Infiltrating Carcinomas of the Breast


Introduction

Breast cancer is the leading cause of cancer death in women worldwide (15.5%). It is also the leading cause of cancer in women worldwide (24.5%). An estimated 276,480 women developed breast cancer in 2020. The estimated mortality is 42,170.

The etiology of breast cancer is multifactorial. In a screened population approximately 70% of cancers are hormone receptor (HR) (estrogen receptor [ER] and progesterone receptor [PR])-positive. Ten to fifteen percent are HER2 positive, and 13% to 17% are HR (ER and PR)-negative and do not show any HER2 amplification, otherwise known as triple negative. In an unscreened population, the rate of triple-negative cancer is 20% to 40%, and the rate of HER2-amplified cancer is reported at 15% to 20%.

General risk factors include reproductive factors (i.e., early menarche, nulliparity, older age at the first delivery), life style, and genetics. Epidemiologic data suggest that breast cancer is a diagnosis of more affluent societies. Some of the contributing factors to development of breast cancer are high-calorie diets combined with lack of physical activity, high consumption of energy-dense foods and sugary drinks, and excessive consumption of red meat and processed meat. Epidemiologic and experimental studies show a positive correlation between alcohol consumption and the risk of breast cancer. Studies have shown that alcohol consumption is associated with invasive breast cancer (IBC) and promotes the growth and metastasis of mammary tumors. Exogenous sex hormones also play an important role in breast cancer development. Individuals with germline mutation have a higher probability of developing hereditary breast cancer (HBC). Roughly half of all genetic-related cancers are due to BRCA1 and BRCA2 mutation. These tumor suppressor genes are inherited in an autosomal dominant manner. BRCA1/2 mutations are responsible for 5% to 10% of breast cancers. Germline BRCA1 mutation is primarily associated with triple-negative breast cancers. The majority of HBCs are invasive ductal carcinoma of no special type (IDC-NOS); however, medullary carcinomas (IDC with medullary pattern) are overrepresented in patients with germline mutation ( BRCA1 ).

Histopathologic features of breast cancer remain a necessary element for appropriate classification of breast carcinoma. This is well established and has been accepted for many years. However, the treatment of breast cancer today is predominantly based on the presence or absence of ER/PR and on HER2 overexpression. Ninety percent of IBCs are not metastatic at the time of presentation. The goal of treatment in these patients is eradication. Almost all patients with tumors with HER2 overexpression and triple-negative cancer receive chemotherapy. In addition, a subset of ER+ tumors with high level of proliferation, measured by gene assay or immunohistochemistry for proliferation markers such as Ki67, receive adjuvant or neoadjuvant chemotherapy in addition to hormonal therapy.

These surrogate markers (ER/PR, HER2, and Ki 67) allow us to classify IBCs into genetic subgroups as determined by gene expression.

The goal of this chapter is to show how the histologic patterns correlate with the molecular subtypes of breast cancer. In addition, macroscopic findings and histologic grading of invasive carcinoma are briefly discussed.

Macroscopic Findings

IBCs can either be visualized by imaging studies (mammogram, ultrasound, or magnetic resonance imaging [MRI]) or be palpated. Most invasive cancers have irregular borders and appear stellate-shaped. Some high-grade breast cancers, especially triple-negative breast cancers (TNBCs), show pushing borders. The cut surface of IBCs is often grey-white in color. They are firm and hard. These features are often due to the presence of desmoplastic stroma and/or microcalcifications. A minority of breast cancers are firm, but not hard. The cut surface of IBC is flat or depressed rather than bulging as seen in fibroadenomas.

