Lesion Procedures for Psychiatric Disorders


Introduction

Lesion procedures for psychiatric disorders have been in use for more than half a century. Our current technology certainly surpasses that of the mid-20th century, when these procedures were developed. Current standards for imaging include high-resolution magnetic resonance imaging (MRI) scans rather than the ventriculography procedures of the early era. Our circuit and connectomic understanding of the brain regions implicated in psychiatric disorders is much more sophisticated. Even our diagnostic capability for understanding families of symptoms and their relationship to categories of psychiatric disorders exceeds the rudimentary understanding of decades ago. Nevertheless, the foundations laid in the first part of the previous century still apply to procedures nowadays, such that early developers of these procedures would have likely recognized current versions.

This chapter focuses on lesion procedures for psychiatric disorders in the modern era of advanced neuroimaging and commonly used symptom scales for assessing outcome. Our current procedures are performed using stereotactic techniques, the development of which is described briefly in the opening paragraphs of the Historical Background section. This section also describes the early development of the canonical procedures still in use nowadays. We then focus on two of the most common psychiatric indications for lesion procedures: obsessive-compulsive disorder (OCD) and depression. The final section briefly discusses other disorders that have been treated with lesion procedures.

At the outset of this chapter, it is also worth putting into perspective the use of stereotactic lesion procedures in neurosurgery in general. Stereotactic methods were originally developed to treat psychiatric disorders, and thus the story of the development of these procedures parallels that of the development of stereotactic neurosurgery in general. Over the decades, stereotactic methods were also used for treating movement disorders such as Parkinson disease (PD) and essential tremor (ET), largely because of the increasingly sophisticated understanding of the anatomofunctional underpinnings of motor control and the circuit-level pathophysiology of movement disorders. With the advent of deep brain stimulation (DBS) in the 1980s and 1990s, an increasingly greater proportion of movement disorder patients was treated with DBS rather than with lesions. Currently, the vast majority of the surgical treatment of PD and ET in the developed world is with DBS rather than with lesions. In contrast, lesion procedures are still commonly used for OCD, depression, and other psychiatric disorders. Understanding their role in the management of severe, refractory psychiatric disorders is therefore an important component of modern day neurosurgery.

Historical Background

The field of stereotactic neurosurgery arguably began with English surgeon Sir Victor Horsley and mathematician Robert Clarke, who in 1908 first described a method and device for creating electrolytic lesions in the dentate nucleus of the cerebellum of a monkey—a technology the pair hoped to apply to human patients. Decades later, Austrian-American neurologist Ernest Spiegel and American neurosurgeon Henry Wycis, who worked in Spiegel’s lab as a medical student, were interested in creating a three-dimensional atlas of the human brain for the purposes of neurosurgical access. They modified the “Horsley apparatus” for human use and published their description of their stereotactic frame and procedure in a short monograph published in 1947. The stated indication for the procedure was “emotional reactivity,” and thus the first stereotactic neurosurgical procedure was performed for a psychiatric/behavioral disorder.

The development of stereotactic methods was revolutionary for neurosurgery. The basic principle consists of registering a brain image (pneumoencephalogram originally, now a high-resolution MRI or computed tomography) with a three-dimensional brain atlas. Original registration techniques relied on visualizing the third ventricle and its consistent border features such as the anterior commissure (AC) and posterior commissure (PC), which is why stereotactic targets are often defined based on x/y/z distances relative to the AC-PC plane. Target definition using this system allows reproducible targeting across patients, as well as the opportunity to use small incisions and burr holes for access. Ablation was initially performed using radiofrequency (RF) lesion probes. These probes are placed at the stereotactic target, and RF energy dispersed from the exposed tip heats and coagulates the tissue.

Soon after the initial description of stereotactic methods, Swedish neurosurgeon Lars Leksell developed the field of stereotactic radiosurgery (SRS). He devised ways to focus radiation energy, initially using x-ray tubes and then proton beams, on the stereotactic target, thus providing an incision-free means of creating stereotactic lesions. In the late 1960s, Leksell cast aside the beam-based methods to pioneer the use of fixed sources of radioactive cobalt 60, which emits gamma radiation, thus developing the “Gamma Knife.”

