar to those in nonimmunosuppressed patients.

A classification has been proposed by Gupta et al. on the basis of T2 appearance on MRI of caseation.

  • T2 hyperintense lesion with no caseation

  • T2 hypointense lesion with solid caseation

  • T2 hyperintense center with peripheral hypointense rim with liquefied caseation

  • Lesion with mixed/heterogeneous signal intensity.

T2 Hyperintense Lesion

When the histologic pattern is one of marked cellular infiltration, with minimal gliosis, the appearance is hyperintense on T2-weighted images. These lesions—typically less than 1.5 cm—are noncaseating tuberculomas. This nonspecific appearance may be seen in metastases, lymphomas, demyelinating plaques, and other infective granulomas. These lesions appear iso- to hypointense on T1 with an isointense rim. The rim is hyperintense on MT T1 and FLAIR and show nodular or ring enhancement on postcontrast study. It may be seen as a part of miliary TB or TBM. Low MTR and an enhancement pattern help in its differentiation from other lesions. These lesions may show restriction in diffusion imaging with low ADC ( Fig. 132.6 ).

FIGURE 132.6, Miliary tuberculosis: T2WI and FLAIR images show small hyperintense lesions with variable perifocal edema. It is barely visible on T1WI; however, it is clearly visible on magnetization transfer T1WI that enhances after gadolinium administration.

T2 Hypointense Lesion

The iso- to hypointensity on T2, T1WI, and MT-T1 is characteristic of solid caseation ( Figs. 132.7 and 132.8 ). The cheesy material is high in lipid contents, with macrophage infiltration and their by-products, gliosis, and perilesional cellular infiltrates. SWI with phase imaging is useful in differentiating hemorrhage and calcification which are also hypointense on T2WI. The rim of variable thickness surrounding the solid caseating core appears hyperintense on T1 and MT-T1 and enhances on contrast. The rim is composed of cellular infiltrates, Langerhans giant cells, gliosis, and MTB cell wall fragments that contain lipids. Lipids are known to have no MT effect, hence the rim has lower MTR compared to the core. The core containing cellular infiltrates and amino acids and their macromolecules from bacterial protein breakdown are responsible for the higher MTR compared to the rim. There is a prominent lipid peak on magnetic resonance spectroscopy (MRS) , ( Fig. 132.9 ) and no restriction on DWI, with high ADC.

FIGURE 132.7, Multiple cerebellar tuberculomas: Multiple T2 hypointense lesions with perifocal edema are noted and are consistent with solid caseation. These are barely visible on T1W1 and show hyperintense rim on MT T1WI which enhances with contrast (PC T1WI). On diffusion weighted imaging (DWI) , there is no restriction seen in the solid caseation of the tuberculoma and no susceptibility signal is noted on SWI to rule out any hemorrhage. MT , Magnetization transfer.

FIGURE 132.8, Multiple left frontal tuberculomas: T2/FLAIR mildly hypointense lesions with peripheral T2 hyperintensity along with perifocal edema. A small T2/FLAIR hypointense lesion with perifocal edema in the parietal also noted. The frontal lesions show central hypointensity on T1WI with peripheral iso-intensity. The small posterior lesion is not visible on T1WI. On diffusion weighted imaging (DWI) there is mild restriction of diffusion with low ADC on ADC map in the anterior lesion while no restriction in the posterior lesion. On post contrast T1WI, there is evidence of multiple rim enhancements in the anterior lesions with solitary enhancement of the posterior lesion.

FIGURE 132.9, (A) This axial T2-weighted image shows a single lesion with edema of surrounding white matter. (B) In vivo proton magnetic resonance spectroscopy of the hypointense lesions shows a characteristic lipid peak. Though the choline peak is small in this case, it is frequently as prominent as a lipid peak in tuberculomas.

