Lower Brainstem and Cranial Nerve Dysfunction


This chapter will review disorders causing dysfunction of the VII through XII cranial nerves. Many such disorders also disturb ocular motility and the discussion of these is in Chapter 15 . The basis for chapter assignment is by the most usual initial clinical feature. For example, the discussion of myasthenia gravis is in Chapter 15 because diplopia is a more common initial complaint than dysphagia.

An acute isolated cranial neuropathy, such as facial palsy, is usually a less ominous sign than multiple cranial neuropathies and is likely to have a self-limited course. However, an isolated cranial neuropathy may be the first sign of progressive cranial nerve dysfunction. Therefore, the discussion of conditions causing isolated and multiple cranial neuropathies are together because they may not be separable at onset.

Facial weakness and dysphagia

Anatomical Considerations

Facial Movement

The motor nucleus of the facial nerve is a column of cells in the ventrolateral tegmentum of the pons. Nerve fibers leaving the nucleus take a circuitous path in the brainstem before emerging close to the pontomedullary junction. The fibers then enter the internal auditory meatus with the acoustic nerve. Fibers for voluntary and reflexive facial movements separate rostral to the lower pons. After bending forward and downward around the inner ear, the facial nerve traverses the temporal bone in the facial canal and exits the skull at the stylomastoid foramen. Extracranially, the facial nerve passes into the parotid gland where it divides into several branches that innervate all muscles of facial expression except the levator palpebrae superioris, which is innervated by cranial nerve III.

Sucking and Swallowing

The sucking reflex requires the integrity of the trigeminal, facial, and hypoglossal nerves. Stimulation of the lips produces coordinated movements of the face, jaw, and tongue. The automatic aspect of the reflex disappears after infancy but may return with bilateral dysfunction of the cerebral hemispheres.

Fibers of the trigeminal and glossopharyngeal nerves ending in the nucleus solitarius form the afferent arc of the swallowing reflex. The motor roots of the trigeminal nerve, the glossopharyngeal and vagus fibers from the nucleus ambiguous, and the hypoglossal nerves form the efferent arc. A swallowing center that coordinates the reflex is located in the lower pons and upper medulla. A bolus of food stimulates the pharyngeal wall or back of the tongue, and the combined action of the tongue, palatine arches, soft palate, and pharynx move the food into the esophagus.

Approach to Diagnosis

The causes of facial muscle weakness may be supranuclear palsy (pseudobulbar palsy), intrinsic brainstem disease, or disorders of the motor unit: facial nerve, neuromuscular junction, and facial muscles ( Boxes 17.1 and 17.2 ). The differential diagnosis of dysphagia is similar ( Box 17.3 ), except that isolated dysfunction of the nerves that enable swallowing is very uncommon.

Box 17.1
Causes of Congenital Facial Weakness

  • Aplasia of facial muscles

  • Birth injury

  • Congenital myotonic dystrophy (see Chapter 6 )

  • Congenital bilateral perisylvian syndrome

  • Fiber-type disproportion myopathies (see Chapter 6 )

    • Myasthenic syndromes a

      a Denotes the most common conditions and the ones with disease modifying treatments

    • Congenital myasthenia (see Chapter 15 )

    • Familial infantile myasthenia (see Chapter 6 )

    • Transitory neonatal myasthenia (see Chapter 6 )

Box 17.2
Causes of Postnatal Facial Weakness

  • Autoimmune and postinfectious

    • Bell palsy a

      a Denotes the most common conditions and the ones with disease modifying treatments

    • Idiopathic cranial polyneuropathy

    • Miller Fisher syndrome a (see Chapter 10 )

    • Myasthenia gravis a (see Chapter 15 )

  • Genetic

    • Juvenile progressive bulbar palsy (Fazio-Londe disease)

    • Muscular disorders

    • Facioscapulohumeral syndrome (see Chapter 7 )

    • Facioscapulohumeral syndrome, infantile form

    • Fiber-type disproportion myopathies (see Chapter 6 )

    • Melkersson syndrome

    • Myotonic dystrophy (see Chapter 7 )

    • Oculopharyngeal dystrophy

    • Myasthenic syndromes a

    • Congenital myasthenia a (see Chapter 15 )

    • Familial infantile myasthenia a (see Chapter 6 )

    • Osteopetrosis (Albers-Schönberg disease)

