Infectious Complications of Dysfunction or Deficiency of Polymorphonuclear and Mononuclear Phagocytes


Acknowledgement

Substantial material from E. Stephen Buescher’s chapter in Principles and Practice of Pediatric Infectious Diseases , fifth edition, has been used.

Phagocytes perform critical roles in human host defense. Polymorphonuclear phagocytes (neutrophils, eosinophils, and basophils) defend against microbial invasion and contribute to various aspects of the inflammatory response. Mononuclear phagocytes (monocytes and macrophages) perform similar complementary functions in defense and cognate immunity. Despite their rarity, inherited disorders of these cell types provide insight into the critical role of phagocytes in human survival and health. One of the first phagocyte disorders to be recognized, chronic granulomatous disease (CGD), was described in 1957. , Despite its rare occurrence, CGD has been studied intensively and has become the paradigm for clinical management of infectious and inflammation-related problems common to disorders of phagocyte function.

Etiologic Agents and Pathologic Findings

The major phagocyte function disorders and their abnormalities are outlined in Table 104.1 . Because phagocytic cell responses are important both in normal host defense against extracellular micro-organisms and in acute inflammatory responses, most of these conditions have the dual characteristics of recurrent infection plus deranged inflammatory responses. True pathogens or typically opportunistic agents cause infections in people with these disorders. Bacterial agents predominate in most conditions, but fungi are significant pathogens in many disorders ( Table 104.2 ).

TABLE 104.1
Characteristic Abnormalities of Disorders of Phagocytic Function
Disorder Characteristics of Phagocytic Cells
Numbers Chemotaxis Adherence Microbicidal Activity
Chronic granulomatous disease NL NL NL
Leukocyte adhesion deficiency NL
Chédiak-Higashi syndrome a NL
Myeloperoxidase deficiency NL NL NL NL b
Specific granule deficiency ↑/NL NL
Hyper-IgE−recurrent infection syndrome NL ↓/NL NL NL
Hyper-IgE, hyperimmunoglobulin E; NL, normal; ↑, increased; ↓, decreased.

a Neutropenia is common during the accelerated phase.

b In vitro microbicidal activity against Candida spp. is deficient.

TABLE 104.2
Pathogens Associated With Disorders of Phagocytic Function
Organism Chronic Granulomatous Disease Leukocyte Adhesion Deficiency Chédiak-Higashi Syndrome Hyper-IgE−Recurrent Infection Syndrome Specific Granule Deficiency Myeloperoxidase Deficiency
Staphylococcus aureus ++++ +++ ++++ ++++ +++
Streptococcus spp. + + +++ +++ +++
Escherichia coli ++ +++ + + +
Burkholderia cepacia +++ ++ + + +
Serratia marcescens +++ ++ + + +
Candida spp. ++ ++ + ++++ + ++++
Aspergillus spp. +++ ++ + ++ +
Nocardia spp. +++ + + + +
Pseudomonas aeruginosa + +++ + + ++
Hyper-IgE, hyperimmunoglobulin E; ++++, most common or distinctive pathogen; +++, common pathogen; ++, less common pathogen; +, occasional pathogen; −, never associated.

Infections can occur at any anatomic site. However, interfaces between host and environment are the sites most commonly affected; skin and soft tissue infections or abscesses, pneumonia, and infections of the upper airway or sinuses are typical ( Table 104.3 ). Clinical manifestations depend on the nature of the underlying disorder. CGD phagocytes circulate in adequate numbers, move to tissues appropriately with normal locomotive and phagocytic function, and localize infection but fail to develop the respiratory burst required to kill certain pathogens. As a result, abscess formation is common, but progressive, rapidly spreading cellulitis or septicemia is not. By contrast, disorders involving locomotive abnormalities (e.g., Chédiak-Higashi syndrome, leukocyte adhesion deficiency [LAD] type 1) demonstrate failure to localize infection, often resulting in rapid progression of infection or systemic spread, with a delayed appearance of inflammation.

TABLE 104.3
Infectious Complications of Disorders of Phagocytic Function
Infection Chronic Granulomatous Disease Leukocyte Adhesion Deficiency Chédiak-Higashi Syndrome Hyper-IgE−Recurrent Infection Syndrome Specific Granule Deficiency Myeloperoxidase Deficiency
Lymphadenitis ++++ + + ++ +
Septicemia + +++ ++ ++ + ++
Osteomyelitis +++ + + ++ ++ ++
Pneumonia +++ ++ +++ ++++ ++ +
Sinusitis + + + +++ +
Liver abscess ++ ++ + ++++ + ++++
Meningitis ++ ++ + ++ +
Poor healing +++ + + + +
Cellulitis + +++ + + ++
Hyper-IgE, hyperimmunoglobulin E; ++++, most common; +++, common; ++, less common; +, occasional; −, rare.