T2 Hyperintense Center With Peripheral Hypointense Rim

The liquified caseation core is seen as a T2 hyperintense lesion with a rim of peripheral hypo intensity. This appearance may also be seen in pyogenic or tubercular abscesses, cysticercosis, toxoplasmosis, and metastases. On T1 and MTT1WI, the core appears hypointense with rim hyperintensity on MTT1WI which enhances with contrast. Tuberculomas with liquid caseation show restriction on DWI ( Fig 132.10 ).

FIGURE 132.10, Large solitary tuberculoma in the right cerebellum. Pre and one year post treatment study: Large lesion with T2 hyperintense center surrounded by hypointensity in the periphery with perifocal edema causing mass effect on the 4th ventricle. On TIWI, central hypointensity with isointense periphery that shows bright signal on MT T1WI to suggest peripheral cellular component that enhances as peripheral rim on post contrast T1WI images. Diffusion weighted imaging (DWI) images show mild restricted in the T2 bright central region. One year post treatment, the central liquefactive component has resolved, and the peripheral cellular component has shrunken with very subtle rim enhancement. Solid caseous component persists with regression of edema and mass effect. The DWI image shows no restricted diffusion. MT , Magnetization transfer.

Lesion With Mixed/Heterogeneous Signal Intensity

The lesions show mixed intensity on T2WI with a minimally hyperintense rim of variable thickness on T1 which enhances irregularly with contrast. The differential diagnoses include lymphomas, glioblastoma, metastases, fungal granulomas, and toxoplasmosis. The lesions demonstrate large choline, variable creatinine resonance along with lipids on proton MR spectroscopy simulating neoplastic lesions and correlate with high cellularity and small areas of solid caseation on histopathology. The choline in these tuberculous granulomas is thought to be due to the cellular component of tuberculomas. On MT images, the center of these tuberculomas shows heterogenous hypointensity and the rim shows hyperintensity ( Fig. 132.11 ).

FIGURE 132.11, (A) Variegated tuberculoma. Lesion with mixed heterogenous signal intensity in the right thalamus is noted on T2 and T1WI. There is extensive perilesional edema on FLAIR, peripheral diffusion restriction on diffusion weighted imaging (DWI) with low ADC. A variegated enhancement is seen on postcontrast T1WI. (B) Magnetic resonance spectroscopy of the same lesion shows prominent choline at 3.2 ppm, reduced Cr and NAA and large lipid resonance at 1.3 ppm. This morphology can easily be misdiagnosed as neoplastic.

Spinal intramedullary tuberculomas appear isointense or hypointense on T1-weighted images, and on T2-weighted images, the lesion is isointense, hypointense, or hyperintense, surrounded by a ring of hyperintensity because of the edema that commonly accompanies these lesions. On contrast enhancement, there is rim or nodular enhancement ( Fig. 132.12 ).

FIGURE 132.12, This clinical presentation was of a progressive paraparesis. The T2-weighted image shows an intramedullary hypointense lesion. The surrounding cord is swollen and edematous. The gadolinium–diethylene triamine penta-acetic acid–enhanced image highlights the lesion.

TB of the pituitary gland is rare, and clues to a tubercular etiology include intense contrast enhancement, meningeal enhancement, and a thick pituitary stalk. , Pachymeningeal TB typically is isointense on T1-weighted images and isointense to hypointense on T2-weighted images.

Therapeutic Response Assessment

MRI is the modality of choice for assessing response to treatment. With ATT, response is seen by 4 to 6 weeks with reduction in size and extent of disease and resolution of oedema and meningeal enhancement. Most tuberculomas resolve within 12 to 14 months of treatment. Blood volume (CBV) provides information about the angiogenic activity of pathological tissue. CBV values studied in 13 cases of tuberculoma have shown significant correlation of cellular fraction volume, microvascular density, and vascular endothelial growth factor. The permeability (k trans ) and leakage (v) give information related to the blood-brain barrier integrity and changes in extravascular extracellular space. , , , These parameters may find their utility in assessment of therapeutic response in tuberculomas. Changes in k trans and v e are associated with therapeutic response in follow-up of brain tuberculoma patients even in the presence of a paradoxical increase in the lesion volume.