    • Recurrent facial palsy

  • Hypertension

  • Infectious

    • Diphtheria

    • Herpes zoster oticus a

    • Infectious mononucleosis

    • Lyme disease a (see Chapter 2 )

    • Otitis media a

    • Sarcoidosis a

    • Tuberculosis a

  • Metabolic disorders

    • Hyperparathyroidism a

    • Hypothyroidism a

  • Multiple sclerosis (see Chapter 10 )

  • Syringobulbia a

  • Toxins

  • Trauma

    • Delayed

    • Immediate

  • Tumor

    • Glioma of brainstem (see Chapter 15 )

    • Histiocytosis X

    • Leukemia

    • Meningeal carcinoma

    • Neurofibromatosis

Box 17.3
Neurological Causes of Dysphagia

  • Autoimmune/postinfectious

    • Dermatomyositis (see Chapter 7 )

    • Guillain-Barré syndrome (see Chapter 7 )

    • Idiopathic cranial polyneuropathy

    • Myasthenia gravis a

      a Denotes the most common conditions and the ones with disease modifying treatments

      (see Chapter 15 )

    • Transitory neonatal myasthenia gravis a (see Chapter 6 )

  • Congenital or perinatal

    • Aplasia of brainstem nuclei

    • Cerebral palsy (see Chapter 5 )

    • Chiari malformation a (see Chapter 10 )

    • Congenital bilateral perisylvian syndrome

    • Syringobulbia a

  • Genetic

  • Glioma of brainstem

  • Infectious

  • Juvenile progressive bulbar palsy

Pseudobulbar Palsy

Because the corticobulbar innervation of most cranial nerves is bilateral, pseudobulbar palsy occurs only when hemispheric disease is bilateral. Many children with pseudobulbar palsy have a progressive degenerative disorder of gray or white matter. The discussion of most of these disorders is in Chapter 5 because dementia is usually the initial feature. Bilateral strokes, simultaneous or in sequence, cause pseudobulbar palsy in children; the usual causes are coagulation defects, leukemia, and trauma (see Chapter 11 ). Pseudobulbar palsy is the main feature of the congenital bilateral perisylvian syndrome, discussed in this chapter. Episodic pseudobulbar palsy (oral apraxia, dysarthria, and drooling) may indicate acquired epileptiform opercular syndrome (see Chapter 1 ).

The characteristic feature of pseudobulbar palsy is an inability to use bulbar muscles in voluntary effort, while reflex movements, initiated at a brainstem level, are normal. Extraocular motility is unaffected. The child can suck, chew, and swallow but cannot coordinate these reflexes for eating; movement of a food bolus from the front of the mouth to the back has a volitional component. Emotionally derived facial expression occurs, but voluntary facial movements do not. Severe dysarthria is often present. Affected muscles do not show atrophy or fasciculations. The gag reflex and jaw jerk are usually exaggerated, and emotional volatility is often an associated feature.

Newborns with familial dysautonomia have difficulty feeding, despite normal sucking and swallowing, because they fail to coordinate the two reflexes (see Chapter 6 ). Box 6.7 summarizes the differential diagnosis of feeding difficulty in an alert newborn. Children with cerebral palsy often have a similar disturbance in the coordination of chewing and swallowing that impairs feeding.

Motor Unit Disorders

Disorders of the facial nuclei and nerves always cause ipsilateral facial weakness and atrophy, but associated features vary with the site of abnormality:

  • 1.

    Motor nucleus: hyperacusis is present, but taste, lacrimation, and salivation are normal.

  • 2.

    Facial nerve between the pons and the internal auditory meatus: taste sensation is spared, but lacrimation and salivation are impaired and hyperacusis is present.

  • 3.

    Geniculate ganglion: taste, lacrimation, and salivation are impaired, and hyperacusis is present.

  • 4.

    Facial nerve from the geniculate ganglion to the stapedius nerve: taste and salivation are impaired and hyperacusis is present, but lacrimation is normal.

  • 5.

    Facial nerve from the stapedius nerve to the chorda tympani: taste and salivation are impaired, hyperacusis is not present, and lacrimation is normal.

  • 6.

    Facial nerve below the exit of the chorda tympani nerve: only facial weakness is present.

Disturbances of cranial nerve nuclei seldom occur in isolation; they are often associated with other features of brainstem dysfunction (bulbar palsy). Usually some combination of dysarthria, dysphagia, and diplopia is present. Examination may show strabismus, facial diplegia, loss of the gag reflex, atrophy of bulbar muscles, and fasciculations of the tongue.

