Investigative Imaging of the Liver


Abbreviations

CT

computed tomography

FDG

fluorodeoxyglucose

FNH

focal nodular hyperplasia

HCC

hepatocellular carcinoma

HVTT

hepatic vein transit time

IVIM

intravoxel incoherent motion

MRE

magnetic resonance elastography

MRI

magnetic resonance imaging

MRS

magnetic resonance spectroscopy

PET

positron emission tomography

RF

radiofrequency

Investigative imaging of the liver is performed for the assessment of both focal lesions as well as diffuse parenchymal processes such as fibrosis and fatty infiltration; sonography, multidetector computed tomography (CT), and magnetic resonance imaging (MRI) are the universally approved modalities. These imaging techniques are useful for the characterization of focal liver lesions, but their sensitivity and specificity are moderate, at best, for evaluation of diffuse parenchymal diseases, such as fibrosis. There is therefore a great deal of concerted effort toward the development and refinement of technologies that can reliably detect the presence and degree of fibrosis and inflammation in the liver. This chapter provides a general overview of the imaging techniques commonly used in the assessment of the liver, followed by a discussion of the characteristic findings of the more common benign and malignant liver tumors. This discussion is followed by a section on imaging for hepatic steatosis and fibrosis with emphasis on emerging technologies that offer the potential for better sensitivity and specificity in the detection and staging of these diffuse processes.

Commonly Used Imaging Modalities

Sonography is often the first test performed in the evaluation of a liver tumor. Not infrequently, an incidental liver mass may be detected by abdominal sonography that is carried out for other purposes.

Characterization of liver tumors is generally not possible with sonography, although contrast-enhanced sonography is being currently evaluated in Europe for this purpose ( Fig. 4.1 ). This technique uses the injection of microbubbles that cause altered echogenicity of liver vessels and focal lesions on real-time scanning. Contrast-enhanced sonography may also be potentially useful in the assessment of liver fibrosis and is discussed later in the chapter.

Figure 4.1, Contrast-enhanced sonography (CEUS). Image showing the use of CEUS for the diagnosis of hemangioma. Note the gradual filling-in of the lesion ( arrowheads ) with enhancing microbubbles with time. The appearances of lesions on CEUS are similar to multiphasic contrast-enhanced computed tomography or magnetic resonance imaging (see Fig. 4.5 for comparison).

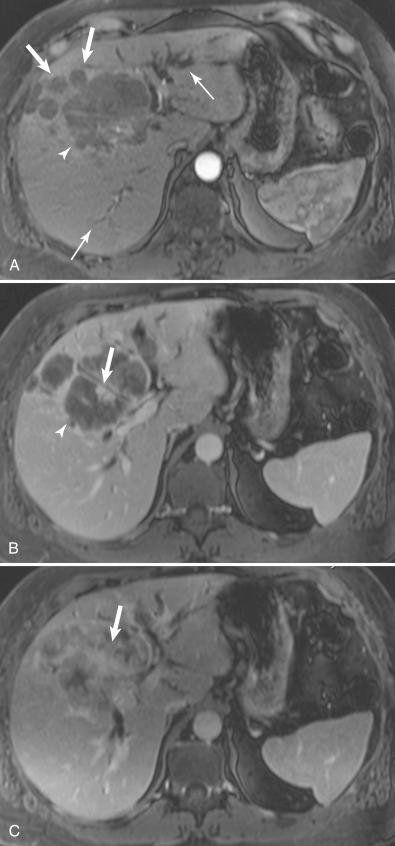
CT is the standard method of diagnosing liver tumors. Many lesions are fully characterized by CT, when correlated with the patient’s age, sex, and medical history. Dual-phase CT refers to the evaluation of both the arterial and venous phases of contrast enhancement, such as in screening for hepatocellular carcinoma (HCC) in a patient with cirrhosis ( Fig. 4.2 ). Additional phases, such as delayed-phase performed 5 minutes after contrast, are useful in characterizing liver tumors such as HCC, cholangiocarcinoma ( Fig. 4.3 ), and hemangioma ( Table 4.1 ).

Figure 4.2, Hepatocellular carcinoma (HCC). A 49-year-old male with alcoholic cirrhosis. There is a 2.5-cm mass in segment 8 of the liver. A, In the arterial phase of computed tomography, the mass is hypervascular ( arrowhead ). B, On the venous phase, the mass shows washout out (ie, becomes the same density compared with surrounding liver) ( arrowhead ). This is typical of enhancement pattern for HCC. Lesions greater than 2 cm that show these features in a cirrhotic patient are considered HCC, without the need for a biopsy.

Figure 4.3, Cholangiocarcinoma. A 48-year-old female with jaundice shows an irregular mass. A , On the arterial phase of magnetic resonance imaging, the mass ( arrowhead ) shows minimal peripheral enhancement. Satellite nodules are seen ( thick arrows ). There is bilobar biliary dilation ( thin arrow ). B , On the venous phase, the mass ( arrowhead ) shows more enhancement ( thick arrow ). C , On the 5-minute delayed phase, there is gradual centripetal enhancement ( thick arrow ). The slow progressive inhomogeneous enhancement is typical of cholangiocarcinoma.