Medical Treatment

Antituberculous Drugs

The literature around the medical treatment of TBM has grown, but as yet there is a paucity of clinical trials for tuberculoma. Guidelines for treating TBM discussed above are not commonly followed for tuberculoma. In addition, as the diagnosis is largely based on MRI imaging, no information is available on drug resistance. The standard treatment is HRZE for the initial 3 or 4 months, followed by HR for an additional 14 to 16 months. , Occasionally, drug treatment may have to be prescribed in larger doses for 18 months to 3 years for symptomatic intracranial tuberculomas developing during treatment of TBM. ,

Transient disturbance in liver function is often observed in patients taking a combination of isoniazid and rifampicin. This needs to be monitored at regular intervals. The incidence of serious liver disturbance appears to be higher in Asians. Pyridoxine (10 mg/day) is invariably added to prevent peripheral neuropathy due to isoniazid intake.

Most intracranial tuberculomas resolve with medical therapy. Partial resolution is associated with raised ICP, late presentation, multiple large lesions, and advanced miliary disease. Medical treatment may occasionally result in liquefaction of the center of the lesion without any reduction in size. In some patients a lack of change or increase in size on use of antituberculous drugs may be a pointer to IRIS. Tuberculomas seem to enlarge and compress the surrounding brain without causing the destruction usually associated with a malignant tumor; as a result, they can resolve with minimal residual deficits.

The treatment of TB in HIV-positive patients is the same as for those who are HIV negative with the exception that thioacetazone is contraindicated in the HIV-positive patients. For the best results, it is recommended that ART be integrated with the treatment and started after 2 to 8 weeks of initiating ATT rather than given after completing ATT. While it is generally correct that earlier onset of ART is recommended for more severe disease, it must be weighed against the higher risks of precipitating IRIS. For CNS-TB, the recommendation is to start ART after 8 weeks of ATT.

Drug Resistance

Drug resistance of MTB has been recognized since the early days of streptomycin therapy. More recently, there has been an emergence of MDR TB, defined as TB that is resistant to the two most effective first-line therapeutic drugs, isoniazid and rifampicin. There are also virtually untreatable strains of MDR TB labeled as XDR TB that are also resistant to the most effective second-line therapeutic drugs: fluoroquinolones and at least one of three injectable second-line drugs used to treat TB (amikacin, kanamycin, or capreomycin). Because of the limited responsiveness of XDR TB to available antibiotics, mortality rates are similar to the preantibiotic era. In 2016, there were 600,000 new cases with resistance to rifampicin (RRTB), the most effective first-line drug, of which 490,000 had MDR-TB. Almost half (47%) of these cases were in India, China, and the Russian Federation. It is estimated that preventing a single case of MDR TB would save the US health care system more than $250,000. The CDC-appointed expert panel strongly recommended an immediate establishment of a service to provide molecular drug resistance testing for TB suspects and patients at high risk of having MDR TB and those deemed high priority. There would also be immediate expedited testing for susceptibility to first- and second-line anti-TB drugs by conventional culture-based methods and molecular genetic methods.

The mechanism is by chromosomal mutation with emergence of resistant clones on the backdrop of inadequate drug therapy. Presently most of the MDR-TB cases arise through secondary transmission of drug-resistant strains emerging from suboptimal use of these drugs in the past few decades.

Phenotypic testing using conventional detection of bacterial growth in the presence of antibiotics remains the gold standard for the detection of drug resistance in MTB. Molecular data are available for rifampicin, streptomycin, and isoniazid, but genetic data for other first-line and second-line drugs are only partially understood. , , While genotypic assays detect antibiotic resistance within hours, their limitations are that they detect only known mutations, thus reducing their sensitivity. In addition, tests may not be sensitive enough to detect small drug-resistant populations.

The molecular testing by automated nucleic acid amplification Xpert MTB/RIF test is recommended by WHO as the first test when MDR-TB is suspected and where TB is suspected in HIV-infected individuals. It screens for rifampin resistance by detecting mutations in an 81-base pair region of the rpoB gene that are responsible for conferring approximately 96% of rifampin resistance in MTBC. Rifampin resistance is also a predictor of multi-drug resistant TB since the majority of rifampin-resistant isolates will also be isoniazid-resistant.