Histologic Grade

Grading systems may be based on architectural or cytologic features. The grading system most often used is the modified Scarff, Bloom, and Richardson (SBR) system, also known as the Nottingham grading system. The College of American Pathologists (CAP) consensus and 8th edition of the American Joint Committee on Cancer (AJCC) Cancer Staging Manual both endorse this system. Also known as the combined histologic grade, this system is a composite of three parameters, each of which is separately evaluated and given a score of one to three. The sum of the scores determines the final grade. The three parameters include degree of glandular formation, nuclear pleomorphism, and mitotic activity. Each of these parameters is assigned a numerical score based on specific criteria. The grade of IBCs also plays an important role in the 8th staging system of breast cancer. Greater than 75% gland formation receives a score of 1; 10% to 75% receives a score of 2; and less than 10% receives a score of 3. Nuclear pleomorphism is primarily based on the nuclear size. Tumors with a score of 1 have small nuclei (2–3 × size of RBCs, or <1.5 the size of normal nuclei of epithelial cells with uniform nuclear chromatin, with small or absent nucleoli). Tumors with a score of 2 have nuclei 1.5–2 × normal nuclei of the epithelial cells with vesicular (open chromatin) nuclei and visible nucleoli. Tumors with a score of 3 show vesicular nuclei with often prominent nucleoli. The third parameter is mitotic index. This is evaluated based on 10 high power microscopic fields (objective 40x). Score 1 indicates ≤3 mitoses/mm 2 ; score 2 is 4 to 7 mitoses/ mm 2 ; and score 3 is ≥8 mitoses/mm 2 . A sum score of 3 to 5 is considered Nottingham grade 1 or well-differentiated IBC; a sum score of 6 to 7 is considered grade 2, or moderately differentiated; and a sum score of 8 to 9 is grade 3 or poorly differentiated.

Molecular Subtyping and Histologic Features

Traditionally IBC has been classified according to the morphologic features. In his monogram in 1979, Azzopardi noted, “No classification is perfect nor is it likely that it will ever be. Any classification should be reasonably simple, easy to understand, reproducible in the hand of different workers and as comprehensive.” Our understanding of IBCs has drastically changed, especially within the last 20 years. In the general overview chapter of the 5th edition of Breast Tumors (WHO), a diagram highlights the correlation of the molecular subtypes to the ancillary tests (HR, ER, and PR, as well as HER2 expression) and histologic grade. The diagram below further demonstrates how these molecular subtypes affect treatment options and the risk of recurrence. Fig. 20.1 shows the correlation of breast cancer molecular subtypes with clinicopathologic features.

Fig. 20.1, Correlation of breast cancer molecular subtypes with clinicopathologic features.

It has been known for many decades that breast cancer is biologically and morphologically diverse. The natural history and the response to a specific treatment further highlights this diversity. Almost 20 years ago, Perou and colleagues first recognized that diversity in breast cancer is due to variation in transcription programs, resulting in variation in gene expression. They reported that variation in gene expression was closely related to variation in growth rate and signaling pathways. They also noted that gene expression in some breast cancers correlated well with the mitotic index and with immunohistochemical markers (Ki67 and PCNA), highlighting cell proliferation. Using the gene expression model, investigators have recognized five distinct subgroups of breast cancers. They classified all tumors that show receptor positivity (estrogen or progesterone) as luminal. These actually represent three separate groups of cancer. The first group is luminal A: tumors of this group express estrogen receptor (ER+), usually at a high level. They may also express progesterone receptor (PR+) and show a low level of positivity for Ki67. They do not show HER2 amplification. The luminal A tumors account for 40% to 60% of all IBCs. Fig. 20.2 shows an example of a luminal A breast cancer. These cancers show low recurrence; in addition, the recurrence may take many years. They predominantly respond to hormonal treatment. Adjuvant chemotherapy is of limited value in low-stage breast cancer of this type. Oncotype DX is a clinically validated 21-gene genomic assay that quantifies the risk of breast cancer recurrence. This test shows that these tumors, which have a low recurrence score (RS) of <18, had minimal benefit from chemotherapy. Luminal A cancers show a recurrence index of 0–17 by Oncotype DX. These tumors show a low level of Ki67 expression, usually ≤14. Luminal B cancers show a high level of proliferation. These cancers represent 20% to 30% of IBCs. They also express ER and do not show HER2 amplification; however, this group shows high levels of Ki67 expression. Most authorities believe that this group of patients benefits from adjuvant chemotherapy. Fig. 20.3 shows an example of a luminal B tumor. The third category is luminal C. Some groups refer to them as HER2-positive luminal B tumors. This group of cancers not only express ER, but also show HER2 amplification. Fig. 20.4 shows an example of ER+/HER2+ breast cancer. The fourth category is HER2+ IBCs. They account for 10% to 20% of all IBCs and do not express HRs. Fig. 20.5 shows an example of a HER2+/ER− IBC. All HER2-positive tumors, regardless of the presence or absence of HR, are considered to have a high risk of recurrence and require chemotherapy along with anti-HER2 treatment. ER+/HER2+ cancers seem to have a different metastatic pattern than ER−/HER2+ IBCs. HER+/ER+ cancers seem to have a lower nuclear grade than ER+/HER2+ cancers and are associated with longer recurrence-free survival (RFS). Bone-only metastasis is more common in ER+/HER2+ cancers. Univariate and multivariate statistical analyses showed that patients with ER−/HER2+ cancer had a worse overall survival as compared to patients with ER+/HER2+ IBCs, due to multiple metastases to bone, lung, liver, and brain. The last category is the TNBC. TNBC is a heterogeneous group of tumors. They account for 10% to 20% of all breast cancers. Black American women are more likely to develop this type of cancer. Patients tend to be younger. Patients also present more often at an advanced stage. Fig. 20.6 shows an example of TNBC. Many of these cancers are basal-like cancers. They account for 15% to 20% of all IBCs. Most of them require chemotherapy and show a high risk of recurrence. The majority of basal-like cancers (80%) are triple negative (ER−, PR−, HER2−); the remaining 20% express ER at various level and/or show HER2 amplification. Fig. 20.7 shows an example of basal-like carcinoma that also expresses ER. Some TNBC express androgen. Most authorities consider this TNBC as luminal. They tend to show better prognosis. Basal-like cancers express basal epithelial cell markers including cytokeratin 5/6, epidermal growth factor (HER1), cytokeratin 17, p63, and smooth muscle actin.

