High-Resolution Ultrasound


Key Concepts

  • Ultrasound biomicroscopy (UBM) has proven a valuable tool for ophthalmologists when the cornea has lost its transparency or other media opacities obstruct the view of the anterior segment.

  • In UBM, perpendicularity indicated by reflective echoes from the corneal epithelium, endothelium, and anterior and posterior lens capsule is critical for best results.

  • UBM is useful in the evaluation of anterior segment lesions of the cornea, iris (tumors or nevi), choroidal tumors that are anteriorly located, ciliary body tumors, angle involvement, narrowing of the angles, and iridociliary cysts versus solid masses.

  • Although anterior segment optical coherence tomography (OCT) has come into use in recent years and is very valuable for evaluating the cornea and angles, UBM has advantages with the ability to image posterior to the iris to rule out cyst versus mass, the ciliary body, pars plana, and zonules.

Ultrasound Biomicroscopy: High-Resolution Ultrasound

High-resolution ultrasound is a valuable tool in the evaluation of the anterior segment of the human eye. This important advance was pioneered at the University of Toronto by Charles J. Pavlin MD, FRCS, and F. Stuart Foster, PhD, in 1990 and was termed ultrasound biomicroscopy (UBM). UBM captures microscopic images of the living eye using high-frequency ultrasound in the frequency range of 25–100 MHz. Most commercially available units used nowadays are 25–50 MHz, with an axial and lateral resolution from 35 to 120 microns, , depending on the frequency used. Image depth penetration is approximately from 4 to 10 mm (the higher the MHz, the less penetration of image captured). The UBM probes use a sector or linear single transducer for capturing the scan. The focal zone is narrow, approximately 2–3 mm in the center of the scan; therefore one must take care in placing the field of interest in this area, as shown in Fig. 16.5 . Perpendicularity is key. Highly reflective echoes from the corneal epithelium, endothelium, and anterior and posterior lens capsule will indicate perpendicularity. When faced with an opaque cornea, UBM provides very useful images for cornea specialists and ophthalmologists to visualize the anterior chamber (AC), iris, ciliary body, lens, intraocular lens (IOL) displacement, haptic displacement, narrow angles, tumors, cysts, cyclodialysis clefts, iridodialysis, glaucoma, and trauma-related issues.

Examination Techniques With Ultrasound Biomicroscopy

UBM ultrasound can easily be performed with a patient in the supine position using a scleral shell filled with saline. With a patient lying down, local anesthetic is instilled in the eye. The scleral shell is placed by first pulling the lower lid down, having the patient gaze up, and placing the shell under the lower lid, then having him or her look straight ahead and lifting the upper lid and placing the shell under the upper lid ( Fig. 16.1 ). A ring of tear gel may be put around the inside of the shell where it comes in contact with the sclera. Saline or other fluid recommended by the instrument manufacturer is then added. This usually helps to prevent the saline from running out from under the shell ( Figs. 16.2 and 16.3 ). UBM ultrasound can also be performed with the patient sitting upright with the use of the ClearScan ( Fig. 16.4 ) bag that attaches to the front of the probe and is filled with distilled water. If a patient is unable to tolerate lying back with a scleral shell, this is an alternative option. , However, it does degrade the image slightly over the scleral shell technique, and there may be some pressure on the globe with this method. The ultrasonographer must use caution in eyes with low intraocular pressure (see Fig. 16.32A and B ).

Fig. 16.1, Installing scleral shell.

Fig. 16.2, Saline in scleral shell.

Fig. 16.3, Performing ultrasound biomicroscopy procedure.

Fig. 16.4, ClearScan bag.

With the use of the scleral shell, one needs to be very careful to avoid contact with the cornea if using an open transducer model probe. By watching the screen during the exam, this is easily avoidable.

An axial scan (vertical and horizontal—marker on probe should be nasal for horizontal scan and up [12:00] for vertical scan) is first obtained to get an overall view of the AC and to assess the AC depth, lens thickness, and structure, which can be an important part of surgical planning ( Fig. 16.5 ). Next, longitudinal views are critical for evaluating angles, ciliary body, sulcus, and zonules. The probe marker should be directed toward the pupil or the clock hour. It is important to be consistent and label all scans, such as L1:30, so that when referring to the images, the location will be clear ( Fig. 16.6 ). The best image is always acquired when the sound beams are perpendicular to the ocular structures being examined. When perpendicular to the cornea, one can see the highly reflective epithelial and endothelial surfaces.

Fig. 16.5, Horizontal axial scan.

Fig. 16.6, Longitudinal scan through angle.

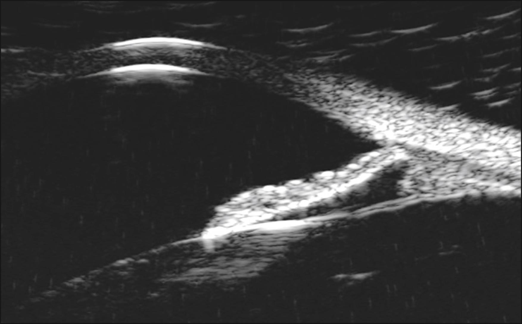
Normal Cornea

With the use of UBM we are able to distinguish the epithelium as the first highly reflective layer and the Bowman membrane as the next highly reflective layer. The distance between these two represents the epithelial thickness. The corneal stroma has a much lower internal reflectivity, and the posterior highly reflective junction is the Descemet membrane. The endothelium cannot be easily differentiated with a 50-MHz ultrasound probe ( Fig. 16.7 ).

Fig. 16.7, Ultrasound biomicroscopy scan of corneal layers.

The corneoscleral junction is usually easy to identify because the sclera has much higher reflectivity than the corneal stroma. The scleral spur is located 1 mm back from the corneoscleral junction, and down to the uveal scleral line is where it can be imaged ( Fig. 16.8 ). Turning down the gain may make it easier to distinguish, but it is not always visible. The scleral spur is a useful landmark when trying to determine if angles are narrow or closed in glaucoma patients.

Fig. 16.8, Scleral spur and corneoscleral junction.

Use of Ultrasound Biomicroscopy in Disease

You're Reading a Preview

Become a Clinical Tree membership for Full access and enjoy Unlimited articles

Become membership

If you are a member. Log in here