Isoniazid requires activation in vivo by catalase–peroxidase (KatG) and mutations in the katG gene cause the majority of isoniazid resistance (50% to 90% of isoniazid-resistant strains). At present, there is poor agreement between phenotypic and genotypic tests, and response to therapy for other drugs.

A molecular line probe assay (e.g., Genotype MTBDRplus) has been evaluated in specimens from extrapulmonary TB and TBM. It has been found to have comparable sensitivity and specificity to conventional drug susceptibility testing in identifying resistance to rifampin and INH. The test has been found to be user friendly with a turn-around time of 48 hours.

These tests should be performed in all persons with presumptive MDR-TB, when available. Rapid diagnosis is crucial in HIV-infected individuals and in countries of high MDR-TB prevalence. In low MDR-TB prevalence countries, physicians must be aware of possible false-positive resistance results of molecular tests and rifampicin resistance should be confirmed by in vitro antibiotic testing.

Treatment of Drug-Resistant Tuberculosis

Second-line drugs include the bactericidal drugs, fluoroquinolones, amikacin, kanamycin, ethionamide, capreomycin, prothionamide, and the bacteriostatic cycloserine. Clarithromycin and other macrolides are no longer included among the medicines to be used for the treatment of MDR/RR-TB. New generation fluoroquinolones levofloxacin, gatifloxacin, and moxifloxacin have demonstrated prominent bactericidal activities. , Resistance to fluoroquinolones would clearly influence the prognosis in XDR-TB. New drugs that have been evaluated for the treatment of TB in clinical phase II–III include linezolid, bedaquiline, and delamanid.

WHO guidelines for treating MDR TB involve the use of at least four new drugs never used by the patient or those with in vitro activity based on drug susceptibility test. , Where possible the WHO Group 1 drug for MDRTB (pyrazinamide and ethambutol), WHO group 2 (amikacin, capreomycin or kanamycin), and WHO group 3 (fluoroquinolones) should be core drugs with the rest (ethionamide/prothionamide and cycloserine) being accompanying drugs that may help protect the core drugs in the initial phase when bacillary load is high. ,

Preferably there should be only one drug from each of groups 2 and 3. WHO has recommended use of pyrazinamide without pyrazinamide-susceptibility testing, which is technically difficult and often not performed.

In cases of fluoroquinolone-resistant MDR-TB and XDR-TB, group 5 drugs, notably linezolid and possibly high-dose isoniazid and clofazimine, are often required to optimize treatment outcomes. A regimen including meropenem/clavulanic acid plus linezolid was reported to be associated with a smear conversion rate at 3 months of 87.5% versus 56.3% ( P = .02) in controls.

Duration of Treatment

On the basis of a meta-analysis of greater than 9000 adult patients with MDR-TB, WHO had recommended treatment duration for patients with MDR-TB for the initial intensive phase of 7 to 8.5 months and total treatment of 20 months. In the absence of evidence, recommendations for the duration of treatment of MDR-TB was extended to patients with XDR-TB.

However, based on data for shorter MDR-TB treatment trials (up to 12 months) conducted in Asia and Africa the guidelines were updated in 2016. Adults and children not earlier treated with second-line drugs, and in whom resistance to fluoroquinolones and second-line injectable agents was excluded or considered highly unlikely, a shorter MDR-TB regimen of 9 to 12 months was recommended. However, this short regimen is not applicable to extrapulmonary TB.

Medicines used in the design of longer MDR-TB treatment regimens are now regrouped differently based upon current evidence on their effectiveness and safety ( Table 132.4 ). These include medicines used in first-line TB treatment that may also have a role in strengthening MDR-TB regimens. Clofazimine and linezolid are now recommended as core second-line medicines in the MDR-TB regimen while p-aminosalicylic acid is an add-on agent.

