Internal Fixation of the Sesamoid Bone of the Hallux


Indications

  • Symptomatic acute sesamoid fracture, fracture-delayed union or nonunion, and congenital bipartite sesamoid bone after failure of conservative treatment for at least 6–8 weeks

  • Acute sesamoid bone fracture or disruption of the synchondrosis between the sesamoid fragments of a bipartite sesamoid with a displacement >5 mm

Indications Pitfalls

  • Differential diagnosis of sesamoid pathology:

    • Capsular tear (first metatarsophalangeal joint)

    • Flexor hallucis longus and brevis tendinitis

    • Entrapment of the interdigital nerve

    • Ganglion

    • Gout

    • Hallux valgus

    • Hallux rigidus

    • Metatarsalgia

    • Osteoarthritis

    • Submetatarsal bursitis

    • Turf toe (metatarsal plantar plate disruption)

  • Fracture fragments <3 mm are too small for screw fixation and should be excised.

  • Most painful sesamoid fragmentations into two fragments (fracture, nonunion, congenital bipartite sesamoid) are transverse to the long axis of the first metatarsal.

  • Longitudinal or multiple sesamoid fragmentation may be unstable for screw fixation.

Indications Controversies

  • A surgical treatment may be considered, particularly in high-performance athletes (e.g., runners, dancers).

  • Radiologically, it is difficult to distinguish between a fracture nonunion and a symptomatic congenital bipartite sesamoid. Differentiation of both entities is not necessary because the treatment strategy is the same.

Examination/Imaging

  • Clinical examination

    • Functional and structural assessment of the foot:

      • Risk factors for a sesamoid injury/stress include cavus foot, plantar-flexed foot, short or long first ray, and hallux valgus deformity

      • Swelling and tenderness over the symptomatic sesamoid

      • Pain on forced dorsiflexion of the great toe ( Fig. 21.1 )

        FIG. 21.1

  • Radiologic investigations

    • Routine radiographs:

      • Weight-bearing dorsoposterior and lateral view of the foot such as anteroposterior, lateral, and Saltzman views of the ankle

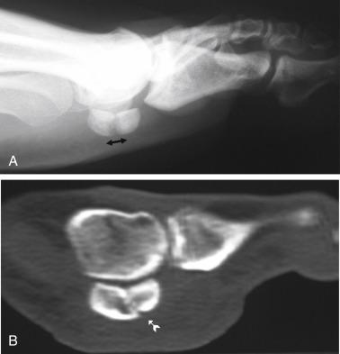
      • Radiographs provide enough information to evaluate structural abnormalities in the ankle and foot, but limited information about the sesamoid bones. For a better visualization of the medial and lateral sesamoids, a medial oblique view and a lateral oblique view, respectively, can be acquired. An axial sesamoid view can provide a better assessment of both sesamoids with their metatarsal articulations and number of fragments ( Fig. 21.2 )

        FIG. 21.2

    • Computed tomography

      • Very helpful to differentiate sesamoid acute and stress fractures from a delayed union; also useful to assess vitality of the fracture site in case of avascular necrosis. The differentiation between an acute sesamoid fracture and a bipartite sesamoid can also be achieved with a computed tomography scan. Contrary to the acute fracture with sharp edges, the bipartite sesamoid has blunt edges

    • Isotope bone scan

      • Is not regularly performed but can help detect a sesamoid pathology. In 25% of the active population, there is an increased radionuclide uptake without sesamoid symptoms

    • Magnetic resonance imaging

      • Provides additional information about the surrounding ligaments and tendons, for example, in a turf toe injury

Treatment Options

  • Strapping

  • Immobilization in a cast for 6–8 weeks

  • Modification of activity

  • Electrical stimulation and low-intensity pulsed ultrasound in nonunion

    • Healing rates similar to surgical procedures could be revealed in fresh fractures, arthrodesis, and nonunion fractures of long bones, such as the tibia

  • Bone grafting of nonunion

    • In chronic sesamoid conditions with <3-mm fragment displacement

    • Débridement and bone packing of the fracture site with autologous bone from the first metatarsal head

  • Complete or partial resection

    • The total sesamoid excision results reasonable in pain management and return to activity. Although in 10–20% of the cases hallux valgus, hallux varus, hallux rigidus, and cock-up deformities are reported. Weakness of the great toe occurs in 50% of cases and the inability to stand on tip toe in up to 30% of cases

    • Partial sesamoidectomy can be used for significant fragment separation or diastasis of bipartite sesamoids

    • Percoutaneous fixation or open reduction and internal fixation

Surgical Anatomy

  • There are two sesamoids, medial (tibial) and lateral (fibular), and the length is 13.5 ± 3 mm. The medial sesamoid is elliptic, whereas the lateral one is more circular ( Fig. 21.3 ).

    FIG. 21.3

  • The sesamoid bones are contained within the tendons of the flexor hallucis brevis and form a portion of the plantar plate.

  • The plantar plate is the continuation of the flexor hallucis brevis tendon and connects the sesamoid bones to the plantar aspect of the distal phalanx.

  • There is an articulation between the dorsal facet of the sesamoids and the plantar facet of the metatarsal head. A crista divides this surface into two parts and provides intrinsic stability to the complex.

  • The flexor hallucis longus tendon runs between the sesamoids but has no connection to them.

  • The abductor and adductor hallucis tendons have fibrous insertions into the medial and lateral sesamoids, respectively.

  • The deep transverse metatarsal ligament attaches to the lateral sesamoid.

  • The blood supply to the sesamoids is tenuous and variable. Mostly, the perfusion enters from the proximal part, leading to a more tenuous blood supply of the distal part.

  • First and second digital nerves run close to the outer side of the medial and lateral sesamoids.

You're Reading a Preview

Become a Clinical Tree membership for Full access and enjoy Unlimited articles

Become membership

If you are a member. Log in here