Fig. 20.2, IDC, Nottingham grade 1 (Luminal A). These tumors show estrogen positivity and low proliferation as assessed using a proliferation marker such as Ki67. The image is an example of such a tumor with prominent tubular formation, uniform nuclei, and low mitotic index.

Fig. 20.3, IDC, Nottingham grade 3 (Luminal B). These tumors also show estrogen positivity (as shown in the lower insert ); however, these tumors show significant pleomorphism and a high number of mitotic figures corresponding to high expression of a proliferation marker.

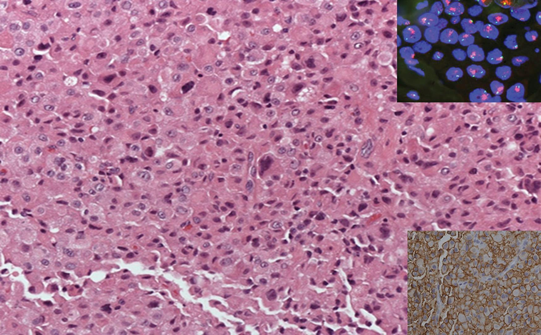
Fig. 20.4, IDC, Nottingham grade 3 (Luminal B, HER2+). These tumors show estrogen positivity (upper insert) ; in addition, they show HER2 positivity ( lower insert shows complete and strong cytoplasmic membrane staining with HER2 by immunohistochemistry [IHC]).

Fig. 20.5, IDC, Nottingham grade 3 (HER2+). These tumors show no hormonal positivity; however, they show HER2 overexpression by IHC (lower insert) or ERBB2/HER gene amplification by a chromogenic method (insert shows florescence in situ hybridization (FISH), ERBB2/HER signals are marked as red signals compared to chromosome 17, green signals).

Fig. 20.6, IDC, Nottingham grade 3 (triple-negative [TN]). Image shows a high-grade invasive mammary carcinoma exhibiting marked pleomorphism and high mitotic index. These tumors by definition do not express hormonal receptor or show HER2 overexpression.

Fig. 20.7, Invasive carcinoma with basal-like features. Image shows one of the subtypes of metaplastic carcinoma with prominent basaloid features. This particular tumor shows diffuse and strong cytokeratin 7 expression (lower insert) ; in addition, diffuse positivity for p63 (upper insert) , a basal marker, is present.