The facial weakness associated with myasthenia gravis and facial myopathies is usually bilateral. In contrast, brainstem disorders usually begin on one side and eventually progress to bilateral impairment. Facial nerve palsies are usually unilateral. The differential diagnosis of recurrent facial palsy or dysphagia is limited to disorders of the facial nerve and neuromuscular junction ( Box 17.4 ).

Box 17.4
Causes of Recurrent Cranial Neuropathies/Palsies

  • Familial

    • Isolated facial palsy

    • Melkersson syndrome

  • Hypertensive facial palsy a

    a Denotes the most common conditions and the ones with disease modifying treatments

  • Myasthenia gravis a

  • Sporadic multiple cranial neuropathies

  • Toxins

Congenital Syndromes

Congenital Bilateral Perisylvian Syndrome

This syndrome results from a disturbance in neuronal migration that results in pachygyria of the sylvian and rolandic regions. Most cases are sporadic. The transmission of familial cases is by X-linked inheritance; such cases are more severe in males than in females.

Clinical features

All affected children have a pseudobulbar palsy that causes failure of speech development (apraxia) and dysphagia. Cognitive impairment and seizures are present in approximately 85% of cases. The cognitive deficit varies from mild to severe, and the seizures, which begin between 4 and 12 years, may be atypical absence, atonic/tonic, partial, or generalized tonic-clonic.

Diagnosis

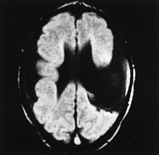
Magnetic resonance imaging (MRI) shows bilateral perisylvian gyral dysgenesis including pachygyria, and polymicrogyria ( Fig. 17.1 ). Postmortem studies have confirmed the MRI impression.

Fig. 17.1, Magnetic Resonance Imaging (MRI) of Congenital Bilateral Perisylvian Syndrome.

Management

The seizures are usually difficult to control, and a corpus callosotomy has been useful in some cases with intractable drop attacks. Speech therapy does not overcome the speech disorder, and instruction in sign language is the better alternative for children of near-normal intelligence. Drooling is very disruptive and may benefit from the use of glycopyrrolate, excision of the submandibular glands, ligation of parotid gland ducts, or botulinum toxin injections to the parotid glands.

Congenital Dysphagia

Congenital dysphagia is usually associated with infantile hypotonia and therefore discussed in Chapter 6 . Because the neuroanatomical substrates of swallowing and breathing are contiguous, congenital dysphagia and dyspnea are often concurrent. Isolated aplasia of the cranial nerve nuclei subserving swallowing is not established.

Congenital Facial Asymmetry

The cause of most facial asymmetries at birth is congenital aplasia of muscle and not trauma to the facial nerve. Facial diplegia, whether complete or incomplete, suggests Möbius syndrome or other congenital muscle aplasia. Complete unilateral palsies are likely to be traumatic in origin, whereas partial unilateral palsies may be either traumatic or aplastic. The term neonatal facial asymmetry is probably more accurate than facial nerve palsy to denote partial or complete unilateral facial weakness in the newborn and emphasizes the difficulty in differentiating traumatic nerve palsies from congenital aplasias. A common cause of asymmetry of the lower face/mouth is the unilateral absence of the depressor anguli oris.

Aplasia of facial muscles

Clinical features

The Möbius syndrome is the best-known congenital aplasia of facial nerve nuclei and facial muscles. The site of pathology is usually the facial nerve nuclei and their internuclear connections. Facial diplegia may occur alone, with bilateral abducens palsies, or with involvement of several cranial nerves. Many children with the syndrome have a micrognathia and microstomia and may have cleft palate and dental anomalies, which contribute to speech delays. Congenital malformations elsewhere in the body (dextrocardia, talipes equinovarus, absent pectoral muscle, and limb deformities) are sometimes associated features. Although affected children may have intellectual impairment and speech delays, use caution in diagnosing autism spectrum disorders as the syndrome can cause difficulty with normal expression and eye contact that can be misleading. Most cases are sporadic, but familial recurrence occurs. Autosomal dominant, autosomal recessive, and X-linked recessive modes of inheritance are proposed. Identified loci are on chromosomes 13, 3, and 10.