A relatively new technique for stereotactic lesioning is laser interstitial thermal therapy (LITT), a percutaneous method of delivering thermal energy to targeted tissue through a laser fiber contained within a stereotactically placed catheter apparatus. LITT was initially described in 1983, although its acceptance became widespread only after it was integrated with MRI guidance using magnetic resonance (MR) thermography to track in real time the accumulation of thermal damage in the tissue. To date, MR-guided LITT has been used extensively in the treatment of epilepsy and brain neoplasms, but use has been more limited for psychiatric ablative indications, likely due to the relative recency of US Food and Drug Administration (FDA)-approved devices (Medtronic Visualase in 2007, and Monteris Medical Neuroblate in 2009). One report in the literature describes the use of MR-guided LITT for bilateral anterior cingulotomy for intractable pain.

Development of Psychiatric Lesion Procedures

Four main targets have emerged for the treatment of psychiatric illness by ablative neurosurgery ( Fig. 109.1 ). , The anterior capsulotomy was first proposed and used by French psychiatrist/neurosurgeon Jean Talairach in 1949, immediately after the Spiegel and Wycis publication. A few years later, Leksell used stereotactic radiosurgical techniques to produce capsulotomy lesions. These procedures target the white matter of the anterior limb of the internal capsule (ALIC), thus interrupting fibers connecting prefrontal cortices with the thalamus, brain stem, and other deep nuclei. Surgical targeting for capsulotomy has changed notably over the decades, with modern procedures using a more focused target. Initial RF and SRS procedures targeted the entire length of the ALIC. Over time, procedures have focused on the ventral portion of the capsule. Currently used target coordinates vary from 8 to 12 mm anterior to the AC in the anterior-posterior direction and within the ventral one-third to one-half of the ALIC in the superior-inferior direction. For a detailed review of the evolution of SRS capsulotomy targeting for OCD, see the study by Miguel et al.

FIGURE 109.1, Exemplar therapeutic ablations for psychiatric indications. Normalized T1-weighted magnetic resonance neuroimaging demonstrates underlying anatomy in axial (left) , coronal (middle) , and sagittal (right) planes. Capsulotomy lesions (blue) target the ventral aspect of the white matter of the anterior limb of the internal capsule. Cingulotomy lesions (red) target the dorsal anterior portion of the cingulate gyrus and underlying white matter including the cingulum bundle. Subcaudate tractotomy lesions (green) target the white matter inferior to the caudate nucleus.

Another predominantly white matter lesioning technique is the subcaudate tractotomy , developed by Geoffrey Knight in the 1960s. Knight used stereotactic techniques to place radioactive yttrium 90 rods into the white matter inferior to the caudate nucleus. This lesioning method also likely derives its efficacy from interrupting white matter tracts between orbitofrontal/ventromedial prefrontal cortices and thalamus. Standalone subcaudate tractotomy procedures are uncommonly used in modern practice.

The anterior cingulotomy as it is currently performed was developed by Thomas Ballantine in the 1960s, building on previous work by Foltz and White. This procedure targets the gray matter of the dorsal anterior cingulate cortex and white matter of the underlying cingulum bundle. Observed effects from the procedure are likely a combination of ablating the cingulate cortex, which plays important roles in behavioral regulation, and cingulum fibers, which connect the overlying cortex with other limbic structures. The most common target definition used for cingulotomy is a bilateral lesion pair centered approximately 20 mm posterior to the anterior tip of the frontal horn of the lateral ventricle (anterior-posterior), approximately 7 mm off the midline (medial-lateral), and approximately 5 mm superior to the corpus callosum (superior-inferior). Some authors perform two additional bilateral lesion pairs anterior to the original pair, moving approximately 7 mm anterior and approximately 2 mm inferior between each pair, following the sagittal contour of the corpus callosum. Others create a second lesion pair immediately superior to the first, resulting in a “stacked” configuration.