TABLE 132.4
Medicines Recommended for the Treatment of Rifampin-Resistant Tuberculosis and Multidrug-Resistant Tuberculosis.
Group A. Fluoroquinolones a
  • Levofloxacin

  • Moxifloxacin

  • Gatifloxacin

Group B. Second-line injectable agents
  • Amikacin

  • Capreomycin

  • Kanamycin

  • Streptomycin

Group C. Other core second-line agents b
  • Ethionamide/prothionamide Cycloserine/terizidone

  • Linezolid

  • Clofazimine

Group D. Add-on agents
  • D1 Pyrazinamide

  • Ethambutol

  • High-dose isoniazid

  • D2 Bedaquiline

  • Delamanid

  • D3 p-aminosalicylic acid

  • Imipenem-cilastatin

  • Meropenem

  • Amoxicillin-clavulanate

  • Thioacetazone b

This Regrouping is Intended to Guide the Design of Longer Regimens.

a Medicines in Group A and C are shown by decreasing order of preference of use.

b Thioacetazone contraindicated in HIV coinfection.

In patients with RR-TB or MDR-TB, a regimen with at least five effective TB medicines during the intensive phase is recommended, including pyrazinamide and four core second-line TB medicines—one chosen from Group A, one from Group B, and at least two from Group C. If the minimum number of effective TB medicines cannot be composed as given above, an agent from Group D2 and other agents from Group D3 may be added to bring the total to five.

In children with milder disease, the toxic injectable drugs from Group B could be avoided. The drugs for CNS TB must have good CNS penetration. These include ethionamide (or prothionamide), cycloserine (or terizidone), linezolid, pyrazinamide, and isoniazid. PAS and ethambutol do not penetrate the CNS well. Kanamycin, amikacin, and streptomycin penetrate the CSF only in the presence of meningeal inflammation. There are little data on the CNS penetration of capreomycin, clofazimine, bedaquiline, or delamanid.

Patients with HIV infections not only are more prone to TB but also are more susceptible to drug-resistant TB. Such patients require a longer duration of therapy and may still die of TB despite optimal treatment. The composition of the treatment regimen for MDR-TB does not differ for people living with HIV. However, thioacetazone should not be given to patients who are HIV positive.

Corticosteroids are used in the presence of elevated ICP or severe cerebral edema as noted on imaging. Treatment is seldom prolonged beyond 2 to 3 weeks, during which time the corticosteroid therapy can produce dramatic improvement in the patient’s clinical state. Occasionally, patients require steroids for a much longer period.

Anticonvulsant Medications

The high incidence of seizures with tuberculomas mandates the routine use of anticonvulsants. The commonly used drugs are phenytoin, carbamazepine, oxcarbamazepine, and sodium valproate. Patients taking phenytoin and isoniazid may acquire phenytoin toxicity because high levels of isoniazid in the serum can block metabolism of the anticonvulsant.

Surgery

A tuberculoma that severely elevates ICP and threatens life or vision merits emergent surgical excision. In addition, surgical intervention comes into consideration in (1) patients who do not respond clinically or radiographically to antituberculous drugs; (2) patients whose diagnosis is in doubt, such as those with an atypical CT or MRI scan of the lesion; and (3) patients with obstructive hydrocephalus.

Complete excision of tuberculomas is usually reserved for smaller lesions in noneloquent areas of the brain. Larger lesions require subtotal excision when they cause pressure-related symptoms. An insistence on total excision at the cost of an undesirable neurologic deficit is to be discouraged. In cases of multiple tuberculomas, only the largest mass need be decompressed.