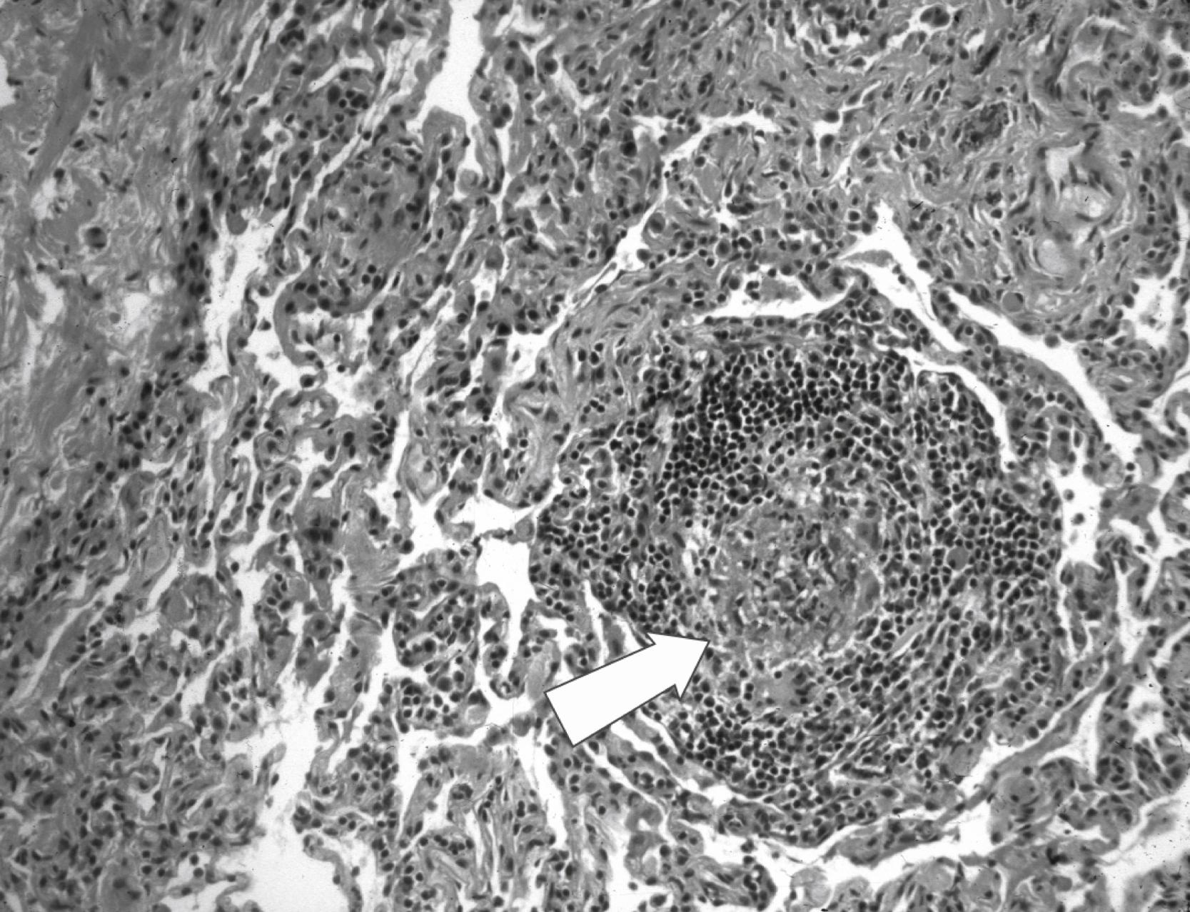
Abnormal acute inflammatory responses contribute to ineffective wound healing that is characteristic of these conditions. At sites of injury, histologic examination can show disordered inflammatory responses, such as combinations of acute and chronic inflammation ( Fig. 104.1 ) or poor accumulation of inflammatory cells. In some instances, abnormal inflammatory responses—rather than infection—are the major cause of pathology.

FIGURE 104.1, Pyogranuloma (acute inflammatory cells within granulomatous inflammatory response) (arrow) in the lung of patient with chronic granulomatous disease and Aspergillus spp. pneumonia.