Finally, the limbic leucotomy is a combination procedure consisting of subcaudate tractotomy and cingulotomy. Developed by Desmond Kelly in the 1970s, this procedure provides an even more extensive limbic white matter disconnection. Its current use is typically restricted to the most severe and challenging cases.

The evolution of psychiatric neurosurgical lesion procedures has occurred in parallel with advances in neuroimaging and improvements in the diagnosis and quantification of severity of psychiatric disorders. MRI was developed during the 1960s and 1970s, culminating with the first rudimentary scans of animals in the mid 1970s and first human scan in 1977. Over the next decade, the neurosurgical field began integrating MRI information into operative planning, but it was more than a decade before its consistent incorporation into stereotactic procedures.

Outcome measures for psychiatric surgery have also evolved over the recent era. Studies in the early decades usually used a Likert rating scale for symptom change, with categories such as “completely symptom free,” “mild residual symptoms,” “significant residual symptoms,” “unchanged,” or “worsened.” Criticism of this method includes its lack of characterization of preoperative symptom burden, nonspecificity to any individual psychiatric disorder, and its subjective nature requiring clinicians to develop local rules for evaluation.

The development of the Yale-Brown Obsessive Compulsive Scale (Y-BOCS) in 1989 brought critically valuable rigor and consistency to the evaluation of symptom severity and outcomes of interventions for OCD. Depression scales were developed around the same time and include the Beck Depression Inventory (BDI), the Hamilton Depression Rating Scale (HDRS), and Montgomery-Åsberg Depression Rating Scale (MADRS). Studies done in the modern era have also devoted greater effort to the characterization of secondary aspects of cognitive and psychological function, including intelligence scales and memory function (WAIS ), executive function (WCST ), and personality dimensions (MMPI ).

The application of stereotactic ablative techniques for psychiatry has seen the most application toward two main disease entities: OCD and major depressive disorder (MDD). In the following sections, we review the modern literature on patient outcomes from stereotactic ablative neurosurgery procedures to treat these disorders.

Obsessive-Compulsive Disorder

OCD is characterized by obsessions, which are unwanted, recurrent, intrusive thoughts that cause anxiety and distress. In an attempt to alleviate these feelings, the patient feels driven to perform compulsions: repetitive, rigid behaviors or thoughts. With a lifetime prevalence of 2% to 3%, OCD can be highly debilitating and can cause significant social and functional impairment. First-line treatments include pharmacotherapy and OCD-specific cognitive behavioral therapy (exposure-response prevention), but up to 20% to 40% of patients are refractory to these treatments. , These patients are left with few conventional options and are therefore potential candidates for neurosurgical management. Neurosurgical options include DBS (see Chapter 110 ) or stereotactic lesions.

Symptom severity is usually measured by the Y-BOCS, which ranges from 0 to 40, with higher numbers indicating greater severity. Full response is usually defined as 35% or greater score reduction, with some studies also defining partial response as a score reduction between 25% and 34%. The two most common procedures used currently for treatment-refractory OCD are capsulotomy and anterior cingulotomy, and limbic leucotomy and subcaudate tractotomy have also been used on a more limited basis.

As described earlier, the development of these procedures predated the development of an anatomofunctional understanding of the pathophysiology of OCD. Our current understanding is largely based on the corticostriatothalamocortical theory of brain function. According to this theory, circuits involving these brain regions are responsible for the control of several realms of behavior, including motor control, emotional regulation, decision-making, and others. Each circuit harnesses different parts of each of these brain regions; for example, those most relevant for OCD include orbital and medial regions of prefrontal cortex, ventral striatum, and anterior and mediodorsal nuclei in the thalamus.

In the following sections, we review outcomes categorized by procedure type. The vast majority of this literature in the modern era (using MRI and standard symptom scales) has used capsulotomy and cingulotomy. We also review the few studies with limbic leucotomy. There is minimal experience with subcaudate tractotomy in the modern era.