In most countries, including the United States, most low-stage (stage I and II) IBCs are treated according to this molecular classification. Most oncologists agree that triple-negative and HER2-positive cancers require chemotherapy, preferentially as neoadjuvant. Lymph node–negative, luminal cancers with a low level of Ki67 are often treated with an endocrine regimen. As Fig. 20.1 shows, the genetic subclassification of IBCs can also be established using immunohistochemistry. This figure also highlights how molecular subtype influences the treatment of breast cancer. The remainder of this chapter will be dedicated to correlation of histopathologic grade, morphologic classification, and corresponding ancillary tests to the molecular subgroup.

Invasive Breast Carcinoma, Luminal a (IBCS)

According to this classification, luminal A cancers express both ER and PR. They do not show HER2 overexpression. They are also marked by a low level of proliferation markers. The majority of these tumors show a combined scoring of 3 to 5 and modified Bloom-Richardson grade (Nottingham grade) 1. Some of these tumors may also show a combined score of 6 to 7, predominantly based on the presence of tubular formation and nuclear pleomorphism. Morphologic patterns belonging to this group include invasive mammary carcinoma, not otherwise specified (NOS) (otherwise known as ductal) Nottingham grade 1/2, invasive lobular carcinoma (ILC), Nottingham grade 1/2, tubular carcinoma, invasive cribriform carcinoma, and invasive mucinous carcinoma (MC).

Invasive Mammary Carcinoma, Not Otherwise Specified (IDC/IBC, NOS); Predominantly Grade 1 and Some Grade 2

Invasive mammary carcinoma is a heterogeneous group of IBCs. They are classified as such based on lack of lobular or any other specific differentiation. Those IDCs that express ER and PR in the absence of HER2 amplification and in the presence of low Ki67 or a mitotic score of 1 show low RS by Oncotype DX. These features are compatible with luminal A cancers. These tumors are usually associated with grade 1 ductal carcinoma in situ (DCIS). The invasive component shows evidence of gland formation in 75% or more of the tumor and uniform small nuclei (score 1 nuclear grade, Fig. 20.8 ).

Fig. 20.8, IDC, Nottingham grade 1 (Luminal A). Image shows an invasive ductal carcinoma exhibiting prominent tubular formation. The nuclei are small and uniform. Mitotic score is 1. This tumor expresses estrogen and progesterone receptors and is HER2-negative.

Tubular Carcinoma (TC)

TC accounts for about 1.6% of invasive carcinomas. TCs may present as discrete masses or as small spiculated lesions on mammogram. Diagnosis requires 90% of the tumor to show classic features characterized by round to ovoid or angular glands and tubules composed of a single layer of epithelium with no significant pleomorphism, infiltrating a desmoplastic stroma. These tumors usually occur in postmenopausal women with a median age at presentation of 63 years. TCs are grade 1 invasive carcinomas that are universally strongly ER/PR-positive, do not show HER2 overexpression, and show a low level of Ki67 expression, usually <10. TCs strongly correlate with the luminal A molecular subtype. Distant metastatic potential is highly unlikely when the tumor is present in its pure form. TCs are often associated with flat epithelial atypia or grade I DCIS. Mastectomy, radiation, or even axillary lymph node dissection may be unnecessary when TCs are excised with an adequate negative margin (see Fig. 20.9 ).

Fig. 20.9, Tubular carcinoma (Luminal A). More than 90% of this neoplasm shows tubular structures lined by a single layer of uniform epithelial cells. The round, oval, or angulated tubular structures infiltrate a desmoplastic stroma. The neoplastic cells usually show apical snouts at higher magnification, not shown in this image.

Invasive Cribriform Carcinoma (ICC)

Pure ICC is rare (0.4% of all invasive tumors). ICC usually presents as a mass or a spiculated lesion in postmenopausal women with a median age of 63 years. ICCs can show microcalcification. Histopathologically, ICCs are composed of islands of ovoid or angulated ductal structures showing a cribriform pattern that infiltrate a desmoplastic stroma. These structures lack any myoepithelial cells. ICCs are often associated with cribriform DCIS. The nuclei are usually small and uniform. Mitotic index is low. They are usually strongly ER-positive, and most of them are also PR positive and lack HER2 amplification. Ki67 is low. These tumors belong to the luminal A group of IBCs. ICCs have excellent prognosis, with a 10-year overall survival of 90% to 100% ( Fig. 20.10 ).