Clinical Manifestations and Clinical Approach

Manifestations of disorders of phagocyte function are highly variable. In some instances, inflammatory (rather than infectious) manifestations occur first. Age at presentation varies from neonates to adults, but presentation early in life is more typical. , Infections can be caused by well-known pathogens, opportunistic pathogens, or nonpathogens. Although few rules invariably apply, certain characteristics of infections raise concern for an underlying disorder, and specific physical findings or infectious agents may suggest specific disorders ( Tables 104.2–104.4 ).

TABLE 104.4
Patterns of Clinical Illness Associated With Disorders of Phagocytic Function
Disorder Clinical Illness
Chronic granulomatous disease Liver abscess, aphthous stomatitis, discoid lupus erythematosus, McLeod blood phenotype, Burkholderia cepacia pneumonia, Nocardia spp. infections, Serratia spp. infections, Aspergillus spp. infections, retinitis pigmentosa, Duchenne muscular dystrophy, gastric or genitourinary tract wall thickening
Leukocyte adhesion deficiency type 1 Failure of umbilical stump separation, early periodontal disease
Myeloperoxidase deficiency Severe infections with Candida spp., often in presence of diabetes mellitus
Hyper-IgE−recurrent infection syndrome Lung cysts or pneumatoceles, soft tissue abscesses with minimal inflammation, retention of primary teeth, multiple bone fractures, scoliosis
Chédiak-Higashi syndrome Recurrent cutaneous abscesses and cellulitis, invasive infections, progressive peripheral neuropathy, HLH-like myeloproliferative process
Specific granule deficiency Recurrent cutaneous and invasive infections
Hyper-IgE, hyperimmunoglobulin E; HLH, hemophagocytic lymphohistiocytosis.

The clinical approach to these patients involves regular, repeated examination of target organ systems, preventive therapies, and prompt evaluation of acute clinical complaints. At the time of diagnosis, studies to define the anatomy of organ systems likely to be involved with future infection can provide baseline information for comparison. These studies include scintigraphy of the skeleton and CT or MRI of the chest and abdomen (liver, spleen, para-aortic nodes, kidneys, and bladder). Regular examination of the hemogram, blood chemistry, coagulation, erythrocyte sedimentation rate, and C-reactive protein values aids in monitoring the patient’s general state of health and provides data for comparison during illness.

Prompt evaluation of clinical complaints permits early recognition and treatment of conditions before serious complications or tissue damage occurs. The typical inflammatory response can be absent in these patients, and fever is variable. Simple problems (e.g., hangnail, insect bite, or minor injury) can become a source of progressive infection; expectant management, with attention to local care and administration of antibiotics, is required to prevent serious complications.

Any micro-organism recovered from a normally sterile site, regardless of its nominal pathogenic potential, should be regarded as a likely infectious agent. This includes normal human flora or environmental organisms when the same organism is recovered repeatedly from the same site or from multiple sites. Recovery of multiple organisms from aspiration or biopsy materials should not be discounted because polymicrobial infections (including bacteria or fungi) are well described in these patients.

Management

Identification of the Site of Infection and the Infectious Agent

The ease with which sites of infection can be identified often varies from episode to episode. Skin, upper and lower respiratory tract, liver, bone, and lymph nodes are common sites of infection; spleen, gastrointestinal tract, central nervous system, and blood are less common. When the site of infection is accessible, material for culture and histology should be obtained promptly, preferably before administration of antimicrobial agents. When deep infections occur, clinical judgment must be used to decide whether antibiotic treatment can be delayed for 12–24 hours to acquire a surgical specimen. For patients with fever but no localizing signs or symptoms, a plan must be formulated early to define the length of clinical observation—while awaiting culture results or evolution of localizing findings—before initiating empiric antibiotic therapy. Anatomic sites previously infected should be carefully scrutinized because recurrent infections are common; bone scan and imaging studies of the chest and abdomen should be considered. Anatomic sites containing lymph nodes (hila of the lungs, paravertebral areas, mediastinum, retroperitoneum) should receive special attention because of the frequency of nodal suppuration in conditions such as CGD ( Table 104.3 ). Use of different imaging methods to examine the same anatomic areas (e.g., CT vs. MRI) can be helpful ( Fig. 104.2 ). If the patient has no clinical change or has worsened after 24–48 hours of close observation, empiric antibiotic therapy should begin, usually with an antistaphylococcal agent plus an aminoglycoside or third-generation cephalosporin. In some instances, a previously unrecognized site of infection becomes evident after initiating empiric antibiotic therapy. If this occurs, appropriate surgical biopsy or drainage with culture of the specimen should be considered. Empiric antibiotic therapy alone rarely leads to resolution of unrecognized infection; repeated careful examinations of the patient and monitoring studies should be performed until the site of infection is identified or infection is ruled out.