Capsulotomy for Obsessive-Compulsive Disorder

The majority of capsulotomy for OCD studies have used RF ablation or SRS. ,

Lippitz et al. (1999) from the Karolinska Institute in Stockholm, Sweden, were the first to use the Y-BOCS to measure symptom severity following capsulotomy. Nine of 19 (47%) patients treated with RF capsulotomy and 7 of 10 (70%) of patients treated with GK capsulotomy reported a greater than 50% improvement in severity scores. Adverse effects were not discussed in detail in this report.

A later series from Rück and colleagues, also at the Karolinska, demonstrated a full response in 12 of 25 (48%) patients, with remission (Y-BOCS <16) in 9 of those. Their series combined patients undergoing GK or RF capsulotomies, and they did not find a significant difference in response rates. However, there were significant adverse effects, including increased weight gain in the first postoperative year, apathy, disinhibition, and problems with executive functioning. Their own interpretation of their efficacy and safety data was that smaller lesions and lower radiation doses, within the range used in their series, should be used. Subsequent detailed analyses of the effect of these data on radiosurgical planning are available in a recent review article.

The first GK capsulotomy procedures in the United States were performed at Brown University and Butler Hospital (BUBH) in the early 1990s. The results of this clinical experience (and the largest study of GKC for OCD in the literature) was published recently. , The authors examined 55 patients with refractory OCD treated with GK capsulotomy using a maximum dose of 180 Gy. Early patients were treated using a small, focal radiation dose with a single 4-mm isocenter (or “shot”) targeting the midpoint of the ALIC. Of the 15 patients treated with this single-shot approach, only 1 achieved a symptomatic response, suggesting that the single-shot approach may not be appropriately positioned or sufficiently large. Following this observation, repeat treatment was offered to the single-shot cohort, 13 of whom underwent the procedure a second time. This second shot was placed ventral to the previous one, and clinical response was noticeably better: 59% of repeat-shot patients were treatment responders and 15% more were partial responders. The group thus coined the term “gamma ventral capsulotomy” (GVC) to highlight the importance of including the more ventral portion of the ALIC in the lesion. They treated another 40 patients with the GVC approach, achieving a full response in 22 (55%) and partial response in 9 (23%) at 1-year follow-up. A subsequent longer follow-up interval demonstrated the durability of these responses. All responders maintained their response status, and eight more joined them over time, such that the 3-year full response rate was 30 (75%).

As a group, these patients also demonstrated significant improvements in depression, anxiety, quality of life, and global functioning. Importantly, three patients developed radionecrosis and severe frontal lobe edema, requiring surgical decompression in one patient. Subsequent analysis has demonstrated that changes to the geometry of radiation sources over subsequent generations of the GK device itself may have changed the dose-volume relationship of the radiosurgical treatments. Novel radiosurgical plans have attempted to compensate for these changes and achieve the same high efficacy with an even better adverse event profile.

Working with the BUBH group, a group from the University of São Paulo (USP), Brazil, conducted a pilot study of five patients treated with GVC using the same radiation dose parameters as did BUBH. At 48 months, three of five (60%) were full responders, and one (20%) was a partial responder. Overall, the reduction in Y-BOCS scores across the entire study was 36%. None of the patients experienced significant or long-lasting adverse effects. These open-label pilot results further supported the idea that GVC may be an effective treatment modality.

Encouraged by these results, the USP group conducted a double-blind, sham-controlled, randomized clinical trial (RCT) in 16 patients, again using a 180-Gy maximum dose. This trial remains the only blinded, sham-controlled RCT of a neurosurgical lesion procedure for a psychiatric indication. Eight patients were randomized to the actual GVC procedure, and the other eight to a sham procedure including head frame placement and positioning in a sham GK device. The double-blind period lasted 12 months and was followed by open-label observation up to 54 months. Criteria for full response included the same 35% reduction in Y-BOCS but also included a Clinical Global Impression-Improvement (CGI-I) of 1 or 2 (“very much improved” or “much improved”), thus setting a higher bar than previous studies that only used the Y-BOCS criterion.