Other developmental causes of unilateral facial palsy are Goldenhar syndrome , the Poland anomaly , DiGeorge syndrome , osteopetrosis, and trisomy 13 and 18.

Diagnosis

Congenital facial diplegia is, by definition, a Möbius syndrome. All such cases require MRI of the brain to determine if other cerebral malformations are present. Causes other than primary malformations include intrauterine toxins (e.g., thalidomide), vascular malformations, or infarction.

Electromyography (EMG) can help determine the timing of injury. Denervation potentials are only present if injury to the facial nuclei or nerve occurred 2–6 weeks before the study. Facial muscles that are aplastic, as in Möbius syndrome, or nerve injury occurring early in gestation, do not show active denervation.

Management

Surgical procedures may provide partial facial movement.

Depressor anguli oris muscle aplasia

Clinical features

Isolated unilateral weakness of the depressor anguli oris muscle (DAOM) is the most common cause of facial asymmetry at birth. One corner of the mouth fails to move downward when the child cries. All other facial movements are symmetrical. The lower lip on the paralyzed side feels thinner to palpation, even at birth, suggesting antepartum hypoplasia.

Diagnosis

Traumatic lesions of the facial nerve would not selectively injure nerve fibers to the DAOM and spare all other facial muscles. Electrodiagnostic studies are typically not needed but may aid in differentiating aplasia of the DAOM from traumatic injury. In aplasia, the conduction velocity and latency of the facial nerve are normal. Fibrillations are not present at the site of the DAOM. Instead, motor unit potentials are absent or decreased in number. The pulling of the mouth in the direction of the healthy DAOM when crying often causes the referring physician to believe that this is the abnormal side. While the anomaly itself is relatively mild, approximately 10% of cases are associated with other, more significant congenital abnormalities, most notably of the cardiovascular system.

Management

No treatment is available or needed. The DAOM is not a significant component of facial expression in older children and adults, and absence of the muscle is difficult to notice. The child should be carefully examined for evidence of other malformations.

Birth injury

Perinatal traumatic facial palsy is a disorder of large term newborns delivered vaginally after a prolonged labor. Nerve compression against the sacrum during labor is more often the cause than is the misapplication of forceps. Children with forceps injuries, an unusual event, have forceps marks on the cheeks.

Clinical features

The clinical expression of complete unilateral facial palsy in the newborn can be subtle and may not be apparent immediately after birth. Failure of eye closure on the affected side is the first noticeable evidence of weakness. Only when the child cries does the flaccid paralysis of all facial muscles become obvious. The eyeball rolls up behind the open lid, the nasolabial fold remains flat, and the corner of the mouth droops during crying. The normal side appears paralyzed because it pulls and distorts the face; the paralyzed side appears to be normal. When paralysis of the facial nerve is partial, the orbicularis oculi is the muscle most frequently spared. In these injuries, the compression site is usually over the parotid gland, with sparing of nerve fibers that course upward just after leaving the stylomastoid foramen.

Diagnosis

The diagnosis of facial asymmetry is by observing the face of the crying newborn. Carefully examine the facial skin for laceration. Otoscopic examination is useful to establish the presence of hemotympanum. EMG does not alter the management of the palsy.

Management

Prospective studies regarding the natural outcome of perinatal facial nerve injuries are not available. Most authors are optimistic and indicate a high rate of spontaneous recovery. Such optimism may be appropriate, but its basis is only anecdotal experience. In the absence of data on long-term outcomes, one cannot evaluate the efficacy of any suggested therapeutic intervention. Most newborns are not candidates for surgical intervention unless the nerve laceration occurs at delivery. In that event, the best response is to reconstitute the nerve if possible or at least to allow the proximal stump a clear pathway toward regeneration by debridement of the wound.

Immune-Mediated and Infectious Disorders

Postinfectious demyelination of the VII nerve is the cause of most cases of acute unilateral facial neuritis (Bell palsy) or bilateral facial neuritis. The basis for distinguishing a bilateral Bell palsy from Guillain-Barré syndrome (acute inflammatory demyelinating polyneuropathy) is the preservation of limb tendon reflexes in Bell palsy. Discussion of Guillain-Barré syndrome is in Chapter 7 .