An appropriate craniotomy or craniectomy is performed over the site of the lesion. Perioperative ultrasonography and image guidance are useful for accurate localization of small, deep-seated lesions. A clear plane of cleavage , exists between the firm, avascular tuberculoma and the edematous brain. The edema is usually not as pronounced as that associated with metastatic deposits. Tuberculous lesions are often on the cortical surface and adherent to the overlying dura. Although dural adhesions are usually separable with ease, the dural attachment at times can be extremely vascular, resembling that of meningiomas. After the tumor surface is identified, it is removed piecemeal from within the confines of the granuloma. The ultrasonic aspirator is a useful aid in decompression. Where the center is liquefied or necrotic, aspiration of the contents is sufficient; no attempt should be made to excise the capsule. Subcortical lesions are approached through a small corticectomy with preservation of as many vessels as possible. Parts of the tuberculoma adherent to major vessels, venous sinus, or brain stem are left in situ. The practice of frontal and temporal lobectomy or excision of edematous brain is seldom necessary to achieve decompression. Antitubercular chemotherapy is mandatory even after a complete excision of a tuberculoma. After several months of administration of antituberculous drugs, the lesion may be tough in consistency and resistant to curetting.

CT- or MRI-guided stereotactic biopsy and aspiration constitute the preferred mode of diagnosis and treatment for (1) deep-seated lesions, such as those in the thalamus or basal ganglia, and (2) tubercular abscesses or tuberculomas with a liquefied center that can be readily decompressed by this method. Atypical lesions also merit a stereotactic instead of an open biopsy. Although stereotactic biopsy can be quite safe, a trial with antituberculous therapy is a worthwhile alternative in patients with strong circumstantial evidence of tubercular etiology, reserving surgery only for those lesions that continue to grow despite antituberculous drugs. Stereotactic biopsy may also be a procedure of choice for patients with so-called single, small lesions, described earlier, if they fail to resolve on antiepileptic therapy.

Chiasmal decompression may be indicated for a suprasellar tuberculoma developing during treatment for TBM. Brain stem tuberculomas are a rarity and seldom require surgical decompression; they may be sampled for biopsy specimen if the diagnosis is in doubt. We have some reservations regarding the safety of biopsy of brain stem lesions, which can be extremely firm. A VP shunt may be required for a tuberculoma that causes hydrocephalus, resulting either from obstruction of the CSF pathway or from associated TBM. Tuberculomas of the pituitary gland are rare lesions, and a diagnosis is frequently made only after surgery. The postoperative course can be stormy with features of panhypopituitarism, such as diabetes insipidus, hypothermia, and hypotension.

Results

Initial reports of mortality ranged from 10% to 27% for intracranial tuberculomas, but the results have improved dramatically in recent years. Harder et al. reported no deaths in 20 cases. In our experience of 50 consecutive cases, 1 patient died in the hospital and 1 died 2 years after treatment, probably as a result of infection with a drug-resistant organism. Both of these patients had multiple tuberculomas and markedly elevated ICP. Numerous reports have been published of patients with deep-seated, inaccessible lesions and lesions in the brain stem who have had excellent recoveries.

Tuberculous Spinal Arachnoiditis

Tuberculous spinal arachnoiditis usually occurs as a result of a spread of meningitis from within the cranium during the course of treatment, while the disease is still active, or after a variable period of months to years after the disease has “burned out.” , Sometimes the disease may start primarily in the spinal meninges because of rupture into the subarachnoid space of a superficial spinal tuberculoma. Rarely, the disease occurs as a result of a direct transdural spread in spinal caries.

The maximal involvement is in the thoracic and thoracolumbar region, with longitudinal extensions ranging from a few segments to the entire cord. The disease is more marked posterior to the cord, and it may be difficult to distinguish the meninges from the cord. The meninges may become thickened and hard, whereas the cord is atrophied, soft, and edematous, with one or more visible tuberculomas on the surface. As the exudates organize, the spinal cord or roots get entrapped, producing a myeloradiculopathy.

Clinical Features

The appearance of root pain, weakness of the lower limbs, and sphincter disturbances in a patient with TBM suggests the diagnosis of an evolving spinal arachnoiditis. Examination reveals a mixture of upper and lower motor neuron signs with patchy sensory deficits.

You're Reading a Preview

Become a Clinical Tree membership for Full access and enjoy Unlimited articles

Become membership

If you are a member. Log in here