Using these criteria, two of eight (25%) patients treated with GVC achieved a full response at 12 months, versus zero of eight treated with sham. This difference was not statistically significant, although the median Y-BOCS scores at 12 months did show a statistically significant difference (23.5 for GVC vs. 31 for sham). During the open-label period, three additional GVC patients became responders. In addition, patients who had received sham treatment were offered open-label active treatment. Four patients underwent the procedure, and two of them achieved a full response. Thus a total of 7 of 12 (58%) patients achieved a full response by the end of the 54-month open-label study, with a median Y-BOCS decrease of 60% across the cohort of all actively treated patients. One patient developed symptomatic frontal lobe edema and radionecrotic cyst formation that responded to corticosteroid treatment.

It is worth noting that the results of this RCT would have differed significantly if the authors had used the standard Y-BOCS response criterion alone, rather than requiring both Y-BOCS and CGI-I criteria. Thus analyzed, three of eight (37.5%) actively treated patients versus zero of eight sham-treated patients would have been classified as full responders in the 12-month blinded segment, a statistically significant difference. In addition, two more patients during the open-label phase would have been classified as responders, for a total 54-month response rate of 9 of 12 (75%). This alternative analysis is important when comparing these RCT results with other series in the field.

Other smaller open-label GK series have reported results within the timeframe of the aforementioned trials. In 2011, the Pittsburgh group presented their results in three patients treated with a double-shot radiosurgical plan with maximum dose of 140 to 150 Gy. Two of the three (67%) patients achieved full response. In 2013, the University of Virginia group reported results from five patients treated with a single shot in the ventral portion of the capsule with maximum dose 140 to 160 Gy. Four of the five (80%) patients achieved response.

Recent GK capsulotomy studies have explored the use of lower radiation doses to avoid the radionecrosis effects discussed earlier. The group in Madrid, Spain, reported results on a series of 10 patients treated with a double shot with a maximal dose of 120 Gy, the lowest in the published literature. Seven (70%) patients achieved full response (>35% reduction in Y-BOCS score) at a median follow-up duration of 26 months. No patients experienced any significant adverse neurologic, neuropsychological, or personality changes.

The most recent contribution to the SRS capsulotomy literature is a multi-institutional series including several centers in the United States and Europe. A total of 40 patients were included, having been treated with a heterogeneous mix of one or two shots and a maximum dose of 120 to 180 Gy. Eighteen (45%) patients met response criteria, of which 16 were considered in remission (Y-BOCS ≤ 16). One of the patients treated with 180 Gy developed symptomatic radionecrosis and frontal edema that required a steroid course. None of the patients treated at lower radiation doses developed this complication. The authors also noted that patients treated with two shots (rather than one shot) had improved actuarial response rates and possibly faster interval to response, consistent with the BUBH results described earlier.

An important issue underlying the studies mentioned previously is the adverse event rate. A recent systematic review in 2016 addressed this issue. Over 112 procedures reviewed, the rate of transient adverse events was 56.2%, and the rate of permanent adverse effects was 21.4%. This high rate was largely skewed toward larger treatments with higher radiation doses. For example, when one study that used 200 Gy was excluded, the rate of permanent adverse effects dropped to 12.8%. In the few years since this review, SRS trials have used successively lower radiation doses and fewer shots, as described earlier.