Bell Palsy

Bell palsy is an acute, idiopathic, self-limited, typically monophasic, paralysis of the face caused by dysfunction of the facial nerve. The pathogenesis is believed to be viral (most often herpes simplex) but may also be postviral, immune-mediated, or demyelinating. The annual incidence is approximately 3/100,000 in the first decade, 10/100,000 in the second decade, and 25/100,000 in adults. Only 1% of cases have clinical evidence of bilateral involvement, but many have electrophysiological abnormalities on the unaffected side.

Clinical features

A history of viral infection, usually upper respiratory, is recorded in many cases, but the frequency is not significantly greater than expected by chance. The initial feature of neuritis is often pain or tingling in the ear canal ipsilateral to the subsequent facial palsy. Pain accompanies facial weakness in 60% of patients, impaired lacrimation in 60%, taste changes in 30%–50%, and hyperacusis in 15%–30%.

Ipsilateral facial sensory symptoms are usually mild and explained by extension of inflammation from the facial nerve to the trigeminal nerve via the greater superficial petrosal nerve. The palsy has an explosive onset and becomes maximal within hours. Either the child or the parents may first notice the palsy, which affects all muscles on one side of the face. Half of the face sags, enlarging the palpebral fissure. Weakness of the orbicularis muscle prevents closure of the lid. Efforts to use muscles of expression cause the face to pull to the normal side. Eating and drinking become difficult and dribbling of liquids from the weak corner of the mouth causes embarrassment.

The most commonly affected portion of the nerve is within the temporal bone; taste, lacrimation, and salivation are impaired, and hyperacusis is present. However, examination of all facial nerve functions in small children is difficult, and precise localization is not critical to diagnosis or prognosis. The muscles remain weak for 2–4 weeks, and then strength returns spontaneously. The natural history of Bell palsy in children is not established, but experience indicates that almost all patients recover completely.

Diagnosis

Complete neurological examination is required in every child with acute unilateral facial weakness to determine whether the palsy is an isolated abnormality. Mild facial weakness on the other side or the absence of tendon reflexes in the limbs suggests the possibility of Guillain-Barré syndrome. Such children require observation for the development of progressive limb weakness.

Exclude possible underlying causes (e.g., hypertension, infection, trauma) of facial nerve palsy before considering the diagnosis of Bell palsy. Examine the ear ipsilateral to the facial palsy for herpetic lesions (see the later discussion of Herpes Zoster Oticus). MRI shows contrast enhancement of the involved nerve, but acute, isolated facial palsy is not an indication for MRI in every child. A more reasonable approach is to watch the child and recommend an imaging study if other neurological disturbances develop or if the palsy does not begin to resolve within 1 month.

Management

Always protect the cornea if the blink reflex is absent and especially if the palpebral fissure remains open while sleeping. This may result in corneal ulcers due to prolonged ocular exposure and dryness. Ophthalmological ointments are needed to prevent this complication. Patch the eye when the child is outside the home or at play and apply artificial tears several times a day to keep the cornea moist. The use of corticosteroids has shown modest benefits in some reports; however, it is difficult to assess in children because their prognosis for complete spontaneous recovery is excellent. The clinician who elects to use corticosteroid therapy must first exclude hypertension or infection as an underlying cause.

Idiopathic Cranial Polyneuropathy

As the name implies, idiopathic cranial neuropathy is of uncertain nosology. The presumed mechanism is postinfectious, and many consider the syndrome an abortive form of Guillain-Barré syndrome.

Clinical features

Onset is usually in adults, and most childhood cases occur in adolescence. Similar cases described in infants subsequently developed limb weakness, and infantile botulism was the more likely diagnosis (see Chapter 6 ).

Constant, aching facial pain usually precedes weakness by hours or days. The pain is often localized to the temple or frontal region but can be anywhere in the face. Weakness may develop within 1 day or may evolve over several weeks. Extraocular motility is usually affected. Facial and trigeminal nerve disturbances occur in half of cases, but lower cranial nerve involvement is uncommon. Occasional patients have transitory visual disturbances, ptosis, pupillary abnormalities, and tinnitus. Tendon reflexes in the limbs remain active. Recurrent idiopathic cranial neuropathies occur as sporadic cases in adults but usually occur on a familial basis in children.