Fig. 20.10, Invasive cribriform carcinoma (Luminal A). ICCs show infiltrating cribriform glands composed of a uniform small cell population. Unlike cribriform in situ carcinoma, these glands appear angulated. The mitotic index is low. ICCs express estrogen receptor and do not show HER2 overexpression.

Mucinous Carcinoma (MC)

Hypocellular-type MCs account for 2% of invasive carcinomas. MCs usually occur in older women, with a median patient age of 71 years. They appear as well demarcated or multilobulated masses. Morphologically they show clusters of neoplastic cells within a large pool of extracellular mucin. In the hypocellular variant of MCs the nuclei are small to intermediate in size. Mitotic index is low. Diagnosis requires that this morphology be present in more than 90% of the tumor. Pure MCs show low-level genetic instability. These tumors are always strongly ER-positive. They show a low level of Ki67 expression and lack HER2 amplification. Essentially 100% of these tumors are Nottingham grade 1. The pure pattern is essential to ensure an excellent prognosis (90% 10-year survival) in the absence of adjuvant chemotherapy. This pattern strongly correlates with the luminal A molecular subtype ( Fig. 20.11 ).

Fig. 20.11, Invasive mucinous carcinoma (Luminal A). MCs show pools of extracellular mucin with clusters of neoplastic cells (hypocellular variant). The neoplastic cells are small to intermediate in size. Mitotic index is low.

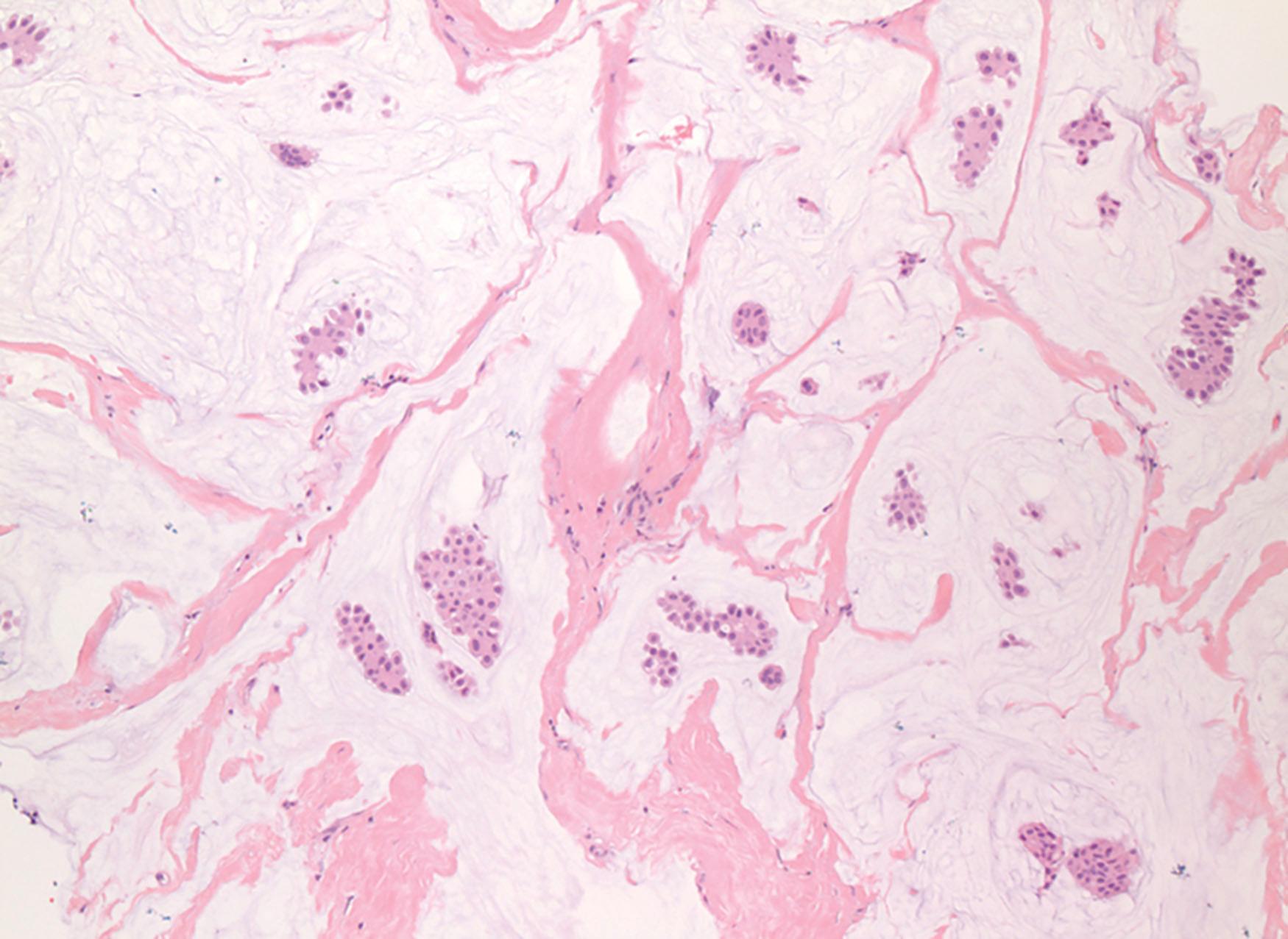
Invasive Lobular Carcinoma (ILC), Classic