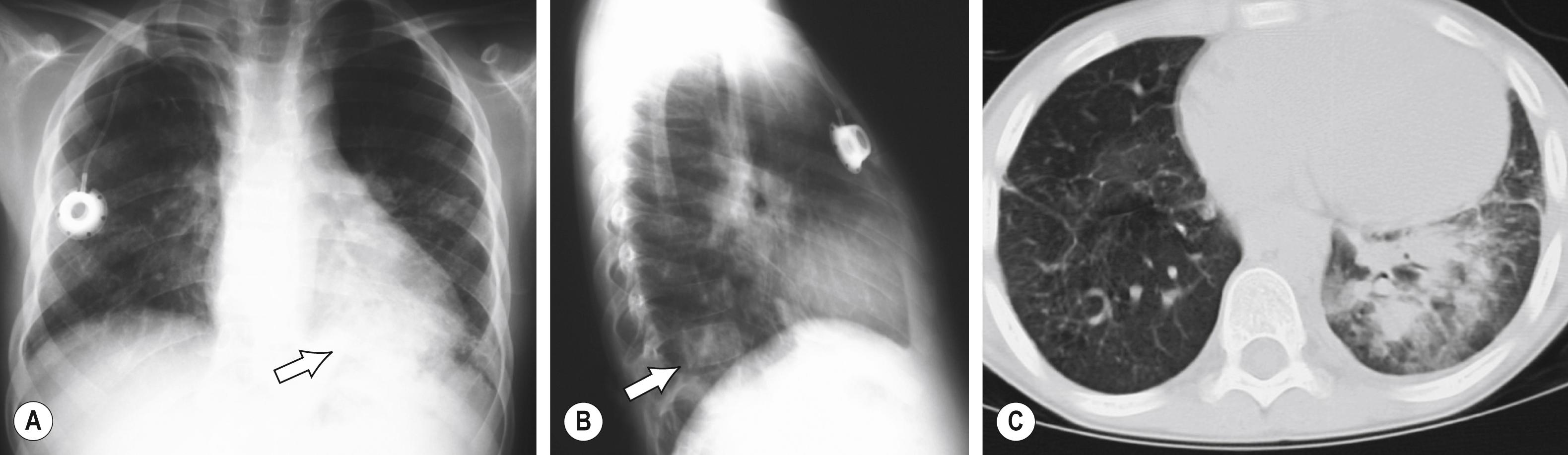
FIGURE 104.2, Chest radiograph and chest CT scan of a 7-year-old child with chronic granulomatous disease with fever and dry cough. Plain films show a retrocardiac left lower lobe infiltrate (arrow) (A), which appears small on the lateral view (arrow) (B). (C) CT demonstrated more extensive disease throughout the left lower lobe. Burkholderia cepacia was isolated from the open-lung biopsy. Because this child had an episode of pneumonia caused by the same organism 12 months previously, the exposure history was more intensively examined, revealing that the child had a favorite outdoor activity of pulling up wild onions.

The importance of obtaining specimens for culture from sites of infection cannot be overemphasized; the variety of potential agents and the complicated nature of management require definitive knowledge for optimal treatment. Cultures of blood, urine, and cerebrospinal fluid (if appropriate), as well as cultures from all infected sites, should be obtained before initiation of treatment. Surgical or imaging-guided biopsy is performed for deep infection ( Fig. 104.2 ).

Delineation of Tissue Involvement and Debridement

For deep infections, meticulous and vigorous debridement of involved tissue should be performed at the time of biopsy; delayed control of infection, recurrence of infection, and slow healing all can result in excessive scarring and fibrosis. Tissue specimens (not swabs) should be sent for culture. For fungal infections, cure may require surgical removal of the affected tissue. Close collaboration with the surgeon, including the subspecialist’s attendance at operative procedures—when possible—maximizes the chance for optimal surgical intervention.

You're Reading a Preview

Become a Clinical Tree membership for Full access and enjoy Unlimited articles

Become membership

If you are a member. Log in here