Management of Cavitary Defects


Chapter Preview

Chapter Synopsis

This chapter describes the appropriate treatment of cavitary defects.

Important Points

  • Cavitary defects are contained defects.

  • The defects may be successfully treated with a hemispherical or elliptical acetabular component and supplemental bone grafting.

Clinical/Surgical Pearls

  • Structural integrity should be carefully assessed to ensure that there is no violation of the posterior column or a pelvic discontinuity.

  • The location of the true hip center should be identified.

  • All excess soft tissue should be curetted.

  • Reaming must be done carefully to avoid structural compromise.

Clinical/Surgical Pitfalls

  • Careful inspection is necessary to identify a pelvic discontinuity.

  • The initial fixation should be firm.

Introduction

The projected increase in demand for total hip arthroplasty by the year 2030 will be accompanied by an increased need for revision surgery. As with any revision arthroplasty procedure, restoring function while preserving bone stock is crucial. Acetabular cavitary defects have several causes, including overzealous reaming, inadvertent bone removal during cup extraction, and osteolysis. These defects may also be seen in cases of advanced arthritis, infection, trauma, or tumor. Assessment of bone loss can determine the appropriate treatment from among the various surgical options available. We describe the procedures for treating cavitary defects in selected cases.

The classification of acetabular defects is outlined in Chapter 43 . We prefer the classification of Paprosky because it enables a thorough evaluation of the acetabular defect and directs management.

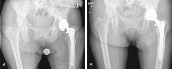
By definition, cavitary defects involve a volumetric loss of bone with preservation of the acetabular rim. Most cavitary defects can be managed with a hemispherical or elliptical acetabular component ( Fig. 54.1 ). The reconstruction is often combined with bone grafting or substitute material to fill the void. This allows the restoration of bone stock in case another revision is required, but it does not add to the initial stability of the construct.

FIGURE 54.1, A, Anteroposterior radiograph of the pelvis of an 83-year-old woman who presented with a loose acetabular component and with medial and superior cavitary defects. B, Postoperative radiograph shows a larger acetabular component with superior bone grafting.

Indications and Contraindications

Reconstruction is indicated if there is pain, obvious loosening of the acetabular component, or significant wear of the polyethylene. The patient must be screened for all medical comorbidities and should be medically stable for what is most commonly an elective procedure. The appropriate steps to rule out infection are necessary because management of a cavitary defect includes the possible use of larger acetabular components, augments, and allograft, whose success is jeopardized by underlying infection.

You're Reading a Preview

Become a Clinical Tree membership for Full access and enjoy Unlimited articles

Become membership

If you are a member. Log in here