Table 4.1
Computed Tomography and Magnetic Resonance Imaging Phases
Phase Timing Comments
Early arterial phase 15–20 s Exclusive enhancement of arteries; used for angiography, planning tumor resection, or preembolization of tumors
Late arterial phase 35–50 s Hypervascular liver lesions (see Table 4.4 ) are brighter than surrounding liver
Venous phase 60–80 s Standard phase for contrast enhancement in most CT studies; liver parenchymal enhancement is greatest, and hypovascular metastases and cysts are best seen in this phase
Delayed phase 5–15 mi Useful for showing delayed enhancement in cholangiocarcinoma, hemangioma, and peripheral enhancement in HCC
Hepatocellular phase (for MRI with hepatobiliary contrast agents) Variable times (see text) Useful to differentiate FNH from hepatic adenoma
CT , Computed tomography; FNH , focal nodular hyperplasia; HCC , hepatocellular carcinoma: MRI , magnetic resonance imaging.

Time of appearance of phase after the initiation of gadolinium contrast injection.

MRI is often performed to further characterize liver lesions. MRI is performed with a strong magnet (1.5 tesla or 3.0 tesla) and radiofrequency (RF) waves to assess magnetic properties of hydrogen nuclei (protons) in tissue. The sequence of RF waves may be configured in such a manner as to examine predominantly the T1 or T2 properties of tissue, T1-weighted or T2-weighted sequences, respectively. Lesions containing fat, proteinaceous fluid, and blood (acute or subacute) appear hyperintense on T1-weighted images, whereas fluid containing lesions such as cysts and hemangiomas appear hyperintense on T2-weighted images. It is usual to perform contrast-enhanced T1-weighted sequences to assess vascular enhancement. In addition to the traditionally used hydrophilic gadolinium agents, several new agents are now available for use in MRI ( Table 4.2 ). Positron emission tomography (PET) is most commonly used for globally staging the presence of tumor ( Fig. 4.4 ). A positron is the antimatter particle to an electron. On combination, the two particles annihilate each other and lead to the release of two high-energy gamma rays that are emitted in opposite directions. The typical PET agent consists of fluorine-18, a source of positrons combined with a ligand, deoxyglucose. Fluorodeoxyglucose (FDG) is concentrated in some normal cells, such as myocardial and gray matter cells, as well as in abnormal cells that have active glucose metabolism such as cancer cells, and to a lesser degree, in inflammatory cells. In addition to staging cancer, this test is also useful in characterizing a lesion as benign or malignant. The widespread use of PET is hampered by its cost.

Table 4.2
Magnetic Resonance Contrast Agents
Type of agent Examples Comments
Hydrophilic contrast agents Gadopentetate dimeglumine (Magnevist, Bayer HealthCare, LLC, Whippany, NJ) Similar pharmacodynamics as iodinated contrast agents used in CT. Liver lesions are best seen in first 2 minutes. Most of the contrast agent (95%+) excreted by kidneys within 30 minutes.
Lipophilic contrast agents Gadobenate dimeglumine, gadoxetate disodium Useful for differentiating FNH from hepatic adenoma (see text in the section of hepatic adenoma). Potentially useful for differentiating regenerating nodules from small hepatocellular carcinoma.
Reticuloendothelial contrast agents Ferumoxide, injectable solution (Feridex IV)—no longer commercially available in the United States SPIO particles, which collect in normal Kupffer cells and reduce T2 signal. Normal liver looks dark on T2-weighted scans, whereas tumors are bright. Increases sensitivity for detecting small liver metastases. May be combined with gadolinium agents (double contrast study) to improve detection of liver fibrosis.
CT, Computed tomography; FNH, focal nodular hyperplasia; SPIO, superparamagnetic iron oxide.

Figure 4.4, Liver metastasis. A 64-year-old male with known colorectal cancer. A, Computed tomography (CT) component of positron emission tomography (PET)–CT shows a barely visible low density lesion ( arrowhead ) in the right lobe and a larger well-defined lesion in the left lobe ( thin arrow ). The xiphisternum ( thick arrow ) is unremarkable. B, PET component shows increased activity in the right lobe lesion ( arrowhead ) and the sternum ( thick arrow ). The left lobe lesion ( thin arrow ) is hypometabolic. C, Composite image, made by fusion of CT and PET, shows not only the activity of the three lesions but also their exact site. The left lobe lesion ( thin arrow ) was confirmed as a simple cyst on subsequent studies (not shown). PET images are more sensitive than CT images for small liver metastases but lack accurate anatomic localization, which is provided by the fusion of the CT and PET images.