Diagnosis

The differential diagnosis includes Guillain-Barré syndrome, infant and childhood forms of botulism, brainstem glioma, juvenile progressive bulbar palsy, pontobulbar palsy with deafness, and Tolosa-Hunt syndrome. Preservation of tendon reflexes in idiopathic cranial polyneuropathy is the main feature distinguishing it from Guillain-Barré syndrome. Prominent autonomic dysfunction and limb weakness separates botulism from idiopathic cranial polyneuropathy (see Chapters 6 and 7 ). Cranial nerve dysfunction in patients with brainstem glioma, juvenile progressive bulbar palsy, and pontobulbar palsy with deafness usually evolves over a longer period. Tolosa-Hunt syndrome of painful ophthalmoplegia and idiopathic cranial polyneuropathy share many features and may be a variant of the same disease process (see Chapter 15 ).

All laboratory findings are normal. The possibility of a brainstem glioma requires MRI of the brainstem in all cases. Examination of the cerebrospinal fluid occasionally reveals a mild elevation of protein concentration and a lymphocyte count of 5–6/mm 3 .

Management

The disease is self-limited, and full recovery is the expected outcome 2–4 months after onset. The use of corticosteroids is routine and believed to ease facial pain and shorten the course. The relief of pain may be dramatic, but evidence documenting a shortened course is lacking.

Genetic Disorders

Facioscapulohumeral Dystrophy

Facioscapulohumeral dystrophy (FSHD) sometimes begins during infancy as bilateral facial weakness (facial diplegia). Two types exist: FSHD1 and FSHD2, which are clinically indistinguishable but genetically distinct. Inheritance of FSHD1 is by autosomal dominant transmission (Lemmers, 2009); FSHD2 is inherited in a digenic pattern, meaning two separate genetic changes are needed to cause the condition. The majority of individuals with FSHD1 inherited the disease-causing deletion from a parent, and the rest are de novo deletions. There is evidence that having both FSHD1 and FSHD2 mutations causes more severe and rapidly progressive disease. Prenatal testing is available.

Clinical features

The onset of infantile FSHD is usually no later than age 5 years. Facial diplegia is the initial feature. When onset is early in infancy, the common misdiagnosis is congenital aplasia of facial muscles. Later, nasal speech and sometimes ptosis develop. Progressive proximal weakness begins 1–2 years after onset, first affecting the shoulders and then the pelvis. Scapular winging is often seen, and the child may have difficulty combing her hair or throwing a ball. Pseudohypertrophy of the calves may be present. Tendon reflexes are depressed and then absent in weak muscle. Typical features are a striking asymmetry of muscle involvement from side to side and sparing of bulbar extraocular and respiratory muscles. The weakness may also stabilize for long intervals and not cause severe disability until adult life. Approximately 20% of patients eventually become non-ambulatory.

Retinal telangiectasia and high-frequency hearing loss occurs in about half of affected families. Both conditions are progressive and may not be symptomatic in early childhood.

Diagnosis

The diagnosis of FSHD is a possibility in every child with progressive facial diplegia. A family history of FSHD syndrome is not always obtainable because the affected parent may show only minimal expression of the phenotype. Molecular-based testing is reliable for diagnosis.

Myasthenia gravis and brainstem glioma are a consideration in infants with progressive facial diplegia. The serum concentration of creatine kinase is helpful in differentiating these disorders. It is usually elevated in the infantile FSHD syndrome and normal in myasthenia gravis and brainstem glioma. Electrophysiological studies show brief, small-amplitude polyphasic potentials in weak muscles, and a normal response to repetitive nerve stimulation.

Management

Treatment is supportive.

Juvenile Progressive Bulbar Palsy

Juvenile progressive bulbar palsy, also known as Fazio-Londe disease , is a progressive bulbar palsy associated with hypotonia and respiratory insufficiency. It is caused by homozygous or compound heterozygous mutations on chromosome 20p13.

Clinical features

Age at onset separates two clinical patterns. Stridor is the initial feature in early-onset cases (age 1–5 years). Progressive bulbar palsy follows, and respiratory compromise causes death within 2 years of onset. Respiratory symptoms are less common in later-onset cases (age 6–20 years). The initial feature may be facial weakness, dysphagia, or dysarthria. Eventually, the disorder affects all lower motor cranial nerve nuclei except the ocular motor nerve nuclei. Some children show fasciculations and atrophy of the arms, but limb strength and tendon reflexes usually remain strong despite severe bulbar palsy.

Diagnosis

The major diagnostic considerations are myasthenia gravis and brainstem glioma. MRI of the brainstem excludes brainstem tumors. EMG is useful to show active denervation of facial muscles, with sparing of the limbs and normal repetitive stimulation of nerves. Children with rapidly progressive motor neuron disease affecting the face and limbs may represent a childhood form of amyotrophic lateral sclerosis.