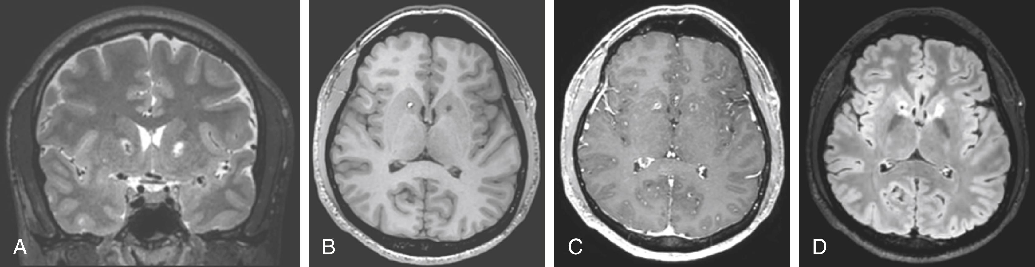
Current work in this field seeks to balance the high efficacy rate of previous studies against the desire to lower the adverse event rate. One such attempt involves the creation of novel radiosurgical plans that recapitulate the volume covered by the double shot at high isodose lines but avoids larger volumes at lower isodose lines. These larger volumes at lower dose are thought to be responsible for the radiation-induced edema and cyst formation seen in occasional patients. Shaping and blocking strategies can be used to sharpen the dose falloff and improve the dose-volume relationships, although the trade-off is longer treatment time. Preliminary results from such a plan used in five patients, with an effective two-shot 150-Gy maximum dose configuration and conformal distribution, have produced three responders at 1-year follow-up, with no evidence of edema on MRI and no adverse neuropsychological sequelae ( Fig. 109.2 ).

FIGURE 109.2, Gamma Knife capsulotomy neuroimaging. Lesions from bilateral Gamma Knife capsulotomy are show in the (A) coronal plane with T2-weighted imaging, (B) axial plane with T1-weighted imaging, (C) axial plane with T1-weighted imaging with contrast, and (D) axial plane with fluid-attenuated inversion recovery imaging.

Capsulotomy studies using RF ablation have also been performed over the past few decades. A group of 10 patients was treated with bilateral RF capsulotomy in Terrassa, Spain, and followed for 1 year, over which time mean preoperative Y-BOCS scores of 30 reduced to 17 ; 52.9% of patients showed an improvement of Y-BOCS score greater than 33%. A later study by Csigó et al. in 2010 in Budapest, Hungary, reported on five patients followed for 2 years, in whom bilateral RF capsulotomy reduced Y-BOCS scores from a mean of 38 preoperatively to a mean of 18. The authors also thoroughly characterized neuropsychological functioning at both time points, when most tests showed postoperative improvement. Liu et al. reported outcomes on 35 patients treated with RF capsulotomy in Shanghai, China, in which patients’ Y-BOCS scores decreased from 21 preoperatively to an average of 4 at 36 months, with 57% being evaluated as OCD symptom-free 6 months after the operation and remaining as such over the course of follow-up. By comparison, a two-patient series from Stockholm, Sweden, used a similar procedure with a lower degree of heating, showing Y-BOCS scores decreased from 30 and 31 to 0 and 8, respectively, over 40 months of follow-up. A long-term follow-up study in 2017 reported capsulotomy outcomes in Sichuan, China, in 37 patients treated between 2007 and 2010. At 5-year follow-up, 27 (73%) patients significantly improved (more than 50% reduction in Y-BOCS score).

A recent addition to the arsenal of stereotactic lesion procedures is MR-guided focused ultrasound (MRgFUS). This technology focuses mechanical energy from arrays of ultrasound transducers on the stereotactic target, where the focused energy raises tissue temperature. Targeting and temperature control is aided by intraprocedural live MRI thermography guidance. This technique is FDA approved for creating thalamotomy lesions to treat ET. A group from Seoul, South Korea recently reported their 2-year outcomes of MRgFUS for OCD. Of the 11 patients treated, 6 (55%) achieved a full response at 12 months. Adverse effects were minor and essentially restricted to the time period of the procedure. There were no adverse neuropsychological sequelae.

As mentioned earlier, LITT is yet another stereotactic thermal lesion method. LITT capsulotomy procedures for OCD are relatively uncommon, but some have been performed at a few centers, including ours. Like MRgFUS, LITT uses real-time MRI thermography to monitor temperature and estimate the volume of tissue that has received enough energy (calculated as a time-temperature integration) to cause irreversible damage ( ).

You're Reading a Preview

Become a Clinical Tree membership for Full access and enjoy Unlimited articles

Become membership

If you are a member. Log in here