Imaging of Liver Tumors

Hemangioma

Hemangiomas are usually hyperechoic on sonography. In a young patient (younger than 30 years), without an adverse history of primary malignancy or chronic liver disease, a well-defined hyperechoic lesion is very likely to be a hemangioma, and further work-up is not required. In many cases, though, additional imaging tests are performed. Calcium-containing metastases from ovarian, colon, or pancreatic cancer may rarely appear hyperechoic on ultrasound.

On dynamic (ie, multiple postcontrast phase) CT, more than three-quarters of hemangiomas show enhancing peripheral puddles that become confluent. Centripetal enhancement occurs over time and by 5 minutes after an intravenous contrast injection, the entire hemangioma may appear bright. Small capillary hemangiomas may show instantaneous and complete enhancement, and thus mimic hypervascular lesions (see later). On the other hand, large hemangiomas more than 5 cm in size often do not fill in completely and may show a central nonenhancing scar. An important diagnostic feature of hemangiomas is that the intensity of enhancement is similar to that of the aorta because the “puddles” represent vascular spaces ( Fig. 4.5 ). Approximately 8% of metastases may show peripheral puddling of contrast, but the degree of enhancement is always less than that of the aorta.

Figure 4.5, Hemangioma. A 34-year-old female with right upper quadrant pain and a hepatic lesion demonstrated on sonography (not shown). Magnetic resonance imaging performed in arterial ( A ), venous ( B ), and 5-minute delayed ( C ) phases show a right lobe lesion ( arrowhead ) with initial nodular, peripheral enhancement ( B, arrow ) and gradual centripetal filling in C ( arrow ). In large lesions, the center may not completely fill in. Note that the enhancement is of same intensity on all phases as that of the aorta. D, On T2-weighted image, the mass ( arrowhead ) is uniformly hyperintense and is of similar intensity as cerebrospinal fluid ( arrow ). These findings are diagnostic of hemangioma, and biopsy is not necessary.

MRI is reported to have 100% sensitivity in the diagnosis of hemangiomas and is superior to CT for two reasons. First, although CT is typically performed as two phases (arterial and venous), MRI is performed with at least three phases (arterial, venous, and delayed); thus there is a greater opportunity to demonstrate progressive central filling. In addition, hemangiomata are hyperintense on T2-weighted sequences because they have an aqueous center (see Fig. 4.5 ). This hyperintensity is similar to that of simple cysts and is usually much higher than that of cystic or necrotic metastases.

Focal Nodular Hyperplasia

The most common benign tumor after hemangioma, focal nodular hyperplasia (FNH) appears solitary in 80% to 95% of cases on imaging studies. FNH is usually difficult to identify on conventional sonography but may be demonstrable with contrast-enhanced sonography in which it shows the same enhancement pattern as on CT. The lesion is also difficult to differentiate from surrounding liver on noncontrast-enhanced CT or MRI. The central scar, seen in about 60% to 85% of cases, may be initially hypodense on CT or hyperintense on T2-weighted MRI. The typical CT and MRI enhancement is very bright enhancement of the lesion in the arterial phase, followed by rapid washout to become almost completely isointense to liver on the venous or 5-minute delayed phases ( Fig. 4.6 ). Thus a small FNH may be missed if the study is performed only in the venous phase, as happens with routine CT. Typically, the scar enhances at 5 minutes. Atypical features of FNH are seen in about 10% to 20% of cases and include calcification, heterogeneous enhancement, hypovascular enhancement in arterial phase, low signal of scar on T2-weighted MR sequence, and prominent pseudocapsule. The fibrolamellar variant of HCC also contains a central scar and needs to be differentiated from FNH. The scar of fibrolamellar carcinoma is usually hypointense on T2-weighted images and does not show delayed enhancement. Exceptions such as mildly enhancing scar of fibrolamellar HCC are, however, known to occur. The enhancement of the rest of the tumor in fibrolamellar carcinoma is similar to that of FNH. Calcification is more common in fibrolamellar HCC (50%) than in FNH (2%).

Figure 4.6, Focal nodular hyperplasia (FNH). A 19-year-old female with an abnormal computed tomography scan (not shown). A, Arterial phase magnetic resonance imaging scan shows a lobulated hepatic lesion ( arrowhead ) that enhances brightly and uniformly, except for a central curvilinear scar ( arrow ). B, On the 5-minute delayed phase, the lesion ( arrowhead ) is isointense to liver, rapidly washing out the contrast. However, the fibrous scar ( arrow ) shows delayed enhancement. C, The patient had been given gadobenate as gadolinium agent. On the hepatocellular phase (performed at 2 hours after contrast injection), the lesion ( arrow ) is hyperintense to the liver. This is due to the presence of functioning hepatocytes and biliary radicals in FNH that enable biliary excretion of the contrast agent. The only other lesions that show hyperintensity on the hepatocellular phase are regenerating nodules and some well-differentiated hepatocellular carcinoma (HCC). The lesion may be distinguished from fibrolamellar HCC by the enhancement pattern for the scar (see text).

You're Reading a Preview

Become a Clinical Tree membership for Full access and enjoy Unlimited articles

Become membership

If you are a member. Log in here