Pontobulbar palsy with deafness ( Brown-Vialetto-Van Laere syndrome ) is a similar disorder characterized by a mixed upper and lower motor neuron bulbar palsy and deafness. It is caused by distinct mutations of the same gene on chromosome 20.

Management

Some probands have shown marked responsiveness to riboflavin given at high doses (10 mg/kg/day), suggesting that the disorder may in fact represent a treatable inborn error of metabolism.

Osteopetrosis (Albers-Schönberg Disease)

The term osteopetrosis encompasses at least three hereditary skeletal disorders of increased bone density. Transmission of the most common form is by autosomal recessive inheritance (chromosome 11q). The features are macrocephaly, progressive deafness and blindness, hepatosplenomegaly, and severe anemia beginning in fetal life or early infancy. The calvarium thickens, and cranial nerves are compressed and compromised as they pass through the bone. The thickened calvarium may also impair venous return and cause increased intracranial pressure.

The main clinical features of the dominant form (1p) are fractures and osteomyelitis, especially of the mandible. Treatment with high-dose calcitriol reduces the sclerosis and prevents many neurological complications.

Melkersson Rosenthal Syndrome

Seven percent of facial palsies are recurrent. Autosomal dominant inheritance with variable expression is the suspected means of transmission in many cases. Some kindred members may have only recurrent facial nerve palsy, whereas others have recurrent neuropathies of the facial and ocular motor nerves. Melkersson Rosenthal syndrome may be genetically distinct from other recurrent facial palsies with a gene locus at chromosome 9p11.

Clinical features

Melkersson Rosenthal syndrome is a rare disorder characterized by the triad of recurrent facial palsy, lingua plicata, and facial edema. Attacks of facial palsy usually begin in the second decade, but 20%–40% have a deeply furrowed tongue that is present from birth.

The first attack of facial weakness is indistinguishable from Bell palsy except that a migraine-like headache may precede the attack. Subsequent attacks are associated with eyelid edema, which is soft, painless, nonerythematous, and nonpruritic. The edema is most often asymmetric, involving only the upper lip on the paralyzed side, but it may affect the cheek and eyelid of one or both sides. Cold weather or emotional stress may precipitate an attack of facial swelling. Lingua plicata is present in 30%–50% of cases. Furrowing and deep grooving on the dorsal surface of the tongue are permanent from birth. The transmission of this feature is by autosomal dominant inheritance but occurs as an isolated finding in some families.

Diagnosis

The diagnosis of Melkersson Rosenthal syndrome is established when two features of the triad are present. It is a consideration in any child with a personal or family history of recurrent facial palsy or recurrent facial edema. The presence of lingua plicata in any member of the kindred confirms the diagnosis. Histopathology of the affected eyelid reveals a granulomatous lymphangitis unique to the disease.

Management

This disease has no established treatment.

Hypertension

Unilateral facial palsy may be a feature of malignant hypertension in children. The cause of the palsy is swelling and hemorrhage into the facial canal.

Clinical features

The course of the facial paralysis is indistinguishable from that in Bell palsy. Nerve compression occurs in its proximal segment, impairing lacrimation, salivation, and taste. The onset coincides with a rise in diastolic blood pressure to greater than 120 mm Hg, and recovery begins when the pressure reduces. The duration of palsy varies from days to weeks. Recurrences are associated with repeated episodes of hypertension.

Diagnosis

The occurrence of facial palsy in a child with known hypertension suggests that the hypertension is out of control.

Management

Control of hypertension is the only effective treatment.

Infection

The facial nerve is sometimes involved when bacterial infection spreads from the middle ear to the mastoid. External otitis may lead to facial nerve involvement by spread of infection from the tympanic membrane to the chorda tympani.

Diphtheria may cause single or multiple cranial neuropathies from a direct effect of its toxin. Facial palsy, dysarthria, and dysphagia are potential complications. Basilar meningitis, from tuberculosis or other bacterial infections, causes inflammation of cranial nerves as they leave the brain and enter the skull. Multiple and bilateral cranial nerve involvement is usually progressive.

You're Reading a Preview

Become a Clinical Tree membership for Full access and enjoy Unlimited articles

Become membership

If you are a member. Log in here