ILCs represent almost 5% to 15% of all IBCs. They are commonly associated with lobular carcinoma in situ (LCIS). Greater than 90% of the tumor should show lobular features. If 50% to 90% of tumor shows lobular features the term ductolobular carcinoma is used. ILCs are more strongly associated with exposure to female hormones and therefore their incidence is more subject to variation. ILCs are more strongly associated with early menarche, late menopause, and late stage at first birth. Mutation in CDH1 , the gene coding for E-cadherin adhesion protein, is associated with ILCs with a penetration of 56% in female mutation carriers.

Morphologically classic ILCs are composed of dyscohesive uniform cells that lack significant pleomorphism, have small- to medium-sized nuclei, and infiltrate the stroma in a single-file/linear pattern. Tumor cells often form concentric pattern around normal ducts with a characteristic targetoid pattern. ILCs are known to be more often multicentric and bilateral. The classic pattern of ILCs is Nottingham grade 1 and 2, and they show strong ER positivity. They also show lack of HER2. Loss of heterozygosity of the 16q chromosomal regions and the consequent lack of E-cadherin expression are common findings in ILCs. ILC and LCIS show a decrease or absence of E-cadherin expression and aberrant expression of p120 catenin.

The tubulolobular variant shows evidence of both tubule formation and single-file tumor cell growth. Eight-five percent of all ILCs, essentially all classic patterns of ILCs, are luminal A type IBCs. These tumors are strongly ER-positive, and many of them are also PR-positive (60%–70%), lack HER2 amplification, and have low Ki67 expression. Most studies suggest that grade 1 and 2 ILCs, which are usually seen in classic ILCs, have a better prognosis. Of the three components of tumor grading, mitotic activity is the most useful predictor of disease outcome. The mitotic count also closely correlates with Ki67 expression. Two separate studies have shown that patients with ILCs have an outcome better than or similar to IBCs-NST (No Special Type) in the first 10 years after diagnosis; however, the long-term outcome associated with ILCs is worse ( Fig. 20.12 ).

Fig. 20.12, Invasive lobular carcinoma, classic variant, Nottingham grade 1 (Luminal A). Image shows a single file of small uniform cells infiltrating the stroma. No significant cytologic atypia is present. The mitotic index is low. The ductal and lobular structures are mildly to moderately expanded by the presence of uniform poorly cohesive cells (lobular carcinoma in situ, classic variant).

You're Reading a Preview

Become a Clinical Tree membership for Full access and enjoy Unlimited articles

Become membership

If you are a member. Log in here